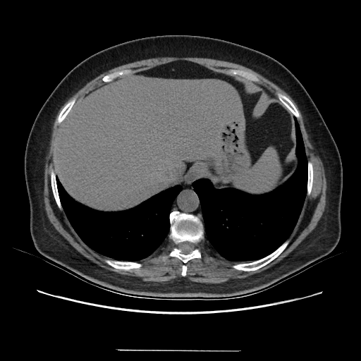
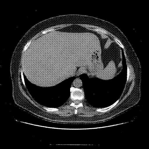
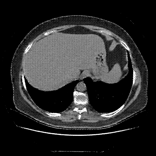
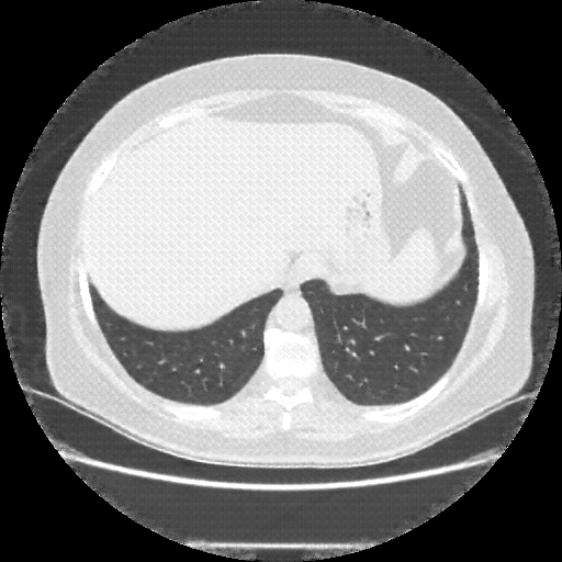
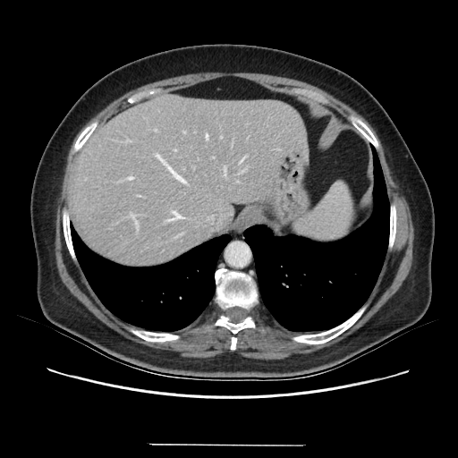
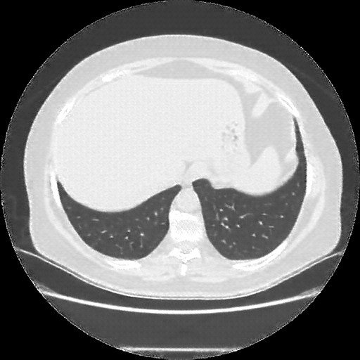
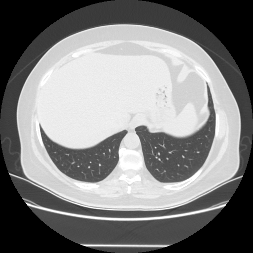
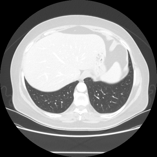
Slice 70 Targeting Evaluation
Patient ID: SV03022021
Model: cytran
Slice: Slice_70
Slice Thickness: 2.5mm
Conversion: NATIVE β VENOUS
Contains all 4 metric datasets: Network-Normalized, Hounsfield Units, Lung Window, and Mediastinum Window
| Slice ID | SSIM | RMSE | MAE | HU SSIM | HU RMSE | HU MAE | Lung SSIM | Lung RMSE | Lung MAE | Mediastinum SSIM | Mediastinum RMSE | Mediastinum MAE |
|---|---|---|---|---|---|---|---|---|---|---|---|---|
| SV03022021_slice_0 | 0.809 | 0.106 | 0.058 | 0.809 | 105.5 | 58.1 | 0.633 | 79.5 | 42.1 | 0.560 | 48.2 | 24.9 |
| SV03022021_slice_1 | 0.813 | 0.110 | 0.059 | 0.813 | 109.9 | 59.2 | 0.636 | 80.4 | 42.8 | 0.557 | 49.1 | 25.4 |
| SV03022021_slice_2 | 0.815 | 0.101 | 0.059 | 0.815 | 100.8 | 58.6 | 0.638 | 80.6 | 43.1 | 0.557 | 48.7 | 25.4 |
| SV03022021_slice_3 | 0.806 | 0.101 | 0.059 | 0.806 | 100.7 | 59.4 | 0.629 | 82.3 | 44.2 | 0.553 | 50.6 | 26.2 |
| SV03022021_slice_4 | 0.807 | 0.101 | 0.060 | 0.807 | 100.5 | 59.6 | 0.631 | 82.7 | 44.4 | 0.550 | 50.7 | 26.3 |
| SV03022021_slice_5 | 0.812 | 0.099 | 0.059 | 0.812 | 99.3 | 59.2 | 0.638 | 82.2 | 43.9 | 0.556 | 49.9 | 25.9 |
| SV03022021_slice_6 | 0.815 | 0.099 | 0.059 | 0.815 | 98.6 | 59.2 | 0.639 | 81.5 | 43.9 | 0.562 | 49.6 | 25.7 |
| SV03022021_slice_7 | 0.828 | 0.097 | 0.057 | 0.828 | 97.0 | 57.2 | 0.653 | 80.6 | 42.6 | 0.571 | 48.0 | 24.5 |
| SV03022021_slice_8 | 0.838 | 0.096 | 0.056 | 0.838 | 95.9 | 56.4 | 0.662 | 80.6 | 42.3 | 0.583 | 45.6 | 23.3 |
| SV03022021_slice_9 | 0.842 | 0.094 | 0.056 | 0.842 | 93.8 | 55.8 | 0.661 | 78.2 | 42.1 | 0.588 | 44.2 | 22.6 |
| SV03022021_slice_10 | 0.841 | 0.095 | 0.056 | 0.841 | 94.9 | 56.3 | 0.661 | 78.5 | 42.4 | 0.590 | 44.9 | 22.8 |
