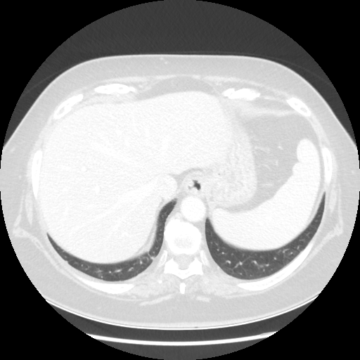
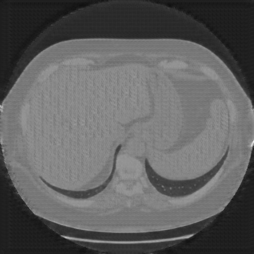
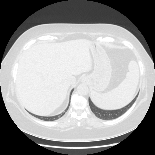
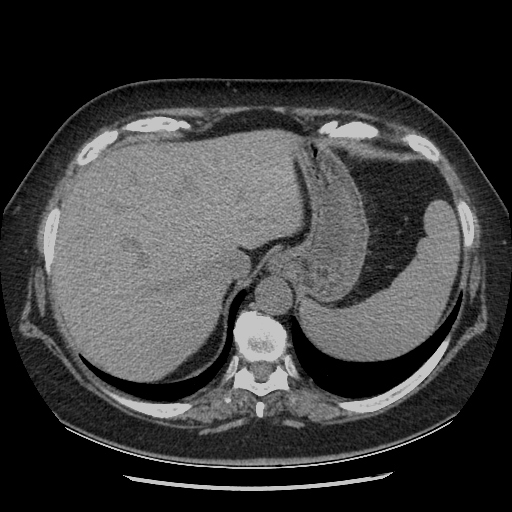
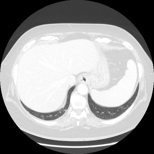
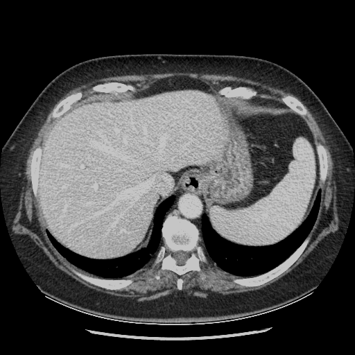
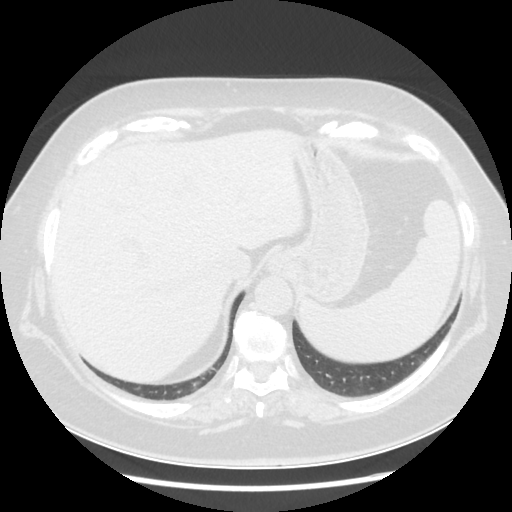
Slice 70 Targeting Evaluation
Patient ID: SE04022021
Model: cytran
Slice: Slice_70
Slice Thickness: 2.5mm
Conversion: NATIVE β VENOUS
Contains all 4 metric datasets: Network-Normalized, Hounsfield Units, Lung Window, and Mediastinum Window
| Slice ID | SSIM | RMSE | MAE | HU SSIM | HU RMSE | HU MAE | Lung SSIM | Lung RMSE | Lung MAE | Mediastinum SSIM | Mediastinum RMSE | Mediastinum MAE |
|---|---|---|---|---|---|---|---|---|---|---|---|---|
| SE04022021_slice_0 | 0.801 | 0.122 | 0.074 | 0.801 | 122.2 | 74.3 | 0.614 | 120.8 | 73.5 | 0.549 | 50.5 | 25.6 |
| SE04022021_slice_1 | 0.815 | 0.122 | 0.074 | 0.815 | 122.3 | 73.6 | 0.623 | 120.9 | 72.9 | 0.554 | 47.4 | 24.2 |
| SE04022021_slice_2 | 0.820 | 0.129 | 0.079 | 0.820 | 128.8 | 78.9 | 0.617 | 127.5 | 78.2 | 0.556 | 45.6 | 23.8 |
| SE04022021_slice_3 | 0.867 | 0.102 | 0.053 | 0.867 | 102.1 | 53.1 | 0.695 | 100.8 | 52.2 | 0.592 | 40.0 | 19.7 |
| SE04022021_slice_4 | 0.839 | 0.120 | 0.071 | 0.839 | 119.9 | 70.9 | 0.644 | 118.6 | 70.1 | 0.568 | 44.0 | 22.1 |
| SE04022021_slice_5 | 0.794 | 0.142 | 0.090 | 0.794 | 142.3 | 90.3 | 0.585 | 141.1 | 89.7 | 0.551 | 49.9 | 26.2 |
| SE04022021_slice_6 | 0.802 | 0.141 | 0.090 | 0.802 | 141.2 | 89.5 | 0.593 | 140.0 | 88.9 | 0.561 | 48.4 | 25.1 |
| SE04022021_slice_7 | 0.831 | 0.127 | 0.078 | 0.831 | 126.9 | 77.6 | 0.633 | 125.6 | 76.9 | 0.582 | 44.9 | 22.1 |
| SE04022021_slice_8 | 0.860 | 0.111 | 0.062 | 0.860 | 111.2 | 62.3 | 0.680 | 110.0 | 61.5 | 0.610 | 40.1 | 19.1 |
| SE04022021_slice_9 | 0.850 | 0.114 | 0.065 | 0.850 | 114.1 | 65.3 | 0.666 | 112.9 | 64.5 | 0.611 | 41.9 | 19.8 |
| SE04022021_slice_10 | 0.805 | 0.147 | 0.093 | 0.805 | 146.5 | 92.5 | 0.590 | 145.4 | 92.0 | 0.584 | 47.9 | 23.3 |
| SE04022021_slice_11 | 0.815 | 0.145 | 0.092 | 0.815 | 145.3 | 91.9 | 0.598 | 144.2 | 91.3 | 0.595 | 46.7 | 22.4 |
| SE04022021_slice_12 | 0.805 | 0.148 | 0.096 | 0.805 | 148.5 | 95.6 | 0.586 | 147.4 | 95.0 | 0.593 | 46.7 | 22.9 |
