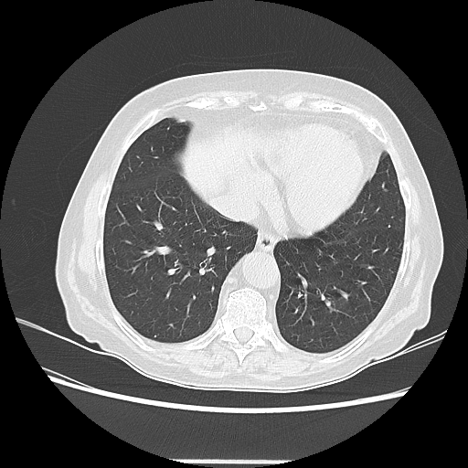
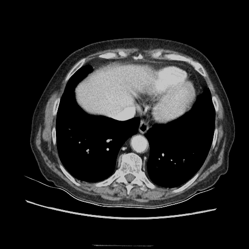
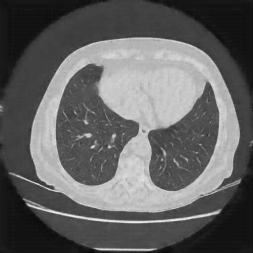
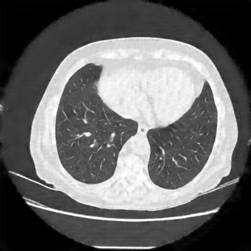
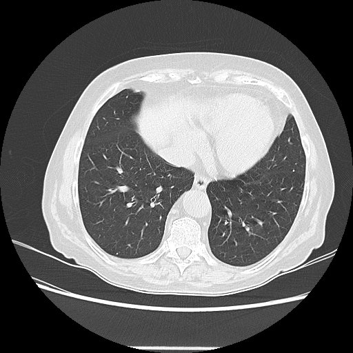
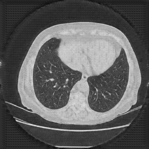
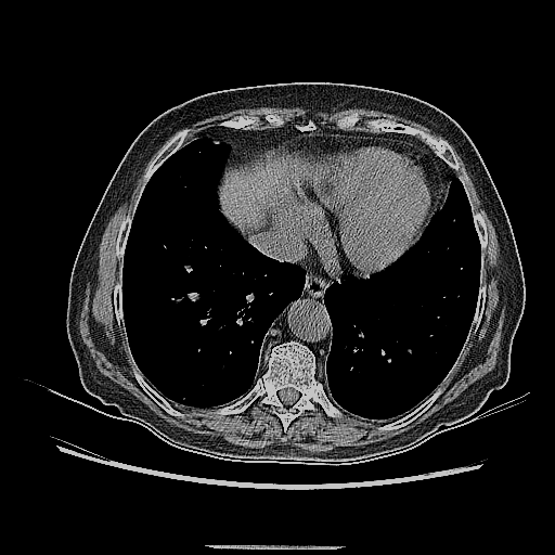
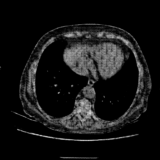
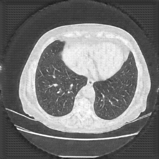
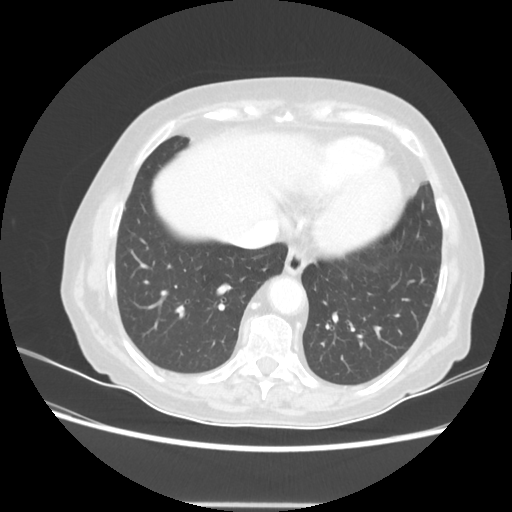
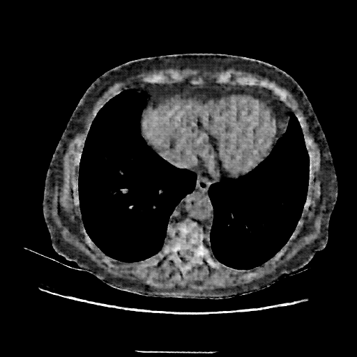
Slice 70 Targeting Evaluation
Patient ID: BC23122020
Model: cytran
Slice: Slice_70
Slice Thickness: 2.5mm
Conversion: NATIVE β VENOUS
Contains all 4 metric datasets: Network-Normalized, Hounsfield Units, Lung Window, and Mediastinum Window
| Slice ID | SSIM | RMSE | MAE | HU SSIM | HU RMSE | HU MAE | Lung SSIM | Lung RMSE | Lung MAE | Mediastinum SSIM | Mediastinum RMSE | Mediastinum MAE |
|---|---|---|---|---|---|---|---|---|---|---|---|---|
| BC23122020_slice_0 | 0.669 | 0.182 | 0.126 | 0.669 | 182.3 | 125.9 | 0.478 | 181.8 | 125.6 | 0.599 | 65.2 | 34.2 |
| BC23122020_slice_1 | 0.664 | 0.182 | 0.126 | 0.664 | 182.0 | 126.4 | 0.472 | 181.4 | 126.0 | 0.595 | 66.2 | 35.0 |
| BC23122020_slice_2 | 0.730 | 0.153 | 0.105 | 0.730 | 152.6 | 105.0 | 0.529 | 152.0 | 104.6 | 0.609 | 57.7 | 29.1 |
| BC23122020_slice_3 | 0.692 | 0.167 | 0.116 | 0.692 | 167.3 | 116.2 | 0.496 | 166.7 | 115.9 | 0.602 | 62.7 | 32.1 |
| BC23122020_slice_4 | 0.676 | 0.184 | 0.128 | 0.676 | 184.0 | 128.2 | 0.482 | 183.5 | 127.9 | 0.600 | 64.2 | 33.1 |
| BC23122020_slice_5 | 0.701 | 0.171 | 0.118 | 0.701 | 171.2 | 118.0 | 0.504 | 170.7 | 117.8 | 0.609 | 60.4 | 30.5 |
| BC23122020_slice_6 | 0.686 | 0.180 | 0.125 | 0.686 | 179.9 | 124.8 | 0.493 | 179.5 | 124.5 | 0.611 | 62.8 | 31.7 |
| BC23122020_slice_7 | 0.666 | 0.191 | 0.134 | 0.666 | 190.6 | 133.7 | 0.476 | 190.2 | 133.4 | 0.610 | 65.3 | 33.4 |
| BC23122020_slice_8 | 0.652 | 0.190 | 0.134 | 0.652 | 190.2 | 134.0 | 0.469 | 189.8 | 133.8 | 0.610 | 67.9 | 34.8 |
