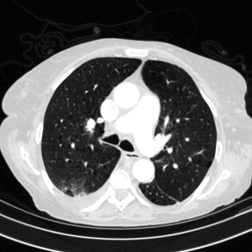
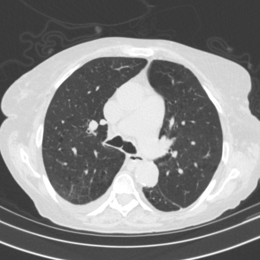
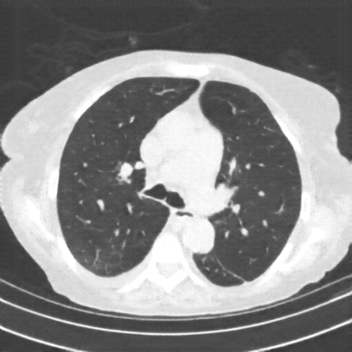
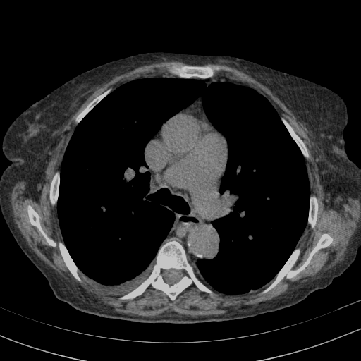
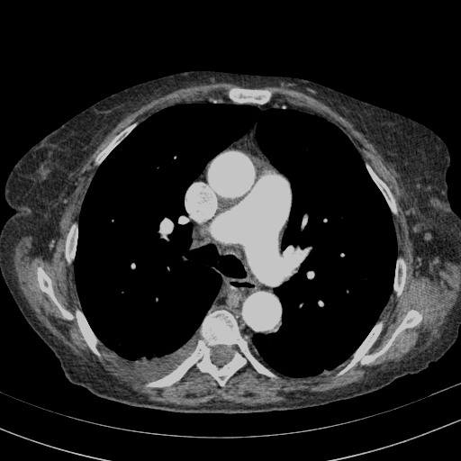
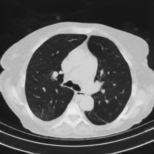
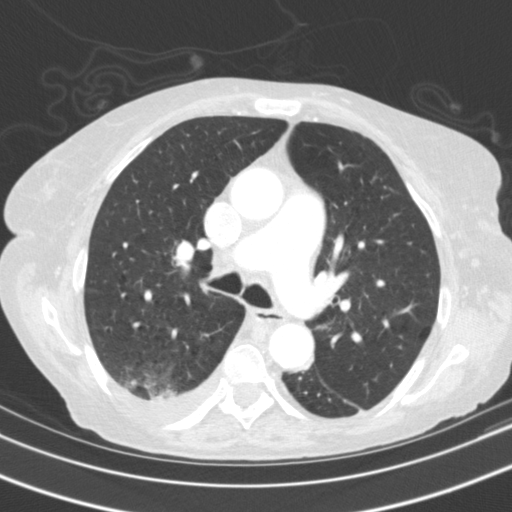
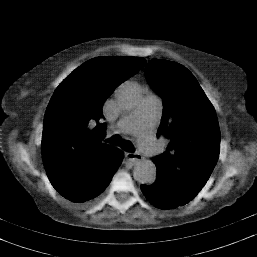
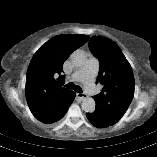
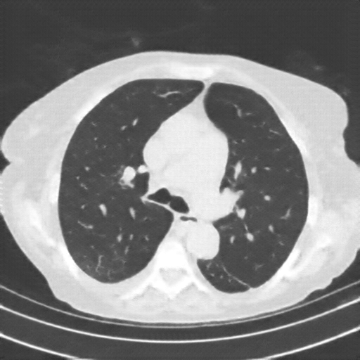
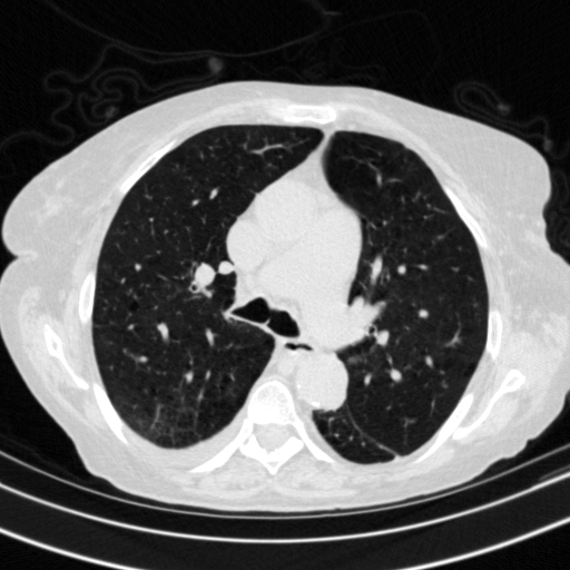
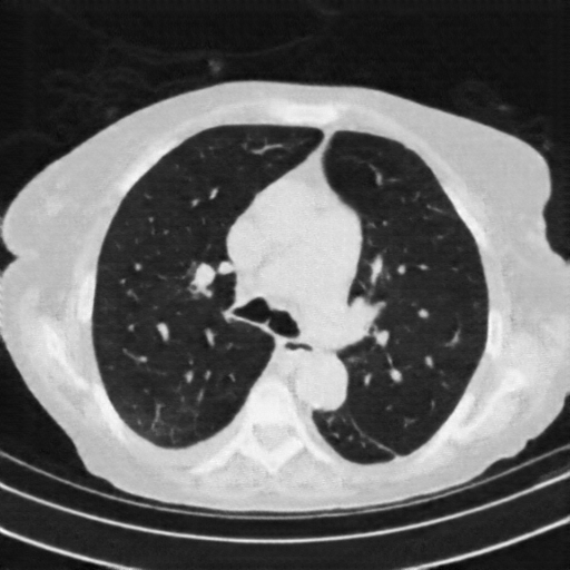
Slice 70 Targeting Evaluation
Patient ID: MF04022021
Model: cytran
Slice: Slice_70
Slice Thickness: 1.5mm
Conversion: NATIVE β VENOUS
Contains all 4 metric datasets: Network-Normalized, Hounsfield Units, Lung Window, and Mediastinum Window
| Slice ID | SSIM | RMSE | MAE | HU SSIM | HU RMSE | HU MAE | Lung SSIM | Lung RMSE | Lung MAE | Mediastinum SSIM | Mediastinum RMSE | Mediastinum MAE |
|---|---|---|---|---|---|---|---|---|---|---|---|---|
| MF04022021_slice_0 | 0.751 | 0.165 | 0.072 | 0.751 | 164.7 | 72.3 | 0.595 | 163.8 | 70.6 | 0.570 | 54.1 | 28.2 |
| MF04022021_slice_1 | 0.753 | 0.156 | 0.070 | 0.753 | 156.4 | 69.8 | 0.593 | 155.8 | 68.1 | 0.565 | 53.3 | 28.2 |
| MF04022021_slice_2 | 0.759 | 0.149 | 0.066 | 0.759 | 149.1 | 66.4 | 0.598 | 148.5 | 64.9 | 0.568 | 52.2 | 27.7 |
| MF04022021_slice_3 | 0.761 | 0.147 | 0.066 | 0.761 | 146.6 | 66.2 | 0.602 | 145.9 | 64.7 | 0.568 | 52.8 | 27.7 |
| MF04022021_slice_4 | 0.758 | 0.149 | 0.072 | 0.758 | 149.4 | 72.1 | 0.594 | 148.8 | 70.8 | 0.566 | 53.6 | 28.0 |
| MF04022021_slice_5 | 0.752 | 0.163 | 0.079 | 0.752 | 163.3 | 78.6 | 0.585 | 162.8 | 77.3 | 0.563 | 52.8 | 27.6 |
| MF04022021_slice_6 | 0.757 | 0.155 | 0.076 | 0.757 | 155.0 | 75.6 | 0.595 | 154.3 | 73.9 | 0.556 | 54.0 | 28.6 |
| MF04022021_slice_7 | 0.767 | 0.148 | 0.067 | 0.767 | 147.8 | 67.1 | 0.610 | 147.4 | 65.8 | 0.560 | 51.8 | 26.9 |
| MF04022021_slice_8 | 0.767 | 0.152 | 0.068 | 0.767 | 152.3 | 67.6 | 0.613 | 151.9 | 66.5 | 0.568 | 51.3 | 26.4 |
| MF04022021_slice_9 | 0.764 | 0.153 | 0.069 | 0.764 | 152.7 | 69.2 | 0.608 | 152.2 | 68.0 | 0.570 | 52.4 | 26.8 |
| MF04022021_slice_10 | 0.762 | 0.151 | 0.071 | 0.762 | 151.3 | 70.5 | 0.603 | 150.8 | 69.0 | 0.572 | 51.7 | 26.9 |
| MF04022021_slice_11 | 0.762 | 0.151 | 0.071 | 0.762 | 151.2 | 71.3 | 0.600 | 150.6 | 69.7 | 0.576 | 51.4 | 26.8 |
