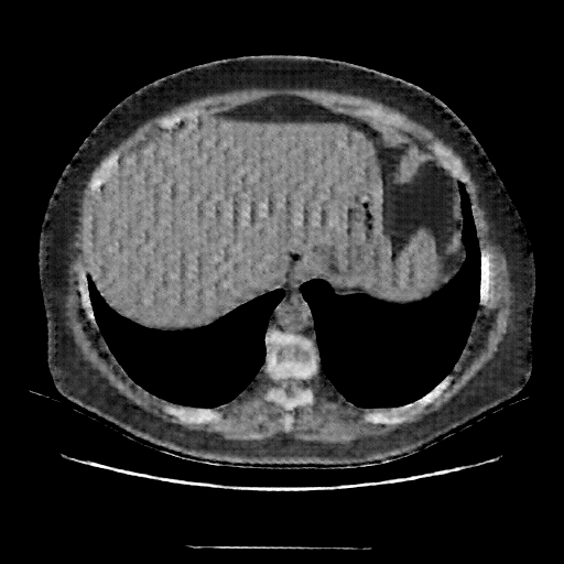
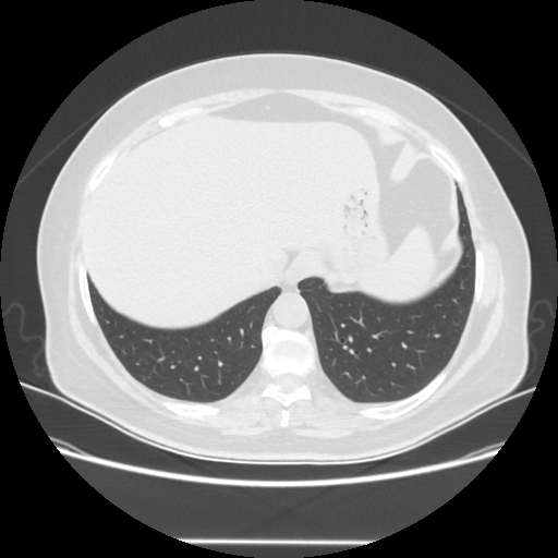
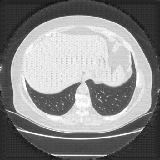
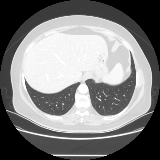
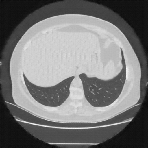
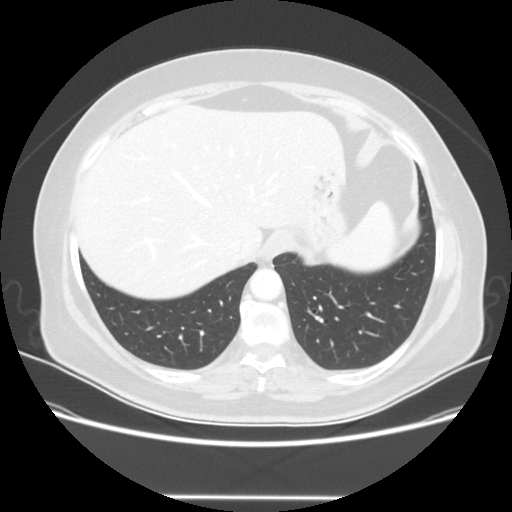
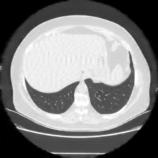
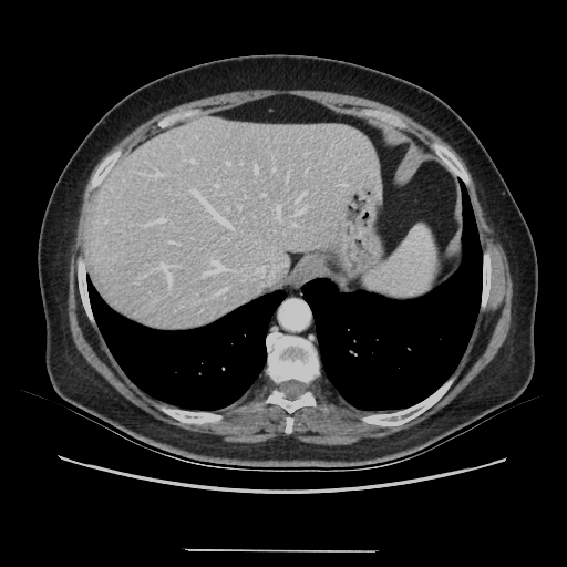
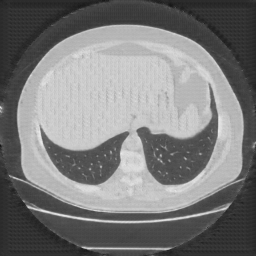
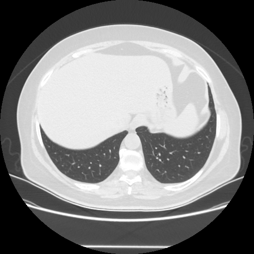
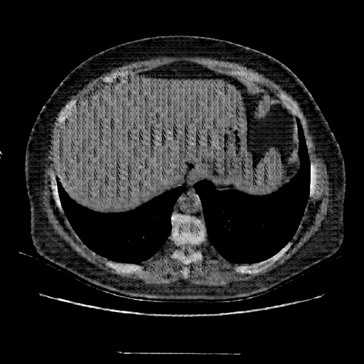
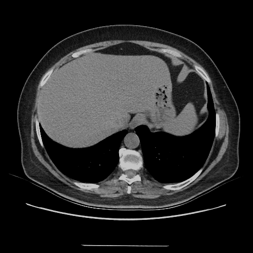
Slice 70 Targeting Evaluation
Patient ID: SV03022021
Model: cytran
Slice: Slice_70
Slice Thickness: 2.5mm
Conversion: NATIVE β VENOUS
Contains all 4 metric datasets: Network-Normalized, Hounsfield Units, Lung Window, and Mediastinum Window
| Slice ID | SSIM | RMSE | MAE | HU SSIM | HU RMSE | HU MAE | Lung SSIM | Lung RMSE | Lung MAE | Mediastinum SSIM | Mediastinum RMSE | Mediastinum MAE |
|---|---|---|---|---|---|---|---|---|---|---|---|---|
| SV03022021_slice_0 | 0.864 | 0.092 | 0.056 | 0.864 | 92.2 | 56.1 | 0.689 | 90.9 | 55.4 | 0.604 | 38.4 | 19.4 |
| SV03022021_slice_1 | 0.873 | 0.084 | 0.047 | 0.873 | 84.4 | 46.9 | 0.715 | 83.1 | 46.1 | 0.611 | 38.1 | 19.0 |
| SV03022021_slice_2 | 0.874 | 0.085 | 0.049 | 0.874 | 84.9 | 48.5 | 0.714 | 83.6 | 47.7 | 0.608 | 37.9 | 19.1 |
| SV03022021_slice_3 | 0.850 | 0.098 | 0.063 | 0.850 | 98.1 | 62.6 | 0.674 | 96.9 | 61.9 | 0.584 | 41.4 | 21.2 |
| SV03022021_slice_4 | 0.854 | 0.099 | 0.063 | 0.854 | 98.7 | 63.3 | 0.679 | 97.7 | 62.7 | 0.582 | 41.4 | 21.4 |
| SV03022021_slice_5 | 0.840 | 0.105 | 0.069 | 0.840 | 105.1 | 69.1 | 0.657 | 104.1 | 68.6 | 0.573 | 43.1 | 22.4 |
| SV03022021_slice_6 | 0.872 | 0.093 | 0.057 | 0.872 | 92.9 | 57.4 | 0.705 | 91.9 | 56.8 | 0.605 | 40.0 | 19.7 |
| SV03022021_slice_7 | 0.852 | 0.104 | 0.067 | 0.852 | 103.8 | 67.3 | 0.673 | 102.9 | 66.8 | 0.594 | 41.8 | 21.0 |