| BC23122020_slice_9 | 0.670 | 0.186 | 0.130 | 0.670 | 186.1 | 130.1 | 0.477 | 185.6 | 129.8 | 0.613 | 64.7 | 32.8 |
| BC23122020_slice_10 | 0.676 | 0.184 | 0.128 | 0.676 | 183.8 | 128.3 | 0.481 | 183.4 | 128.1 | 0.616 | 63.9 | 32.2 |
| BC23122020_slice_11 | 0.697 | 0.177 | 0.123 | 0.697 | 177.3 | 123.2 | 0.494 | 176.9 | 123.0 | 0.619 | 60.8 | 30.3 |
| BC23122020_slice_12 | 0.689 | 0.183 | 0.127 | 0.689 | 183.1 | 127.2 | 0.487 | 182.7 | 127.0 | 0.618 | 61.6 | 30.8 |
| BC23122020_slice_13 | 0.692 | 0.182 | 0.126 | 0.692 | 182.1 | 126.4 | 0.493 | 181.7 | 126.2 | 0.621 | 62.0 | 30.7 |
| BC23122020_slice_14 | 0.686 | 0.183 | 0.127 | 0.686 | 183.5 | 127.2 | 0.490 | 183.1 | 127.1 | 0.622 | 63.3 | 31.2 |
| BC23122020_slice_15 | 0.676 | 0.189 | 0.132 | 0.676 | 188.6 | 131.5 | 0.482 | 188.3 | 131.4 | 0.621 | 64.0 | 31.8 |
| BC23122020_slice_16 | 0.686 | 0.184 | 0.128 | 0.686 | 184.4 | 127.8 | 0.491 | 184.1 | 127.6 | 0.626 | 62.7 | 30.8 |
| BC23122020_slice_17 | 0.671 | 0.197 | 0.138 | 0.671 | 196.6 | 137.8 | 0.476 | 196.3 | 137.7 | 0.625 | 65.2 | 32.1 |
| BC23122020_slice_18 | 0.695 | 0.192 | 0.133 | 0.695 | 192.1 | 132.8 | 0.495 | 191.9 | 132.6 | 0.629 | 62.7 | 30.1 |
| BC23122020_slice_19 | 0.702 | 0.193 | 0.133 | 0.702 | 193.5 | 132.9 | 0.497 | 193.3 | 132.8 | 0.634 | 60.9 | 29.0 |
| BC23122020_slice_20 | 0.695 | 0.195 | 0.135 | 0.695 | 195.3 | 134.6 | 0.492 | 195.2 | 134.4 | 0.633 | 61.7 | 29.3 |
| BC23122020_slice_21 | 0.686 | 0.198 | 0.137 | 0.686 | 197.8 | 137.1 | 0.482 | 197.7 | 137.0 | 0.631 | 62.6 | 29.8 |
| BC23122020_slice_22 | 0.678 | 0.200 | 0.140 | 0.678 | 199.8 | 139.7 | 0.477 | 199.7 | 139.7 | 0.628 | 64.1 | 30.7 |
| BC23122020_slice_23 | 0.691 | 0.191 | 0.132 | 0.691 | 190.6 | 131.6 | 0.485 | 190.6 | 131.6 | 0.626 | 62.0 | 29.4 |
| BC23122020_slice_24 | 0.689 | 0.184 | 0.128 | 0.689 | 184.2 | 127.8 | 0.486 | 184.1 | 127.7 | 0.629 | 62.3 | 29.6 |
| BC23122020_slice_25 | 0.689 | 0.187 | 0.129 | 0.689 | 186.5 | 129.3 | 0.485 | 186.5 | 129.2 | 0.631 | 61.5 | 29.4 |
