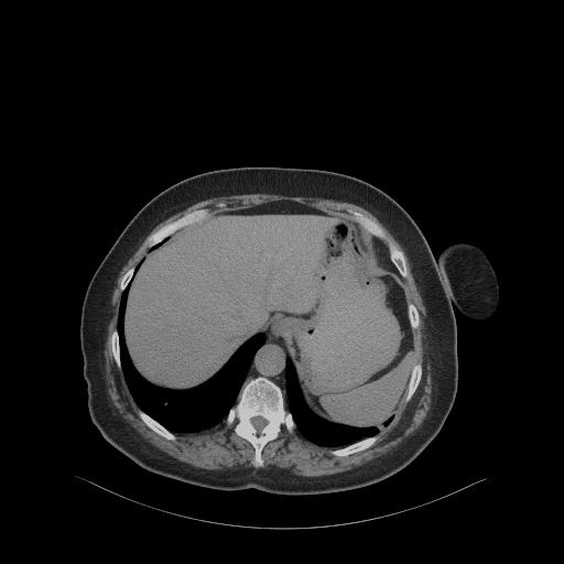
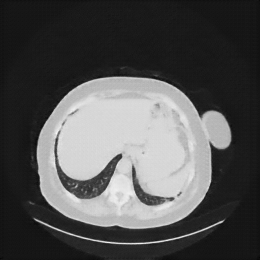
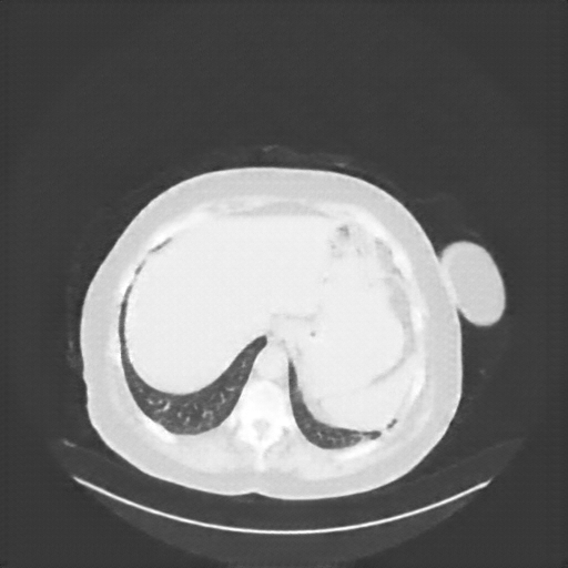
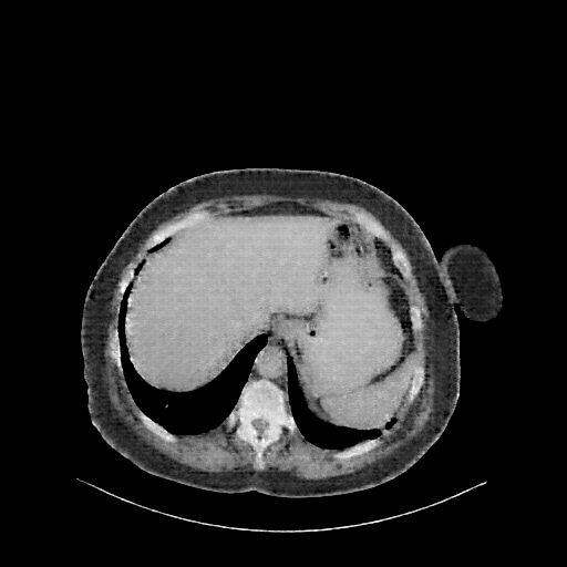
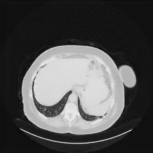
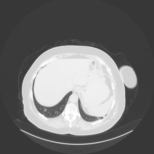
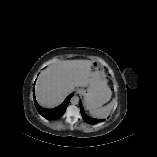
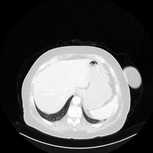
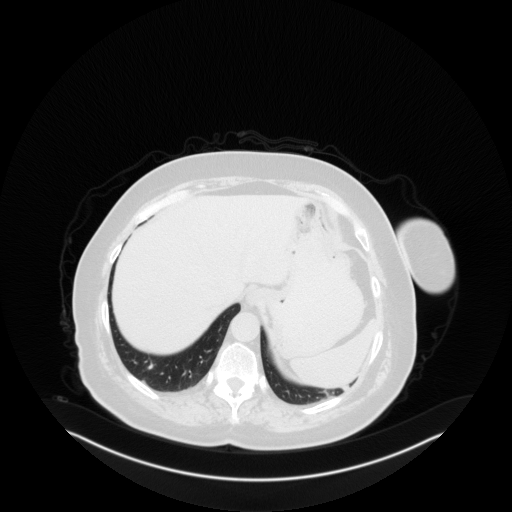
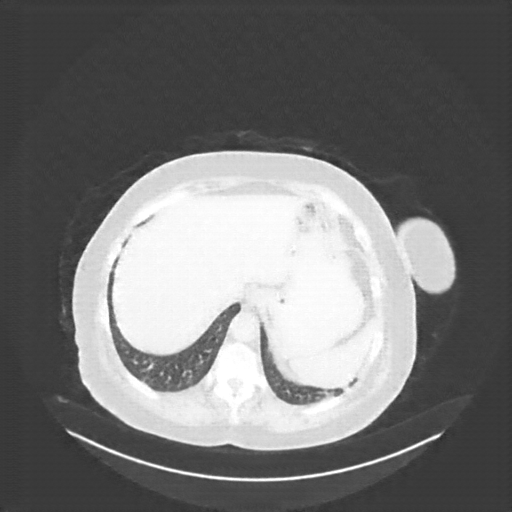
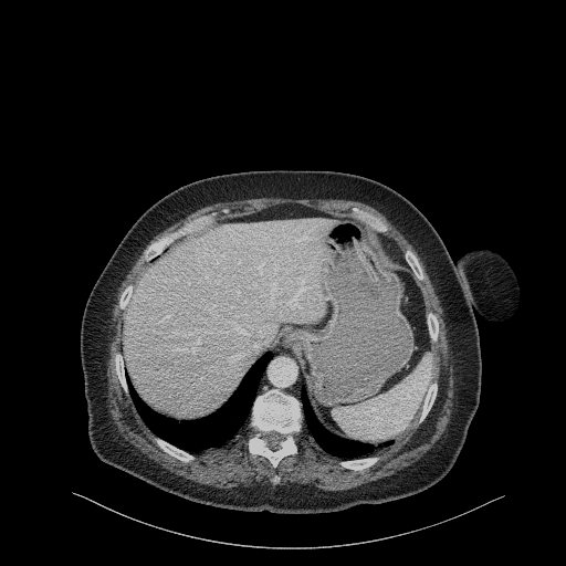
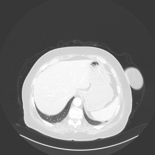
Slice 70 Targeting Evaluation
Patient ID: MP07122020q
Model: cytran
Slice: Slice_70
Slice Thickness: 3.0mm
Conversion: NATIVE β VENOUS
Contains all 4 metric datasets: Network-Normalized, Hounsfield Units, Lung Window, and Mediastinum Window
| Slice ID | SSIM | RMSE | MAE | HU SSIM | HU RMSE | HU MAE | Lung SSIM | Lung RMSE | Lung MAE | Mediastinum SSIM | Mediastinum RMSE | Mediastinum MAE |
|---|---|---|---|---|---|---|---|---|---|---|---|---|
| MP07122020q_slice_0 | 0.639 | 0.250 | 0.114 | 0.639 | 250.0 | 114.4 | 0.517 | 248.5 | 113.2 | 0.600 | 72.5 | 35.6 |
| MP07122020q_slice_1 | 0.632 | 0.248 | 0.114 | 0.632 | 248.2 | 114.2 | 0.512 | 246.9 | 113.2 | 0.595 | 73.9 | 36.7 |
| MP07122020q_slice_2 | 0.633 | 0.248 | 0.113 | 0.633 | 248.2 | 113.3 | 0.518 | 247.1 | 112.3 | 0.595 | 74.0 | 36.5 |
| MP07122020q_slice_3 | 0.638 | 0.249 | 0.114 | 0.638 | 248.6 | 114.1 | 0.522 | 247.5 | 113.0 | 0.597 | 73.6 | 36.1 |
| MP07122020q_slice_4 | 0.652 | 0.250 | 0.113 | 0.652 | 250.2 | 113.4 | 0.536 | 249.3 | 112.4 | 0.599 | 71.9 | 34.6 |
| MP07122020q_slice_5 | 0.658 | 0.252 | 0.114 | 0.658 | 252.0 | 113.7 | 0.542 | 251.2 | 112.8 | 0.604 | 71.2 | 33.8 |