| MF04022021_slice_12 | 0.769 | 0.151 | 0.070 | 0.769 | 151.1 | 69.9 | 0.609 | 150.7 | 68.5 | 0.584 | 50.0 | 25.7 |
| MF04022021_slice_13 | 0.773 | 0.151 | 0.068 | 0.773 | 151.3 | 68.4 | 0.616 | 151.0 | 67.2 | 0.588 | 49.3 | 25.0 |
| MF04022021_slice_14 | 0.771 | 0.153 | 0.068 | 0.771 | 152.6 | 68.5 | 0.616 | 152.3 | 67.3 | 0.593 | 49.5 | 25.0 |
| MF04022021_slice_15 | 0.776 | 0.153 | 0.068 | 0.776 | 152.8 | 68.0 | 0.620 | 152.5 | 66.8 | 0.600 | 48.6 | 24.4 |
| MF04022021_slice_16 | 0.783 | 0.152 | 0.065 | 0.783 | 151.6 | 65.5 | 0.630 | 151.4 | 64.6 | 0.609 | 47.3 | 23.3 |
| MF04022021_slice_17 | 0.779 | 0.152 | 0.068 | 0.779 | 152.3 | 68.2 | 0.622 | 152.0 | 67.0 | 0.610 | 48.7 | 24.1 |
| MF04022021_slice_18 | 0.778 | 0.154 | 0.069 | 0.778 | 153.9 | 68.5 | 0.618 | 153.7 | 67.4 | 0.613 | 48.4 | 23.8 |
| MF04022021_slice_19 | 0.775 | 0.153 | 0.069 | 0.775 | 153.4 | 68.8 | 0.612 | 153.1 | 67.7 | 0.611 | 49.0 | 24.0 |
| MF04022021_slice_20 | 0.780 | 0.154 | 0.068 | 0.780 | 153.6 | 67.7 | 0.620 | 153.2 | 66.7 | 0.618 | 49.0 | 23.6 |
| MF04022021_slice_21 | 0.779 | 0.154 | 0.068 | 0.779 | 154.5 | 67.6 | 0.620 | 154.1 | 66.5 | 0.622 | 48.1 | 23.3 |
| MF04022021_slice_22 | 0.778 | 0.155 | 0.068 | 0.778 | 154.6 | 68.3 | 0.617 | 154.2 | 67.1 | 0.624 | 47.2 | 23.1 |
| MF04022021_slice_23 | 0.781 | 0.153 | 0.067 | 0.781 | 153.2 | 67.3 | 0.622 | 152.8 | 66.0 | 0.629 | 46.3 | 22.8 |
| MF04022021_slice_24 | 0.780 | 0.155 | 0.068 | 0.780 | 154.6 | 68.1 | 0.621 | 154.2 | 66.8 | 0.631 | 46.5 | 22.8 |
| MF04022021_slice_25 | 0.775 | 0.155 | 0.070 | 0.775 | 154.5 | 69.9 | 0.615 | 154.1 | 68.6 | 0.630 | 47.4 | 23.1 |
| MF04022021_slice_26 | 0.776 | 0.155 | 0.069 | 0.776 | 155.0 | 68.9 | 0.616 | 154.6 | 67.7 | 0.631 | 46.9 | 22.8 |
| MF04022021_slice_27 | 0.778 | 0.156 | 0.067 | 0.778 | 156.2 | 67.3 | 0.617 | 155.8 | 66.1 | 0.635 | 46.8 | 22.5 |
| MF04022021_slice_28 | 0.784 | 0.156 | 0.065 | 0.784 | 156.2 | 65.0 | 0.626 | 155.8 | 64.0 | 0.643 | 45.7 | 21.3 |
| MF04022021_slice_29 | 0.788 | 0.155 | 0.065 | 0.788 | 155.2 | 64.6 | 0.628 | 154.9 | 63.7 | 0.644 | 45.4 | 20.9 |
| MF04022021_slice_30 | 0.781 | 0.155 | 0.066 | 0.781 | 154.8 | 66.5 | 0.617 | 154.5 | 65.5 | 0.639 | 46.6 | 21.5 |
| MF04022021_slice_31 | 0.780 | 0.154 | 0.067 | 0.780 | 154.4 | 67.0 | 0.616 | 153.9 | 65.9 | 0.641 | 47.4 | 21.7 |
| MF04022021_slice_32 | 0.776 | 0.155 | 0.068 | 0.776 | 154.6 | 67.9 | 0.610 | 154.2 | 66.8 | 0.642 | 47.1 | 21.7 |
