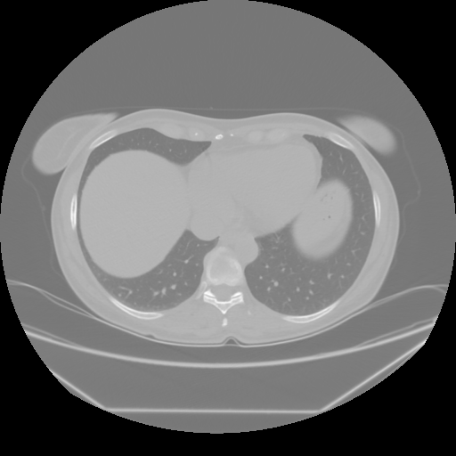
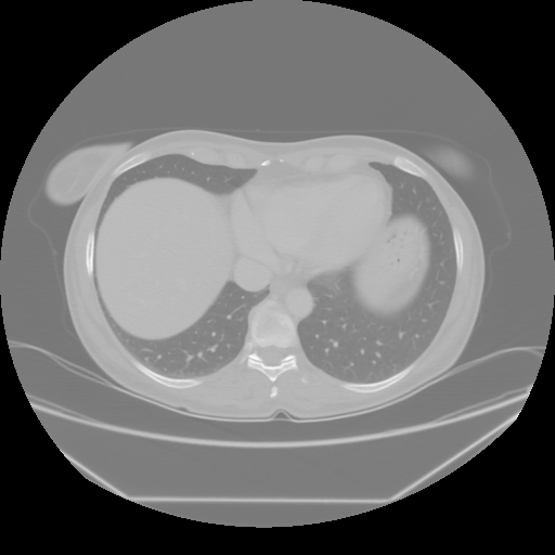
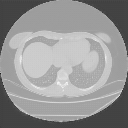
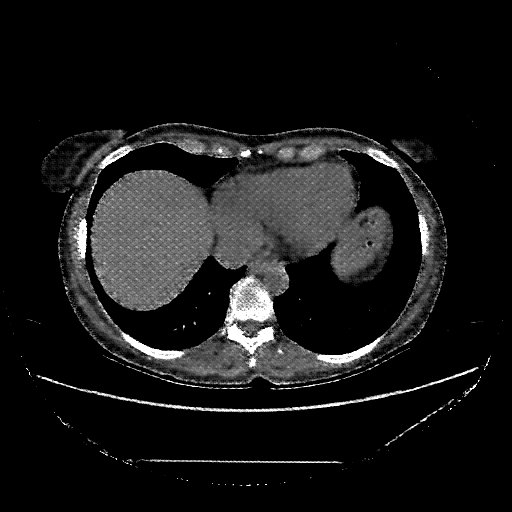
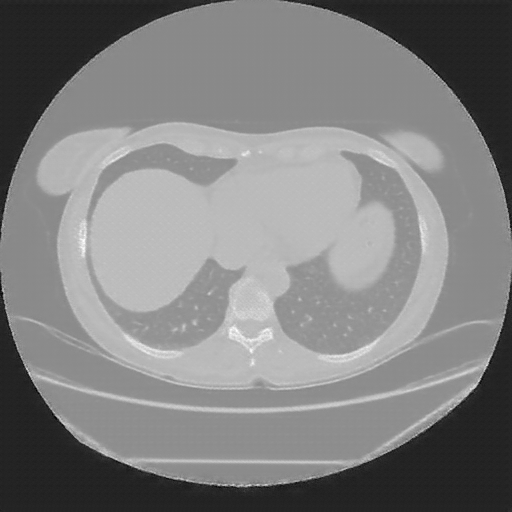
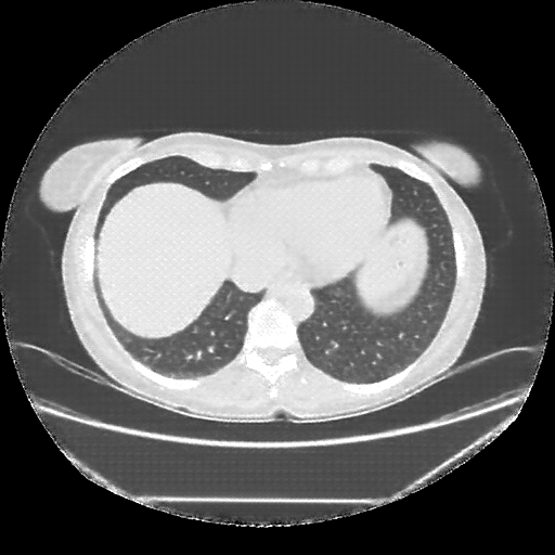
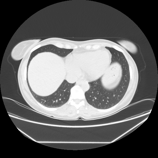
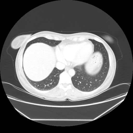
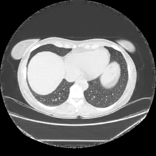
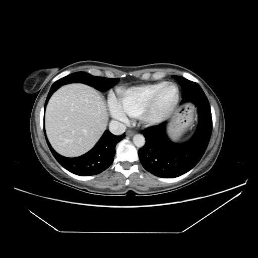
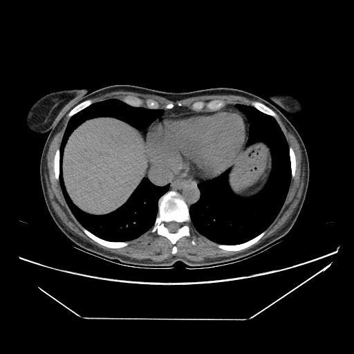
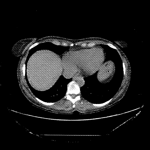
Slice 70 Targeting Evaluation
Patient ID: PM03022021
Model: cytran
Slice: Slice_70
Slice Thickness: 2.5mm
Conversion: NATIVE β VENOUS
Contains all 4 metric datasets: Network-Normalized, Hounsfield Units, Lung Window, and Mediastinum Window
| Slice ID | SSIM | RMSE | MAE | HU SSIM | HU RMSE | HU MAE | Lung SSIM | Lung RMSE | Lung MAE | Mediastinum SSIM | Mediastinum RMSE | Mediastinum MAE |
|---|---|---|---|---|---|---|---|---|---|---|---|---|
| PM03022021_slice_0 | 0.814 | 0.125 | 0.069 | 0.814 | 124.6 | 69.1 | 0.685 | 85.2 | 40.0 | 0.713 | 48.2 | 19.2 |
| PM03022021_slice_1 | 0.819 | 0.122 | 0.069 | 0.819 | 122.2 | 68.7 | 0.687 | 84.7 | 40.0 | 0.713 | 47.9 | 19.1 |
| PM03022021_slice_2 | 0.814 | 0.122 | 0.070 | 0.814 | 122.2 | 69.6 | 0.683 | 85.2 | 40.7 | 0.712 | 48.7 | 19.4 |
| PM03022021_slice_3 | 0.817 | 0.123 | 0.070 | 0.817 | 123.2 | 69.7 | 0.682 | 85.7 | 40.8 | 0.715 | 49.1 | 19.4 |
| PM03022021_slice_4 | 0.817 | 0.122 | 0.070 | 0.817 | 122.3 | 70.1 | 0.682 | 85.0 | 41.2 | 0.721 | 47.6 | 18.8 |
| PM03022021_slice_5 | 0.825 | 0.118 | 0.070 | 0.825 | 118.4 | 69.5 | 0.686 | 85.1 | 41.3 | 0.724 | 46.1 | 18.2 |
| PM03022021_slice_6 | 0.831 | 0.117 | 0.068 | 0.831 | 117.0 | 68.2 | 0.692 | 84.5 | 41.0 | 0.730 | 44.2 | 17.5 |
