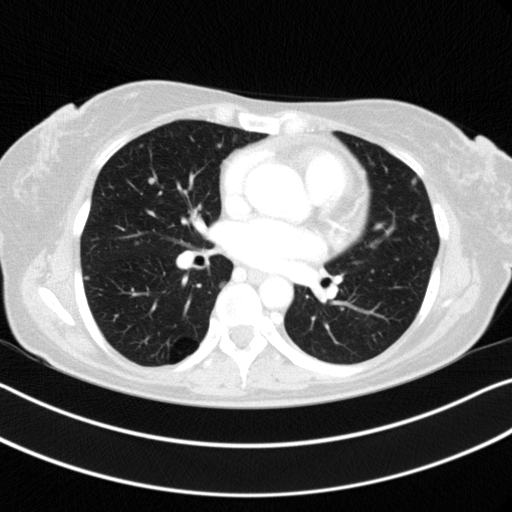
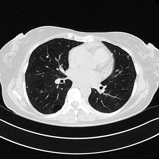
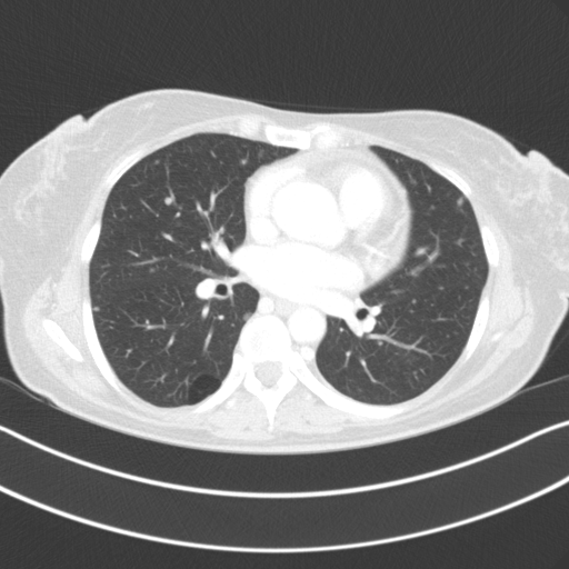
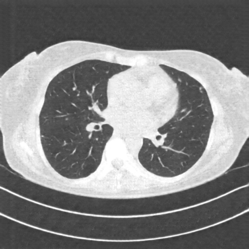
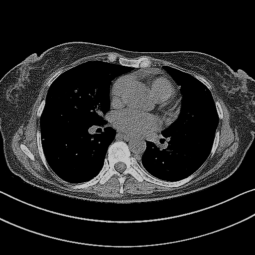
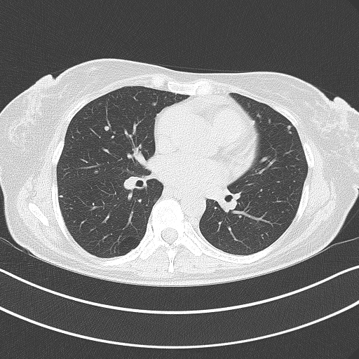
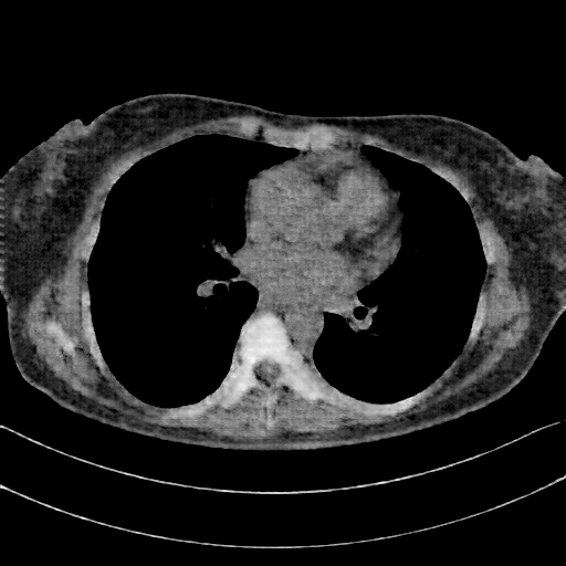
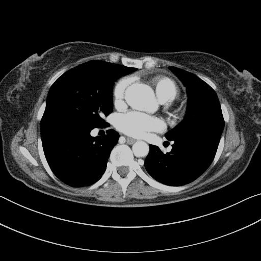
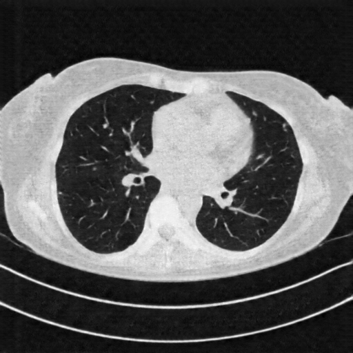
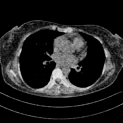
Slice 70 Targeting Evaluation
Patient ID: PN17122020
Model: cytran
Slice: Slice_70
Slice Thickness: 3.0mm
Conversion: NATIVE β VENOUS
Contains all 4 metric datasets: Network-Normalized, Hounsfield Units, Lung Window, and Mediastinum Window
| Slice ID | SSIM | RMSE | MAE | HU SSIM | HU RMSE | HU MAE | Lung SSIM | Lung RMSE | Lung MAE | Mediastinum SSIM | Mediastinum RMSE | Mediastinum MAE |
|---|---|---|---|---|---|---|---|---|---|---|---|---|
| PN17122020_slice_0 | 0.883 | 0.060 | 0.032 | 0.883 | 60.2 | 32.3 | 0.758 | 60.0 | 31.9 | 0.689 | 38.8 | 17.3 |
| PN17122020_slice_1 | 0.886 | 0.060 | 0.032 | 0.886 | 60.1 | 31.9 | 0.763 | 59.9 | 31.6 | 0.691 | 38.5 | 17.1 |
| PN17122020_slice_2 | 0.879 | 0.064 | 0.035 | 0.879 | 64.4 | 34.7 | 0.749 | 64.2 | 34.3 | 0.682 | 39.1 | 17.8 |
| PN17122020_slice_3 | 0.877 | 0.066 | 0.036 | 0.877 | 65.6 | 35.8 | 0.742 | 65.4 | 35.3 | 0.678 | 39.0 | 17.8 |
| PN17122020_slice_4 | 0.879 | 0.064 | 0.034 | 0.879 | 64.1 | 33.8 | 0.754 | 63.9 | 33.4 | 0.683 | 38.4 | 17.4 |
| PN17122020_slice_5 | 0.878 | 0.064 | 0.035 | 0.878 | 63.6 | 34.7 | 0.749 | 63.3 | 34.2 | 0.686 | 40.0 | 17.8 |
| PN17122020_slice_6 | 0.873 | 0.071 | 0.036 | 0.873 | 70.9 | 35.7 | 0.749 | 70.7 | 35.3 | 0.685 | 40.2 | 17.8 |
| PN17122020_slice_7 | 0.870 | 0.078 | 0.038 | 0.870 | 77.7 | 38.0 | 0.742 | 77.5 | 37.5 | 0.681 | 40.0 | 17.8 |
| PN17122020_slice_8 | 0.866 | 0.085 | 0.040 | 0.866 | 85.3 | 39.6 | 0.744 | 85.2 | 39.2 | 0.684 | 41.8 | 18.2 |
| PN17122020_slice_9 | 0.866 | 0.090 | 0.041 | 0.866 | 89.6 | 41.3 | 0.740 | 89.5 | 40.8 | 0.680 | 42.5 | 18.5 |
| PN17122020_slice_10 | 0.864 | 0.091 | 0.044 | 0.864 | 91.2 | 43.8 | 0.733 | 91.0 | 43.2 | 0.677 | 43.1 | 18.9 |
| PN17122020_slice_11 | 0.866 | 0.087 | 0.042 | 0.866 | 87.2 | 41.9 | 0.737 | 87.1 | 41.5 | 0.680 | 42.7 | 18.5 |
| PN17122020_slice_12 | 0.875 | 0.081 | 0.040 | 0.875 | 81.5 | 39.9 | 0.745 | 81.3 | 39.4 | 0.693 | 40.6 | 17.4 |
