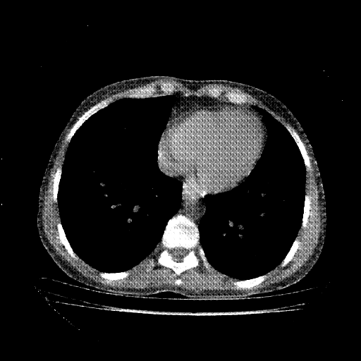
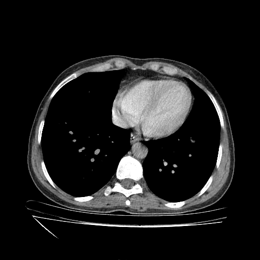
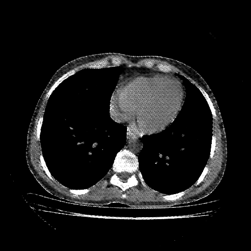
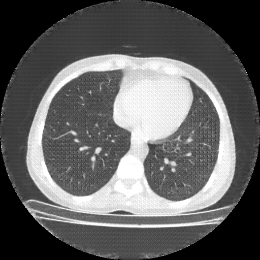
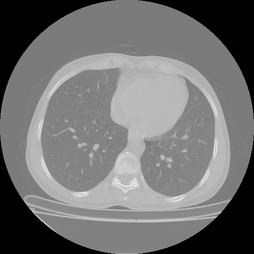
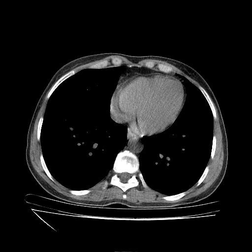
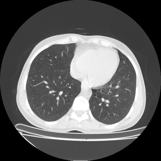
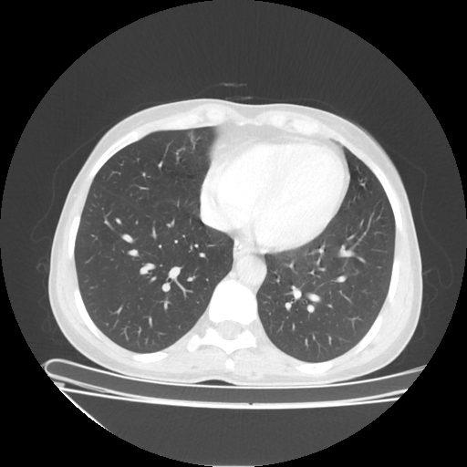
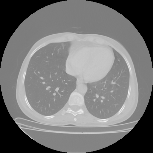
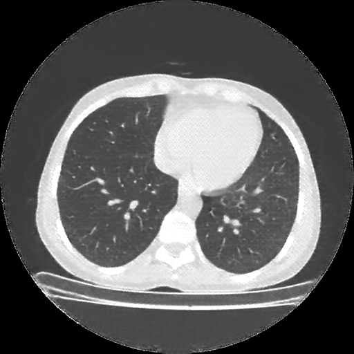
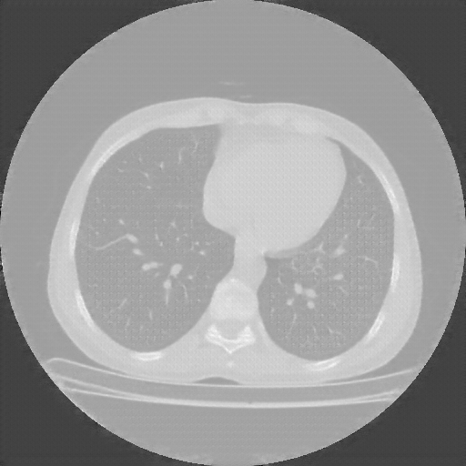
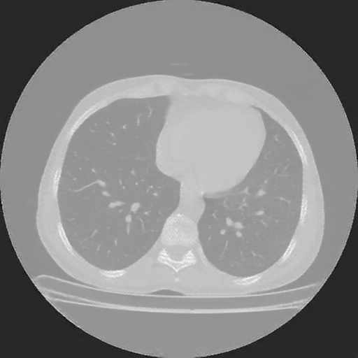
Slice 70 Targeting Evaluation
Patient ID: PP08072020
Model: cytran
Slice: Slice_70
Slice Thickness: 2.5mm
Conversion: NATIVE β VENOUS
Contains all 4 metric datasets: Network-Normalized, Hounsfield Units, Lung Window, and Mediastinum Window
| Slice ID | SSIM | RMSE | MAE | HU SSIM | HU RMSE | HU MAE | Lung SSIM | Lung RMSE | Lung MAE | Mediastinum SSIM | Mediastinum RMSE | Mediastinum MAE |
|---|---|---|---|---|---|---|---|---|---|---|---|---|
| PP08072020_slice_0 | 0.809 | 0.108 | 0.058 | 0.809 | 107.7 | 58.3 | 0.657 | 86.1 | 41.4 | 0.661 | 47.8 | 21.1 |
| PP08072020_slice_1 | 0.789 | 0.115 | 0.062 | 0.789 | 115.4 | 61.9 | 0.639 | 95.1 | 44.7 | 0.650 | 51.2 | 22.7 |
| PP08072020_slice_2 | 0.776 | 0.114 | 0.062 | 0.776 | 114.1 | 62.4 | 0.625 | 92.1 | 44.9 | 0.641 | 56.5 | 24.8 |
| PP08072020_slice_3 | 0.762 | 0.117 | 0.064 | 0.762 | 117.3 | 63.6 | 0.616 | 96.1 | 46.6 | 0.641 | 58.9 | 25.7 |
| PP08072020_slice_4 | 0.761 | 0.127 | 0.067 | 0.761 | 127.0 | 66.7 | 0.617 | 104.4 | 49.0 | 0.643 | 60.0 | 25.7 |
| PP08072020_slice_5 | 0.777 | 0.122 | 0.065 | 0.777 | 121.8 | 65.1 | 0.630 | 101.2 | 47.7 | 0.651 | 52.5 | 23.0 |
| PP08072020_slice_6 | 0.790 | 0.112 | 0.061 | 0.790 | 111.8 | 60.9 | 0.640 | 89.0 | 43.7 | 0.658 | 49.3 | 21.4 |
| PP08072020_slice_7 | 0.804 | 0.110 | 0.059 | 0.804 | 110.5 | 59.1 | 0.655 | 86.2 | 41.7 | 0.674 | 46.3 | 20.0 |
| PP08072020_slice_8 | 0.808 | 0.110 | 0.058 | 0.808 | 110.2 | 58.4 | 0.656 | 85.0 | 41.5 | 0.680 | 45.6 | 19.5 |
