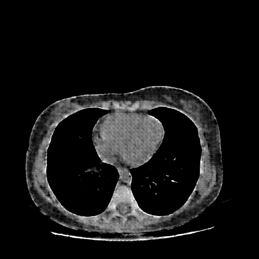
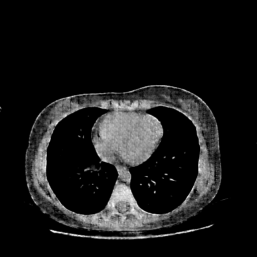
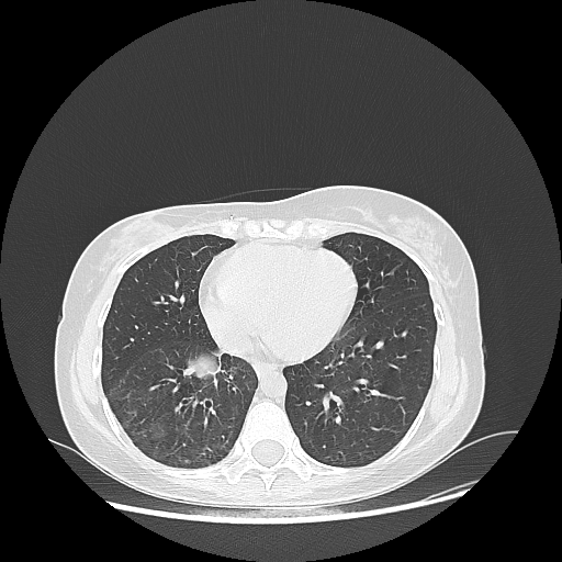
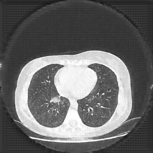
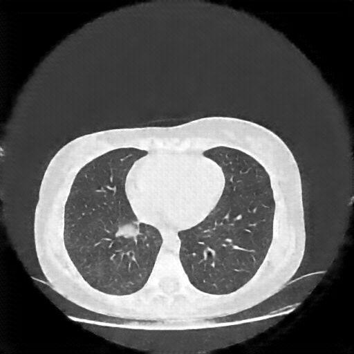
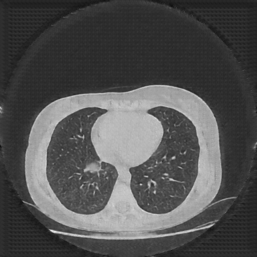
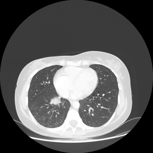
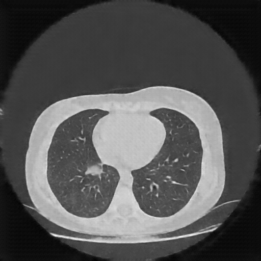
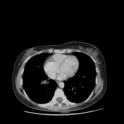
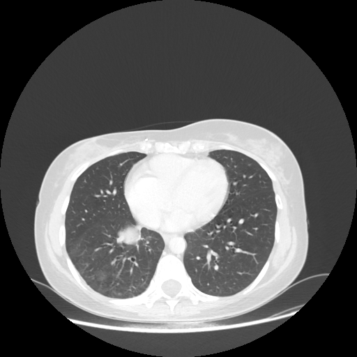
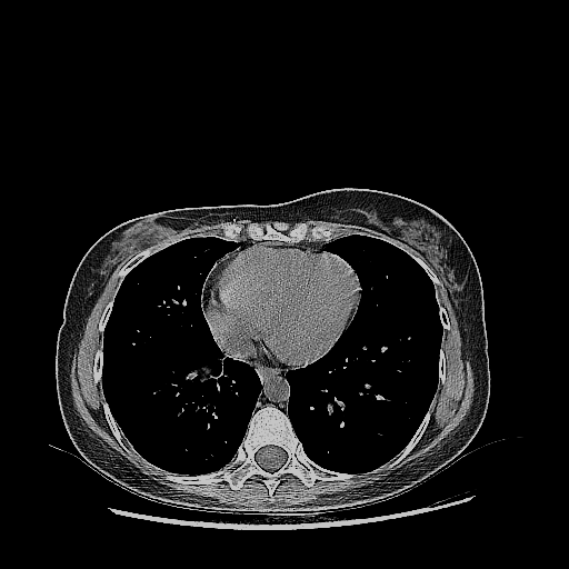
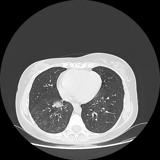
Slice 70 Targeting Evaluation
Patient ID: BMG07082017
Model: cytran
Slice: Slice_70
Slice Thickness: 2.5mm
Conversion: NATIVE β VENOUS
Contains all 4 metric datasets: Network-Normalized, Hounsfield Units, Lung Window, and Mediastinum Window
| Slice ID | SSIM | RMSE | MAE | HU SSIM | HU RMSE | HU MAE | Lung SSIM | Lung RMSE | Lung MAE | Mediastinum SSIM | Mediastinum RMSE | Mediastinum MAE |
|---|---|---|---|---|---|---|---|---|---|---|---|---|
| BMG07082017_slice_0 | 0.801 | 0.170 | 0.110 | 0.801 | 169.9 | 110.1 | 0.582 | 169.6 | 109.7 | 0.689 | 46.0 | 20.0 |
| BMG07082017_slice_1 | 0.811 | 0.160 | 0.104 | 0.811 | 159.8 | 103.6 | 0.599 | 159.4 | 103.2 | 0.693 | 45.2 | 19.4 |
| BMG07082017_slice_2 | 0.810 | 0.162 | 0.105 | 0.810 | 162.4 | 105.2 | 0.596 | 162.0 | 104.8 | 0.691 | 45.7 | 19.5 |
| BMG07082017_slice_3 | 0.824 | 0.148 | 0.096 | 0.824 | 147.7 | 95.9 | 0.616 | 147.3 | 95.5 | 0.695 | 43.8 | 18.4 |
| BMG07082017_slice_4 | 0.829 | 0.147 | 0.095 | 0.829 | 147.3 | 94.8 | 0.621 | 147.0 | 94.4 | 0.699 | 42.6 | 17.8 |
