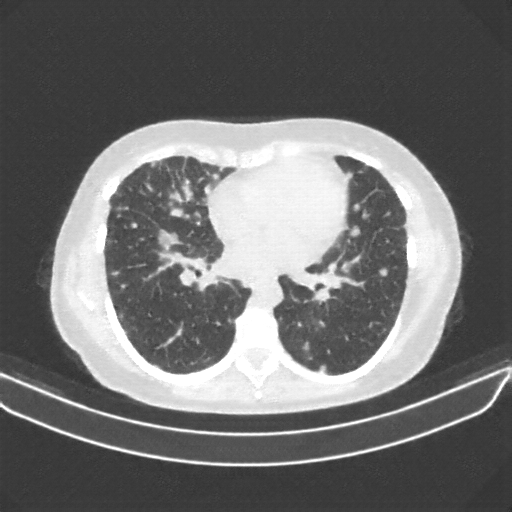
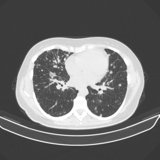
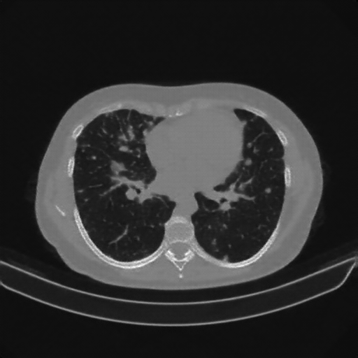
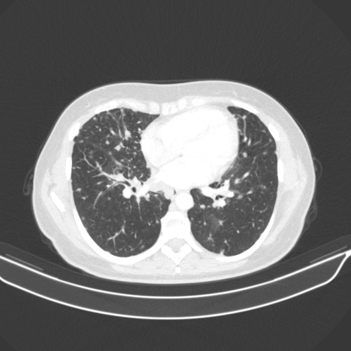
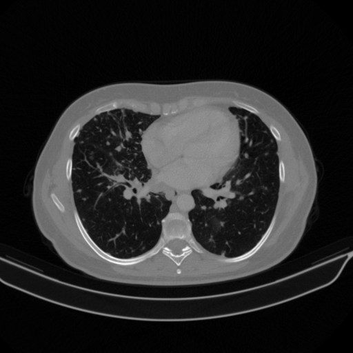
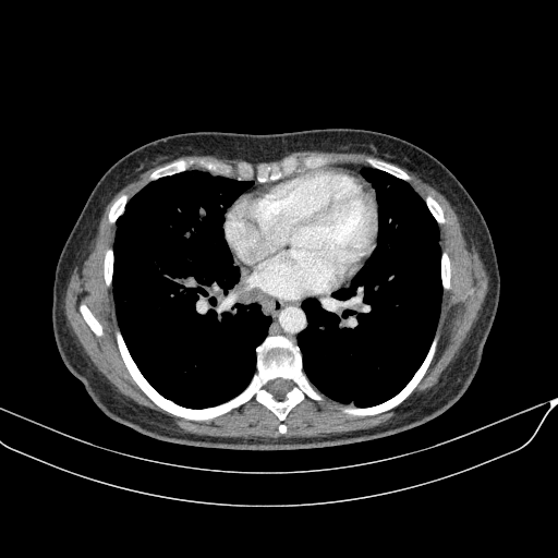
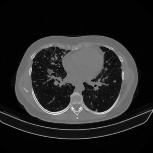
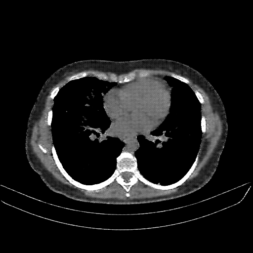
Slice 70 Targeting Evaluation
Patient ID: BM26032018
Model: cytran
Slice: Slice_70
Slice Thickness: 2.0mm
Conversion: NATIVE β VENOUS
Contains all 4 metric datasets: Network-Normalized, Hounsfield Units, Lung Window, and Mediastinum Window
| Slice ID | SSIM | RMSE | MAE | HU SSIM | HU RMSE | HU MAE | Lung SSIM | Lung RMSE | Lung MAE | Mediastinum SSIM | Mediastinum RMSE | Mediastinum MAE |
|---|---|---|---|---|---|---|---|---|---|---|---|---|
| BM26032018_slice_0 | 0.841 | 0.130 | 0.048 | 0.841 | 129.6 | 48.0 | 0.734 | 82.9 | 36.5 | 0.691 | 48.7 | 19.8 |
| BM26032018_slice_1 | 0.856 | 0.128 | 0.046 | 0.856 | 127.9 | 46.3 | 0.746 | 82.8 | 35.5 | 0.699 | 45.7 | 17.9 |
| BM26032018_slice_2 | 0.852 | 0.133 | 0.048 | 0.852 | 133.2 | 47.6 | 0.740 | 84.2 | 36.4 | 0.693 | 46.8 | 18.4 |
| BM26032018_slice_3 | 0.848 | 0.143 | 0.050 | 0.848 | 143.5 | 49.8 | 0.738 | 85.2 | 37.3 | 0.694 | 48.6 | 19.2 |
| BM26032018_slice_4 | 0.838 | 0.154 | 0.053 | 0.838 | 154.4 | 53.5 | 0.730 | 88.5 | 39.1 | 0.690 | 51.7 | 20.6 |
| BM26032018_slice_5 | 0.824 | 0.165 | 0.058 | 0.824 | 165.3 | 57.6 | 0.716 | 91.8 | 41.3 | 0.684 | 55.4 | 22.3 |
| BM26032018_slice_6 | 0.814 | 0.163 | 0.058 | 0.814 | 163.3 | 58.3 | 0.700 | 92.6 | 42.5 | 0.682 | 55.8 | 22.8 |
| BM26032018_slice_7 | 0.820 | 0.150 | 0.056 | 0.820 | 149.6 | 55.9 | 0.707 | 93.6 | 42.1 | 0.687 | 53.9 | 21.6 |
| BM26032018_slice_8 | 0.832 | 0.128 | 0.052 | 0.832 | 128.2 | 52.1 | 0.719 | 94.3 | 40.9 | 0.691 | 50.7 | 19.9 |
| BM26032018_slice_9 | 0.850 | 0.118 | 0.049 | 0.850 | 118.3 | 49.0 | 0.736 | 93.6 | 39.5 | 0.704 | 46.5 | 17.8 |
| BM26032018_slice_10 | 0.851 | 0.119 | 0.049 | 0.851 | 119.1 | 48.9 | 0.735 | 95.1 | 39.7 | 0.709 | 44.5 | 16.9 |