| PP08072020_slice_9 | 0.807 | 0.106 | 0.058 | 0.807 | 106.1 | 57.7 | 0.656 | 83.3 | 41.3 | 0.687 | 44.9 | 19.1 |
| PP08072020_slice_10 | 0.810 | 0.103 | 0.057 | 0.810 | 102.7 | 57.3 | 0.659 | 82.5 | 41.2 | 0.697 | 44.4 | 18.7 |
| PP08072020_slice_11 | 0.810 | 0.103 | 0.058 | 0.810 | 103.1 | 57.5 | 0.657 | 83.8 | 41.8 | 0.700 | 44.6 | 18.7 |
| PP08072020_slice_12 | 0.810 | 0.105 | 0.058 | 0.810 | 104.9 | 58.4 | 0.652 | 87.1 | 43.2 | 0.699 | 44.8 | 18.5 |
| PP08072020_slice_13 | 0.816 | 0.107 | 0.059 | 0.816 | 106.7 | 58.7 | 0.655 | 89.9 | 44.0 | 0.702 | 43.8 | 17.8 |
| PP08072020_slice_14 | 0.829 | 0.107 | 0.058 | 0.829 | 107.2 | 58.2 | 0.666 | 89.7 | 43.5 | 0.718 | 41.5 | 16.6 |
| PP08072020_slice_15 | 0.826 | 0.107 | 0.058 | 0.826 | 107.0 | 58.5 | 0.656 | 90.6 | 44.4 | 0.716 | 43.0 | 17.1 |
| PP08072020_slice_16 | 0.828 | 0.107 | 0.059 | 0.828 | 106.8 | 58.9 | 0.656 | 90.3 | 44.9 | 0.719 | 42.7 | 17.0 |
| PP08072020_slice_17 | 0.824 | 0.107 | 0.059 | 0.824 | 106.7 | 59.3 | 0.650 | 90.7 | 45.4 | 0.725 | 42.2 | 16.9 |
| PP08072020_slice_18 | 0.820 | 0.108 | 0.060 | 0.820 | 108.5 | 59.8 | 0.647 | 92.3 | 45.7 | 0.729 | 42.8 | 17.0 |
| PP08072020_slice_19 | 0.813 | 0.112 | 0.061 | 0.813 | 112.4 | 61.3 | 0.639 | 95.6 | 46.8 | 0.723 | 44.0 | 17.3 |
| PP08072020_slice_20 | 0.814 | 0.113 | 0.061 | 0.814 | 113.0 | 61.4 | 0.640 | 96.8 | 47.2 | 0.725 | 44.0 | 17.0 |
| PP08072020_slice_21 | 0.822 | 0.112 | 0.060 | 0.822 | 111.7 | 60.4 | 0.644 | 96.9 | 46.8 | 0.734 | 41.7 | 16.1 |
| PP08072020_slice_22 | 0.823 | 0.109 | 0.060 | 0.823 | 109.4 | 59.7 | 0.643 | 95.3 | 46.7 | 0.733 | 40.6 | 16.0 |
| PP08072020_slice_23 | 0.826 | 0.108 | 0.059 | 0.826 | 107.8 | 59.2 | 0.647 | 93.5 | 46.5 | 0.735 | 40.9 | 16.0 |
| PP08072020_slice_24 | 0.827 | 0.107 | 0.059 | 0.827 | 107.2 | 59.5 | 0.647 | 92.7 | 46.7 | 0.740 | 41.0 | 15.9 |
| PP08072020_slice_25 | 0.824 | 0.109 | 0.061 | 0.824 | 108.6 | 60.8 | 0.645 | 93.4 | 47.4 | 0.742 | 42.0 | 16.1 |
| PP08072020_slice_26 | 0.819 | 0.112 | 0.062 | 0.819 | 112.3 | 62.0 | 0.644 | 96.0 | 48.0 | 0.740 | 43.5 | 16.5 |
