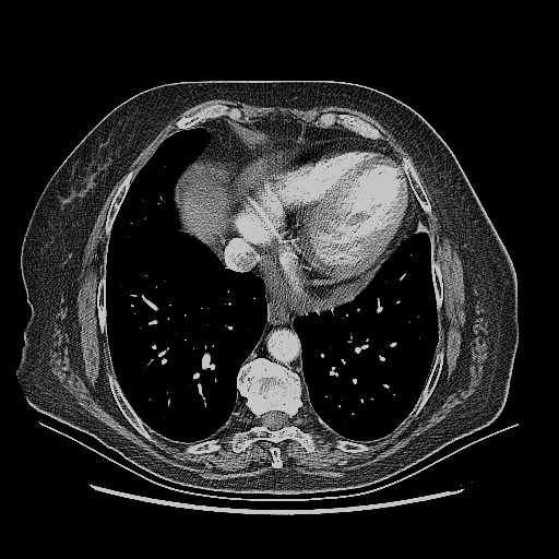
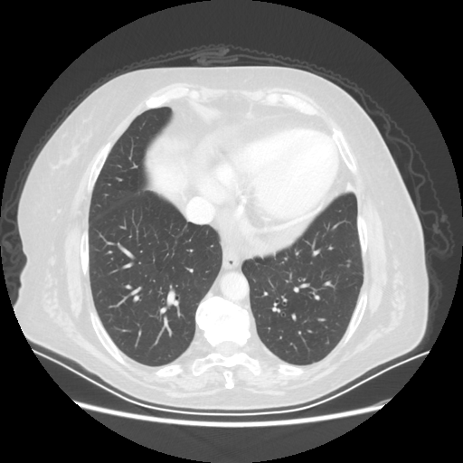
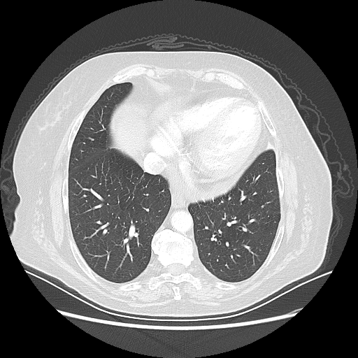
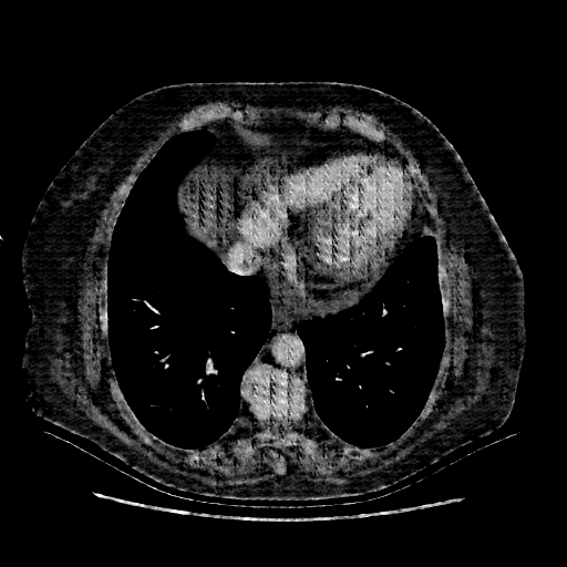
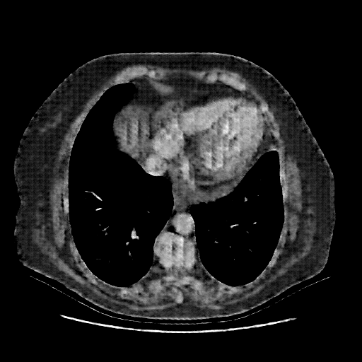
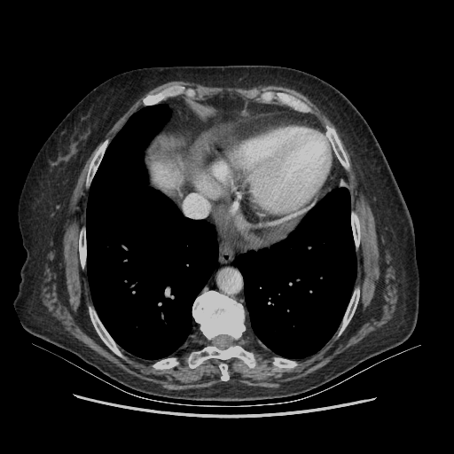
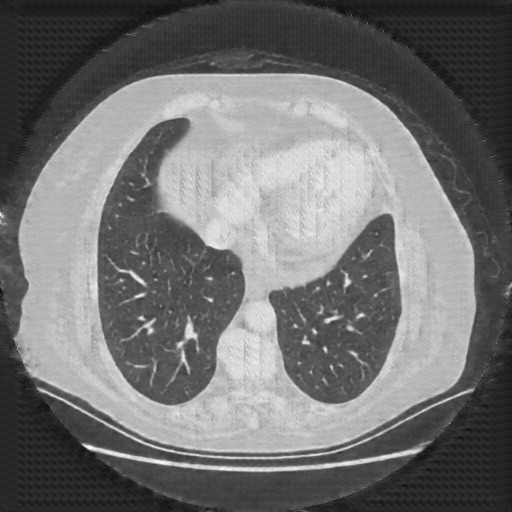
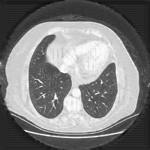
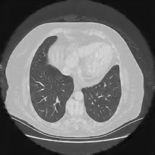
Slice 70 Targeting Evaluation
Patient ID: AB17122018
Model: cytran
Slice: Slice_70
Slice Thickness: 2.5mm
Conversion: NATIVE β VENOUS
Contains all 4 metric datasets: Network-Normalized, Hounsfield Units, Lung Window, and Mediastinum Window
| Slice ID | SSIM | RMSE | MAE | HU SSIM | HU RMSE | HU MAE | Lung SSIM | Lung RMSE | Lung MAE | Mediastinum SSIM | Mediastinum RMSE | Mediastinum MAE |
|---|---|---|---|---|---|---|---|---|---|---|---|---|
| AB17122018_slice_0 | 0.706 | 0.161 | 0.111 | 0.706 | 161.1 | 111.4 | 0.498 | 160.7 | 111.1 | 0.615 | 56.1 | 28.8 |
| AB17122018_slice_1 | 0.736 | 0.150 | 0.103 | 0.736 | 150.2 | 103.2 | 0.523 | 149.8 | 102.9 | 0.619 | 52.1 | 26.2 |
| AB17122018_slice_2 | 0.763 | 0.137 | 0.093 | 0.763 | 136.5 | 93.5 | 0.555 | 136.1 | 93.2 | 0.629 | 49.0 | 24.1 |
| AB17122018_slice_3 | 0.749 | 0.142 | 0.098 | 0.749 | 142.3 | 97.9 | 0.543 | 141.9 | 97.6 | 0.624 | 51.1 | 25.3 |
| AB17122018_slice_4 | 0.765 | 0.138 | 0.095 | 0.765 | 138.3 | 95.1 | 0.559 | 138.0 | 94.9 | 0.631 | 49.5 | 24.2 |
| AB17122018_slice_5 | 0.742 | 0.147 | 0.101 | 0.742 | 146.8 | 101.4 | 0.537 | 146.6 | 101.2 | 0.631 | 51.9 | 25.6 |
| AB17122018_slice_6 | 0.720 | 0.157 | 0.109 | 0.720 | 156.5 | 108.7 | 0.520 | 156.3 | 108.5 | 0.626 | 54.2 | 27.2 |
| AB17122018_slice_7 | 0.720 | 0.154 | 0.108 | 0.720 | 153.9 | 108.1 | 0.520 | 153.6 | 107.9 | 0.627 | 54.8 | 27.6 |
| AB17122018_slice_8 | 0.734 | 0.152 | 0.106 | 0.734 | 151.8 | 105.9 | 0.530 | 151.5 | 105.7 | 0.630 | 52.3 | 26.0 |
