GAN Medical CT Evaluation Report

Patient: CV28012021

Slice 70 Targeting Evaluation

Patient Information

Patient ID: CV28012021

Model: cytran

Slice: Slice_70

Slice Thickness: 1.5mm

Conversion: NATIVE β†’ VENOUS

πŸ“Š Download Metrics

πŸ“₯ Download CSV Metrics (patient_CV28012021_metrics.csv)

Contains all 4 metric datasets: Network-Normalized, Hounsfield Units, Lung Window, and Mediastinum Window

Native→Venous Translation Metrics (Generated Venous vs Real Venous)

Targeted Slice 70 - Network-Normalized Analysis (Generated vs Real Venous)

0.885
SSIM Score
0.092
RMSE
0.040
MAE

Average Network-Normalized Metrics Across All Slices (38 slices) - Generated vs Real Venous

0.887
SSIM Score (Avg)
0.097
RMSE (Avg)
0.041
MAE (Avg)

Targeted Slice 70 - HU-Space Analysis (Generated vs Real Venous)

0.885
HU SSIM
91.8
HU RMSE
40.2
HU MAE

Average HU-Space Metrics Across All Slices (38 slices) - Generated vs Real Venous

0.887
HU SSIM (Avg)
96.6
HU RMSE (Avg)
40.7
HU MAE (Avg)

Targeted Slice 70 - Lung Window Analysis (Generated vs Real Venous)

0.763
Lung SSIM
85.0
Lung RMSE
36.7
Lung MAE

Average Lung Window Metrics Across All Slices (38 slices) - Generated vs Real Venous

0.768
Lung SSIM (Avg)
88.7
Lung RMSE (Avg)
36.8
Lung MAE (Avg)

Targeted Slice 70 - Mediastinum Window Analysis (Generated vs Real Venous)

0.741
Mediastinum SSIM
34.8
Mediastinum RMSE
13.6
Mediastinum MAE

Average Mediastinum Window Metrics Across All Slices (38 slices) - Generated vs Real Venous

0.727
Mediastinum SSIM (Avg)
35.7
Mediastinum RMSE (Avg)
14.6
Mediastinum MAE (Avg)

Image Grid

4Γ—3 grid: Rows show different image types (Original NATIVE, Reconstructed NATIVE, Original VENOUS, Generated VENOUS), Columns show windowing techniques (No Window, Lung Window, Mediastinum Window)

