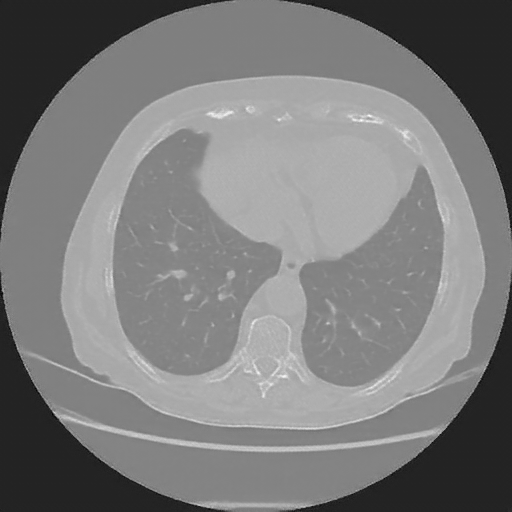
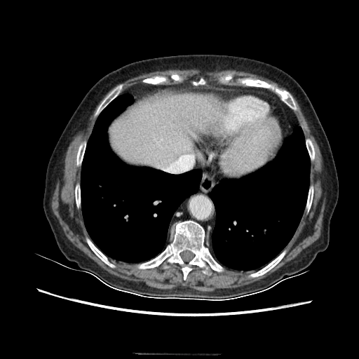
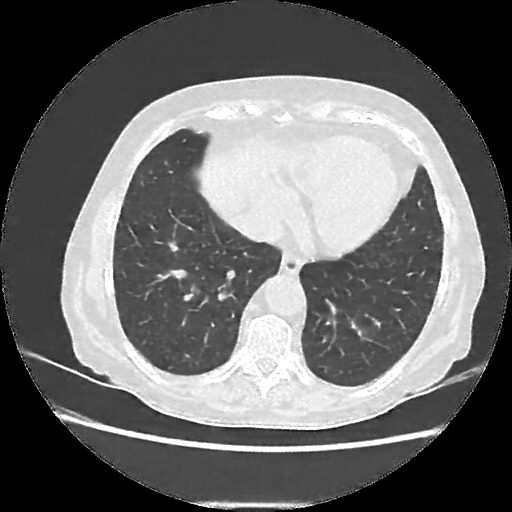
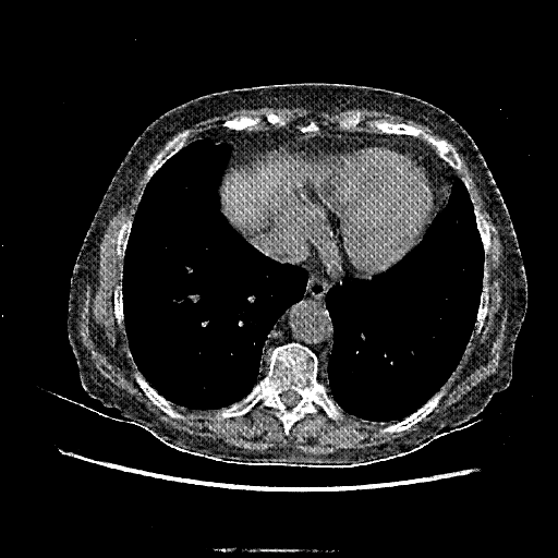
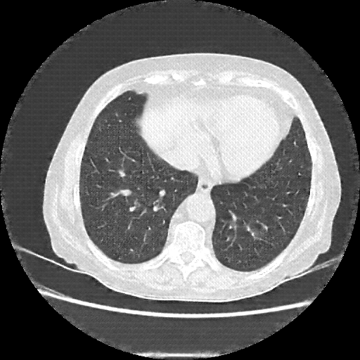
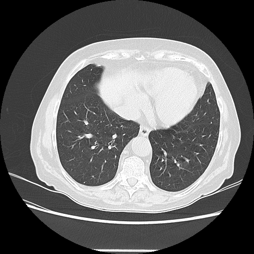
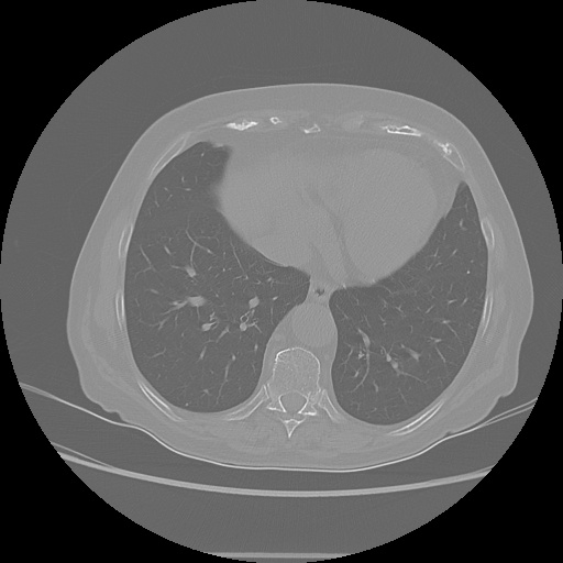
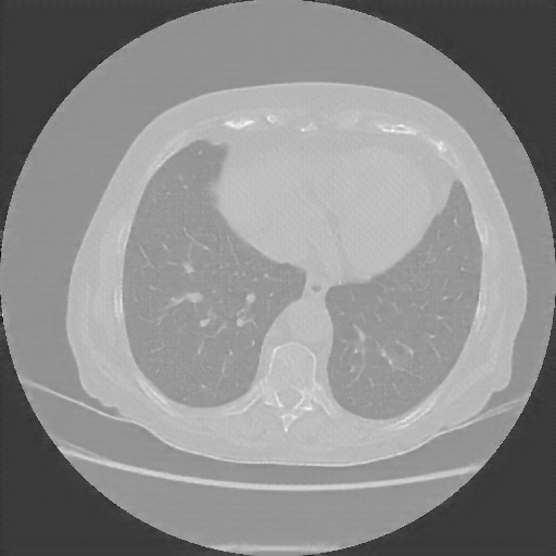
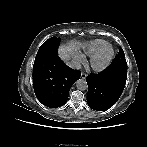
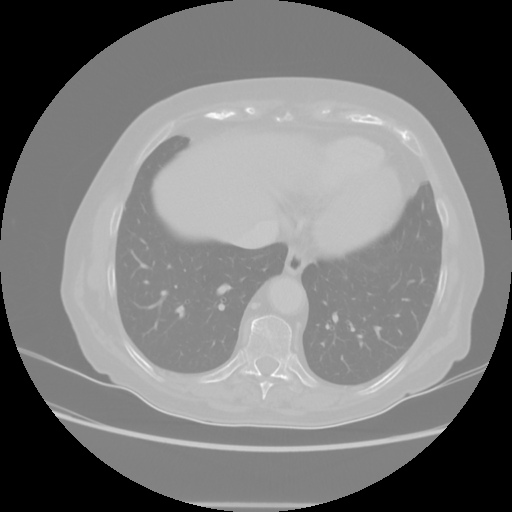
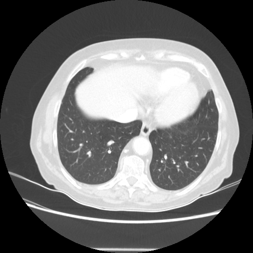
Slice 70 Targeting Evaluation
Patient ID: BC23122020
Model: cytran
Slice: Slice_70
Slice Thickness: 2.5mm
Conversion: NATIVE β VENOUS
Contains all 4 metric datasets: Network-Normalized, Hounsfield Units, Lung Window, and Mediastinum Window
| Slice ID | SSIM | RMSE | MAE | HU SSIM | HU RMSE | HU MAE | Lung SSIM | Lung RMSE | Lung MAE | Mediastinum SSIM | Mediastinum RMSE | Mediastinum MAE |
|---|---|---|---|---|---|---|---|---|---|---|---|---|
| BC23122020_slice_0 | 0.770 | 0.112 | 0.062 | 0.770 | 112.1 | 62.0 | 0.617 | 89.3 | 44.7 | 0.636 | 56.5 | 26.5 |
| BC23122020_slice_1 | 0.771 | 0.108 | 0.061 | 0.771 | 108.5 | 60.6 | 0.613 | 85.7 | 43.5 | 0.632 | 56.4 | 26.6 |
| BC23122020_slice_2 | 0.786 | 0.105 | 0.059 | 0.786 | 105.2 | 59.2 | 0.625 | 81.8 | 42.0 | 0.636 | 55.0 | 25.6 |
| BC23122020_slice_3 | 0.786 | 0.106 | 0.060 | 0.786 | 106.4 | 59.9 | 0.627 | 83.2 | 43.0 | 0.642 | 55.1 | 25.5 |
| BC23122020_slice_4 | 0.786 | 0.106 | 0.060 | 0.786 | 106.2 | 60.2 | 0.625 | 83.4 | 43.4 | 0.642 | 54.0 | 24.9 |
| BC23122020_slice_5 | 0.787 | 0.107 | 0.060 | 0.787 | 107.1 | 60.2 | 0.626 | 84.1 | 43.5 | 0.644 | 52.8 | 24.2 |
| BC23122020_slice_6 | 0.787 | 0.108 | 0.061 | 0.787 | 107.7 | 60.8 | 0.623 | 85.5 | 44.4 | 0.650 | 53.0 | 24.1 |