| SV03022021_slice_8 | 0.793 | 0.136 | 0.093 | 0.793 | 136.0 | 92.8 | 0.587 | 135.3 | 92.5 | 0.567 | 47.3 | 25.2 |
| SV03022021_slice_9 | 0.851 | 0.108 | 0.071 | 0.851 | 107.7 | 70.8 | 0.664 | 106.8 | 70.4 | 0.604 | 40.0 | 20.0 |
| SV03022021_slice_10 | 0.811 | 0.124 | 0.085 | 0.811 | 124.5 | 84.6 | 0.612 | 123.7 | 84.3 | 0.585 | 45.0 | 23.1 |
| SV03022021_slice_11 | 0.774 | 0.137 | 0.095 | 0.774 | 136.8 | 94.7 | 0.575 | 136.1 | 94.5 | 0.576 | 49.6 | 26.0 |
| SV03022021_slice_12 | 0.787 | 0.139 | 0.095 | 0.787 | 138.5 | 94.9 | 0.583 | 137.8 | 94.6 | 0.587 | 47.6 | 24.6 |
| SV03022021_slice_13 | 0.792 | 0.138 | 0.094 | 0.792 | 138.2 | 94.4 | 0.589 | 137.5 | 94.1 | 0.594 | 47.0 | 24.2 |
| SV03022021_slice_14 | 0.790 | 0.143 | 0.097 | 0.790 | 142.6 | 97.0 | 0.586 | 141.8 | 96.8 | 0.596 | 47.6 | 24.4 |
| SV03022021_slice_15 | 0.789 | 0.142 | 0.097 | 0.789 | 142.2 | 96.8 | 0.583 | 141.4 | 96.6 | 0.597 | 47.5 | 24.4 |
| SV03022021_slice_16 | 0.839 | 0.120 | 0.080 | 0.839 | 120.5 | 79.7 | 0.645 | 119.6 | 79.4 | 0.622 | 41.6 | 20.0 |
| SV03022021_slice_17 | 0.846 | 0.123 | 0.081 | 0.846 | 123.2 | 81.3 | 0.648 | 122.3 | 81.0 | 0.626 | 40.6 | 19.5 |
| SV03022021_slice_18 | 0.854 | 0.117 | 0.077 | 0.854 | 117.0 | 77.0 | 0.658 | 116.1 | 76.6 | 0.629 | 39.6 | 18.8 |
| SV03022021_slice_19 | 0.843 | 0.121 | 0.080 | 0.843 | 121.4 | 80.3 | 0.646 | 120.5 | 80.0 | 0.625 | 40.8 | 19.6 |
| SV03022021_slice_20 | 0.806 | 0.139 | 0.094 | 0.806 | 139.2 | 93.9 | 0.600 | 138.4 | 93.7 | 0.604 | 45.4 | 22.9 |
| SV03022021_slice_21 | 0.786 | 0.144 | 0.099 | 0.786 | 144.5 | 98.5 | 0.580 | 143.7 | 98.3 | 0.598 | 47.9 | 24.3 |
| SV03022021_slice_22 | 0.781 | 0.148 | 0.101 | 0.781 | 147.8 | 101.0 | 0.576 | 147.0 | 100.7 | 0.600 | 49.0 | 24.7 |