| BC23122020_slice_26 | 0.676 | 0.196 | 0.137 | 0.676 | 196.1 | 137.4 | 0.474 | 196.1 | 137.3 | 0.629 | 64.0 | 30.9 |
| BC23122020_slice_27 | 0.672 | 0.202 | 0.142 | 0.672 | 202.3 | 141.9 | 0.464 | 202.2 | 141.9 | 0.630 | 63.8 | 30.9 |
| BC23122020_slice_28 | 0.686 | 0.196 | 0.136 | 0.686 | 195.6 | 135.5 | 0.476 | 195.5 | 135.4 | 0.632 | 61.4 | 29.5 |
| BC23122020_slice_29 | 0.685 | 0.193 | 0.133 | 0.685 | 192.8 | 133.2 | 0.472 | 192.7 | 133.1 | 0.627 | 60.8 | 29.2 |
| BC23122020_slice_30 | 0.673 | 0.201 | 0.139 | 0.673 | 200.7 | 139.2 | 0.464 | 200.7 | 139.2 | 0.627 | 63.6 | 30.7 |
| BC23122020_slice_31 | 0.658 | 0.207 | 0.144 | 0.658 | 207.1 | 143.9 | 0.453 | 207.0 | 143.8 | 0.619 | 67.5 | 32.8 |
| BC23122020_slice_32 | 0.663 | 0.204 | 0.141 | 0.663 | 204.5 | 141.2 | 0.457 | 204.4 | 141.1 | 0.618 | 67.4 | 32.7 |
| BC23122020_slice_33 | 0.650 | 0.209 | 0.146 | 0.650 | 209.3 | 146.2 | 0.446 | 209.2 | 146.2 | 0.620 | 70.1 | 34.3 |
| BC23122020_slice_34 | 0.646 | 0.212 | 0.148 | 0.646 | 211.8 | 148.1 | 0.444 | 211.6 | 148.0 | 0.616 | 70.3 | 34.3 |
| BC23122020_slice_35 | 0.647 | 0.211 | 0.147 | 0.647 | 211.1 | 146.9 | 0.445 | 211.0 | 146.9 | 0.617 | 70.3 | 34.2 |
| BC23122020_slice_36 | 0.647 | 0.212 | 0.146 | 0.647 | 211.6 | 146.3 | 0.448 | 211.5 | 146.3 | 0.615 | 71.2 | 34.8 |
| BC23122020_slice_37 | 0.629 | 0.217 | 0.152 | 0.629 | 217.2 | 152.2 | 0.433 | 217.2 | 152.1 | 0.614 | 74.3 | 36.6 |
| BC23122020_slice_38 | 0.634 | 0.215 | 0.150 | 0.634 | 215.0 | 149.7 | 0.435 | 215.0 | 149.7 | 0.611 | 73.1 | 35.8 |
| BC23122020_slice_39 | 0.627 | 0.217 | 0.153 | 0.627 | 217.4 | 153.2 | 0.430 | 217.3 | 153.2 | 0.607 | 74.3 | 36.8 |
| BC23122020_slice_40 | 0.620 | 0.219 | 0.155 | 0.620 | 218.6 | 155.4 | 0.426 | 218.6 | 155.4 | 0.607 | 74.9 | 37.4 |
| BC23122020_slice_41 | 0.618 | 0.222 | 0.158 | 0.618 | 221.6 | 157.7 | 0.427 | 221.5 | 157.7 | 0.606 | 76.8 | 38.3 |
