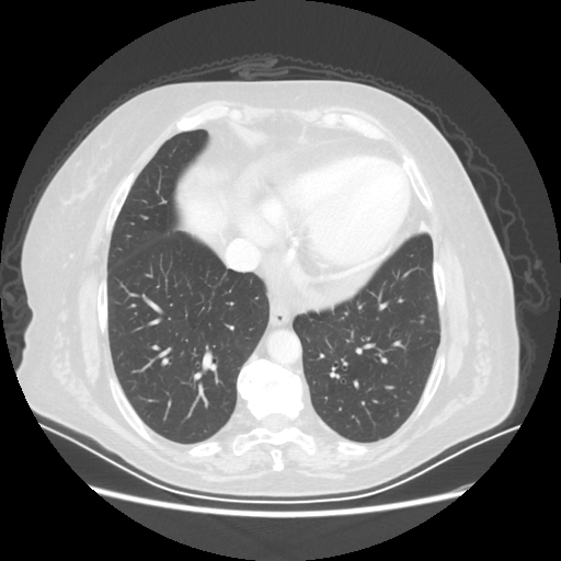
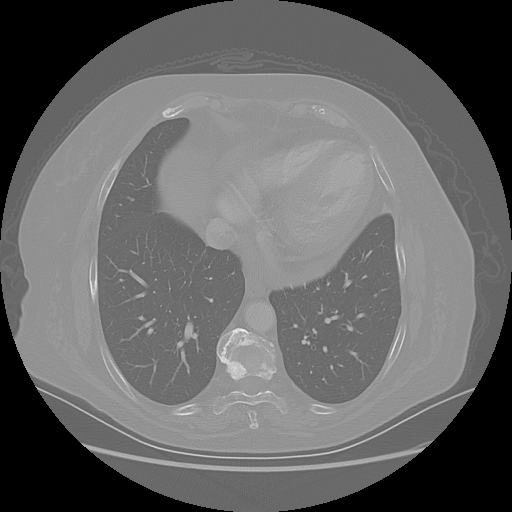
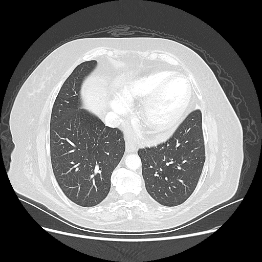
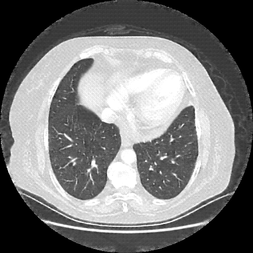
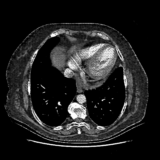
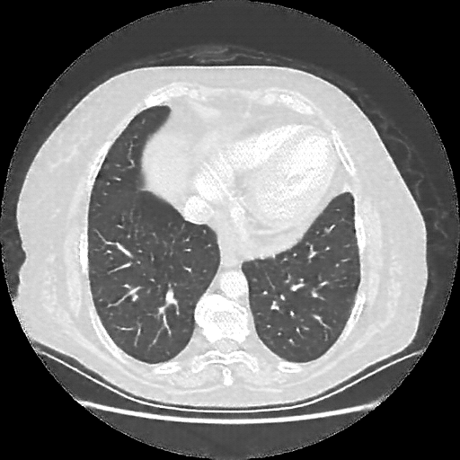
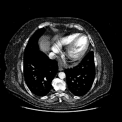
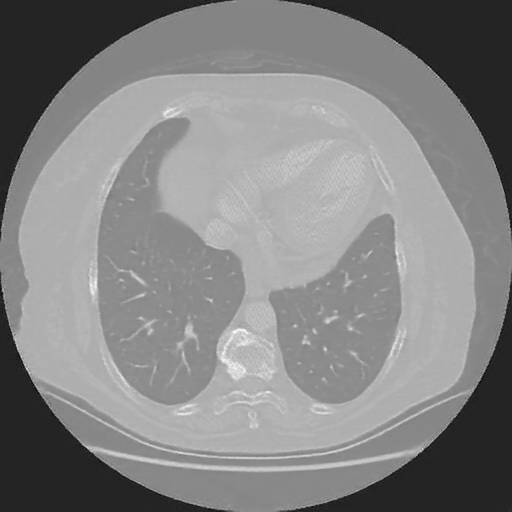
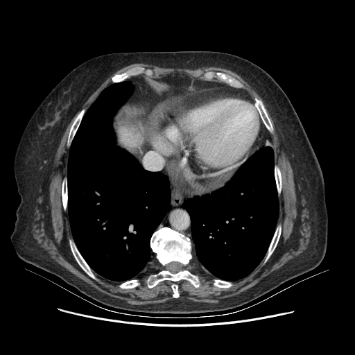
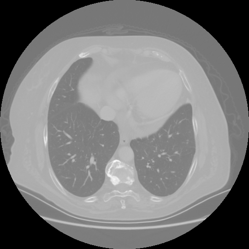
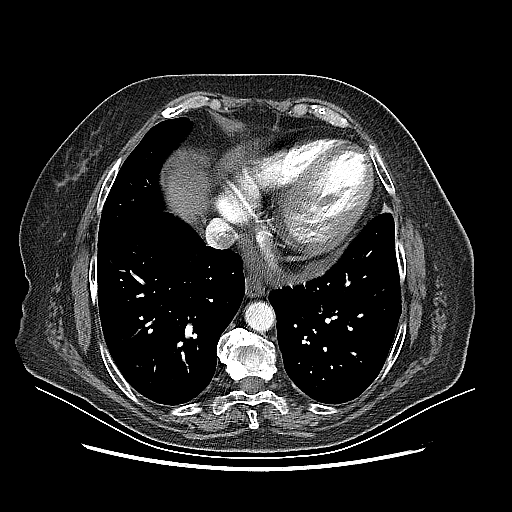
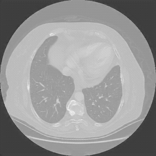
Slice 70 Targeting Evaluation
Patient ID: AB17122018
Model: cytran
Slice: Slice_70
Slice Thickness: 2.5mm
Conversion: NATIVE β VENOUS
Contains all 4 metric datasets: Network-Normalized, Hounsfield Units, Lung Window, and Mediastinum Window
| Slice ID | SSIM | RMSE | MAE | HU SSIM | HU RMSE | HU MAE | Lung SSIM | Lung RMSE | Lung MAE | Mediastinum SSIM | Mediastinum RMSE | Mediastinum MAE |
|---|---|---|---|---|---|---|---|---|---|---|---|---|
| AB17122018_slice_0 | 0.734 | 0.121 | 0.067 | 0.734 | 120.8 | 66.8 | 0.579 | 83.4 | 46.9 | 0.622 | 57.6 | 27.9 |
| AB17122018_slice_1 | 0.744 | 0.120 | 0.065 | 0.744 | 120.2 | 65.0 | 0.587 | 82.1 | 45.7 | 0.623 | 56.5 | 27.3 |
| AB17122018_slice_2 | 0.739 | 0.124 | 0.066 | 0.739 | 124.3 | 66.4 | 0.584 | 82.8 | 46.2 | 0.623 | 56.7 | 27.3 |
| AB17122018_slice_3 | 0.736 | 0.129 | 0.069 | 0.736 | 129.3 | 68.6 | 0.584 | 84.4 | 47.2 | 0.624 | 57.7 | 27.6 |
| AB17122018_slice_4 | 0.734 | 0.133 | 0.070 | 0.734 | 132.7 | 70.1 | 0.585 | 85.0 | 48.0 | 0.626 | 57.7 | 27.6 |
| AB17122018_slice_5 | 0.735 | 0.130 | 0.069 | 0.735 | 130.5 | 69.5 | 0.587 | 85.1 | 47.8 | 0.632 | 56.7 | 27.0 |
| AB17122018_slice_6 | 0.731 | 0.134 | 0.070 | 0.731 | 133.6 | 70.1 | 0.582 | 86.2 | 48.3 | 0.632 | 56.5 | 26.9 |
| AB17122018_slice_7 | 0.739 | 0.132 | 0.070 | 0.739 | 132.1 | 69.6 | 0.588 | 86.0 | 48.2 | 0.635 | 55.8 | 26.5 |
