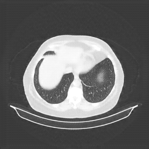
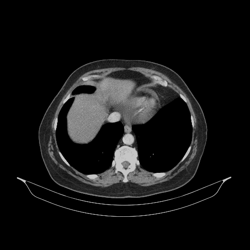
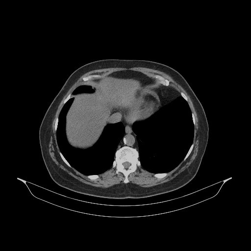
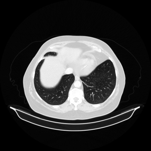
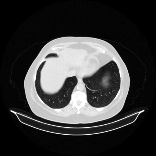
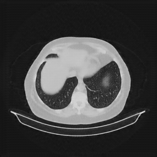
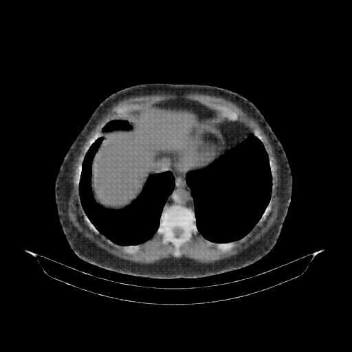
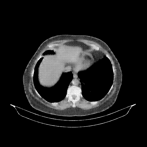
Slice 70 Targeting Evaluation
Patient ID: EM31082020
Model: cytran
Slice: Slice_70
Slice Thickness: 3.0mm
Conversion: NATIVE β VENOUS
Contains all 4 metric datasets: Network-Normalized, Hounsfield Units, Lung Window, and Mediastinum Window
| Slice ID | SSIM | RMSE | MAE | HU SSIM | HU RMSE | HU MAE | Lung SSIM | Lung RMSE | Lung MAE | Mediastinum SSIM | Mediastinum RMSE | Mediastinum MAE |
|---|---|---|---|---|---|---|---|---|---|---|---|---|
| EM31082020_slice_0 | 0.933 | 0.057 | 0.029 | 0.933 | 57.5 | 28.8 | 0.834 | 56.7 | 27.9 | 0.796 | 28.2 | 11.0 |
| EM31082020_slice_1 | 0.931 | 0.058 | 0.029 | 0.931 | 58.3 | 29.1 | 0.832 | 57.5 | 28.2 | 0.796 | 28.6 | 11.3 |
| EM31082020_slice_2 | 0.926 | 0.060 | 0.031 | 0.926 | 59.9 | 30.8 | 0.824 | 59.0 | 29.9 | 0.794 | 29.3 | 11.8 |
| EM31082020_slice_3 | 0.930 | 0.062 | 0.030 | 0.930 | 61.6 | 30.1 | 0.832 | 60.9 | 29.4 | 0.800 | 28.5 | 10.9 |
| EM31082020_slice_4 | 0.929 | 0.063 | 0.031 | 0.929 | 63.5 | 31.1 | 0.827 | 62.8 | 30.3 | 0.798 | 29.1 | 10.9 |
| EM31082020_slice_5 | 0.927 | 0.065 | 0.032 | 0.927 | 64.6 | 32.3 | 0.820 | 63.9 | 31.5 | 0.798 | 29.1 | 10.9 |
| EM31082020_slice_6 | 0.924 | 0.066 | 0.035 | 0.924 | 65.9 | 34.7 | 0.812 | 65.2 | 33.8 | 0.796 | 29.5 | 11.1 |
| EM31082020_slice_7 | 0.925 | 0.067 | 0.033 | 0.925 | 66.9 | 32.7 | 0.818 | 66.2 | 31.9 | 0.801 | 29.1 | 10.7 |
| EM31082020_slice_8 | 0.928 | 0.066 | 0.031 | 0.928 | 66.2 | 31.4 | 0.824 | 65.7 | 30.7 | 0.806 | 28.2 | 10.3 |
| EM31082020_slice_9 | 0.926 | 0.067 | 0.031 | 0.926 | 67.1 | 31.1 | 0.824 | 66.5 | 30.4 | 0.806 | 28.5 | 10.2 |
| EM31082020_slice_10 | 0.918 | 0.069 | 0.034 | 0.918 | 69.2 | 34.0 | 0.809 | 68.4 | 33.2 | 0.799 | 30.1 | 11.1 |
| EM31082020_slice_11 | 0.909 | 0.071 | 0.037 | 0.909 | 71.0 | 37.5 | 0.794 | 70.2 | 36.5 | 0.792 | 31.7 | 12.2 |