| MF04022021_slice_33 | 0.776 | 0.153 | 0.067 | 0.776 | 153.3 | 67.2 | 0.612 | 152.9 | 66.1 | 0.643 | 47.0 | 21.6 |
| MF04022021_slice_34 | 0.773 | 0.153 | 0.068 | 0.773 | 152.6 | 67.8 | 0.609 | 152.2 | 66.7 | 0.643 | 46.9 | 21.8 |
| MF04022021_slice_35 | 0.774 | 0.152 | 0.067 | 0.774 | 151.6 | 67.3 | 0.609 | 151.3 | 66.2 | 0.641 | 46.2 | 21.6 |
| MF04022021_slice_36 | 0.783 | 0.151 | 0.065 | 0.783 | 150.9 | 65.3 | 0.619 | 150.6 | 64.4 | 0.644 | 44.7 | 20.7 |
| MF04022021_slice_37 | 0.786 | 0.152 | 0.065 | 0.786 | 152.3 | 65.1 | 0.622 | 152.0 | 64.2 | 0.641 | 44.8 | 20.7 |
| MF04022021_slice_38 | 0.784 | 0.154 | 0.066 | 0.784 | 153.9 | 65.8 | 0.618 | 153.7 | 65.0 | 0.640 | 44.7 | 20.7 |
| MF04022021_slice_39 | 0.779 | 0.155 | 0.067 | 0.779 | 155.4 | 67.2 | 0.613 | 155.1 | 66.3 | 0.641 | 45.0 | 21.1 |
| MF04022021_slice_40 | 0.781 | 0.155 | 0.067 | 0.781 | 155.2 | 67.3 | 0.613 | 154.9 | 66.5 | 0.639 | 45.2 | 21.2 |
| MF04022021_slice_41 | 0.782 | 0.156 | 0.068 | 0.782 | 156.3 | 68.3 | 0.615 | 156.1 | 67.4 | 0.639 | 45.4 | 21.1 |
| MF04022021_slice_42 | 0.778 | 0.157 | 0.070 | 0.778 | 156.9 | 70.2 | 0.608 | 156.6 | 69.2 | 0.637 | 45.8 | 21.5 |
| MF04022021_slice_43 | 0.780 | 0.154 | 0.069 | 0.780 | 154.2 | 69.5 | 0.609 | 153.9 | 68.4 | 0.642 | 46.4 | 21.7 |
| MF04022021_slice_44 | 0.784 | 0.152 | 0.069 | 0.784 | 152.2 | 68.6 | 0.611 | 151.8 | 67.4 | 0.641 | 46.6 | 21.6 |
| MF04022021_slice_45 | 0.789 | 0.151 | 0.067 | 0.789 | 151.0 | 66.9 | 0.618 | 150.6 | 65.9 | 0.647 | 45.2 | 20.8 |
| MF04022021_slice_46 | 0.793 | 0.150 | 0.066 | 0.793 | 150.3 | 65.9 | 0.623 | 150.0 | 64.9 | 0.648 | 44.2 | 20.3 |
| MF04022021_slice_47 | 0.796 | 0.150 | 0.066 | 0.796 | 150.1 | 66.1 | 0.626 | 149.8 | 65.1 | 0.648 | 44.2 | 20.2 |
| MF04022021_slice_48 | 0.794 | 0.152 | 0.066 | 0.794 | 152.1 | 66.2 | 0.623 | 151.8 | 65.3 | 0.646 | 44.8 | 20.3 |
| MF04022021_slice_49 | 0.786 | 0.153 | 0.068 | 0.786 | 153.3 | 68.1 | 0.612 | 152.9 | 67.1 | 0.639 | 46.2 | 21.1 |
| MF04022021_slice_50 | 0.783 | 0.152 | 0.068 | 0.783 | 152.3 | 68.0 | 0.607 | 151.9 | 67.1 | 0.640 | 46.7 | 21.3 |
| MF04022021_slice_51 | 0.778 | 0.153 | 0.070 | 0.778 | 153.2 | 70.1 | 0.598 | 152.8 | 69.0 | 0.636 | 47.9 | 22.0 |
| MF04022021_slice_52 | 0.778 | 0.153 | 0.070 | 0.778 | 153.4 | 70.3 | 0.598 | 153.0 | 69.3 | 0.633 | 47.6 | 21.9 |