| PN17122020_slice_13 | 0.877 | 0.079 | 0.040 | 0.877 | 78.7 | 40.4 | 0.740 | 78.5 | 40.0 | 0.695 | 39.8 | 17.1 |
| PN17122020_slice_14 | 0.886 | 0.076 | 0.038 | 0.886 | 75.9 | 37.7 | 0.760 | 75.8 | 37.5 | 0.706 | 38.2 | 16.2 |
| PN17122020_slice_15 | 0.888 | 0.075 | 0.037 | 0.888 | 75.0 | 37.4 | 0.764 | 74.9 | 37.1 | 0.713 | 37.3 | 15.7 |
| PN17122020_slice_16 | 0.887 | 0.077 | 0.039 | 0.887 | 77.4 | 38.6 | 0.765 | 77.3 | 38.3 | 0.717 | 38.0 | 15.8 |
| PN17122020_slice_17 | 0.893 | 0.076 | 0.038 | 0.893 | 75.6 | 37.9 | 0.768 | 75.5 | 37.5 | 0.722 | 36.3 | 15.0 |
| PN17122020_slice_18 | 0.894 | 0.075 | 0.038 | 0.894 | 75.0 | 38.1 | 0.764 | 74.8 | 37.6 | 0.723 | 35.2 | 14.9 |
| PN17122020_slice_19 | 0.893 | 0.075 | 0.038 | 0.893 | 74.9 | 38.4 | 0.760 | 74.7 | 38.0 | 0.721 | 35.3 | 14.8 |
| PN17122020_slice_20 | 0.894 | 0.074 | 0.040 | 0.894 | 73.5 | 40.1 | 0.754 | 73.3 | 39.6 | 0.722 | 35.0 | 15.0 |
| PN17122020_slice_21 | 0.889 | 0.074 | 0.041 | 0.889 | 74.3 | 41.0 | 0.747 | 74.0 | 40.6 | 0.721 | 35.7 | 15.0 |
| PN17122020_slice_22 | 0.889 | 0.074 | 0.041 | 0.889 | 74.0 | 41.2 | 0.745 | 73.8 | 40.9 | 0.722 | 35.5 | 14.9 |
| PN17122020_slice_23 | 0.895 | 0.071 | 0.040 | 0.895 | 70.5 | 39.5 | 0.752 | 70.3 | 39.2 | 0.732 | 33.8 | 14.2 |
| PN17122020_slice_24 | 0.897 | 0.069 | 0.040 | 0.897 | 69.4 | 40.0 | 0.749 | 69.2 | 39.6 | 0.734 | 33.0 | 13.9 |
| PN17122020_slice_25 | 0.897 | 0.070 | 0.040 | 0.897 | 69.9 | 40.1 | 0.746 | 69.7 | 39.7 | 0.736 | 32.7 | 13.7 |
| PN17122020_slice_26 | 0.900 | 0.068 | 0.039 | 0.900 | 68.5 | 38.9 | 0.755 | 68.3 | 38.5 | 0.743 | 32.3 | 13.4 |
| PN17122020_slice_27 | 0.901 | 0.069 | 0.037 | 0.901 | 69.2 | 37.0 | 0.770 | 69.0 | 36.6 | 0.751 | 32.3 | 13.2 |
| PN17122020_slice_28 | 0.896 | 0.069 | 0.039 | 0.896 | 69.5 | 38.9 | 0.756 | 69.3 | 38.4 | 0.740 | 33.5 | 14.1 |
| PN17122020_slice_29 | 0.896 | 0.069 | 0.039 | 0.896 | 68.8 | 38.7 | 0.757 | 68.6 | 38.3 | 0.742 | 33.2 | 14.1 |
| PN17122020_slice_30 | 0.891 | 0.071 | 0.041 | 0.891 | 70.6 | 41.3 | 0.747 | 70.3 | 40.8 | 0.738 | 33.3 | 14.4 |
| PN17122020_slice_31 | 0.896 | 0.072 | 0.040 | 0.896 | 72.1 | 40.4 | 0.753 | 71.9 | 40.2 | 0.742 | 32.7 | 13.8 |
| PN17122020_slice_32 | 0.900 | 0.069 | 0.039 | 0.900 | 68.6 | 39.1 | 0.760 | 68.4 | 38.8 | 0.743 | 32.8 | 13.7 |
| PN17122020_slice_33 | 0.901 | 0.068 | 0.039 | 0.901 | 67.6 | 39.4 | 0.758 | 67.4 | 39.0 | 0.743 | 32.6 | 13.7 |
