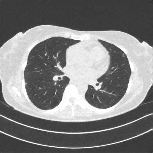
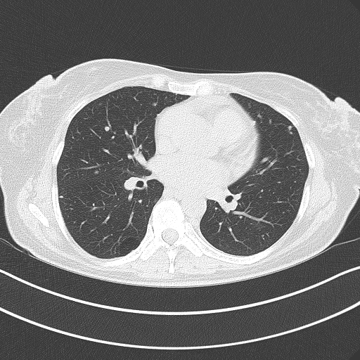
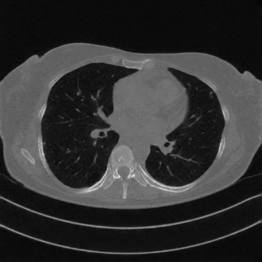
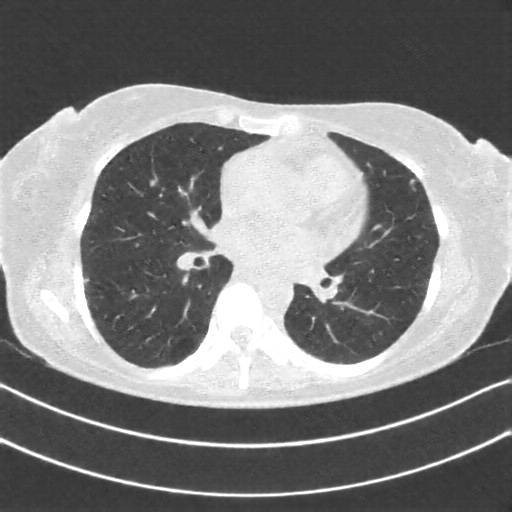
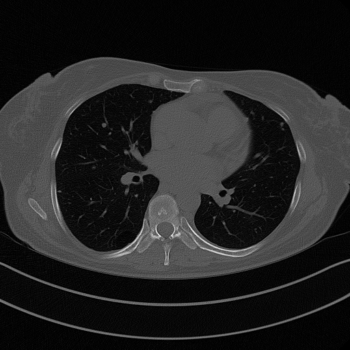
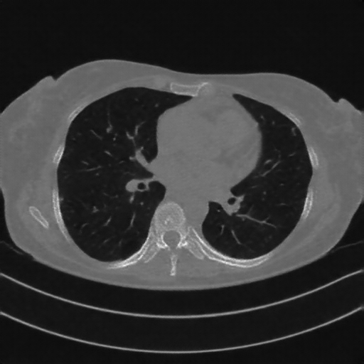
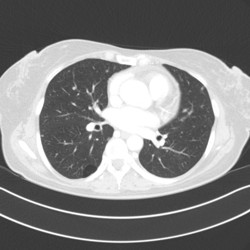
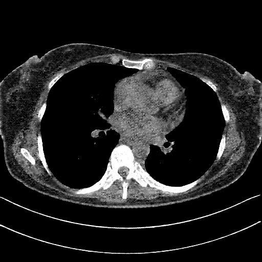
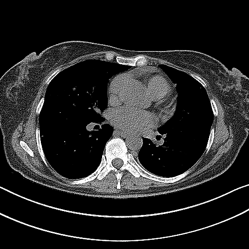
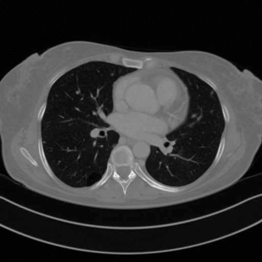
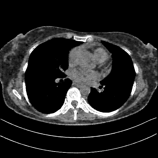
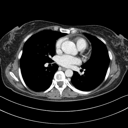
Slice 70 Targeting Evaluation
Patient ID: PN17122020
Model: cytran
Slice: Slice_70
Slice Thickness: 3.0mm
Conversion: NATIVE β VENOUS
Contains all 4 metric datasets: Network-Normalized, Hounsfield Units, Lung Window, and Mediastinum Window
| Slice ID | SSIM | RMSE | MAE | HU SSIM | HU RMSE | HU MAE | Lung SSIM | Lung RMSE | Lung MAE | Mediastinum SSIM | Mediastinum RMSE | Mediastinum MAE |
|---|---|---|---|---|---|---|---|---|---|---|---|---|
| PN17122020_slice_0 | 0.779 | 0.104 | 0.050 | 0.779 | 104.3 | 50.0 | 0.659 | 66.9 | 37.6 | 0.647 | 55.8 | 25.9 |
| PN17122020_slice_1 | 0.779 | 0.101 | 0.050 | 0.779 | 101.4 | 49.7 | 0.656 | 66.9 | 37.7 | 0.644 | 54.9 | 25.5 |
| PN17122020_slice_2 | 0.787 | 0.103 | 0.050 | 0.787 | 102.5 | 50.0 | 0.663 | 68.3 | 37.8 | 0.645 | 53.5 | 24.7 |
| PN17122020_slice_3 | 0.793 | 0.103 | 0.050 | 0.793 | 103.0 | 50.1 | 0.665 | 68.9 | 37.9 | 0.646 | 53.0 | 24.3 |
| PN17122020_slice_4 | 0.783 | 0.104 | 0.051 | 0.783 | 103.9 | 51.1 | 0.653 | 69.0 | 38.8 | 0.642 | 54.5 | 25.1 |
| PN17122020_slice_5 | 0.778 | 0.103 | 0.051 | 0.778 | 103.5 | 51.3 | 0.650 | 69.1 | 39.1 | 0.644 | 55.5 | 25.4 |
| PN17122020_slice_6 | 0.750 | 0.109 | 0.055 | 0.750 | 109.0 | 54.6 | 0.632 | 77.0 | 42.2 | 0.636 | 57.6 | 27.1 |
| PN17122020_slice_7 | 0.749 | 0.116 | 0.057 | 0.749 | 116.2 | 57.4 | 0.631 | 84.0 | 44.3 | 0.632 | 57.7 | 27.3 |
| PN17122020_slice_8 | 0.754 | 0.122 | 0.059 | 0.754 | 121.8 | 58.6 | 0.636 | 89.2 | 45.2 | 0.632 | 58.4 | 27.0 |
| PN17122020_slice_9 | 0.764 | 0.124 | 0.058 | 0.764 | 123.8 | 58.3 | 0.645 | 93.2 | 45.6 | 0.637 | 58.3 | 26.4 |
| PN17122020_slice_10 | 0.773 | 0.125 | 0.058 | 0.773 | 124.9 | 58.5 | 0.651 | 94.9 | 45.9 | 0.637 | 58.4 | 26.0 |
| PN17122020_slice_11 | 0.772 | 0.121 | 0.058 | 0.772 | 120.7 | 57.6 | 0.646 | 90.8 | 45.4 | 0.639 | 58.3 | 26.1 |
