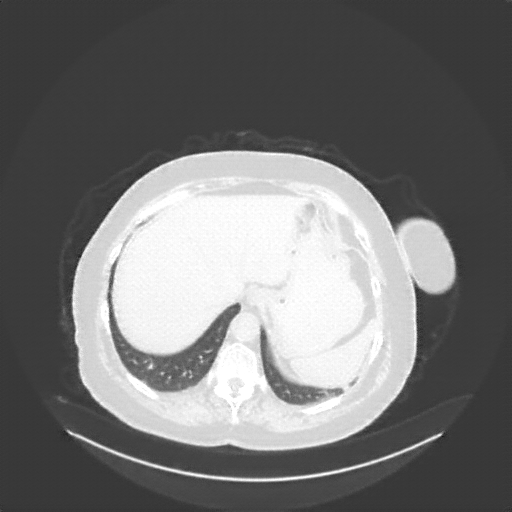
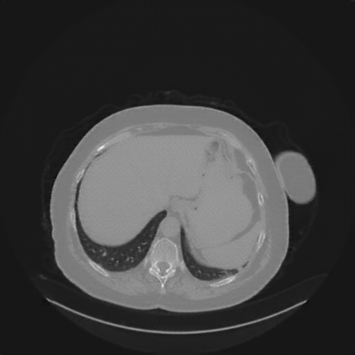
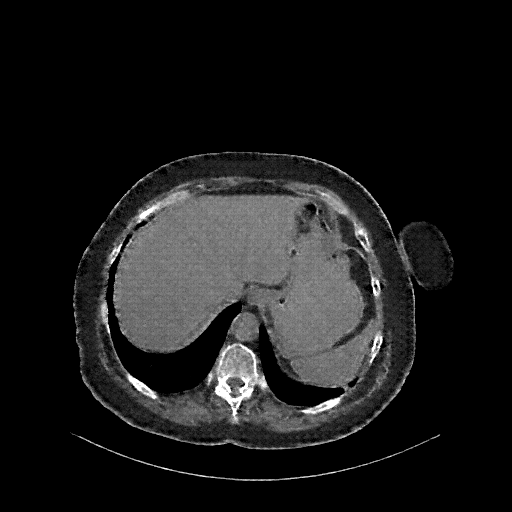
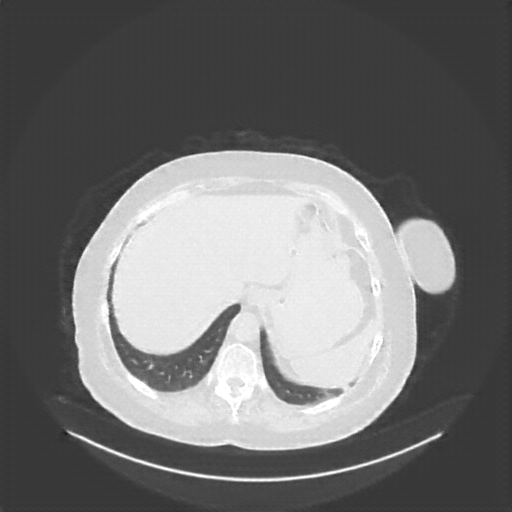
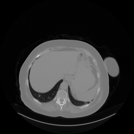
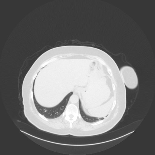
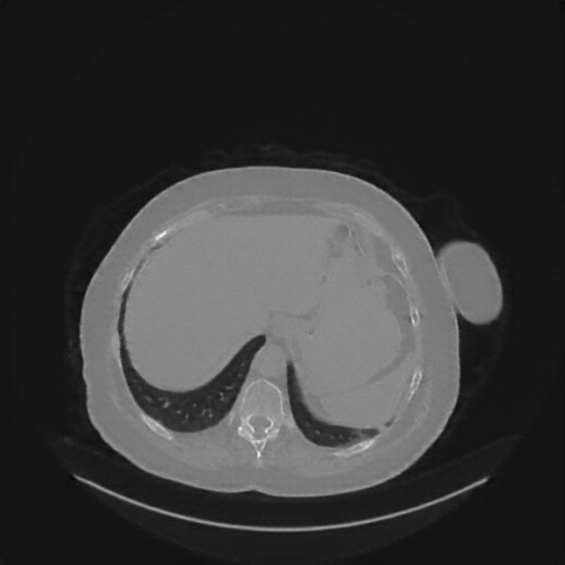
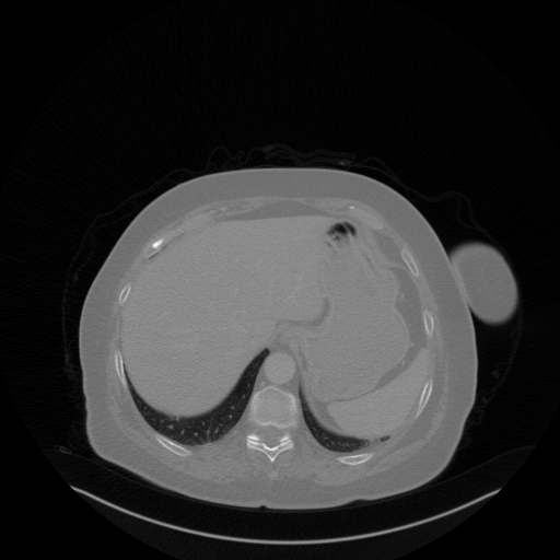
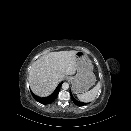
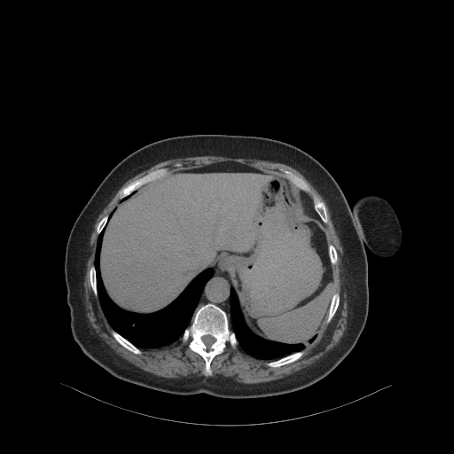
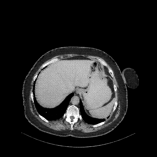
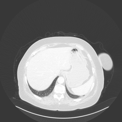
Slice 70 Targeting Evaluation
Patient ID: MP07122020q
Model: cytran
Slice: Slice_70
Slice Thickness: 3.0mm
Conversion: NATIVE β VENOUS
Contains all 4 metric datasets: Network-Normalized, Hounsfield Units, Lung Window, and Mediastinum Window
| Slice ID | SSIM | RMSE | MAE | HU SSIM | HU RMSE | HU MAE | Lung SSIM | Lung RMSE | Lung MAE | Mediastinum SSIM | Mediastinum RMSE | Mediastinum MAE |
|---|---|---|---|---|---|---|---|---|---|---|---|---|
| MP07122020q_slice_0 | 0.626 | 0.266 | 0.122 | 0.626 | 265.8 | 121.7 | 0.535 | 249.3 | 110.1 | 0.604 | 79.2 | 38.2 |
| MP07122020q_slice_1 | 0.624 | 0.266 | 0.121 | 0.624 | 265.7 | 121.2 | 0.531 | 247.4 | 110.0 | 0.601 | 80.9 | 39.2 |
| MP07122020q_slice_2 | 0.630 | 0.264 | 0.119 | 0.630 | 264.0 | 119.0 | 0.534 | 245.4 | 109.0 | 0.601 | 79.0 | 37.7 |
| MP07122020q_slice_3 | 0.632 | 0.259 | 0.118 | 0.632 | 258.7 | 118.3 | 0.540 | 245.9 | 109.3 | 0.602 | 78.7 | 37.5 |
| MP07122020q_slice_4 | 0.643 | 0.264 | 0.120 | 0.643 | 263.9 | 119.9 | 0.548 | 248.0 | 109.9 | 0.603 | 79.1 | 36.9 |
| MP07122020q_slice_5 | 0.650 | 0.267 | 0.120 | 0.650 | 266.9 | 120.2 | 0.555 | 250.0 | 110.4 | 0.608 | 78.9 | 36.2 |
| MP07122020q_slice_6 | 0.655 | 0.269 | 0.120 | 0.655 | 268.8 | 120.0 | 0.559 | 252.0 | 110.5 | 0.611 | 77.9 | 35.3 |
| MP07122020q_slice_7 | 0.656 | 0.271 | 0.121 | 0.656 | 271.4 | 120.9 | 0.559 | 254.6 | 111.9 | 0.615 | 77.3 | 34.8 |