| SE04022021_slice_13 | 0.806 | 0.149 | 0.096 | 0.806 | 148.6 | 95.6 | 0.587 | 147.5 | 95.1 | 0.596 | 46.2 | 22.6 |
| SE04022021_slice_14 | 0.795 | 0.149 | 0.097 | 0.795 | 149.3 | 97.2 | 0.576 | 148.2 | 96.7 | 0.594 | 47.4 | 23.5 |
| SE04022021_slice_15 | 0.808 | 0.141 | 0.090 | 0.808 | 140.8 | 90.4 | 0.594 | 139.7 | 90.0 | 0.604 | 45.6 | 22.0 |
| SE04022021_slice_16 | 0.789 | 0.151 | 0.099 | 0.789 | 150.9 | 98.5 | 0.568 | 149.8 | 98.1 | 0.594 | 47.7 | 23.6 |
| SE04022021_slice_17 | 0.748 | 0.168 | 0.113 | 0.748 | 167.6 | 112.6 | 0.524 | 166.6 | 112.2 | 0.580 | 52.4 | 27.1 |
| SE04022021_slice_18 | 0.740 | 0.171 | 0.116 | 0.740 | 171.3 | 115.8 | 0.515 | 170.4 | 115.5 | 0.582 | 53.6 | 27.9 |
| SE04022021_slice_19 | 0.793 | 0.147 | 0.094 | 0.793 | 146.5 | 94.3 | 0.574 | 145.6 | 93.9 | 0.600 | 47.3 | 22.6 |
| SE04022021_slice_20 | 0.748 | 0.166 | 0.110 | 0.748 | 165.7 | 110.2 | 0.524 | 164.7 | 109.8 | 0.585 | 53.1 | 26.7 |
| SE04022021_slice_21 | 0.743 | 0.167 | 0.112 | 0.743 | 167.4 | 112.2 | 0.516 | 166.5 | 111.8 | 0.582 | 53.9 | 27.2 |
| SE04022021_slice_22 | 0.732 | 0.174 | 0.118 | 0.732 | 174.3 | 118.0 | 0.503 | 173.3 | 117.6 | 0.579 | 54.9 | 28.3 |
| SE04022021_slice_23 | 0.726 | 0.177 | 0.121 | 0.726 | 176.6 | 120.6 | 0.498 | 175.6 | 120.2 | 0.576 | 55.8 | 28.7 |
| SE04022021_slice_24 | 0.732 | 0.172 | 0.117 | 0.732 | 172.3 | 117.3 | 0.506 | 171.3 | 116.9 | 0.580 | 54.9 | 28.2 |
| SE04022021_slice_25 | 0.706 | 0.180 | 0.125 | 0.706 | 180.3 | 125.0 | 0.483 | 179.4 | 124.7 | 0.574 | 58.4 | 30.5 |
| SE04022021_slice_26 | 0.700 | 0.176 | 0.123 | 0.700 | 176.4 | 123.1 | 0.479 | 175.5 | 122.8 | 0.571 | 60.0 | 31.5 |
| SE04022021_slice_27 | 0.702 | 0.170 | 0.120 | 0.702 | 170.4 | 119.7 | 0.485 | 169.6 | 119.4 | 0.571 | 61.1 | 31.9 |
| SE04022021_slice_28 | 0.708 | 0.168 | 0.117 | 0.708 | 168.0 | 117.2 | 0.492 | 167.1 | 116.9 | 0.568 | 60.2 | 31.3 |
| SE04022021_slice_29 | 0.732 | 0.166 | 0.113 | 0.732 | 165.6 | 113.5 | 0.510 | 164.7 | 113.1 | 0.575 | 56.6 | 28.7 |
| SE04022021_slice_30 | 0.732 | 0.168 | 0.115 | 0.732 | 167.5 | 114.8 | 0.506 | 166.7 | 114.5 | 0.576 | 56.7 | 28.6 |
| SE04022021_slice_31 | 0.722 | 0.172 | 0.119 | 0.722 | 172.4 | 118.9 | 0.496 | 171.5 | 118.6 | 0.572 | 57.0 | 29.2 |