| PM03022021_slice_7 | 0.824 | 0.121 | 0.070 | 0.824 | 120.9 | 69.6 | 0.688 | 86.2 | 41.8 | 0.729 | 46.0 | 17.9 |
| PM03022021_slice_8 | 0.822 | 0.123 | 0.070 | 0.822 | 123.4 | 70.4 | 0.688 | 87.8 | 42.0 | 0.728 | 46.6 | 17.9 |
| PM03022021_slice_9 | 0.812 | 0.121 | 0.071 | 0.812 | 121.0 | 70.6 | 0.679 | 88.9 | 42.7 | 0.724 | 47.5 | 18.2 |
| PM03022021_slice_10 | 0.818 | 0.119 | 0.070 | 0.818 | 118.7 | 70.0 | 0.683 | 88.1 | 42.8 | 0.728 | 46.6 | 17.8 |
| PM03022021_slice_11 | 0.829 | 0.117 | 0.069 | 0.829 | 117.1 | 69.2 | 0.691 | 87.4 | 42.8 | 0.734 | 45.3 | 17.1 |
| PM03022021_slice_12 | 0.831 | 0.116 | 0.069 | 0.831 | 116.2 | 68.7 | 0.693 | 87.1 | 42.8 | 0.739 | 43.7 | 16.5 |
| PM03022021_slice_13 | 0.836 | 0.116 | 0.069 | 0.836 | 115.8 | 68.9 | 0.695 | 87.4 | 43.4 | 0.747 | 42.5 | 15.9 |
| PM03022021_slice_14 | 0.836 | 0.117 | 0.069 | 0.836 | 116.9 | 69.2 | 0.694 | 89.0 | 43.9 | 0.752 | 42.3 | 15.7 |
| PM03022021_slice_15 | 0.827 | 0.119 | 0.070 | 0.827 | 119.0 | 70.1 | 0.686 | 90.4 | 44.4 | 0.746 | 44.1 | 16.1 |
| PM03022021_slice_16 | 0.828 | 0.123 | 0.071 | 0.828 | 122.6 | 70.8 | 0.688 | 92.7 | 44.4 | 0.747 | 44.2 | 15.9 |
| PM03022021_slice_17 | 0.826 | 0.123 | 0.072 | 0.826 | 123.5 | 72.1 | 0.684 | 94.0 | 45.3 | 0.749 | 43.7 | 15.8 |
| PM03022021_slice_18 | 0.825 | 0.123 | 0.073 | 0.825 | 122.8 | 72.7 | 0.681 | 94.3 | 46.3 | 0.749 | 44.0 | 15.9 |
| PM03022021_slice_19 | 0.823 | 0.124 | 0.074 | 0.823 | 123.9 | 73.9 | 0.677 | 97.0 | 48.2 | 0.746 | 43.6 | 16.0 |
| PM03022021_slice_20 | 0.822 | 0.126 | 0.075 | 0.822 | 125.7 | 75.5 | 0.673 | 99.5 | 50.0 | 0.744 | 44.4 | 16.2 |
| PM03022021_slice_21 | 0.818 | 0.127 | 0.077 | 0.818 | 127.0 | 76.5 | 0.669 | 101.6 | 51.3 | 0.742 | 45.1 | 16.4 |