| SV03022021_slice_23 | 0.793 | 0.144 | 0.098 | 0.793 | 144.1 | 97.7 | 0.589 | 143.3 | 97.5 | 0.603 | 47.8 | 23.7 |
| SV03022021_slice_24 | 0.822 | 0.132 | 0.088 | 0.822 | 132.4 | 88.4 | 0.624 | 131.6 | 88.2 | 0.622 | 43.9 | 20.8 |
| SV03022021_slice_25 | 0.830 | 0.129 | 0.086 | 0.830 | 129.3 | 85.6 | 0.636 | 128.5 | 85.4 | 0.624 | 43.7 | 20.4 |
| SV03022021_slice_26 | 0.831 | 0.130 | 0.086 | 0.831 | 129.6 | 85.7 | 0.639 | 128.8 | 85.5 | 0.625 | 44.6 | 20.6 |
| SV03022021_slice_27 | 0.784 | 0.151 | 0.103 | 0.784 | 150.9 | 102.6 | 0.587 | 150.2 | 102.4 | 0.608 | 52.1 | 25.4 |
| SV03022021_slice_28 | 0.785 | 0.150 | 0.102 | 0.785 | 149.6 | 102.0 | 0.589 | 148.9 | 101.8 | 0.606 | 52.6 | 25.4 |
| SV03022021_slice_29 | 0.796 | 0.142 | 0.097 | 0.796 | 142.4 | 96.6 | 0.604 | 141.7 | 96.3 | 0.611 | 51.6 | 24.6 |
| SV03022021_slice_30 | 0.743 | 0.162 | 0.113 | 0.743 | 162.5 | 113.4 | 0.550 | 161.9 | 113.2 | 0.589 | 58.4 | 29.9 |
| SV03022021_slice_31 | 0.716 | 0.172 | 0.122 | 0.716 | 172.2 | 121.7 | 0.525 | 171.6 | 121.5 | 0.581 | 62.3 | 32.6 |
| SV03022021_slice_32 | 0.741 | 0.161 | 0.112 | 0.741 | 161.0 | 111.8 | 0.551 | 160.3 | 111.6 | 0.585 | 58.9 | 30.3 |
| SV03022021_slice_33 | 0.732 | 0.163 | 0.113 | 0.732 | 163.1 | 113.4 | 0.544 | 162.4 | 113.2 | 0.584 | 59.7 | 30.9 |
| SV03022021_slice_34 | 0.721 | 0.169 | 0.118 | 0.721 | 168.6 | 118.1 | 0.534 | 167.9 | 118.0 | 0.586 | 61.4 | 32.3 |
| SV03022021_slice_35 | 0.713 | 0.170 | 0.120 | 0.713 | 170.2 | 120.4 | 0.529 | 169.6 | 120.2 | 0.583 | 62.8 | 33.4 |
| SV03022021_slice_36 | 0.758 | 0.148 | 0.102 | 0.758 | 147.8 | 102.1 | 0.572 | 147.1 | 101.9 | 0.601 | 56.0 | 28.6 |
| SV03022021_slice_37 | 0.726 | 0.161 | 0.113 | 0.726 | 160.5 | 113.2 | 0.543 | 159.8 | 113.0 | 0.592 | 61.1 | 32.0 |
| SV03022021_slice_38 | 0.754 | 0.152 | 0.106 | 0.754 | 151.8 | 105.8 | 0.569 | 151.1 | 105.6 | 0.597 | 57.9 | 29.7 |