| SE04022021_slice_32 | 0.719 | 0.172 | 0.119 | 0.719 | 171.5 | 118.7 | 0.498 | 170.7 | 118.4 | 0.568 | 57.9 | 29.8 |
| SE04022021_slice_33 | 0.713 | 0.171 | 0.119 | 0.713 | 170.9 | 118.6 | 0.495 | 170.0 | 118.3 | 0.567 | 58.9 | 30.5 |
| SE04022021_slice_34 | 0.691 | 0.177 | 0.125 | 0.691 | 176.6 | 124.6 | 0.479 | 175.8 | 124.3 | 0.558 | 62.6 | 33.2 |
| SE04022021_slice_35 | 0.698 | 0.172 | 0.121 | 0.698 | 172.3 | 121.3 | 0.484 | 171.4 | 121.0 | 0.557 | 61.3 | 32.4 |
| SE04022021_slice_36 | 0.673 | 0.184 | 0.132 | 0.673 | 184.4 | 131.9 | 0.465 | 183.6 | 131.6 | 0.548 | 65.0 | 34.9 |
| SE04022021_slice_37 | 0.653 | 0.194 | 0.140 | 0.653 | 193.8 | 139.6 | 0.443 | 193.2 | 139.4 | 0.541 | 67.1 | 36.6 |
| SE04022021_slice_38 | 0.671 | 0.187 | 0.134 | 0.671 | 187.5 | 133.7 | 0.460 | 186.7 | 133.4 | 0.547 | 65.2 | 35.3 |
| SE04022021_slice_39 | 0.688 | 0.179 | 0.127 | 0.688 | 179.1 | 126.6 | 0.479 | 178.4 | 126.3 | 0.555 | 64.9 | 34.6 |
| SE04022021_slice_40 | 0.692 | 0.183 | 0.129 | 0.692 | 182.7 | 128.6 | 0.479 | 181.9 | 128.3 | 0.558 | 65.0 | 34.3 |
| SE04022021_slice_41 | 0.687 | 0.186 | 0.132 | 0.687 | 186.2 | 131.8 | 0.475 | 185.5 | 131.5 | 0.560 | 65.1 | 34.5 |
| SE04022021_slice_42 | 0.677 | 0.187 | 0.134 | 0.677 | 187.1 | 134.5 | 0.468 | 186.4 | 134.2 | 0.563 | 66.7 | 35.7 |
| SE04022021_slice_43 | 0.682 | 0.180 | 0.129 | 0.682 | 180.4 | 129.3 | 0.475 | 179.7 | 129.0 | 0.564 | 66.2 | 35.2 |
| SE04022021_slice_44 | 0.703 | 0.169 | 0.119 | 0.703 | 168.8 | 119.2 | 0.495 | 168.1 | 118.9 | 0.573 | 63.6 | 33.1 |
| SE04022021_slice_45 | 0.699 | 0.173 | 0.123 | 0.699 | 173.3 | 122.6 | 0.490 | 172.5 | 122.3 | 0.572 | 63.9 | 33.1 |
| SE04022021_slice_46 | 0.692 | 0.178 | 0.126 | 0.692 | 178.0 | 126.4 | 0.482 | 177.2 | 126.2 | 0.574 | 65.2 | 33.8 |
| SE04022021_slice_47 | 0.708 | 0.180 | 0.124 | 0.708 | 180.0 | 124.0 | 0.498 | 179.2 | 123.7 | 0.575 | 63.1 | 32.2 |
| SE04022021_slice_48 | 0.702 | 0.195 | 0.130 | 0.702 | 195.1 | 129.7 | 0.493 | 194.4 | 129.5 | 0.565 | 64.3 | 33.5 |
| SE04022021_slice_49 | 0.680 | 0.206 | 0.138 | 0.680 | 205.6 | 138.4 | 0.476 | 205.0 | 138.2 | 0.557 | 68.3 | 36.3 |
| SE04022021_slice_50 | 0.673 | 0.200 | 0.136 | 0.673 | 199.7 | 135.9 | 0.470 | 199.1 | 135.7 | 0.548 | 69.0 | 37.3 |