| AB17122018_slice_8 | 0.750 | 0.127 | 0.068 | 0.750 | 127.1 | 68.0 | 0.596 | 86.1 | 47.7 | 0.636 | 54.0 | 25.5 |
| AB17122018_slice_9 | 0.768 | 0.125 | 0.065 | 0.768 | 124.7 | 65.4 | 0.609 | 83.7 | 45.9 | 0.641 | 52.0 | 24.3 |
| AB17122018_slice_10 | 0.785 | 0.124 | 0.064 | 0.785 | 124.3 | 63.9 | 0.624 | 83.0 | 44.8 | 0.649 | 50.7 | 23.1 |
| AB17122018_slice_11 | 0.786 | 0.126 | 0.065 | 0.786 | 125.9 | 64.9 | 0.624 | 84.2 | 45.1 | 0.651 | 50.9 | 23.0 |
| AB17122018_slice_12 | 0.785 | 0.130 | 0.066 | 0.785 | 130.1 | 65.9 | 0.621 | 85.9 | 45.7 | 0.652 | 50.4 | 22.7 |
| AB17122018_slice_13 | 0.770 | 0.142 | 0.069 | 0.770 | 142.0 | 69.3 | 0.606 | 88.0 | 47.3 | 0.646 | 51.9 | 23.4 |
| AB17122018_slice_14 | 0.769 | 0.144 | 0.071 | 0.769 | 143.7 | 70.6 | 0.603 | 88.4 | 47.8 | 0.648 | 52.0 | 23.3 |
| AB17122018_slice_15 | 0.767 | 0.142 | 0.070 | 0.767 | 141.6 | 70.2 | 0.601 | 89.9 | 48.4 | 0.648 | 51.8 | 23.2 |
| AB17122018_slice_16 | 0.776 | 0.137 | 0.068 | 0.776 | 137.2 | 68.2 | 0.608 | 89.4 | 47.6 | 0.650 | 51.2 | 22.6 |
| AB17122018_slice_17 | 0.789 | 0.127 | 0.066 | 0.789 | 127.5 | 65.8 | 0.619 | 89.4 | 46.7 | 0.656 | 48.6 | 21.2 |
| AB17122018_slice_18 | 0.794 | 0.124 | 0.065 | 0.794 | 123.7 | 64.8 | 0.622 | 90.2 | 46.6 | 0.658 | 47.5 | 20.9 |
| AB17122018_slice_19 | 0.799 | 0.120 | 0.064 | 0.799 | 120.1 | 63.9 | 0.626 | 90.7 | 46.7 | 0.659 | 46.3 | 20.5 |
| AB17122018_slice_20 | 0.798 | 0.117 | 0.064 | 0.798 | 117.3 | 63.5 | 0.623 | 91.4 | 47.1 | 0.658 | 46.4 | 20.7 |
| AB17122018_slice_21 | 0.801 | 0.115 | 0.063 | 0.801 | 114.5 | 63.1 | 0.625 | 92.3 | 47.6 | 0.658 | 45.6 | 20.4 |
| AB17122018_slice_22 | 0.808 | 0.113 | 0.063 | 0.808 | 112.8 | 62.5 | 0.630 | 92.5 | 47.4 | 0.661 | 45.4 | 20.2 |
| AB17122018_slice_23 | 0.811 | 0.111 | 0.062 | 0.811 | 111.4 | 62.4 | 0.631 | 92.4 | 47.4 | 0.663 | 45.1 | 20.0 |