| SV03022021_slice_39 | 0.736 | 0.165 | 0.116 | 0.736 | 165.0 | 116.3 | 0.548 | 164.3 | 116.1 | 0.590 | 60.5 | 31.7 |
| SV03022021_slice_40 | 0.727 | 0.170 | 0.120 | 0.727 | 169.6 | 120.4 | 0.542 | 169.0 | 120.2 | 0.587 | 62.0 | 32.6 |
| SV03022021_slice_41 | 0.733 | 0.168 | 0.119 | 0.733 | 168.4 | 119.2 | 0.548 | 167.8 | 119.0 | 0.587 | 61.3 | 32.3 |
| SV03022021_slice_42 | 0.725 | 0.172 | 0.122 | 0.725 | 171.8 | 121.9 | 0.543 | 171.3 | 121.8 | 0.584 | 63.3 | 33.3 |
| SV03022021_slice_43 | 0.729 | 0.167 | 0.118 | 0.729 | 167.1 | 118.1 | 0.549 | 166.5 | 118.0 | 0.586 | 63.3 | 33.0 |
| SV03022021_slice_44 | 0.726 | 0.166 | 0.118 | 0.726 | 166.4 | 117.7 | 0.548 | 165.7 | 117.6 | 0.581 | 63.4 | 33.2 |
| SV03022021_slice_45 | 0.723 | 0.165 | 0.117 | 0.723 | 164.9 | 117.2 | 0.546 | 164.3 | 117.1 | 0.579 | 63.9 | 33.6 |
| SV03022021_slice_46 | 0.719 | 0.165 | 0.117 | 0.719 | 164.6 | 117.4 | 0.544 | 163.9 | 117.3 | 0.579 | 64.7 | 34.1 |
| SV03022021_slice_47 | 0.696 | 0.170 | 0.123 | 0.696 | 170.4 | 122.9 | 0.528 | 169.8 | 122.7 | 0.571 | 68.4 | 36.5 |
| SV03022021_slice_48 | 0.698 | 0.173 | 0.125 | 0.698 | 173.1 | 124.7 | 0.529 | 172.5 | 124.6 | 0.571 | 68.1 | 36.4 |
| SV03022021_slice_49 | 0.707 | 0.169 | 0.122 | 0.707 | 169.4 | 121.8 | 0.537 | 168.7 | 121.7 | 0.575 | 66.4 | 35.4 |
| SV03022021_slice_50 | 0.692 | 0.174 | 0.126 | 0.692 | 174.1 | 126.1 | 0.525 | 173.6 | 126.0 | 0.573 | 67.7 | 36.5 |
| SV03022021_slice_51 | 0.683 | 0.177 | 0.128 | 0.683 | 176.7 | 128.3 | 0.520 | 176.2 | 128.2 | 0.574 | 68.4 | 37.0 |
| SV03022021_slice_52 | 0.717 | 0.159 | 0.114 | 0.717 | 159.1 | 114.0 | 0.551 | 158.7 | 113.8 | 0.588 | 62.7 | 33.0 |
| SV03022021_slice_53 | 0.720 | 0.164 | 0.117 | 0.720 | 163.9 | 116.8 | 0.548 | 163.7 | 116.7 | 0.590 | 61.1 | 31.9 |