| EM31082020_slice_12 | 0.910 | 0.071 | 0.036 | 0.910 | 70.7 | 35.7 | 0.798 | 69.9 | 34.9 | 0.796 | 31.2 | 11.9 |
| EM31082020_slice_13 | 0.911 | 0.071 | 0.035 | 0.911 | 71.4 | 34.8 | 0.800 | 70.8 | 34.1 | 0.796 | 30.8 | 11.6 |
| EM31082020_slice_14 | 0.914 | 0.071 | 0.034 | 0.914 | 70.9 | 33.8 | 0.807 | 70.3 | 33.2 | 0.802 | 29.9 | 11.2 |
| EM31082020_slice_15 | 0.904 | 0.074 | 0.038 | 0.904 | 74.5 | 37.7 | 0.793 | 73.9 | 37.0 | 0.793 | 32.1 | 12.2 |
| EM31082020_slice_16 | 0.904 | 0.075 | 0.038 | 0.904 | 75.2 | 38.1 | 0.792 | 74.6 | 37.4 | 0.792 | 31.9 | 12.1 |
| EM31082020_slice_17 | 0.913 | 0.072 | 0.033 | 0.913 | 72.0 | 33.1 | 0.809 | 71.5 | 32.6 | 0.802 | 29.3 | 11.0 |
| EM31082020_slice_18 | 0.901 | 0.075 | 0.038 | 0.901 | 75.3 | 37.6 | 0.791 | 74.7 | 36.8 | 0.793 | 31.6 | 12.4 |
| EM31082020_slice_19 | 0.903 | 0.074 | 0.035 | 0.903 | 73.8 | 35.2 | 0.798 | 73.3 | 34.6 | 0.794 | 31.3 | 12.4 |
| EM31082020_slice_20 | 0.909 | 0.073 | 0.034 | 0.909 | 73.5 | 34.3 | 0.805 | 73.0 | 33.8 | 0.797 | 30.4 | 11.7 |
| EM31082020_slice_21 | 0.900 | 0.076 | 0.038 | 0.900 | 75.8 | 37.6 | 0.790 | 75.2 | 37.0 | 0.790 | 32.5 | 12.7 |
| EM31082020_slice_22 | 0.900 | 0.076 | 0.038 | 0.900 | 75.9 | 38.3 | 0.787 | 75.3 | 37.6 | 0.792 | 32.3 | 12.4 |
| EM31082020_slice_23 | 0.900 | 0.076 | 0.039 | 0.900 | 76.5 | 39.2 | 0.785 | 75.9 | 38.5 | 0.792 | 32.1 | 12.3 |
| EM31082020_slice_24 | 0.903 | 0.077 | 0.038 | 0.903 | 76.5 | 37.7 | 0.790 | 76.0 | 37.0 | 0.794 | 31.3 | 12.0 |
| EM31082020_slice_25 | 0.901 | 0.077 | 0.037 | 0.901 | 77.0 | 36.6 | 0.792 | 76.6 | 36.0 | 0.793 | 31.4 | 12.2 |
| EM31082020_slice_26 | 0.895 | 0.080 | 0.038 | 0.895 | 79.6 | 38.0 | 0.785 | 79.2 | 37.4 | 0.787 | 32.4 | 12.8 |
| EM31082020_slice_27 | 0.888 | 0.081 | 0.039 | 0.888 | 81.1 | 39.0 | 0.778 | 80.7 | 38.4 | 0.783 | 33.5 | 13.6 |
| EM31082020_slice_28 | 0.890 | 0.080 | 0.039 | 0.890 | 80.1 | 39.4 | 0.779 | 79.7 | 38.9 | 0.784 | 33.4 | 13.5 |
| EM31082020_slice_29 | 0.891 | 0.079 | 0.042 | 0.891 | 79.1 | 41.8 | 0.775 | 78.6 | 41.1 | 0.782 | 33.3 | 13.5 |
| EM31082020_slice_30 | 0.894 | 0.079 | 0.043 | 0.894 | 78.8 | 42.7 | 0.773 | 78.2 | 42.0 | 0.782 | 32.7 | 13.0 |