| PN17122020_slice_34 | 0.902 | 0.067 | 0.039 | 0.902 | 67.2 | 39.0 | 0.756 | 67.1 | 38.7 | 0.746 | 32.3 | 13.6 |
| PN17122020_slice_35 | 0.909 | 0.066 | 0.037 | 0.909 | 65.7 | 37.4 | 0.768 | 65.6 | 37.1 | 0.754 | 31.3 | 13.0 |
| PN17122020_slice_36 | 0.908 | 0.066 | 0.038 | 0.908 | 65.9 | 38.1 | 0.762 | 65.8 | 37.8 | 0.749 | 31.5 | 13.3 |
| PN17122020_slice_37 | 0.906 | 0.068 | 0.039 | 0.906 | 67.6 | 38.9 | 0.757 | 67.5 | 38.6 | 0.745 | 32.1 | 13.7 |
| PN17122020_slice_38 | 0.904 | 0.069 | 0.039 | 0.904 | 68.6 | 39.5 | 0.757 | 68.5 | 39.1 | 0.747 | 32.7 | 14.0 |
| PN17122020_slice_39 | 0.901 | 0.069 | 0.040 | 0.901 | 69.4 | 40.1 | 0.752 | 69.3 | 39.8 | 0.744 | 32.9 | 14.1 |
| PN17122020_slice_40 | 0.894 | 0.070 | 0.043 | 0.894 | 70.4 | 43.4 | 0.731 | 70.3 | 43.1 | 0.734 | 33.5 | 14.6 |
| PN17122020_slice_41 | 0.894 | 0.072 | 0.044 | 0.894 | 71.8 | 43.6 | 0.733 | 71.7 | 43.3 | 0.735 | 33.6 | 14.6 |
| PN17122020_slice_42 | 0.891 | 0.073 | 0.043 | 0.891 | 73.3 | 42.6 | 0.732 | 73.1 | 42.4 | 0.734 | 35.1 | 14.9 |
| PN17122020_slice_43 | 0.886 | 0.077 | 0.044 | 0.886 | 76.6 | 44.2 | 0.724 | 76.4 | 43.9 | 0.731 | 35.8 | 15.2 |
| PN17122020_slice_44 | 0.888 | 0.077 | 0.043 | 0.888 | 77.1 | 42.9 | 0.728 | 76.9 | 42.6 | 0.733 | 35.1 | 14.9 |
| PN17122020_slice_45 | 0.892 | 0.076 | 0.042 | 0.892 | 75.8 | 41.5 | 0.733 | 75.6 | 41.2 | 0.735 | 34.5 | 14.5 |
| PN17122020_slice_46 | 0.895 | 0.074 | 0.041 | 0.895 | 73.6 | 40.8 | 0.736 | 73.5 | 40.5 | 0.738 | 33.8 | 14.3 |
| PN17122020_slice_47 | 0.896 | 0.072 | 0.041 | 0.896 | 71.5 | 40.9 | 0.738 | 71.4 | 40.5 | 0.742 | 33.3 | 14.3 |
| PN17122020_slice_48 | 0.894 | 0.071 | 0.041 | 0.894 | 70.6 | 41.1 | 0.737 | 70.5 | 40.8 | 0.738 | 34.2 | 14.9 |
| PN17122020_slice_49 | 0.890 | 0.072 | 0.044 | 0.890 | 72.2 | 43.6 | 0.728 | 72.0 | 43.3 | 0.734 | 35.5 | 15.4 |
| PN17122020_slice_50 | 0.893 | 0.071 | 0.043 | 0.893 | 71.4 | 42.5 | 0.734 | 71.3 | 42.2 | 0.735 | 34.6 | 15.1 |
| PN17122020_slice_51 | 0.891 | 0.072 | 0.043 | 0.891 | 72.0 | 43.2 | 0.730 | 71.9 | 42.9 | 0.734 | 34.3 | 15.0 |
| PN17122020_slice_52 | 0.891 | 0.072 | 0.042 | 0.891 | 72.4 | 41.9 | 0.733 | 72.3 | 41.6 | 0.734 | 33.7 | 14.9 |
| PN17122020_slice_53 | 0.886 | 0.075 | 0.046 | 0.886 | 75.1 | 45.7 | 0.720 | 75.0 | 45.4 | 0.728 | 35.3 | 15.7 |