| MP07122020q_slice_8 | 0.660 | 0.269 | 0.121 | 0.660 | 269.4 | 121.4 | 0.565 | 255.7 | 112.5 | 0.620 | 75.6 | 34.1 |
| MP07122020q_slice_9 | 0.660 | 0.266 | 0.121 | 0.660 | 266.0 | 121.2 | 0.566 | 254.9 | 112.6 | 0.623 | 75.8 | 34.0 |
| MP07122020q_slice_10 | 0.664 | 0.268 | 0.121 | 0.664 | 267.5 | 121.3 | 0.565 | 255.7 | 113.1 | 0.627 | 78.1 | 34.4 |
| MP07122020q_slice_11 | 0.661 | 0.271 | 0.123 | 0.661 | 271.3 | 123.2 | 0.562 | 259.0 | 115.2 | 0.628 | 80.3 | 35.2 |
| MP07122020q_slice_12 | 0.662 | 0.271 | 0.123 | 0.662 | 270.8 | 123.2 | 0.561 | 261.1 | 116.2 | 0.630 | 78.9 | 34.7 |
| MP07122020q_slice_13 | 0.664 | 0.268 | 0.122 | 0.664 | 268.5 | 122.1 | 0.561 | 260.4 | 116.0 | 0.634 | 76.5 | 33.6 |
| MP07122020q_slice_14 | 0.670 | 0.267 | 0.120 | 0.670 | 267.2 | 120.1 | 0.565 | 259.4 | 114.6 | 0.637 | 73.1 | 31.7 |
| MP07122020q_slice_15 | 0.673 | 0.267 | 0.120 | 0.673 | 267.1 | 119.8 | 0.567 | 259.8 | 114.3 | 0.636 | 72.2 | 31.2 |
| MP07122020q_slice_16 | 0.675 | 0.269 | 0.120 | 0.675 | 268.8 | 120.4 | 0.570 | 260.9 | 114.8 | 0.637 | 73.0 | 31.1 |
| MP07122020q_slice_17 | 0.680 | 0.270 | 0.120 | 0.680 | 269.7 | 119.9 | 0.573 | 261.7 | 114.7 | 0.639 | 73.0 | 30.6 |
| MP07122020q_slice_18 | 0.686 | 0.271 | 0.119 | 0.686 | 270.5 | 119.4 | 0.577 | 262.7 | 114.5 | 0.639 | 71.7 | 29.8 |
| MP07122020q_slice_19 | 0.685 | 0.272 | 0.120 | 0.685 | 271.7 | 119.9 | 0.577 | 264.5 | 115.3 | 0.638 | 72.7 | 30.4 |
| MP07122020q_slice_20 | 0.683 | 0.272 | 0.120 | 0.683 | 271.8 | 120.5 | 0.577 | 265.5 | 116.3 | 0.636 | 72.3 | 30.5 |
| MP07122020q_slice_21 | 0.685 | 0.272 | 0.121 | 0.685 | 272.1 | 120.6 | 0.579 | 266.4 | 116.6 | 0.637 | 71.2 | 29.9 |
| MP07122020q_slice_22 | 0.681 | 0.273 | 0.122 | 0.681 | 272.8 | 121.6 | 0.575 | 266.9 | 117.6 | 0.636 | 70.7 | 29.8 |
| MP07122020q_slice_23 | 0.678 | 0.274 | 0.122 | 0.678 | 273.6 | 122.5 | 0.573 | 267.6 | 118.5 | 0.636 | 71.1 | 30.1 |
| MP07122020q_slice_24 | 0.681 | 0.272 | 0.122 | 0.681 | 272.4 | 121.9 | 0.574 | 267.1 | 118.2 | 0.637 | 69.9 | 29.6 |