| MF04022021_slice_53 | 0.779 | 0.151 | 0.070 | 0.779 | 151.2 | 69.6 | 0.599 | 150.9 | 68.7 | 0.636 | 47.6 | 22.0 |
| MF04022021_slice_54 | 0.784 | 0.150 | 0.069 | 0.784 | 150.2 | 69.3 | 0.604 | 149.8 | 68.3 | 0.637 | 46.8 | 21.5 |
| MF04022021_slice_55 | 0.787 | 0.153 | 0.069 | 0.787 | 152.9 | 68.7 | 0.610 | 152.6 | 67.8 | 0.639 | 47.8 | 21.3 |
| MF04022021_slice_56 | 0.791 | 0.151 | 0.067 | 0.791 | 151.2 | 67.4 | 0.617 | 150.9 | 66.6 | 0.647 | 45.5 | 20.5 |
| MF04022021_slice_57 | 0.794 | 0.149 | 0.066 | 0.794 | 149.2 | 66.5 | 0.618 | 149.0 | 65.6 | 0.646 | 45.1 | 20.2 |
| MF04022021_slice_58 | 0.792 | 0.150 | 0.067 | 0.792 | 150.0 | 66.9 | 0.614 | 149.7 | 66.1 | 0.647 | 45.2 | 20.1 |
| MF04022021_slice_59 | 0.778 | 0.159 | 0.074 | 0.778 | 159.0 | 73.6 | 0.599 | 158.6 | 72.7 | 0.641 | 50.8 | 22.3 |
| MF04022021_slice_60 | 0.780 | 0.156 | 0.072 | 0.780 | 156.3 | 71.6 | 0.602 | 155.9 | 70.7 | 0.649 | 47.0 | 21.3 |
| MF04022021_slice_61 | 0.775 | 0.155 | 0.071 | 0.775 | 155.1 | 70.8 | 0.597 | 154.7 | 69.8 | 0.646 | 47.3 | 21.8 |
| MF04022021_slice_62 | 0.782 | 0.156 | 0.070 | 0.782 | 156.4 | 70.4 | 0.605 | 156.0 | 69.6 | 0.648 | 46.8 | 21.2 |
| MF04022021_slice_63 | 0.781 | 0.158 | 0.070 | 0.781 | 157.9 | 70.2 | 0.607 | 157.5 | 69.5 | 0.651 | 46.5 | 20.9 |
| MF04022021_slice_64 | 0.768 | 0.158 | 0.072 | 0.768 | 157.5 | 71.9 | 0.592 | 157.2 | 71.1 | 0.645 | 47.3 | 21.9 |
| MF04022021_slice_65 | 0.768 | 0.158 | 0.072 | 0.768 | 157.9 | 72.0 | 0.593 | 157.6 | 71.3 | 0.645 | 46.7 | 21.8 |
| MF04022021_slice_66 | 0.770 | 0.158 | 0.072 | 0.770 | 158.4 | 72.0 | 0.597 | 158.0 | 71.3 | 0.648 | 46.8 | 21.7 |
| MF04022021_slice_67 | 0.762 | 0.159 | 0.073 | 0.762 | 158.9 | 73.0 | 0.588 | 158.5 | 72.1 | 0.642 | 47.8 | 22.4 |
| MF04022021_slice_68 | 0.763 | 0.159 | 0.073 | 0.763 | 159.5 | 72.5 | 0.588 | 159.0 | 71.6 | 0.643 | 48.0 | 22.5 |
| MF04022021_slice_69 | 0.765 | 0.160 | 0.076 | 0.765 | 159.6 | 75.7 | 0.584 | 159.2 | 74.9 | 0.637 | 48.2 | 22.7 |
| MF04022021_slice_70 | 0.768 | 0.160 | 0.074 | 0.768 | 160.5 | 74.3 | 0.589 | 160.1 | 73.4 | 0.635 | 48.0 | 22.8 |
| MF04022021_slice_71 | 0.769 | 0.163 | 0.075 | 0.769 | 162.8 | 74.7 | 0.593 | 162.4 | 73.7 | 0.631 | 48.5 | 23.1 |
| MF04022021_slice_72 | 0.766 | 0.165 | 0.076 | 0.766 | 165.2 | 76.1 | 0.592 | 164.8 | 75.1 | 0.627 | 49.4 | 23.6 |
| MF04022021_slice_73 | 0.772 | 0.165 | 0.075 | 0.772 | 164.6 | 75.3 | 0.602 | 164.2 | 74.3 | 0.628 | 49.7 | 23.8 |
