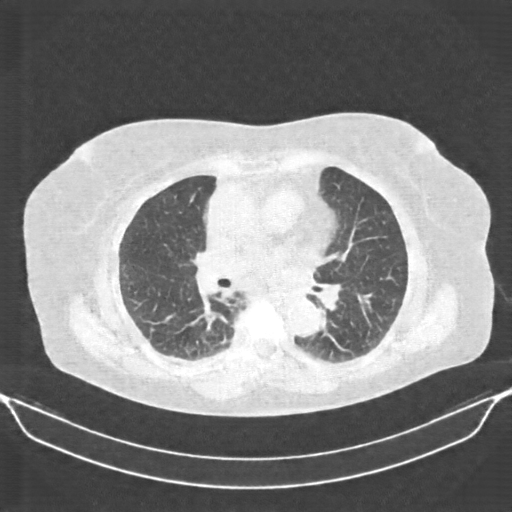
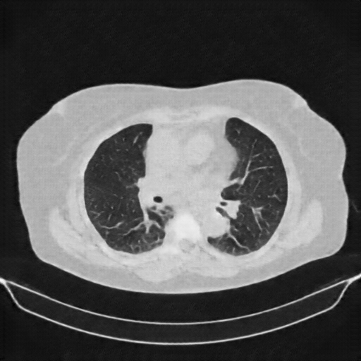
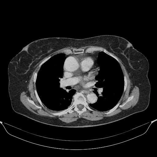
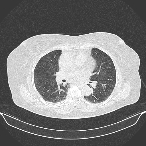
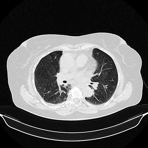
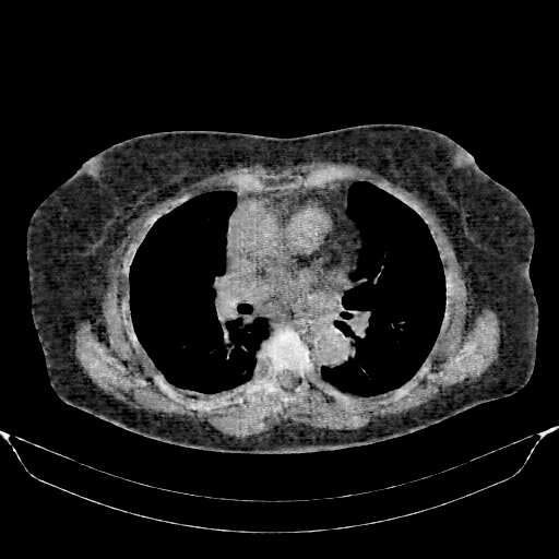
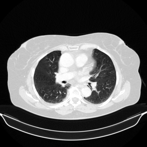
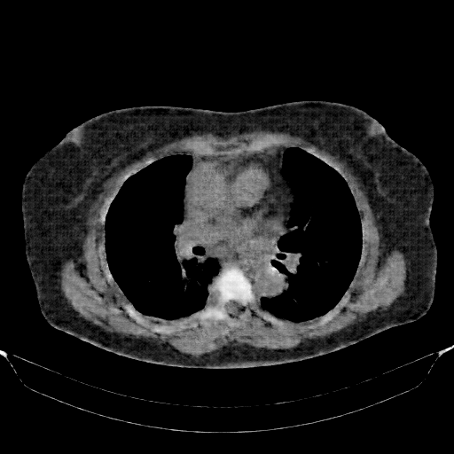
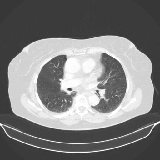
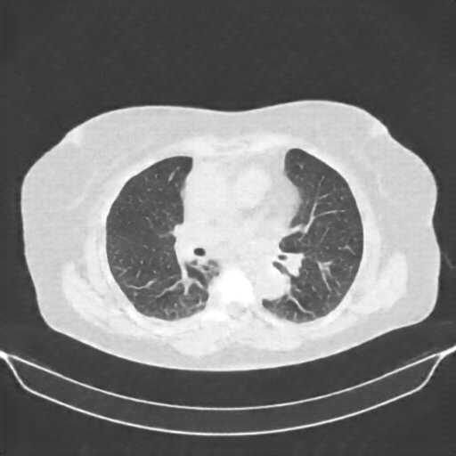
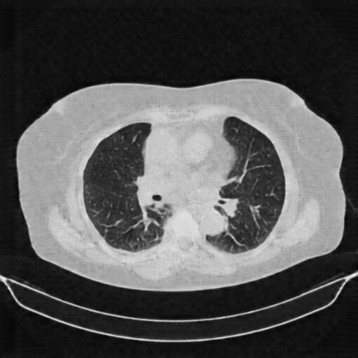
Slice 70 Targeting Evaluation
Patient ID: ME19112020
Model: cytran
Slice: Slice_70
Slice Thickness: 2.5mm
Conversion: NATIVE β VENOUS
Contains all 4 metric datasets: Network-Normalized, Hounsfield Units, Lung Window, and Mediastinum Window
| Slice ID | SSIM | RMSE | MAE | HU SSIM | HU RMSE | HU MAE | Lung SSIM | Lung RMSE | Lung MAE | Mediastinum SSIM | Mediastinum RMSE | Mediastinum MAE |
|---|---|---|---|---|---|---|---|---|---|---|---|---|
| ME19112020_slice_0 | 0.871 | 0.075 | 0.039 | 0.871 | 75.1 | 38.6 | 0.726 | 74.6 | 38.0 | 0.664 | 42.9 | 18.8 |
| ME19112020_slice_1 | 0.872 | 0.074 | 0.040 | 0.872 | 73.9 | 40.2 | 0.720 | 73.5 | 39.6 | 0.664 | 42.7 | 18.9 |
| ME19112020_slice_2 | 0.876 | 0.075 | 0.040 | 0.876 | 75.0 | 40.5 | 0.726 | 74.6 | 40.0 | 0.667 | 42.2 | 18.5 |
| ME19112020_slice_3 | 0.876 | 0.078 | 0.041 | 0.876 | 78.0 | 40.8 | 0.726 | 77.6 | 40.3 | 0.668 | 41.8 | 18.4 |
| ME19112020_slice_4 | 0.877 | 0.079 | 0.040 | 0.877 | 79.0 | 40.2 | 0.730 | 78.6 | 39.7 | 0.671 | 41.2 | 18.0 |
| ME19112020_slice_5 | 0.880 | 0.079 | 0.039 | 0.880 | 78.9 | 39.2 | 0.735 | 78.5 | 38.7 | 0.672 | 41.3 | 17.8 |
| ME19112020_slice_6 | 0.883 | 0.079 | 0.039 | 0.883 | 79.4 | 39.0 | 0.739 | 79.0 | 38.5 | 0.674 | 40.9 | 17.6 |
| ME19112020_slice_7 | 0.880 | 0.081 | 0.042 | 0.880 | 81.3 | 42.2 | 0.729 | 80.9 | 41.6 | 0.670 | 41.3 | 18.0 |
| ME19112020_slice_8 | 0.878 | 0.083 | 0.044 | 0.878 | 82.7 | 44.3 | 0.724 | 82.2 | 43.7 | 0.671 | 41.5 | 18.1 |
| ME19112020_slice_9 | 0.882 | 0.083 | 0.043 | 0.882 | 82.6 | 42.9 | 0.732 | 82.2 | 42.3 | 0.676 | 41.1 | 17.7 |
| ME19112020_slice_10 | 0.884 | 0.082 | 0.041 | 0.884 | 81.9 | 41.2 | 0.739 | 81.5 | 40.6 | 0.679 | 40.5 | 17.3 |
| ME19112020_slice_11 | 0.881 | 0.083 | 0.043 | 0.881 | 83.1 | 42.6 | 0.732 | 82.8 | 42.1 | 0.678 | 40.2 | 17.2 |
| ME19112020_slice_12 | 0.883 | 0.083 | 0.039 | 0.883 | 83.4 | 39.0 | 0.744 | 83.1 | 38.6 | 0.680 | 40.0 | 16.8 |
| ME19112020_slice_13 | 0.880 | 0.085 | 0.039 | 0.880 | 85.2 | 39.5 | 0.742 | 84.9 | 39.1 | 0.683 | 40.6 | 16.9 |
