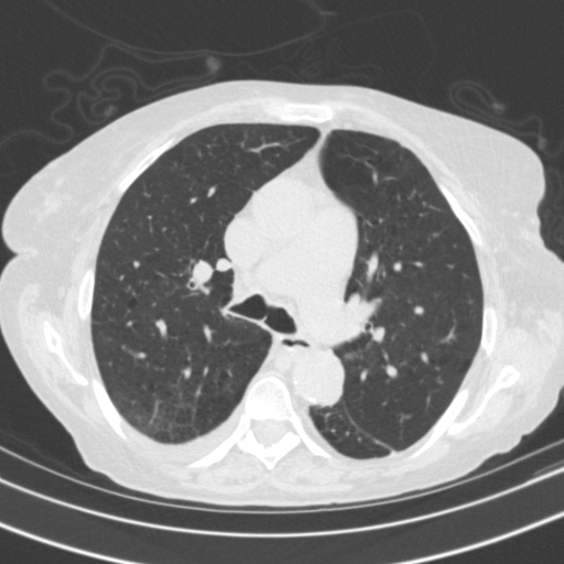
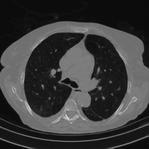
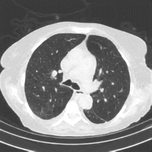
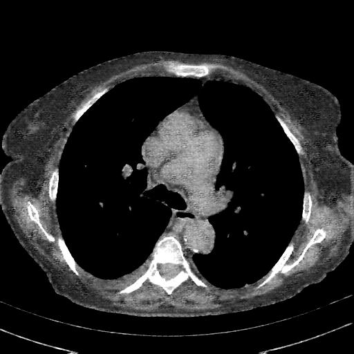
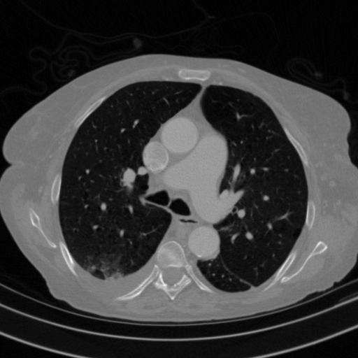
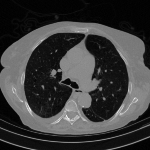
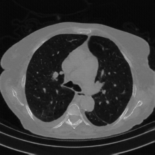
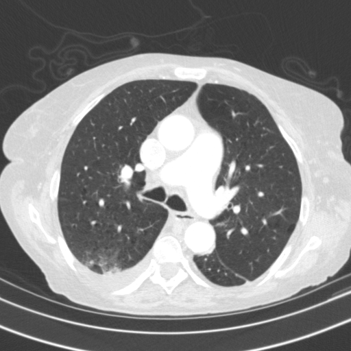
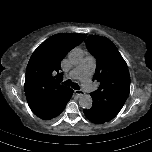
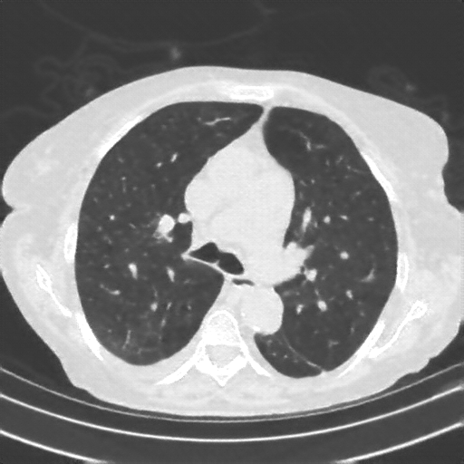
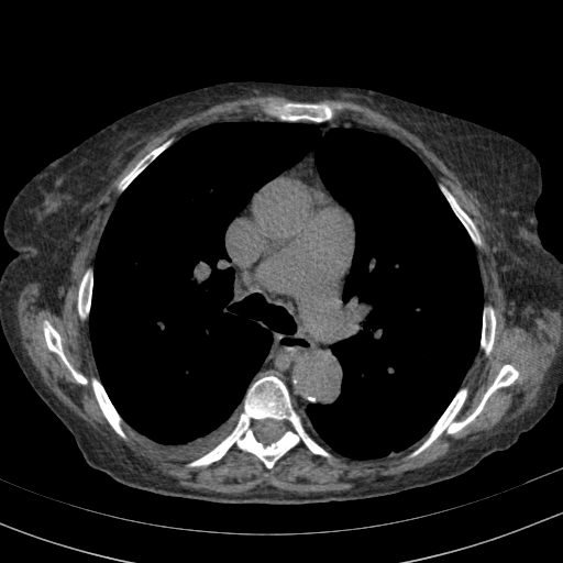
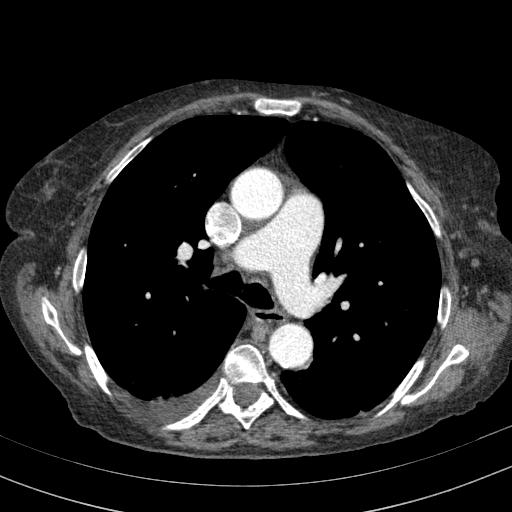
Slice 70 Targeting Evaluation
Patient ID: MF04022021
Model: cytran
Slice: Slice_70
Slice Thickness: 1.5mm
Conversion: NATIVE β VENOUS
Contains all 4 metric datasets: Network-Normalized, Hounsfield Units, Lung Window, and Mediastinum Window
| Slice ID | SSIM | RMSE | MAE | HU SSIM | HU RMSE | HU MAE | Lung SSIM | Lung RMSE | Lung MAE | Mediastinum SSIM | Mediastinum RMSE | Mediastinum MAE |
|---|---|---|---|---|---|---|---|---|---|---|---|---|
| MF04022021_slice_0 | 0.733 | 0.184 | 0.080 | 0.733 | 183.6 | 80.0 | 0.576 | 158.9 | 66.9 | 0.563 | 59.7 | 28.9 |
| MF04022021_slice_1 | 0.733 | 0.174 | 0.076 | 0.733 | 173.9 | 76.2 | 0.574 | 149.9 | 63.8 | 0.560 | 59.4 | 28.7 |
| MF04022021_slice_2 | 0.740 | 0.166 | 0.073 | 0.740 | 165.9 | 72.9 | 0.580 | 143.2 | 61.2 | 0.563 | 58.2 | 28.3 |
| MF04022021_slice_3 | 0.738 | 0.162 | 0.073 | 0.738 | 162.2 | 72.8 | 0.577 | 141.3 | 61.5 | 0.559 | 59.4 | 28.8 |
| MF04022021_slice_4 | 0.734 | 0.166 | 0.081 | 0.734 | 166.5 | 81.0 | 0.568 | 145.6 | 69.3 | 0.556 | 60.8 | 29.6 |
| MF04022021_slice_5 | 0.727 | 0.182 | 0.089 | 0.727 | 182.2 | 89.4 | 0.559 | 158.9 | 76.9 | 0.552 | 59.9 | 29.5 |
| MF04022021_slice_6 | 0.722 | 0.177 | 0.086 | 0.722 | 177.1 | 85.7 | 0.561 | 149.0 | 72.3 | 0.541 | 63.3 | 30.9 |
| MF04022021_slice_7 | 0.720 | 0.172 | 0.080 | 0.720 | 172.3 | 79.5 | 0.569 | 144.0 | 65.8 | 0.541 | 61.7 | 30.3 |
| MF04022021_slice_8 | 0.711 | 0.173 | 0.080 | 0.711 | 172.8 | 80.4 | 0.559 | 148.6 | 67.5 | 0.542 | 63.5 | 31.0 |
| MF04022021_slice_9 | 0.713 | 0.169 | 0.080 | 0.713 | 169.3 | 79.7 | 0.561 | 148.4 | 67.0 | 0.547 | 63.8 | 31.0 |
| MF04022021_slice_10 | 0.717 | 0.165 | 0.078 | 0.717 | 165.2 | 77.6 | 0.565 | 145.9 | 65.6 | 0.556 | 61.4 | 29.8 |
| MF04022021_slice_11 | 0.726 | 0.162 | 0.076 | 0.726 | 162.3 | 75.8 | 0.572 | 145.5 | 65.0 | 0.561 | 60.0 | 28.9 |
