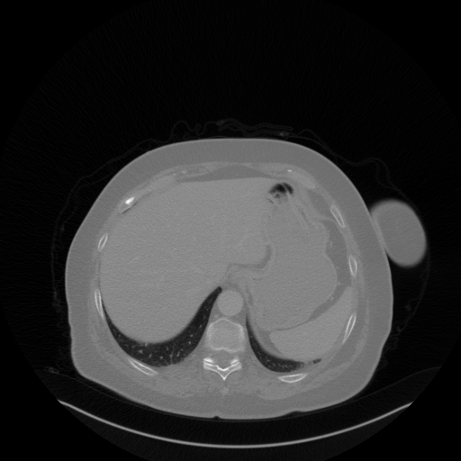
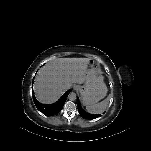
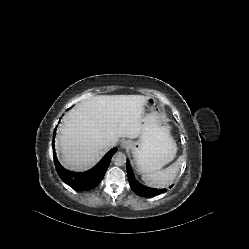
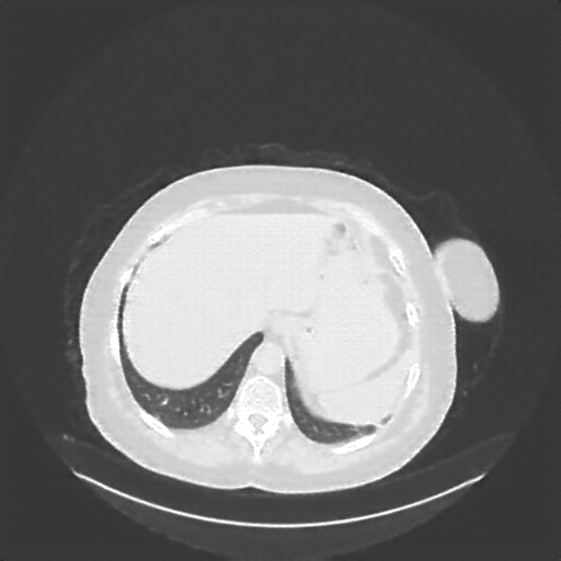
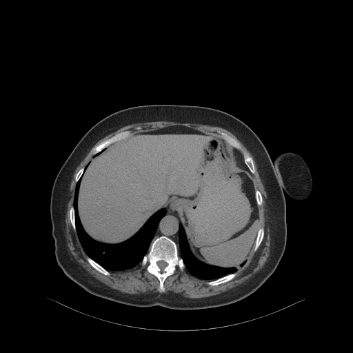
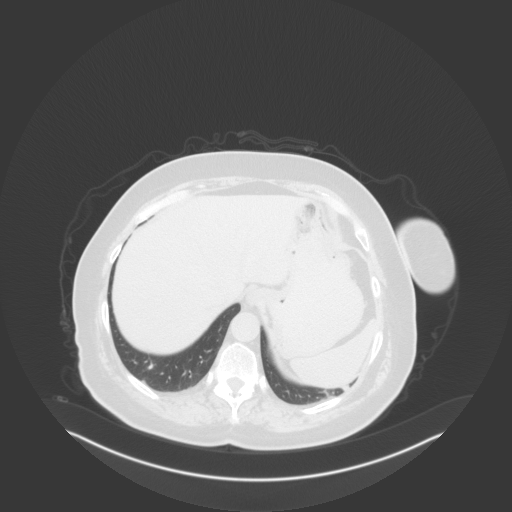
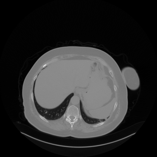
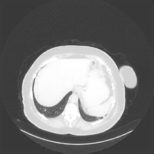
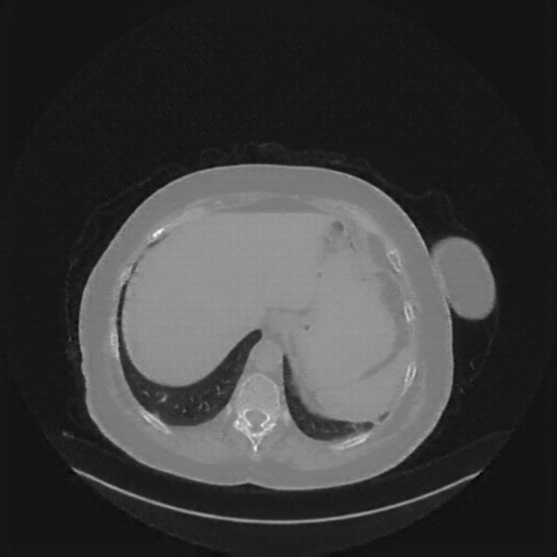
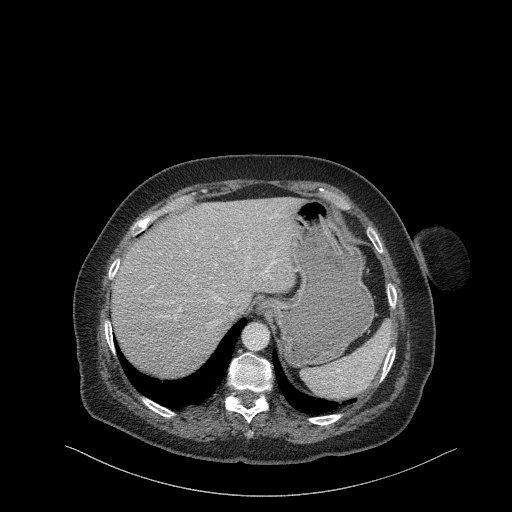
Slice 70 Targeting Evaluation
Patient ID: MP07122020q
Model: cytran
Slice: Slice_70
Slice Thickness: 3.0mm
Conversion: NATIVE β VENOUS
Contains all 4 metric datasets: Network-Normalized, Hounsfield Units, Lung Window, and Mediastinum Window
| Slice ID | SSIM | RMSE | MAE | HU SSIM | HU RMSE | HU MAE | Lung SSIM | Lung RMSE | Lung MAE | Mediastinum SSIM | Mediastinum RMSE | Mediastinum MAE |
|---|---|---|---|---|---|---|---|---|---|---|---|---|
| MP07122020q_slice_0 | 0.626 | 0.265 | 0.123 | 0.626 | 265.3 | 123.2 | 0.512 | 248.2 | 111.2 | 0.603 | 77.5 | 37.3 |
| MP07122020q_slice_1 | 0.622 | 0.266 | 0.123 | 0.622 | 266.0 | 123.2 | 0.507 | 246.8 | 111.4 | 0.600 | 80.0 | 38.6 |
| MP07122020q_slice_2 | 0.623 | 0.267 | 0.123 | 0.623 | 266.6 | 122.6 | 0.508 | 246.4 | 111.5 | 0.598 | 79.9 | 38.4 |
| MP07122020q_slice_3 | 0.629 | 0.261 | 0.121 | 0.629 | 260.8 | 121.0 | 0.516 | 246.5 | 111.2 | 0.599 | 78.7 | 37.5 |
| MP07122020q_slice_4 | 0.643 | 0.265 | 0.122 | 0.643 | 264.9 | 121.8 | 0.527 | 247.9 | 111.1 | 0.603 | 77.9 | 36.2 |
| MP07122020q_slice_5 | 0.650 | 0.268 | 0.122 | 0.650 | 267.7 | 122.4 | 0.532 | 249.9 | 112.0 | 0.607 | 77.7 | 35.5 |
| MP07122020q_slice_6 | 0.649 | 0.271 | 0.123 | 0.649 | 270.9 | 123.4 | 0.535 | 252.9 | 113.0 | 0.611 | 77.6 | 35.3 |
| MP07122020q_slice_7 | 0.649 | 0.274 | 0.125 | 0.649 | 273.6 | 124.7 | 0.534 | 255.6 | 114.4 | 0.614 | 77.2 | 35.1 |
| MP07122020q_slice_8 | 0.657 | 0.271 | 0.124 | 0.657 | 271.2 | 124.3 | 0.537 | 256.4 | 114.6 | 0.620 | 74.5 | 33.6 |