| BC23122020_slice_7 | 0.792 | 0.108 | 0.061 | 0.792 | 108.2 | 60.7 | 0.628 | 85.7 | 44.5 | 0.654 | 53.2 | 23.9 |
| BC23122020_slice_8 | 0.796 | 0.109 | 0.061 | 0.796 | 108.9 | 61.3 | 0.630 | 87.0 | 45.0 | 0.658 | 53.0 | 23.8 |
| BC23122020_slice_9 | 0.796 | 0.110 | 0.062 | 0.796 | 109.9 | 61.8 | 0.630 | 87.6 | 45.2 | 0.656 | 53.0 | 23.7 |
| BC23122020_slice_10 | 0.785 | 0.112 | 0.063 | 0.785 | 111.7 | 63.1 | 0.620 | 90.7 | 46.8 | 0.653 | 54.8 | 24.5 |
| BC23122020_slice_11 | 0.787 | 0.112 | 0.064 | 0.787 | 112.2 | 63.9 | 0.619 | 91.8 | 47.5 | 0.654 | 54.4 | 24.3 |
| BC23122020_slice_12 | 0.789 | 0.112 | 0.064 | 0.789 | 112.0 | 63.9 | 0.620 | 93.1 | 47.9 | 0.657 | 53.4 | 23.8 |
| BC23122020_slice_13 | 0.781 | 0.114 | 0.065 | 0.781 | 114.0 | 65.3 | 0.612 | 96.7 | 49.8 | 0.657 | 54.8 | 24.4 |
| BC23122020_slice_14 | 0.789 | 0.115 | 0.065 | 0.789 | 115.2 | 65.0 | 0.618 | 98.4 | 49.7 | 0.666 | 54.5 | 24.0 |
| BC23122020_slice_15 | 0.787 | 0.117 | 0.066 | 0.787 | 116.8 | 65.7 | 0.611 | 101.2 | 50.7 | 0.663 | 53.8 | 23.9 |
| BC23122020_slice_16 | 0.782 | 0.119 | 0.067 | 0.782 | 119.0 | 67.2 | 0.608 | 103.2 | 51.9 | 0.665 | 54.1 | 24.0 |
| BC23122020_slice_17 | 0.785 | 0.119 | 0.067 | 0.785 | 119.4 | 67.3 | 0.608 | 104.0 | 52.1 | 0.663 | 53.9 | 23.7 |
| BC23122020_slice_18 | 0.791 | 0.120 | 0.067 | 0.791 | 120.2 | 67.3 | 0.614 | 105.4 | 52.5 | 0.663 | 53.9 | 23.4 |
| BC23122020_slice_19 | 0.801 | 0.120 | 0.067 | 0.801 | 120.5 | 66.8 | 0.622 | 106.4 | 52.4 | 0.670 | 52.2 | 22.5 |
| BC23122020_slice_20 | 0.805 | 0.120 | 0.067 | 0.805 | 119.6 | 66.5 | 0.623 | 106.1 | 52.5 | 0.672 | 51.3 | 22.1 |
| BC23122020_slice_21 | 0.799 | 0.121 | 0.067 | 0.799 | 121.1 | 67.2 | 0.617 | 108.2 | 53.2 | 0.670 | 51.6 | 22.3 |
