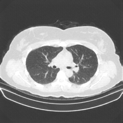
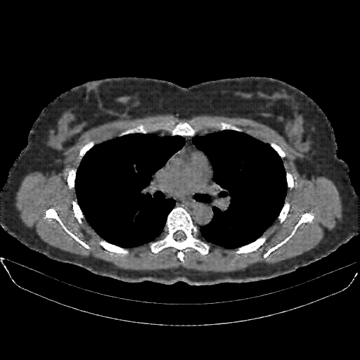
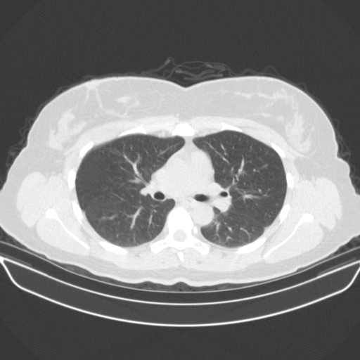
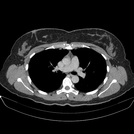
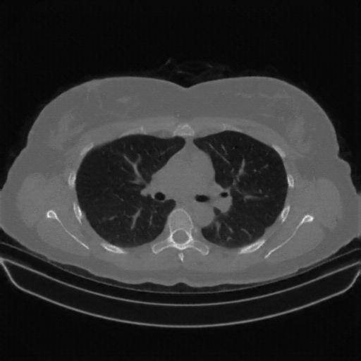
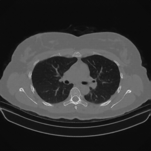
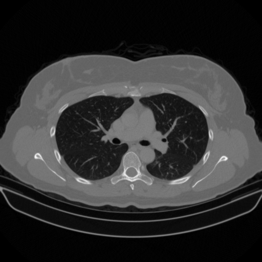
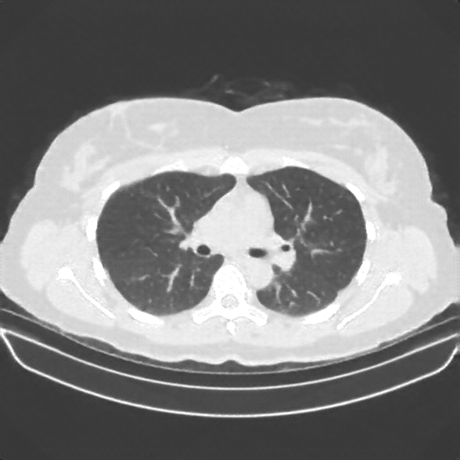
Slice 70 Targeting Evaluation
Patient ID: CV28012021
Model: cytran
Slice: Slice_70
Slice Thickness: 1.5mm
Conversion: NATIVE β VENOUS
Contains all 4 metric datasets: Network-Normalized, Hounsfield Units, Lung Window, and Mediastinum Window
| Slice ID | SSIM | RMSE | MAE | HU SSIM | HU RMSE | HU MAE | Lung SSIM | Lung RMSE | Lung MAE | Mediastinum SSIM | Mediastinum RMSE | Mediastinum MAE |
|---|---|---|---|---|---|---|---|---|---|---|---|---|
| CV28012021_slice_0 | 0.906 | 0.080 | 0.035 | 0.906 | 80.2 | 35.1 | 0.780 | 69.3 | 30.1 | 0.740 | 30.8 | 12.6 |
| CV28012021_slice_1 | 0.906 | 0.082 | 0.035 | 0.906 | 82.4 | 35.1 | 0.779 | 71.4 | 30.0 | 0.740 | 30.6 | 12.3 |
| CV28012021_slice_2 | 0.903 | 0.085 | 0.036 | 0.903 | 84.8 | 36.1 | 0.777 | 73.8 | 30.9 | 0.739 | 30.8 | 12.5 |
| CV28012021_slice_3 | 0.902 | 0.087 | 0.037 | 0.902 | 87.0 | 36.7 | 0.777 | 76.1 | 31.5 | 0.742 | 30.6 | 12.4 |
| CV28012021_slice_4 | 0.901 | 0.089 | 0.037 | 0.901 | 89.0 | 36.9 | 0.775 | 77.6 | 31.6 | 0.742 | 31.0 | 12.5 |
| CV28012021_slice_5 | 0.897 | 0.090 | 0.037 | 0.897 | 90.3 | 37.5 | 0.768 | 78.6 | 32.2 | 0.738 | 32.0 | 12.9 |
| CV28012021_slice_6 | 0.894 | 0.092 | 0.038 | 0.894 | 92.0 | 37.7 | 0.769 | 79.1 | 32.1 | 0.737 | 32.6 | 13.2 |
| CV28012021_slice_7 | 0.889 | 0.095 | 0.039 | 0.889 | 94.8 | 38.7 | 0.764 | 81.5 | 32.7 | 0.737 | 33.5 | 13.5 |
| CV28012021_slice_8 | 0.883 | 0.098 | 0.040 | 0.883 | 98.1 | 40.1 | 0.756 | 82.5 | 33.5 | 0.737 | 34.0 | 13.6 |
| CV28012021_slice_9 | 0.869 | 0.102 | 0.042 | 0.869 | 101.7 | 41.7 | 0.741 | 84.7 | 34.5 | 0.728 | 35.7 | 14.5 |
| CV28012021_slice_10 | 0.869 | 0.103 | 0.042 | 0.869 | 103.2 | 42.2 | 0.743 | 85.8 | 34.6 | 0.727 | 35.9 | 14.6 |
| CV28012021_slice_11 | 0.869 | 0.106 | 0.043 | 0.869 | 105.6 | 42.9 | 0.745 | 87.6 | 35.1 | 0.725 | 35.9 | 14.6 |
| CV28012021_slice_12 | 0.862 | 0.110 | 0.044 | 0.862 | 109.5 | 44.1 | 0.737 | 90.3 | 36.1 | 0.719 | 36.9 | 15.1 |
| CV28012021_slice_13 | 0.859 | 0.111 | 0.044 | 0.859 | 110.7 | 44.4 | 0.732 | 92.0 | 36.6 | 0.716 | 37.2 | 15.2 |
| CV28012021_slice_14 | 0.865 | 0.109 | 0.044 | 0.865 | 109.4 | 43.7 | 0.738 | 92.7 | 36.3 | 0.720 | 35.8 | 14.5 |
| CV28012021_slice_15 | 0.858 | 0.111 | 0.044 | 0.858 | 111.3 | 44.3 | 0.728 | 94.2 | 37.1 | 0.714 | 36.1 | 15.0 |