| PP08072020_slice_27 | 0.814 | 0.115 | 0.063 | 0.814 | 114.7 | 63.2 | 0.641 | 97.4 | 48.6 | 0.736 | 44.8 | 16.9 |
| PP08072020_slice_28 | 0.812 | 0.115 | 0.063 | 0.812 | 114.7 | 63.3 | 0.640 | 95.8 | 48.1 | 0.738 | 45.0 | 17.0 |
| PP08072020_slice_29 | 0.811 | 0.112 | 0.063 | 0.811 | 112.3 | 62.7 | 0.635 | 93.4 | 47.8 | 0.739 | 45.7 | 17.3 |
| PP08072020_slice_30 | 0.812 | 0.109 | 0.062 | 0.812 | 108.9 | 62.0 | 0.634 | 91.0 | 47.5 | 0.742 | 45.3 | 17.1 |
| PP08072020_slice_31 | 0.813 | 0.107 | 0.062 | 0.813 | 107.1 | 61.8 | 0.632 | 90.4 | 47.7 | 0.747 | 44.4 | 16.9 |
| PP08072020_slice_32 | 0.813 | 0.108 | 0.062 | 0.813 | 108.2 | 62.2 | 0.629 | 92.4 | 48.6 | 0.747 | 43.8 | 16.7 |
| PP08072020_slice_33 | 0.802 | 0.113 | 0.065 | 0.802 | 112.7 | 64.5 | 0.619 | 97.1 | 50.8 | 0.738 | 46.8 | 17.8 |
| PP08072020_slice_34 | 0.798 | 0.118 | 0.066 | 0.798 | 117.6 | 66.4 | 0.617 | 101.4 | 51.8 | 0.734 | 46.4 | 17.7 |
| PP08072020_slice_35 | 0.803 | 0.118 | 0.066 | 0.803 | 117.9 | 65.8 | 0.621 | 102.2 | 51.2 | 0.741 | 44.8 | 16.9 |
| PP08072020_slice_36 | 0.802 | 0.117 | 0.065 | 0.802 | 117.1 | 65.2 | 0.622 | 101.2 | 50.6 | 0.742 | 43.9 | 16.6 |
| PP08072020_slice_37 | 0.804 | 0.119 | 0.066 | 0.804 | 119.1 | 65.7 | 0.624 | 103.6 | 51.3 | 0.739 | 43.7 | 16.5 |
| PP08072020_slice_38 | 0.807 | 0.119 | 0.066 | 0.807 | 118.8 | 65.5 | 0.627 | 105.1 | 51.8 | 0.740 | 43.5 | 16.5 |
| PP08072020_slice_39 | 0.808 | 0.116 | 0.065 | 0.808 | 116.2 | 64.8 | 0.628 | 102.5 | 51.3 | 0.739 | 43.2 | 16.4 |
| PP08072020_slice_40 | 0.804 | 0.116 | 0.065 | 0.804 | 115.9 | 64.7 | 0.623 | 101.7 | 51.2 | 0.738 | 43.4 | 16.5 |
| PP08072020_slice_41 | 0.807 | 0.115 | 0.064 | 0.807 | 115.0 | 64.2 | 0.625 | 99.6 | 50.4 | 0.742 | 43.1 | 16.3 |
| PP08072020_slice_42 | 0.806 | 0.113 | 0.064 | 0.806 | 113.5 | 63.8 | 0.623 | 97.2 | 49.8 | 0.742 | 44.5 | 16.9 |
| PP08072020_slice_43 | 0.801 | 0.114 | 0.065 | 0.801 | 114.1 | 64.8 | 0.620 | 96.4 | 50.1 | 0.744 | 45.9 | 17.4 |