| SV03022021_slice_11 | 0.841 | 0.096 | 0.057 | 0.841 | 96.4 | 56.7 | 0.660 | 79.7 | 42.7 | 0.594 | 45.1 | 22.6 |
| SV03022021_slice_12 | 0.844 | 0.096 | 0.056 | 0.844 | 95.6 | 55.8 | 0.666 | 78.9 | 41.9 | 0.604 | 43.7 | 21.8 |
| SV03022021_slice_13 | 0.845 | 0.096 | 0.056 | 0.845 | 96.4 | 55.8 | 0.667 | 80.1 | 42.0 | 0.609 | 43.0 | 21.4 |
| SV03022021_slice_14 | 0.844 | 0.099 | 0.057 | 0.844 | 98.5 | 56.6 | 0.666 | 82.4 | 42.6 | 0.615 | 43.5 | 21.4 |
| SV03022021_slice_15 | 0.845 | 0.097 | 0.056 | 0.845 | 97.3 | 56.2 | 0.665 | 81.6 | 42.3 | 0.617 | 43.0 | 21.3 |
| SV03022021_slice_16 | 0.847 | 0.096 | 0.056 | 0.847 | 95.9 | 55.8 | 0.667 | 80.7 | 42.4 | 0.619 | 42.9 | 21.3 |
| SV03022021_slice_17 | 0.849 | 0.095 | 0.055 | 0.849 | 95.1 | 55.4 | 0.668 | 80.0 | 42.2 | 0.619 | 42.1 | 21.0 |
| SV03022021_slice_18 | 0.850 | 0.095 | 0.055 | 0.850 | 95.2 | 55.3 | 0.672 | 80.2 | 42.1 | 0.621 | 41.9 | 20.9 |
| SV03022021_slice_19 | 0.847 | 0.096 | 0.056 | 0.847 | 96.5 | 56.1 | 0.668 | 81.8 | 42.9 | 0.621 | 42.2 | 21.1 |
| SV03022021_slice_20 | 0.848 | 0.097 | 0.056 | 0.848 | 96.8 | 56.2 | 0.669 | 82.0 | 42.9 | 0.622 | 42.3 | 21.0 |
| SV03022021_slice_21 | 0.850 | 0.097 | 0.056 | 0.850 | 97.2 | 56.1 | 0.671 | 82.2 | 42.8 | 0.624 | 42.2 | 20.8 |
| SV03022021_slice_22 | 0.848 | 0.099 | 0.057 | 0.848 | 98.6 | 56.6 | 0.670 | 83.6 | 43.2 | 0.625 | 42.3 | 20.8 |
| SV03022021_slice_23 | 0.843 | 0.100 | 0.058 | 0.843 | 99.5 | 57.6 | 0.665 | 84.9 | 44.3 | 0.624 | 43.5 | 21.2 |
| SV03022021_slice_24 | 0.842 | 0.100 | 0.058 | 0.842 | 99.7 | 57.8 | 0.664 | 85.5 | 44.8 | 0.624 | 43.6 | 21.2 |
| SV03022021_slice_25 | 0.839 | 0.101 | 0.058 | 0.839 | 101.1 | 58.2 | 0.663 | 87.0 | 45.3 | 0.621 | 44.6 | 21.6 |
| SV03022021_slice_26 | 0.838 | 0.102 | 0.059 | 0.838 | 101.9 | 58.8 | 0.665 | 87.7 | 45.8 | 0.621 | 45.5 | 21.9 |
| SV03022021_slice_27 | 0.833 | 0.104 | 0.060 | 0.833 | 103.5 | 59.8 | 0.660 | 89.3 | 46.7 | 0.619 | 47.7 | 22.8 |
| SV03022021_slice_28 | 0.829 | 0.104 | 0.061 | 0.829 | 104.2 | 60.7 | 0.658 | 90.0 | 47.4 | 0.617 | 48.9 | 23.4 |