| PM03022021_slice_22 | 0.816 | 0.126 | 0.076 | 0.816 | 126.4 | 76.5 | 0.667 | 101.0 | 51.5 | 0.741 | 46.0 | 16.7 |
| PM03022021_slice_23 | 0.819 | 0.125 | 0.076 | 0.819 | 125.1 | 75.7 | 0.671 | 100.0 | 50.9 | 0.744 | 45.3 | 16.4 |
| PM03022021_slice_24 | 0.819 | 0.125 | 0.076 | 0.819 | 125.2 | 75.9 | 0.673 | 99.4 | 50.4 | 0.747 | 45.9 | 16.5 |
| PM03022021_slice_25 | 0.822 | 0.126 | 0.075 | 0.822 | 125.8 | 75.5 | 0.677 | 98.5 | 49.2 | 0.751 | 45.3 | 16.1 |
| PM03022021_slice_26 | 0.823 | 0.126 | 0.076 | 0.823 | 126.1 | 76.1 | 0.678 | 98.7 | 49.4 | 0.753 | 44.5 | 15.9 |
| PM03022021_slice_27 | 0.821 | 0.125 | 0.076 | 0.821 | 124.8 | 75.9 | 0.677 | 98.0 | 49.3 | 0.751 | 43.6 | 15.8 |
| PM03022021_slice_28 | 0.821 | 0.125 | 0.076 | 0.821 | 124.7 | 76.2 | 0.673 | 98.7 | 50.1 | 0.751 | 43.9 | 15.9 |
| PM03022021_slice_29 | 0.823 | 0.124 | 0.075 | 0.823 | 123.9 | 75.5 | 0.673 | 98.7 | 50.3 | 0.750 | 43.3 | 15.9 |
| PM03022021_slice_30 | 0.823 | 0.124 | 0.075 | 0.823 | 123.6 | 75.2 | 0.672 | 99.1 | 50.5 | 0.751 | 43.6 | 15.9 |
| PM03022021_slice_31 | 0.824 | 0.122 | 0.075 | 0.824 | 122.3 | 74.5 | 0.670 | 97.5 | 50.0 | 0.750 | 43.2 | 15.8 |
| PM03022021_slice_32 | 0.826 | 0.122 | 0.074 | 0.826 | 121.7 | 74.0 | 0.672 | 96.8 | 49.7 | 0.751 | 42.5 | 15.7 |
| PM03022021_slice_33 | 0.825 | 0.121 | 0.074 | 0.825 | 120.8 | 73.8 | 0.674 | 94.9 | 48.8 | 0.754 | 43.1 | 15.7 |
| PM03022021_slice_34 | 0.825 | 0.121 | 0.074 | 0.825 | 121.3 | 74.3 | 0.676 | 94.6 | 48.5 | 0.755 | 43.7 | 15.9 |
| PM03022021_slice_35 | 0.820 | 0.122 | 0.075 | 0.820 | 121.6 | 75.0 | 0.674 | 93.9 | 48.7 | 0.752 | 44.7 | 16.3 |
| PM03022021_slice_36 | 0.814 | 0.122 | 0.076 | 0.814 | 122.2 | 76.0 | 0.670 | 94.6 | 49.5 | 0.753 | 46.1 | 16.8 |