| BM26032018_slice_11 | 0.856 | 0.122 | 0.050 | 0.856 | 122.4 | 49.6 | 0.738 | 97.8 | 40.2 | 0.716 | 44.3 | 16.3 |
| BM26032018_slice_12 | 0.851 | 0.124 | 0.051 | 0.851 | 124.0 | 50.7 | 0.732 | 99.5 | 41.3 | 0.715 | 45.5 | 16.7 |
| BM26032018_slice_13 | 0.843 | 0.126 | 0.052 | 0.843 | 126.3 | 52.3 | 0.721 | 102.1 | 42.8 | 0.715 | 46.6 | 17.1 |
| BM26032018_slice_14 | 0.840 | 0.128 | 0.053 | 0.840 | 128.5 | 53.3 | 0.719 | 104.7 | 43.7 | 0.719 | 47.1 | 17.1 |
| BM26032018_slice_15 | 0.834 | 0.128 | 0.054 | 0.834 | 128.4 | 53.9 | 0.712 | 105.2 | 44.4 | 0.720 | 47.5 | 17.4 |
| BM26032018_slice_16 | 0.836 | 0.127 | 0.054 | 0.836 | 127.2 | 53.6 | 0.709 | 105.0 | 44.5 | 0.722 | 46.9 | 17.2 |
| BM26032018_slice_17 | 0.844 | 0.128 | 0.053 | 0.844 | 127.6 | 52.8 | 0.721 | 107.2 | 44.1 | 0.727 | 45.8 | 16.2 |
| BM26032018_slice_18 | 0.849 | 0.126 | 0.052 | 0.849 | 126.1 | 52.2 | 0.725 | 107.7 | 43.9 | 0.734 | 45.0 | 15.6 |
| BM26032018_slice_19 | 0.851 | 0.126 | 0.052 | 0.851 | 126.0 | 51.8 | 0.730 | 108.0 | 43.8 | 0.739 | 45.1 | 15.3 |
| BM26032018_slice_20 | 0.847 | 0.128 | 0.053 | 0.847 | 128.4 | 52.6 | 0.723 | 110.0 | 44.9 | 0.737 | 46.5 | 15.9 |
| BM26032018_slice_21 | 0.838 | 0.133 | 0.054 | 0.838 | 132.6 | 54.4 | 0.711 | 113.1 | 46.4 | 0.734 | 46.7 | 16.1 |
| BM26032018_slice_22 | 0.839 | 0.132 | 0.054 | 0.839 | 132.1 | 54.2 | 0.714 | 113.5 | 46.2 | 0.736 | 46.5 | 15.8 |
| BM26032018_slice_23 | 0.837 | 0.133 | 0.055 | 0.837 | 133.3 | 55.0 | 0.712 | 114.7 | 46.8 | 0.735 | 46.6 | 15.7 |
| BM26032018_slice_24 | 0.839 | 0.133 | 0.055 | 0.839 | 132.9 | 54.7 | 0.714 | 115.3 | 46.8 | 0.740 | 45.9 | 15.4 |
| BM26032018_slice_25 | 0.839 | 0.132 | 0.055 | 0.839 | 131.6 | 54.7 | 0.710 | 114.6 | 47.1 | 0.741 | 45.7 | 15.5 |
| BM26032018_slice_26 | 0.837 | 0.132 | 0.055 | 0.837 | 131.6 | 54.9 | 0.708 | 115.2 | 47.7 | 0.739 | 45.6 | 15.5 |
| BM26032018_slice_27 | 0.838 | 0.131 | 0.055 | 0.838 | 131.1 | 54.8 | 0.710 | 116.3 | 47.9 | 0.739 | 45.1 | 15.2 |
| BM26032018_slice_28 | 0.842 | 0.129 | 0.054 | 0.842 | 129.4 | 54.1 | 0.718 | 115.4 | 47.3 | 0.744 | 44.2 | 14.8 |