| BC23122020_slice_42 | 0.619 | 0.223 | 0.157 | 0.619 | 222.6 | 157.2 | 0.424 | 222.5 | 157.1 | 0.606 | 76.5 | 38.0 |
| BC23122020_slice_43 | 0.616 | 0.225 | 0.159 | 0.616 | 225.3 | 159.2 | 0.424 | 225.2 | 159.2 | 0.605 | 77.0 | 38.6 |
| BC23122020_slice_44 | 0.630 | 0.220 | 0.154 | 0.630 | 220.2 | 154.2 | 0.432 | 220.2 | 154.2 | 0.608 | 74.8 | 37.1 |
| BC23122020_slice_45 | 0.621 | 0.222 | 0.157 | 0.621 | 221.7 | 156.7 | 0.426 | 221.6 | 156.7 | 0.608 | 76.4 | 38.0 |
| BC23122020_slice_46 | 0.615 | 0.224 | 0.160 | 0.615 | 224.4 | 160.1 | 0.423 | 224.4 | 160.0 | 0.607 | 77.7 | 39.0 |
| BC23122020_slice_47 | 0.610 | 0.227 | 0.163 | 0.610 | 227.5 | 163.0 | 0.419 | 227.5 | 163.0 | 0.603 | 78.4 | 39.6 |
| BC23122020_slice_48 | 0.618 | 0.218 | 0.154 | 0.618 | 218.2 | 154.4 | 0.427 | 218.2 | 154.4 | 0.604 | 77.9 | 39.0 |
| BC23122020_slice_49 | 0.605 | 0.228 | 0.162 | 0.605 | 228.3 | 162.4 | 0.419 | 228.2 | 162.3 | 0.600 | 80.9 | 40.9 |
| BC23122020_slice_50 | 0.612 | 0.227 | 0.160 | 0.612 | 226.6 | 159.5 | 0.427 | 226.5 | 159.5 | 0.600 | 80.6 | 40.4 |
| BC23122020_slice_51 | 0.629 | 0.223 | 0.156 | 0.629 | 223.4 | 156.0 | 0.440 | 223.4 | 155.9 | 0.613 | 78.8 | 38.6 |
| BC23122020_slice_52 | 0.623 | 0.223 | 0.156 | 0.623 | 223.3 | 156.4 | 0.437 | 223.3 | 156.3 | 0.615 | 79.4 | 39.0 |
| BC23122020_slice_53 | 0.629 | 0.222 | 0.156 | 0.629 | 221.5 | 155.9 | 0.441 | 221.5 | 155.8 | 0.615 | 77.9 | 38.2 |
| BC23122020_slice_54 | 0.636 | 0.221 | 0.155 | 0.636 | 220.8 | 155.4 | 0.443 | 220.8 | 155.3 | 0.618 | 75.2 | 36.7 |
| BC23122020_slice_55 | 0.630 | 0.219 | 0.153 | 0.630 | 219.0 | 153.4 | 0.436 | 218.9 | 153.3 | 0.613 | 75.7 | 37.0 |
| BC23122020_slice_56 | 0.617 | 0.224 | 0.158 | 0.617 | 223.9 | 157.8 | 0.427 | 223.9 | 157.7 | 0.609 | 78.0 | 38.4 |
| BC23122020_slice_57 | 0.621 | 0.222 | 0.156 | 0.621 | 222.1 | 156.5 | 0.429 | 222.0 | 156.4 | 0.617 | 77.2 | 37.9 |
| BC23122020_slice_58 | 0.630 | 0.225 | 0.158 | 0.630 | 224.6 | 157.8 | 0.428 | 224.5 | 157.7 | 0.626 | 73.4 | 35.3 |