| PM03022021_slice_37 | 0.817 | 0.122 | 0.076 | 0.817 | 121.9 | 76.1 | 0.673 | 95.0 | 50.0 | 0.749 | 46.3 | 17.1 |
| PM03022021_slice_38 | 0.818 | 0.122 | 0.076 | 0.818 | 121.5 | 75.8 | 0.673 | 95.8 | 50.5 | 0.748 | 46.3 | 17.2 |
| PM03022021_slice_39 | 0.823 | 0.122 | 0.075 | 0.823 | 122.1 | 75.1 | 0.676 | 97.1 | 50.7 | 0.745 | 45.5 | 17.0 |
| PM03022021_slice_40 | 0.826 | 0.121 | 0.075 | 0.826 | 121.4 | 74.8 | 0.679 | 96.3 | 50.7 | 0.748 | 45.3 | 17.0 |
| PM03022021_slice_41 | 0.828 | 0.121 | 0.074 | 0.828 | 120.9 | 74.0 | 0.682 | 95.4 | 50.2 | 0.756 | 44.6 | 16.5 |
| PM03022021_slice_42 | 0.829 | 0.120 | 0.074 | 0.829 | 120.0 | 74.4 | 0.684 | 94.1 | 49.9 | 0.762 | 44.2 | 16.3 |
| PM03022021_slice_43 | 0.832 | 0.118 | 0.073 | 0.832 | 117.9 | 72.9 | 0.688 | 91.9 | 48.6 | 0.762 | 43.8 | 16.1 |
| PM03022021_slice_44 | 0.830 | 0.116 | 0.072 | 0.830 | 116.5 | 71.8 | 0.687 | 90.3 | 47.5 | 0.761 | 44.1 | 16.1 |
| PM03022021_slice_45 | 0.829 | 0.116 | 0.071 | 0.829 | 115.6 | 71.5 | 0.684 | 89.1 | 46.9 | 0.758 | 43.8 | 16.1 |
| PM03022021_slice_46 | 0.829 | 0.116 | 0.071 | 0.829 | 115.6 | 70.8 | 0.685 | 89.6 | 46.9 | 0.755 | 44.0 | 16.2 |
| PM03022021_slice_47 | 0.828 | 0.117 | 0.072 | 0.828 | 116.5 | 72.3 | 0.681 | 91.3 | 48.5 | 0.755 | 43.9 | 16.2 |
| PM03022021_slice_48 | 0.825 | 0.119 | 0.073 | 0.825 | 118.8 | 73.3 | 0.669 | 93.4 | 49.3 | 0.755 | 44.4 | 16.4 |
| PM03022021_slice_49 | 0.824 | 0.120 | 0.073 | 0.824 | 119.6 | 73.3 | 0.668 | 94.4 | 49.6 | 0.754 | 44.5 | 16.5 |
| PM03022021_slice_50 | 0.822 | 0.121 | 0.074 | 0.822 | 120.8 | 73.8 | 0.668 | 95.8 | 49.9 | 0.755 | 45.1 | 16.7 |
| PM03022021_slice_51 | 0.823 | 0.121 | 0.074 | 0.823 | 121.4 | 74.0 | 0.669 | 96.4 | 49.9 | 0.758 | 46.2 | 17.0 |