| PP08072020_slice_44 | 0.795 | 0.115 | 0.065 | 0.795 | 114.6 | 65.3 | 0.615 | 97.1 | 50.5 | 0.742 | 46.2 | 17.5 |
| PP08072020_slice_45 | 0.788 | 0.117 | 0.066 | 0.788 | 117.1 | 66.5 | 0.610 | 98.9 | 51.3 | 0.740 | 46.8 | 17.8 |
| PP08072020_slice_46 | 0.783 | 0.121 | 0.068 | 0.783 | 120.8 | 68.3 | 0.602 | 103.7 | 53.3 | 0.732 | 48.2 | 18.5 |
| PP08072020_slice_47 | 0.776 | 0.125 | 0.070 | 0.776 | 124.9 | 70.1 | 0.596 | 109.9 | 55.7 | 0.727 | 49.3 | 18.9 |
| PP08072020_slice_48 | 0.778 | 0.126 | 0.070 | 0.778 | 125.6 | 70.3 | 0.598 | 112.5 | 56.4 | 0.729 | 46.8 | 18.1 |
| PP08072020_slice_49 | 0.781 | 0.125 | 0.070 | 0.781 | 125.1 | 69.8 | 0.599 | 113.3 | 56.6 | 0.733 | 46.2 | 17.8 |
| PP08072020_slice_50 | 0.782 | 0.127 | 0.070 | 0.782 | 127.3 | 70.5 | 0.598 | 116.4 | 57.7 | 0.733 | 46.6 | 18.0 |
| PP08072020_slice_51 | 0.787 | 0.134 | 0.073 | 0.787 | 133.7 | 73.3 | 0.601 | 123.6 | 60.7 | 0.741 | 43.6 | 16.6 |
| PP08072020_slice_52 | 0.790 | 0.127 | 0.071 | 0.790 | 126.6 | 70.7 | 0.606 | 115.8 | 58.1 | 0.750 | 42.9 | 16.2 |
| PP08072020_slice_53 | 0.785 | 0.125 | 0.070 | 0.785 | 125.2 | 69.8 | 0.607 | 112.5 | 56.8 | 0.745 | 44.9 | 17.0 |
| PP08072020_slice_54 | 0.778 | 0.127 | 0.071 | 0.778 | 127.3 | 71.1 | 0.602 | 113.4 | 57.7 | 0.744 | 45.8 | 17.2 |
| PP08072020_slice_55 | 0.775 | 0.126 | 0.071 | 0.775 | 126.1 | 70.6 | 0.598 | 112.0 | 57.4 | 0.740 | 47.0 | 18.0 |
| PP08072020_slice_56 | 0.777 | 0.123 | 0.069 | 0.777 | 123.5 | 69.5 | 0.599 | 108.4 | 55.9 | 0.740 | 47.7 | 18.2 |
| PP08072020_slice_57 | 0.776 | 0.123 | 0.069 | 0.776 | 123.1 | 69.4 | 0.598 | 107.8 | 55.6 | 0.742 | 47.6 | 18.2 |
| PP08072020_slice_58 | 0.773 | 0.123 | 0.070 | 0.773 | 122.7 | 69.8 | 0.589 | 107.9 | 56.1 | 0.739 | 48.4 | 18.5 |
| PP08072020_slice_59 | 0.773 | 0.124 | 0.070 | 0.773 | 123.7 | 69.9 | 0.586 | 109.9 | 56.5 | 0.737 | 48.6 | 18.6 |
| PP08072020_slice_60 | 0.766 | 0.128 | 0.072 | 0.766 | 127.7 | 72.0 | 0.579 | 114.2 | 58.4 | 0.738 | 49.4 | 18.8 |
| PP08072020_slice_61 | 0.768 | 0.132 | 0.073 | 0.768 | 131.9 | 72.8 | 0.580 | 118.9 | 59.4 | 0.737 | 49.0 | 18.6 |