| MP07122020q_slice_9 | 0.657 | 0.268 | 0.124 | 0.657 | 268.2 | 124.3 | 0.537 | 256.1 | 114.9 | 0.622 | 74.8 | 33.6 |
| MP07122020q_slice_10 | 0.658 | 0.270 | 0.125 | 0.658 | 269.6 | 124.7 | 0.536 | 257.0 | 115.7 | 0.625 | 77.6 | 34.5 |
| MP07122020q_slice_11 | 0.657 | 0.274 | 0.126 | 0.657 | 273.7 | 126.5 | 0.536 | 260.6 | 117.8 | 0.627 | 80.2 | 35.4 |
| MP07122020q_slice_12 | 0.657 | 0.274 | 0.127 | 0.657 | 273.7 | 126.6 | 0.536 | 262.9 | 118.8 | 0.630 | 79.6 | 35.3 |
| MP07122020q_slice_13 | 0.658 | 0.272 | 0.126 | 0.658 | 272.3 | 125.9 | 0.535 | 262.7 | 118.8 | 0.631 | 78.1 | 34.7 |
| MP07122020q_slice_14 | 0.663 | 0.271 | 0.124 | 0.663 | 271.2 | 124.0 | 0.540 | 261.9 | 117.6 | 0.634 | 75.0 | 32.9 |
| MP07122020q_slice_15 | 0.669 | 0.270 | 0.123 | 0.669 | 269.8 | 122.8 | 0.543 | 261.6 | 116.8 | 0.635 | 73.2 | 31.9 |
| MP07122020q_slice_16 | 0.669 | 0.271 | 0.123 | 0.669 | 271.4 | 123.3 | 0.544 | 262.6 | 117.1 | 0.634 | 73.9 | 31.8 |
| MP07122020q_slice_17 | 0.672 | 0.273 | 0.124 | 0.672 | 273.4 | 123.6 | 0.547 | 264.3 | 117.6 | 0.635 | 75.1 | 32.0 |
| MP07122020q_slice_18 | 0.676 | 0.274 | 0.123 | 0.676 | 274.5 | 123.3 | 0.551 | 265.6 | 117.7 | 0.635 | 74.8 | 31.6 |
| MP07122020q_slice_19 | 0.676 | 0.275 | 0.124 | 0.676 | 275.5 | 124.0 | 0.550 | 267.2 | 118.9 | 0.636 | 75.3 | 31.8 |
| MP07122020q_slice_20 | 0.675 | 0.276 | 0.125 | 0.675 | 275.7 | 124.5 | 0.550 | 268.2 | 119.6 | 0.635 | 74.8 | 31.8 |
| MP07122020q_slice_21 | 0.673 | 0.277 | 0.126 | 0.673 | 276.8 | 125.6 | 0.549 | 269.5 | 120.6 | 0.635 | 74.8 | 32.0 |
| MP07122020q_slice_22 | 0.670 | 0.277 | 0.126 | 0.670 | 276.9 | 126.3 | 0.546 | 269.8 | 121.6 | 0.635 | 74.2 | 31.8 |
| MP07122020q_slice_23 | 0.670 | 0.277 | 0.127 | 0.670 | 277.0 | 126.6 | 0.546 | 269.9 | 121.9 | 0.635 | 73.6 | 31.6 |
| MP07122020q_slice_24 | 0.671 | 0.277 | 0.126 | 0.671 | 276.8 | 126.4 | 0.548 | 270.1 | 121.9 | 0.634 | 73.7 | 31.7 |