| MF04022021_slice_12 | 0.724 | 0.161 | 0.075 | 0.724 | 161.0 | 75.3 | 0.571 | 145.7 | 65.3 | 0.567 | 59.9 | 28.8 |
| MF04022021_slice_13 | 0.743 | 0.161 | 0.075 | 0.743 | 161.2 | 74.6 | 0.587 | 147.7 | 65.3 | 0.573 | 57.3 | 27.2 |
| MF04022021_slice_14 | 0.726 | 0.164 | 0.076 | 0.726 | 163.8 | 76.3 | 0.570 | 149.4 | 66.9 | 0.575 | 60.3 | 28.6 |
| MF04022021_slice_15 | 0.738 | 0.164 | 0.075 | 0.738 | 164.4 | 75.5 | 0.579 | 149.8 | 66.0 | 0.583 | 58.4 | 27.2 |
| MF04022021_slice_16 | 0.731 | 0.164 | 0.075 | 0.731 | 163.8 | 75.5 | 0.572 | 149.1 | 65.9 | 0.588 | 58.8 | 27.4 |
| MF04022021_slice_17 | 0.734 | 0.164 | 0.076 | 0.734 | 164.3 | 75.5 | 0.577 | 148.5 | 65.5 | 0.594 | 59.9 | 27.5 |
| MF04022021_slice_18 | 0.736 | 0.167 | 0.076 | 0.736 | 167.4 | 76.3 | 0.577 | 150.7 | 65.9 | 0.597 | 59.7 | 27.2 |
| MF04022021_slice_19 | 0.741 | 0.170 | 0.077 | 0.741 | 169.6 | 76.9 | 0.580 | 150.8 | 66.3 | 0.600 | 59.5 | 26.9 |
| MF04022021_slice_20 | 0.741 | 0.174 | 0.077 | 0.741 | 173.5 | 77.1 | 0.580 | 151.8 | 66.5 | 0.603 | 59.5 | 26.9 |
| MF04022021_slice_21 | 0.743 | 0.172 | 0.077 | 0.743 | 172.5 | 76.5 | 0.581 | 152.2 | 66.3 | 0.608 | 57.8 | 26.1 |
| MF04022021_slice_22 | 0.755 | 0.170 | 0.075 | 0.755 | 169.8 | 75.0 | 0.594 | 152.0 | 65.3 | 0.617 | 54.7 | 24.5 |
| MF04022021_slice_23 | 0.762 | 0.164 | 0.073 | 0.762 | 163.6 | 72.8 | 0.600 | 150.1 | 64.2 | 0.622 | 52.3 | 23.3 |
| MF04022021_slice_24 | 0.763 | 0.164 | 0.073 | 0.763 | 163.9 | 72.5 | 0.598 | 151.8 | 64.5 | 0.622 | 51.8 | 23.0 |
| MF04022021_slice_25 | 0.761 | 0.163 | 0.072 | 0.761 | 163.4 | 72.3 | 0.597 | 151.8 | 64.5 | 0.627 | 53.3 | 23.1 |
| MF04022021_slice_26 | 0.762 | 0.164 | 0.072 | 0.762 | 164.0 | 72.2 | 0.597 | 151.5 | 64.3 | 0.629 | 52.4 | 22.8 |
| MF04022021_slice_27 | 0.759 | 0.166 | 0.073 | 0.759 | 165.7 | 72.9 | 0.595 | 152.9 | 64.9 | 0.629 | 52.9 | 23.0 |
| MF04022021_slice_28 | 0.763 | 0.165 | 0.073 | 0.763 | 165.4 | 73.0 | 0.595 | 153.9 | 65.1 | 0.632 | 52.5 | 22.5 |
| MF04022021_slice_29 | 0.761 | 0.165 | 0.073 | 0.761 | 164.9 | 73.2 | 0.592 | 154.1 | 65.4 | 0.634 | 52.7 | 22.5 |
| MF04022021_slice_30 | 0.756 | 0.164 | 0.073 | 0.756 | 164.2 | 73.3 | 0.585 | 153.1 | 65.6 | 0.631 | 53.8 | 23.0 |
| MF04022021_slice_31 | 0.758 | 0.165 | 0.073 | 0.758 | 164.6 | 73.2 | 0.585 | 152.7 | 65.4 | 0.633 | 54.4 | 23.0 |
| MF04022021_slice_32 | 0.761 | 0.164 | 0.073 | 0.761 | 163.8 | 72.5 | 0.590 | 152.8 | 65.1 | 0.634 | 52.5 | 22.3 |