| PP08072020_slice_62 | 0.773 | 0.132 | 0.072 | 0.773 | 131.5 | 71.8 | 0.586 | 118.2 | 58.2 | 0.741 | 47.7 | 18.0 |
| PP08072020_slice_63 | 0.782 | 0.128 | 0.070 | 0.782 | 128.4 | 69.5 | 0.597 | 115.2 | 56.2 | 0.749 | 45.7 | 17.0 |
| PP08072020_slice_64 | 0.791 | 0.123 | 0.067 | 0.791 | 122.8 | 67.4 | 0.604 | 110.7 | 54.6 | 0.761 | 44.2 | 16.4 |
| PP08072020_slice_65 | 0.801 | 0.117 | 0.065 | 0.801 | 117.0 | 65.2 | 0.613 | 105.6 | 52.8 | 0.770 | 41.8 | 15.3 |
| PP08072020_slice_66 | 0.807 | 0.114 | 0.064 | 0.807 | 114.0 | 64.0 | 0.619 | 103.1 | 51.8 | 0.778 | 39.9 | 14.5 |
| PP08072020_slice_67 | 0.804 | 0.115 | 0.064 | 0.804 | 114.7 | 64.2 | 0.616 | 103.5 | 51.9 | 0.780 | 40.3 | 14.5 |
| PP08072020_slice_68 | 0.797 | 0.117 | 0.066 | 0.797 | 117.1 | 65.6 | 0.609 | 105.6 | 53.1 | 0.778 | 42.0 | 15.0 |
| PP08072020_slice_69 | 0.794 | 0.120 | 0.067 | 0.794 | 120.0 | 66.7 | 0.607 | 107.7 | 53.8 | 0.775 | 42.4 | 15.0 |
| PP08072020_slice_70 | 0.795 | 0.120 | 0.067 | 0.795 | 119.9 | 66.7 | 0.609 | 106.8 | 53.6 | 0.778 | 42.9 | 15.0 |
| PP08072020_slice_71 | 0.794 | 0.121 | 0.067 | 0.794 | 120.9 | 66.7 | 0.609 | 107.8 | 53.6 | 0.776 | 43.1 | 14.9 |
| PP08072020_slice_72 | 0.792 | 0.122 | 0.067 | 0.792 | 121.9 | 67.4 | 0.607 | 108.3 | 54.0 | 0.777 | 43.0 | 15.0 |
| PP08072020_slice_73 | 0.791 | 0.123 | 0.068 | 0.791 | 123.3 | 67.8 | 0.605 | 109.3 | 54.4 | 0.778 | 43.2 | 15.0 |
| PP08072020_slice_74 | 0.793 | 0.122 | 0.067 | 0.793 | 121.8 | 67.5 | 0.607 | 107.2 | 53.9 | 0.780 | 43.0 | 14.8 |
| PP08072020_slice_75 | 0.797 | 0.119 | 0.066 | 0.797 | 119.3 | 66.0 | 0.613 | 104.0 | 52.2 | 0.783 | 41.7 | 14.3 |
| PP08072020_slice_76 | 0.803 | 0.116 | 0.064 | 0.803 | 115.6 | 64.5 | 0.618 | 101.2 | 51.0 | 0.788 | 40.1 | 13.7 |
| PP08072020_slice_77 | 0.803 | 0.114 | 0.064 | 0.803 | 113.6 | 63.8 | 0.619 | 100.3 | 50.8 | 0.790 | 39.4 | 13.6 |
| PP08072020_slice_78 | 0.806 | 0.109 | 0.062 | 0.806 | 109.3 | 62.3 | 0.623 | 96.8 | 49.7 | 0.795 | 38.4 | 13.3 |