| PM03022021_slice_52 | 0.823 | 0.120 | 0.073 | 0.823 | 120.0 | 73.5 | 0.668 | 95.2 | 49.5 | 0.755 | 45.8 | 17.1 |
| PM03022021_slice_53 | 0.825 | 0.120 | 0.074 | 0.825 | 119.5 | 73.6 | 0.672 | 94.8 | 49.4 | 0.757 | 45.5 | 16.9 |
| PM03022021_slice_54 | 0.822 | 0.120 | 0.074 | 0.822 | 119.6 | 73.8 | 0.671 | 94.6 | 49.7 | 0.759 | 46.1 | 17.1 |
| PM03022021_slice_55 | 0.825 | 0.119 | 0.073 | 0.825 | 119.1 | 73.3 | 0.674 | 93.8 | 49.0 | 0.763 | 45.5 | 16.8 |
| PM03022021_slice_56 | 0.829 | 0.118 | 0.072 | 0.829 | 118.3 | 72.5 | 0.679 | 92.9 | 48.2 | 0.767 | 45.0 | 16.5 |
| PM03022021_slice_57 | 0.828 | 0.117 | 0.072 | 0.828 | 117.3 | 72.2 | 0.680 | 91.6 | 47.8 | 0.768 | 45.0 | 16.5 |
| PM03022021_slice_58 | 0.828 | 0.118 | 0.073 | 0.828 | 117.9 | 72.7 | 0.677 | 92.0 | 48.2 | 0.771 | 44.5 | 16.3 |
| PM03022021_slice_59 | 0.828 | 0.120 | 0.074 | 0.828 | 120.2 | 74.1 | 0.676 | 95.4 | 49.9 | 0.770 | 44.2 | 16.1 |
| PM03022021_slice_60 | 0.819 | 0.131 | 0.078 | 0.819 | 131.3 | 78.5 | 0.671 | 108.9 | 54.2 | 0.760 | 47.9 | 17.5 |
| PM03022021_slice_61 | 0.812 | 0.130 | 0.079 | 0.812 | 130.4 | 78.8 | 0.667 | 107.8 | 54.5 | 0.754 | 50.8 | 18.8 |
| PM03022021_slice_62 | 0.813 | 0.129 | 0.078 | 0.813 | 128.9 | 77.6 | 0.668 | 106.3 | 53.5 | 0.751 | 50.2 | 18.8 |
| PM03022021_slice_63 | 0.811 | 0.129 | 0.078 | 0.811 | 129.2 | 77.7 | 0.666 | 106.6 | 53.6 | 0.750 | 50.3 | 18.9 |
| PM03022021_slice_64 | 0.808 | 0.130 | 0.078 | 0.808 | 129.7 | 78.1 | 0.663 | 107.2 | 54.1 | 0.746 | 50.6 | 19.3 |
| PM03022021_slice_65 | 0.809 | 0.129 | 0.078 | 0.809 | 129.0 | 77.7 | 0.664 | 106.3 | 53.5 | 0.744 | 50.4 | 19.3 |
| PM03022021_slice_66 | 0.806 | 0.129 | 0.078 | 0.806 | 129.3 | 77.7 | 0.663 | 106.6 | 53.7 | 0.743 | 50.8 | 19.6 |