| MF04022021_slice_74 | 0.771 | 0.165 | 0.076 | 0.771 | 164.7 | 75.5 | 0.603 | 164.3 | 74.5 | 0.628 | 49.1 | 23.8 |
| MF04022021_slice_75 | 0.768 | 0.167 | 0.077 | 0.768 | 166.9 | 77.0 | 0.597 | 166.6 | 76.0 | 0.623 | 48.7 | 23.6 |
| MF04022021_slice_76 | 0.770 | 0.168 | 0.077 | 0.770 | 167.5 | 76.8 | 0.603 | 167.3 | 76.1 | 0.630 | 48.1 | 22.9 |
| MF04022021_slice_77 | 0.756 | 0.170 | 0.079 | 0.756 | 169.9 | 78.8 | 0.588 | 169.5 | 77.9 | 0.614 | 50.1 | 24.4 |
| MF04022021_slice_78 | 0.746 | 0.169 | 0.080 | 0.746 | 169.2 | 80.3 | 0.575 | 168.9 | 79.6 | 0.606 | 51.0 | 25.3 |
| MF04022021_slice_79 | 0.749 | 0.169 | 0.080 | 0.749 | 168.6 | 79.5 | 0.578 | 168.4 | 78.8 | 0.604 | 50.6 | 25.0 |
| MF04022021_slice_80 | 0.753 | 0.169 | 0.079 | 0.753 | 169.1 | 78.9 | 0.580 | 168.9 | 78.3 | 0.596 | 50.4 | 25.1 |
| MF04022021_slice_81 | 0.750 | 0.170 | 0.080 | 0.750 | 170.1 | 79.6 | 0.573 | 169.9 | 78.9 | 0.591 | 50.5 | 25.4 |
| MF04022021_slice_82 | 0.750 | 0.168 | 0.079 | 0.750 | 167.7 | 78.7 | 0.573 | 167.4 | 78.1 | 0.591 | 50.5 | 25.3 |
| MF04022021_slice_83 | 0.756 | 0.169 | 0.077 | 0.756 | 168.9 | 77.1 | 0.585 | 168.7 | 76.4 | 0.596 | 50.7 | 25.2 |
| MF04022021_slice_84 | 0.763 | 0.169 | 0.076 | 0.763 | 168.9 | 76.4 | 0.593 | 168.7 | 75.7 | 0.599 | 49.3 | 24.4 |
| MF04022021_slice_85 | 0.758 | 0.167 | 0.077 | 0.758 | 166.8 | 76.9 | 0.581 | 166.6 | 76.1 | 0.588 | 49.6 | 24.9 |
| MF04022021_slice_86 | 0.753 | 0.166 | 0.079 | 0.753 | 165.8 | 79.3 | 0.576 | 165.6 | 78.4 | 0.580 | 50.7 | 25.7 |
| MF04022021_slice_87 | 0.748 | 0.165 | 0.081 | 0.748 | 165.4 | 81.4 | 0.567 | 165.2 | 80.5 | 0.569 | 50.8 | 26.2 |
| MF04022021_slice_88 | 0.752 | 0.167 | 0.081 | 0.752 | 167.1 | 80.9 | 0.571 | 166.9 | 80.1 | 0.568 | 49.9 | 25.7 |
| MF04022021_slice_89 | 0.758 | 0.163 | 0.079 | 0.758 | 163.4 | 79.3 | 0.577 | 163.1 | 78.4 | 0.564 | 49.8 | 25.8 |
| MF04022021_slice_90 | 0.754 | 0.161 | 0.079 | 0.754 | 160.6 | 79.1 | 0.568 | 160.4 | 78.3 | 0.557 | 50.9 | 26.6 |
| MF04022021_slice_91 | 0.758 | 0.160 | 0.078 | 0.758 | 160.3 | 78.1 | 0.572 | 160.1 | 77.4 | 0.557 | 50.7 | 26.6 |
| MF04022021_slice_92 | 0.759 | 0.159 | 0.077 | 0.759 | 158.5 | 77.3 | 0.571 | 158.3 | 76.8 | 0.552 | 50.9 | 26.8 |
| MF04022021_slice_93 | 0.757 | 0.157 | 0.077 | 0.757 | 156.8 | 77.0 | 0.570 | 156.6 | 76.4 | 0.543 | 52.0 | 27.7 |