| BM26032018_slice_29 | 0.841 | 0.132 | 0.055 | 0.841 | 132.4 | 55.1 | 0.718 | 116.8 | 48.1 | 0.745 | 45.6 | 15.3 |
| BM26032018_slice_30 | 0.839 | 0.134 | 0.056 | 0.839 | 134.2 | 55.9 | 0.716 | 119.0 | 48.9 | 0.746 | 46.1 | 15.4 |
| BM26032018_slice_31 | 0.836 | 0.136 | 0.057 | 0.836 | 135.9 | 56.7 | 0.712 | 119.6 | 49.4 | 0.743 | 46.9 | 15.6 |
| BM26032018_slice_32 | 0.833 | 0.136 | 0.057 | 0.833 | 136.5 | 56.9 | 0.710 | 119.4 | 49.3 | 0.742 | 47.4 | 15.7 |
| BM26032018_slice_33 | 0.829 | 0.136 | 0.057 | 0.829 | 136.4 | 57.3 | 0.706 | 120.1 | 50.0 | 0.740 | 48.4 | 16.3 |
| BM26032018_slice_34 | 0.831 | 0.135 | 0.058 | 0.831 | 135.3 | 57.5 | 0.706 | 119.5 | 50.2 | 0.743 | 48.0 | 16.3 |
| BM26032018_slice_35 | 0.834 | 0.134 | 0.057 | 0.834 | 134.1 | 57.2 | 0.708 | 119.4 | 50.5 | 0.741 | 47.3 | 16.1 |
| BM26032018_slice_36 | 0.835 | 0.133 | 0.056 | 0.835 | 132.8 | 56.5 | 0.710 | 119.5 | 50.2 | 0.742 | 47.0 | 16.0 |
| BM26032018_slice_37 | 0.837 | 0.131 | 0.056 | 0.837 | 131.1 | 55.9 | 0.712 | 119.0 | 49.9 | 0.746 | 46.7 | 15.9 |
| BM26032018_slice_38 | 0.841 | 0.129 | 0.055 | 0.841 | 128.6 | 55.1 | 0.717 | 116.6 | 49.0 | 0.745 | 46.6 | 15.9 |
| BM26032018_slice_39 | 0.839 | 0.129 | 0.055 | 0.839 | 129.4 | 55.4 | 0.717 | 117.5 | 49.2 | 0.742 | 46.6 | 16.0 |
| BM26032018_slice_40 | 0.839 | 0.132 | 0.056 | 0.839 | 132.1 | 55.9 | 0.720 | 118.3 | 49.5 | 0.743 | 46.9 | 16.0 |
| BM26032018_slice_41 | 0.837 | 0.132 | 0.056 | 0.837 | 132.1 | 55.9 | 0.719 | 117.5 | 49.3 | 0.742 | 47.6 | 16.5 |
| BM26032018_slice_42 | 0.831 | 0.134 | 0.057 | 0.831 | 134.3 | 57.2 | 0.716 | 118.1 | 49.8 | 0.743 | 48.1 | 16.6 |
| BM26032018_slice_43 | 0.830 | 0.136 | 0.058 | 0.830 | 136.0 | 57.7 | 0.715 | 118.2 | 49.8 | 0.746 | 48.1 | 16.5 |
| BM26032018_slice_44 | 0.832 | 0.135 | 0.058 | 0.832 | 134.9 | 57.6 | 0.714 | 117.9 | 49.7 | 0.747 | 48.1 | 16.4 |
| BM26032018_slice_45 | 0.830 | 0.134 | 0.058 | 0.830 | 134.4 | 57.9 | 0.713 | 118.2 | 50.2 | 0.747 | 48.8 | 16.9 |
| BM26032018_slice_46 | 0.830 | 0.132 | 0.057 | 0.830 | 131.6 | 57.4 | 0.713 | 116.5 | 50.1 | 0.748 | 49.5 | 17.4 |