| AB17122018_slice_9 | 0.733 | 0.155 | 0.108 | 0.733 | 154.8 | 107.8 | 0.528 | 154.6 | 107.6 | 0.633 | 52.2 | 26.0 |
| AB17122018_slice_10 | 0.722 | 0.163 | 0.113 | 0.722 | 163.5 | 113.2 | 0.521 | 163.3 | 113.0 | 0.636 | 53.5 | 26.6 |
| AB17122018_slice_11 | 0.739 | 0.154 | 0.107 | 0.739 | 154.4 | 106.8 | 0.538 | 154.2 | 106.6 | 0.641 | 51.2 | 25.1 |
| AB17122018_slice_12 | 0.760 | 0.144 | 0.099 | 0.760 | 143.7 | 99.4 | 0.560 | 143.5 | 99.3 | 0.649 | 48.3 | 23.3 |
| AB17122018_slice_13 | 0.791 | 0.131 | 0.090 | 0.791 | 131.4 | 89.8 | 0.592 | 131.2 | 89.6 | 0.658 | 44.7 | 20.8 |
| AB17122018_slice_14 | 0.780 | 0.139 | 0.095 | 0.780 | 138.8 | 95.4 | 0.576 | 138.7 | 95.3 | 0.651 | 45.6 | 21.4 |
| AB17122018_slice_15 | 0.771 | 0.144 | 0.099 | 0.771 | 144.1 | 99.3 | 0.561 | 143.9 | 99.1 | 0.646 | 46.3 | 21.8 |
| AB17122018_slice_16 | 0.774 | 0.144 | 0.099 | 0.774 | 143.6 | 98.6 | 0.565 | 143.4 | 98.5 | 0.650 | 45.3 | 21.2 |
| AB17122018_slice_17 | 0.862 | 0.090 | 0.048 | 0.862 | 89.8 | 48.0 | 0.705 | 89.6 | 47.4 | 0.700 | 35.5 | 14.9 |
| AB17122018_slice_18 | 0.859 | 0.090 | 0.048 | 0.859 | 90.0 | 47.5 | 0.704 | 89.7 | 46.8 | 0.702 | 35.0 | 14.7 |
| AB17122018_slice_19 | 0.860 | 0.095 | 0.055 | 0.860 | 95.0 | 54.6 | 0.687 | 94.8 | 54.3 | 0.697 | 35.1 | 14.8 |
| AB17122018_slice_20 | 0.862 | 0.094 | 0.053 | 0.862 | 94.4 | 53.3 | 0.691 | 94.3 | 53.0 | 0.699 | 34.3 | 14.5 |
| AB17122018_slice_21 | 0.866 | 0.092 | 0.048 | 0.866 | 91.6 | 48.3 | 0.705 | 91.4 | 47.8 | 0.698 | 33.1 | 14.0 |
| AB17122018_slice_22 | 0.848 | 0.104 | 0.065 | 0.848 | 103.8 | 64.5 | 0.662 | 103.7 | 64.3 | 0.680 | 36.0 | 15.6 |
| AB17122018_slice_23 | 0.850 | 0.101 | 0.061 | 0.850 | 100.7 | 61.2 | 0.666 | 100.5 | 60.9 | 0.685 | 35.6 | 15.3 |
| AB17122018_slice_24 | 0.861 | 0.093 | 0.049 | 0.861 | 92.6 | 49.1 | 0.699 | 92.4 | 48.3 | 0.695 | 34.2 | 14.4 |