| SV03022021_slice_54 | 0.754 | 0.150 | 0.106 | 0.754 | 149.5 | 105.7 | 0.578 | 149.4 | 105.6 | 0.607 | 54.9 | 27.8 |
| SV03022021_slice_55 | 0.727 | 0.163 | 0.116 | 0.727 | 163.0 | 116.0 | 0.555 | 162.9 | 116.0 | 0.609 | 57.9 | 29.3 |
| SV03022021_slice_56 | 0.743 | 0.161 | 0.114 | 0.743 | 160.9 | 113.9 | 0.569 | 160.8 | 113.9 | 0.623 | 55.2 | 27.7 |
| SV03022021_slice_57 | 0.791 | 0.153 | 0.106 | 0.791 | 153.1 | 106.1 | 0.604 | 153.1 | 106.1 | 0.641 | 48.3 | 23.4 |
| SV03022021_slice_58 | 0.811 | 0.142 | 0.098 | 0.811 | 142.2 | 98.0 | 0.631 | 142.1 | 97.9 | 0.656 | 45.6 | 21.6 |
| SV03022021_slice_59 | 0.815 | 0.144 | 0.099 | 0.815 | 144.3 | 99.0 | 0.629 | 144.2 | 98.9 | 0.665 | 43.9 | 21.0 |
| SV03022021_slice_60 | 0.841 | 0.131 | 0.089 | 0.841 | 131.1 | 89.5 | 0.658 | 131.0 | 89.3 | 0.684 | 40.6 | 19.0 |
| SV03022021_slice_61 | 0.875 | 0.116 | 0.079 | 0.875 | 116.2 | 79.0 | 0.697 | 116.0 | 78.7 | 0.700 | 35.9 | 16.5 |
| SV03022021_slice_62 | 0.849 | 0.130 | 0.088 | 0.849 | 130.0 | 88.2 | 0.662 | 129.8 | 88.0 | 0.684 | 39.3 | 18.4 |
| SV03022021_slice_63 | 0.856 | 0.118 | 0.081 | 0.856 | 117.9 | 81.1 | 0.674 | 117.8 | 80.9 | 0.681 | 38.9 | 18.3 |
| SV03022021_slice_64 | 0.821 | 0.134 | 0.093 | 0.821 | 134.5 | 92.6 | 0.632 | 134.4 | 92.4 | 0.659 | 43.3 | 20.9 |
| SV03022021_slice_65 | 0.814 | 0.135 | 0.093 | 0.814 | 135.1 | 93.2 | 0.627 | 135.0 | 93.0 | 0.654 | 44.3 | 21.6 |
| SV03022021_slice_66 | 0.807 | 0.138 | 0.095 | 0.807 | 137.7 | 95.0 | 0.620 | 137.6 | 94.8 | 0.647 | 45.2 | 22.3 |
| SV03022021_slice_67 | 0.775 | 0.148 | 0.103 | 0.775 | 148.2 | 102.9 | 0.589 | 148.2 | 102.8 | 0.632 | 49.5 | 24.9 |
| SV03022021_slice_68 | 0.786 | 0.140 | 0.097 | 0.786 | 139.9 | 97.5 | 0.601 | 139.8 | 97.3 | 0.632 | 48.7 | 24.4 |
| SV03022021_slice_69 | 0.793 | 0.136 | 0.094 | 0.793 | 135.7 | 94.1 | 0.607 | 135.7 | 94.0 | 0.627 | 47.7 | 24.0 |