| MF04022021_slice_33 | 0.760 | 0.162 | 0.072 | 0.760 | 161.8 | 72.3 | 0.589 | 151.5 | 65.1 | 0.635 | 52.5 | 22.3 |
| MF04022021_slice_34 | 0.760 | 0.161 | 0.073 | 0.760 | 161.0 | 72.6 | 0.588 | 151.2 | 65.8 | 0.636 | 52.1 | 22.3 |
| MF04022021_slice_35 | 0.765 | 0.160 | 0.071 | 0.765 | 159.8 | 71.5 | 0.590 | 150.7 | 65.0 | 0.635 | 50.6 | 21.8 |
| MF04022021_slice_36 | 0.766 | 0.159 | 0.071 | 0.766 | 159.4 | 71.4 | 0.589 | 150.8 | 65.2 | 0.635 | 50.9 | 21.9 |
| MF04022021_slice_37 | 0.763 | 0.162 | 0.073 | 0.763 | 161.6 | 72.7 | 0.587 | 152.6 | 66.2 | 0.631 | 52.9 | 22.8 |
| MF04022021_slice_38 | 0.764 | 0.163 | 0.074 | 0.764 | 163.4 | 73.6 | 0.586 | 153.7 | 66.5 | 0.628 | 53.3 | 23.0 |
| MF04022021_slice_39 | 0.760 | 0.165 | 0.075 | 0.760 | 164.7 | 74.5 | 0.584 | 155.3 | 67.5 | 0.629 | 53.7 | 23.0 |
| MF04022021_slice_40 | 0.759 | 0.164 | 0.075 | 0.759 | 164.1 | 74.7 | 0.584 | 154.3 | 67.4 | 0.628 | 54.2 | 23.4 |
| MF04022021_slice_41 | 0.754 | 0.166 | 0.076 | 0.754 | 165.6 | 75.8 | 0.579 | 155.7 | 68.3 | 0.627 | 55.5 | 24.0 |
| MF04022021_slice_42 | 0.756 | 0.166 | 0.076 | 0.756 | 165.6 | 76.2 | 0.580 | 155.7 | 68.6 | 0.624 | 55.5 | 23.9 |
| MF04022021_slice_43 | 0.760 | 0.164 | 0.075 | 0.760 | 163.6 | 75.3 | 0.583 | 153.1 | 67.5 | 0.626 | 55.7 | 24.0 |
| MF04022021_slice_44 | 0.764 | 0.162 | 0.075 | 0.764 | 161.6 | 74.5 | 0.586 | 150.7 | 66.5 | 0.628 | 56.2 | 23.9 |
| MF04022021_slice_45 | 0.762 | 0.161 | 0.075 | 0.762 | 161.2 | 74.8 | 0.585 | 150.4 | 66.8 | 0.632 | 56.5 | 24.0 |
| MF04022021_slice_46 | 0.765 | 0.160 | 0.074 | 0.765 | 160.2 | 74.3 | 0.588 | 149.7 | 66.4 | 0.629 | 55.5 | 23.6 |
| MF04022021_slice_47 | 0.769 | 0.160 | 0.074 | 0.769 | 159.9 | 74.0 | 0.593 | 149.5 | 66.1 | 0.629 | 55.0 | 23.4 |
| MF04022021_slice_48 | 0.764 | 0.162 | 0.075 | 0.764 | 162.1 | 75.4 | 0.587 | 151.9 | 67.5 | 0.628 | 56.5 | 24.0 |
| MF04022021_slice_49 | 0.757 | 0.164 | 0.077 | 0.757 | 164.1 | 77.1 | 0.578 | 153.8 | 69.3 | 0.624 | 58.5 | 24.9 |
| MF04022021_slice_50 | 0.762 | 0.162 | 0.076 | 0.762 | 161.9 | 75.8 | 0.579 | 152.3 | 68.3 | 0.626 | 57.1 | 24.3 |
| MF04022021_slice_51 | 0.762 | 0.162 | 0.076 | 0.762 | 162.0 | 75.8 | 0.577 | 152.3 | 68.3 | 0.624 | 56.5 | 24.1 |
| MF04022021_slice_52 | 0.763 | 0.162 | 0.076 | 0.763 | 162.1 | 75.6 | 0.578 | 152.4 | 68.3 | 0.626 | 56.3 | 23.8 |