| MP07122020q_slice_25 | 0.682 | 0.273 | 0.122 | 0.682 | 272.6 | 122.2 | 0.572 | 267.4 | 118.7 | 0.638 | 70.0 | 29.5 |
| MP07122020q_slice_26 | 0.683 | 0.274 | 0.123 | 0.683 | 274.1 | 123.3 | 0.572 | 268.4 | 119.5 | 0.638 | 70.2 | 29.4 |
| MP07122020q_slice_27 | 0.681 | 0.278 | 0.125 | 0.681 | 277.6 | 125.1 | 0.572 | 270.8 | 120.8 | 0.638 | 72.2 | 30.2 |
| MP07122020q_slice_28 | 0.685 | 0.279 | 0.126 | 0.685 | 278.7 | 125.8 | 0.575 | 271.6 | 121.0 | 0.637 | 72.3 | 30.1 |
| MP07122020q_slice_29 | 0.686 | 0.280 | 0.127 | 0.686 | 279.8 | 126.5 | 0.576 | 273.4 | 122.0 | 0.633 | 72.1 | 29.9 |
| MP07122020q_slice_30 | 0.685 | 0.280 | 0.127 | 0.685 | 280.2 | 126.9 | 0.575 | 274.0 | 122.5 | 0.632 | 71.9 | 30.0 |
| MP07122020q_slice_31 | 0.684 | 0.280 | 0.127 | 0.684 | 280.0 | 126.8 | 0.575 | 274.6 | 122.9 | 0.633 | 71.2 | 29.8 |
| MP07122020q_slice_32 | 0.685 | 0.279 | 0.126 | 0.685 | 279.2 | 126.3 | 0.575 | 274.6 | 122.9 | 0.632 | 70.1 | 29.5 |
| MP07122020q_slice_33 | 0.687 | 0.279 | 0.126 | 0.687 | 279.3 | 126.0 | 0.578 | 274.7 | 122.8 | 0.630 | 70.0 | 29.4 |
| MP07122020q_slice_34 | 0.687 | 0.281 | 0.127 | 0.687 | 281.1 | 126.7 | 0.578 | 275.7 | 123.3 | 0.628 | 71.3 | 29.8 |
| MP07122020q_slice_35 | 0.688 | 0.282 | 0.127 | 0.688 | 282.2 | 127.1 | 0.579 | 276.1 | 123.3 | 0.625 | 72.3 | 30.1 |
| MP07122020q_slice_36 | 0.689 | 0.283 | 0.128 | 0.689 | 283.4 | 127.8 | 0.583 | 276.6 | 123.3 | 0.624 | 73.5 | 30.6 |
| MP07122020q_slice_37 | 0.685 | 0.284 | 0.129 | 0.685 | 283.8 | 128.8 | 0.579 | 277.3 | 124.3 | 0.623 | 73.5 | 30.6 |
| MP07122020q_slice_38 | 0.682 | 0.284 | 0.129 | 0.682 | 284.3 | 129.4 | 0.575 | 278.1 | 125.0 | 0.622 | 72.8 | 30.5 |
| MP07122020q_slice_39 | 0.680 | 0.284 | 0.130 | 0.680 | 284.5 | 130.0 | 0.572 | 279.0 | 126.1 | 0.620 | 72.2 | 30.5 |
| MP07122020q_slice_40 | 0.676 | 0.285 | 0.131 | 0.676 | 284.8 | 131.0 | 0.568 | 280.4 | 127.7 | 0.612 | 71.1 | 30.5 |