| CV28012021_slice_16 | 0.863 | 0.112 | 0.044 | 0.863 | 111.7 | 44.2 | 0.732 | 95.0 | 37.1 | 0.713 | 35.6 | 14.8 |
| CV28012021_slice_17 | 0.873 | 0.113 | 0.044 | 0.873 | 113.1 | 44.3 | 0.744 | 96.8 | 37.5 | 0.723 | 34.7 | 14.0 |
| CV28012021_slice_18 | 0.876 | 0.114 | 0.044 | 0.876 | 113.9 | 44.5 | 0.745 | 97.4 | 37.7 | 0.727 | 34.3 | 13.7 |
| CV28012021_slice_19 | 0.874 | 0.116 | 0.045 | 0.874 | 115.9 | 45.1 | 0.743 | 99.2 | 38.1 | 0.726 | 35.0 | 13.9 |
| CV28012021_slice_20 | 0.868 | 0.118 | 0.046 | 0.868 | 118.5 | 46.2 | 0.734 | 101.5 | 39.0 | 0.718 | 36.5 | 14.5 |
| CV28012021_slice_21 | 0.861 | 0.122 | 0.048 | 0.861 | 121.6 | 47.6 | 0.725 | 104.2 | 40.3 | 0.708 | 38.6 | 15.4 |
| CV28012021_slice_22 | 0.866 | 0.123 | 0.048 | 0.866 | 123.3 | 47.9 | 0.732 | 105.9 | 40.6 | 0.714 | 38.2 | 15.0 |
| CV28012021_slice_23 | 0.863 | 0.126 | 0.049 | 0.863 | 125.8 | 48.7 | 0.728 | 108.3 | 41.4 | 0.714 | 38.6 | 15.1 |
| CV28012021_slice_24 | 0.860 | 0.128 | 0.049 | 0.860 | 127.9 | 49.2 | 0.726 | 110.0 | 41.8 | 0.712 | 39.4 | 15.3 |
| CV28012021_slice_25 | 0.859 | 0.129 | 0.050 | 0.859 | 129.4 | 49.9 | 0.726 | 111.7 | 42.4 | 0.711 | 40.1 | 15.7 |
| CV28012021_slice_26 | 0.860 | 0.131 | 0.050 | 0.860 | 130.8 | 50.3 | 0.727 | 113.0 | 43.0 | 0.709 | 39.9 | 15.9 |
| CV28012021_slice_27 | 0.858 | 0.132 | 0.051 | 0.858 | 131.6 | 51.0 | 0.726 | 114.3 | 44.0 | 0.708 | 39.9 | 16.1 |
| CV28012021_slice_28 | 0.857 | 0.133 | 0.051 | 0.857 | 132.9 | 51.3 | 0.723 | 115.5 | 44.4 | 0.708 | 40.3 | 16.1 |
| CV28012021_slice_29 | 0.857 | 0.135 | 0.052 | 0.857 | 134.9 | 52.0 | 0.721 | 117.4 | 45.0 | 0.709 | 40.8 | 16.1 |
| CV28012021_slice_30 | 0.855 | 0.137 | 0.052 | 0.855 | 136.7 | 52.4 | 0.719 | 119.3 | 45.6 | 0.707 | 41.2 | 16.2 |
| CV28012021_slice_31 | 0.850 | 0.138 | 0.054 | 0.850 | 138.1 | 53.9 | 0.713 | 121.1 | 47.2 | 0.702 | 42.2 | 17.0 |
| CV28012021_slice_32 | 0.849 | 0.141 | 0.055 | 0.849 | 140.8 | 55.0 | 0.714 | 123.3 | 47.8 | 0.702 | 43.6 | 17.3 |
| CV28012021_slice_33 | 0.846 | 0.144 | 0.057 | 0.846 | 143.9 | 56.6 | 0.710 | 126.0 | 49.1 | 0.701 | 44.5 | 17.5 |
| CV28012021_slice_34 | 0.845 | 0.146 | 0.057 | 0.845 | 145.6 | 57.2 | 0.706 | 127.8 | 49.6 | 0.699 | 44.4 | 17.1 |
| CV28012021_slice_35 | 0.842 | 0.147 | 0.058 | 0.842 | 147.2 | 58.2 | 0.706 | 129.9 | 50.6 | 0.700 | 44.8 | 17.4 |
| CV28012021_slice_36 | 0.840 | 0.150 | 0.059 | 0.840 | 149.5 | 59.4 | 0.704 | 132.7 | 51.9 | 0.693 | 45.8 | 17.9 |
| CV28012021_slice_37 | 0.839 | 0.152 | 0.060 | 0.839 | 151.8 | 60.1 | 0.705 | 135.5 | 52.6 | 0.692 | 46.2 | 18.0 |