| PN17122020_slice_12 | 0.782 | 0.114 | 0.055 | 0.782 | 114.3 | 54.7 | 0.658 | 84.7 | 43.2 | 0.649 | 55.7 | 24.8 |
| PN17122020_slice_13 | 0.803 | 0.110 | 0.052 | 0.803 | 110.2 | 52.2 | 0.675 | 80.4 | 41.0 | 0.661 | 52.0 | 22.6 |
| PN17122020_slice_14 | 0.814 | 0.107 | 0.051 | 0.814 | 107.1 | 51.1 | 0.687 | 77.6 | 40.0 | 0.672 | 50.4 | 21.7 |
| PN17122020_slice_15 | 0.804 | 0.108 | 0.053 | 0.804 | 108.2 | 52.5 | 0.678 | 77.7 | 40.8 | 0.672 | 51.8 | 22.5 |
| PN17122020_slice_16 | 0.815 | 0.111 | 0.053 | 0.815 | 111.1 | 53.4 | 0.686 | 79.1 | 41.2 | 0.676 | 51.9 | 22.0 |
| PN17122020_slice_17 | 0.834 | 0.108 | 0.051 | 0.834 | 108.4 | 51.3 | 0.705 | 77.1 | 39.6 | 0.686 | 48.9 | 20.2 |
| PN17122020_slice_18 | 0.847 | 0.104 | 0.049 | 0.847 | 103.6 | 48.9 | 0.717 | 75.0 | 38.2 | 0.692 | 46.2 | 18.9 |
| PN17122020_slice_19 | 0.851 | 0.099 | 0.048 | 0.851 | 98.9 | 47.7 | 0.719 | 75.0 | 38.2 | 0.695 | 45.5 | 18.6 |
| PN17122020_slice_20 | 0.855 | 0.096 | 0.047 | 0.855 | 95.8 | 46.7 | 0.721 | 73.6 | 37.9 | 0.699 | 44.8 | 18.3 |
| PN17122020_slice_21 | 0.852 | 0.096 | 0.047 | 0.852 | 96.2 | 46.8 | 0.719 | 73.8 | 38.1 | 0.701 | 46.1 | 18.7 |
| PN17122020_slice_22 | 0.858 | 0.094 | 0.046 | 0.858 | 94.2 | 46.0 | 0.722 | 72.6 | 37.6 | 0.707 | 45.2 | 18.2 |
| PN17122020_slice_23 | 0.865 | 0.090 | 0.044 | 0.865 | 90.0 | 44.3 | 0.730 | 69.8 | 36.4 | 0.719 | 42.7 | 17.1 |
| PN17122020_slice_24 | 0.868 | 0.089 | 0.044 | 0.868 | 89.4 | 44.4 | 0.734 | 69.2 | 36.3 | 0.723 | 41.5 | 16.5 |
| PN17122020_slice_25 | 0.869 | 0.092 | 0.045 | 0.869 | 92.4 | 45.0 | 0.734 | 69.2 | 36.3 | 0.725 | 41.8 | 16.4 |
| PN17122020_slice_26 | 0.872 | 0.093 | 0.046 | 0.872 | 93.2 | 45.6 | 0.736 | 68.8 | 36.6 | 0.725 | 41.9 | 16.3 |
| PN17122020_slice_27 | 0.872 | 0.093 | 0.046 | 0.872 | 93.2 | 46.0 | 0.735 | 69.6 | 37.2 | 0.727 | 42.1 | 16.4 |
| PN17122020_slice_28 | 0.872 | 0.090 | 0.045 | 0.872 | 89.9 | 45.5 | 0.733 | 69.6 | 37.6 | 0.727 | 42.1 | 16.7 |
| PN17122020_slice_29 | 0.874 | 0.087 | 0.045 | 0.874 | 87.2 | 45.2 | 0.732 | 69.6 | 38.0 | 0.730 | 41.4 | 16.5 |
| PN17122020_slice_30 | 0.877 | 0.090 | 0.045 | 0.877 | 89.6 | 45.3 | 0.736 | 70.8 | 38.1 | 0.735 | 40.8 | 16.2 |
| PN17122020_slice_31 | 0.877 | 0.090 | 0.046 | 0.877 | 90.3 | 45.5 | 0.734 | 72.3 | 38.5 | 0.733 | 41.3 | 16.4 |
| PN17122020_slice_32 | 0.877 | 0.087 | 0.045 | 0.877 | 86.5 | 44.9 | 0.734 | 69.2 | 38.1 | 0.732 | 41.9 | 16.7 |