| AB17122018_slice_25 | 0.834 | 0.109 | 0.070 | 0.834 | 109.0 | 70.0 | 0.643 | 108.8 | 69.8 | 0.674 | 38.1 | 16.6 |
| AB17122018_slice_26 | 0.834 | 0.106 | 0.068 | 0.834 | 105.8 | 67.5 | 0.645 | 105.6 | 67.3 | 0.676 | 38.4 | 16.7 |
| AB17122018_slice_27 | 0.804 | 0.128 | 0.087 | 0.804 | 127.7 | 87.3 | 0.603 | 127.5 | 87.1 | 0.662 | 41.9 | 19.0 |
| AB17122018_slice_28 | 0.808 | 0.122 | 0.082 | 0.808 | 121.8 | 82.1 | 0.611 | 121.6 | 81.9 | 0.659 | 42.0 | 18.8 |
| AB17122018_slice_29 | 0.829 | 0.108 | 0.068 | 0.829 | 108.1 | 67.6 | 0.645 | 107.9 | 67.4 | 0.670 | 39.2 | 17.0 |
| AB17122018_slice_30 | 0.829 | 0.107 | 0.068 | 0.829 | 107.1 | 68.0 | 0.646 | 106.8 | 67.8 | 0.671 | 38.9 | 16.9 |
| AB17122018_slice_31 | 0.845 | 0.099 | 0.058 | 0.845 | 99.2 | 57.6 | 0.672 | 98.9 | 57.3 | 0.679 | 37.4 | 15.8 |
| AB17122018_slice_32 | 0.852 | 0.094 | 0.049 | 0.852 | 94.5 | 49.2 | 0.699 | 94.1 | 47.9 | 0.687 | 36.4 | 15.3 |
| AB17122018_slice_33 | 0.859 | 0.093 | 0.048 | 0.859 | 92.6 | 47.7 | 0.714 | 92.1 | 45.5 | 0.693 | 35.9 | 14.9 |
| AB17122018_slice_34 | 0.851 | 0.095 | 0.052 | 0.851 | 95.5 | 52.0 | 0.692 | 95.1 | 51.5 | 0.684 | 37.4 | 15.8 |
| AB17122018_slice_35 | 0.842 | 0.100 | 0.062 | 0.842 | 99.6 | 62.0 | 0.665 | 99.4 | 61.8 | 0.676 | 37.7 | 16.5 |
| AB17122018_slice_36 | 0.837 | 0.096 | 0.060 | 0.837 | 96.1 | 60.1 | 0.662 | 95.8 | 59.9 | 0.674 | 38.3 | 17.0 |
| AB17122018_slice_37 | 0.827 | 0.103 | 0.068 | 0.827 | 102.6 | 68.2 | 0.645 | 102.5 | 68.0 | 0.663 | 40.4 | 18.5 |
| AB17122018_slice_38 | 0.824 | 0.105 | 0.071 | 0.824 | 105.4 | 71.2 | 0.641 | 105.2 | 71.0 | 0.658 | 41.7 | 19.4 |
| AB17122018_slice_39 | 0.828 | 0.101 | 0.067 | 0.828 | 101.2 | 66.8 | 0.650 | 101.1 | 66.7 | 0.660 | 41.1 | 19.0 |
| AB17122018_slice_40 | 0.828 | 0.098 | 0.064 | 0.828 | 98.2 | 64.0 | 0.653 | 98.0 | 63.8 | 0.661 | 40.3 | 18.8 |