| PN17122020_slice_54 | 0.881 | 0.075 | 0.047 | 0.881 | 75.3 | 47.0 | 0.714 | 75.1 | 46.8 | 0.725 | 36.7 | 16.3 |
| PN17122020_slice_55 | 0.878 | 0.075 | 0.047 | 0.878 | 74.7 | 47.1 | 0.711 | 74.4 | 46.8 | 0.721 | 38.3 | 17.0 |
| PN17122020_slice_56 | 0.883 | 0.073 | 0.045 | 0.883 | 73.1 | 45.3 | 0.721 | 72.9 | 45.0 | 0.727 | 37.5 | 16.7 |
| PN17122020_slice_57 | 0.887 | 0.073 | 0.045 | 0.887 | 72.7 | 45.1 | 0.721 | 72.6 | 44.8 | 0.729 | 36.3 | 16.1 |
| PN17122020_slice_58 | 0.889 | 0.072 | 0.045 | 0.889 | 72.4 | 44.6 | 0.724 | 72.2 | 44.2 | 0.730 | 36.4 | 16.2 |
| PN17122020_slice_59 | 0.887 | 0.073 | 0.045 | 0.887 | 73.0 | 45.3 | 0.722 | 72.8 | 45.0 | 0.726 | 36.8 | 16.5 |
| PN17122020_slice_60 | 0.878 | 0.075 | 0.048 | 0.878 | 75.3 | 47.6 | 0.707 | 75.2 | 47.3 | 0.719 | 38.1 | 17.1 |
| PN17122020_slice_61 | 0.869 | 0.079 | 0.050 | 0.869 | 78.6 | 49.5 | 0.692 | 78.5 | 49.3 | 0.705 | 40.2 | 18.1 |
| PN17122020_slice_62 | 0.870 | 0.080 | 0.049 | 0.870 | 80.5 | 48.6 | 0.697 | 80.4 | 48.3 | 0.703 | 39.9 | 17.9 |
| PN17122020_slice_63 | 0.866 | 0.084 | 0.049 | 0.866 | 84.0 | 48.5 | 0.694 | 83.9 | 48.3 | 0.702 | 40.0 | 17.8 |
| PN17122020_slice_64 | 0.861 | 0.089 | 0.051 | 0.861 | 88.9 | 50.6 | 0.686 | 88.8 | 50.3 | 0.692 | 40.2 | 18.0 |
| PN17122020_slice_65 | 0.863 | 0.091 | 0.051 | 0.863 | 91.1 | 50.6 | 0.688 | 91.0 | 50.3 | 0.695 | 39.2 | 17.7 |
| PN17122020_slice_66 | 0.863 | 0.093 | 0.050 | 0.863 | 92.9 | 50.0 | 0.693 | 92.8 | 49.7 | 0.699 | 39.5 | 17.7 |
| PN17122020_slice_67 | 0.857 | 0.095 | 0.051 | 0.857 | 95.2 | 51.3 | 0.689 | 95.0 | 50.9 | 0.693 | 41.6 | 18.7 |
| PN17122020_slice_68 | 0.854 | 0.095 | 0.052 | 0.854 | 94.6 | 52.1 | 0.685 | 94.5 | 51.8 | 0.688 | 41.2 | 18.8 |
| PN17122020_slice_69 | 0.853 | 0.094 | 0.053 | 0.853 | 93.9 | 52.8 | 0.681 | 93.9 | 52.6 | 0.687 | 41.5 | 19.0 |
| PN17122020_slice_70 | 0.849 | 0.095 | 0.054 | 0.849 | 94.6 | 53.9 | 0.676 | 94.4 | 53.6 | 0.685 | 42.6 | 19.6 |
| PN17122020_slice_71 | 0.852 | 0.096 | 0.054 | 0.852 | 95.7 | 54.2 | 0.679 | 95.6 | 53.9 | 0.687 | 42.1 | 19.3 |
| PN17122020_slice_72 | 0.847 | 0.099 | 0.056 | 0.847 | 98.8 | 56.1 | 0.674 | 98.7 | 55.8 | 0.684 | 43.0 | 19.7 |
| PN17122020_slice_73 | 0.842 | 0.102 | 0.057 | 0.842 | 102.1 | 57.4 | 0.667 | 102.0 | 57.1 | 0.680 | 44.1 | 20.1 |