| MP07122020q_slice_6 | 0.664 | 0.254 | 0.114 | 0.664 | 254.4 | 114.1 | 0.545 | 253.5 | 113.3 | 0.608 | 70.6 | 33.2 |
| MP07122020q_slice_7 | 0.665 | 0.257 | 0.116 | 0.665 | 257.0 | 115.8 | 0.546 | 256.1 | 114.9 | 0.611 | 70.6 | 33.1 |
| MP07122020q_slice_8 | 0.676 | 0.258 | 0.114 | 0.676 | 257.7 | 114.2 | 0.557 | 257.0 | 113.6 | 0.618 | 67.7 | 31.3 |
| MP07122020q_slice_9 | 0.678 | 0.257 | 0.114 | 0.678 | 257.2 | 113.8 | 0.559 | 256.6 | 113.3 | 0.622 | 67.2 | 30.9 |
| MP07122020q_slice_10 | 0.675 | 0.259 | 0.115 | 0.675 | 258.6 | 115.0 | 0.556 | 257.8 | 114.4 | 0.624 | 69.3 | 31.7 |
| MP07122020q_slice_11 | 0.670 | 0.262 | 0.118 | 0.670 | 261.8 | 117.6 | 0.549 | 260.9 | 116.9 | 0.627 | 72.2 | 32.9 |
| MP07122020q_slice_12 | 0.671 | 0.264 | 0.118 | 0.671 | 263.7 | 117.8 | 0.551 | 262.8 | 117.2 | 0.630 | 71.4 | 32.3 |
| MP07122020q_slice_13 | 0.669 | 0.264 | 0.119 | 0.669 | 263.5 | 119.5 | 0.541 | 262.3 | 118.7 | 0.630 | 72.0 | 32.6 |
| MP07122020q_slice_14 | 0.673 | 0.262 | 0.118 | 0.673 | 262.3 | 118.3 | 0.543 | 261.3 | 117.5 | 0.633 | 69.6 | 31.3 |
| MP07122020q_slice_15 | 0.679 | 0.262 | 0.118 | 0.679 | 262.3 | 117.6 | 0.548 | 261.2 | 116.8 | 0.634 | 68.1 | 30.3 |
| MP07122020q_slice_16 | 0.680 | 0.263 | 0.118 | 0.680 | 263.1 | 117.8 | 0.550 | 262.0 | 117.1 | 0.633 | 68.3 | 30.1 |
| MP07122020q_slice_17 | 0.682 | 0.265 | 0.117 | 0.682 | 264.7 | 117.4 | 0.558 | 263.8 | 116.8 | 0.635 | 68.3 | 29.8 |
| MP07122020q_slice_18 | 0.684 | 0.267 | 0.118 | 0.684 | 266.8 | 118.3 | 0.560 | 265.8 | 117.7 | 0.635 | 68.7 | 29.9 |
| MP07122020q_slice_19 | 0.684 | 0.269 | 0.119 | 0.684 | 268.6 | 119.2 | 0.559 | 267.6 | 118.7 | 0.636 | 69.6 | 30.2 |