| BC23122020_slice_22 | 0.796 | 0.122 | 0.068 | 0.796 | 122.3 | 68.0 | 0.614 | 109.3 | 53.9 | 0.672 | 51.8 | 22.4 |
| BC23122020_slice_23 | 0.792 | 0.123 | 0.069 | 0.792 | 123.1 | 68.9 | 0.611 | 109.9 | 54.5 | 0.675 | 52.1 | 22.6 |
| BC23122020_slice_24 | 0.784 | 0.123 | 0.070 | 0.784 | 123.3 | 70.2 | 0.601 | 109.8 | 55.3 | 0.673 | 53.1 | 23.2 |
| BC23122020_slice_25 | 0.778 | 0.124 | 0.071 | 0.778 | 124.4 | 70.9 | 0.597 | 110.8 | 56.1 | 0.672 | 54.0 | 23.6 |
| BC23122020_slice_26 | 0.781 | 0.124 | 0.070 | 0.781 | 124.2 | 70.4 | 0.597 | 111.4 | 56.2 | 0.668 | 53.7 | 23.5 |
| BC23122020_slice_27 | 0.784 | 0.126 | 0.070 | 0.784 | 126.1 | 70.5 | 0.598 | 113.2 | 56.4 | 0.669 | 52.1 | 22.7 |
| BC23122020_slice_28 | 0.786 | 0.128 | 0.071 | 0.786 | 128.1 | 70.8 | 0.598 | 115.7 | 56.9 | 0.669 | 51.7 | 22.5 |
| BC23122020_slice_29 | 0.781 | 0.133 | 0.073 | 0.781 | 133.3 | 72.7 | 0.595 | 119.7 | 58.3 | 0.669 | 52.5 | 22.7 |
| BC23122020_slice_30 | 0.774 | 0.137 | 0.074 | 0.774 | 136.7 | 74.4 | 0.591 | 125.0 | 60.2 | 0.666 | 53.9 | 23.4 |
| BC23122020_slice_31 | 0.762 | 0.144 | 0.078 | 0.762 | 144.1 | 77.7 | 0.579 | 132.4 | 63.0 | 0.661 | 57.0 | 24.8 |
| BC23122020_slice_32 | 0.752 | 0.147 | 0.080 | 0.752 | 147.4 | 79.6 | 0.573 | 135.1 | 64.5 | 0.660 | 59.7 | 26.0 |
| BC23122020_slice_33 | 0.744 | 0.149 | 0.081 | 0.744 | 149.3 | 81.4 | 0.566 | 137.3 | 66.3 | 0.659 | 61.4 | 26.9 |
| BC23122020_slice_34 | 0.752 | 0.150 | 0.081 | 0.752 | 149.6 | 80.5 | 0.572 | 137.8 | 65.7 | 0.660 | 60.2 | 26.3 |
| BC23122020_slice_35 | 0.757 | 0.152 | 0.081 | 0.757 | 152.0 | 81.0 | 0.577 | 141.0 | 66.6 | 0.664 | 58.9 | 25.8 |