| SE04022021_slice_51 | 0.674 | 0.190 | 0.129 | 0.674 | 190.3 | 129.2 | 0.477 | 189.7 | 128.9 | 0.544 | 69.1 | 37.7 |
| SE04022021_slice_52 | 0.689 | 0.181 | 0.122 | 0.689 | 181.0 | 121.9 | 0.491 | 180.3 | 121.5 | 0.543 | 67.0 | 36.3 |
| SE04022021_slice_53 | 0.683 | 0.180 | 0.122 | 0.683 | 179.6 | 121.9 | 0.484 | 178.9 | 121.6 | 0.541 | 67.4 | 36.6 |
| SE04022021_slice_54 | 0.713 | 0.172 | 0.113 | 0.713 | 172.0 | 112.8 | 0.510 | 171.3 | 112.5 | 0.547 | 63.7 | 33.8 |
| SE04022021_slice_55 | 0.699 | 0.173 | 0.114 | 0.699 | 173.1 | 114.4 | 0.497 | 172.4 | 114.1 | 0.542 | 64.9 | 34.9 |
| SE04022021_slice_56 | 0.714 | 0.168 | 0.108 | 0.714 | 167.7 | 108.4 | 0.512 | 167.0 | 108.1 | 0.546 | 62.8 | 33.2 |
| SE04022021_slice_57 | 0.673 | 0.185 | 0.124 | 0.673 | 184.8 | 124.1 | 0.475 | 184.1 | 123.8 | 0.532 | 68.1 | 37.4 |
| SE04022021_slice_58 | 0.688 | 0.179 | 0.118 | 0.688 | 179.5 | 117.7 | 0.491 | 178.8 | 117.4 | 0.526 | 65.8 | 36.3 |
| SE04022021_slice_59 | 0.679 | 0.179 | 0.119 | 0.679 | 178.9 | 119.1 | 0.483 | 178.2 | 118.8 | 0.516 | 67.2 | 37.9 |
| SE04022021_slice_60 | 0.657 | 0.179 | 0.122 | 0.657 | 178.7 | 122.1 | 0.466 | 177.9 | 121.8 | 0.509 | 69.4 | 40.2 |
| SE04022021_slice_61 | 0.628 | 0.184 | 0.130 | 0.628 | 184.0 | 130.3 | 0.442 | 183.3 | 129.9 | 0.496 | 72.7 | 43.4 |
| SE04022021_slice_62 | 0.662 | 0.169 | 0.116 | 0.662 | 169.4 | 116.0 | 0.472 | 168.6 | 115.7 | 0.493 | 68.5 | 40.4 |
| SE04022021_slice_63 | 0.652 | 0.168 | 0.116 | 0.652 | 168.3 | 115.9 | 0.463 | 167.4 | 115.5 | 0.482 | 69.1 | 41.5 |
| SE04022021_slice_64 | 0.654 | 0.167 | 0.115 | 0.654 | 167.2 | 115.4 | 0.465 | 166.4 | 115.0 | 0.477 | 69.0 | 41.9 |
| SE04022021_slice_65 | 0.638 | 0.169 | 0.119 | 0.638 | 169.3 | 119.1 | 0.452 | 168.6 | 118.8 | 0.467 | 71.3 | 44.2 |
| SE04022021_slice_66 | 0.638 | 0.164 | 0.115 | 0.638 | 163.6 | 114.9 | 0.453 | 162.8 | 114.6 | 0.460 | 71.6 | 44.8 |
| SE04022021_slice_67 | 0.606 | 0.165 | 0.119 | 0.606 | 165.4 | 119.1 | 0.434 | 164.5 | 118.8 | 0.452 | 76.1 | 48.5 |
| SE04022021_slice_68 | 0.571 | 0.169 | 0.125 | 0.571 | 169.2 | 125.0 | 0.410 | 168.4 | 124.7 | 0.441 | 79.9 | 51.9 |
| SE04022021_slice_69 | 0.516 | 0.176 | 0.134 | 0.516 | 176.0 | 134.2 | 0.377 | 175.2 | 134.0 | 0.429 | 87.1 | 57.3 |
| SE04022021_slice_70 | 0.495 | 0.178 | 0.138 | 0.495 | 178.3 | 138.1 | 0.359 | 177.5 | 137.8 | 0.414 | 89.1 | 59.4 |