| BM26032018_slice_47 | 0.833 | 0.129 | 0.057 | 0.833 | 128.5 | 56.5 | 0.716 | 115.3 | 50.0 | 0.753 | 48.0 | 16.8 |
| BM26032018_slice_48 | 0.838 | 0.128 | 0.056 | 0.838 | 128.1 | 55.9 | 0.720 | 115.8 | 49.7 | 0.757 | 47.0 | 16.3 |
| BM26032018_slice_49 | 0.841 | 0.127 | 0.055 | 0.841 | 127.4 | 55.5 | 0.723 | 115.5 | 49.3 | 0.755 | 47.0 | 16.4 |
| BM26032018_slice_50 | 0.841 | 0.125 | 0.055 | 0.841 | 125.2 | 54.7 | 0.721 | 113.9 | 48.6 | 0.756 | 47.0 | 16.4 |
| BM26032018_slice_51 | 0.843 | 0.125 | 0.054 | 0.843 | 124.8 | 54.5 | 0.722 | 114.4 | 48.9 | 0.755 | 46.7 | 16.3 |
| BM26032018_slice_52 | 0.839 | 0.127 | 0.056 | 0.839 | 127.5 | 55.8 | 0.718 | 116.7 | 50.2 | 0.751 | 47.5 | 16.8 |
| BM26032018_slice_53 | 0.839 | 0.131 | 0.057 | 0.839 | 131.4 | 57.0 | 0.719 | 118.5 | 51.0 | 0.750 | 47.6 | 16.9 |
| BM26032018_slice_54 | 0.838 | 0.129 | 0.057 | 0.838 | 129.2 | 56.5 | 0.718 | 116.8 | 50.5 | 0.749 | 48.6 | 17.0 |
| BM26032018_slice_55 | 0.833 | 0.131 | 0.057 | 0.833 | 130.5 | 57.2 | 0.711 | 117.1 | 50.7 | 0.748 | 49.0 | 17.2 |
| BM26032018_slice_56 | 0.832 | 0.129 | 0.057 | 0.832 | 129.4 | 56.6 | 0.713 | 115.2 | 49.9 | 0.752 | 49.2 | 17.3 |
| BM26032018_slice_57 | 0.820 | 0.130 | 0.058 | 0.820 | 129.5 | 57.5 | 0.702 | 114.9 | 50.6 | 0.749 | 51.4 | 18.5 |
| BM26032018_slice_58 | 0.816 | 0.131 | 0.059 | 0.816 | 131.4 | 59.2 | 0.697 | 117.0 | 52.0 | 0.751 | 52.3 | 18.9 |
| BM26032018_slice_59 | 0.831 | 0.130 | 0.058 | 0.831 | 130.1 | 58.4 | 0.714 | 116.6 | 51.1 | 0.757 | 49.5 | 17.5 |
| BM26032018_slice_60 | 0.836 | 0.127 | 0.057 | 0.836 | 126.9 | 57.2 | 0.722 | 114.7 | 50.3 | 0.758 | 49.1 | 17.4 |
| BM26032018_slice_61 | 0.837 | 0.125 | 0.056 | 0.837 | 124.5 | 55.9 | 0.720 | 113.6 | 49.7 | 0.758 | 48.6 | 17.2 |
| BM26032018_slice_62 | 0.840 | 0.124 | 0.055 | 0.840 | 123.9 | 55.4 | 0.720 | 113.6 | 49.6 | 0.760 | 47.9 | 17.0 |
| BM26032018_slice_63 | 0.843 | 0.123 | 0.055 | 0.843 | 123.0 | 55.1 | 0.719 | 113.3 | 49.7 | 0.759 | 47.5 | 16.8 |