| ME19112020_slice_14 | 0.877 | 0.088 | 0.043 | 0.877 | 88.3 | 43.1 | 0.731 | 88.0 | 42.6 | 0.679 | 41.3 | 17.3 |
| ME19112020_slice_15 | 0.871 | 0.091 | 0.045 | 0.871 | 91.1 | 45.3 | 0.721 | 90.8 | 44.8 | 0.674 | 42.6 | 17.8 |
| ME19112020_slice_16 | 0.871 | 0.093 | 0.046 | 0.871 | 92.6 | 46.1 | 0.719 | 92.2 | 45.6 | 0.676 | 42.6 | 17.8 |
| ME19112020_slice_17 | 0.873 | 0.093 | 0.045 | 0.873 | 93.1 | 44.5 | 0.727 | 92.8 | 44.0 | 0.682 | 41.7 | 17.2 |
| ME19112020_slice_18 | 0.870 | 0.096 | 0.047 | 0.870 | 96.0 | 47.4 | 0.719 | 95.6 | 46.9 | 0.681 | 42.3 | 17.5 |
| ME19112020_slice_19 | 0.869 | 0.098 | 0.045 | 0.869 | 98.1 | 45.1 | 0.726 | 97.8 | 44.6 | 0.683 | 41.8 | 17.2 |
| ME19112020_slice_20 | 0.874 | 0.097 | 0.042 | 0.874 | 97.2 | 42.2 | 0.740 | 96.9 | 41.8 | 0.690 | 40.5 | 16.3 |
| ME19112020_slice_21 | 0.869 | 0.099 | 0.046 | 0.869 | 98.8 | 45.9 | 0.723 | 98.5 | 45.4 | 0.685 | 40.9 | 16.8 |
| ME19112020_slice_22 | 0.865 | 0.101 | 0.049 | 0.865 | 100.6 | 48.9 | 0.712 | 100.3 | 48.5 | 0.682 | 41.7 | 17.2 |
| ME19112020_slice_23 | 0.862 | 0.103 | 0.051 | 0.862 | 102.6 | 50.6 | 0.705 | 102.3 | 50.1 | 0.682 | 42.6 | 17.6 |
| ME19112020_slice_24 | 0.862 | 0.103 | 0.048 | 0.862 | 103.2 | 48.2 | 0.713 | 102.9 | 47.8 | 0.686 | 42.5 | 17.3 |
| ME19112020_slice_25 | 0.861 | 0.104 | 0.050 | 0.861 | 104.0 | 50.4 | 0.708 | 103.7 | 50.0 | 0.686 | 41.6 | 16.9 |
| ME19112020_slice_26 | 0.860 | 0.103 | 0.050 | 0.860 | 103.2 | 50.0 | 0.706 | 102.9 | 49.6 | 0.685 | 41.3 | 16.8 |
| ME19112020_slice_27 | 0.859 | 0.107 | 0.052 | 0.859 | 106.7 | 51.9 | 0.704 | 106.3 | 51.4 | 0.686 | 42.3 | 17.0 |
| ME19112020_slice_28 | 0.863 | 0.106 | 0.050 | 0.863 | 105.8 | 49.8 | 0.714 | 105.4 | 49.4 | 0.689 | 42.2 | 16.7 |
| ME19112020_slice_29 | 0.868 | 0.103 | 0.047 | 0.868 | 102.9 | 46.9 | 0.725 | 102.5 | 46.5 | 0.695 | 41.3 | 16.1 |
| ME19112020_slice_30 | 0.868 | 0.103 | 0.048 | 0.868 | 102.6 | 48.0 | 0.723 | 102.3 | 47.6 | 0.692 | 40.7 | 16.0 |
| ME19112020_slice_31 | 0.867 | 0.104 | 0.049 | 0.867 | 104.1 | 48.7 | 0.722 | 103.8 | 48.4 | 0.690 | 41.1 | 16.2 |
| ME19112020_slice_32 | 0.866 | 0.106 | 0.050 | 0.866 | 106.0 | 50.2 | 0.720 | 105.7 | 49.8 | 0.688 | 41.0 | 16.4 |
| ME19112020_slice_33 | 0.865 | 0.106 | 0.051 | 0.865 | 105.9 | 51.2 | 0.718 | 105.7 | 50.9 | 0.688 | 40.4 | 16.4 |
| ME19112020_slice_34 | 0.863 | 0.105 | 0.048 | 0.863 | 105.2 | 47.9 | 0.729 | 105.0 | 47.7 | 0.691 | 40.4 | 16.6 |