| PN17122020_slice_33 | 0.870 | 0.086 | 0.046 | 0.870 | 86.4 | 45.9 | 0.725 | 70.2 | 39.2 | 0.734 | 42.4 | 17.0 |
| PN17122020_slice_34 | 0.868 | 0.089 | 0.047 | 0.868 | 89.1 | 46.8 | 0.723 | 70.6 | 39.5 | 0.735 | 42.9 | 17.0 |
| PN17122020_slice_35 | 0.867 | 0.092 | 0.047 | 0.867 | 91.8 | 47.2 | 0.724 | 69.8 | 39.1 | 0.733 | 43.4 | 17.1 |
| PN17122020_slice_36 | 0.869 | 0.090 | 0.047 | 0.869 | 90.4 | 47.4 | 0.722 | 69.2 | 39.2 | 0.732 | 43.6 | 17.2 |
| PN17122020_slice_37 | 0.872 | 0.092 | 0.048 | 0.872 | 91.8 | 47.8 | 0.725 | 69.8 | 39.6 | 0.732 | 44.0 | 17.4 |
| PN17122020_slice_38 | 0.872 | 0.091 | 0.048 | 0.872 | 91.2 | 48.4 | 0.719 | 71.3 | 40.5 | 0.730 | 44.8 | 17.8 |
| PN17122020_slice_39 | 0.873 | 0.088 | 0.047 | 0.873 | 88.2 | 47.5 | 0.716 | 70.9 | 40.3 | 0.728 | 43.9 | 17.8 |
| PN17122020_slice_40 | 0.874 | 0.086 | 0.047 | 0.874 | 86.4 | 46.8 | 0.716 | 71.4 | 40.4 | 0.730 | 42.5 | 17.4 |
| PN17122020_slice_41 | 0.875 | 0.085 | 0.046 | 0.875 | 85.0 | 46.3 | 0.719 | 72.9 | 40.7 | 0.732 | 42.1 | 17.2 |
| PN17122020_slice_42 | 0.870 | 0.089 | 0.047 | 0.870 | 88.8 | 47.2 | 0.715 | 74.8 | 41.0 | 0.731 | 44.7 | 17.8 |
| PN17122020_slice_43 | 0.865 | 0.095 | 0.049 | 0.865 | 95.3 | 48.6 | 0.707 | 77.4 | 41.6 | 0.724 | 45.9 | 18.3 |
| PN17122020_slice_44 | 0.865 | 0.097 | 0.049 | 0.865 | 96.8 | 48.6 | 0.711 | 78.2 | 41.2 | 0.726 | 44.6 | 17.7 |
| PN17122020_slice_45 | 0.847 | 0.098 | 0.050 | 0.847 | 98.4 | 50.3 | 0.693 | 79.0 | 42.4 | 0.718 | 45.7 | 18.5 |
| PN17122020_slice_46 | 0.843 | 0.097 | 0.051 | 0.843 | 96.8 | 50.7 | 0.688 | 78.5 | 42.8 | 0.719 | 45.6 | 18.6 |
| PN17122020_slice_47 | 0.853 | 0.094 | 0.050 | 0.853 | 94.2 | 49.7 | 0.701 | 74.3 | 41.5 | 0.729 | 43.9 | 17.8 |
| PN17122020_slice_48 | 0.852 | 0.098 | 0.051 | 0.852 | 97.7 | 51.2 | 0.700 | 74.4 | 42.2 | 0.724 | 45.7 | 18.6 |
| PN17122020_slice_49 | 0.850 | 0.098 | 0.052 | 0.850 | 97.5 | 52.2 | 0.695 | 75.8 | 43.5 | 0.721 | 47.6 | 19.3 |
| PN17122020_slice_50 | 0.860 | 0.093 | 0.051 | 0.860 | 92.8 | 51.1 | 0.702 | 75.7 | 43.6 | 0.723 | 45.3 | 18.7 |
| PN17122020_slice_51 | 0.864 | 0.091 | 0.051 | 0.864 | 91.2 | 50.8 | 0.703 | 75.6 | 43.6 | 0.723 | 44.6 | 18.6 |
| PN17122020_slice_52 | 0.861 | 0.091 | 0.051 | 0.861 | 91.2 | 51.3 | 0.700 | 77.8 | 44.6 | 0.724 | 45.1 | 18.8 |
| PN17122020_slice_53 | 0.859 | 0.091 | 0.051 | 0.859 | 90.5 | 51.4 | 0.700 | 78.0 | 44.9 | 0.722 | 46.3 | 19.3 |