| AB17122018_slice_24 | 0.812 | 0.111 | 0.062 | 0.812 | 111.2 | 62.1 | 0.631 | 92.8 | 47.4 | 0.665 | 44.9 | 19.8 |
| AB17122018_slice_25 | 0.809 | 0.112 | 0.063 | 0.809 | 111.9 | 62.9 | 0.629 | 94.0 | 48.2 | 0.665 | 45.8 | 20.2 |
| AB17122018_slice_26 | 0.805 | 0.112 | 0.064 | 0.805 | 112.2 | 63.8 | 0.623 | 94.2 | 48.8 | 0.666 | 46.0 | 20.3 |
| AB17122018_slice_27 | 0.800 | 0.114 | 0.065 | 0.800 | 113.7 | 65.1 | 0.618 | 95.6 | 50.0 | 0.664 | 46.2 | 20.6 |
| AB17122018_slice_28 | 0.785 | 0.115 | 0.067 | 0.785 | 115.0 | 66.5 | 0.607 | 97.6 | 51.4 | 0.659 | 47.8 | 21.6 |
| AB17122018_slice_29 | 0.772 | 0.116 | 0.068 | 0.772 | 116.0 | 67.8 | 0.598 | 98.5 | 52.4 | 0.655 | 49.5 | 22.7 |
| AB17122018_slice_30 | 0.774 | 0.114 | 0.067 | 0.774 | 113.6 | 67.1 | 0.600 | 96.3 | 51.9 | 0.654 | 48.7 | 22.5 |
| AB17122018_slice_31 | 0.773 | 0.114 | 0.068 | 0.773 | 114.4 | 67.9 | 0.601 | 96.7 | 52.1 | 0.651 | 49.7 | 23.0 |
| AB17122018_slice_32 | 0.777 | 0.115 | 0.068 | 0.777 | 114.7 | 67.8 | 0.605 | 96.0 | 51.5 | 0.651 | 49.8 | 22.9 |
| AB17122018_slice_33 | 0.774 | 0.115 | 0.068 | 0.774 | 114.9 | 68.5 | 0.608 | 96.0 | 52.0 | 0.656 | 50.1 | 23.2 |
| AB17122018_slice_34 | 0.772 | 0.115 | 0.069 | 0.772 | 115.1 | 68.8 | 0.609 | 96.0 | 52.1 | 0.653 | 50.9 | 23.7 |
| AB17122018_slice_35 | 0.763 | 0.113 | 0.070 | 0.763 | 113.2 | 69.6 | 0.602 | 94.4 | 52.8 | 0.654 | 50.9 | 24.2 |
| AB17122018_slice_36 | 0.763 | 0.111 | 0.069 | 0.763 | 110.9 | 68.8 | 0.603 | 91.8 | 52.1 | 0.655 | 51.2 | 24.5 |
| AB17122018_slice_37 | 0.765 | 0.110 | 0.069 | 0.765 | 110.3 | 69.4 | 0.604 | 91.9 | 52.7 | 0.653 | 51.5 | 24.9 |
| AB17122018_slice_38 | 0.769 | 0.110 | 0.069 | 0.769 | 110.1 | 69.2 | 0.608 | 92.3 | 52.6 | 0.650 | 51.7 | 25.1 |