| SV03022021_slice_29 | 0.823 | 0.105 | 0.062 | 0.823 | 104.7 | 61.8 | 0.649 | 90.6 | 48.4 | 0.612 | 49.9 | 24.1 |
| SV03022021_slice_30 | 0.822 | 0.105 | 0.062 | 0.822 | 104.5 | 61.6 | 0.647 | 90.4 | 48.1 | 0.610 | 49.4 | 24.2 |
| SV03022021_slice_31 | 0.825 | 0.104 | 0.061 | 0.825 | 104.0 | 61.1 | 0.649 | 89.9 | 47.6 | 0.614 | 48.9 | 24.1 |
| SV03022021_slice_32 | 0.820 | 0.106 | 0.062 | 0.820 | 105.8 | 61.8 | 0.644 | 91.8 | 48.2 | 0.609 | 49.5 | 24.5 |
| SV03022021_slice_33 | 0.815 | 0.107 | 0.062 | 0.815 | 106.7 | 61.6 | 0.640 | 93.3 | 48.6 | 0.609 | 50.0 | 24.8 |
| SV03022021_slice_34 | 0.816 | 0.107 | 0.061 | 0.816 | 106.7 | 61.4 | 0.643 | 93.4 | 48.4 | 0.611 | 50.0 | 24.8 |
| SV03022021_slice_35 | 0.818 | 0.106 | 0.061 | 0.818 | 106.3 | 61.2 | 0.648 | 93.3 | 48.3 | 0.611 | 50.1 | 24.8 |
| SV03022021_slice_36 | 0.818 | 0.105 | 0.061 | 0.818 | 104.5 | 60.9 | 0.650 | 91.0 | 47.8 | 0.614 | 49.6 | 24.4 |
| SV03022021_slice_37 | 0.816 | 0.102 | 0.060 | 0.816 | 102.3 | 60.4 | 0.648 | 88.4 | 47.2 | 0.616 | 49.6 | 24.5 |
| SV03022021_slice_38 | 0.820 | 0.102 | 0.061 | 0.820 | 101.8 | 60.5 | 0.651 | 87.8 | 47.3 | 0.614 | 49.4 | 24.5 |
| SV03022021_slice_39 | 0.825 | 0.100 | 0.060 | 0.825 | 99.7 | 60.1 | 0.655 | 85.5 | 47.0 | 0.615 | 49.1 | 24.5 |
| SV03022021_slice_40 | 0.828 | 0.098 | 0.059 | 0.828 | 98.1 | 59.3 | 0.659 | 84.1 | 46.4 | 0.617 | 48.4 | 24.1 |
| SV03022021_slice_41 | 0.835 | 0.099 | 0.059 | 0.835 | 99.3 | 59.3 | 0.666 | 85.7 | 46.5 | 0.618 | 47.8 | 23.9 |
| SV03022021_slice_42 | 0.833 | 0.102 | 0.060 | 0.833 | 101.9 | 60.2 | 0.666 | 88.6 | 47.4 | 0.617 | 49.4 | 24.5 |
| SV03022021_slice_43 | 0.829 | 0.102 | 0.061 | 0.829 | 101.8 | 60.7 | 0.662 | 88.2 | 47.5 | 0.615 | 49.9 | 25.0 |
| SV03022021_slice_44 | 0.825 | 0.102 | 0.061 | 0.825 | 102.0 | 61.1 | 0.658 | 88.1 | 47.8 | 0.609 | 50.6 | 25.4 |
| SV03022021_slice_45 | 0.821 | 0.102 | 0.061 | 0.821 | 101.8 | 61.4 | 0.656 | 87.6 | 48.0 | 0.602 | 51.4 | 26.0 |
| SV03022021_slice_46 | 0.818 | 0.102 | 0.062 | 0.818 | 101.6 | 61.8 | 0.654 | 87.5 | 48.3 | 0.595 | 52.2 | 26.4 |