| EM31082020_slice_31 | 0.904 | 0.077 | 0.041 | 0.904 | 77.4 | 41.3 | 0.785 | 76.8 | 40.6 | 0.789 | 31.6 | 12.0 |
| EM31082020_slice_32 | 0.903 | 0.077 | 0.041 | 0.903 | 76.7 | 41.1 | 0.782 | 76.1 | 40.4 | 0.788 | 32.0 | 12.2 |
| EM31082020_slice_33 | 0.897 | 0.077 | 0.041 | 0.897 | 77.5 | 40.8 | 0.776 | 76.9 | 40.1 | 0.780 | 32.7 | 12.7 |
| EM31082020_slice_34 | 0.893 | 0.077 | 0.040 | 0.893 | 77.1 | 39.5 | 0.777 | 76.7 | 38.9 | 0.783 | 32.7 | 13.0 |
| EM31082020_slice_35 | 0.888 | 0.078 | 0.040 | 0.888 | 77.9 | 40.1 | 0.771 | 77.5 | 39.6 | 0.781 | 33.2 | 13.5 |
| EM31082020_slice_36 | 0.891 | 0.078 | 0.040 | 0.891 | 78.2 | 40.3 | 0.773 | 77.7 | 39.7 | 0.779 | 33.1 | 13.4 |
| EM31082020_slice_37 | 0.890 | 0.081 | 0.043 | 0.890 | 81.2 | 43.4 | 0.768 | 80.6 | 42.6 | 0.777 | 33.2 | 13.3 |
| EM31082020_slice_38 | 0.890 | 0.082 | 0.044 | 0.890 | 81.7 | 43.7 | 0.767 | 81.1 | 42.8 | 0.778 | 33.2 | 13.4 |
| EM31082020_slice_39 | 0.894 | 0.081 | 0.043 | 0.894 | 81.5 | 43.3 | 0.771 | 80.9 | 42.5 | 0.775 | 32.9 | 13.2 |
| EM31082020_slice_40 | 0.887 | 0.081 | 0.045 | 0.887 | 81.1 | 44.9 | 0.761 | 80.5 | 44.1 | 0.769 | 34.0 | 13.9 |
| EM31082020_slice_41 | 0.884 | 0.081 | 0.044 | 0.884 | 80.8 | 44.4 | 0.759 | 80.2 | 43.6 | 0.768 | 34.4 | 14.3 |
| EM31082020_slice_42 | 0.885 | 0.080 | 0.044 | 0.885 | 80.3 | 43.6 | 0.760 | 79.7 | 42.8 | 0.768 | 34.6 | 14.3 |
| EM31082020_slice_43 | 0.892 | 0.080 | 0.040 | 0.892 | 80.1 | 40.2 | 0.774 | 79.7 | 39.6 | 0.776 | 33.1 | 13.4 |
| EM31082020_slice_44 | 0.898 | 0.080 | 0.040 | 0.898 | 80.1 | 40.0 | 0.777 | 79.6 | 39.3 | 0.776 | 32.3 | 12.8 |
| EM31082020_slice_45 | 0.900 | 0.079 | 0.041 | 0.900 | 79.4 | 40.8 | 0.777 | 79.0 | 40.0 | 0.776 | 32.1 | 12.7 |
| EM31082020_slice_46 | 0.894 | 0.082 | 0.043 | 0.894 | 81.6 | 43.1 | 0.765 | 81.1 | 42.4 | 0.770 | 32.8 | 13.1 |
| EM31082020_slice_47 | 0.894 | 0.082 | 0.042 | 0.894 | 82.1 | 41.6 | 0.768 | 81.7 | 40.9 | 0.770 | 32.8 | 13.1 |
| EM31082020_slice_48 | 0.894 | 0.081 | 0.041 | 0.894 | 80.5 | 40.7 | 0.770 | 80.1 | 40.0 | 0.773 | 32.7 | 13.2 |