| AB17122018_slice_41 | 0.828 | 0.100 | 0.066 | 0.828 | 99.5 | 66.3 | 0.650 | 99.4 | 66.1 | 0.660 | 40.2 | 19.0 |
| AB17122018_slice_42 | 0.836 | 0.095 | 0.060 | 0.836 | 94.9 | 60.4 | 0.665 | 94.8 | 60.2 | 0.666 | 38.9 | 18.3 |
| AB17122018_slice_43 | 0.824 | 0.099 | 0.065 | 0.824 | 99.2 | 64.6 | 0.648 | 99.0 | 64.4 | 0.658 | 41.0 | 19.4 |
| AB17122018_slice_44 | 0.835 | 0.091 | 0.054 | 0.835 | 91.5 | 54.0 | 0.673 | 91.3 | 53.6 | 0.662 | 39.8 | 18.7 |
| AB17122018_slice_45 | 0.827 | 0.093 | 0.056 | 0.827 | 92.7 | 56.1 | 0.665 | 92.6 | 55.9 | 0.655 | 41.7 | 19.8 |
| AB17122018_slice_46 | 0.830 | 0.092 | 0.055 | 0.830 | 92.5 | 54.6 | 0.670 | 92.3 | 54.3 | 0.652 | 41.7 | 19.5 |
| AB17122018_slice_47 | 0.829 | 0.093 | 0.055 | 0.829 | 92.9 | 55.1 | 0.666 | 92.7 | 54.8 | 0.650 | 41.6 | 19.5 |
| AB17122018_slice_48 | 0.820 | 0.093 | 0.055 | 0.820 | 93.1 | 54.9 | 0.658 | 93.0 | 54.5 | 0.646 | 43.3 | 20.6 |
| AB17122018_slice_49 | 0.832 | 0.093 | 0.055 | 0.832 | 93.3 | 55.5 | 0.668 | 93.1 | 55.2 | 0.652 | 41.7 | 19.7 |
| AB17122018_slice_50 | 0.846 | 0.092 | 0.052 | 0.846 | 91.8 | 51.6 | 0.686 | 91.6 | 51.2 | 0.659 | 39.1 | 18.1 |
| AB17122018_slice_51 | 0.854 | 0.093 | 0.052 | 0.854 | 92.7 | 52.2 | 0.691 | 92.6 | 51.8 | 0.661 | 37.6 | 17.5 |
| AB17122018_slice_52 | 0.857 | 0.094 | 0.053 | 0.857 | 93.8 | 53.3 | 0.689 | 93.7 | 53.0 | 0.660 | 37.5 | 17.6 |
| AB17122018_slice_53 | 0.843 | 0.099 | 0.060 | 0.843 | 98.6 | 59.8 | 0.668 | 98.5 | 59.6 | 0.646 | 39.5 | 19.0 |
| AB17122018_slice_54 | 0.831 | 0.102 | 0.064 | 0.831 | 102.3 | 64.2 | 0.651 | 102.3 | 64.0 | 0.640 | 41.4 | 20.2 |
| AB17122018_slice_55 | 0.827 | 0.104 | 0.067 | 0.827 | 104.4 | 66.9 | 0.645 | 104.2 | 66.7 | 0.637 | 42.3 | 20.5 |
| AB17122018_slice_56 | 0.821 | 0.107 | 0.070 | 0.821 | 106.6 | 70.0 | 0.639 | 106.5 | 69.8 | 0.635 | 43.0 | 20.9 |