| MF04022021_slice_53 | 0.764 | 0.160 | 0.075 | 0.764 | 160.2 | 74.7 | 0.578 | 150.6 | 67.6 | 0.627 | 55.9 | 23.8 |
| MF04022021_slice_54 | 0.767 | 0.160 | 0.075 | 0.767 | 159.6 | 74.6 | 0.583 | 150.2 | 67.4 | 0.629 | 55.0 | 23.3 |
| MF04022021_slice_55 | 0.759 | 0.164 | 0.077 | 0.759 | 164.0 | 76.9 | 0.574 | 154.2 | 69.6 | 0.626 | 58.1 | 24.3 |
| MF04022021_slice_56 | 0.760 | 0.161 | 0.076 | 0.760 | 161.1 | 76.5 | 0.576 | 152.0 | 69.4 | 0.631 | 55.7 | 23.6 |
| MF04022021_slice_57 | 0.758 | 0.159 | 0.076 | 0.758 | 159.4 | 75.9 | 0.575 | 149.7 | 68.6 | 0.631 | 55.7 | 23.7 |
| MF04022021_slice_58 | 0.754 | 0.161 | 0.077 | 0.754 | 161.4 | 77.3 | 0.569 | 151.3 | 69.5 | 0.627 | 56.7 | 24.2 |
| MF04022021_slice_59 | 0.749 | 0.169 | 0.081 | 0.749 | 168.9 | 81.3 | 0.563 | 159.5 | 74.0 | 0.622 | 58.9 | 25.2 |
| MF04022021_slice_60 | 0.758 | 0.166 | 0.079 | 0.758 | 165.5 | 79.1 | 0.574 | 156.7 | 71.9 | 0.633 | 55.3 | 23.7 |
| MF04022021_slice_61 | 0.757 | 0.164 | 0.077 | 0.757 | 164.1 | 77.4 | 0.575 | 155.1 | 70.1 | 0.632 | 55.6 | 23.9 |
| MF04022021_slice_62 | 0.758 | 0.165 | 0.078 | 0.758 | 165.2 | 78.0 | 0.577 | 156.7 | 70.9 | 0.631 | 56.0 | 24.1 |
| MF04022021_slice_63 | 0.759 | 0.166 | 0.078 | 0.759 | 165.7 | 78.0 | 0.579 | 157.7 | 71.2 | 0.632 | 55.3 | 23.9 |
| MF04022021_slice_64 | 0.762 | 0.164 | 0.078 | 0.762 | 164.3 | 77.8 | 0.581 | 156.7 | 71.2 | 0.631 | 54.1 | 23.5 |
| MF04022021_slice_65 | 0.762 | 0.165 | 0.078 | 0.762 | 165.1 | 77.9 | 0.581 | 158.1 | 71.6 | 0.633 | 53.3 | 23.4 |
| MF04022021_slice_66 | 0.765 | 0.165 | 0.078 | 0.765 | 165.3 | 77.6 | 0.586 | 158.7 | 71.5 | 0.635 | 53.2 | 23.2 |
| MF04022021_slice_67 | 0.762 | 0.165 | 0.078 | 0.762 | 164.8 | 77.6 | 0.585 | 158.1 | 71.3 | 0.632 | 54.4 | 23.9 |
| MF04022021_slice_68 | 0.761 | 0.165 | 0.078 | 0.761 | 164.9 | 77.9 | 0.583 | 158.0 | 71.5 | 0.633 | 54.7 | 24.2 |
| MF04022021_slice_69 | 0.761 | 0.166 | 0.078 | 0.761 | 166.2 | 78.5 | 0.582 | 159.4 | 72.0 | 0.629 | 55.2 | 24.5 |
| MF04022021_slice_70 | 0.760 | 0.168 | 0.080 | 0.760 | 168.5 | 79.6 | 0.583 | 160.9 | 72.6 | 0.624 | 56.2 | 25.0 |
| MF04022021_slice_71 | 0.753 | 0.171 | 0.082 | 0.753 | 171.1 | 81.6 | 0.578 | 162.8 | 74.0 | 0.617 | 57.8 | 25.9 |
| MF04022021_slice_72 | 0.750 | 0.173 | 0.083 | 0.750 | 173.4 | 83.1 | 0.578 | 164.8 | 75.3 | 0.610 | 58.1 | 26.4 |
| MF04022021_slice_73 | 0.748 | 0.174 | 0.084 | 0.748 | 173.7 | 83.9 | 0.577 | 164.7 | 75.8 | 0.606 | 59.9 | 27.2 |