| SV03022021_slice_70 | 0.765 | 0.147 | 0.102 | 0.765 | 147.0 | 102.4 | 0.576 | 146.9 | 102.2 | 0.609 | 51.3 | 26.4 |
| SV03022021_slice_71 | 0.752 | 0.149 | 0.105 | 0.752 | 149.2 | 104.6 | 0.563 | 149.2 | 104.5 | 0.602 | 52.7 | 27.5 |
| SV03022021_slice_72 | 0.745 | 0.149 | 0.105 | 0.745 | 148.7 | 104.6 | 0.558 | 148.6 | 104.5 | 0.599 | 53.6 | 28.3 |
| SV03022021_slice_73 | 0.712 | 0.160 | 0.114 | 0.712 | 160.4 | 114.1 | 0.527 | 160.3 | 114.0 | 0.585 | 57.2 | 31.1 |
| SV03022021_slice_74 | 0.707 | 0.157 | 0.112 | 0.707 | 157.0 | 112.0 | 0.525 | 157.0 | 111.9 | 0.581 | 57.9 | 31.6 |
| SV03022021_slice_75 | 0.705 | 0.155 | 0.111 | 0.705 | 155.4 | 110.9 | 0.521 | 155.4 | 110.8 | 0.575 | 57.8 | 31.7 |
| SV03022021_slice_76 | 0.729 | 0.144 | 0.102 | 0.729 | 144.4 | 102.4 | 0.545 | 144.4 | 102.3 | 0.582 | 55.2 | 30.0 |
| SV03022021_slice_77 | 0.698 | 0.155 | 0.111 | 0.698 | 155.2 | 110.9 | 0.514 | 155.1 | 110.7 | 0.569 | 58.2 | 32.4 |
| SV03022021_slice_78 | 0.671 | 0.158 | 0.113 | 0.671 | 157.6 | 113.5 | 0.493 | 157.6 | 113.4 | 0.559 | 61.2 | 34.4 |
| SV03022021_slice_79 | 0.669 | 0.158 | 0.114 | 0.669 | 157.7 | 113.5 | 0.489 | 157.7 | 113.4 | 0.554 | 61.5 | 34.8 |
| SV03022021_slice_80 | 0.668 | 0.158 | 0.114 | 0.668 | 157.8 | 113.6 | 0.488 | 157.8 | 113.5 | 0.550 | 61.9 | 35.2 |
| SV03022021_slice_81 | 0.676 | 0.149 | 0.107 | 0.676 | 148.5 | 107.0 | 0.499 | 148.5 | 107.0 | 0.551 | 61.6 | 34.7 |
| SV03022021_slice_82 | 0.679 | 0.150 | 0.108 | 0.679 | 150.2 | 108.4 | 0.499 | 150.2 | 108.3 | 0.547 | 61.2 | 34.8 |
| SV03022021_slice_83 | 0.680 | 0.151 | 0.109 | 0.680 | 151.5 | 109.0 | 0.498 | 151.5 | 108.9 | 0.542 | 61.0 | 34.9 |
| SV03022021_slice_84 | 0.659 | 0.157 | 0.114 | 0.659 | 157.1 | 114.1 | 0.482 | 157.0 | 114.0 | 0.537 | 63.8 | 36.9 |