| PN17122020_slice_74 | 0.839 | 0.104 | 0.057 | 0.839 | 103.9 | 56.5 | 0.667 | 103.8 | 56.2 | 0.675 | 44.4 | 20.3 |
| PN17122020_slice_75 | 0.833 | 0.105 | 0.058 | 0.833 | 105.4 | 57.5 | 0.658 | 105.3 | 57.3 | 0.670 | 45.1 | 20.9 |
| PN17122020_slice_76 | 0.831 | 0.105 | 0.058 | 0.831 | 105.3 | 58.2 | 0.658 | 105.2 | 57.9 | 0.670 | 46.1 | 21.4 |
| PN17122020_slice_77 | 0.835 | 0.104 | 0.056 | 0.835 | 103.6 | 55.9 | 0.664 | 103.5 | 55.6 | 0.671 | 45.0 | 20.9 |
| PN17122020_slice_78 | 0.837 | 0.104 | 0.055 | 0.837 | 103.7 | 54.8 | 0.666 | 103.5 | 54.4 | 0.675 | 45.0 | 20.9 |
| PN17122020_slice_79 | 0.828 | 0.106 | 0.058 | 0.828 | 106.5 | 57.8 | 0.653 | 106.4 | 57.5 | 0.670 | 46.9 | 21.8 |
| PN17122020_slice_80 | 0.829 | 0.108 | 0.057 | 0.829 | 107.7 | 57.0 | 0.656 | 107.6 | 56.8 | 0.672 | 46.6 | 21.7 |
| PN17122020_slice_81 | 0.825 | 0.110 | 0.057 | 0.825 | 110.0 | 56.8 | 0.654 | 109.9 | 56.5 | 0.673 | 47.2 | 21.9 |
| PN17122020_slice_82 | 0.824 | 0.111 | 0.057 | 0.824 | 111.4 | 56.9 | 0.653 | 111.3 | 56.5 | 0.672 | 47.5 | 22.0 |
| PN17122020_slice_83 | 0.823 | 0.112 | 0.057 | 0.823 | 111.7 | 57.5 | 0.655 | 111.6 | 57.2 | 0.677 | 47.6 | 21.9 |
| PN17122020_slice_84 | 0.827 | 0.112 | 0.058 | 0.827 | 112.4 | 57.7 | 0.655 | 112.3 | 57.4 | 0.679 | 45.8 | 20.9 |
| PN17122020_slice_85 | 0.823 | 0.113 | 0.059 | 0.823 | 113.3 | 59.0 | 0.648 | 113.2 | 58.7 | 0.678 | 46.4 | 21.2 |
| PN17122020_slice_86 | 0.826 | 0.113 | 0.058 | 0.826 | 112.8 | 57.7 | 0.653 | 112.8 | 57.4 | 0.683 | 46.0 | 20.9 |
| PN17122020_slice_87 | 0.822 | 0.115 | 0.059 | 0.822 | 115.3 | 58.7 | 0.647 | 115.2 | 58.4 | 0.685 | 46.2 | 21.0 |
| PN17122020_slice_88 | 0.813 | 0.117 | 0.062 | 0.813 | 117.5 | 61.5 | 0.636 | 117.4 | 61.2 | 0.682 | 47.1 | 21.4 |
| PN17122020_slice_89 | 0.811 | 0.118 | 0.062 | 0.811 | 118.3 | 62.2 | 0.634 | 118.2 | 61.8 | 0.686 | 46.5 | 21.1 |
| PN17122020_slice_90 | 0.816 | 0.117 | 0.060 | 0.816 | 117.1 | 59.6 | 0.640 | 117.0 | 59.1 | 0.692 | 45.5 | 20.5 |
| PN17122020_slice_91 | 0.814 | 0.117 | 0.060 | 0.814 | 117.5 | 60.2 | 0.635 | 117.3 | 59.7 | 0.695 | 45.4 | 20.4 |
| PN17122020_slice_92 | 0.811 | 0.118 | 0.062 | 0.811 | 117.9 | 61.7 | 0.630 | 117.8 | 61.4 | 0.698 | 45.6 | 20.4 |
| PN17122020_slice_93 | 0.813 | 0.117 | 0.060 | 0.813 | 117.4 | 59.8 | 0.633 | 117.2 | 59.4 | 0.704 | 45.3 | 20.1 |
| PN17122020_slice_94 | 0.815 | 0.118 | 0.059 | 0.815 | 117.8 | 58.9 | 0.638 | 117.6 | 58.5 | 0.705 | 45.0 | 19.7 |