| AB17122018_slice_39 | 0.776 | 0.109 | 0.068 | 0.776 | 109.2 | 68.1 | 0.615 | 91.1 | 51.6 | 0.648 | 51.0 | 24.7 |
| AB17122018_slice_40 | 0.780 | 0.107 | 0.066 | 0.780 | 106.7 | 66.4 | 0.616 | 89.2 | 50.4 | 0.648 | 49.8 | 24.2 |
| AB17122018_slice_41 | 0.785 | 0.106 | 0.066 | 0.785 | 105.9 | 65.8 | 0.622 | 88.2 | 49.7 | 0.647 | 49.5 | 24.1 |
| AB17122018_slice_42 | 0.777 | 0.108 | 0.067 | 0.777 | 108.4 | 67.4 | 0.614 | 90.3 | 51.0 | 0.644 | 50.7 | 25.0 |
| AB17122018_slice_43 | 0.771 | 0.109 | 0.068 | 0.771 | 109.1 | 68.2 | 0.609 | 91.3 | 51.5 | 0.642 | 52.1 | 25.8 |
| AB17122018_slice_44 | 0.757 | 0.111 | 0.070 | 0.757 | 110.7 | 70.3 | 0.603 | 93.4 | 53.6 | 0.634 | 54.5 | 27.5 |
| AB17122018_slice_45 | 0.753 | 0.112 | 0.072 | 0.753 | 112.0 | 71.9 | 0.602 | 94.3 | 54.6 | 0.631 | 56.3 | 28.5 |
| AB17122018_slice_46 | 0.749 | 0.113 | 0.073 | 0.749 | 112.9 | 72.7 | 0.602 | 95.3 | 55.3 | 0.628 | 57.5 | 29.2 |
| AB17122018_slice_47 | 0.746 | 0.112 | 0.072 | 0.746 | 112.4 | 72.4 | 0.599 | 95.3 | 55.3 | 0.625 | 57.9 | 29.5 |
| AB17122018_slice_48 | 0.753 | 0.111 | 0.071 | 0.753 | 111.2 | 71.3 | 0.603 | 94.1 | 54.0 | 0.624 | 56.9 | 28.8 |
| AB17122018_slice_49 | 0.757 | 0.112 | 0.072 | 0.757 | 111.9 | 71.7 | 0.606 | 95.7 | 54.7 | 0.627 | 56.2 | 28.7 |
| AB17122018_slice_50 | 0.761 | 0.112 | 0.072 | 0.761 | 111.7 | 71.7 | 0.609 | 96.8 | 55.5 | 0.629 | 55.0 | 28.4 |
| AB17122018_slice_51 | 0.762 | 0.113 | 0.072 | 0.762 | 112.9 | 71.9 | 0.610 | 98.3 | 55.8 | 0.628 | 54.4 | 28.3 |
| AB17122018_slice_52 | 0.762 | 0.113 | 0.072 | 0.762 | 113.1 | 72.2 | 0.611 | 99.0 | 56.0 | 0.628 | 54.1 | 28.3 |
| AB17122018_slice_53 | 0.758 | 0.114 | 0.073 | 0.758 | 114.1 | 73.2 | 0.610 | 100.2 | 56.9 | 0.628 | 54.4 | 28.6 |
| AB17122018_slice_54 | 0.753 | 0.115 | 0.074 | 0.753 | 115.0 | 74.0 | 0.604 | 101.6 | 57.9 | 0.621 | 55.6 | 29.2 |