| BC23122020_slice_36 | 0.753 | 0.157 | 0.083 | 0.753 | 157.1 | 82.8 | 0.573 | 146.3 | 68.4 | 0.655 | 59.9 | 26.5 |
| BC23122020_slice_37 | 0.741 | 0.159 | 0.085 | 0.741 | 159.1 | 84.6 | 0.561 | 147.9 | 70.0 | 0.652 | 61.5 | 27.2 |
| BC23122020_slice_38 | 0.728 | 0.163 | 0.088 | 0.728 | 163.2 | 87.5 | 0.552 | 151.6 | 72.4 | 0.647 | 63.2 | 28.2 |
| BC23122020_slice_39 | 0.726 | 0.162 | 0.088 | 0.726 | 162.3 | 88.0 | 0.552 | 150.2 | 72.4 | 0.645 | 63.4 | 28.3 |
| BC23122020_slice_40 | 0.727 | 0.160 | 0.087 | 0.727 | 159.8 | 87.1 | 0.555 | 147.9 | 71.7 | 0.648 | 62.0 | 27.7 |
| BC23122020_slice_41 | 0.725 | 0.163 | 0.089 | 0.725 | 163.0 | 88.5 | 0.554 | 151.6 | 73.1 | 0.648 | 63.4 | 28.3 |
| BC23122020_slice_42 | 0.724 | 0.164 | 0.089 | 0.724 | 164.2 | 88.9 | 0.551 | 153.1 | 73.7 | 0.650 | 64.2 | 28.6 |
| BC23122020_slice_43 | 0.726 | 0.165 | 0.089 | 0.726 | 165.1 | 88.9 | 0.551 | 154.5 | 74.2 | 0.648 | 64.1 | 28.7 |
| BC23122020_slice_44 | 0.732 | 0.164 | 0.087 | 0.732 | 163.8 | 87.3 | 0.555 | 153.5 | 73.0 | 0.650 | 62.9 | 28.1 |
| BC23122020_slice_45 | 0.731 | 0.161 | 0.087 | 0.731 | 160.9 | 86.8 | 0.556 | 150.8 | 72.5 | 0.647 | 63.1 | 28.3 |
| BC23122020_slice_46 | 0.734 | 0.160 | 0.086 | 0.734 | 159.8 | 86.3 | 0.558 | 149.4 | 71.8 | 0.648 | 62.4 | 28.1 |
| BC23122020_slice_47 | 0.728 | 0.164 | 0.089 | 0.728 | 163.8 | 88.8 | 0.554 | 153.3 | 73.9 | 0.645 | 62.5 | 28.3 |
| BC23122020_slice_48 | 0.724 | 0.165 | 0.090 | 0.724 | 165.3 | 89.6 | 0.554 | 155.1 | 74.7 | 0.645 | 63.9 | 28.9 |
| BC23122020_slice_49 | 0.718 | 0.171 | 0.092 | 0.718 | 170.9 | 91.6 | 0.551 | 161.1 | 76.8 | 0.642 | 66.3 | 30.1 |
| BC23122020_slice_50 | 0.714 | 0.173 | 0.092 | 0.714 | 173.1 | 92.4 | 0.551 | 163.7 | 77.8 | 0.640 | 67.2 | 30.7 |