| ME19112020_slice_35 | 0.856 | 0.109 | 0.052 | 0.856 | 109.0 | 51.8 | 0.716 | 108.8 | 51.6 | 0.689 | 40.3 | 16.9 |
| ME19112020_slice_36 | 0.860 | 0.106 | 0.051 | 0.860 | 106.0 | 51.1 | 0.713 | 105.8 | 50.9 | 0.689 | 39.7 | 16.5 |
| ME19112020_slice_37 | 0.862 | 0.106 | 0.051 | 0.862 | 106.0 | 51.4 | 0.714 | 105.8 | 51.2 | 0.691 | 39.6 | 16.3 |
| ME19112020_slice_38 | 0.862 | 0.106 | 0.053 | 0.862 | 105.8 | 53.1 | 0.710 | 105.6 | 52.9 | 0.688 | 39.8 | 16.3 |
| ME19112020_slice_39 | 0.860 | 0.106 | 0.053 | 0.860 | 106.1 | 52.6 | 0.711 | 105.8 | 52.4 | 0.688 | 40.1 | 16.5 |
| ME19112020_slice_40 | 0.864 | 0.106 | 0.050 | 0.864 | 106.3 | 49.9 | 0.725 | 106.0 | 49.7 | 0.697 | 40.0 | 16.2 |
| ME19112020_slice_41 | 0.866 | 0.108 | 0.050 | 0.866 | 107.6 | 50.0 | 0.725 | 107.3 | 49.7 | 0.696 | 39.8 | 16.0 |
| ME19112020_slice_42 | 0.862 | 0.110 | 0.054 | 0.862 | 110.3 | 54.0 | 0.707 | 110.0 | 53.7 | 0.688 | 40.2 | 16.4 |
| ME19112020_slice_43 | 0.865 | 0.110 | 0.050 | 0.865 | 110.3 | 50.0 | 0.719 | 110.2 | 49.8 | 0.692 | 39.6 | 16.0 |
| ME19112020_slice_44 | 0.865 | 0.110 | 0.048 | 0.865 | 110.3 | 48.1 | 0.726 | 110.1 | 47.9 | 0.696 | 39.6 | 15.8 |
| ME19112020_slice_45 | 0.864 | 0.113 | 0.050 | 0.864 | 113.2 | 49.6 | 0.725 | 113.0 | 49.3 | 0.695 | 40.2 | 15.9 |
| ME19112020_slice_46 | 0.855 | 0.115 | 0.056 | 0.855 | 115.1 | 56.0 | 0.702 | 114.9 | 55.7 | 0.682 | 41.4 | 16.8 |
| ME19112020_slice_47 | 0.850 | 0.114 | 0.057 | 0.850 | 114.4 | 57.4 | 0.692 | 114.2 | 57.2 | 0.680 | 41.4 | 17.1 |
| ME19112020_slice_48 | 0.847 | 0.115 | 0.057 | 0.847 | 114.8 | 56.9 | 0.691 | 114.5 | 56.7 | 0.678 | 41.5 | 17.5 |
| ME19112020_slice_49 | 0.847 | 0.114 | 0.053 | 0.847 | 114.1 | 53.2 | 0.701 | 114.0 | 53.1 | 0.682 | 41.3 | 17.3 |
| ME19112020_slice_50 | 0.845 | 0.117 | 0.053 | 0.845 | 116.5 | 52.8 | 0.703 | 116.4 | 52.6 | 0.680 | 41.9 | 17.6 |
| ME19112020_slice_51 | 0.847 | 0.118 | 0.052 | 0.847 | 117.8 | 51.6 | 0.707 | 117.7 | 51.5 | 0.680 | 41.7 | 17.4 |
| ME19112020_slice_52 | 0.848 | 0.119 | 0.052 | 0.848 | 119.0 | 51.6 | 0.706 | 118.9 | 51.4 | 0.681 | 40.9 | 16.9 |
| ME19112020_slice_53 | 0.844 | 0.120 | 0.054 | 0.844 | 120.3 | 54.4 | 0.694 | 120.2 | 54.2 | 0.673 | 41.9 | 17.4 |
| ME19112020_slice_54 | 0.844 | 0.121 | 0.055 | 0.844 | 121.3 | 55.5 | 0.691 | 121.2 | 55.2 | 0.674 | 41.9 | 17.3 |
| ME19112020_slice_55 | 0.843 | 0.123 | 0.057 | 0.843 | 123.3 | 56.9 | 0.687 | 123.1 | 56.6 | 0.670 | 42.4 | 17.5 |