| AB17122018_slice_55 | 0.752 | 0.115 | 0.074 | 0.752 | 115.2 | 74.0 | 0.606 | 101.8 | 57.9 | 0.616 | 56.4 | 29.7 |
| AB17122018_slice_56 | 0.752 | 0.114 | 0.073 | 0.752 | 113.7 | 73.4 | 0.608 | 100.4 | 57.4 | 0.616 | 56.0 | 29.2 |
| AB17122018_slice_57 | 0.756 | 0.111 | 0.072 | 0.756 | 111.3 | 72.1 | 0.613 | 97.9 | 56.2 | 0.617 | 55.1 | 28.9 |
| AB17122018_slice_58 | 0.766 | 0.109 | 0.070 | 0.766 | 108.8 | 70.2 | 0.619 | 95.1 | 53.9 | 0.622 | 53.4 | 27.9 |
| AB17122018_slice_59 | 0.767 | 0.108 | 0.070 | 0.767 | 107.9 | 69.8 | 0.621 | 93.9 | 53.4 | 0.625 | 52.9 | 27.7 |
| AB17122018_slice_60 | 0.773 | 0.106 | 0.068 | 0.773 | 105.8 | 68.3 | 0.625 | 91.7 | 51.9 | 0.631 | 51.5 | 27.0 |
| AB17122018_slice_61 | 0.779 | 0.105 | 0.068 | 0.779 | 105.3 | 67.8 | 0.631 | 90.7 | 51.1 | 0.637 | 50.6 | 26.3 |
| AB17122018_slice_62 | 0.782 | 0.106 | 0.067 | 0.782 | 105.6 | 67.3 | 0.634 | 90.8 | 50.6 | 0.639 | 50.2 | 25.8 |
| AB17122018_slice_63 | 0.785 | 0.105 | 0.067 | 0.785 | 105.4 | 67.0 | 0.632 | 90.5 | 50.4 | 0.641 | 50.5 | 25.6 |
| AB17122018_slice_64 | 0.788 | 0.105 | 0.067 | 0.788 | 105.2 | 66.5 | 0.634 | 90.1 | 49.8 | 0.644 | 50.8 | 25.2 |
| AB17122018_slice_65 | 0.792 | 0.105 | 0.066 | 0.792 | 105.4 | 66.0 | 0.634 | 90.8 | 49.8 | 0.649 | 50.6 | 24.5 |
| AB17122018_slice_66 | 0.802 | 0.105 | 0.065 | 0.802 | 105.5 | 64.8 | 0.641 | 91.1 | 48.9 | 0.658 | 48.4 | 23.1 |
| AB17122018_slice_67 | 0.812 | 0.106 | 0.064 | 0.812 | 105.9 | 63.8 | 0.647 | 91.9 | 48.4 | 0.664 | 46.6 | 22.0 |
| AB17122018_slice_68 | 0.820 | 0.107 | 0.063 | 0.820 | 107.2 | 63.2 | 0.653 | 93.7 | 48.2 | 0.667 | 45.0 | 20.9 |
| AB17122018_slice_69 | 0.825 | 0.107 | 0.063 | 0.825 | 107.3 | 62.7 | 0.659 | 94.3 | 48.0 | 0.672 | 43.7 | 20.2 |
| AB17122018_slice_70 | 0.824 | 0.107 | 0.062 | 0.824 | 107.5 | 62.3 | 0.651 | 95.3 | 48.4 | 0.664 | 43.2 | 20.0 |