| BM26032018_slice_64 | 0.846 | 0.120 | 0.054 | 0.846 | 120.5 | 54.1 | 0.721 | 111.8 | 49.2 | 0.758 | 46.6 | 16.6 |
| BM26032018_slice_65 | 0.849 | 0.119 | 0.054 | 0.849 | 119.2 | 53.6 | 0.727 | 111.1 | 48.6 | 0.760 | 45.5 | 16.3 |
| BM26032018_slice_66 | 0.846 | 0.121 | 0.054 | 0.846 | 120.7 | 54.3 | 0.726 | 112.5 | 49.4 | 0.760 | 46.0 | 16.5 |
| BM26032018_slice_67 | 0.849 | 0.120 | 0.054 | 0.849 | 120.0 | 53.9 | 0.729 | 110.4 | 48.6 | 0.757 | 45.7 | 16.3 |
| BM26032018_slice_68 | 0.850 | 0.119 | 0.053 | 0.850 | 118.5 | 53.4 | 0.728 | 110.0 | 48.3 | 0.760 | 45.7 | 16.3 |
| BM26032018_slice_69 | 0.848 | 0.118 | 0.054 | 0.848 | 118.2 | 53.7 | 0.729 | 108.5 | 48.1 | 0.761 | 47.3 | 16.9 |
| BM26032018_slice_70 | 0.845 | 0.121 | 0.055 | 0.845 | 120.9 | 54.7 | 0.728 | 109.0 | 48.5 | 0.762 | 47.9 | 17.1 |
| BM26032018_slice_71 | 0.840 | 0.121 | 0.055 | 0.840 | 121.0 | 55.1 | 0.723 | 107.4 | 48.3 | 0.763 | 48.6 | 17.4 |
| BM26032018_slice_72 | 0.842 | 0.120 | 0.055 | 0.842 | 120.3 | 55.0 | 0.723 | 105.5 | 47.9 | 0.764 | 47.9 | 17.1 |
| BM26032018_slice_73 | 0.843 | 0.122 | 0.055 | 0.843 | 122.1 | 55.4 | 0.723 | 107.9 | 48.5 | 0.761 | 48.7 | 17.4 |
| BM26032018_slice_74 | 0.842 | 0.119 | 0.055 | 0.842 | 119.4 | 54.8 | 0.723 | 108.0 | 48.6 | 0.760 | 48.3 | 17.4 |
| BM26032018_slice_75 | 0.851 | 0.117 | 0.053 | 0.851 | 116.6 | 52.9 | 0.732 | 107.7 | 47.8 | 0.766 | 45.9 | 16.4 |
| BM26032018_slice_76 | 0.856 | 0.116 | 0.052 | 0.856 | 116.1 | 52.4 | 0.734 | 108.1 | 47.8 | 0.770 | 44.5 | 15.7 |
| BM26032018_slice_77 | 0.858 | 0.116 | 0.052 | 0.858 | 115.9 | 52.1 | 0.734 | 108.2 | 47.6 | 0.773 | 43.9 | 15.4 |
| BM26032018_slice_78 | 0.855 | 0.116 | 0.053 | 0.855 | 116.0 | 52.6 | 0.731 | 108.7 | 48.2 | 0.774 | 43.7 | 15.3 |
| BM26032018_slice_79 | 0.852 | 0.117 | 0.052 | 0.852 | 116.6 | 52.4 | 0.728 | 110.3 | 48.3 | 0.771 | 43.7 | 15.2 |
| BM26032018_slice_80 | 0.849 | 0.119 | 0.053 | 0.849 | 118.7 | 53.3 | 0.725 | 110.3 | 48.6 | 0.767 | 45.4 | 15.8 |
| BM26032018_slice_81 | 0.849 | 0.119 | 0.053 | 0.849 | 118.6 | 53.5 | 0.724 | 109.6 | 48.3 | 0.771 | 44.8 | 15.5 |