| ME19112020_slice_56 | 0.843 | 0.126 | 0.056 | 0.843 | 126.0 | 56.2 | 0.688 | 125.9 | 56.0 | 0.668 | 42.8 | 17.5 |
| ME19112020_slice_57 | 0.841 | 0.126 | 0.058 | 0.841 | 126.5 | 58.2 | 0.682 | 126.3 | 57.9 | 0.667 | 43.0 | 17.8 |
| ME19112020_slice_58 | 0.841 | 0.124 | 0.058 | 0.841 | 124.2 | 57.6 | 0.680 | 124.0 | 57.3 | 0.667 | 41.7 | 17.4 |
| ME19112020_slice_59 | 0.842 | 0.122 | 0.056 | 0.842 | 121.8 | 56.4 | 0.686 | 121.6 | 56.2 | 0.670 | 41.5 | 17.3 |
| ME19112020_slice_60 | 0.843 | 0.120 | 0.056 | 0.843 | 120.4 | 56.0 | 0.686 | 120.2 | 55.8 | 0.670 | 41.7 | 17.6 |
| ME19112020_slice_61 | 0.841 | 0.120 | 0.057 | 0.841 | 120.4 | 56.8 | 0.681 | 120.2 | 56.6 | 0.668 | 42.2 | 17.9 |
| ME19112020_slice_62 | 0.845 | 0.118 | 0.056 | 0.845 | 118.3 | 56.1 | 0.684 | 118.2 | 56.0 | 0.672 | 41.1 | 17.3 |
| ME19112020_slice_63 | 0.841 | 0.119 | 0.058 | 0.841 | 118.9 | 57.9 | 0.676 | 118.8 | 57.8 | 0.668 | 41.0 | 17.4 |
| ME19112020_slice_64 | 0.844 | 0.118 | 0.057 | 0.844 | 118.3 | 56.9 | 0.679 | 118.2 | 56.8 | 0.668 | 40.1 | 17.0 |
| ME19112020_slice_65 | 0.843 | 0.118 | 0.059 | 0.843 | 118.0 | 59.0 | 0.677 | 117.8 | 58.9 | 0.667 | 41.0 | 17.4 |
| ME19112020_slice_66 | 0.844 | 0.117 | 0.060 | 0.844 | 117.3 | 59.6 | 0.675 | 117.1 | 59.4 | 0.668 | 41.0 | 17.6 |
| ME19112020_slice_67 | 0.843 | 0.118 | 0.059 | 0.843 | 118.1 | 59.5 | 0.678 | 117.9 | 59.3 | 0.669 | 41.8 | 17.7 |
| ME19112020_slice_68 | 0.848 | 0.116 | 0.057 | 0.848 | 115.6 | 56.8 | 0.685 | 115.4 | 56.6 | 0.674 | 40.9 | 17.4 |
| ME19112020_slice_69 | 0.849 | 0.115 | 0.055 | 0.849 | 114.6 | 55.1 | 0.691 | 114.4 | 54.8 | 0.676 | 40.6 | 17.2 |
| ME19112020_slice_70 | 0.848 | 0.118 | 0.058 | 0.848 | 117.7 | 58.4 | 0.682 | 117.5 | 58.1 | 0.670 | 40.8 | 17.3 |
| ME19112020_slice_71 | 0.842 | 0.119 | 0.060 | 0.842 | 119.4 | 60.2 | 0.676 | 119.2 | 60.0 | 0.668 | 41.8 | 17.8 |
| ME19112020_slice_72 | 0.842 | 0.118 | 0.058 | 0.842 | 118.3 | 58.5 | 0.680 | 118.1 | 58.2 | 0.671 | 41.7 | 17.9 |
| ME19112020_slice_73 | 0.836 | 0.120 | 0.060 | 0.836 | 119.8 | 60.1 | 0.670 | 119.6 | 59.9 | 0.665 | 42.7 | 18.5 |
| ME19112020_slice_74 | 0.831 | 0.123 | 0.065 | 0.831 | 123.2 | 64.6 | 0.658 | 123.1 | 64.4 | 0.660 | 43.7 | 18.9 |
| ME19112020_slice_75 | 0.835 | 0.124 | 0.062 | 0.835 | 124.1 | 61.7 | 0.665 | 124.0 | 61.5 | 0.663 | 42.9 | 18.4 |
| ME19112020_slice_76 | 0.830 | 0.128 | 0.066 | 0.830 | 127.6 | 66.2 | 0.657 | 127.5 | 66.0 | 0.658 | 44.1 | 19.0 |
| ME19112020_slice_77 | 0.830 | 0.128 | 0.068 | 0.830 | 127.8 | 68.3 | 0.651 | 127.7 | 68.1 | 0.655 | 43.4 | 18.8 |