| MF04022021_slice_94 | 0.756 | 0.156 | 0.077 | 0.756 | 156.3 | 77.4 | 0.569 | 156.1 | 76.9 | 0.539 | 52.7 | 28.2 |
| MF04022021_slice_95 | 0.761 | 0.154 | 0.077 | 0.761 | 154.0 | 76.9 | 0.572 | 153.9 | 76.4 | 0.536 | 51.9 | 28.0 |
| MF04022021_slice_96 | 0.760 | 0.152 | 0.077 | 0.760 | 151.8 | 76.6 | 0.569 | 151.7 | 76.1 | 0.531 | 51.8 | 28.3 |
| MF04022021_slice_97 | 0.755 | 0.152 | 0.079 | 0.755 | 151.9 | 78.8 | 0.561 | 151.8 | 78.4 | 0.525 | 53.0 | 29.2 |
| MF04022021_slice_98 | 0.764 | 0.152 | 0.076 | 0.764 | 151.9 | 75.8 | 0.573 | 151.8 | 75.4 | 0.529 | 52.4 | 28.7 |
| MF04022021_slice_99 | 0.768 | 0.150 | 0.076 | 0.768 | 149.8 | 75.7 | 0.575 | 149.7 | 75.3 | 0.527 | 52.3 | 28.6 |
| MF04022021_slice_100 | 0.770 | 0.148 | 0.074 | 0.770 | 148.3 | 73.9 | 0.581 | 148.1 | 73.2 | 0.528 | 52.7 | 29.0 |
| MF04022021_slice_101 | 0.776 | 0.147 | 0.071 | 0.776 | 147.1 | 70.9 | 0.590 | 146.9 | 70.1 | 0.530 | 51.6 | 28.6 |
| MF04022021_slice_102 | 0.779 | 0.147 | 0.070 | 0.779 | 146.5 | 69.9 | 0.594 | 146.3 | 69.2 | 0.530 | 50.7 | 28.3 |
| MF04022021_slice_103 | 0.776 | 0.144 | 0.071 | 0.776 | 144.4 | 70.6 | 0.591 | 144.3 | 69.9 | 0.525 | 51.6 | 29.0 |
| MF04022021_slice_104 | 0.772 | 0.143 | 0.074 | 0.772 | 143.4 | 73.7 | 0.582 | 143.2 | 73.0 | 0.521 | 52.4 | 29.7 |
| MF04022021_slice_105 | 0.775 | 0.141 | 0.073 | 0.775 | 140.7 | 72.6 | 0.585 | 140.5 | 71.9 | 0.523 | 51.9 | 29.5 |
| MF04022021_slice_106 | 0.771 | 0.140 | 0.073 | 0.771 | 140.0 | 73.3 | 0.579 | 139.9 | 72.8 | 0.515 | 53.0 | 30.2 |
| MF04022021_slice_107 | 0.771 | 0.138 | 0.074 | 0.771 | 138.2 | 73.7 | 0.574 | 138.1 | 73.2 | 0.511 | 53.0 | 30.3 |
| MF04022021_slice_108 | 0.770 | 0.136 | 0.073 | 0.770 | 136.0 | 72.7 | 0.574 | 135.9 | 72.3 | 0.509 | 53.8 | 30.8 |
| MF04022021_slice_109 | 0.771 | 0.133 | 0.072 | 0.771 | 133.2 | 71.9 | 0.575 | 133.1 | 71.5 | 0.510 | 53.6 | 30.8 |
| MF04022021_slice_110 | 0.766 | 0.133 | 0.073 | 0.766 | 133.0 | 72.8 | 0.571 | 132.9 | 72.4 | 0.504 | 55.2 | 31.9 |
| MF04022021_slice_111 | 0.767 | 0.132 | 0.071 | 0.767 | 131.6 | 71.3 | 0.575 | 131.5 | 71.0 | 0.502 | 55.3 | 32.1 |
| MF04022021_slice_112 | 0.763 | 0.133 | 0.075 | 0.763 | 132.7 | 74.9 | 0.566 | 132.6 | 74.7 | 0.497 | 55.4 | 32.3 |
| MF04022021_slice_113 | 0.764 | 0.132 | 0.074 | 0.764 | 132.1 | 74.4 | 0.563 | 132.1 | 74.2 | 0.490 | 54.9 | 32.2 |