| MF04022021_slice_74 | 0.744 | 0.174 | 0.085 | 0.744 | 174.3 | 85.0 | 0.576 | 165.0 | 76.5 | 0.605 | 60.3 | 27.6 |
| MF04022021_slice_75 | 0.740 | 0.176 | 0.087 | 0.740 | 176.3 | 86.6 | 0.569 | 167.3 | 78.3 | 0.600 | 59.7 | 27.7 |
| MF04022021_slice_76 | 0.739 | 0.176 | 0.087 | 0.739 | 176.3 | 87.0 | 0.566 | 167.9 | 78.8 | 0.597 | 59.9 | 27.9 |
| MF04022021_slice_77 | 0.736 | 0.179 | 0.088 | 0.736 | 178.5 | 88.2 | 0.562 | 170.0 | 79.9 | 0.588 | 60.9 | 28.6 |
| MF04022021_slice_78 | 0.734 | 0.177 | 0.087 | 0.734 | 176.6 | 86.9 | 0.560 | 168.9 | 79.3 | 0.586 | 59.5 | 28.2 |
| MF04022021_slice_79 | 0.736 | 0.175 | 0.086 | 0.736 | 175.3 | 85.7 | 0.561 | 168.3 | 78.8 | 0.583 | 58.8 | 27.9 |
| MF04022021_slice_80 | 0.737 | 0.176 | 0.086 | 0.737 | 175.8 | 85.8 | 0.561 | 169.2 | 78.8 | 0.576 | 59.4 | 28.7 |
| MF04022021_slice_81 | 0.735 | 0.176 | 0.086 | 0.735 | 176.4 | 85.7 | 0.555 | 170.4 | 79.1 | 0.571 | 59.0 | 28.6 |
| MF04022021_slice_82 | 0.734 | 0.173 | 0.084 | 0.734 | 173.4 | 84.4 | 0.552 | 167.7 | 78.0 | 0.568 | 58.8 | 28.7 |
| MF04022021_slice_83 | 0.733 | 0.175 | 0.085 | 0.733 | 174.6 | 85.2 | 0.552 | 168.9 | 78.6 | 0.567 | 59.9 | 29.4 |
| MF04022021_slice_84 | 0.739 | 0.174 | 0.084 | 0.739 | 174.3 | 84.3 | 0.559 | 168.6 | 77.9 | 0.568 | 59.3 | 28.8 |
| MF04022021_slice_85 | 0.739 | 0.171 | 0.083 | 0.739 | 170.9 | 83.4 | 0.556 | 165.4 | 77.1 | 0.561 | 58.7 | 28.7 |
| MF04022021_slice_86 | 0.732 | 0.170 | 0.084 | 0.732 | 169.8 | 84.3 | 0.551 | 164.0 | 77.7 | 0.556 | 60.2 | 29.5 |
| MF04022021_slice_87 | 0.729 | 0.170 | 0.085 | 0.729 | 170.2 | 85.0 | 0.545 | 164.4 | 78.5 | 0.550 | 60.0 | 29.6 |
| MF04022021_slice_88 | 0.730 | 0.172 | 0.086 | 0.730 | 172.0 | 85.8 | 0.544 | 167.0 | 80.0 | 0.542 | 59.4 | 29.6 |
| MF04022021_slice_89 | 0.728 | 0.169 | 0.085 | 0.728 | 169.1 | 85.1 | 0.542 | 163.5 | 78.9 | 0.538 | 60.5 | 30.4 |
| MF04022021_slice_90 | 0.725 | 0.167 | 0.084 | 0.725 | 166.8 | 84.1 | 0.535 | 161.2 | 78.1 | 0.533 | 61.2 | 31.1 |
| MF04022021_slice_91 | 0.729 | 0.167 | 0.083 | 0.729 | 167.2 | 83.4 | 0.538 | 161.2 | 77.3 | 0.532 | 61.3 | 31.2 |
| MF04022021_slice_92 | 0.730 | 0.165 | 0.082 | 0.730 | 165.4 | 82.2 | 0.538 | 159.6 | 76.4 | 0.526 | 61.5 | 31.5 |
| MF04022021_slice_93 | 0.730 | 0.164 | 0.082 | 0.730 | 163.7 | 82.3 | 0.540 | 157.7 | 76.3 | 0.519 | 62.8 | 32.4 |