| BC23122020_slice_51 | 0.731 | 0.170 | 0.090 | 0.731 | 170.3 | 90.0 | 0.563 | 161.1 | 76.0 | 0.647 | 65.6 | 29.4 |
| BC23122020_slice_52 | 0.725 | 0.172 | 0.091 | 0.725 | 171.7 | 90.6 | 0.559 | 162.4 | 76.5 | 0.645 | 66.1 | 29.7 |
| BC23122020_slice_53 | 0.734 | 0.166 | 0.088 | 0.734 | 165.9 | 88.2 | 0.567 | 156.6 | 74.4 | 0.646 | 64.6 | 29.1 |
| BC23122020_slice_54 | 0.741 | 0.161 | 0.086 | 0.741 | 161.1 | 86.3 | 0.569 | 151.7 | 72.3 | 0.646 | 62.3 | 27.9 |
| BC23122020_slice_55 | 0.743 | 0.161 | 0.086 | 0.743 | 160.6 | 85.7 | 0.569 | 151.3 | 71.7 | 0.644 | 61.5 | 27.6 |
| BC23122020_slice_56 | 0.734 | 0.164 | 0.088 | 0.734 | 163.8 | 87.7 | 0.561 | 154.3 | 73.4 | 0.643 | 63.5 | 28.5 |
| BC23122020_slice_57 | 0.733 | 0.164 | 0.088 | 0.733 | 163.5 | 87.6 | 0.562 | 154.1 | 73.4 | 0.644 | 63.8 | 28.6 |
| BC23122020_slice_58 | 0.731 | 0.164 | 0.088 | 0.731 | 163.9 | 88.1 | 0.556 | 154.1 | 73.8 | 0.657 | 62.3 | 27.5 |
| BC23122020_slice_59 | 0.735 | 0.161 | 0.086 | 0.735 | 161.4 | 86.3 | 0.561 | 151.3 | 71.8 | 0.662 | 63.4 | 27.9 |
| BC23122020_slice_60 | 0.739 | 0.161 | 0.085 | 0.739 | 161.3 | 85.4 | 0.563 | 151.6 | 71.2 | 0.666 | 62.2 | 27.2 |
| BC23122020_slice_61 | 0.735 | 0.162 | 0.086 | 0.735 | 162.4 | 86.5 | 0.558 | 152.7 | 72.1 | 0.672 | 61.8 | 26.9 |
| BC23122020_slice_62 | 0.734 | 0.164 | 0.087 | 0.734 | 164.1 | 87.3 | 0.557 | 154.1 | 72.7 | 0.673 | 60.4 | 26.0 |
| BC23122020_slice_63 | 0.739 | 0.163 | 0.086 | 0.739 | 162.8 | 86.4 | 0.561 | 153.1 | 72.2 | 0.678 | 58.5 | 25.1 |
| BC23122020_slice_64 | 0.741 | 0.164 | 0.086 | 0.741 | 164.5 | 86.4 | 0.562 | 154.9 | 72.3 | 0.682 | 57.0 | 24.3 |