| ME19112020_slice_78 | 0.830 | 0.125 | 0.065 | 0.830 | 124.9 | 64.9 | 0.656 | 124.8 | 64.8 | 0.659 | 42.6 | 18.5 |
| ME19112020_slice_79 | 0.824 | 0.126 | 0.066 | 0.824 | 125.6 | 66.1 | 0.650 | 125.5 | 65.9 | 0.655 | 43.3 | 19.1 |
| ME19112020_slice_80 | 0.823 | 0.125 | 0.066 | 0.823 | 124.9 | 65.8 | 0.647 | 124.8 | 65.6 | 0.655 | 43.6 | 19.2 |
| ME19112020_slice_81 | 0.826 | 0.124 | 0.066 | 0.826 | 124.3 | 65.5 | 0.648 | 124.1 | 65.4 | 0.653 | 43.1 | 19.1 |
| ME19112020_slice_82 | 0.828 | 0.125 | 0.064 | 0.828 | 124.6 | 63.9 | 0.654 | 124.5 | 63.7 | 0.651 | 42.8 | 19.0 |
| ME19112020_slice_83 | 0.833 | 0.126 | 0.062 | 0.833 | 126.3 | 61.8 | 0.660 | 126.1 | 61.6 | 0.651 | 42.8 | 18.9 |
| ME19112020_slice_84 | 0.833 | 0.124 | 0.061 | 0.833 | 124.3 | 60.5 | 0.660 | 124.2 | 60.3 | 0.650 | 42.5 | 18.8 |
| ME19112020_slice_85 | 0.833 | 0.125 | 0.062 | 0.833 | 124.7 | 61.6 | 0.658 | 124.5 | 61.4 | 0.652 | 43.3 | 19.0 |
| ME19112020_slice_86 | 0.841 | 0.123 | 0.059 | 0.841 | 123.3 | 59.4 | 0.667 | 123.2 | 59.1 | 0.657 | 41.8 | 18.3 |
| ME19112020_slice_87 | 0.843 | 0.123 | 0.058 | 0.843 | 123.4 | 58.3 | 0.671 | 123.3 | 58.1 | 0.656 | 42.3 | 18.5 |
| ME19112020_slice_88 | 0.840 | 0.123 | 0.060 | 0.840 | 123.0 | 60.4 | 0.663 | 122.9 | 60.3 | 0.654 | 42.8 | 18.7 |
| ME19112020_slice_89 | 0.838 | 0.122 | 0.059 | 0.838 | 122.2 | 59.4 | 0.662 | 122.1 | 59.3 | 0.651 | 42.7 | 18.8 |
| ME19112020_slice_90 | 0.835 | 0.121 | 0.062 | 0.835 | 121.2 | 61.7 | 0.654 | 121.1 | 61.5 | 0.649 | 43.0 | 19.2 |
| ME19112020_slice_91 | 0.842 | 0.118 | 0.059 | 0.842 | 118.1 | 59.5 | 0.663 | 118.0 | 59.4 | 0.657 | 41.9 | 18.4 |
| ME19112020_slice_92 | 0.838 | 0.117 | 0.061 | 0.838 | 117.2 | 60.7 | 0.656 | 117.1 | 60.5 | 0.656 | 42.5 | 18.8 |
| ME19112020_slice_93 | 0.837 | 0.117 | 0.063 | 0.837 | 117.3 | 62.5 | 0.653 | 117.2 | 62.4 | 0.658 | 42.5 | 18.7 |
| ME19112020_slice_94 | 0.838 | 0.116 | 0.063 | 0.838 | 116.0 | 63.0 | 0.654 | 115.8 | 62.8 | 0.661 | 42.6 | 18.7 |
| ME19112020_slice_95 | 0.844 | 0.115 | 0.061 | 0.844 | 115.2 | 61.2 | 0.664 | 115.1 | 61.0 | 0.667 | 41.8 | 18.1 |
| ME19112020_slice_96 | 0.838 | 0.123 | 0.064 | 0.838 | 122.6 | 63.8 | 0.661 | 122.5 | 63.6 | 0.664 | 42.1 | 18.4 |
| ME19112020_slice_97 | 0.830 | 0.130 | 0.066 | 0.830 | 130.1 | 66.4 | 0.652 | 130.0 | 66.2 | 0.658 | 44.7 | 19.6 |
| ME19112020_slice_98 | 0.827 | 0.134 | 0.067 | 0.827 | 133.7 | 67.5 | 0.652 | 133.6 | 67.3 | 0.655 | 46.5 | 20.2 |