| MF04022021_slice_94 | 0.726 | 0.163 | 0.082 | 0.726 | 163.1 | 82.4 | 0.539 | 157.0 | 76.2 | 0.516 | 64.3 | 33.4 |
| MF04022021_slice_95 | 0.731 | 0.161 | 0.081 | 0.731 | 161.1 | 81.1 | 0.544 | 155.2 | 74.9 | 0.513 | 63.8 | 33.4 |
| MF04022021_slice_96 | 0.728 | 0.159 | 0.081 | 0.728 | 159.3 | 81.1 | 0.539 | 153.4 | 75.0 | 0.511 | 64.7 | 34.0 |
| MF04022021_slice_97 | 0.721 | 0.159 | 0.082 | 0.721 | 158.9 | 82.1 | 0.531 | 152.7 | 75.8 | 0.504 | 65.8 | 35.0 |
| MF04022021_slice_98 | 0.730 | 0.159 | 0.081 | 0.730 | 159.3 | 81.3 | 0.538 | 153.2 | 74.9 | 0.502 | 65.0 | 34.6 |
| MF04022021_slice_99 | 0.732 | 0.158 | 0.081 | 0.732 | 157.9 | 80.6 | 0.540 | 151.7 | 73.9 | 0.500 | 65.3 | 34.8 |
| MF04022021_slice_100 | 0.707 | 0.157 | 0.082 | 0.707 | 157.1 | 82.4 | 0.520 | 150.6 | 75.6 | 0.493 | 70.5 | 37.9 |
| MF04022021_slice_101 | 0.696 | 0.158 | 0.084 | 0.696 | 158.0 | 84.3 | 0.512 | 150.7 | 76.6 | 0.486 | 72.9 | 39.5 |
| MF04022021_slice_102 | 0.705 | 0.157 | 0.083 | 0.705 | 156.8 | 83.2 | 0.516 | 149.7 | 75.9 | 0.482 | 71.3 | 38.7 |
| MF04022021_slice_103 | 0.700 | 0.155 | 0.083 | 0.700 | 155.4 | 83.2 | 0.513 | 148.1 | 75.7 | 0.481 | 72.5 | 39.5 |
| MF04022021_slice_104 | 0.695 | 0.155 | 0.084 | 0.695 | 155.1 | 84.1 | 0.510 | 147.3 | 76.1 | 0.480 | 73.9 | 40.5 |
| MF04022021_slice_105 | 0.705 | 0.152 | 0.082 | 0.705 | 152.0 | 82.1 | 0.516 | 144.6 | 74.5 | 0.484 | 72.2 | 39.7 |
| MF04022021_slice_106 | 0.702 | 0.151 | 0.082 | 0.702 | 151.5 | 82.3 | 0.512 | 144.1 | 74.9 | 0.480 | 72.8 | 40.2 |
| MF04022021_slice_107 | 0.705 | 0.149 | 0.081 | 0.705 | 149.3 | 81.3 | 0.518 | 141.5 | 73.6 | 0.480 | 72.9 | 40.3 |
| MF04022021_slice_108 | 0.699 | 0.149 | 0.082 | 0.699 | 148.8 | 81.7 | 0.510 | 140.1 | 73.5 | 0.477 | 75.7 | 41.8 |
| MF04022021_slice_109 | 0.708 | 0.145 | 0.080 | 0.708 | 145.4 | 79.5 | 0.517 | 136.9 | 71.6 | 0.474 | 73.8 | 40.9 |
| MF04022021_slice_110 | 0.706 | 0.145 | 0.080 | 0.706 | 144.8 | 79.5 | 0.518 | 136.3 | 71.5 | 0.473 | 74.4 | 41.6 |
| MF04022021_slice_111 | 0.693 | 0.145 | 0.081 | 0.693 | 144.9 | 80.6 | 0.505 | 136.1 | 72.6 | 0.468 | 76.9 | 43.3 |
| MF04022021_slice_112 | 0.692 | 0.144 | 0.080 | 0.692 | 144.5 | 80.2 | 0.503 | 135.9 | 72.4 | 0.467 | 76.9 | 43.3 |
| MF04022021_slice_113 | 0.689 | 0.144 | 0.080 | 0.689 | 144.0 | 80.2 | 0.497 | 135.8 | 72.5 | 0.458 | 76.7 | 43.5 |
