GAN Medical CT Evaluation Report

Patient: PD04012016

Slice 70 Targeting Evaluation

Patient Information

Patient ID: PD04012016

Model: cytran

Slice: Slice_70

Slice Thickness: 2.5mm

Conversion: NATIVE β†’ VENOUS

πŸ“Š Download Metrics

πŸ“₯ Download CSV Metrics (patient_PD04012016_metrics.csv)

Contains all 4 metric datasets: Network-Normalized, Hounsfield Units, Lung Window, and Mediastinum Window

Native→Venous Translation Metrics (Generated Venous vs Real Venous)

Targeted Slice 70 - Network-Normalized Analysis (Generated vs Real Venous)

0.785
SSIM Score
0.187
RMSE
0.116
MAE

Average Network-Normalized Metrics Across All Slices (98 slices) - Generated vs Real Venous

0.814
SSIM Score (Avg)
0.162
RMSE (Avg)
0.099
MAE (Avg)

Targeted Slice 70 - HU-Space Analysis (Generated vs Real Venous)

0.785
HU SSIM
186.7
HU RMSE
116.4
HU MAE

Average HU-Space Metrics Across All Slices (98 slices) - Generated vs Real Venous

0.814
HU SSIM (Avg)
161.6
HU RMSE (Avg)
99.5
HU MAE (Avg)

Targeted Slice 70 - Lung Window Analysis (Generated vs Real Venous)

0.571
Lung SSIM
186.4
Lung RMSE
115.9
Lung MAE

Average Lung Window Metrics Across All Slices (98 slices) - Generated vs Real Venous

0.602
Lung SSIM (Avg)
161.2
Lung RMSE (Avg)
98.9
Lung MAE (Avg)

Targeted Slice 70 - Mediastinum Window Analysis (Generated vs Real Venous)

0.673
Mediastinum SSIM
46.9
Mediastinum RMSE
19.9
Mediastinum MAE

Average Mediastinum Window Metrics Across All Slices (98 slices) - Generated vs Real Venous

0.687
Mediastinum SSIM (Avg)
43.8
Mediastinum RMSE (Avg)
18.3
Mediastinum MAE (Avg)

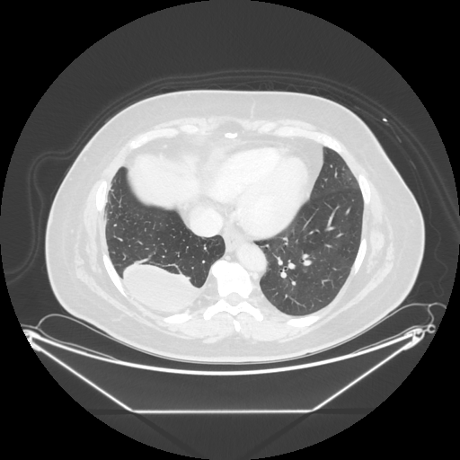
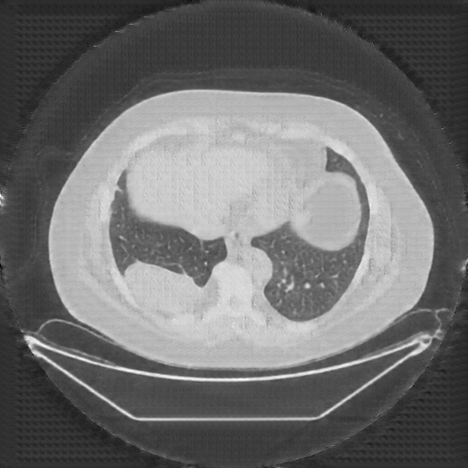
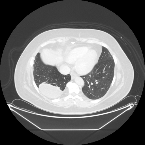
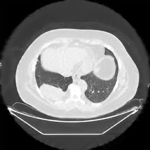
Image Grid

4Γ—3 grid: Rows show different image types (Original NATIVE, Reconstructed NATIVE, Original VENOUS, Generated VENOUS), Columns show windowing techniques (No Window, Lung Window, Mediastinum Window)