| PM03022021_slice_67 | 0.801 | 0.132 | 0.079 | 0.801 | 131.6 | 79.3 | 0.659 | 109.3 | 54.8 | 0.740 | 51.3 | 19.8 |
| PM03022021_slice_68 | 0.795 | 0.134 | 0.080 | 0.795 | 134.0 | 79.5 | 0.655 | 112.7 | 55.6 | 0.734 | 52.3 | 20.3 |
| PM03022021_slice_69 | 0.792 | 0.136 | 0.080 | 0.792 | 136.0 | 80.0 | 0.653 | 115.2 | 56.1 | 0.732 | 52.6 | 20.5 |
| PM03022021_slice_70 | 0.793 | 0.138 | 0.080 | 0.793 | 137.8 | 79.8 | 0.652 | 117.4 | 56.1 | 0.730 | 52.0 | 20.4 |
| PM03022021_slice_71 | 0.791 | 0.136 | 0.079 | 0.791 | 135.8 | 78.9 | 0.647 | 114.8 | 55.1 | 0.725 | 52.2 | 20.8 |
| PM03022021_slice_72 | 0.774 | 0.137 | 0.080 | 0.774 | 136.8 | 79.9 | 0.638 | 115.8 | 55.9 | 0.717 | 55.1 | 22.4 |
| PM03022021_slice_73 | 0.787 | 0.134 | 0.078 | 0.787 | 134.5 | 77.8 | 0.647 | 113.4 | 54.0 | 0.720 | 53.1 | 21.6 |
| PM03022021_slice_74 | 0.786 | 0.125 | 0.075 | 0.786 | 124.8 | 74.9 | 0.646 | 101.9 | 50.9 | 0.715 | 53.6 | 22.0 |
| PM03022021_slice_75 | 0.786 | 0.124 | 0.074 | 0.786 | 124.1 | 74.3 | 0.647 | 101.3 | 50.4 | 0.709 | 53.6 | 22.3 |
| PM03022021_slice_76 | 0.791 | 0.123 | 0.074 | 0.791 | 123.5 | 73.8 | 0.649 | 101.1 | 50.3 | 0.705 | 53.3 | 22.3 |
| PM03022021_slice_77 | 0.792 | 0.122 | 0.074 | 0.792 | 122.2 | 73.6 | 0.649 | 100.0 | 50.2 | 0.703 | 53.5 | 22.7 |
| PM03022021_slice_78 | 0.788 | 0.123 | 0.074 | 0.788 | 123.4 | 74.5 | 0.645 | 101.3 | 50.8 | 0.700 | 54.6 | 23.4 |
| PM03022021_slice_79 | 0.790 | 0.125 | 0.075 | 0.790 | 124.7 | 74.7 | 0.647 | 102.9 | 51.2 | 0.700 | 54.2 | 23.3 |
| PM03022021_slice_80 | 0.793 | 0.123 | 0.074 | 0.793 | 122.8 | 73.8 | 0.648 | 100.8 | 50.4 | 0.705 | 53.4 | 23.0 |
| PM03022021_slice_81 | 0.789 | 0.123 | 0.074 | 0.789 | 123.0 | 74.0 | 0.646 | 100.5 | 50.1 | 0.704 | 53.8 | 23.2 |