| MP07122020q_slice_20 | 0.685 | 0.269 | 0.120 | 0.685 | 269.3 | 119.7 | 0.560 | 268.4 | 119.2 | 0.635 | 69.3 | 30.1 |
| MP07122020q_slice_21 | 0.684 | 0.270 | 0.121 | 0.684 | 270.1 | 120.7 | 0.559 | 269.1 | 120.1 | 0.636 | 69.0 | 30.1 |
| MP07122020q_slice_22 | 0.678 | 0.271 | 0.123 | 0.678 | 271.4 | 122.7 | 0.552 | 270.4 | 122.0 | 0.634 | 69.7 | 30.7 |
| MP07122020q_slice_23 | 0.676 | 0.272 | 0.123 | 0.676 | 271.5 | 123.4 | 0.551 | 270.5 | 122.8 | 0.632 | 69.4 | 30.8 |
| MP07122020q_slice_24 | 0.676 | 0.271 | 0.123 | 0.676 | 271.4 | 123.4 | 0.551 | 270.5 | 122.8 | 0.632 | 69.5 | 31.0 |
| MP07122020q_slice_25 | 0.675 | 0.272 | 0.124 | 0.675 | 272.1 | 124.1 | 0.550 | 271.3 | 123.6 | 0.632 | 70.6 | 31.4 |
| MP07122020q_slice_26 | 0.673 | 0.273 | 0.125 | 0.673 | 273.0 | 124.9 | 0.549 | 272.0 | 124.3 | 0.633 | 71.0 | 31.4 |
| MP07122020q_slice_27 | 0.677 | 0.275 | 0.125 | 0.677 | 274.9 | 125.1 | 0.554 | 273.9 | 124.5 | 0.634 | 70.8 | 31.1 |
| MP07122020q_slice_28 | 0.682 | 0.276 | 0.126 | 0.682 | 276.1 | 125.7 | 0.556 | 275.1 | 125.1 | 0.632 | 70.6 | 30.8 |
| MP07122020q_slice_29 | 0.685 | 0.278 | 0.126 | 0.685 | 277.6 | 126.4 | 0.559 | 276.7 | 125.8 | 0.629 | 69.9 | 30.4 |
| MP07122020q_slice_30 | 0.685 | 0.278 | 0.126 | 0.685 | 277.8 | 126.5 | 0.559 | 276.8 | 125.8 | 0.630 | 69.8 | 30.4 |
| MP07122020q_slice_31 | 0.682 | 0.279 | 0.127 | 0.682 | 278.6 | 126.9 | 0.557 | 277.7 | 126.4 | 0.633 | 69.6 | 30.4 |
| MP07122020q_slice_32 | 0.681 | 0.278 | 0.127 | 0.681 | 278.5 | 126.8 | 0.559 | 277.8 | 126.3 | 0.631 | 68.9 | 30.3 |
| MP07122020q_slice_33 | 0.680 | 0.280 | 0.127 | 0.680 | 279.7 | 127.5 | 0.558 | 278.9 | 127.0 | 0.630 | 69.9 | 30.7 |