| AB17122018_slice_57 | 0.823 | 0.104 | 0.069 | 0.823 | 104.3 | 69.0 | 0.643 | 104.2 | 68.9 | 0.636 | 42.9 | 21.0 |
| AB17122018_slice_58 | 0.846 | 0.095 | 0.059 | 0.846 | 95.4 | 59.4 | 0.677 | 95.3 | 59.2 | 0.654 | 38.6 | 18.3 |
| AB17122018_slice_59 | 0.846 | 0.095 | 0.059 | 0.846 | 94.7 | 59.4 | 0.676 | 94.5 | 59.2 | 0.656 | 38.4 | 18.2 |
| AB17122018_slice_60 | 0.839 | 0.098 | 0.064 | 0.839 | 97.9 | 63.8 | 0.663 | 97.7 | 63.6 | 0.648 | 39.4 | 18.9 |
| AB17122018_slice_61 | 0.832 | 0.104 | 0.070 | 0.832 | 103.9 | 70.0 | 0.648 | 103.8 | 69.8 | 0.644 | 40.6 | 19.7 |
| AB17122018_slice_62 | 0.821 | 0.112 | 0.077 | 0.821 | 111.8 | 76.6 | 0.635 | 111.7 | 76.4 | 0.646 | 42.3 | 20.7 |
| AB17122018_slice_63 | 0.816 | 0.117 | 0.081 | 0.816 | 116.7 | 80.7 | 0.624 | 116.6 | 80.6 | 0.645 | 43.5 | 21.3 |
| AB17122018_slice_64 | 0.827 | 0.106 | 0.072 | 0.827 | 106.4 | 71.8 | 0.646 | 106.2 | 71.6 | 0.655 | 42.3 | 20.1 |
| AB17122018_slice_65 | 0.827 | 0.108 | 0.072 | 0.827 | 107.7 | 72.0 | 0.646 | 107.6 | 71.9 | 0.660 | 42.0 | 19.6 |
| AB17122018_slice_66 | 0.836 | 0.103 | 0.067 | 0.836 | 103.1 | 67.3 | 0.661 | 102.9 | 67.1 | 0.673 | 39.9 | 18.5 |
| AB17122018_slice_67 | 0.816 | 0.118 | 0.081 | 0.816 | 117.9 | 80.6 | 0.631 | 117.8 | 80.5 | 0.667 | 42.8 | 20.5 |
| AB17122018_slice_68 | 0.821 | 0.125 | 0.085 | 0.821 | 124.9 | 85.1 | 0.629 | 124.8 | 84.9 | 0.669 | 41.8 | 19.8 |
| AB17122018_slice_69 | 0.806 | 0.133 | 0.091 | 0.806 | 132.8 | 91.4 | 0.610 | 132.6 | 91.2 | 0.663 | 43.4 | 21.0 |
| AB17122018_slice_70 | 0.782 | 0.143 | 0.100 | 0.782 | 142.7 | 99.8 | 0.582 | 142.6 | 99.6 | 0.653 | 46.6 | 23.0 |
| AB17122018_slice_71 | 0.761 | 0.153 | 0.108 | 0.761 | 152.6 | 107.6 | 0.558 | 152.5 | 107.5 | 0.651 | 48.4 | 24.5 |
| AB17122018_slice_72 | 0.746 | 0.161 | 0.115 | 0.746 | 160.8 | 114.8 | 0.547 | 160.7 | 114.7 | 0.650 | 51.5 | 26.3 |