| BC23122020_slice_65 | 0.738 | 0.171 | 0.088 | 0.738 | 170.8 | 88.5 | 0.562 | 161.8 | 74.7 | 0.683 | 57.1 | 24.3 |
| BC23122020_slice_66 | 0.744 | 0.178 | 0.089 | 0.744 | 178.2 | 89.4 | 0.567 | 169.7 | 75.9 | 0.681 | 58.1 | 24.5 |
| BC23122020_slice_67 | 0.746 | 0.187 | 0.091 | 0.746 | 186.6 | 91.1 | 0.570 | 178.6 | 77.9 | 0.680 | 60.3 | 25.0 |
| BC23122020_slice_68 | 0.740 | 0.188 | 0.092 | 0.740 | 187.9 | 91.9 | 0.568 | 179.7 | 78.6 | 0.680 | 63.2 | 26.1 |
| BC23122020_slice_69 | 0.736 | 0.187 | 0.092 | 0.736 | 187.1 | 91.6 | 0.564 | 178.9 | 78.3 | 0.677 | 63.7 | 26.3 |
| BC23122020_slice_70 | 0.746 | 0.184 | 0.090 | 0.746 | 184.1 | 89.6 | 0.570 | 175.9 | 76.4 | 0.680 | 62.6 | 25.7 |
| BC23122020_slice_71 | 0.741 | 0.187 | 0.091 | 0.741 | 186.8 | 91.4 | 0.565 | 178.1 | 77.8 | 0.678 | 62.9 | 25.8 |
| BC23122020_slice_72 | 0.730 | 0.195 | 0.095 | 0.730 | 194.6 | 95.1 | 0.558 | 186.1 | 81.5 | 0.669 | 64.1 | 26.9 |
| BC23122020_slice_73 | 0.730 | 0.199 | 0.097 | 0.730 | 198.9 | 96.7 | 0.557 | 190.1 | 82.7 | 0.656 | 64.1 | 27.4 |
| BC23122020_slice_74 | 0.736 | 0.201 | 0.096 | 0.736 | 201.0 | 96.1 | 0.561 | 192.5 | 82.3 | 0.644 | 64.4 | 27.6 |
| BC23122020_slice_75 | 0.739 | 0.203 | 0.096 | 0.739 | 203.1 | 96.2 | 0.564 | 194.9 | 82.7 | 0.638 | 64.6 | 28.0 |
| BC23122020_slice_76 | 0.740 | 0.204 | 0.096 | 0.740 | 203.5 | 95.9 | 0.561 | 195.6 | 82.7 | 0.627 | 65.5 | 28.6 |
| BC23122020_slice_77 | 0.743 | 0.204 | 0.095 | 0.743 | 203.7 | 95.1 | 0.562 | 196.2 | 82.3 | 0.618 | 66.0 | 29.0 |
| BC23122020_slice_78 | 0.736 | 0.206 | 0.096 | 0.736 | 205.9 | 95.9 | 0.553 | 199.1 | 83.4 | 0.608 | 67.4 | 30.0 |
| BC23122020_slice_79 | 0.741 | 0.206 | 0.095 | 0.741 | 206.2 | 95.3 | 0.557 | 199.6 | 83.1 | 0.604 | 67.2 | 30.1 |