| MP07122020q_slice_25 | 0.672 | 0.277 | 0.127 | 0.672 | 277.4 | 126.7 | 0.547 | 271.1 | 122.4 | 0.633 | 74.0 | 31.8 |
| MP07122020q_slice_26 | 0.671 | 0.279 | 0.128 | 0.671 | 279.1 | 127.5 | 0.549 | 271.9 | 122.9 | 0.635 | 74.5 | 32.0 |
| MP07122020q_slice_27 | 0.674 | 0.281 | 0.128 | 0.674 | 280.9 | 128.4 | 0.552 | 273.2 | 123.5 | 0.636 | 74.4 | 31.7 |
| MP07122020q_slice_28 | 0.678 | 0.283 | 0.129 | 0.678 | 282.5 | 129.2 | 0.554 | 274.0 | 123.6 | 0.634 | 74.8 | 31.5 |
| MP07122020q_slice_29 | 0.679 | 0.283 | 0.130 | 0.679 | 283.1 | 129.9 | 0.555 | 275.5 | 124.6 | 0.630 | 74.3 | 31.3 |
| MP07122020q_slice_30 | 0.682 | 0.283 | 0.129 | 0.682 | 282.6 | 129.5 | 0.556 | 275.6 | 124.5 | 0.632 | 73.5 | 30.8 |
| MP07122020q_slice_31 | 0.680 | 0.283 | 0.130 | 0.680 | 282.8 | 129.8 | 0.553 | 276.5 | 125.4 | 0.633 | 73.4 | 30.9 |
| MP07122020q_slice_32 | 0.678 | 0.283 | 0.130 | 0.678 | 282.8 | 130.1 | 0.551 | 277.2 | 126.1 | 0.631 | 73.4 | 31.1 |
| MP07122020q_slice_33 | 0.678 | 0.283 | 0.130 | 0.678 | 283.2 | 130.0 | 0.551 | 277.2 | 126.1 | 0.629 | 74.1 | 31.4 |
| MP07122020q_slice_34 | 0.677 | 0.285 | 0.131 | 0.677 | 285.3 | 130.7 | 0.551 | 277.8 | 126.3 | 0.627 | 75.6 | 31.9 |
| MP07122020q_slice_35 | 0.679 | 0.287 | 0.131 | 0.679 | 287.3 | 131.4 | 0.555 | 278.9 | 126.5 | 0.624 | 76.3 | 32.1 |
| MP07122020q_slice_36 | 0.683 | 0.287 | 0.131 | 0.683 | 287.4 | 131.5 | 0.561 | 278.6 | 125.9 | 0.621 | 76.3 | 32.2 |
| MP07122020q_slice_37 | 0.680 | 0.288 | 0.132 | 0.680 | 287.5 | 132.1 | 0.560 | 279.2 | 126.6 | 0.621 | 75.9 | 31.8 |
| MP07122020q_slice_38 | 0.677 | 0.288 | 0.133 | 0.677 | 287.7 | 132.9 | 0.556 | 280.2 | 127.6 | 0.620 | 75.3 | 32.0 |
| MP07122020q_slice_39 | 0.673 | 0.288 | 0.134 | 0.673 | 287.7 | 134.0 | 0.552 | 280.9 | 129.2 | 0.618 | 75.7 | 32.9 |
| MP07122020q_slice_40 | 0.670 | 0.288 | 0.135 | 0.670 | 288.3 | 135.2 | 0.548 | 282.8 | 131.2 | 0.611 | 74.9 | 32.7 |