| MF04022021_slice_114 | 0.768 | 0.131 | 0.073 | 0.768 | 130.8 | 73.0 | 0.569 | 130.7 | 72.7 | 0.488 | 54.9 | 32.2 |
| MF04022021_slice_115 | 0.770 | 0.129 | 0.073 | 0.770 | 129.5 | 72.8 | 0.572 | 129.4 | 72.4 | 0.491 | 54.8 | 32.2 |
| MF04022021_slice_116 | 0.761 | 0.130 | 0.074 | 0.761 | 130.0 | 73.7 | 0.564 | 129.9 | 73.2 | 0.488 | 56.5 | 33.2 |
| MF04022021_slice_117 | 0.761 | 0.128 | 0.072 | 0.761 | 127.9 | 72.1 | 0.564 | 127.8 | 71.7 | 0.486 | 56.7 | 33.5 |
| MF04022021_slice_118 | 0.759 | 0.127 | 0.073 | 0.759 | 126.5 | 73.4 | 0.561 | 126.4 | 73.1 | 0.483 | 57.2 | 33.8 |
| MF04022021_slice_119 | 0.759 | 0.127 | 0.075 | 0.759 | 126.9 | 75.5 | 0.560 | 126.9 | 75.2 | 0.481 | 57.5 | 33.8 |
| MF04022021_slice_120 | 0.749 | 0.126 | 0.075 | 0.749 | 125.9 | 74.5 | 0.551 | 125.8 | 74.1 | 0.479 | 58.8 | 34.7 |
| MF04022021_slice_121 | 0.739 | 0.124 | 0.075 | 0.739 | 124.0 | 75.1 | 0.541 | 123.9 | 74.7 | 0.474 | 60.0 | 35.7 |
| MF04022021_slice_122 | 0.727 | 0.124 | 0.078 | 0.727 | 124.1 | 77.5 | 0.527 | 124.1 | 77.2 | 0.469 | 61.2 | 36.5 |
| MF04022021_slice_123 | 0.730 | 0.121 | 0.075 | 0.730 | 120.8 | 74.8 | 0.534 | 120.7 | 74.6 | 0.474 | 61.4 | 36.5 |
| MF04022021_slice_124 | 0.734 | 0.118 | 0.076 | 0.734 | 118.0 | 75.9 | 0.539 | 118.0 | 75.7 | 0.477 | 60.7 | 36.1 |
| MF04022021_slice_125 | 0.723 | 0.113 | 0.074 | 0.723 | 113.1 | 73.8 | 0.529 | 113.1 | 73.7 | 0.477 | 62.4 | 37.0 |
| MF04022021_slice_126 | 0.725 | 0.109 | 0.073 | 0.725 | 109.4 | 72.8 | 0.532 | 109.4 | 72.6 | 0.476 | 62.7 | 37.3 |
| MF04022021_slice_127 | 0.748 | 0.107 | 0.071 | 0.748 | 107.0 | 71.2 | 0.552 | 107.0 | 71.1 | 0.480 | 59.9 | 35.6 |
| MF04022021_slice_128 | 0.748 | 0.105 | 0.069 | 0.748 | 105.4 | 69.2 | 0.552 | 105.4 | 69.0 | 0.480 | 60.0 | 35.5 |
| MF04022021_slice_129 | 0.759 | 0.104 | 0.067 | 0.759 | 103.6 | 67.1 | 0.558 | 103.6 | 66.9 | 0.479 | 57.6 | 34.3 |
| MF04022021_slice_130 | 0.734 | 0.109 | 0.072 | 0.734 | 108.8 | 71.7 | 0.530 | 108.8 | 71.6 | 0.465 | 60.1 | 36.0 |
| MF04022021_slice_131 | 0.732 | 0.112 | 0.072 | 0.732 | 112.0 | 71.7 | 0.530 | 112.0 | 71.6 | 0.462 | 60.1 | 36.0 |
| MF04022021_slice_132 | 0.756 | 0.113 | 0.070 | 0.756 | 112.8 | 69.6 | 0.552 | 112.7 | 69.4 | 0.468 | 57.1 | 34.1 |
| MF04022021_slice_133 | 0.751 | 0.116 | 0.071 | 0.751 | 116.3 | 71.2 | 0.550 | 116.2 | 70.9 | 0.467 | 57.0 | 34.2 |