| BM26032018_slice_82 | 0.848 | 0.118 | 0.054 | 0.848 | 118.5 | 53.9 | 0.719 | 110.2 | 48.8 | 0.774 | 44.7 | 15.4 |
| BM26032018_slice_83 | 0.847 | 0.118 | 0.054 | 0.847 | 118.1 | 53.9 | 0.722 | 109.4 | 48.6 | 0.780 | 45.4 | 15.5 |
| BM26032018_slice_84 | 0.845 | 0.122 | 0.055 | 0.845 | 121.6 | 55.0 | 0.720 | 110.6 | 48.9 | 0.780 | 45.3 | 15.3 |
| BM26032018_slice_85 | 0.841 | 0.128 | 0.057 | 0.841 | 127.8 | 57.4 | 0.719 | 115.9 | 50.9 | 0.776 | 45.7 | 15.6 |
| BM26032018_slice_86 | 0.840 | 0.133 | 0.059 | 0.840 | 133.0 | 58.9 | 0.719 | 122.8 | 52.9 | 0.773 | 46.5 | 16.0 |
| BM26032018_slice_87 | 0.838 | 0.135 | 0.059 | 0.838 | 135.0 | 58.9 | 0.719 | 125.9 | 53.6 | 0.769 | 47.8 | 16.5 |
| BM26032018_slice_88 | 0.838 | 0.135 | 0.059 | 0.838 | 135.3 | 58.6 | 0.715 | 126.4 | 53.4 | 0.769 | 47.4 | 16.2 |
| BM26032018_slice_89 | 0.841 | 0.132 | 0.057 | 0.841 | 132.5 | 57.2 | 0.718 | 124.1 | 52.2 | 0.768 | 46.7 | 16.0 |
| BM26032018_slice_90 | 0.844 | 0.130 | 0.056 | 0.844 | 129.6 | 55.8 | 0.719 | 121.7 | 51.1 | 0.769 | 45.4 | 15.3 |
| BM26032018_slice_91 | 0.846 | 0.129 | 0.055 | 0.846 | 129.0 | 55.2 | 0.720 | 121.7 | 51.0 | 0.769 | 44.9 | 15.0 |
| BM26032018_slice_92 | 0.845 | 0.129 | 0.055 | 0.845 | 128.7 | 55.3 | 0.719 | 121.8 | 51.3 | 0.768 | 45.0 | 15.0 |
| BM26032018_slice_93 | 0.847 | 0.128 | 0.055 | 0.847 | 128.0 | 54.7 | 0.722 | 120.7 | 50.7 | 0.769 | 44.6 | 14.6 |
| BM26032018_slice_94 | 0.850 | 0.124 | 0.053 | 0.850 | 124.4 | 53.0 | 0.725 | 117.9 | 49.2 | 0.771 | 43.3 | 14.1 |
| BM26032018_slice_95 | 0.855 | 0.124 | 0.052 | 0.855 | 123.7 | 52.0 | 0.730 | 117.8 | 48.5 | 0.774 | 42.7 | 13.7 |
| BM26032018_slice_96 | 0.856 | 0.123 | 0.051 | 0.856 | 123.4 | 51.5 | 0.733 | 116.9 | 47.6 | 0.775 | 41.7 | 13.2 |
| BM26032018_slice_97 | 0.855 | 0.127 | 0.053 | 0.855 | 126.8 | 52.6 | 0.735 | 119.5 | 48.3 | 0.771 | 42.1 | 13.4 |
| BM26032018_slice_98 | 0.853 | 0.128 | 0.053 | 0.853 | 127.6 | 52.8 | 0.736 | 120.4 | 48.7 | 0.765 | 44.2 | 14.4 |
| BM26032018_slice_99 | 0.856 | 0.124 | 0.051 | 0.856 | 124.4 | 51.2 | 0.741 | 116.9 | 47.2 | 0.765 | 44.5 | 14.5 |