| MP07122020q_slice_41 | 0.674 | 0.286 | 0.133 | 0.674 | 286.4 | 133.4 | 0.549 | 281.4 | 130.0 | 0.613 | 73.0 | 31.6 |
| MP07122020q_slice_42 | 0.679 | 0.287 | 0.133 | 0.679 | 287.0 | 133.0 | 0.550 | 282.0 | 129.8 | 0.612 | 72.4 | 31.1 |
| MP07122020q_slice_43 | 0.686 | 0.288 | 0.133 | 0.686 | 288.3 | 132.6 | 0.556 | 282.3 | 129.0 | 0.610 | 72.5 | 30.9 |
| MP07122020q_slice_44 | 0.684 | 0.289 | 0.133 | 0.684 | 288.6 | 133.2 | 0.554 | 282.8 | 129.7 | 0.611 | 73.1 | 31.2 |
| MP07122020q_slice_45 | 0.684 | 0.290 | 0.134 | 0.684 | 289.9 | 134.0 | 0.554 | 283.0 | 129.9 | 0.608 | 74.3 | 31.4 |
| MP07122020q_slice_46 | 0.685 | 0.289 | 0.134 | 0.685 | 289.3 | 133.8 | 0.556 | 282.9 | 129.6 | 0.610 | 74.7 | 31.3 |
| MP07122020q_slice_47 | 0.689 | 0.289 | 0.133 | 0.689 | 288.9 | 133.1 | 0.563 | 282.8 | 128.8 | 0.611 | 73.2 | 30.7 |
| MP07122020q_slice_48 | 0.692 | 0.287 | 0.132 | 0.692 | 287.5 | 132.3 | 0.568 | 282.0 | 128.1 | 0.612 | 72.5 | 30.6 |
| MP07122020q_slice_49 | 0.693 | 0.285 | 0.131 | 0.693 | 285.4 | 130.9 | 0.570 | 280.5 | 127.1 | 0.616 | 71.7 | 30.2 |
| MP07122020q_slice_50 | 0.693 | 0.284 | 0.130 | 0.693 | 283.8 | 130.1 | 0.569 | 278.7 | 126.4 | 0.618 | 71.6 | 30.1 |
| MP07122020q_slice_51 | 0.697 | 0.282 | 0.128 | 0.697 | 281.7 | 128.1 | 0.572 | 276.9 | 124.8 | 0.620 | 70.2 | 29.1 |
| MP07122020q_slice_52 | 0.695 | 0.281 | 0.128 | 0.695 | 281.1 | 127.5 | 0.570 | 275.6 | 124.1 | 0.623 | 70.1 | 29.1 |
| MP07122020q_slice_53 | 0.701 | 0.279 | 0.126 | 0.701 | 279.4 | 126.1 | 0.574 | 273.8 | 122.5 | 0.627 | 69.7 | 28.7 |
| MP07122020q_slice_54 | 0.701 | 0.279 | 0.126 | 0.701 | 279.3 | 126.4 | 0.571 | 273.6 | 122.9 | 0.630 | 69.3 | 28.6 |
| MP07122020q_slice_55 | 0.699 | 0.277 | 0.126 | 0.699 | 276.6 | 126.0 | 0.565 | 271.3 | 122.5 | 0.630 | 69.4 | 29.0 |
| MP07122020q_slice_56 | 0.696 | 0.276 | 0.128 | 0.696 | 275.9 | 127.5 | 0.558 | 270.8 | 123.9 | 0.627 | 69.3 | 29.2 |