| PN17122020_slice_54 | 0.856 | 0.092 | 0.052 | 0.856 | 91.5 | 51.6 | 0.698 | 77.9 | 44.9 | 0.717 | 48.4 | 20.2 |
| PN17122020_slice_55 | 0.846 | 0.096 | 0.053 | 0.846 | 96.1 | 53.5 | 0.687 | 78.3 | 45.8 | 0.710 | 50.9 | 21.3 |
| PN17122020_slice_56 | 0.833 | 0.099 | 0.055 | 0.833 | 99.3 | 54.6 | 0.677 | 78.7 | 46.3 | 0.705 | 52.4 | 22.1 |
| PN17122020_slice_57 | 0.831 | 0.098 | 0.054 | 0.831 | 98.2 | 54.4 | 0.677 | 78.4 | 45.9 | 0.709 | 51.5 | 21.6 |
| PN17122020_slice_58 | 0.832 | 0.097 | 0.054 | 0.832 | 97.2 | 54.3 | 0.677 | 78.9 | 46.0 | 0.710 | 51.1 | 21.4 |
| PN17122020_slice_59 | 0.827 | 0.097 | 0.054 | 0.827 | 96.8 | 54.2 | 0.677 | 79.3 | 45.8 | 0.710 | 51.0 | 21.6 |
| PN17122020_slice_60 | 0.839 | 0.098 | 0.053 | 0.839 | 97.6 | 53.3 | 0.686 | 77.3 | 44.2 | 0.712 | 49.0 | 20.8 |
| PN17122020_slice_61 | 0.838 | 0.103 | 0.055 | 0.838 | 103.0 | 55.1 | 0.677 | 79.8 | 45.6 | 0.701 | 51.1 | 21.6 |
| PN17122020_slice_62 | 0.837 | 0.102 | 0.055 | 0.837 | 102.3 | 55.3 | 0.675 | 83.3 | 46.7 | 0.696 | 51.5 | 21.7 |
| PN17122020_slice_63 | 0.836 | 0.102 | 0.055 | 0.836 | 102.3 | 54.9 | 0.670 | 87.1 | 47.3 | 0.693 | 50.2 | 21.3 |
| PN17122020_slice_64 | 0.835 | 0.103 | 0.055 | 0.835 | 103.0 | 54.9 | 0.668 | 90.8 | 48.1 | 0.686 | 49.5 | 21.2 |
| PN17122020_slice_65 | 0.839 | 0.103 | 0.054 | 0.839 | 103.4 | 54.4 | 0.674 | 92.5 | 47.9 | 0.689 | 48.2 | 20.8 |
| PN17122020_slice_66 | 0.833 | 0.106 | 0.055 | 0.833 | 105.8 | 55.4 | 0.672 | 95.5 | 49.0 | 0.687 | 49.7 | 21.4 |
| PN17122020_slice_67 | 0.822 | 0.111 | 0.058 | 0.822 | 110.9 | 57.9 | 0.663 | 99.0 | 50.8 | 0.679 | 53.0 | 22.8 |
| PN17122020_slice_68 | 0.820 | 0.114 | 0.058 | 0.820 | 113.8 | 58.5 | 0.663 | 98.9 | 50.7 | 0.679 | 53.2 | 23.1 |
| PN17122020_slice_69 | 0.814 | 0.114 | 0.059 | 0.814 | 114.1 | 59.0 | 0.660 | 98.4 | 50.7 | 0.678 | 53.6 | 23.3 |
| PN17122020_slice_70 | 0.808 | 0.115 | 0.060 | 0.808 | 114.5 | 59.9 | 0.655 | 99.2 | 51.5 | 0.677 | 55.1 | 24.0 |
| PN17122020_slice_71 | 0.810 | 0.115 | 0.060 | 0.810 | 115.3 | 60.3 | 0.657 | 100.2 | 51.8 | 0.676 | 54.1 | 23.7 |
| PN17122020_slice_72 | 0.810 | 0.119 | 0.062 | 0.810 | 118.7 | 62.0 | 0.654 | 102.8 | 53.2 | 0.676 | 54.1 | 23.7 |
| PN17122020_slice_73 | 0.799 | 0.124 | 0.065 | 0.799 | 124.4 | 64.8 | 0.638 | 107.0 | 55.9 | 0.671 | 57.3 | 24.9 |