| PN17122020_slice_95 | 0.818 | 0.119 | 0.060 | 0.818 | 119.2 | 60.4 | 0.642 | 119.0 | 60.0 | 0.706 | 45.0 | 19.6 |
| PN17122020_slice_96 | 0.816 | 0.123 | 0.061 | 0.816 | 122.6 | 61.5 | 0.642 | 122.4 | 61.1 | 0.708 | 45.1 | 19.6 |
| PN17122020_slice_97 | 0.810 | 0.126 | 0.063 | 0.810 | 126.2 | 63.5 | 0.636 | 126.1 | 63.1 | 0.709 | 46.4 | 20.0 |
| PN17122020_slice_98 | 0.813 | 0.127 | 0.064 | 0.813 | 127.4 | 64.2 | 0.639 | 127.3 | 63.9 | 0.711 | 46.4 | 19.9 |
| PN17122020_slice_99 | 0.815 | 0.129 | 0.065 | 0.815 | 129.5 | 64.7 | 0.642 | 129.4 | 64.3 | 0.713 | 46.9 | 19.8 |
| PN17122020_slice_100 | 0.816 | 0.130 | 0.064 | 0.816 | 129.9 | 64.5 | 0.645 | 129.8 | 64.1 | 0.715 | 46.3 | 19.4 |
| PN17122020_slice_101 | 0.818 | 0.132 | 0.065 | 0.818 | 131.7 | 64.6 | 0.650 | 131.5 | 64.2 | 0.719 | 45.7 | 18.9 |
| PN17122020_slice_102 | 0.821 | 0.133 | 0.063 | 0.821 | 133.3 | 63.1 | 0.656 | 133.1 | 62.7 | 0.724 | 44.9 | 18.3 |
| PN17122020_slice_103 | 0.818 | 0.136 | 0.064 | 0.818 | 136.5 | 63.9 | 0.653 | 136.4 | 63.4 | 0.721 | 45.3 | 18.5 |
| PN17122020_slice_104 | 0.816 | 0.139 | 0.066 | 0.816 | 139.1 | 65.7 | 0.651 | 139.0 | 65.2 | 0.720 | 45.5 | 18.6 |
| PN17122020_slice_105 | 0.818 | 0.140 | 0.064 | 0.818 | 139.6 | 63.9 | 0.655 | 139.4 | 63.5 | 0.719 | 46.1 | 18.7 |
| PN17122020_slice_106 | 0.819 | 0.141 | 0.063 | 0.819 | 140.7 | 63.3 | 0.658 | 140.5 | 62.8 | 0.720 | 46.0 | 18.7 |
| PN17122020_slice_107 | 0.823 | 0.141 | 0.065 | 0.823 | 140.9 | 64.5 | 0.662 | 140.8 | 64.1 | 0.719 | 45.4 | 18.5 |
| PN17122020_slice_108 | 0.819 | 0.147 | 0.069 | 0.819 | 147.0 | 68.8 | 0.655 | 146.9 | 68.5 | 0.712 | 46.1 | 19.0 |
| PN17122020_slice_109 | 0.816 | 0.152 | 0.069 | 0.816 | 152.0 | 68.8 | 0.657 | 151.9 | 68.6 | 0.705 | 46.8 | 19.4 |
| PN17122020_slice_110 | 0.807 | 0.156 | 0.071 | 0.807 | 155.7 | 71.2 | 0.651 | 155.6 | 70.9 | 0.696 | 50.4 | 21.2 |
| PN17122020_slice_111 | 0.794 | 0.159 | 0.075 | 0.794 | 158.9 | 75.3 | 0.635 | 158.9 | 75.0 | 0.680 | 55.0 | 23.8 |
| PN17122020_slice_112 | 0.782 | 0.162 | 0.078 | 0.782 | 162.0 | 77.8 | 0.626 | 161.9 | 77.6 | 0.671 | 57.8 | 25.9 |
| PN17122020_slice_113 | 0.781 | 0.160 | 0.076 | 0.781 | 159.9 | 76.4 | 0.627 | 159.8 | 76.2 | 0.666 | 58.3 | 26.4 |
| PN17122020_slice_114 | 0.778 | 0.159 | 0.075 | 0.778 | 158.9 | 74.8 | 0.626 | 158.9 | 74.6 | 0.658 | 59.8 | 27.5 |