| MP07122020q_slice_34 | 0.681 | 0.280 | 0.128 | 0.681 | 280.5 | 127.7 | 0.560 | 279.4 | 127.2 | 0.628 | 70.8 | 30.9 |
| MP07122020q_slice_35 | 0.684 | 0.281 | 0.128 | 0.684 | 280.6 | 128.0 | 0.562 | 279.4 | 127.3 | 0.625 | 71.2 | 31.0 |
| MP07122020q_slice_36 | 0.685 | 0.281 | 0.129 | 0.685 | 281.3 | 128.9 | 0.562 | 280.0 | 128.1 | 0.621 | 72.2 | 31.5 |
| MP07122020q_slice_37 | 0.682 | 0.282 | 0.129 | 0.682 | 281.7 | 129.1 | 0.561 | 280.6 | 128.4 | 0.618 | 71.6 | 31.4 |
| MP07122020q_slice_38 | 0.680 | 0.283 | 0.129 | 0.680 | 282.6 | 129.2 | 0.562 | 281.8 | 128.6 | 0.620 | 70.1 | 31.2 |
| MP07122020q_slice_39 | 0.674 | 0.284 | 0.131 | 0.674 | 283.5 | 130.8 | 0.554 | 282.8 | 130.3 | 0.618 | 70.6 | 32.1 |
| MP07122020q_slice_40 | 0.669 | 0.285 | 0.133 | 0.669 | 285.1 | 132.7 | 0.550 | 284.3 | 132.2 | 0.609 | 70.4 | 32.2 |
| MP07122020q_slice_41 | 0.670 | 0.284 | 0.133 | 0.670 | 284.2 | 132.7 | 0.547 | 283.3 | 132.1 | 0.612 | 70.3 | 32.0 |
| MP07122020q_slice_42 | 0.674 | 0.284 | 0.132 | 0.674 | 284.4 | 132.5 | 0.548 | 283.5 | 131.9 | 0.610 | 70.1 | 31.7 |
| MP07122020q_slice_43 | 0.682 | 0.285 | 0.132 | 0.682 | 284.7 | 131.7 | 0.555 | 283.7 | 131.1 | 0.608 | 70.3 | 31.7 |
| MP07122020q_slice_44 | 0.683 | 0.285 | 0.132 | 0.683 | 284.9 | 131.7 | 0.557 | 284.0 | 131.1 | 0.609 | 70.2 | 31.4 |
| MP07122020q_slice_45 | 0.684 | 0.285 | 0.132 | 0.684 | 284.7 | 132.0 | 0.560 | 283.7 | 131.4 | 0.610 | 70.9 | 31.4 |
| MP07122020q_slice_46 | 0.686 | 0.285 | 0.132 | 0.686 | 284.8 | 131.9 | 0.562 | 283.8 | 131.3 | 0.612 | 70.9 | 31.1 |
| MP07122020q_slice_47 | 0.692 | 0.285 | 0.131 | 0.692 | 285.1 | 130.8 | 0.570 | 284.5 | 130.3 | 0.614 | 69.2 | 30.2 |