| SV03022021_slice_47 | 0.817 | 0.102 | 0.063 | 0.817 | 101.9 | 62.5 | 0.652 | 87.9 | 49.0 | 0.595 | 53.0 | 26.8 |
| SV03022021_slice_48 | 0.821 | 0.101 | 0.062 | 0.821 | 100.9 | 61.7 | 0.658 | 86.5 | 48.2 | 0.596 | 53.0 | 26.6 |
| SV03022021_slice_49 | 0.824 | 0.100 | 0.061 | 0.824 | 100.2 | 60.8 | 0.663 | 86.2 | 47.6 | 0.600 | 52.0 | 25.9 |
| SV03022021_slice_50 | 0.828 | 0.099 | 0.060 | 0.828 | 98.7 | 59.8 | 0.666 | 85.1 | 47.0 | 0.601 | 50.5 | 25.2 |
| SV03022021_slice_51 | 0.831 | 0.098 | 0.059 | 0.831 | 97.6 | 58.9 | 0.669 | 84.4 | 46.4 | 0.610 | 49.1 | 24.5 |
| SV03022021_slice_52 | 0.835 | 0.096 | 0.057 | 0.835 | 95.8 | 57.4 | 0.673 | 83.0 | 45.2 | 0.617 | 47.6 | 23.5 |
| SV03022021_slice_53 | 0.841 | 0.096 | 0.057 | 0.841 | 96.1 | 57.0 | 0.678 | 83.5 | 44.9 | 0.624 | 45.8 | 22.5 |
| SV03022021_slice_54 | 0.840 | 0.097 | 0.057 | 0.840 | 96.7 | 57.0 | 0.680 | 84.3 | 45.1 | 0.627 | 45.4 | 21.9 |
| SV03022021_slice_55 | 0.847 | 0.099 | 0.057 | 0.847 | 98.9 | 57.3 | 0.689 | 87.0 | 45.6 | 0.637 | 43.7 | 20.6 |
| SV03022021_slice_56 | 0.858 | 0.098 | 0.056 | 0.858 | 98.3 | 56.3 | 0.700 | 86.7 | 44.7 | 0.651 | 41.8 | 19.5 |
| SV03022021_slice_57 | 0.862 | 0.091 | 0.053 | 0.862 | 91.5 | 53.4 | 0.705 | 79.5 | 42.3 | 0.659 | 40.7 | 18.8 |
| SV03022021_slice_58 | 0.862 | 0.093 | 0.054 | 0.862 | 92.9 | 53.8 | 0.709 | 81.2 | 42.6 | 0.665 | 40.2 | 18.5 |
| SV03022021_slice_59 | 0.869 | 0.091 | 0.053 | 0.869 | 91.2 | 52.7 | 0.711 | 79.6 | 41.5 | 0.673 | 38.5 | 17.7 |
| SV03022021_slice_60 | 0.874 | 0.086 | 0.050 | 0.874 | 85.9 | 50.3 | 0.713 | 74.3 | 39.5 | 0.681 | 37.6 | 17.3 |
| SV03022021_slice_61 | 0.878 | 0.083 | 0.049 | 0.878 | 82.8 | 48.9 | 0.717 | 70.5 | 38.1 | 0.681 | 36.8 | 16.8 |
| SV03022021_slice_62 | 0.873 | 0.083 | 0.049 | 0.873 | 83.2 | 49.3 | 0.710 | 70.7 | 38.5 | 0.674 | 37.7 | 17.5 |
| SV03022021_slice_63 | 0.872 | 0.083 | 0.049 | 0.872 | 83.1 | 49.5 | 0.706 | 70.7 | 38.7 | 0.667 | 37.9 | 17.7 |
| SV03022021_slice_64 | 0.873 | 0.083 | 0.049 | 0.873 | 82.9 | 49.5 | 0.704 | 70.7 | 38.7 | 0.664 | 37.6 | 17.8 |