| AB17122018_slice_73 | 0.737 | 0.167 | 0.120 | 0.737 | 166.6 | 119.7 | 0.540 | 166.5 | 119.6 | 0.647 | 53.0 | 27.2 |
| AB17122018_slice_74 | 0.740 | 0.162 | 0.117 | 0.740 | 162.5 | 116.7 | 0.545 | 162.4 | 116.6 | 0.649 | 53.0 | 27.1 |
| AB17122018_slice_75 | 0.772 | 0.146 | 0.104 | 0.772 | 146.1 | 103.8 | 0.572 | 146.0 | 103.7 | 0.655 | 48.8 | 24.3 |
| AB17122018_slice_76 | 0.805 | 0.128 | 0.090 | 0.805 | 128.0 | 90.3 | 0.607 | 127.9 | 90.2 | 0.665 | 44.2 | 21.4 |
| AB17122018_slice_77 | 0.788 | 0.124 | 0.089 | 0.788 | 123.5 | 88.6 | 0.599 | 123.4 | 88.5 | 0.657 | 48.5 | 23.6 |
| AB17122018_slice_78 | 0.760 | 0.130 | 0.095 | 0.760 | 130.4 | 95.0 | 0.578 | 130.3 | 94.9 | 0.642 | 52.9 | 26.2 |
| AB17122018_slice_79 | 0.718 | 0.147 | 0.108 | 0.718 | 146.9 | 107.9 | 0.539 | 146.9 | 107.8 | 0.616 | 58.9 | 30.8 |
| AB17122018_slice_80 | 0.722 | 0.138 | 0.101 | 0.722 | 137.7 | 101.0 | 0.544 | 137.7 | 100.9 | 0.608 | 58.5 | 30.8 |
| AB17122018_slice_81 | 0.645 | 0.173 | 0.129 | 0.645 | 173.1 | 128.8 | 0.474 | 173.1 | 128.8 | 0.586 | 68.0 | 38.0 |
| AB17122018_slice_82 | 0.604 | 0.185 | 0.140 | 0.604 | 185.0 | 140.2 | 0.451 | 185.0 | 140.2 | 0.577 | 74.4 | 42.3 |
| AB17122018_slice_83 | 0.590 | 0.186 | 0.142 | 0.590 | 185.8 | 141.5 | 0.439 | 185.8 | 141.5 | 0.570 | 75.4 | 43.4 |
| AB17122018_slice_84 | 0.572 | 0.186 | 0.143 | 0.572 | 186.0 | 142.9 | 0.426 | 185.9 | 142.9 | 0.560 | 78.1 | 45.5 |
| AB17122018_slice_85 | 0.558 | 0.189 | 0.146 | 0.558 | 189.5 | 146.3 | 0.412 | 189.4 | 146.3 | 0.553 | 79.8 | 47.0 |
| AB17122018_slice_86 | 0.550 | 0.187 | 0.145 | 0.550 | 187.4 | 145.4 | 0.410 | 187.4 | 145.4 | 0.549 | 81.5 | 48.2 |
| AB17122018_slice_87 | 0.558 | 0.184 | 0.142 | 0.558 | 184.1 | 142.2 | 0.413 | 184.1 | 142.2 | 0.543 | 79.7 | 47.4 |