| MP07122020q_slice_48 | 0.696 | 0.284 | 0.129 | 0.696 | 283.7 | 129.2 | 0.577 | 283.2 | 128.8 | 0.615 | 68.1 | 29.7 |
| MP07122020q_slice_49 | 0.695 | 0.282 | 0.128 | 0.695 | 282.0 | 128.1 | 0.580 | 281.5 | 127.8 | 0.618 | 67.5 | 29.6 |
| MP07122020q_slice_50 | 0.695 | 0.280 | 0.127 | 0.695 | 280.0 | 127.2 | 0.579 | 279.5 | 126.9 | 0.620 | 67.2 | 29.5 |
| MP07122020q_slice_51 | 0.696 | 0.279 | 0.126 | 0.696 | 279.0 | 126.2 | 0.581 | 278.5 | 125.8 | 0.623 | 66.6 | 29.1 |
| MP07122020q_slice_52 | 0.698 | 0.278 | 0.125 | 0.698 | 277.6 | 124.8 | 0.582 | 277.1 | 124.5 | 0.628 | 65.3 | 28.2 |
| MP07122020q_slice_53 | 0.705 | 0.276 | 0.123 | 0.705 | 275.6 | 123.5 | 0.584 | 275.0 | 123.1 | 0.632 | 65.1 | 27.9 |
| MP07122020q_slice_54 | 0.704 | 0.276 | 0.124 | 0.704 | 275.6 | 124.1 | 0.581 | 274.8 | 123.6 | 0.634 | 65.1 | 27.9 |
| MP07122020q_slice_55 | 0.701 | 0.273 | 0.124 | 0.701 | 272.7 | 123.5 | 0.574 | 271.9 | 123.0 | 0.629 | 65.9 | 28.6 |
| MP07122020q_slice_56 | 0.697 | 0.272 | 0.125 | 0.697 | 272.2 | 124.7 | 0.569 | 271.5 | 124.2 | 0.626 | 65.8 | 28.7 |
| MP07122020q_slice_57 | 0.687 | 0.279 | 0.129 | 0.687 | 278.5 | 128.8 | 0.562 | 277.8 | 128.3 | 0.616 | 67.9 | 30.4 |
| MP07122020q_slice_58 | 0.675 | 0.280 | 0.130 | 0.675 | 279.9 | 130.2 | 0.548 | 279.2 | 129.7 | 0.604 | 70.9 | 32.4 |
| MP07122020q_slice_59 | 0.667 | 0.275 | 0.128 | 0.667 | 274.7 | 127.9 | 0.541 | 273.9 | 127.4 | 0.598 | 72.5 | 33.5 |
| MP07122020q_slice_60 | 0.667 | 0.271 | 0.127 | 0.667 | 271.1 | 127.1 | 0.537 | 270.2 | 126.5 | 0.597 | 72.8 | 33.7 |
| MP07122020q_slice_61 | 0.674 | 0.270 | 0.125 | 0.674 | 269.6 | 124.7 | 0.545 | 268.9 | 124.2 | 0.597 | 71.2 | 32.9 |