| BM26032018_slice_100 | 0.863 | 0.122 | 0.050 | 0.863 | 122.1 | 49.6 | 0.748 | 114.6 | 45.5 | 0.764 | 43.6 | 14.2 |
| BM26032018_slice_101 | 0.868 | 0.116 | 0.048 | 0.868 | 115.8 | 47.7 | 0.755 | 108.4 | 43.6 | 0.764 | 42.5 | 13.9 |
| BM26032018_slice_102 | 0.873 | 0.112 | 0.046 | 0.873 | 112.1 | 46.3 | 0.759 | 104.9 | 42.3 | 0.761 | 41.6 | 13.8 |
| BM26032018_slice_103 | 0.867 | 0.113 | 0.047 | 0.867 | 112.9 | 47.5 | 0.754 | 105.8 | 43.1 | 0.756 | 42.4 | 15.1 |
| BM26032018_slice_104 | 0.870 | 0.111 | 0.047 | 0.870 | 110.8 | 46.7 | 0.758 | 103.8 | 42.2 | 0.752 | 42.6 | 15.3 |
| BM26032018_slice_105 | 0.870 | 0.110 | 0.046 | 0.870 | 109.8 | 46.3 | 0.759 | 103.2 | 42.0 | 0.750 | 42.9 | 15.5 |
| BM26032018_slice_106 | 0.866 | 0.109 | 0.047 | 0.866 | 109.5 | 46.6 | 0.756 | 102.8 | 42.3 | 0.744 | 43.5 | 16.4 |
| BM26032018_slice_107 | 0.868 | 0.109 | 0.047 | 0.868 | 109.4 | 46.7 | 0.759 | 101.8 | 42.0 | 0.741 | 44.1 | 16.6 |
| BM26032018_slice_108 | 0.870 | 0.109 | 0.047 | 0.870 | 108.9 | 46.6 | 0.761 | 100.6 | 41.5 | 0.739 | 43.9 | 16.5 |
| BM26032018_slice_109 | 0.864 | 0.109 | 0.047 | 0.864 | 109.0 | 47.2 | 0.754 | 100.6 | 42.1 | 0.734 | 45.0 | 17.5 |
| BM26032018_slice_110 | 0.857 | 0.109 | 0.048 | 0.857 | 109.1 | 47.9 | 0.745 | 100.3 | 42.7 | 0.728 | 46.0 | 18.5 |
| BM26032018_slice_111 | 0.844 | 0.111 | 0.049 | 0.844 | 111.0 | 49.1 | 0.733 | 102.5 | 44.1 | 0.720 | 48.0 | 19.8 |
| BM26032018_slice_112 | 0.846 | 0.111 | 0.049 | 0.846 | 111.2 | 48.9 | 0.734 | 103.3 | 44.0 | 0.717 | 48.1 | 19.9 |
| BM26032018_slice_113 | 0.848 | 0.110 | 0.048 | 0.848 | 110.2 | 48.4 | 0.733 | 102.6 | 43.6 | 0.717 | 48.0 | 20.0 |
| BM26032018_slice_114 | 0.859 | 0.109 | 0.048 | 0.859 | 109.2 | 47.6 | 0.742 | 102.2 | 42.9 | 0.717 | 46.7 | 19.1 |
| BM26032018_slice_115 | 0.852 | 0.109 | 0.048 | 0.852 | 109.1 | 47.8 | 0.735 | 102.3 | 43.2 | 0.712 | 47.6 | 20.0 |
| BM26032018_slice_116 | 0.853 | 0.108 | 0.048 | 0.853 | 107.9 | 47.5 | 0.738 | 100.7 | 42.7 | 0.710 | 47.6 | 20.1 |