| CV28012021_slice_38 | 0.833 | 0.154 | 0.062 | 0.833 | 153.9 | 61.6 | 0.697 | 138.8 | 54.6 | 0.687 | 47.4 | 18.9 |
| CV28012021_slice_39 | 0.833 | 0.155 | 0.062 | 0.833 | 155.0 | 62.2 | 0.696 | 141.2 | 55.7 | 0.690 | 47.8 | 18.8 |
| CV28012021_slice_40 | 0.829 | 0.156 | 0.063 | 0.829 | 156.0 | 63.3 | 0.692 | 143.4 | 57.2 | 0.686 | 48.4 | 19.4 |
| CV28012021_slice_41 | 0.820 | 0.158 | 0.065 | 0.820 | 157.6 | 65.1 | 0.683 | 145.9 | 59.3 | 0.678 | 50.2 | 20.8 |
| CV28012021_slice_42 | 0.817 | 0.159 | 0.066 | 0.817 | 158.7 | 66.1 | 0.680 | 147.3 | 60.2 | 0.674 | 51.5 | 21.4 |
| CV28012021_slice_43 | 0.813 | 0.161 | 0.068 | 0.813 | 161.0 | 67.9 | 0.676 | 149.6 | 62.1 | 0.672 | 52.7 | 22.2 |
| CV28012021_slice_44 | 0.812 | 0.162 | 0.068 | 0.812 | 161.7 | 68.4 | 0.674 | 150.6 | 62.6 | 0.670 | 52.6 | 22.2 |
| CV28012021_slice_45 | 0.818 | 0.161 | 0.067 | 0.818 | 161.4 | 67.5 | 0.681 | 151.0 | 62.0 | 0.674 | 51.2 | 21.3 |
| CV28012021_slice_46 | 0.818 | 0.163 | 0.068 | 0.818 | 162.9 | 68.0 | 0.680 | 152.8 | 62.5 | 0.674 | 51.3 | 21.1 |
| CV28012021_slice_47 | 0.819 | 0.164 | 0.068 | 0.819 | 163.9 | 68.2 | 0.684 | 153.6 | 62.5 | 0.673 | 51.1 | 20.8 |
| CV28012021_slice_48 | 0.817 | 0.165 | 0.069 | 0.817 | 165.4 | 69.0 | 0.681 | 155.2 | 63.2 | 0.674 | 51.4 | 20.8 |
| CV28012021_slice_49 | 0.816 | 0.165 | 0.069 | 0.816 | 165.0 | 69.2 | 0.678 | 155.6 | 63.4 | 0.673 | 51.1 | 20.7 |
| CV28012021_slice_50 | 0.815 | 0.164 | 0.069 | 0.815 | 163.9 | 68.7 | 0.677 | 154.0 | 62.8 | 0.672 | 51.1 | 20.7 |
| CV28012021_slice_51 | 0.815 | 0.163 | 0.068 | 0.815 | 163.1 | 68.3 | 0.676 | 153.1 | 62.4 | 0.670 | 51.3 | 20.9 |
| CV28012021_slice_52 | 0.813 | 0.161 | 0.068 | 0.813 | 161.1 | 68.1 | 0.673 | 151.5 | 62.2 | 0.670 | 50.7 | 20.9 |
| CV28012021_slice_53 | 0.815 | 0.157 | 0.066 | 0.815 | 157.4 | 66.3 | 0.677 | 148.5 | 61.0 | 0.674 | 50.2 | 20.7 |
| CV28012021_slice_54 | 0.821 | 0.152 | 0.064 | 0.821 | 152.1 | 64.2 | 0.681 | 144.1 | 59.2 | 0.677 | 48.9 | 20.1 |
| CV28012021_slice_55 | 0.826 | 0.147 | 0.063 | 0.826 | 146.9 | 62.5 | 0.682 | 139.4 | 58.0 | 0.679 | 47.6 | 19.7 |
| CV28012021_slice_56 | 0.826 | 0.144 | 0.062 | 0.826 | 144.1 | 61.8 | 0.685 | 137.0 | 57.5 | 0.684 | 47.3 | 19.8 |
| CV28012021_slice_57 | 0.828 | 0.142 | 0.060 | 0.828 | 141.8 | 60.3 | 0.688 | 135.3 | 56.3 | 0.685 | 47.1 | 19.7 |
| CV28012021_slice_58 | 0.831 | 0.138 | 0.058 | 0.831 | 137.7 | 58.4 | 0.688 | 131.4 | 54.8 | 0.686 | 46.3 | 19.2 |
| CV28012021_slice_59 | 0.836 | 0.132 | 0.057 | 0.836 | 132.4 | 56.5 | 0.689 | 126.7 | 53.1 | 0.687 | 45.0 | 18.7 |
| CV28012021_slice_60 | 0.841 | 0.127 | 0.055 | 0.841 | 127.2 | 55.3 | 0.693 | 121.4 | 51.8 | 0.690 | 43.8 | 18.2 |