| SV03022021_slice_85 | 0.704 | 0.144 | 0.103 | 0.704 | 144.2 | 103.4 | 0.522 | 144.2 | 103.3 | 0.547 | 59.2 | 33.7 |
| SV03022021_slice_86 | 0.708 | 0.141 | 0.101 | 0.708 | 141.1 | 101.2 | 0.525 | 141.1 | 101.0 | 0.547 | 59.2 | 33.6 |
| SV03022021_slice_87 | 0.687 | 0.145 | 0.104 | 0.687 | 145.0 | 104.3 | 0.507 | 145.0 | 104.2 | 0.542 | 61.4 | 35.0 |
| SV03022021_slice_88 | 0.671 | 0.152 | 0.110 | 0.671 | 151.9 | 109.9 | 0.494 | 151.8 | 109.8 | 0.538 | 63.0 | 36.2 |
| SV03022021_slice_89 | 0.706 | 0.141 | 0.101 | 0.706 | 140.9 | 100.8 | 0.525 | 140.8 | 100.6 | 0.542 | 59.4 | 33.5 |
| SV03022021_slice_90 | 0.690 | 0.149 | 0.107 | 0.690 | 149.0 | 107.1 | 0.508 | 148.9 | 107.0 | 0.535 | 60.9 | 34.8 |
| SV03022021_slice_91 | 0.670 | 0.156 | 0.113 | 0.670 | 156.2 | 113.0 | 0.490 | 156.2 | 112.9 | 0.530 | 62.9 | 36.4 |
| SV03022021_slice_92 | 0.684 | 0.149 | 0.108 | 0.684 | 149.1 | 107.6 | 0.503 | 149.1 | 107.5 | 0.529 | 62.2 | 35.6 |
| SV03022021_slice_93 | 0.693 | 0.148 | 0.107 | 0.693 | 148.3 | 106.9 | 0.511 | 148.3 | 106.8 | 0.528 | 61.8 | 35.2 |
| SV03022021_slice_94 | 0.719 | 0.144 | 0.103 | 0.719 | 144.3 | 103.1 | 0.531 | 144.3 | 103.0 | 0.533 | 59.2 | 33.4 |
| SV03022021_slice_95 | 0.723 | 0.144 | 0.103 | 0.723 | 144.4 | 102.8 | 0.535 | 144.3 | 102.7 | 0.532 | 59.2 | 33.2 |
| SV03022021_slice_96 | 0.740 | 0.138 | 0.097 | 0.740 | 137.7 | 97.5 | 0.550 | 137.6 | 97.3 | 0.539 | 56.9 | 31.5 |
| SV03022021_slice_97 | 0.761 | 0.133 | 0.094 | 0.761 | 133.3 | 93.6 | 0.566 | 133.2 | 93.4 | 0.544 | 54.2 | 29.9 |
| SV03022021_slice_98 | 0.748 | 0.139 | 0.098 | 0.748 | 139.1 | 97.8 | 0.553 | 139.0 | 97.6 | 0.540 | 55.7 | 30.7 |
4Γ3 grid: Rows show different image types (Original NATIVE, Reconstructed NATIVE, Original VENOUS, Generated VENOUS), Columns show windowing techniques (No Window, Lung Window, Mediastinum Window)