| PN17122020_slice_115 | 0.781 | 0.157 | 0.071 | 0.781 | 157.2 | 71.1 | 0.636 | 157.2 | 70.9 | 0.656 | 59.1 | 27.4 |
| PN17122020_slice_116 | 0.763 | 0.158 | 0.075 | 0.763 | 158.1 | 75.0 | 0.616 | 158.1 | 74.8 | 0.644 | 61.7 | 29.5 |
| PN17122020_slice_117 | 0.760 | 0.157 | 0.078 | 0.760 | 157.4 | 78.1 | 0.607 | 157.4 | 77.9 | 0.637 | 62.1 | 30.1 |
| PN17122020_slice_118 | 0.767 | 0.157 | 0.077 | 0.767 | 156.7 | 77.4 | 0.614 | 156.6 | 77.3 | 0.634 | 61.1 | 29.8 |
| PN17122020_slice_119 | 0.769 | 0.157 | 0.075 | 0.769 | 157.2 | 75.3 | 0.621 | 157.2 | 75.2 | 0.633 | 61.3 | 30.2 |
| PN17122020_slice_120 | 0.763 | 0.158 | 0.077 | 0.763 | 157.8 | 77.3 | 0.615 | 157.8 | 77.1 | 0.626 | 61.8 | 30.9 |
| PN17122020_slice_121 | 0.733 | 0.161 | 0.084 | 0.733 | 160.6 | 84.4 | 0.587 | 160.6 | 84.4 | 0.615 | 65.6 | 33.6 |
| PN17122020_slice_122 | 0.728 | 0.161 | 0.087 | 0.728 | 161.0 | 87.0 | 0.585 | 161.0 | 87.0 | 0.612 | 66.0 | 34.0 |
| PN17122020_slice_123 | 0.731 | 0.158 | 0.086 | 0.731 | 158.3 | 85.6 | 0.585 | 158.3 | 85.5 | 0.609 | 66.0 | 34.1 |
| PN17122020_slice_124 | 0.745 | 0.155 | 0.082 | 0.745 | 155.3 | 81.8 | 0.599 | 155.3 | 81.8 | 0.611 | 64.8 | 33.3 |
| PN17122020_slice_125 | 0.732 | 0.154 | 0.083 | 0.732 | 154.4 | 83.4 | 0.589 | 154.4 | 83.4 | 0.606 | 66.9 | 34.7 |
| PN17122020_slice_126 | 0.737 | 0.152 | 0.082 | 0.737 | 152.4 | 82.2 | 0.593 | 152.4 | 82.2 | 0.606 | 66.5 | 34.5 |
| PN17122020_slice_127 | 0.723 | 0.152 | 0.084 | 0.723 | 152.4 | 84.0 | 0.582 | 152.4 | 84.0 | 0.602 | 68.5 | 36.0 |
| PN17122020_slice_128 | 0.728 | 0.150 | 0.082 | 0.728 | 150.5 | 81.7 | 0.589 | 150.5 | 81.6 | 0.603 | 68.2 | 35.9 |
| PN17122020_slice_129 | 0.730 | 0.148 | 0.080 | 0.730 | 148.0 | 80.3 | 0.591 | 147.9 | 80.2 | 0.601 | 68.0 | 35.9 |
| PN17122020_slice_130 | 0.735 | 0.144 | 0.077 | 0.735 | 144.0 | 76.9 | 0.594 | 144.0 | 76.8 | 0.599 | 66.6 | 35.3 |
| PN17122020_slice_131 | 0.748 | 0.140 | 0.074 | 0.748 | 140.2 | 73.7 | 0.608 | 140.2 | 73.7 | 0.604 | 64.2 | 34.0 |
| PN17122020_slice_132 | 0.750 | 0.136 | 0.074 | 0.750 | 136.2 | 74.2 | 0.605 | 136.2 | 74.1 | 0.602 | 63.7 | 33.9 |
| PN17122020_slice_133 | 0.770 | 0.131 | 0.071 | 0.770 | 130.7 | 70.9 | 0.621 | 130.7 | 70.9 | 0.606 | 61.0 | 32.2 |
| PN17122020_slice_134 | 0.778 | 0.126 | 0.068 | 0.778 | 126.1 | 68.3 | 0.628 | 126.1 | 68.2 | 0.606 | 60.0 | 31.7 |