| MP07122020q_slice_41 | 0.679 | 0.284 | 0.130 | 0.679 | 284.1 | 130.2 | 0.568 | 279.9 | 127.2 | 0.613 | 70.3 | 30.1 |
| MP07122020q_slice_42 | 0.684 | 0.284 | 0.130 | 0.684 | 284.2 | 129.6 | 0.570 | 280.2 | 126.8 | 0.614 | 69.3 | 29.4 |
| MP07122020q_slice_43 | 0.690 | 0.286 | 0.130 | 0.690 | 286.1 | 129.8 | 0.575 | 281.4 | 126.8 | 0.611 | 70.5 | 29.8 |
| MP07122020q_slice_44 | 0.691 | 0.285 | 0.130 | 0.691 | 285.3 | 129.7 | 0.574 | 280.8 | 126.9 | 0.610 | 70.7 | 29.8 |
| MP07122020q_slice_45 | 0.689 | 0.286 | 0.131 | 0.689 | 286.5 | 130.6 | 0.576 | 281.1 | 127.2 | 0.610 | 72.1 | 30.2 |
| MP07122020q_slice_46 | 0.689 | 0.287 | 0.131 | 0.689 | 286.9 | 131.1 | 0.578 | 281.8 | 127.6 | 0.611 | 72.9 | 30.5 |
| MP07122020q_slice_47 | 0.693 | 0.287 | 0.131 | 0.693 | 286.8 | 130.7 | 0.582 | 281.8 | 127.0 | 0.610 | 71.7 | 30.0 |
| MP07122020q_slice_48 | 0.695 | 0.285 | 0.129 | 0.695 | 284.9 | 129.5 | 0.585 | 280.3 | 125.9 | 0.612 | 71.0 | 29.7 |
| MP07122020q_slice_49 | 0.697 | 0.283 | 0.128 | 0.697 | 282.8 | 128.1 | 0.587 | 278.5 | 124.8 | 0.616 | 70.1 | 29.3 |
| MP07122020q_slice_50 | 0.699 | 0.281 | 0.127 | 0.699 | 280.6 | 126.8 | 0.588 | 276.4 | 123.8 | 0.618 | 69.3 | 28.7 |
| MP07122020q_slice_51 | 0.701 | 0.279 | 0.125 | 0.701 | 278.9 | 125.3 | 0.590 | 275.0 | 122.5 | 0.619 | 68.4 | 28.3 |
| MP07122020q_slice_52 | 0.700 | 0.278 | 0.125 | 0.700 | 277.9 | 124.5 | 0.588 | 273.5 | 121.6 | 0.623 | 67.5 | 27.8 |
| MP07122020q_slice_53 | 0.705 | 0.277 | 0.123 | 0.705 | 276.8 | 123.4 | 0.591 | 272.1 | 120.3 | 0.626 | 67.7 | 27.7 |
| MP07122020q_slice_54 | 0.708 | 0.276 | 0.123 | 0.708 | 275.6 | 123.1 | 0.590 | 271.1 | 120.2 | 0.629 | 66.3 | 27.2 |
| MP07122020q_slice_55 | 0.706 | 0.272 | 0.122 | 0.706 | 272.3 | 122.3 | 0.587 | 268.4 | 119.5 | 0.629 | 66.1 | 27.4 |
| MP07122020q_slice_56 | 0.703 | 0.273 | 0.124 | 0.703 | 272.7 | 123.8 | 0.582 | 268.8 | 121.0 | 0.627 | 66.6 | 27.7 |