| AB17122018_slice_71 | 0.828 | 0.105 | 0.061 | 0.828 | 105.0 | 60.9 | 0.653 | 93.1 | 47.6 | 0.667 | 42.3 | 19.5 |
| AB17122018_slice_72 | 0.835 | 0.104 | 0.060 | 0.835 | 103.7 | 60.1 | 0.655 | 92.1 | 47.4 | 0.665 | 41.1 | 18.9 |
| AB17122018_slice_73 | 0.839 | 0.100 | 0.059 | 0.839 | 99.7 | 58.6 | 0.657 | 88.0 | 46.4 | 0.667 | 39.9 | 18.5 |
| AB17122018_slice_74 | 0.843 | 0.098 | 0.057 | 0.843 | 98.1 | 57.4 | 0.661 | 86.0 | 45.1 | 0.668 | 39.1 | 18.1 |
| AB17122018_slice_75 | 0.846 | 0.096 | 0.057 | 0.846 | 96.3 | 56.9 | 0.663 | 83.9 | 44.5 | 0.669 | 38.5 | 17.9 |
| AB17122018_slice_76 | 0.845 | 0.094 | 0.056 | 0.845 | 94.3 | 56.3 | 0.662 | 82.2 | 44.2 | 0.670 | 38.9 | 18.3 |
| AB17122018_slice_77 | 0.841 | 0.094 | 0.057 | 0.841 | 94.5 | 57.0 | 0.659 | 82.7 | 44.9 | 0.663 | 40.9 | 19.3 |
| AB17122018_slice_78 | 0.830 | 0.097 | 0.059 | 0.830 | 96.9 | 59.4 | 0.650 | 85.7 | 47.4 | 0.656 | 42.1 | 20.2 |
| AB17122018_slice_79 | 0.825 | 0.097 | 0.060 | 0.825 | 97.1 | 59.9 | 0.644 | 85.9 | 47.8 | 0.635 | 43.8 | 21.7 |
| AB17122018_slice_80 | 0.817 | 0.097 | 0.060 | 0.817 | 96.8 | 59.6 | 0.636 | 85.6 | 47.7 | 0.622 | 45.5 | 22.9 |
| AB17122018_slice_81 | 0.819 | 0.095 | 0.059 | 0.819 | 95.3 | 58.6 | 0.634 | 84.1 | 47.0 | 0.614 | 45.4 | 23.2 |
| AB17122018_slice_82 | 0.816 | 0.095 | 0.059 | 0.816 | 94.8 | 58.6 | 0.630 | 83.2 | 46.8 | 0.608 | 45.8 | 23.7 |
| AB17122018_slice_83 | 0.813 | 0.094 | 0.059 | 0.813 | 94.3 | 58.5 | 0.624 | 83.0 | 46.9 | 0.603 | 46.3 | 24.2 |
| AB17122018_slice_84 | 0.803 | 0.095 | 0.059 | 0.803 | 94.5 | 58.8 | 0.614 | 83.5 | 47.4 | 0.594 | 47.6 | 25.2 |
| AB17122018_slice_85 | 0.791 | 0.094 | 0.059 | 0.791 | 93.7 | 59.2 | 0.604 | 82.9 | 47.9 | 0.588 | 49.2 | 26.3 |
| AB17122018_slice_86 | 0.788 | 0.094 | 0.059 | 0.788 | 93.5 | 59.4 | 0.600 | 82.9 | 48.2 | 0.584 | 50.3 | 27.1 |