| SV03022021_slice_65 | 0.867 | 0.084 | 0.050 | 0.867 | 84.0 | 50.3 | 0.698 | 71.9 | 39.6 | 0.657 | 38.7 | 18.6 |
| SV03022021_slice_66 | 0.864 | 0.084 | 0.050 | 0.864 | 84.3 | 50.3 | 0.696 | 72.3 | 39.6 | 0.652 | 39.1 | 18.9 |
| SV03022021_slice_67 | 0.861 | 0.086 | 0.051 | 0.861 | 85.6 | 50.6 | 0.693 | 73.4 | 39.8 | 0.647 | 39.4 | 19.2 |
| SV03022021_slice_68 | 0.857 | 0.088 | 0.051 | 0.857 | 87.6 | 51.2 | 0.687 | 75.7 | 40.5 | 0.634 | 40.6 | 19.9 |
| SV03022021_slice_69 | 0.850 | 0.089 | 0.052 | 0.850 | 89.0 | 52.0 | 0.678 | 77.6 | 41.2 | 0.626 | 41.7 | 20.7 |
| SV03022021_slice_70 | 0.848 | 0.090 | 0.052 | 0.848 | 90.1 | 52.2 | 0.672 | 78.9 | 41.6 | 0.619 | 42.2 | 21.0 |
| SV03022021_slice_71 | 0.843 | 0.091 | 0.053 | 0.843 | 90.8 | 52.7 | 0.666 | 79.6 | 42.0 | 0.612 | 43.2 | 21.7 |
| SV03022021_slice_72 | 0.843 | 0.090 | 0.053 | 0.843 | 90.5 | 52.7 | 0.666 | 79.3 | 41.9 | 0.605 | 43.3 | 22.0 |
| SV03022021_slice_73 | 0.845 | 0.090 | 0.052 | 0.845 | 90.1 | 52.4 | 0.666 | 79.1 | 41.7 | 0.601 | 43.2 | 22.1 |
| SV03022021_slice_74 | 0.842 | 0.091 | 0.053 | 0.842 | 91.0 | 53.0 | 0.662 | 80.2 | 42.3 | 0.597 | 43.9 | 22.5 |
| SV03022021_slice_75 | 0.839 | 0.091 | 0.053 | 0.839 | 91.3 | 53.3 | 0.657 | 80.7 | 42.6 | 0.590 | 44.1 | 22.9 |
| SV03022021_slice_76 | 0.834 | 0.091 | 0.054 | 0.834 | 90.9 | 53.5 | 0.651 | 80.3 | 42.9 | 0.587 | 44.8 | 23.4 |
| SV03022021_slice_77 | 0.832 | 0.091 | 0.053 | 0.832 | 91.0 | 53.5 | 0.649 | 80.5 | 42.9 | 0.584 | 44.9 | 23.7 |
| SV03022021_slice_78 | 0.831 | 0.091 | 0.053 | 0.831 | 90.9 | 53.4 | 0.648 | 80.2 | 42.8 | 0.581 | 45.1 | 23.9 |
| SV03022021_slice_79 | 0.833 | 0.091 | 0.053 | 0.833 | 90.7 | 53.1 | 0.649 | 80.1 | 42.5 | 0.576 | 45.3 | 24.0 |
| SV03022021_slice_80 | 0.833 | 0.091 | 0.053 | 0.833 | 90.6 | 53.0 | 0.647 | 79.9 | 42.4 | 0.572 | 45.4 | 24.2 |
| SV03022021_slice_81 | 0.833 | 0.090 | 0.053 | 0.833 | 90.0 | 52.8 | 0.648 | 79.4 | 42.2 | 0.570 | 45.3 | 24.3 |
| SV03022021_slice_82 | 0.833 | 0.090 | 0.053 | 0.833 | 89.7 | 52.8 | 0.646 | 79.0 | 42.2 | 0.568 | 45.4 | 24.4 |