| BC23122020_slice_59 | 0.628 | 0.224 | 0.157 | 0.628 | 223.9 | 157.2 | 0.427 | 223.9 | 157.1 | 0.629 | 74.7 | 35.9 |
| BC23122020_slice_60 | 0.631 | 0.224 | 0.156 | 0.631 | 224.1 | 156.4 | 0.430 | 224.1 | 156.3 | 0.634 | 74.1 | 35.4 |
| BC23122020_slice_61 | 0.635 | 0.222 | 0.155 | 0.635 | 222.5 | 155.2 | 0.432 | 222.4 | 155.2 | 0.640 | 71.8 | 33.9 |
| BC23122020_slice_62 | 0.641 | 0.222 | 0.155 | 0.641 | 222.3 | 154.6 | 0.432 | 222.2 | 154.6 | 0.644 | 69.4 | 32.4 |
| BC23122020_slice_63 | 0.649 | 0.222 | 0.154 | 0.649 | 222.4 | 154.4 | 0.437 | 222.4 | 154.3 | 0.649 | 67.2 | 31.2 |
| BC23122020_slice_64 | 0.676 | 0.214 | 0.145 | 0.676 | 213.8 | 144.9 | 0.456 | 213.7 | 144.8 | 0.661 | 62.5 | 28.3 |
| BC23122020_slice_65 | 0.689 | 0.216 | 0.144 | 0.689 | 215.8 | 143.9 | 0.468 | 215.7 | 143.7 | 0.664 | 60.1 | 27.0 |
| BC23122020_slice_66 | 0.703 | 0.222 | 0.146 | 0.703 | 222.3 | 145.7 | 0.478 | 222.2 | 145.5 | 0.668 | 59.6 | 26.3 |
| BC23122020_slice_67 | 0.702 | 0.228 | 0.147 | 0.702 | 228.3 | 147.3 | 0.477 | 228.2 | 147.1 | 0.664 | 62.4 | 27.1 |
| BC23122020_slice_68 | 0.694 | 0.233 | 0.151 | 0.694 | 233.0 | 151.5 | 0.470 | 232.9 | 151.3 | 0.662 | 65.7 | 28.4 |
| BC23122020_slice_69 | 0.684 | 0.236 | 0.156 | 0.684 | 235.9 | 155.8 | 0.464 | 235.9 | 155.6 | 0.659 | 67.4 | 29.5 |
| BC23122020_slice_70 | 0.690 | 0.233 | 0.153 | 0.690 | 233.2 | 153.0 | 0.464 | 233.1 | 152.9 | 0.657 | 66.0 | 28.9 |
| BC23122020_slice_71 | 0.690 | 0.232 | 0.152 | 0.690 | 232.3 | 152.4 | 0.466 | 232.2 | 152.3 | 0.658 | 66.0 | 28.9 |
| BC23122020_slice_72 | 0.695 | 0.235 | 0.152 | 0.695 | 235.1 | 151.8 | 0.469 | 235.0 | 151.7 | 0.650 | 65.0 | 28.5 |
| BC23122020_slice_73 | 0.683 | 0.241 | 0.157 | 0.683 | 241.4 | 157.3 | 0.460 | 241.3 | 157.1 | 0.636 | 66.6 | 30.2 |
| BC23122020_slice_74 | 0.671 | 0.243 | 0.158 | 0.671 | 243.2 | 157.5 | 0.453 | 243.2 | 157.4 | 0.624 | 68.6 | 31.9 |
| BC23122020_slice_75 | 0.662 | 0.244 | 0.158 | 0.662 | 244.2 | 157.9 | 0.449 | 244.2 | 157.8 | 0.615 | 70.5 | 33.4 |