| AB17122018_slice_87 | 0.794 | 0.093 | 0.059 | 0.794 | 92.6 | 58.7 | 0.604 | 81.7 | 47.5 | 0.584 | 49.9 | 26.9 |
| AB17122018_slice_88 | 0.799 | 0.091 | 0.058 | 0.799 | 91.3 | 57.8 | 0.607 | 80.4 | 46.6 | 0.584 | 49.2 | 26.6 |
| AB17122018_slice_89 | 0.806 | 0.089 | 0.056 | 0.806 | 89.3 | 56.3 | 0.612 | 78.3 | 45.2 | 0.585 | 48.2 | 26.0 |
| AB17122018_slice_90 | 0.815 | 0.087 | 0.055 | 0.815 | 87.0 | 54.9 | 0.621 | 75.9 | 43.8 | 0.589 | 47.4 | 25.5 |
| AB17122018_slice_91 | 0.817 | 0.085 | 0.054 | 0.817 | 85.4 | 54.3 | 0.621 | 74.2 | 43.2 | 0.587 | 47.2 | 25.5 |
| AB17122018_slice_92 | 0.824 | 0.085 | 0.054 | 0.824 | 84.6 | 53.5 | 0.628 | 73.1 | 42.4 | 0.591 | 46.4 | 24.9 |
| AB17122018_slice_93 | 0.822 | 0.085 | 0.054 | 0.822 | 84.6 | 53.9 | 0.626 | 72.9 | 42.7 | 0.590 | 47.0 | 25.2 |
| AB17122018_slice_94 | 0.823 | 0.085 | 0.054 | 0.823 | 85.0 | 53.9 | 0.626 | 73.2 | 42.7 | 0.589 | 46.9 | 25.1 |
| AB17122018_slice_95 | 0.821 | 0.085 | 0.054 | 0.821 | 85.3 | 54.0 | 0.627 | 73.6 | 42.7 | 0.594 | 46.9 | 25.0 |
| AB17122018_slice_96 | 0.818 | 0.085 | 0.054 | 0.818 | 85.2 | 54.0 | 0.624 | 73.2 | 42.6 | 0.592 | 47.0 | 25.0 |
| AB17122018_slice_97 | 0.817 | 0.086 | 0.054 | 0.817 | 85.9 | 54.3 | 0.622 | 74.2 | 43.0 | 0.592 | 47.2 | 25.1 |
| AB17122018_slice_98 | 0.823 | 0.086 | 0.054 | 0.823 | 86.5 | 54.2 | 0.628 | 74.9 | 42.8 | 0.596 | 46.9 | 24.7 |
| AB17122018_slice_99 | 0.822 | 0.090 | 0.055 | 0.822 | 89.7 | 54.7 | 0.630 | 78.7 | 43.4 | 0.597 | 46.9 | 24.5 |
| AB17122018_slice_100 | 0.827 | 0.094 | 0.055 | 0.827 | 93.9 | 54.8 | 0.635 | 83.2 | 43.4 | 0.601 | 46.4 | 24.0 |
4Γ3 grid: Rows show different image types (Original NATIVE, Reconstructed NATIVE, Original VENOUS, Generated VENOUS), Columns show windowing techniques (No Window, Lung Window, Mediastinum Window)