| MF04022021_slice_114 | 0.686 | 0.143 | 0.080 | 0.686 | 143.1 | 80.2 | 0.495 | 134.6 | 72.4 | 0.453 | 77.9 | 44.2 |
| MF04022021_slice_115 | 0.685 | 0.142 | 0.080 | 0.685 | 142.0 | 79.9 | 0.496 | 133.4 | 72.0 | 0.454 | 77.5 | 44.1 |
| MF04022021_slice_116 | 0.656 | 0.144 | 0.083 | 0.656 | 144.1 | 82.6 | 0.472 | 134.9 | 74.4 | 0.448 | 81.4 | 46.7 |
| MF04022021_slice_117 | 0.676 | 0.141 | 0.080 | 0.676 | 141.0 | 80.1 | 0.487 | 132.6 | 72.4 | 0.451 | 78.9 | 45.1 |
| MF04022021_slice_118 | 0.683 | 0.139 | 0.079 | 0.683 | 138.9 | 79.3 | 0.494 | 130.0 | 71.3 | 0.451 | 78.2 | 44.8 |
| MF04022021_slice_119 | 0.677 | 0.139 | 0.080 | 0.677 | 138.9 | 79.8 | 0.491 | 129.7 | 71.7 | 0.450 | 79.1 | 45.1 |
| MF04022021_slice_120 | 0.660 | 0.139 | 0.081 | 0.660 | 138.9 | 81.0 | 0.476 | 129.5 | 72.8 | 0.447 | 80.9 | 46.4 |
| MF04022021_slice_121 | 0.629 | 0.138 | 0.082 | 0.629 | 137.8 | 82.0 | 0.452 | 128.1 | 73.9 | 0.441 | 83.8 | 48.8 |
| MF04022021_slice_122 | 0.637 | 0.137 | 0.080 | 0.637 | 136.5 | 80.5 | 0.455 | 126.6 | 72.4 | 0.443 | 83.8 | 48.3 |
| MF04022021_slice_123 | 0.647 | 0.133 | 0.079 | 0.647 | 133.1 | 78.8 | 0.465 | 122.9 | 70.9 | 0.450 | 82.6 | 47.5 |
| MF04022021_slice_124 | 0.653 | 0.129 | 0.078 | 0.653 | 128.5 | 77.5 | 0.472 | 118.3 | 69.7 | 0.455 | 81.0 | 46.7 |
| MF04022021_slice_125 | 0.659 | 0.125 | 0.075 | 0.659 | 124.6 | 75.3 | 0.477 | 114.0 | 67.5 | 0.457 | 80.8 | 46.4 |
| MF04022021_slice_126 | 0.652 | 0.122 | 0.074 | 0.652 | 121.6 | 74.0 | 0.473 | 111.0 | 66.6 | 0.454 | 81.5 | 47.0 |
| MF04022021_slice_127 | 0.655 | 0.120 | 0.073 | 0.655 | 120.3 | 73.1 | 0.475 | 109.6 | 65.9 | 0.454 | 81.1 | 46.7 |
| MF04022021_slice_128 | 0.661 | 0.119 | 0.072 | 0.661 | 119.5 | 72.4 | 0.479 | 108.6 | 65.2 | 0.453 | 80.6 | 46.4 |
| MF04022021_slice_129 | 0.673 | 0.118 | 0.071 | 0.673 | 117.5 | 71.2 | 0.483 | 107.1 | 64.2 | 0.450 | 77.7 | 44.9 |
| MF04022021_slice_130 | 0.673 | 0.119 | 0.071 | 0.673 | 119.0 | 71.3 | 0.479 | 109.7 | 65.0 | 0.446 | 76.1 | 44.1 |
| MF04022021_slice_131 | 0.675 | 0.123 | 0.072 | 0.675 | 122.8 | 72.2 | 0.480 | 113.7 | 66.0 | 0.442 | 76.3 | 44.1 |
| MF04022021_slice_132 | 0.681 | 0.124 | 0.072 | 0.681 | 124.2 | 72.0 | 0.488 | 115.5 | 65.8 | 0.446 | 74.8 | 43.3 |
| MF04022021_slice_133 | 0.658 | 0.129 | 0.074 | 0.658 | 128.6 | 74.3 | 0.469 | 119.9 | 67.9 | 0.437 | 76.9 | 44.6 |