| SV03022021_slice_83 | 0.832 | 0.090 | 0.053 | 0.832 | 90.4 | 53.1 | 0.643 | 80.0 | 42.6 | 0.564 | 46.0 | 24.8 |
| SV03022021_slice_84 | 0.830 | 0.090 | 0.053 | 0.830 | 90.0 | 53.2 | 0.641 | 79.6 | 42.6 | 0.561 | 46.7 | 25.3 |
| SV03022021_slice_85 | 0.828 | 0.090 | 0.053 | 0.828 | 90.0 | 53.3 | 0.639 | 79.7 | 42.7 | 0.557 | 47.1 | 25.6 |
| SV03022021_slice_86 | 0.831 | 0.090 | 0.053 | 0.831 | 90.0 | 52.8 | 0.642 | 79.7 | 42.3 | 0.559 | 46.7 | 25.4 |
| SV03022021_slice_87 | 0.831 | 0.090 | 0.053 | 0.831 | 90.1 | 52.8 | 0.640 | 79.8 | 42.2 | 0.556 | 46.7 | 25.4 |
| SV03022021_slice_88 | 0.835 | 0.089 | 0.052 | 0.835 | 89.0 | 52.1 | 0.645 | 78.6 | 41.5 | 0.558 | 46.0 | 25.0 |
| SV03022021_slice_89 | 0.837 | 0.089 | 0.052 | 0.837 | 89.5 | 52.0 | 0.644 | 79.2 | 41.5 | 0.555 | 45.8 | 24.9 |
| SV03022021_slice_90 | 0.842 | 0.088 | 0.052 | 0.842 | 88.3 | 51.5 | 0.647 | 77.9 | 41.1 | 0.551 | 45.0 | 24.6 |
| SV03022021_slice_91 | 0.842 | 0.088 | 0.052 | 0.842 | 88.4 | 51.6 | 0.649 | 78.1 | 41.1 | 0.551 | 45.0 | 24.6 |
| SV03022021_slice_92 | 0.836 | 0.090 | 0.053 | 0.836 | 89.9 | 52.6 | 0.643 | 79.7 | 42.2 | 0.545 | 46.2 | 25.2 |
| SV03022021_slice_93 | 0.835 | 0.091 | 0.053 | 0.835 | 90.8 | 53.2 | 0.643 | 80.4 | 42.6 | 0.544 | 47.0 | 25.6 |
| SV03022021_slice_94 | 0.836 | 0.091 | 0.053 | 0.836 | 90.9 | 53.2 | 0.643 | 80.5 | 42.6 | 0.542 | 47.3 | 25.6 |
| SV03022021_slice_95 | 0.836 | 0.090 | 0.053 | 0.836 | 89.7 | 52.9 | 0.643 | 79.2 | 42.3 | 0.541 | 47.3 | 25.7 |
| SV03022021_slice_96 | 0.838 | 0.089 | 0.052 | 0.838 | 88.7 | 52.1 | 0.644 | 77.4 | 41.4 | 0.547 | 46.7 | 25.3 |
| SV03022021_slice_97 | 0.838 | 0.088 | 0.052 | 0.838 | 88.3 | 51.7 | 0.645 | 76.4 | 40.7 | 0.548 | 46.2 | 25.1 |
| SV03022021_slice_98 | 0.839 | 0.089 | 0.052 | 0.839 | 88.6 | 51.6 | 0.647 | 77.1 | 40.5 | 0.549 | 45.9 | 25.0 |
4Γ3 grid: Rows show different image types (Original NATIVE, Reconstructed NATIVE, Original VENOUS, Generated VENOUS), Columns show windowing techniques (No Window, Lung Window, Mediastinum Window)