| MP07122020q_slice_57 | 0.690 | 0.280 | 0.129 | 0.690 | 279.9 | 128.6 | 0.574 | 275.8 | 125.6 | 0.617 | 69.8 | 30.0 |
| MP07122020q_slice_58 | 0.678 | 0.280 | 0.129 | 0.678 | 280.3 | 129.5 | 0.562 | 276.2 | 126.4 | 0.607 | 72.3 | 31.8 |
| MP07122020q_slice_59 | 0.670 | 0.276 | 0.127 | 0.670 | 276.0 | 127.2 | 0.555 | 271.7 | 124.2 | 0.600 | 74.2 | 33.0 |
| MP07122020q_slice_60 | 0.674 | 0.274 | 0.125 | 0.674 | 273.6 | 124.9 | 0.559 | 268.7 | 121.7 | 0.599 | 73.9 | 32.9 |
| MP07122020q_slice_61 | 0.678 | 0.272 | 0.124 | 0.678 | 272.0 | 123.6 | 0.562 | 267.6 | 120.5 | 0.599 | 73.2 | 32.7 |
| MP07122020q_slice_62 | 0.687 | 0.269 | 0.121 | 0.687 | 269.3 | 121.3 | 0.571 | 265.2 | 118.4 | 0.600 | 71.7 | 32.1 |
| MP07122020q_slice_63 | 0.701 | 0.266 | 0.118 | 0.701 | 265.7 | 118.2 | 0.583 | 262.0 | 115.5 | 0.602 | 70.3 | 31.1 |
| MP07122020q_slice_64 | 0.711 | 0.263 | 0.116 | 0.711 | 262.6 | 115.7 | 0.594 | 259.1 | 113.1 | 0.604 | 69.5 | 30.4 |
| MP07122020q_slice_65 | 0.717 | 0.260 | 0.114 | 0.717 | 259.9 | 113.6 | 0.601 | 255.9 | 110.8 | 0.606 | 69.3 | 30.0 |
| MP07122020q_slice_66 | 0.724 | 0.254 | 0.109 | 0.724 | 254.0 | 109.3 | 0.607 | 250.5 | 106.7 | 0.608 | 68.1 | 29.2 |
| MP07122020q_slice_67 | 0.728 | 0.248 | 0.106 | 0.728 | 248.2 | 105.8 | 0.610 | 244.1 | 102.9 | 0.610 | 68.3 | 29.3 |
| MP07122020q_slice_68 | 0.731 | 0.245 | 0.104 | 0.731 | 244.6 | 103.5 | 0.612 | 240.5 | 100.9 | 0.609 | 67.8 | 29.3 |
| MP07122020q_slice_69 | 0.734 | 0.242 | 0.102 | 0.734 | 242.0 | 102.1 | 0.611 | 238.0 | 99.5 | 0.609 | 67.2 | 29.1 |
| MP07122020q_slice_70 | 0.734 | 0.241 | 0.101 | 0.734 | 240.6 | 101.2 | 0.608 | 236.5 | 98.7 | 0.609 | 67.0 | 29.2 |
| MP07122020q_slice_71 | 0.735 | 0.240 | 0.101 | 0.735 | 239.7 | 101.1 | 0.608 | 235.8 | 98.4 | 0.610 | 66.7 | 29.2 |
| MP07122020q_slice_72 | 0.731 | 0.237 | 0.100 | 0.731 | 237.0 | 100.1 | 0.604 | 233.4 | 97.5 | 0.612 | 66.9 | 29.5 |