| CV28012021_slice_61 | 0.842 | 0.127 | 0.055 | 0.842 | 126.8 | 55.1 | 0.695 | 121.0 | 51.7 | 0.692 | 43.4 | 18.1 |
| CV28012021_slice_62 | 0.848 | 0.124 | 0.054 | 0.848 | 124.1 | 53.7 | 0.701 | 117.9 | 50.1 | 0.699 | 42.5 | 17.3 |
| CV28012021_slice_63 | 0.852 | 0.120 | 0.052 | 0.852 | 120.2 | 51.8 | 0.707 | 113.4 | 48.0 | 0.704 | 41.4 | 16.3 |
| CV28012021_slice_64 | 0.858 | 0.115 | 0.050 | 0.858 | 115.0 | 50.2 | 0.712 | 108.1 | 46.2 | 0.707 | 40.0 | 15.7 |
| CV28012021_slice_65 | 0.862 | 0.110 | 0.049 | 0.862 | 110.2 | 49.0 | 0.714 | 103.7 | 45.3 | 0.709 | 39.4 | 15.8 |
| CV28012021_slice_66 | 0.865 | 0.106 | 0.047 | 0.865 | 105.8 | 47.1 | 0.719 | 99.5 | 43.3 | 0.713 | 38.5 | 15.2 |
| CV28012021_slice_67 | 0.870 | 0.101 | 0.045 | 0.870 | 101.5 | 45.2 | 0.727 | 95.0 | 41.3 | 0.719 | 38.0 | 14.8 |
| CV28012021_slice_68 | 0.877 | 0.097 | 0.043 | 0.877 | 96.7 | 43.5 | 0.737 | 90.1 | 39.7 | 0.727 | 37.4 | 14.5 |
| CV28012021_slice_69 | 0.881 | 0.094 | 0.043 | 0.881 | 93.6 | 42.6 | 0.741 | 87.1 | 39.1 | 0.732 | 36.1 | 14.1 |
| CV28012021_slice_70 | 0.882 | 0.092 | 0.042 | 0.882 | 92.4 | 42.4 | 0.743 | 85.7 | 38.9 | 0.736 | 35.2 | 13.9 |
| CV28012021_slice_71 | 0.882 | 0.093 | 0.043 | 0.882 | 92.5 | 42.7 | 0.744 | 85.3 | 39.1 | 0.733 | 35.7 | 14.4 |
| CV28012021_slice_72 | 0.885 | 0.091 | 0.042 | 0.885 | 90.8 | 42.3 | 0.748 | 83.3 | 38.8 | 0.731 | 35.5 | 14.5 |
| CV28012021_slice_73 | 0.890 | 0.089 | 0.041 | 0.890 | 88.9 | 40.9 | 0.758 | 81.6 | 37.6 | 0.737 | 34.3 | 13.9 |
| CV28012021_slice_74 | 0.893 | 0.089 | 0.040 | 0.893 | 89.1 | 40.3 | 0.761 | 81.7 | 37.1 | 0.737 | 34.1 | 13.6 |
| CV28012021_slice_75 | 0.893 | 0.088 | 0.040 | 0.893 | 87.6 | 40.5 | 0.760 | 80.0 | 37.2 | 0.740 | 33.6 | 13.6 |
| CV28012021_slice_76 | 0.892 | 0.088 | 0.040 | 0.892 | 87.7 | 40.0 | 0.761 | 79.8 | 36.8 | 0.744 | 33.6 | 13.3 |
| CV28012021_slice_77 | 0.892 | 0.088 | 0.040 | 0.892 | 87.9 | 40.1 | 0.761 | 79.3 | 36.7 | 0.745 | 33.5 | 13.2 |
| CV28012021_slice_78 | 0.892 | 0.087 | 0.040 | 0.892 | 86.7 | 39.9 | 0.760 | 77.9 | 36.3 | 0.743 | 33.3 | 13.2 |
| CV28012021_slice_79 | 0.893 | 0.087 | 0.040 | 0.893 | 86.6 | 40.2 | 0.759 | 77.6 | 36.6 | 0.745 | 33.7 | 13.5 |
| CV28012021_slice_80 | 0.895 | 0.086 | 0.040 | 0.895 | 85.9 | 40.0 | 0.760 | 76.9 | 36.3 | 0.749 | 33.5 | 13.2 |
| CV28012021_slice_81 | 0.891 | 0.086 | 0.040 | 0.891 | 86.4 | 40.2 | 0.757 | 77.3 | 36.4 | 0.745 | 33.9 | 13.2 |
| CV28012021_slice_82 | 0.889 | 0.087 | 0.040 | 0.889 | 87.1 | 40.2 | 0.757 | 77.9 | 36.5 | 0.743 | 34.7 | 13.6 |