| MP07122020q_slice_62 | 0.689 | 0.268 | 0.121 | 0.689 | 268.2 | 120.9 | 0.563 | 267.8 | 120.5 | 0.599 | 68.8 | 31.5 |
| MP07122020q_slice_63 | 0.703 | 0.265 | 0.118 | 0.703 | 264.7 | 117.8 | 0.577 | 264.3 | 117.5 | 0.601 | 67.5 | 30.4 |
| MP07122020q_slice_64 | 0.714 | 0.261 | 0.115 | 0.714 | 260.9 | 115.3 | 0.588 | 260.5 | 115.0 | 0.604 | 66.7 | 29.8 |
| MP07122020q_slice_65 | 0.720 | 0.258 | 0.113 | 0.720 | 257.9 | 113.3 | 0.594 | 257.4 | 112.9 | 0.606 | 66.2 | 29.4 |
| MP07122020q_slice_66 | 0.727 | 0.252 | 0.110 | 0.727 | 252.1 | 109.8 | 0.600 | 251.6 | 109.5 | 0.609 | 65.4 | 28.9 |
| MP07122020q_slice_67 | 0.732 | 0.245 | 0.105 | 0.732 | 245.4 | 105.2 | 0.605 | 244.9 | 105.0 | 0.612 | 64.6 | 28.3 |
| MP07122020q_slice_68 | 0.737 | 0.242 | 0.102 | 0.737 | 241.7 | 102.4 | 0.608 | 241.3 | 102.1 | 0.613 | 63.8 | 27.9 |
| MP07122020q_slice_69 | 0.739 | 0.239 | 0.101 | 0.739 | 239.2 | 101.3 | 0.608 | 238.8 | 101.0 | 0.612 | 63.5 | 27.8 |
| MP07122020q_slice_70 | 0.737 | 0.237 | 0.101 | 0.737 | 237.2 | 101.0 | 0.602 | 236.7 | 100.7 | 0.611 | 63.9 | 28.1 |
| MP07122020q_slice_71 | 0.739 | 0.236 | 0.100 | 0.739 | 236.4 | 100.2 | 0.603 | 235.9 | 99.9 | 0.611 | 63.4 | 28.0 |
| MP07122020q_slice_72 | 0.739 | 0.233 | 0.097 | 0.739 | 233.0 | 97.4 | 0.608 | 232.7 | 97.2 | 0.614 | 62.8 | 27.7 |
| MP07122020q_slice_73 | 0.738 | 0.230 | 0.097 | 0.738 | 230.4 | 96.9 | 0.601 | 229.8 | 96.6 | 0.617 | 63.6 | 28.1 |
| MP07122020q_slice_74 | 0.743 | 0.224 | 0.094 | 0.743 | 224.3 | 93.8 | 0.602 | 223.7 | 93.4 | 0.620 | 62.7 | 27.5 |
| MP07122020q_slice_75 | 0.745 | 0.218 | 0.090 | 0.745 | 218.3 | 89.6 | 0.606 | 217.8 | 89.3 | 0.621 | 60.4 | 26.5 |