| EM31082020_slice_49 | 0.896 | 0.080 | 0.040 | 0.896 | 80.1 | 39.8 | 0.772 | 79.7 | 39.2 | 0.772 | 32.1 | 12.8 |
| EM31082020_slice_50 | 0.901 | 0.078 | 0.038 | 0.901 | 78.2 | 38.4 | 0.779 | 77.8 | 37.8 | 0.776 | 31.5 | 12.4 |
| EM31082020_slice_51 | 0.905 | 0.076 | 0.037 | 0.905 | 75.8 | 36.5 | 0.786 | 75.5 | 36.0 | 0.782 | 30.5 | 11.9 |
| EM31082020_slice_52 | 0.907 | 0.076 | 0.036 | 0.907 | 75.7 | 36.0 | 0.789 | 75.4 | 35.4 | 0.780 | 30.7 | 11.9 |
| EM31082020_slice_53 | 0.905 | 0.077 | 0.037 | 0.905 | 76.6 | 36.8 | 0.785 | 76.2 | 36.3 | 0.781 | 30.6 | 11.9 |
| EM31082020_slice_54 | 0.904 | 0.077 | 0.038 | 0.904 | 77.1 | 37.7 | 0.783 | 76.7 | 37.2 | 0.782 | 30.9 | 12.0 |
| EM31082020_slice_55 | 0.902 | 0.078 | 0.038 | 0.902 | 78.5 | 38.3 | 0.779 | 78.1 | 37.7 | 0.782 | 31.2 | 12.0 |
| EM31082020_slice_56 | 0.903 | 0.076 | 0.038 | 0.903 | 76.4 | 37.9 | 0.780 | 76.0 | 37.3 | 0.785 | 31.0 | 12.1 |
| EM31082020_slice_57 | 0.904 | 0.074 | 0.036 | 0.904 | 74.4 | 36.2 | 0.783 | 74.0 | 35.7 | 0.788 | 30.2 | 11.7 |
| EM31082020_slice_58 | 0.900 | 0.075 | 0.036 | 0.900 | 75.3 | 36.5 | 0.778 | 74.9 | 35.9 | 0.785 | 31.1 | 12.2 |
| EM31082020_slice_59 | 0.897 | 0.077 | 0.037 | 0.897 | 77.0 | 36.8 | 0.774 | 76.6 | 36.3 | 0.784 | 31.4 | 12.2 |
| EM31082020_slice_60 | 0.893 | 0.077 | 0.037 | 0.893 | 77.4 | 37.0 | 0.771 | 77.0 | 36.5 | 0.785 | 31.8 | 12.3 |
| EM31082020_slice_61 | 0.892 | 0.077 | 0.037 | 0.892 | 76.9 | 36.6 | 0.771 | 76.5 | 36.0 | 0.789 | 31.6 | 12.1 |
| EM31082020_slice_62 | 0.890 | 0.077 | 0.037 | 0.890 | 76.8 | 37.2 | 0.769 | 76.3 | 36.6 | 0.793 | 32.1 | 12.5 |
| EM31082020_slice_63 | 0.887 | 0.077 | 0.038 | 0.887 | 76.8 | 37.7 | 0.767 | 76.3 | 37.0 | 0.798 | 32.7 | 12.7 |
| EM31082020_slice_64 | 0.883 | 0.079 | 0.039 | 0.883 | 79.0 | 38.9 | 0.766 | 78.4 | 38.1 | 0.799 | 33.6 | 12.9 |
| EM31082020_slice_65 | 0.883 | 0.083 | 0.038 | 0.883 | 82.6 | 38.4 | 0.770 | 82.1 | 37.7 | 0.805 | 33.4 | 12.7 |
| EM31082020_slice_66 | 0.857 | 0.098 | 0.046 | 0.857 | 98.1 | 46.0 | 0.745 | 97.6 | 45.2 | 0.792 | 38.5 | 14.9 |
| EM31082020_slice_67 | 0.849 | 0.100 | 0.047 | 0.849 | 100.0 | 47.2 | 0.740 | 99.5 | 46.4 | 0.793 | 40.6 | 15.6 |