| MF04022021_slice_134 | 0.749 | 0.124 | 0.073 | 0.749 | 124.2 | 73.4 | 0.546 | 124.0 | 73.1 | 0.462 | 57.3 | 34.6 |
| MF04022021_slice_135 | 0.742 | 0.128 | 0.076 | 0.742 | 128.4 | 76.1 | 0.539 | 128.3 | 75.9 | 0.461 | 57.6 | 34.6 |
| MF04022021_slice_136 | 0.726 | 0.133 | 0.077 | 0.726 | 133.0 | 77.0 | 0.527 | 132.9 | 76.8 | 0.458 | 59.1 | 35.4 |
| MF04022021_slice_137 | 0.728 | 0.140 | 0.077 | 0.728 | 140.4 | 77.4 | 0.533 | 140.3 | 77.1 | 0.464 | 58.7 | 35.0 |
| MF04022021_slice_138 | 0.714 | 0.148 | 0.080 | 0.714 | 148.1 | 79.9 | 0.518 | 148.1 | 79.6 | 0.458 | 59.8 | 35.6 |
| MF04022021_slice_139 | 0.719 | 0.149 | 0.080 | 0.719 | 149.2 | 80.1 | 0.520 | 149.1 | 79.8 | 0.460 | 58.7 | 34.7 |
| MF04022021_slice_140 | 0.709 | 0.150 | 0.082 | 0.709 | 149.8 | 81.7 | 0.507 | 149.8 | 81.5 | 0.458 | 58.4 | 34.5 |
| MF04022021_slice_141 | 0.723 | 0.148 | 0.078 | 0.723 | 147.8 | 78.5 | 0.521 | 147.8 | 78.3 | 0.464 | 56.1 | 32.8 |
| MF04022021_slice_142 | 0.723 | 0.140 | 0.075 | 0.723 | 140.1 | 75.1 | 0.514 | 140.1 | 74.9 | 0.463 | 54.6 | 31.9 |
| MF04022021_slice_143 | 0.730 | 0.139 | 0.075 | 0.730 | 138.6 | 74.5 | 0.519 | 138.6 | 74.4 | 0.461 | 53.1 | 30.9 |
| MF04022021_slice_144 | 0.745 | 0.136 | 0.072 | 0.745 | 136.0 | 71.6 | 0.532 | 136.0 | 71.5 | 0.459 | 51.1 | 29.7 |
| MF04022021_slice_145 | 0.756 | 0.131 | 0.069 | 0.756 | 131.2 | 69.0 | 0.539 | 131.2 | 68.9 | 0.460 | 49.6 | 28.6 |
| MF04022021_slice_146 | 0.752 | 0.127 | 0.066 | 0.752 | 127.1 | 66.4 | 0.528 | 127.1 | 66.3 | 0.456 | 48.6 | 28.3 |
| MF04022021_slice_147 | 0.744 | 0.125 | 0.066 | 0.744 | 125.4 | 66.2 | 0.520 | 125.3 | 66.1 | 0.453 | 48.3 | 28.4 |
| MF04022021_slice_148 | 0.745 | 0.120 | 0.063 | 0.745 | 120.4 | 63.4 | 0.520 | 120.4 | 63.2 | 0.449 | 47.7 | 28.1 |
| MF04022021_slice_149 | 0.745 | 0.117 | 0.064 | 0.745 | 116.7 | 63.9 | 0.520 | 116.7 | 63.8 | 0.448 | 47.2 | 27.9 |
| MF04022021_slice_150 | 0.735 | 0.115 | 0.064 | 0.735 | 114.8 | 63.9 | 0.506 | 114.7 | 63.8 | 0.444 | 47.5 | 28.4 |
| MF04022021_slice_151 | 0.757 | 0.113 | 0.062 | 0.757 | 113.3 | 61.8 | 0.525 | 113.3 | 61.6 | 0.447 | 45.4 | 27.0 |
| MF04022021_slice_152 | 0.764 | 0.111 | 0.058 | 0.764 | 111.2 | 58.2 | 0.533 | 111.2 | 58.1 | 0.447 | 44.5 | 26.4 |
4Γ3 grid: Rows show different image types (Original NATIVE, Reconstructed NATIVE, Original VENOUS, Generated VENOUS), Columns show windowing techniques (No Window, Lung Window, Mediastinum Window)