| PP08072020_slice_79 | 0.814 | 0.105 | 0.060 | 0.814 | 104.8 | 60.3 | 0.629 | 93.2 | 48.1 | 0.801 | 36.2 | 12.4 |
| PP08072020_slice_80 | 0.819 | 0.103 | 0.059 | 0.819 | 102.9 | 59.2 | 0.632 | 91.8 | 47.4 | 0.802 | 35.4 | 12.2 |
| PP08072020_slice_81 | 0.818 | 0.111 | 0.062 | 0.818 | 110.6 | 62.2 | 0.631 | 100.3 | 50.3 | 0.802 | 35.5 | 12.3 |
| PP08072020_slice_82 | 0.807 | 0.141 | 0.072 | 0.807 | 141.1 | 71.8 | 0.625 | 132.8 | 59.8 | 0.785 | 38.3 | 13.5 |
| PP08072020_slice_83 | 0.794 | 0.150 | 0.076 | 0.794 | 149.8 | 76.0 | 0.619 | 142.0 | 64.1 | 0.766 | 44.4 | 16.2 |
| PP08072020_slice_84 | 0.791 | 0.147 | 0.074 | 0.791 | 147.3 | 73.8 | 0.619 | 139.0 | 62.0 | 0.754 | 47.8 | 17.6 |
| PP08072020_slice_85 | 0.794 | 0.149 | 0.074 | 0.794 | 148.9 | 73.8 | 0.621 | 140.6 | 61.9 | 0.742 | 48.4 | 18.1 |
| PP08072020_slice_86 | 0.789 | 0.155 | 0.076 | 0.789 | 155.2 | 76.3 | 0.616 | 147.0 | 64.3 | 0.730 | 49.5 | 18.9 |
| PP08072020_slice_87 | 0.783 | 0.161 | 0.078 | 0.783 | 161.3 | 78.4 | 0.613 | 153.0 | 66.3 | 0.719 | 51.0 | 19.8 |
| PP08072020_slice_88 | 0.779 | 0.164 | 0.079 | 0.779 | 164.1 | 79.4 | 0.609 | 155.8 | 67.4 | 0.711 | 52.2 | 20.5 |
| PP08072020_slice_89 | 0.781 | 0.164 | 0.079 | 0.781 | 164.3 | 79.3 | 0.610 | 155.8 | 67.3 | 0.704 | 51.9 | 20.5 |
| PP08072020_slice_90 | 0.791 | 0.160 | 0.077 | 0.791 | 160.2 | 76.9 | 0.617 | 152.5 | 65.4 | 0.703 | 50.1 | 20.1 |
| PP08072020_slice_91 | 0.798 | 0.157 | 0.075 | 0.798 | 157.0 | 74.7 | 0.623 | 149.8 | 63.7 | 0.703 | 49.1 | 19.9 |
| PP08072020_slice_92 | 0.800 | 0.158 | 0.074 | 0.800 | 157.8 | 74.3 | 0.626 | 151.1 | 63.6 | 0.703 | 48.9 | 20.0 |
| PP08072020_slice_93 | 0.793 | 0.160 | 0.075 | 0.793 | 159.9 | 75.2 | 0.621 | 153.5 | 64.5 | 0.693 | 50.4 | 20.8 |
| PP08072020_slice_94 | 0.799 | 0.157 | 0.074 | 0.799 | 157.5 | 73.8 | 0.628 | 151.1 | 63.0 | 0.690 | 50.3 | 20.8 |
| PP08072020_slice_95 | 0.797 | 0.153 | 0.072 | 0.797 | 152.5 | 71.9 | 0.628 | 146.1 | 61.3 | 0.686 | 51.0 | 21.4 |