| CV28012021_slice_83 | 0.887 | 0.086 | 0.040 | 0.887 | 86.2 | 40.4 | 0.757 | 77.2 | 36.7 | 0.744 | 35.3 | 13.8 |
| CV28012021_slice_84 | 0.889 | 0.085 | 0.040 | 0.889 | 85.4 | 40.0 | 0.759 | 76.3 | 36.2 | 0.745 | 35.0 | 13.7 |
| CV28012021_slice_85 | 0.892 | 0.085 | 0.040 | 0.892 | 85.4 | 39.8 | 0.762 | 76.6 | 36.3 | 0.746 | 34.7 | 13.7 |
| CV28012021_slice_86 | 0.890 | 0.086 | 0.040 | 0.890 | 86.1 | 40.4 | 0.757 | 77.9 | 37.0 | 0.738 | 35.2 | 14.1 |
| CV28012021_slice_87 | 0.889 | 0.087 | 0.041 | 0.889 | 86.9 | 40.6 | 0.758 | 78.7 | 37.3 | 0.742 | 34.9 | 13.9 |
| CV28012021_slice_88 | 0.889 | 0.087 | 0.040 | 0.889 | 86.6 | 40.2 | 0.758 | 79.0 | 37.1 | 0.742 | 34.7 | 13.8 |
| CV28012021_slice_89 | 0.887 | 0.088 | 0.041 | 0.887 | 88.2 | 41.1 | 0.756 | 81.1 | 38.0 | 0.740 | 35.2 | 14.1 |
| CV28012021_slice_90 | 0.888 | 0.088 | 0.041 | 0.888 | 88.0 | 41.2 | 0.755 | 81.2 | 38.1 | 0.739 | 35.1 | 14.1 |
| CV28012021_slice_91 | 0.889 | 0.088 | 0.041 | 0.889 | 87.8 | 40.7 | 0.758 | 81.1 | 37.6 | 0.742 | 34.9 | 13.9 |
| CV28012021_slice_92 | 0.889 | 0.087 | 0.041 | 0.889 | 87.2 | 40.9 | 0.755 | 80.6 | 37.8 | 0.741 | 34.3 | 13.8 |
| CV28012021_slice_93 | 0.891 | 0.085 | 0.040 | 0.891 | 85.4 | 40.4 | 0.759 | 78.8 | 37.3 | 0.743 | 33.7 | 13.8 |
| CV28012021_slice_94 | 0.895 | 0.083 | 0.040 | 0.895 | 83.3 | 39.5 | 0.763 | 76.6 | 36.4 | 0.746 | 32.8 | 13.3 |
| CV28012021_slice_95 | 0.893 | 0.083 | 0.040 | 0.893 | 82.6 | 40.0 | 0.759 | 76.2 | 36.7 | 0.744 | 33.1 | 13.5 |
| CV28012021_slice_96 | 0.890 | 0.084 | 0.041 | 0.890 | 83.6 | 40.5 | 0.755 | 77.5 | 37.4 | 0.746 | 33.3 | 13.5 |
| CV28012021_slice_97 | 0.887 | 0.084 | 0.041 | 0.887 | 84.1 | 40.6 | 0.753 | 78.2 | 37.5 | 0.745 | 33.5 | 13.5 |
| CV28012021_slice_98 | 0.890 | 0.082 | 0.040 | 0.890 | 82.1 | 40.1 | 0.757 | 76.5 | 37.0 | 0.744 | 32.9 | 13.3 |
| CV28012021_slice_99 | 0.891 | 0.081 | 0.040 | 0.891 | 81.4 | 39.9 | 0.760 | 76.2 | 37.0 | 0.749 | 33.1 | 13.3 |
| CV28012021_slice_100 | 0.887 | 0.082 | 0.041 | 0.887 | 81.7 | 40.6 | 0.754 | 76.9 | 37.8 | 0.747 | 33.1 | 13.5 |
| CV28012021_slice_101 | 0.888 | 0.082 | 0.040 | 0.888 | 82.3 | 40.3 | 0.757 | 77.6 | 37.6 | 0.747 | 33.2 | 13.4 |
| CV28012021_slice_102 | 0.891 | 0.083 | 0.040 | 0.891 | 83.1 | 40.5 | 0.760 | 78.8 | 37.8 | 0.748 | 32.3 | 13.1 |
| CV28012021_slice_103 | 0.892 | 0.084 | 0.041 | 0.892 | 83.7 | 40.5 | 0.763 | 79.9 | 37.9 | 0.752 | 32.2 | 13.0 |
| CV28012021_slice_104 | 0.893 | 0.084 | 0.040 | 0.893 | 84.4 | 40.1 | 0.765 | 80.7 | 37.6 | 0.754 | 32.4 | 13.0 |
| CV28012021_slice_105 | 0.896 | 0.082 | 0.039 | 0.896 | 82.1 | 39.2 | 0.766 | 78.8 | 36.8 | 0.756 | 31.8 | 12.7 |