| MP07122020q_slice_76 | 0.743 | 0.214 | 0.089 | 0.743 | 213.5 | 88.5 | 0.601 | 212.9 | 88.1 | 0.620 | 60.0 | 26.6 |
| MP07122020q_slice_77 | 0.744 | 0.210 | 0.087 | 0.744 | 209.8 | 86.5 | 0.602 | 209.1 | 86.1 | 0.620 | 59.2 | 26.4 |
| MP07122020q_slice_78 | 0.743 | 0.207 | 0.085 | 0.743 | 207.4 | 85.1 | 0.602 | 206.5 | 84.7 | 0.619 | 59.3 | 26.3 |
| MP07122020q_slice_79 | 0.744 | 0.206 | 0.083 | 0.744 | 205.8 | 83.4 | 0.605 | 204.8 | 83.0 | 0.620 | 59.5 | 26.3 |
| MP07122020q_slice_80 | 0.745 | 0.203 | 0.082 | 0.745 | 203.2 | 82.1 | 0.605 | 202.3 | 81.8 | 0.620 | 59.2 | 26.1 |
| MP07122020q_slice_81 | 0.738 | 0.202 | 0.082 | 0.738 | 201.8 | 81.7 | 0.598 | 201.0 | 81.4 | 0.621 | 59.0 | 26.2 |
| MP07122020q_slice_82 | 0.737 | 0.200 | 0.082 | 0.737 | 200.4 | 81.6 | 0.593 | 199.5 | 81.3 | 0.622 | 58.9 | 26.3 |
| MP07122020q_slice_83 | 0.739 | 0.199 | 0.081 | 0.739 | 199.1 | 80.6 | 0.596 | 198.1 | 80.2 | 0.624 | 58.3 | 25.9 |
| MP07122020q_slice_84 | 0.738 | 0.197 | 0.080 | 0.738 | 196.9 | 79.7 | 0.595 | 195.8 | 79.3 | 0.624 | 58.1 | 25.7 |
| MP07122020q_slice_85 | 0.736 | 0.195 | 0.079 | 0.736 | 194.8 | 78.9 | 0.594 | 193.7 | 78.5 | 0.624 | 58.0 | 25.8 |
| MP07122020q_slice_86 | 0.731 | 0.195 | 0.080 | 0.731 | 194.8 | 79.6 | 0.588 | 193.7 | 79.2 | 0.623 | 58.7 | 26.3 |
| MP07122020q_slice_87 | 0.730 | 0.196 | 0.080 | 0.730 | 196.4 | 80.1 | 0.585 | 195.3 | 79.7 | 0.622 | 59.4 | 26.5 |
4Γ3 grid: Rows show different image types (Original NATIVE, Reconstructed NATIVE, Original VENOUS, Generated VENOUS), Columns show windowing techniques (No Window, Lung Window, Mediastinum Window)