| ME19112020_slice_99 | 0.828 | 0.134 | 0.065 | 0.828 | 134.3 | 64.8 | 0.663 | 134.2 | 64.6 | 0.660 | 47.3 | 20.1 |
| ME19112020_slice_100 | 0.828 | 0.136 | 0.064 | 0.828 | 135.5 | 64.3 | 0.662 | 135.4 | 64.1 | 0.662 | 47.8 | 20.3 |
| ME19112020_slice_101 | 0.826 | 0.136 | 0.063 | 0.826 | 135.7 | 63.4 | 0.665 | 135.6 | 63.1 | 0.663 | 48.2 | 20.5 |
| ME19112020_slice_102 | 0.830 | 0.136 | 0.062 | 0.830 | 135.7 | 62.1 | 0.671 | 135.5 | 61.9 | 0.668 | 48.5 | 20.4 |
| ME19112020_slice_103 | 0.827 | 0.138 | 0.064 | 0.827 | 137.6 | 63.5 | 0.666 | 137.5 | 63.4 | 0.670 | 49.2 | 20.7 |
| ME19112020_slice_104 | 0.824 | 0.139 | 0.065 | 0.824 | 139.2 | 65.2 | 0.662 | 139.2 | 65.1 | 0.672 | 48.8 | 20.6 |
| ME19112020_slice_105 | 0.824 | 0.140 | 0.064 | 0.824 | 139.5 | 64.3 | 0.663 | 139.4 | 64.2 | 0.673 | 48.7 | 20.6 |
| ME19112020_slice_106 | 0.822 | 0.137 | 0.063 | 0.822 | 137.2 | 63.2 | 0.663 | 137.1 | 63.1 | 0.679 | 49.6 | 20.8 |
| ME19112020_slice_107 | 0.822 | 0.133 | 0.066 | 0.822 | 133.2 | 65.7 | 0.656 | 133.1 | 65.6 | 0.684 | 48.8 | 20.4 |
| ME19112020_slice_108 | 0.832 | 0.130 | 0.063 | 0.832 | 129.7 | 63.0 | 0.668 | 129.6 | 62.8 | 0.687 | 46.8 | 19.5 |
| ME19112020_slice_109 | 0.833 | 0.126 | 0.062 | 0.833 | 126.2 | 62.3 | 0.667 | 126.1 | 62.1 | 0.684 | 45.8 | 19.2 |
| ME19112020_slice_110 | 0.831 | 0.123 | 0.064 | 0.831 | 122.6 | 63.9 | 0.663 | 122.4 | 63.7 | 0.684 | 46.1 | 19.4 |
| ME19112020_slice_111 | 0.837 | 0.118 | 0.059 | 0.837 | 118.4 | 59.3 | 0.675 | 118.2 | 59.1 | 0.689 | 45.0 | 19.1 |
| ME19112020_slice_112 | 0.843 | 0.119 | 0.059 | 0.843 | 118.8 | 59.0 | 0.679 | 118.6 | 58.8 | 0.689 | 42.7 | 18.0 |
| ME19112020_slice_113 | 0.841 | 0.120 | 0.061 | 0.841 | 120.0 | 61.0 | 0.672 | 119.9 | 60.8 | 0.684 | 42.7 | 18.1 |
| ME19112020_slice_114 | 0.841 | 0.116 | 0.056 | 0.841 | 116.3 | 55.6 | 0.681 | 116.2 | 55.3 | 0.688 | 42.6 | 18.0 |
| ME19112020_slice_115 | 0.841 | 0.113 | 0.056 | 0.841 | 113.3 | 55.6 | 0.678 | 113.2 | 55.3 | 0.682 | 42.5 | 18.0 |
| ME19112020_slice_116 | 0.843 | 0.110 | 0.053 | 0.843 | 109.9 | 53.3 | 0.681 | 109.8 | 53.0 | 0.681 | 42.5 | 18.0 |
| ME19112020_slice_117 | 0.850 | 0.106 | 0.052 | 0.850 | 105.7 | 52.4 | 0.688 | 105.5 | 52.2 | 0.683 | 40.9 | 17.4 |
| ME19112020_slice_118 | 0.852 | 0.105 | 0.055 | 0.852 | 104.8 | 55.0 | 0.682 | 104.7 | 54.8 | 0.682 | 40.1 | 17.1 |
| ME19112020_slice_119 | 0.854 | 0.103 | 0.055 | 0.854 | 103.0 | 54.8 | 0.682 | 102.9 | 54.7 | 0.679 | 39.9 | 17.1 |