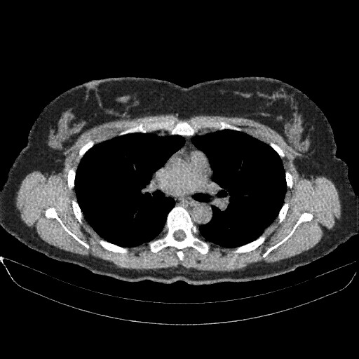
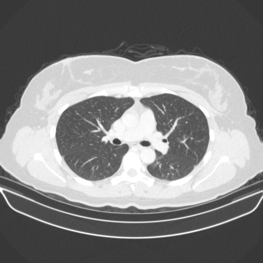
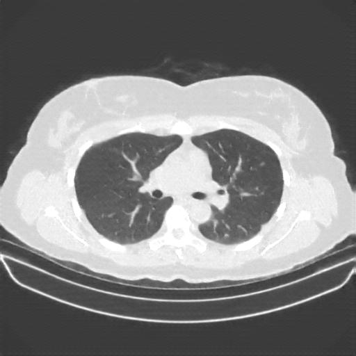
Original NATIVE CT scan (input)
No window - Raw intensity values
Original NATIVE CT scan (input)
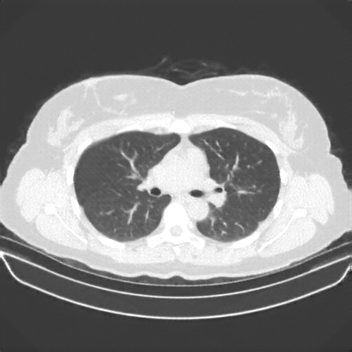
Original NATIVE CT scan (input)
Lung window (WL -600, WW 1500 β†’ Low βˆ’1350, High +150)
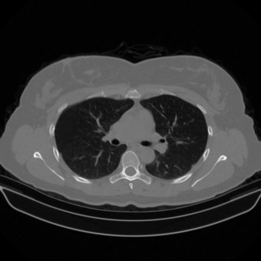
Original NATIVE CT scan (input)
Original NATIVE CT scan (input)
Mediastinum window (WL 40, WW 400 β†’ Low βˆ’160, High +240)
Original NATIVE CT scan (input)
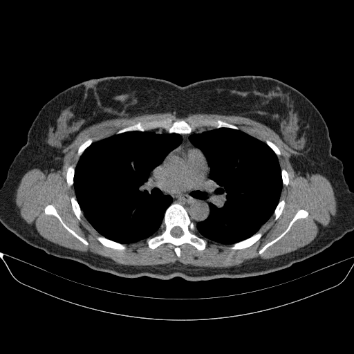
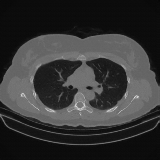
Reconstructed NATIVE CT scan (cycle consistency)
No window - Raw intensity values
Reconstructed NATIVE CT scan (cycle consistency)
Reconstructed NATIVE CT scan (cycle consistency)
Lung window (WL -600, WW 1500 β†’ Low βˆ’1350, High +150)
Reconstructed NATIVE CT scan (cycle consistency)
Reconstructed NATIVE CT scan (cycle consistency)
Mediastinum window (WL 40, WW 400 β†’ Low βˆ’160, High +240)
Reconstructed NATIVE CT scan (cycle consistency)
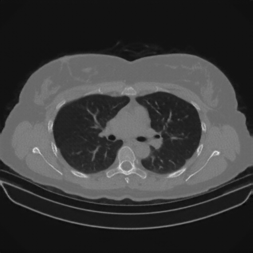
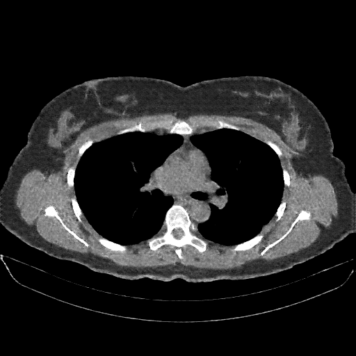
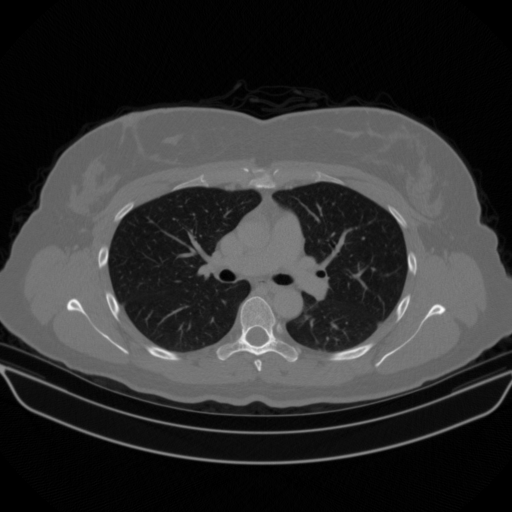
Original VENOUS CT scan
No window - Raw intensity values
Original VENOUS CT scan
Original VENOUS CT scan
Lung window (WL -600, WW 1500 β†’ Low βˆ’1350, High +150)
Original VENOUS CT scan
Original VENOUS CT scan
Mediastinum window (WL 40, WW 400 β†’ Low βˆ’160, High +240)
Original VENOUS CT scan
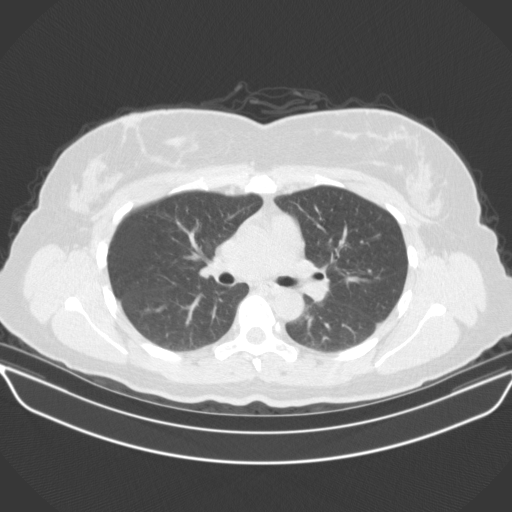
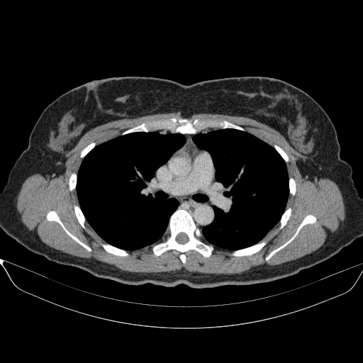
Generated VENOUS CT scan (A→B translation)
No window - Raw intensity values
Generated VENOUS CT scan (A→B translation)
Generated VENOUS CT scan (A→B translation)
Lung window (WL -600, WW 1500 β†’ Low βˆ’1350, High +150)
Generated VENOUS CT scan (A→B translation)
Generated VENOUS CT scan (A→B translation)
Mediastinum window (WL 40, WW 400 β†’ Low βˆ’160, High +240)
Generated VENOUS CT scan (A→B translation)

Windowing Parameters