| AB17122018_slice_88 | 0.552 | 0.184 | 0.143 | 0.552 | 184.2 | 142.6 | 0.408 | 184.2 | 142.6 | 0.541 | 80.9 | 48.2 |
| AB17122018_slice_89 | 0.583 | 0.174 | 0.133 | 0.583 | 174.3 | 133.1 | 0.428 | 174.2 | 133.1 | 0.544 | 76.3 | 45.1 |
| AB17122018_slice_90 | 0.585 | 0.174 | 0.133 | 0.585 | 173.6 | 132.7 | 0.430 | 173.6 | 132.7 | 0.545 | 76.1 | 45.2 |
| AB17122018_slice_91 | 0.572 | 0.179 | 0.138 | 0.572 | 179.0 | 137.6 | 0.421 | 179.0 | 137.6 | 0.545 | 78.4 | 46.7 |
| AB17122018_slice_92 | 0.569 | 0.184 | 0.142 | 0.569 | 184.3 | 142.1 | 0.420 | 184.3 | 142.0 | 0.543 | 79.4 | 47.2 |
| AB17122018_slice_93 | 0.590 | 0.177 | 0.135 | 0.590 | 176.6 | 134.7 | 0.434 | 176.6 | 134.7 | 0.546 | 75.9 | 44.9 |
| AB17122018_slice_94 | 0.602 | 0.168 | 0.128 | 0.602 | 168.1 | 127.8 | 0.441 | 168.1 | 127.8 | 0.549 | 74.2 | 43.6 |
| AB17122018_slice_95 | 0.610 | 0.168 | 0.127 | 0.610 | 168.3 | 127.4 | 0.445 | 168.2 | 127.3 | 0.548 | 72.7 | 42.6 |
| AB17122018_slice_96 | 0.601 | 0.178 | 0.135 | 0.601 | 177.6 | 135.1 | 0.437 | 177.5 | 135.0 | 0.546 | 73.2 | 43.0 |
| AB17122018_slice_97 | 0.584 | 0.182 | 0.139 | 0.584 | 182.4 | 139.5 | 0.425 | 182.4 | 139.4 | 0.544 | 75.7 | 44.6 |
| AB17122018_slice_98 | 0.611 | 0.175 | 0.132 | 0.611 | 174.6 | 132.0 | 0.443 | 174.6 | 131.9 | 0.546 | 72.0 | 41.9 |
| AB17122018_slice_99 | 0.624 | 0.170 | 0.127 | 0.624 | 169.7 | 127.1 | 0.453 | 169.7 | 127.0 | 0.556 | 70.5 | 40.5 |
| AB17122018_slice_100 | 0.632 | 0.169 | 0.125 | 0.632 | 168.6 | 125.0 | 0.457 | 168.5 | 124.9 | 0.560 | 69.3 | 39.6 |
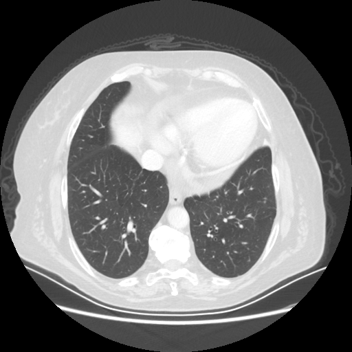
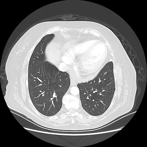
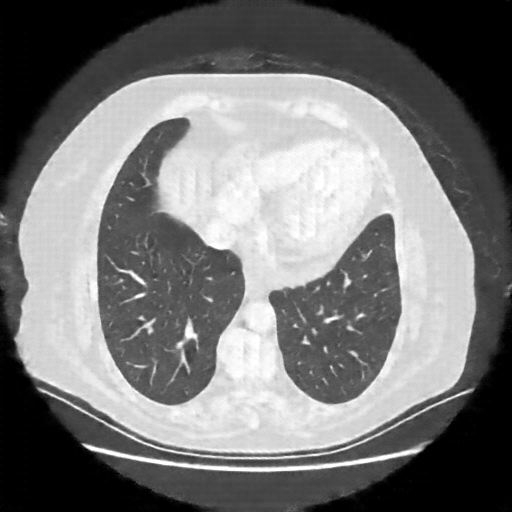
4Γ3 grid: Rows show different image types (Original NATIVE, Reconstructed NATIVE, Original VENOUS, Generated VENOUS), Columns show windowing techniques (No Window, Lung Window, Mediastinum Window)