| PN17122020_slice_74 | 0.800 | 0.123 | 0.064 | 0.800 | 123.2 | 64.3 | 0.641 | 108.9 | 56.1 | 0.667 | 56.9 | 24.8 |
| PN17122020_slice_75 | 0.800 | 0.123 | 0.064 | 0.800 | 123.3 | 63.8 | 0.638 | 108.9 | 55.8 | 0.664 | 56.1 | 24.8 |
| PN17122020_slice_76 | 0.801 | 0.122 | 0.063 | 0.801 | 121.7 | 62.9 | 0.639 | 109.0 | 55.6 | 0.664 | 56.6 | 25.2 |
| PN17122020_slice_77 | 0.798 | 0.120 | 0.062 | 0.798 | 119.7 | 62.1 | 0.638 | 107.7 | 55.2 | 0.660 | 57.2 | 25.7 |
| PN17122020_slice_78 | 0.792 | 0.121 | 0.062 | 0.792 | 120.6 | 62.2 | 0.632 | 108.0 | 55.0 | 0.659 | 58.5 | 26.5 |
| PN17122020_slice_79 | 0.787 | 0.122 | 0.063 | 0.787 | 122.2 | 62.8 | 0.628 | 109.3 | 55.4 | 0.656 | 59.8 | 27.0 |
| PN17122020_slice_80 | 0.797 | 0.123 | 0.062 | 0.797 | 122.8 | 62.2 | 0.636 | 109.7 | 54.7 | 0.661 | 58.4 | 26.2 |
| PN17122020_slice_81 | 0.789 | 0.126 | 0.064 | 0.789 | 126.5 | 63.6 | 0.628 | 112.4 | 55.8 | 0.661 | 59.4 | 26.6 |
| PN17122020_slice_82 | 0.778 | 0.129 | 0.066 | 0.778 | 128.9 | 65.7 | 0.619 | 114.2 | 57.3 | 0.659 | 61.2 | 27.7 |
| PN17122020_slice_83 | 0.783 | 0.128 | 0.065 | 0.783 | 127.6 | 65.0 | 0.626 | 114.1 | 56.8 | 0.664 | 60.6 | 27.0 |
| PN17122020_slice_84 | 0.783 | 0.130 | 0.066 | 0.783 | 130.1 | 65.9 | 0.624 | 115.2 | 57.3 | 0.666 | 59.8 | 26.6 |
| PN17122020_slice_85 | 0.780 | 0.133 | 0.067 | 0.780 | 133.1 | 67.4 | 0.617 | 115.9 | 58.1 | 0.667 | 61.1 | 26.9 |
| PN17122020_slice_86 | 0.786 | 0.131 | 0.066 | 0.786 | 131.3 | 66.4 | 0.623 | 115.2 | 57.5 | 0.670 | 60.0 | 26.3 |
| PN17122020_slice_87 | 0.789 | 0.130 | 0.066 | 0.789 | 129.9 | 65.7 | 0.624 | 116.5 | 57.5 | 0.673 | 58.3 | 25.5 |
| PN17122020_slice_88 | 0.789 | 0.132 | 0.066 | 0.789 | 131.7 | 66.4 | 0.622 | 118.6 | 58.4 | 0.676 | 57.3 | 25.1 |
| PN17122020_slice_89 | 0.787 | 0.132 | 0.066 | 0.787 | 132.2 | 66.3 | 0.620 | 119.8 | 58.7 | 0.677 | 56.9 | 24.8 |
| PN17122020_slice_90 | 0.779 | 0.133 | 0.067 | 0.779 | 133.0 | 67.0 | 0.613 | 120.0 | 59.2 | 0.679 | 58.3 | 25.5 |
| PN17122020_slice_91 | 0.771 | 0.134 | 0.067 | 0.771 | 133.6 | 67.5 | 0.604 | 120.1 | 59.7 | 0.681 | 58.7 | 25.7 |
| PN17122020_slice_92 | 0.773 | 0.134 | 0.068 | 0.773 | 134.3 | 68.0 | 0.602 | 120.6 | 60.1 | 0.685 | 58.0 | 25.3 |
| PN17122020_slice_93 | 0.775 | 0.133 | 0.067 | 0.775 | 133.3 | 67.3 | 0.603 | 120.2 | 59.4 | 0.692 | 57.3 | 24.6 |