| CV28012021_slice_106 | 0.897 | 0.080 | 0.038 | 0.897 | 79.7 | 38.3 | 0.768 | 76.5 | 36.1 | 0.757 | 31.1 | 12.4 |
| CV28012021_slice_107 | 0.899 | 0.080 | 0.038 | 0.899 | 79.5 | 38.1 | 0.769 | 76.3 | 35.8 | 0.758 | 30.7 | 12.3 |
| CV28012021_slice_108 | 0.902 | 0.077 | 0.037 | 0.902 | 76.6 | 37.2 | 0.771 | 73.5 | 35.0 | 0.761 | 30.2 | 12.2 |
| CV28012021_slice_109 | 0.904 | 0.075 | 0.037 | 0.904 | 74.7 | 36.5 | 0.775 | 71.4 | 34.3 | 0.766 | 29.0 | 11.7 |
| CV28012021_slice_110 | 0.906 | 0.073 | 0.036 | 0.906 | 73.4 | 36.0 | 0.776 | 70.4 | 33.9 | 0.771 | 28.1 | 11.1 |
| CV28012021_slice_111 | 0.905 | 0.073 | 0.036 | 0.905 | 72.9 | 35.8 | 0.775 | 70.0 | 33.7 | 0.773 | 27.9 | 11.0 |
| CV28012021_slice_112 | 0.903 | 0.073 | 0.036 | 0.903 | 73.4 | 36.3 | 0.773 | 70.6 | 34.1 | 0.774 | 28.0 | 11.1 |
| CV28012021_slice_113 | 0.900 | 0.076 | 0.037 | 0.900 | 75.5 | 37.0 | 0.767 | 72.7 | 34.8 | 0.768 | 28.7 | 11.2 |
| CV28012021_slice_114 | 0.899 | 0.077 | 0.037 | 0.899 | 76.6 | 37.2 | 0.767 | 74.0 | 35.1 | 0.773 | 28.3 | 11.0 |
| CV28012021_slice_115 | 0.898 | 0.077 | 0.037 | 0.898 | 77.3 | 37.5 | 0.765 | 74.9 | 35.4 | 0.776 | 28.5 | 11.1 |
| CV28012021_slice_116 | 0.890 | 0.084 | 0.040 | 0.890 | 83.8 | 39.7 | 0.755 | 81.7 | 37.7 | 0.771 | 29.7 | 11.7 |
| CV28012021_slice_117 | 0.885 | 0.095 | 0.043 | 0.885 | 94.8 | 42.6 | 0.753 | 93.1 | 40.7 | 0.768 | 31.0 | 12.2 |
| CV28012021_slice_118 | 0.882 | 0.103 | 0.045 | 0.882 | 103.0 | 44.8 | 0.750 | 101.4 | 42.9 | 0.765 | 33.1 | 12.8 |
| CV28012021_slice_119 | 0.881 | 0.105 | 0.045 | 0.881 | 104.6 | 44.8 | 0.751 | 103.0 | 42.8 | 0.761 | 34.4 | 13.2 |
| CV28012021_slice_120 | 0.883 | 0.101 | 0.044 | 0.883 | 100.9 | 43.5 | 0.753 | 99.4 | 41.7 | 0.760 | 35.1 | 13.5 |
| CV28012021_slice_121 | 0.887 | 0.097 | 0.042 | 0.887 | 96.6 | 41.9 | 0.756 | 95.1 | 40.1 | 0.761 | 34.3 | 13.4 |
| CV28012021_slice_122 | 0.892 | 0.092 | 0.040 | 0.892 | 91.5 | 40.1 | 0.760 | 90.0 | 38.4 | 0.760 | 32.7 | 12.8 |
| CV28012021_slice_123 | 0.895 | 0.091 | 0.040 | 0.895 | 90.7 | 40.1 | 0.763 | 89.0 | 38.4 | 0.756 | 32.9 | 13.1 |
| CV28012021_slice_124 | 0.894 | 0.089 | 0.040 | 0.894 | 89.0 | 40.1 | 0.765 | 87.2 | 38.4 | 0.755 | 33.5 | 13.7 |
| CV28012021_slice_125 | 0.893 | 0.091 | 0.040 | 0.893 | 91.2 | 40.4 | 0.763 | 89.6 | 38.9 | 0.754 | 32.6 | 13.3 |
| CV28012021_slice_126 | 0.896 | 0.093 | 0.041 | 0.896 | 93.3 | 41.1 | 0.765 | 91.8 | 39.4 | 0.752 | 32.5 | 13.1 |
| CV28012021_slice_127 | 0.900 | 0.091 | 0.040 | 0.900 | 91.3 | 40.0 | 0.771 | 89.9 | 38.5 | 0.755 | 31.0 | 12.3 |