| EM31082020_slice_68 | 0.857 | 0.099 | 0.048 | 0.857 | 99.3 | 47.5 | 0.743 | 98.7 | 46.8 | 0.798 | 39.9 | 14.9 |
| EM31082020_slice_69 | 0.869 | 0.090 | 0.043 | 0.869 | 90.1 | 43.1 | 0.757 | 89.5 | 42.4 | 0.801 | 38.3 | 14.3 |
| EM31082020_slice_70 | 0.877 | 0.091 | 0.043 | 0.877 | 90.7 | 42.8 | 0.764 | 90.2 | 42.2 | 0.800 | 36.3 | 13.7 |
| EM31082020_slice_71 | 0.873 | 0.118 | 0.050 | 0.873 | 118.2 | 50.3 | 0.762 | 117.8 | 49.6 | 0.790 | 38.4 | 14.4 |
| EM31082020_slice_72 | 0.869 | 0.131 | 0.056 | 0.869 | 130.6 | 56.2 | 0.758 | 130.3 | 55.6 | 0.776 | 42.1 | 15.5 |
| EM31082020_slice_73 | 0.876 | 0.129 | 0.055 | 0.876 | 128.6 | 54.6 | 0.766 | 128.4 | 54.1 | 0.770 | 40.9 | 15.0 |
| EM31082020_slice_74 | 0.880 | 0.125 | 0.053 | 0.880 | 125.3 | 53.2 | 0.767 | 125.0 | 52.7 | 0.757 | 41.9 | 15.3 |
| EM31082020_slice_75 | 0.888 | 0.114 | 0.049 | 0.888 | 113.6 | 49.1 | 0.773 | 113.3 | 48.6 | 0.754 | 38.8 | 14.4 |
| EM31082020_slice_76 | 0.893 | 0.103 | 0.045 | 0.893 | 103.1 | 45.4 | 0.775 | 102.8 | 44.9 | 0.748 | 37.2 | 14.3 |
| EM31082020_slice_77 | 0.895 | 0.096 | 0.043 | 0.895 | 96.2 | 43.2 | 0.774 | 95.9 | 42.8 | 0.740 | 36.9 | 14.3 |
| EM31082020_slice_78 | 0.902 | 0.089 | 0.040 | 0.902 | 89.2 | 39.7 | 0.783 | 88.9 | 39.3 | 0.743 | 35.5 | 13.7 |
| EM31082020_slice_79 | 0.902 | 0.085 | 0.040 | 0.902 | 84.8 | 40.2 | 0.776 | 84.5 | 39.7 | 0.736 | 35.3 | 14.0 |
| EM31082020_slice_80 | 0.898 | 0.083 | 0.043 | 0.898 | 82.7 | 43.4 | 0.764 | 82.2 | 42.8 | 0.731 | 36.3 | 14.7 |
| EM31082020_slice_81 | 0.897 | 0.080 | 0.044 | 0.897 | 79.9 | 44.1 | 0.761 | 79.3 | 43.5 | 0.728 | 37.0 | 15.1 |
| EM31082020_slice_82 | 0.895 | 0.078 | 0.044 | 0.895 | 78.2 | 43.5 | 0.759 | 77.6 | 43.0 | 0.727 | 37.1 | 15.3 |
| EM31082020_slice_83 | 0.900 | 0.075 | 0.040 | 0.900 | 75.4 | 40.5 | 0.766 | 74.7 | 39.9 | 0.727 | 36.4 | 15.0 |
| EM31082020_slice_84 | 0.903 | 0.075 | 0.041 | 0.903 | 74.9 | 41.0 | 0.766 | 74.3 | 40.4 | 0.727 | 35.4 | 14.7 |
4Γ3 grid: Rows show different image types (Original NATIVE, Reconstructed NATIVE, Original VENOUS, Generated VENOUS), Columns show windowing techniques (No Window, Lung Window, Mediastinum Window)