| BC23122020_slice_76 | 0.644 | 0.250 | 0.166 | 0.644 | 250.4 | 166.0 | 0.438 | 250.4 | 165.9 | 0.606 | 73.0 | 35.5 |
| BC23122020_slice_77 | 0.659 | 0.241 | 0.155 | 0.659 | 241.1 | 154.6 | 0.452 | 241.0 | 154.5 | 0.601 | 72.0 | 34.6 |
| BC23122020_slice_78 | 0.623 | 0.256 | 0.171 | 0.623 | 255.8 | 170.9 | 0.427 | 255.7 | 170.9 | 0.588 | 76.8 | 38.3 |
| BC23122020_slice_79 | 0.613 | 0.257 | 0.172 | 0.613 | 256.6 | 172.1 | 0.419 | 256.5 | 172.1 | 0.584 | 78.1 | 39.5 |
| BC23122020_slice_80 | 0.607 | 0.257 | 0.173 | 0.607 | 257.5 | 173.1 | 0.415 | 257.4 | 173.1 | 0.576 | 79.4 | 40.5 |
| BC23122020_slice_81 | 0.596 | 0.254 | 0.171 | 0.596 | 254.3 | 171.4 | 0.409 | 254.2 | 171.4 | 0.569 | 81.2 | 42.1 |
| BC23122020_slice_82 | 0.609 | 0.246 | 0.163 | 0.609 | 246.2 | 162.8 | 0.419 | 246.2 | 162.8 | 0.566 | 79.6 | 41.2 |
| BC23122020_slice_83 | 0.582 | 0.254 | 0.174 | 0.582 | 253.6 | 173.9 | 0.401 | 253.6 | 173.9 | 0.556 | 83.5 | 44.3 |
| BC23122020_slice_84 | 0.568 | 0.255 | 0.177 | 0.568 | 255.2 | 177.4 | 0.397 | 255.1 | 177.4 | 0.552 | 85.5 | 46.1 |
| BC23122020_slice_85 | 0.559 | 0.253 | 0.177 | 0.559 | 253.3 | 176.9 | 0.393 | 253.3 | 176.9 | 0.551 | 86.2 | 47.0 |
| BC23122020_slice_86 | 0.562 | 0.250 | 0.175 | 0.562 | 250.3 | 175.0 | 0.396 | 250.3 | 175.0 | 0.549 | 85.3 | 46.8 |
| BC23122020_slice_87 | 0.568 | 0.245 | 0.172 | 0.568 | 245.0 | 171.5 | 0.401 | 245.0 | 171.5 | 0.547 | 83.9 | 46.2 |
| BC23122020_slice_88 | 0.564 | 0.241 | 0.169 | 0.564 | 240.8 | 168.8 | 0.398 | 240.8 | 168.8 | 0.545 | 84.3 | 46.5 |
| BC23122020_slice_89 | 0.570 | 0.236 | 0.166 | 0.570 | 235.9 | 165.5 | 0.401 | 235.9 | 165.5 | 0.544 | 82.7 | 45.6 |
| BC23122020_slice_90 | 0.563 | 0.235 | 0.166 | 0.563 | 235.2 | 165.6 | 0.398 | 235.2 | 165.5 | 0.541 | 83.4 | 46.4 |
| BC23122020_slice_91 | 0.554 | 0.235 | 0.168 | 0.554 | 235.4 | 168.3 | 0.394 | 235.4 | 168.3 | 0.538 | 84.8 | 47.5 |