| PN17122020_slice_94 | 0.771 | 0.135 | 0.069 | 0.771 | 135.1 | 68.6 | 0.601 | 121.5 | 60.3 | 0.692 | 57.8 | 24.8 |
| PN17122020_slice_95 | 0.787 | 0.135 | 0.067 | 0.787 | 134.9 | 67.2 | 0.621 | 120.8 | 58.6 | 0.697 | 55.1 | 23.2 |
| PN17122020_slice_96 | 0.793 | 0.137 | 0.067 | 0.793 | 136.8 | 66.9 | 0.624 | 122.5 | 58.5 | 0.697 | 53.5 | 22.4 |
| PN17122020_slice_97 | 0.784 | 0.139 | 0.069 | 0.784 | 139.4 | 68.6 | 0.616 | 125.4 | 60.1 | 0.695 | 54.8 | 23.1 |
| PN17122020_slice_98 | 0.789 | 0.141 | 0.068 | 0.789 | 140.9 | 68.3 | 0.623 | 127.5 | 60.2 | 0.701 | 54.6 | 22.9 |
| PN17122020_slice_99 | 0.795 | 0.142 | 0.068 | 0.795 | 142.3 | 67.7 | 0.629 | 129.8 | 60.0 | 0.704 | 54.6 | 22.4 |
| PN17122020_slice_100 | 0.801 | 0.142 | 0.066 | 0.801 | 142.4 | 66.0 | 0.639 | 130.0 | 58.7 | 0.706 | 53.4 | 21.6 |
| PN17122020_slice_101 | 0.807 | 0.142 | 0.065 | 0.807 | 142.4 | 65.1 | 0.645 | 131.2 | 58.2 | 0.710 | 52.0 | 20.6 |
| PN17122020_slice_102 | 0.806 | 0.143 | 0.065 | 0.806 | 143.0 | 64.7 | 0.647 | 132.9 | 58.4 | 0.713 | 52.0 | 20.6 |
| PN17122020_slice_103 | 0.801 | 0.146 | 0.066 | 0.801 | 146.3 | 65.6 | 0.643 | 137.1 | 59.6 | 0.713 | 52.1 | 20.9 |
| PN17122020_slice_104 | 0.800 | 0.149 | 0.067 | 0.800 | 149.2 | 66.7 | 0.639 | 140.5 | 60.7 | 0.712 | 52.3 | 20.9 |
| PN17122020_slice_105 | 0.804 | 0.149 | 0.067 | 0.804 | 149.3 | 66.6 | 0.646 | 140.4 | 60.6 | 0.713 | 52.7 | 20.9 |
| PN17122020_slice_106 | 0.803 | 0.151 | 0.067 | 0.803 | 150.7 | 67.1 | 0.647 | 140.9 | 60.6 | 0.711 | 52.9 | 21.1 |
| PN17122020_slice_107 | 0.804 | 0.152 | 0.068 | 0.804 | 151.8 | 68.5 | 0.646 | 142.4 | 62.1 | 0.709 | 52.4 | 21.0 |
| PN17122020_slice_108 | 0.804 | 0.157 | 0.071 | 0.804 | 156.6 | 70.5 | 0.645 | 148.1 | 64.5 | 0.702 | 52.3 | 21.0 |
| PN17122020_slice_109 | 0.802 | 0.160 | 0.072 | 0.802 | 160.5 | 71.6 | 0.640 | 152.9 | 66.0 | 0.694 | 52.6 | 21.3 |
| PN17122020_slice_110 | 0.794 | 0.164 | 0.072 | 0.794 | 163.5 | 72.5 | 0.639 | 156.2 | 66.9 | 0.685 | 55.3 | 22.7 |
| PN17122020_slice_111 | 0.784 | 0.167 | 0.074 | 0.784 | 166.5 | 73.5 | 0.636 | 158.8 | 67.7 | 0.676 | 58.7 | 24.8 |
| PN17122020_slice_112 | 0.766 | 0.170 | 0.077 | 0.766 | 170.1 | 76.6 | 0.622 | 162.4 | 70.8 | 0.667 | 63.0 | 28.0 |
| PN17122020_slice_113 | 0.757 | 0.170 | 0.077 | 0.757 | 169.9 | 77.3 | 0.616 | 161.5 | 71.2 | 0.660 | 65.0 | 29.5 |