| PP08072020_slice_96 | 0.796 | 0.148 | 0.071 | 0.796 | 148.1 | 70.7 | 0.627 | 141.2 | 60.0 | 0.673 | 51.8 | 22.0 |
| PP08072020_slice_97 | 0.797 | 0.142 | 0.069 | 0.797 | 141.8 | 68.5 | 0.624 | 134.4 | 57.8 | 0.663 | 51.5 | 22.2 |
| PP08072020_slice_98 | 0.797 | 0.135 | 0.066 | 0.797 | 134.7 | 65.8 | 0.624 | 126.5 | 55.1 | 0.657 | 51.4 | 22.5 |
| PP08072020_slice_99 | 0.796 | 0.132 | 0.065 | 0.796 | 132.2 | 64.9 | 0.625 | 123.4 | 53.9 | 0.654 | 50.3 | 22.3 |
| PP08072020_slice_100 | 0.797 | 0.132 | 0.065 | 0.797 | 131.6 | 64.7 | 0.625 | 121.9 | 53.2 | 0.649 | 49.5 | 22.0 |
| PP08072020_slice_101 | 0.804 | 0.129 | 0.063 | 0.804 | 128.9 | 63.3 | 0.629 | 119.0 | 52.0 | 0.650 | 49.0 | 21.7 |
| PP08072020_slice_102 | 0.811 | 0.124 | 0.061 | 0.811 | 124.3 | 61.2 | 0.632 | 115.0 | 50.3 | 0.650 | 47.6 | 21.2 |
| PP08072020_slice_103 | 0.815 | 0.120 | 0.060 | 0.815 | 120.0 | 59.6 | 0.634 | 110.5 | 48.7 | 0.647 | 47.5 | 21.3 |
| PP08072020_slice_104 | 0.821 | 0.112 | 0.057 | 0.821 | 112.2 | 57.1 | 0.641 | 102.4 | 46.2 | 0.651 | 46.2 | 20.9 |
| PP08072020_slice_105 | 0.831 | 0.104 | 0.054 | 0.831 | 103.6 | 53.9 | 0.653 | 93.6 | 43.1 | 0.662 | 44.0 | 19.8 |
| PP08072020_slice_106 | 0.839 | 0.098 | 0.052 | 0.839 | 98.2 | 52.2 | 0.661 | 88.0 | 41.5 | 0.670 | 43.0 | 19.3 |
| PP08072020_slice_107 | 0.843 | 0.097 | 0.052 | 0.843 | 97.5 | 51.6 | 0.666 | 87.3 | 41.0 | 0.675 | 42.5 | 19.1 |
| PP08072020_slice_108 | 0.846 | 0.098 | 0.051 | 0.846 | 97.6 | 51.3 | 0.668 | 87.4 | 40.8 | 0.676 | 41.6 | 18.7 |
| PP08072020_slice_109 | 0.844 | 0.102 | 0.052 | 0.844 | 101.5 | 52.1 | 0.666 | 91.6 | 41.6 | 0.676 | 41.6 | 18.7 |
| PP08072020_slice_110 | 0.841 | 0.104 | 0.053 | 0.841 | 103.6 | 52.8 | 0.663 | 93.4 | 42.1 | 0.672 | 42.5 | 19.1 |
| PP08072020_slice_111 | 0.839 | 0.103 | 0.053 | 0.839 | 103.1 | 53.0 | 0.660 | 92.6 | 42.1 | 0.670 | 42.3 | 19.1 |
4Γ3 grid: Rows show different image types (Original NATIVE, Reconstructed NATIVE, Original VENOUS, Generated VENOUS), Columns show windowing techniques (No Window, Lung Window, Mediastinum Window)