| BC23122020_slice_92 | 0.541 | 0.241 | 0.177 | 0.541 | 240.9 | 177.0 | 0.388 | 240.9 | 176.9 | 0.537 | 87.2 | 49.4 |
| BC23122020_slice_93 | 0.558 | 0.229 | 0.164 | 0.558 | 228.6 | 163.9 | 0.398 | 228.5 | 163.8 | 0.540 | 84.8 | 47.6 |
| BC23122020_slice_94 | 0.571 | 0.221 | 0.157 | 0.571 | 220.8 | 156.7 | 0.408 | 220.7 | 156.6 | 0.544 | 82.9 | 46.3 |
| BC23122020_slice_95 | 0.549 | 0.224 | 0.162 | 0.549 | 224.5 | 161.8 | 0.393 | 224.5 | 161.7 | 0.539 | 86.8 | 48.6 |
| BC23122020_slice_96 | 0.548 | 0.225 | 0.163 | 0.548 | 224.7 | 162.6 | 0.390 | 224.7 | 162.5 | 0.538 | 86.5 | 48.5 |
| BC23122020_slice_97 | 0.553 | 0.224 | 0.162 | 0.553 | 223.6 | 162.0 | 0.392 | 223.6 | 162.0 | 0.538 | 84.8 | 47.5 |
| BC23122020_slice_98 | 0.562 | 0.219 | 0.157 | 0.562 | 218.5 | 157.2 | 0.398 | 218.5 | 157.1 | 0.541 | 82.6 | 46.0 |
| BC23122020_slice_99 | 0.567 | 0.223 | 0.163 | 0.567 | 223.4 | 163.2 | 0.399 | 223.3 | 163.1 | 0.543 | 81.0 | 45.2 |
| BC23122020_slice_100 | 0.574 | 0.220 | 0.160 | 0.574 | 220.1 | 159.6 | 0.406 | 220.1 | 159.5 | 0.548 | 80.0 | 44.3 |
| BC23122020_slice_101 | 0.585 | 0.218 | 0.157 | 0.585 | 217.8 | 157.2 | 0.412 | 217.8 | 157.1 | 0.552 | 78.4 | 43.1 |
| BC23122020_slice_102 | 0.575 | 0.221 | 0.162 | 0.575 | 220.9 | 161.6 | 0.404 | 220.9 | 161.5 | 0.552 | 80.1 | 44.2 |
| BC23122020_slice_103 | 0.575 | 0.224 | 0.166 | 0.575 | 223.8 | 165.5 | 0.405 | 223.7 | 165.4 | 0.552 | 80.6 | 44.5 |
| BC23122020_slice_104 | 0.594 | 0.217 | 0.158 | 0.594 | 217.1 | 157.7 | 0.415 | 217.1 | 157.6 | 0.559 | 76.9 | 42.2 |
| BC23122020_slice_105 | 0.615 | 0.208 | 0.149 | 0.615 | 207.8 | 148.7 | 0.429 | 207.7 | 148.6 | 0.564 | 74.2 | 40.3 |
| BC23122020_slice_106 | 0.618 | 0.209 | 0.150 | 0.618 | 209.3 | 150.2 | 0.432 | 209.2 | 150.1 | 0.566 | 74.0 | 40.1 |
4Γ3 grid: Rows show different image types (Original NATIVE, Reconstructed NATIVE, Original VENOUS, Generated VENOUS), Columns show windowing techniques (No Window, Lung Window, Mediastinum Window)