| SE04022021_slice_71 | 0.462 | 0.184 | 0.145 | 0.462 | 184.2 | 145.3 | 0.337 | 183.3 | 145.0 | 0.406 | 93.3 | 62.8 |
| SE04022021_slice_72 | 0.430 | 0.196 | 0.157 | 0.430 | 196.1 | 157.0 | 0.317 | 195.2 | 156.7 | 0.395 | 97.9 | 66.3 |
| SE04022021_slice_73 | 0.484 | 0.181 | 0.141 | 0.484 | 181.2 | 140.9 | 0.349 | 180.2 | 140.6 | 0.395 | 91.1 | 61.3 |
| SE04022021_slice_74 | 0.478 | 0.187 | 0.146 | 0.478 | 187.0 | 145.5 | 0.346 | 186.1 | 145.2 | 0.391 | 93.1 | 62.5 |
| SE04022021_slice_75 | 0.494 | 0.185 | 0.142 | 0.494 | 184.9 | 142.2 | 0.357 | 184.0 | 141.8 | 0.387 | 91.4 | 61.1 |
| SE04022021_slice_76 | 0.532 | 0.177 | 0.133 | 0.532 | 177.4 | 133.2 | 0.382 | 176.4 | 132.9 | 0.390 | 87.4 | 57.8 |
| SE04022021_slice_77 | 0.561 | 0.177 | 0.130 | 0.561 | 176.9 | 129.7 | 0.400 | 175.9 | 129.3 | 0.389 | 84.8 | 55.7 |
| SE04022021_slice_78 | 0.613 | 0.171 | 0.120 | 0.613 | 170.9 | 119.8 | 0.440 | 169.9 | 119.3 | 0.395 | 79.7 | 51.4 |
| SE04022021_slice_79 | 0.666 | 0.162 | 0.107 | 0.666 | 161.7 | 107.5 | 0.486 | 160.6 | 106.8 | 0.402 | 73.6 | 46.3 |
| SE04022021_slice_80 | 0.678 | 0.162 | 0.108 | 0.678 | 162.5 | 108.4 | 0.494 | 161.4 | 107.8 | 0.402 | 73.2 | 45.6 |
| SE04022021_slice_81 | 0.665 | 0.164 | 0.111 | 0.665 | 163.8 | 110.8 | 0.480 | 162.6 | 110.2 | 0.398 | 75.3 | 46.9 |
| SE04022021_slice_82 | 0.640 | 0.169 | 0.117 | 0.640 | 169.0 | 117.3 | 0.456 | 167.9 | 116.7 | 0.393 | 78.7 | 49.4 |
| SE04022021_slice_83 | 0.639 | 0.167 | 0.118 | 0.639 | 167.4 | 118.5 | 0.453 | 166.3 | 117.8 | 0.390 | 78.8 | 49.3 |
| SE04022021_slice_84 | 0.677 | 0.156 | 0.108 | 0.677 | 156.2 | 107.5 | 0.486 | 154.9 | 106.7 | 0.396 | 74.6 | 45.7 |
| SE04022021_slice_85 | 0.699 | 0.151 | 0.102 | 0.699 | 151.5 | 102.2 | 0.509 | 150.0 | 101.3 | 0.403 | 71.4 | 43.0 |
| SE04022021_slice_86 | 0.706 | 0.153 | 0.103 | 0.706 | 153.3 | 102.6 | 0.514 | 151.9 | 101.5 | 0.402 | 69.5 | 41.9 |
| SE04022021_slice_87 | 0.695 | 0.161 | 0.109 | 0.695 | 160.5 | 109.3 | 0.497 | 159.1 | 108.2 | 0.397 | 70.7 | 43.0 |
4Γ3 grid: Rows show different image types (Original NATIVE, Reconstructed NATIVE, Original VENOUS, Generated VENOUS), Columns show windowing techniques (No Window, Lung Window, Mediastinum Window)