| MP07122020q_slice_57 | 0.682 | 0.282 | 0.132 | 0.682 | 281.6 | 132.3 | 0.547 | 276.6 | 128.5 | 0.616 | 72.6 | 31.8 |
| MP07122020q_slice_58 | 0.665 | 0.284 | 0.135 | 0.665 | 283.6 | 134.8 | 0.532 | 278.3 | 130.6 | 0.605 | 76.7 | 34.8 |
| MP07122020q_slice_59 | 0.657 | 0.279 | 0.133 | 0.657 | 279.0 | 132.6 | 0.526 | 273.2 | 128.3 | 0.600 | 78.5 | 36.1 |
| MP07122020q_slice_60 | 0.668 | 0.276 | 0.128 | 0.668 | 275.6 | 128.4 | 0.535 | 269.6 | 124.5 | 0.601 | 75.8 | 34.1 |
| MP07122020q_slice_61 | 0.671 | 0.273 | 0.127 | 0.671 | 273.5 | 127.0 | 0.539 | 268.2 | 123.2 | 0.599 | 75.0 | 34.1 |
| MP07122020q_slice_62 | 0.681 | 0.270 | 0.125 | 0.681 | 270.3 | 124.7 | 0.549 | 265.7 | 121.2 | 0.601 | 73.3 | 33.3 |
| MP07122020q_slice_63 | 0.697 | 0.267 | 0.122 | 0.697 | 266.7 | 121.6 | 0.561 | 262.4 | 118.5 | 0.602 | 71.3 | 32.0 |
| MP07122020q_slice_64 | 0.708 | 0.264 | 0.119 | 0.708 | 263.6 | 118.9 | 0.573 | 259.5 | 116.0 | 0.606 | 70.2 | 31.2 |
| MP07122020q_slice_65 | 0.712 | 0.261 | 0.117 | 0.712 | 261.1 | 117.2 | 0.578 | 256.5 | 113.9 | 0.606 | 69.9 | 30.9 |
| MP07122020q_slice_66 | 0.717 | 0.256 | 0.114 | 0.717 | 255.8 | 113.8 | 0.582 | 251.5 | 110.6 | 0.608 | 69.7 | 31.0 |
| MP07122020q_slice_67 | 0.721 | 0.249 | 0.110 | 0.721 | 249.4 | 110.2 | 0.583 | 244.9 | 107.0 | 0.610 | 69.6 | 30.9 |
| MP07122020q_slice_68 | 0.725 | 0.246 | 0.107 | 0.725 | 246.1 | 107.4 | 0.583 | 241.7 | 104.4 | 0.610 | 68.6 | 30.3 |
| MP07122020q_slice_69 | 0.728 | 0.243 | 0.106 | 0.728 | 243.0 | 106.1 | 0.583 | 238.7 | 103.1 | 0.610 | 68.0 | 30.1 |
| MP07122020q_slice_70 | 0.728 | 0.241 | 0.105 | 0.728 | 241.4 | 104.9 | 0.577 | 237.1 | 102.1 | 0.609 | 67.5 | 30.0 |
| MP07122020q_slice_71 | 0.730 | 0.240 | 0.104 | 0.730 | 239.7 | 103.8 | 0.580 | 235.6 | 101.0 | 0.610 | 66.7 | 29.6 |
| MP07122020q_slice_72 | 0.727 | 0.237 | 0.103 | 0.727 | 237.3 | 102.8 | 0.579 | 233.4 | 100.1 | 0.612 | 67.0 | 29.8 |