| PN17122020_slice_114 | 0.747 | 0.170 | 0.078 | 0.747 | 169.8 | 77.5 | 0.608 | 161.5 | 71.6 | 0.651 | 67.4 | 31.2 |
| PN17122020_slice_115 | 0.734 | 0.169 | 0.078 | 0.734 | 169.2 | 78.3 | 0.595 | 161.4 | 72.6 | 0.642 | 68.5 | 32.5 |
| PN17122020_slice_116 | 0.730 | 0.168 | 0.078 | 0.730 | 167.8 | 78.2 | 0.590 | 160.4 | 72.7 | 0.638 | 68.5 | 32.9 |
| PN17122020_slice_117 | 0.749 | 0.165 | 0.075 | 0.749 | 164.8 | 75.5 | 0.604 | 157.9 | 70.1 | 0.635 | 65.6 | 31.4 |
| PN17122020_slice_118 | 0.757 | 0.163 | 0.074 | 0.757 | 162.8 | 74.0 | 0.609 | 156.6 | 68.8 | 0.631 | 64.4 | 30.9 |
| PN17122020_slice_119 | 0.750 | 0.165 | 0.075 | 0.750 | 164.8 | 75.2 | 0.607 | 158.1 | 69.9 | 0.627 | 65.4 | 31.9 |
| PN17122020_slice_120 | 0.749 | 0.166 | 0.076 | 0.749 | 165.6 | 75.6 | 0.606 | 158.9 | 70.2 | 0.624 | 65.9 | 32.6 |
| PN17122020_slice_121 | 0.743 | 0.165 | 0.076 | 0.743 | 165.5 | 76.0 | 0.601 | 158.6 | 70.6 | 0.620 | 66.5 | 33.2 |
| PN17122020_slice_122 | 0.741 | 0.164 | 0.075 | 0.741 | 164.1 | 75.1 | 0.602 | 158.8 | 70.3 | 0.618 | 66.2 | 33.2 |
| PN17122020_slice_123 | 0.741 | 0.161 | 0.074 | 0.741 | 161.5 | 74.1 | 0.599 | 156.9 | 69.7 | 0.613 | 66.5 | 33.5 |
| PN17122020_slice_124 | 0.743 | 0.159 | 0.073 | 0.743 | 158.8 | 72.6 | 0.601 | 154.8 | 68.5 | 0.610 | 67.0 | 33.8 |
| PN17122020_slice_125 | 0.754 | 0.156 | 0.071 | 0.754 | 155.5 | 70.5 | 0.612 | 151.3 | 66.4 | 0.611 | 66.3 | 33.4 |
| PN17122020_slice_126 | 0.732 | 0.157 | 0.072 | 0.732 | 156.9 | 72.3 | 0.595 | 151.4 | 67.7 | 0.605 | 69.4 | 35.5 |
| PN17122020_slice_127 | 0.744 | 0.155 | 0.071 | 0.744 | 154.7 | 71.2 | 0.604 | 149.0 | 66.4 | 0.607 | 68.0 | 34.5 |
| PN17122020_slice_128 | 0.753 | 0.153 | 0.070 | 0.753 | 152.9 | 70.3 | 0.612 | 146.6 | 65.3 | 0.609 | 66.7 | 33.9 |
| PN17122020_slice_129 | 0.744 | 0.152 | 0.071 | 0.744 | 152.1 | 70.9 | 0.604 | 145.3 | 65.7 | 0.606 | 68.4 | 35.0 |
| PN17122020_slice_130 | 0.720 | 0.151 | 0.072 | 0.720 | 151.0 | 72.3 | 0.584 | 144.6 | 67.4 | 0.598 | 71.1 | 37.1 |
| PN17122020_slice_131 | 0.721 | 0.148 | 0.071 | 0.721 | 147.6 | 71.0 | 0.587 | 141.5 | 66.3 | 0.599 | 69.9 | 36.7 |
| PN17122020_slice_132 | 0.742 | 0.142 | 0.068 | 0.742 | 141.7 | 67.6 | 0.602 | 135.4 | 62.8 | 0.601 | 66.8 | 34.9 |
| PN17122020_slice_133 | 0.771 | 0.136 | 0.063 | 0.771 | 135.6 | 63.5 | 0.620 | 129.5 | 58.9 | 0.605 | 62.8 | 32.4 |