| BM26032018_slice_117 | 0.859 | 0.107 | 0.047 | 0.859 | 106.9 | 47.1 | 0.742 | 99.5 | 42.1 | 0.708 | 47.5 | 19.8 |
| BM26032018_slice_118 | 0.848 | 0.107 | 0.047 | 0.848 | 106.8 | 47.5 | 0.732 | 99.3 | 42.5 | 0.704 | 48.6 | 20.8 |
| BM26032018_slice_119 | 0.854 | 0.105 | 0.047 | 0.854 | 104.7 | 46.9 | 0.735 | 97.1 | 41.8 | 0.704 | 48.4 | 20.5 |
| BM26032018_slice_120 | 0.849 | 0.105 | 0.047 | 0.849 | 105.2 | 47.5 | 0.728 | 97.5 | 42.3 | 0.702 | 49.7 | 21.2 |
| BM26032018_slice_121 | 0.856 | 0.105 | 0.047 | 0.856 | 105.0 | 47.0 | 0.737 | 97.0 | 41.7 | 0.702 | 49.8 | 20.7 |
| BM26032018_slice_122 | 0.863 | 0.103 | 0.046 | 0.863 | 103.3 | 46.2 | 0.743 | 95.5 | 41.1 | 0.703 | 48.7 | 20.1 |
| BM26032018_slice_123 | 0.858 | 0.104 | 0.046 | 0.858 | 103.9 | 46.1 | 0.739 | 96.4 | 41.4 | 0.699 | 49.6 | 20.7 |
| BM26032018_slice_124 | 0.868 | 0.104 | 0.045 | 0.868 | 103.6 | 45.2 | 0.747 | 95.9 | 40.5 | 0.700 | 49.1 | 19.7 |
| BM26032018_slice_125 | 0.871 | 0.104 | 0.045 | 0.871 | 103.7 | 44.5 | 0.748 | 94.8 | 39.7 | 0.699 | 49.6 | 19.4 |
| BM26032018_slice_126 | 0.877 | 0.104 | 0.044 | 0.877 | 104.1 | 44.2 | 0.752 | 94.1 | 39.2 | 0.703 | 49.5 | 18.7 |
| BM26032018_slice_127 | 0.877 | 0.106 | 0.045 | 0.877 | 105.8 | 45.2 | 0.748 | 95.1 | 40.1 | 0.698 | 50.1 | 18.7 |
| BM26032018_slice_128 | 0.875 | 0.106 | 0.044 | 0.875 | 105.5 | 44.1 | 0.740 | 95.1 | 39.4 | 0.696 | 50.3 | 18.8 |
| BM26032018_slice_129 | 0.873 | 0.105 | 0.043 | 0.873 | 104.8 | 43.0 | 0.739 | 95.4 | 38.9 | 0.698 | 49.8 | 18.6 |
| BM26032018_slice_130 | 0.871 | 0.104 | 0.043 | 0.871 | 103.5 | 42.6 | 0.736 | 94.7 | 38.6 | 0.696 | 48.8 | 18.5 |
| BM26032018_slice_131 | 0.878 | 0.102 | 0.041 | 0.878 | 101.9 | 41.2 | 0.746 | 93.5 | 37.3 | 0.702 | 45.4 | 17.3 |
| BM26032018_slice_132 | 0.879 | 0.102 | 0.041 | 0.879 | 102.4 | 41.2 | 0.746 | 93.8 | 37.2 | 0.703 | 44.8 | 17.2 |
4Γ3 grid: Rows show different image types (Original NATIVE, Reconstructed NATIVE, Original VENOUS, Generated VENOUS), Columns show windowing techniques (No Window, Lung Window, Mediastinum Window)