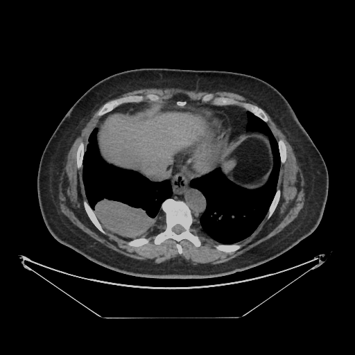
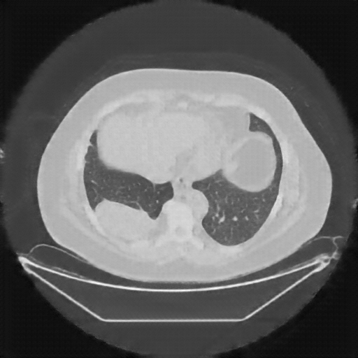
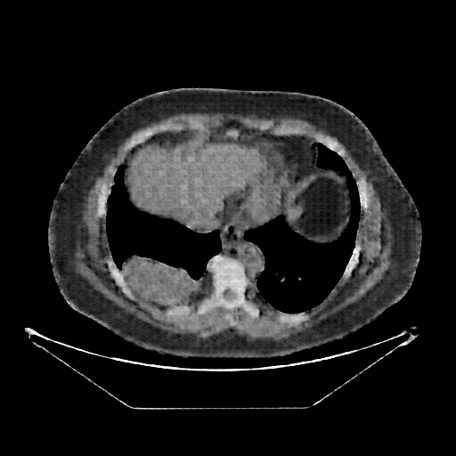
Original NATIVE CT scan (input)
No window - Raw intensity values
Original NATIVE CT scan (input)
Original NATIVE CT scan (input)
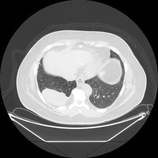
Lung window (WL -600, WW 1500 β†’ Low βˆ’1350, High +150)
Original NATIVE CT scan (input)
Original NATIVE CT scan (input)
Mediastinum window (WL 40, WW 400 β†’ Low βˆ’160, High +240)
Original NATIVE CT scan (input)
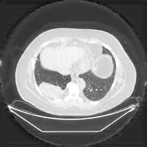
Reconstructed NATIVE CT scan (cycle consistency)
No window - Raw intensity values
Reconstructed NATIVE CT scan (cycle consistency)
Reconstructed NATIVE CT scan (cycle consistency)
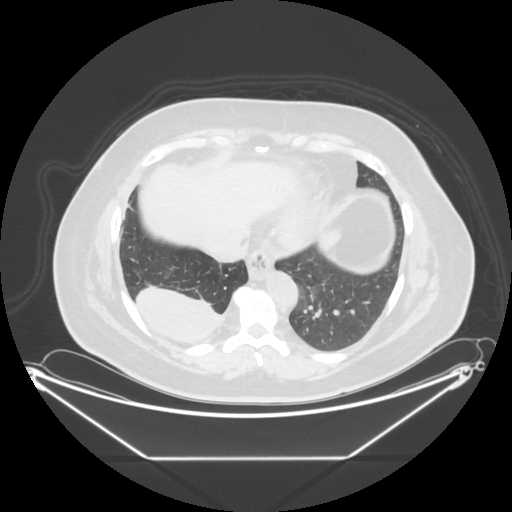
Lung window (WL -600, WW 1500 β†’ Low βˆ’1350, High +150)
Reconstructed NATIVE CT scan (cycle consistency)
Reconstructed NATIVE CT scan (cycle consistency)
Mediastinum window (WL 40, WW 400 β†’ Low βˆ’160, High +240)
Reconstructed NATIVE CT scan (cycle consistency)
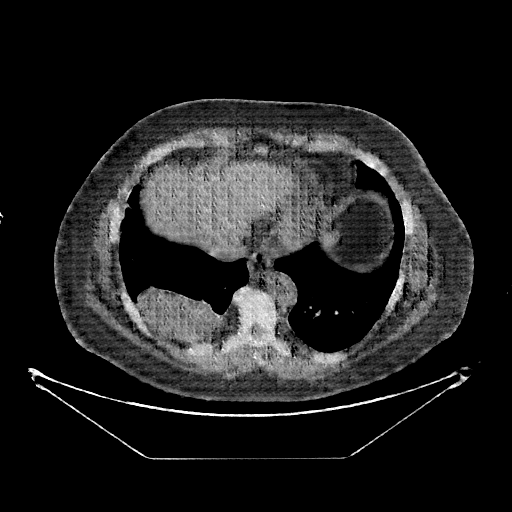
Original VENOUS CT scan
No window - Raw intensity values
Original VENOUS CT scan
Original VENOUS CT scan
Lung window (WL -600, WW 1500 β†’ Low βˆ’1350, High +150)
Original VENOUS CT scan
Original VENOUS CT scan
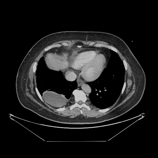
Mediastinum window (WL 40, WW 400 β†’ Low βˆ’160, High +240)
Original VENOUS CT scan
Generated VENOUS CT scan (A→B translation)
No window - Raw intensity values
Generated VENOUS CT scan (A→B translation)
Generated VENOUS CT scan (A→B translation)
Lung window (WL -600, WW 1500 β†’ Low βˆ’1350, High +150)
Generated VENOUS CT scan (A→B translation)
Generated VENOUS CT scan (A→B translation)
Mediastinum window (WL 40, WW 400 β†’ Low βˆ’160, High +240)
Generated VENOUS CT scan (A→B translation)

Windowing Parameters