| ME19112020_slice_120 | 0.855 | 0.100 | 0.052 | 0.855 | 100.2 | 51.9 | 0.687 | 100.1 | 51.8 | 0.677 | 39.7 | 17.3 |
| ME19112020_slice_121 | 0.864 | 0.097 | 0.049 | 0.864 | 96.9 | 49.0 | 0.698 | 96.8 | 48.9 | 0.678 | 38.8 | 16.9 |
| ME19112020_slice_122 | 0.864 | 0.096 | 0.048 | 0.864 | 95.8 | 48.3 | 0.701 | 95.7 | 48.2 | 0.672 | 39.2 | 17.2 |
| ME19112020_slice_123 | 0.868 | 0.094 | 0.048 | 0.868 | 94.0 | 48.1 | 0.701 | 93.9 | 48.0 | 0.670 | 38.6 | 17.1 |
| ME19112020_slice_124 | 0.867 | 0.096 | 0.051 | 0.867 | 96.1 | 51.2 | 0.691 | 96.0 | 51.1 | 0.662 | 38.7 | 17.3 |
| ME19112020_slice_125 | 0.869 | 0.093 | 0.048 | 0.869 | 92.8 | 48.0 | 0.696 | 92.7 | 47.9 | 0.660 | 38.8 | 17.5 |
| ME19112020_slice_126 | 0.872 | 0.089 | 0.046 | 0.872 | 89.1 | 45.9 | 0.701 | 89.0 | 45.8 | 0.657 | 38.6 | 17.5 |
| ME19112020_slice_127 | 0.871 | 0.088 | 0.047 | 0.871 | 88.4 | 47.3 | 0.694 | 88.3 | 47.2 | 0.652 | 39.2 | 18.1 |
| ME19112020_slice_128 | 0.865 | 0.090 | 0.050 | 0.865 | 89.6 | 50.1 | 0.682 | 89.5 | 50.0 | 0.643 | 40.2 | 18.8 |
| ME19112020_slice_129 | 0.865 | 0.089 | 0.049 | 0.865 | 89.1 | 49.2 | 0.685 | 89.0 | 49.1 | 0.643 | 40.5 | 19.0 |
| ME19112020_slice_130 | 0.865 | 0.088 | 0.049 | 0.865 | 87.6 | 48.6 | 0.687 | 87.5 | 48.5 | 0.642 | 40.6 | 19.0 |
| ME19112020_slice_131 | 0.869 | 0.086 | 0.045 | 0.869 | 86.0 | 45.4 | 0.695 | 85.9 | 45.2 | 0.642 | 40.1 | 18.7 |
| ME19112020_slice_132 | 0.867 | 0.087 | 0.047 | 0.867 | 86.8 | 46.5 | 0.692 | 86.7 | 46.4 | 0.640 | 41.0 | 19.1 |
| ME19112020_slice_133 | 0.868 | 0.089 | 0.046 | 0.868 | 88.9 | 46.2 | 0.692 | 88.8 | 46.1 | 0.639 | 41.4 | 19.2 |
| ME19112020_slice_134 | 0.864 | 0.091 | 0.048 | 0.864 | 90.8 | 48.1 | 0.688 | 90.7 | 47.9 | 0.634 | 42.4 | 19.7 |
| ME19112020_slice_135 | 0.858 | 0.091 | 0.049 | 0.858 | 90.9 | 49.4 | 0.681 | 90.8 | 49.3 | 0.628 | 43.3 | 20.3 |
| ME19112020_slice_136 | 0.846 | 0.093 | 0.054 | 0.846 | 92.9 | 53.6 | 0.667 | 92.8 | 53.6 | 0.622 | 45.3 | 21.5 |
| ME19112020_slice_137 | 0.851 | 0.095 | 0.052 | 0.851 | 94.9 | 51.6 | 0.677 | 94.9 | 51.6 | 0.626 | 45.3 | 21.1 |
| ME19112020_slice_138 | 0.855 | 0.098 | 0.050 | 0.855 | 98.2 | 49.9 | 0.686 | 98.1 | 49.8 | 0.628 | 45.3 | 20.9 |
| ME19112020_slice_139 | 0.864 | 0.095 | 0.043 | 0.864 | 94.9 | 43.4 | 0.708 | 94.8 | 43.4 | 0.633 | 43.9 | 19.9 |
| ME19112020_slice_140 | 0.858 | 0.096 | 0.049 | 0.858 | 95.9 | 49.1 | 0.691 | 95.9 | 49.0 | 0.628 | 44.6 | 20.7 |