| BC23122020_slice_80 | 0.745 | 0.206 | 0.095 | 0.745 | 205.7 | 94.5 | 0.561 | 199.1 | 82.5 | 0.599 | 67.9 | 30.5 |
| BC23122020_slice_81 | 0.744 | 0.204 | 0.094 | 0.744 | 204.2 | 93.7 | 0.560 | 197.7 | 81.9 | 0.595 | 68.8 | 31.2 |
| BC23122020_slice_82 | 0.744 | 0.202 | 0.093 | 0.744 | 201.6 | 92.7 | 0.560 | 194.8 | 80.5 | 0.586 | 69.0 | 31.7 |
| BC23122020_slice_83 | 0.737 | 0.201 | 0.093 | 0.737 | 201.0 | 93.1 | 0.554 | 194.1 | 80.7 | 0.580 | 69.9 | 32.7 |
| BC23122020_slice_84 | 0.734 | 0.199 | 0.092 | 0.734 | 198.5 | 92.1 | 0.555 | 191.3 | 79.5 | 0.576 | 69.7 | 33.0 |
| BC23122020_slice_85 | 0.734 | 0.196 | 0.091 | 0.734 | 195.9 | 90.7 | 0.555 | 188.5 | 78.0 | 0.574 | 68.6 | 32.8 |
| BC23122020_slice_86 | 0.733 | 0.193 | 0.089 | 0.733 | 193.3 | 89.3 | 0.554 | 184.7 | 76.3 | 0.574 | 67.4 | 32.4 |
| BC23122020_slice_87 | 0.736 | 0.188 | 0.087 | 0.736 | 187.5 | 87.2 | 0.555 | 179.0 | 74.2 | 0.574 | 66.2 | 32.1 |
| BC23122020_slice_88 | 0.736 | 0.184 | 0.086 | 0.736 | 183.9 | 85.6 | 0.555 | 175.7 | 72.9 | 0.572 | 65.6 | 32.0 |
| BC23122020_slice_89 | 0.733 | 0.179 | 0.084 | 0.733 | 179.1 | 84.1 | 0.550 | 171.0 | 71.7 | 0.566 | 65.3 | 32.2 |
| BC23122020_slice_90 | 0.738 | 0.174 | 0.082 | 0.738 | 174.0 | 82.2 | 0.554 | 165.9 | 69.8 | 0.566 | 64.7 | 32.0 |
| BC23122020_slice_91 | 0.745 | 0.168 | 0.080 | 0.745 | 168.0 | 79.8 | 0.559 | 160.4 | 67.8 | 0.566 | 63.7 | 31.6 |
| BC23122020_slice_92 | 0.751 | 0.164 | 0.078 | 0.751 | 163.6 | 77.7 | 0.563 | 156.0 | 65.8 | 0.566 | 62.5 | 31.0 |
| BC23122020_slice_93 | 0.744 | 0.161 | 0.078 | 0.744 | 161.5 | 77.6 | 0.559 | 153.1 | 65.2 | 0.564 | 63.6 | 31.6 |