| CV28012021_slice_128 | 0.898 | 0.091 | 0.040 | 0.898 | 90.7 | 40.0 | 0.768 | 89.3 | 38.4 | 0.745 | 31.7 | 12.9 |
| CV28012021_slice_129 | 0.896 | 0.090 | 0.040 | 0.896 | 90.3 | 39.7 | 0.766 | 88.9 | 38.1 | 0.738 | 32.6 | 13.4 |
| CV28012021_slice_130 | 0.898 | 0.087 | 0.038 | 0.898 | 86.8 | 38.4 | 0.768 | 85.3 | 36.9 | 0.737 | 32.8 | 13.4 |
| CV28012021_slice_131 | 0.899 | 0.085 | 0.038 | 0.899 | 84.9 | 38.1 | 0.765 | 83.2 | 36.5 | 0.732 | 32.6 | 13.5 |
| CV28012021_slice_132 | 0.899 | 0.084 | 0.038 | 0.899 | 84.2 | 38.1 | 0.764 | 82.4 | 36.4 | 0.731 | 32.4 | 13.5 |
| CV28012021_slice_133 | 0.904 | 0.082 | 0.037 | 0.904 | 82.1 | 37.0 | 0.769 | 80.2 | 35.3 | 0.729 | 31.3 | 12.9 |
| CV28012021_slice_134 | 0.906 | 0.080 | 0.036 | 0.906 | 79.7 | 36.2 | 0.769 | 77.7 | 34.5 | 0.727 | 30.9 | 12.8 |
| CV28012021_slice_135 | 0.907 | 0.078 | 0.036 | 0.907 | 78.1 | 35.7 | 0.769 | 76.0 | 33.9 | 0.724 | 30.8 | 12.8 |
| CV28012021_slice_136 | 0.908 | 0.076 | 0.035 | 0.908 | 76.3 | 35.1 | 0.769 | 74.2 | 33.4 | 0.722 | 30.5 | 12.8 |
| CV28012021_slice_137 | 0.909 | 0.076 | 0.035 | 0.909 | 75.7 | 35.1 | 0.766 | 73.7 | 33.4 | 0.719 | 31.0 | 13.1 |
| CV28012021_slice_138 | 0.911 | 0.074 | 0.035 | 0.911 | 74.4 | 34.8 | 0.767 | 72.5 | 33.2 | 0.717 | 30.7 | 13.0 |
| CV28012021_slice_139 | 0.912 | 0.073 | 0.034 | 0.912 | 72.9 | 34.4 | 0.767 | 71.0 | 32.8 | 0.715 | 30.8 | 13.2 |
| CV28012021_slice_140 | 0.914 | 0.070 | 0.034 | 0.914 | 69.5 | 33.6 | 0.769 | 67.5 | 32.1 | 0.715 | 30.6 | 13.2 |
| CV28012021_slice_141 | 0.910 | 0.070 | 0.035 | 0.910 | 69.8 | 34.5 | 0.760 | 67.7 | 33.0 | 0.704 | 32.4 | 14.3 |
| CV28012021_slice_142 | 0.913 | 0.068 | 0.034 | 0.913 | 68.0 | 33.7 | 0.761 | 65.9 | 32.3 | 0.702 | 31.6 | 14.1 |
| CV28012021_slice_143 | 0.914 | 0.067 | 0.034 | 0.914 | 66.9 | 33.6 | 0.762 | 64.6 | 32.0 | 0.703 | 31.2 | 13.9 |
| CV28012021_slice_144 | 0.915 | 0.064 | 0.033 | 0.915 | 64.0 | 32.8 | 0.768 | 61.4 | 31.1 | 0.707 | 30.7 | 13.7 |
| CV28012021_slice_145 | 0.914 | 0.063 | 0.033 | 0.914 | 63.2 | 32.9 | 0.764 | 60.8 | 31.3 | 0.701 | 31.0 | 13.9 |
| CV28012021_slice_146 | 0.912 | 0.063 | 0.033 | 0.912 | 62.5 | 32.8 | 0.760 | 60.2 | 31.2 | 0.696 | 31.0 | 14.0 |
| CV28012021_slice_147 | 0.915 | 0.061 | 0.032 | 0.915 | 61.0 | 32.3 | 0.762 | 58.8 | 30.7 | 0.697 | 30.6 | 14.0 |
| CV28012021_slice_148 | 0.916 | 0.060 | 0.032 | 0.916 | 60.3 | 32.2 | 0.764 | 58.0 | 30.6 | 0.696 | 30.9 | 14.2 |
| CV28012021_slice_149 | 0.918 | 0.059 | 0.032 | 0.918 | 58.8 | 31.8 | 0.765 | 56.6 | 30.2 | 0.691 | 30.7 | 14.2 |
| CV28012021_slice_150 | 0.922 | 0.057 | 0.031 | 0.922 | 56.7 | 30.8 | 0.771 | 54.3 | 29.3 | 0.694 | 29.8 | 13.7 |