| PN17122020_slice_134 | 0.769 | 0.132 | 0.063 | 0.769 | 132.3 | 62.7 | 0.621 | 125.2 | 57.7 | 0.603 | 62.8 | 32.7 |
| PN17122020_slice_135 | 0.757 | 0.133 | 0.064 | 0.757 | 133.4 | 63.8 | 0.611 | 126.0 | 58.8 | 0.600 | 64.2 | 33.8 |
| PN17122020_slice_136 | 0.751 | 0.136 | 0.065 | 0.751 | 136.1 | 65.0 | 0.603 | 127.8 | 59.9 | 0.595 | 65.5 | 34.5 |
| PN17122020_slice_137 | 0.778 | 0.132 | 0.061 | 0.778 | 132.0 | 61.1 | 0.625 | 125.0 | 56.4 | 0.602 | 61.8 | 32.0 |
| PN17122020_slice_138 | 0.775 | 0.130 | 0.061 | 0.775 | 129.6 | 60.5 | 0.620 | 122.7 | 56.1 | 0.600 | 62.3 | 32.2 |
| PN17122020_slice_139 | 0.785 | 0.123 | 0.058 | 0.785 | 122.6 | 58.2 | 0.624 | 116.1 | 54.0 | 0.600 | 60.7 | 31.2 |
| PN17122020_slice_140 | 0.789 | 0.114 | 0.056 | 0.789 | 114.0 | 55.7 | 0.630 | 107.8 | 51.6 | 0.605 | 59.7 | 30.7 |
| PN17122020_slice_141 | 0.788 | 0.109 | 0.055 | 0.788 | 109.3 | 54.7 | 0.628 | 101.8 | 50.3 | 0.606 | 60.3 | 31.0 |
| PN17122020_slice_142 | 0.796 | 0.105 | 0.053 | 0.796 | 104.6 | 52.8 | 0.634 | 95.7 | 48.3 | 0.609 | 58.6 | 30.1 |
| PN17122020_slice_143 | 0.786 | 0.100 | 0.053 | 0.786 | 100.3 | 52.6 | 0.627 | 91.8 | 48.1 | 0.608 | 59.6 | 30.8 |
| PN17122020_slice_144 | 0.783 | 0.098 | 0.052 | 0.783 | 97.5 | 52.2 | 0.624 | 88.9 | 47.7 | 0.609 | 61.0 | 31.0 |
| PN17122020_slice_145 | 0.778 | 0.098 | 0.053 | 0.778 | 98.4 | 52.9 | 0.622 | 88.8 | 48.1 | 0.608 | 62.1 | 31.5 |
| PN17122020_slice_146 | 0.775 | 0.098 | 0.053 | 0.775 | 98.4 | 53.0 | 0.621 | 90.4 | 48.6 | 0.609 | 63.1 | 31.8 |
| PN17122020_slice_147 | 0.788 | 0.098 | 0.052 | 0.788 | 98.2 | 52.2 | 0.631 | 90.1 | 47.5 | 0.610 | 61.1 | 30.5 |
| PN17122020_slice_148 | 0.791 | 0.098 | 0.052 | 0.791 | 98.5 | 52.1 | 0.631 | 90.0 | 47.3 | 0.615 | 60.6 | 30.0 |
| PN17122020_slice_149 | 0.796 | 0.100 | 0.052 | 0.796 | 99.6 | 51.8 | 0.635 | 90.5 | 46.6 | 0.616 | 59.4 | 29.4 |
| PN17122020_slice_150 | 0.792 | 0.100 | 0.052 | 0.792 | 100.2 | 52.0 | 0.634 | 91.5 | 47.0 | 0.617 | 59.6 | 29.5 |
| PN17122020_slice_151 | 0.803 | 0.101 | 0.051 | 0.803 | 100.5 | 51.2 | 0.646 | 91.3 | 45.9 | 0.621 | 57.8 | 28.3 |
| PN17122020_slice_152 | 0.817 | 0.099 | 0.050 | 0.817 | 98.7 | 49.7 | 0.656 | 90.2 | 44.7 | 0.623 | 55.7 | 26.8 |
4Γ3 grid: Rows show different image types (Original NATIVE, Reconstructed NATIVE, Original VENOUS, Generated VENOUS), Columns show windowing techniques (No Window, Lung Window, Mediastinum Window)