| MF04022021_slice_134 | 0.651 | 0.134 | 0.076 | 0.651 | 134.1 | 76.2 | 0.459 | 125.9 | 70.0 | 0.436 | 76.9 | 44.7 |
| MF04022021_slice_135 | 0.662 | 0.136 | 0.076 | 0.662 | 136.4 | 75.7 | 0.467 | 128.9 | 69.8 | 0.437 | 74.6 | 43.4 |
| MF04022021_slice_136 | 0.668 | 0.139 | 0.075 | 0.668 | 139.4 | 75.4 | 0.474 | 132.8 | 70.1 | 0.441 | 73.3 | 42.5 |
| MF04022021_slice_137 | 0.641 | 0.149 | 0.079 | 0.641 | 148.8 | 79.2 | 0.453 | 142.3 | 73.8 | 0.438 | 75.9 | 44.0 |
| MF04022021_slice_138 | 0.625 | 0.155 | 0.081 | 0.625 | 155.2 | 81.4 | 0.440 | 149.1 | 76.0 | 0.435 | 76.0 | 44.4 |
| MF04022021_slice_139 | 0.628 | 0.155 | 0.081 | 0.628 | 155.2 | 80.7 | 0.437 | 149.9 | 75.8 | 0.437 | 73.9 | 43.0 |
| MF04022021_slice_140 | 0.644 | 0.153 | 0.078 | 0.644 | 153.4 | 77.9 | 0.450 | 148.7 | 73.7 | 0.442 | 70.6 | 40.9 |
| MF04022021_slice_141 | 0.648 | 0.151 | 0.076 | 0.648 | 151.3 | 76.0 | 0.453 | 146.7 | 71.8 | 0.445 | 68.7 | 39.5 |
| MF04022021_slice_142 | 0.646 | 0.143 | 0.072 | 0.646 | 143.2 | 71.8 | 0.445 | 139.1 | 68.0 | 0.446 | 66.3 | 38.1 |
| MF04022021_slice_143 | 0.646 | 0.141 | 0.070 | 0.646 | 140.8 | 69.9 | 0.441 | 137.1 | 66.5 | 0.442 | 64.2 | 37.1 |
| MF04022021_slice_144 | 0.657 | 0.138 | 0.068 | 0.657 | 138.3 | 67.7 | 0.449 | 134.7 | 64.5 | 0.439 | 62.2 | 35.9 |
| MF04022021_slice_145 | 0.673 | 0.133 | 0.065 | 0.673 | 133.5 | 64.6 | 0.459 | 130.1 | 61.7 | 0.441 | 59.4 | 34.1 |
| MF04022021_slice_146 | 0.674 | 0.130 | 0.063 | 0.674 | 129.9 | 62.8 | 0.453 | 126.4 | 60.0 | 0.436 | 57.7 | 33.3 |
| MF04022021_slice_147 | 0.646 | 0.129 | 0.063 | 0.646 | 129.1 | 63.5 | 0.431 | 125.7 | 60.8 | 0.431 | 58.8 | 34.4 |
| MF04022021_slice_148 | 0.645 | 0.125 | 0.063 | 0.645 | 124.9 | 62.7 | 0.431 | 121.4 | 59.7 | 0.430 | 58.3 | 34.4 |
| MF04022021_slice_149 | 0.644 | 0.120 | 0.061 | 0.644 | 120.5 | 61.4 | 0.432 | 116.3 | 58.1 | 0.429 | 57.7 | 34.1 |
| MF04022021_slice_150 | 0.661 | 0.117 | 0.059 | 0.661 | 117.4 | 59.4 | 0.444 | 113.4 | 56.4 | 0.428 | 56.2 | 33.1 |
| MF04022021_slice_151 | 0.681 | 0.116 | 0.058 | 0.681 | 116.4 | 57.7 | 0.456 | 112.7 | 55.0 | 0.428 | 54.4 | 31.9 |
| MF04022021_slice_152 | 0.683 | 0.117 | 0.058 | 0.683 | 116.8 | 57.5 | 0.456 | 113.1 | 55.0 | 0.426 | 54.6 | 31.9 |
4Γ3 grid: Rows show different image types (Original NATIVE, Reconstructed NATIVE, Original VENOUS, Generated VENOUS), Columns show windowing techniques (No Window, Lung Window, Mediastinum Window)