| ME19112020_slice_141 | 0.850 | 0.098 | 0.052 | 0.850 | 98.0 | 52.3 | 0.678 | 97.9 | 52.2 | 0.625 | 45.6 | 21.5 |
| ME19112020_slice_142 | 0.855 | 0.096 | 0.050 | 0.855 | 96.0 | 49.8 | 0.686 | 95.9 | 49.7 | 0.627 | 44.6 | 21.0 |
| ME19112020_slice_143 | 0.853 | 0.092 | 0.049 | 0.853 | 92.4 | 49.3 | 0.684 | 92.3 | 49.2 | 0.622 | 44.3 | 21.1 |
| ME19112020_slice_144 | 0.852 | 0.089 | 0.048 | 0.852 | 89.0 | 48.5 | 0.683 | 89.0 | 48.4 | 0.622 | 44.2 | 21.2 |
| ME19112020_slice_145 | 0.859 | 0.084 | 0.046 | 0.859 | 84.0 | 45.7 | 0.692 | 83.9 | 45.6 | 0.623 | 42.5 | 20.5 |
| ME19112020_slice_146 | 0.863 | 0.082 | 0.046 | 0.863 | 82.1 | 45.7 | 0.696 | 82.0 | 45.5 | 0.626 | 41.5 | 20.0 |
| ME19112020_slice_147 | 0.865 | 0.082 | 0.044 | 0.865 | 82.3 | 43.9 | 0.702 | 82.2 | 43.7 | 0.624 | 40.7 | 19.5 |
| ME19112020_slice_148 | 0.868 | 0.081 | 0.043 | 0.868 | 80.9 | 43.0 | 0.704 | 80.8 | 42.9 | 0.625 | 40.4 | 19.5 |
| ME19112020_slice_149 | 0.858 | 0.086 | 0.047 | 0.858 | 86.2 | 46.9 | 0.687 | 86.1 | 46.8 | 0.617 | 42.0 | 20.4 |
| ME19112020_slice_150 | 0.849 | 0.091 | 0.051 | 0.849 | 91.3 | 50.7 | 0.677 | 91.2 | 50.6 | 0.612 | 43.3 | 21.1 |
| ME19112020_slice_151 | 0.851 | 0.092 | 0.048 | 0.851 | 92.3 | 47.9 | 0.686 | 92.2 | 47.8 | 0.613 | 42.8 | 20.5 |
| ME19112020_slice_152 | 0.845 | 0.096 | 0.048 | 0.845 | 96.1 | 48.4 | 0.680 | 96.0 | 48.3 | 0.613 | 44.1 | 21.1 |
| ME19112020_slice_153 | 0.831 | 0.102 | 0.054 | 0.831 | 101.7 | 53.8 | 0.660 | 101.6 | 53.8 | 0.607 | 46.4 | 22.4 |
| ME19112020_slice_154 | 0.824 | 0.103 | 0.054 | 0.824 | 103.3 | 54.1 | 0.657 | 103.2 | 54.0 | 0.609 | 47.7 | 22.9 |
| ME19112020_slice_155 | 0.827 | 0.102 | 0.052 | 0.827 | 101.7 | 52.1 | 0.662 | 101.6 | 52.0 | 0.610 | 47.3 | 22.6 |
| ME19112020_slice_156 | 0.829 | 0.102 | 0.053 | 0.829 | 102.3 | 52.6 | 0.666 | 102.2 | 52.5 | 0.614 | 47.2 | 22.4 |
| ME19112020_slice_157 | 0.826 | 0.105 | 0.054 | 0.826 | 105.3 | 53.6 | 0.662 | 105.3 | 53.5 | 0.612 | 47.3 | 22.6 |
| ME19112020_slice_158 | 0.828 | 0.108 | 0.054 | 0.828 | 107.8 | 54.3 | 0.664 | 107.7 | 54.2 | 0.616 | 46.7 | 22.3 |
| ME19112020_slice_159 | 0.829 | 0.108 | 0.056 | 0.829 | 108.0 | 56.0 | 0.662 | 107.9 | 55.9 | 0.615 | 47.0 | 22.5 |
| ME19112020_slice_160 | 0.831 | 0.108 | 0.055 | 0.831 | 107.6 | 54.5 | 0.664 | 107.5 | 54.4 | 0.613 | 46.9 | 22.5 |
4Γ3 grid: Rows show different image types (Original NATIVE, Reconstructed NATIVE, Original VENOUS, Generated VENOUS), Columns show windowing techniques (No Window, Lung Window, Mediastinum Window)