| PM03022021_slice_82 | 0.789 | 0.124 | 0.074 | 0.789 | 124.0 | 74.5 | 0.645 | 101.5 | 50.4 | 0.701 | 54.0 | 23.3 |
| PM03022021_slice_83 | 0.790 | 0.125 | 0.075 | 0.790 | 125.0 | 74.7 | 0.645 | 103.0 | 50.8 | 0.698 | 54.4 | 23.6 |
| PM03022021_slice_84 | 0.790 | 0.125 | 0.075 | 0.790 | 125.0 | 74.6 | 0.646 | 103.0 | 50.6 | 0.696 | 55.0 | 23.9 |
| PM03022021_slice_85 | 0.791 | 0.125 | 0.075 | 0.791 | 125.2 | 74.7 | 0.646 | 103.0 | 50.5 | 0.694 | 55.2 | 24.0 |
| PM03022021_slice_86 | 0.781 | 0.127 | 0.076 | 0.781 | 127.3 | 76.1 | 0.641 | 104.8 | 51.6 | 0.693 | 56.7 | 24.9 |
| PM03022021_slice_87 | 0.783 | 0.126 | 0.076 | 0.783 | 126.3 | 76.1 | 0.642 | 103.8 | 51.5 | 0.694 | 56.1 | 24.6 |
| PM03022021_slice_88 | 0.790 | 0.125 | 0.075 | 0.790 | 125.0 | 75.0 | 0.647 | 102.8 | 50.6 | 0.697 | 55.1 | 24.2 |
| PM03022021_slice_89 | 0.796 | 0.127 | 0.074 | 0.796 | 126.7 | 74.2 | 0.651 | 105.7 | 50.5 | 0.699 | 53.6 | 23.6 |
| PM03022021_slice_90 | 0.805 | 0.125 | 0.073 | 0.805 | 124.8 | 73.1 | 0.655 | 103.4 | 49.4 | 0.697 | 52.1 | 22.9 |
| PM03022021_slice_91 | 0.808 | 0.123 | 0.072 | 0.808 | 122.9 | 72.2 | 0.655 | 100.9 | 48.3 | 0.694 | 51.7 | 22.7 |
| PM03022021_slice_92 | 0.802 | 0.125 | 0.073 | 0.802 | 125.4 | 73.3 | 0.648 | 103.7 | 49.3 | 0.688 | 52.8 | 23.3 |
| PM03022021_slice_93 | 0.800 | 0.129 | 0.074 | 0.800 | 128.6 | 74.5 | 0.646 | 107.4 | 50.4 | 0.688 | 53.0 | 23.4 |
| PM03022021_slice_94 | 0.804 | 0.127 | 0.073 | 0.804 | 127.0 | 73.4 | 0.649 | 105.3 | 49.5 | 0.692 | 52.2 | 22.9 |
4Γ3 grid: Rows show different image types (Original NATIVE, Reconstructed NATIVE, Original VENOUS, Generated VENOUS), Columns show windowing techniques (No Window, Lung Window, Mediastinum Window)