| CV28012021_slice_151 | 0.919 | 0.056 | 0.031 | 0.919 | 55.6 | 30.7 | 0.766 | 53.4 | 29.3 | 0.691 | 30.2 | 13.8 |
| CV28012021_slice_152 | 0.920 | 0.055 | 0.031 | 0.920 | 54.9 | 30.8 | 0.763 | 52.5 | 29.3 | 0.686 | 30.4 | 14.1 |
| CV28012021_slice_153 | 0.921 | 0.054 | 0.031 | 0.921 | 54.0 | 30.7 | 0.764 | 51.4 | 29.2 | 0.686 | 30.1 | 14.0 |
| CV28012021_slice_154 | 0.923 | 0.053 | 0.030 | 0.923 | 53.2 | 30.3 | 0.770 | 50.6 | 28.8 | 0.692 | 29.6 | 13.7 |
| CV28012021_slice_155 | 0.925 | 0.053 | 0.031 | 0.925 | 52.7 | 30.6 | 0.771 | 49.8 | 29.0 | 0.692 | 29.4 | 13.7 |
| CV28012021_slice_156 | 0.922 | 0.051 | 0.030 | 0.922 | 51.0 | 30.2 | 0.767 | 48.0 | 28.5 | 0.691 | 29.6 | 13.8 |
| CV28012021_slice_157 | 0.917 | 0.049 | 0.030 | 0.917 | 49.5 | 29.9 | 0.761 | 46.7 | 28.4 | 0.692 | 29.9 | 14.1 |
| CV28012021_slice_158 | 0.919 | 0.049 | 0.030 | 0.919 | 49.4 | 29.7 | 0.763 | 46.6 | 28.2 | 0.691 | 29.9 | 14.0 |
| CV28012021_slice_159 | 0.923 | 0.050 | 0.030 | 0.923 | 49.9 | 30.2 | 0.766 | 46.9 | 28.7 | 0.691 | 30.3 | 14.3 |
| CV28012021_slice_160 | 0.919 | 0.050 | 0.031 | 0.919 | 49.5 | 30.6 | 0.763 | 46.3 | 29.1 | 0.687 | 31.3 | 15.0 |
| CV28012021_slice_161 | 0.919 | 0.049 | 0.031 | 0.919 | 48.7 | 30.6 | 0.762 | 45.6 | 29.2 | 0.689 | 31.2 | 15.0 |
| CV28012021_slice_162 | 0.923 | 0.047 | 0.030 | 0.923 | 47.4 | 30.0 | 0.766 | 44.3 | 28.5 | 0.693 | 30.3 | 14.5 |
| CV28012021_slice_163 | 0.924 | 0.047 | 0.030 | 0.924 | 47.1 | 29.5 | 0.769 | 44.0 | 27.9 | 0.695 | 30.0 | 14.2 |
| CV28012021_slice_164 | 0.924 | 0.047 | 0.030 | 0.924 | 47.5 | 29.7 | 0.771 | 44.5 | 28.2 | 0.698 | 30.0 | 14.1 |
| CV28012021_slice_165 | 0.926 | 0.047 | 0.029 | 0.926 | 46.8 | 29.3 | 0.773 | 43.7 | 27.7 | 0.697 | 29.8 | 14.0 |
| CV28012021_slice_166 | 0.926 | 0.047 | 0.029 | 0.926 | 46.8 | 29.3 | 0.774 | 43.4 | 27.7 | 0.696 | 29.9 | 14.2 |
| CV28012021_slice_167 | 0.925 | 0.047 | 0.030 | 0.925 | 47.5 | 29.6 | 0.771 | 44.4 | 27.9 | 0.696 | 30.1 | 14.4 |
| CV28012021_slice_168 | 0.917 | 0.050 | 0.031 | 0.917 | 49.8 | 31.0 | 0.761 | 47.1 | 29.3 | 0.688 | 31.5 | 15.5 |
| CV28012021_slice_169 | 0.918 | 0.049 | 0.030 | 0.918 | 49.0 | 30.3 | 0.765 | 46.1 | 28.7 | 0.689 | 31.3 | 15.3 |
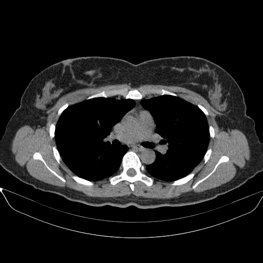
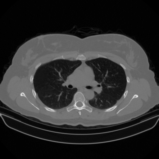
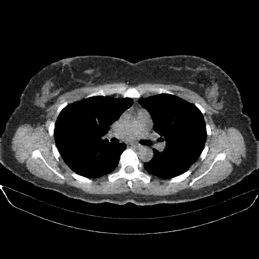
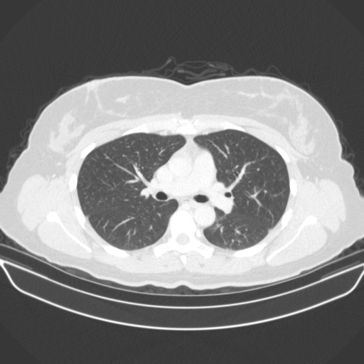
4Γ3 grid: Rows show different image types (Original NATIVE, Reconstructed NATIVE, Original VENOUS, Generated VENOUS), Columns show windowing techniques (No Window, Lung Window, Mediastinum Window)