| MP07122020q_slice_73 | 0.729 | 0.234 | 0.100 | 0.729 | 234.0 | 100.4 | 0.580 | 229.8 | 97.4 | 0.617 | 67.1 | 29.8 |
| MP07122020q_slice_74 | 0.734 | 0.229 | 0.097 | 0.734 | 228.9 | 96.5 | 0.585 | 224.4 | 93.4 | 0.617 | 66.0 | 29.0 |
| MP07122020q_slice_75 | 0.734 | 0.223 | 0.094 | 0.734 | 222.9 | 93.9 | 0.584 | 218.7 | 90.7 | 0.618 | 64.6 | 28.7 |
| MP07122020q_slice_76 | 0.734 | 0.218 | 0.092 | 0.734 | 218.2 | 91.7 | 0.584 | 214.1 | 88.5 | 0.618 | 63.4 | 28.3 |
| MP07122020q_slice_77 | 0.734 | 0.215 | 0.090 | 0.734 | 214.7 | 89.9 | 0.584 | 210.4 | 86.5 | 0.619 | 63.1 | 28.2 |
| MP07122020q_slice_78 | 0.733 | 0.212 | 0.088 | 0.733 | 212.5 | 88.4 | 0.582 | 208.1 | 84.9 | 0.618 | 62.9 | 28.1 |
| MP07122020q_slice_79 | 0.733 | 0.210 | 0.087 | 0.733 | 210.4 | 87.1 | 0.582 | 206.0 | 83.7 | 0.618 | 63.1 | 28.1 |
| MP07122020q_slice_80 | 0.733 | 0.208 | 0.086 | 0.733 | 208.2 | 86.4 | 0.581 | 203.8 | 83.0 | 0.619 | 62.9 | 28.2 |
| MP07122020q_slice_81 | 0.726 | 0.207 | 0.087 | 0.726 | 206.5 | 86.6 | 0.573 | 202.1 | 83.2 | 0.620 | 62.6 | 28.5 |
| MP07122020q_slice_82 | 0.726 | 0.205 | 0.086 | 0.726 | 204.6 | 86.0 | 0.569 | 200.5 | 82.8 | 0.622 | 62.4 | 28.3 |
| MP07122020q_slice_83 | 0.727 | 0.203 | 0.085 | 0.727 | 202.9 | 85.3 | 0.569 | 198.6 | 81.9 | 0.621 | 62.1 | 28.1 |
| MP07122020q_slice_84 | 0.723 | 0.200 | 0.085 | 0.723 | 200.5 | 85.3 | 0.567 | 196.4 | 82.0 | 0.621 | 62.9 | 28.7 |
| MP07122020q_slice_85 | 0.721 | 0.199 | 0.085 | 0.721 | 199.3 | 84.6 | 0.566 | 194.9 | 81.3 | 0.621 | 62.8 | 28.6 |
| MP07122020q_slice_86 | 0.716 | 0.200 | 0.086 | 0.716 | 199.9 | 85.5 | 0.561 | 195.3 | 82.1 | 0.620 | 64.3 | 29.4 |
| MP07122020q_slice_87 | 0.715 | 0.201 | 0.086 | 0.715 | 201.0 | 86.2 | 0.558 | 196.3 | 82.7 | 0.619 | 64.8 | 29.5 |
4Γ3 grid: Rows show different image types (Original NATIVE, Reconstructed NATIVE, Original VENOUS, Generated VENOUS), Columns show windowing techniques (No Window, Lung Window, Mediastinum Window)