| BC23122020_slice_94 | 0.739 | 0.158 | 0.077 | 0.739 | 158.0 | 76.8 | 0.558 | 148.9 | 64.1 | 0.567 | 64.1 | 31.9 |
| BC23122020_slice_95 | 0.730 | 0.156 | 0.077 | 0.730 | 155.9 | 76.8 | 0.554 | 146.4 | 64.0 | 0.565 | 66.1 | 32.9 |
| BC23122020_slice_96 | 0.726 | 0.154 | 0.076 | 0.726 | 153.9 | 76.3 | 0.552 | 144.3 | 63.3 | 0.565 | 66.0 | 33.0 |
| BC23122020_slice_97 | 0.724 | 0.151 | 0.075 | 0.724 | 150.8 | 75.2 | 0.550 | 141.2 | 62.3 | 0.566 | 64.7 | 32.7 |
| BC23122020_slice_98 | 0.732 | 0.147 | 0.074 | 0.732 | 147.2 | 73.6 | 0.555 | 137.5 | 60.8 | 0.568 | 63.4 | 32.1 |
| BC23122020_slice_99 | 0.738 | 0.143 | 0.072 | 0.738 | 143.0 | 71.8 | 0.558 | 134.6 | 59.5 | 0.568 | 62.0 | 31.5 |
| BC23122020_slice_100 | 0.745 | 0.141 | 0.071 | 0.745 | 141.0 | 70.6 | 0.563 | 132.0 | 58.3 | 0.572 | 61.2 | 30.9 |
| BC23122020_slice_101 | 0.746 | 0.140 | 0.070 | 0.746 | 140.1 | 70.3 | 0.565 | 129.5 | 57.5 | 0.575 | 60.8 | 30.6 |
| BC23122020_slice_102 | 0.750 | 0.137 | 0.069 | 0.750 | 137.2 | 69.1 | 0.572 | 125.0 | 55.8 | 0.581 | 60.0 | 30.1 |
| BC23122020_slice_103 | 0.750 | 0.134 | 0.068 | 0.750 | 133.7 | 67.7 | 0.573 | 120.8 | 54.3 | 0.585 | 60.0 | 30.0 |
| BC23122020_slice_104 | 0.756 | 0.131 | 0.066 | 0.756 | 131.2 | 66.3 | 0.578 | 117.4 | 52.8 | 0.588 | 59.1 | 29.4 |
| BC23122020_slice_105 | 0.763 | 0.128 | 0.065 | 0.763 | 127.8 | 64.8 | 0.584 | 114.5 | 51.4 | 0.588 | 57.8 | 28.7 |
| BC23122020_slice_106 | 0.771 | 0.123 | 0.063 | 0.771 | 123.0 | 62.9 | 0.592 | 112.1 | 50.1 | 0.592 | 56.4 | 27.9 |
4Γ3 grid: Rows show different image types (Original NATIVE, Reconstructed NATIVE, Original VENOUS, Generated VENOUS), Columns show windowing techniques (No Window, Lung Window, Mediastinum Window)