| PN17122020_slice_135 | 0.778 | 0.126 | 0.067 | 0.778 | 125.8 | 66.9 | 0.626 | 125.8 | 66.8 | 0.606 | 59.6 | 31.5 |
| PN17122020_slice_136 | 0.768 | 0.130 | 0.071 | 0.768 | 129.5 | 71.5 | 0.614 | 129.5 | 71.4 | 0.600 | 60.6 | 32.3 |
| PN17122020_slice_137 | 0.769 | 0.129 | 0.072 | 0.769 | 129.3 | 71.6 | 0.618 | 129.3 | 71.6 | 0.600 | 60.7 | 32.5 |
| PN17122020_slice_138 | 0.773 | 0.126 | 0.072 | 0.773 | 126.4 | 71.7 | 0.619 | 126.4 | 71.7 | 0.601 | 59.9 | 31.9 |
| PN17122020_slice_139 | 0.772 | 0.121 | 0.070 | 0.772 | 121.3 | 69.7 | 0.617 | 121.3 | 69.7 | 0.600 | 60.2 | 32.0 |
| PN17122020_slice_140 | 0.772 | 0.115 | 0.069 | 0.772 | 114.8 | 68.5 | 0.619 | 114.8 | 68.5 | 0.603 | 59.9 | 31.9 |
| PN17122020_slice_141 | 0.780 | 0.108 | 0.066 | 0.780 | 107.9 | 65.7 | 0.625 | 107.8 | 65.6 | 0.609 | 58.7 | 31.1 |
| PN17122020_slice_142 | 0.807 | 0.099 | 0.058 | 0.807 | 98.9 | 58.3 | 0.648 | 98.9 | 58.3 | 0.618 | 54.8 | 28.7 |
| PN17122020_slice_143 | 0.807 | 0.094 | 0.056 | 0.807 | 94.4 | 56.3 | 0.647 | 94.4 | 56.2 | 0.619 | 54.3 | 28.5 |
| PN17122020_slice_144 | 0.815 | 0.090 | 0.054 | 0.815 | 89.7 | 54.1 | 0.655 | 89.7 | 54.0 | 0.623 | 53.8 | 27.7 |
| PN17122020_slice_145 | 0.817 | 0.088 | 0.052 | 0.817 | 87.9 | 52.4 | 0.660 | 87.9 | 52.3 | 0.626 | 53.7 | 27.3 |
| PN17122020_slice_146 | 0.832 | 0.087 | 0.048 | 0.832 | 86.6 | 48.4 | 0.683 | 86.6 | 48.2 | 0.636 | 51.1 | 25.7 |
| PN17122020_slice_147 | 0.822 | 0.090 | 0.053 | 0.822 | 90.2 | 52.9 | 0.666 | 90.2 | 52.7 | 0.630 | 52.3 | 26.5 |
| PN17122020_slice_148 | 0.823 | 0.091 | 0.054 | 0.823 | 91.0 | 54.1 | 0.664 | 91.0 | 54.0 | 0.628 | 52.0 | 26.3 |
| PN17122020_slice_149 | 0.821 | 0.093 | 0.056 | 0.821 | 92.6 | 55.6 | 0.664 | 92.5 | 55.5 | 0.630 | 52.1 | 26.2 |
| PN17122020_slice_150 | 0.821 | 0.092 | 0.055 | 0.821 | 92.4 | 54.5 | 0.664 | 92.3 | 54.4 | 0.630 | 51.5 | 25.9 |
| PN17122020_slice_151 | 0.817 | 0.093 | 0.055 | 0.817 | 92.6 | 54.8 | 0.662 | 92.5 | 54.6 | 0.634 | 51.9 | 26.1 |
| PN17122020_slice_152 | 0.827 | 0.092 | 0.053 | 0.827 | 92.5 | 53.0 | 0.673 | 92.4 | 52.9 | 0.639 | 50.4 | 25.1 |
4Γ3 grid: Rows show different image types (Original NATIVE, Reconstructed NATIVE, Original VENOUS, Generated VENOUS), Columns show windowing techniques (No Window, Lung Window, Mediastinum Window)