| MP07122020q_slice_73 | 0.734 | 0.234 | 0.098 | 0.734 | 234.2 | 97.9 | 0.606 | 230.5 | 95.2 | 0.617 | 67.0 | 29.4 |
| MP07122020q_slice_74 | 0.737 | 0.229 | 0.094 | 0.737 | 229.1 | 94.3 | 0.609 | 225.1 | 91.4 | 0.618 | 66.2 | 28.9 |
| MP07122020q_slice_75 | 0.739 | 0.222 | 0.091 | 0.739 | 222.4 | 91.0 | 0.609 | 218.7 | 88.3 | 0.618 | 64.0 | 28.0 |
| MP07122020q_slice_76 | 0.738 | 0.218 | 0.089 | 0.738 | 217.8 | 88.8 | 0.608 | 214.2 | 85.9 | 0.618 | 62.8 | 27.7 |
| MP07122020q_slice_77 | 0.739 | 0.215 | 0.087 | 0.739 | 215.1 | 87.2 | 0.609 | 211.5 | 84.3 | 0.618 | 62.4 | 27.6 |
| MP07122020q_slice_78 | 0.737 | 0.213 | 0.086 | 0.737 | 212.8 | 85.8 | 0.610 | 209.1 | 82.8 | 0.618 | 62.5 | 27.6 |
| MP07122020q_slice_79 | 0.738 | 0.210 | 0.084 | 0.738 | 210.3 | 84.0 | 0.611 | 206.6 | 81.1 | 0.618 | 62.4 | 27.6 |
| MP07122020q_slice_80 | 0.740 | 0.208 | 0.083 | 0.740 | 207.9 | 82.7 | 0.612 | 204.1 | 79.8 | 0.618 | 62.2 | 27.4 |
| MP07122020q_slice_81 | 0.733 | 0.206 | 0.083 | 0.733 | 206.5 | 83.0 | 0.605 | 202.8 | 80.1 | 0.622 | 62.3 | 27.7 |
| MP07122020q_slice_82 | 0.732 | 0.205 | 0.082 | 0.732 | 204.8 | 82.5 | 0.602 | 201.4 | 79.8 | 0.621 | 62.0 | 27.6 |
| MP07122020q_slice_83 | 0.733 | 0.203 | 0.082 | 0.733 | 203.0 | 81.8 | 0.602 | 199.6 | 79.2 | 0.622 | 61.4 | 27.3 |
| MP07122020q_slice_84 | 0.731 | 0.200 | 0.081 | 0.731 | 200.5 | 81.1 | 0.599 | 197.3 | 78.7 | 0.623 | 61.5 | 27.3 |
| MP07122020q_slice_85 | 0.731 | 0.199 | 0.081 | 0.731 | 199.2 | 80.5 | 0.597 | 195.8 | 78.0 | 0.622 | 61.2 | 27.2 |
| MP07122020q_slice_86 | 0.727 | 0.200 | 0.081 | 0.727 | 199.7 | 81.2 | 0.592 | 196.2 | 78.7 | 0.622 | 62.1 | 27.6 |
| MP07122020q_slice_87 | 0.722 | 0.201 | 0.083 | 0.722 | 201.0 | 82.8 | 0.588 | 197.0 | 79.9 | 0.621 | 63.7 | 28.6 |
4Γ3 grid: Rows show different image types (Original NATIVE, Reconstructed NATIVE, Original VENOUS, Generated VENOUS), Columns show windowing techniques (No Window, Lung Window, Mediastinum Window)