| BMG07082017_slice_5 | 0.811 | 0.156 | 0.101 | 0.811 | 156.4 | 101.2 | 0.600 | 156.1 | 100.8 | 0.694 | 45.2 | 19.0 |
| BMG07082017_slice_6 | 0.803 | 0.163 | 0.106 | 0.803 | 163.3 | 105.9 | 0.587 | 163.0 | 105.5 | 0.694 | 45.3 | 19.1 |
| BMG07082017_slice_7 | 0.793 | 0.170 | 0.110 | 0.793 | 169.7 | 109.7 | 0.576 | 169.4 | 109.3 | 0.693 | 45.8 | 19.4 |
| BMG07082017_slice_8 | 0.784 | 0.175 | 0.113 | 0.784 | 174.8 | 112.7 | 0.567 | 174.6 | 112.4 | 0.694 | 46.6 | 19.7 |
| BMG07082017_slice_9 | 0.780 | 0.180 | 0.116 | 0.780 | 179.8 | 115.6 | 0.559 | 179.6 | 115.2 | 0.694 | 47.0 | 19.9 |
| BMG07082017_slice_10 | 0.783 | 0.174 | 0.112 | 0.783 | 173.7 | 112.0 | 0.565 | 173.4 | 111.6 | 0.699 | 47.0 | 19.6 |
| BMG07082017_slice_11 | 0.790 | 0.170 | 0.110 | 0.790 | 170.5 | 110.0 | 0.572 | 170.1 | 109.6 | 0.704 | 46.8 | 19.2 |
| BMG07082017_slice_12 | 0.788 | 0.174 | 0.111 | 0.788 | 173.8 | 111.1 | 0.567 | 173.5 | 110.6 | 0.704 | 46.9 | 19.2 |
| BMG07082017_slice_13 | 0.799 | 0.172 | 0.109 | 0.799 | 171.7 | 109.5 | 0.578 | 171.4 | 109.0 | 0.710 | 45.5 | 18.3 |
| BMG07082017_slice_14 | 0.806 | 0.170 | 0.108 | 0.806 | 169.6 | 107.6 | 0.584 | 169.3 | 107.2 | 0.716 | 44.8 | 17.6 |
| BMG07082017_slice_15 | 0.814 | 0.167 | 0.106 | 0.814 | 167.3 | 106.3 | 0.593 | 167.0 | 105.9 | 0.721 | 44.3 | 17.0 |
| BMG07082017_slice_16 | 0.812 | 0.168 | 0.107 | 0.812 | 167.6 | 106.8 | 0.593 | 167.3 | 106.4 | 0.723 | 44.8 | 17.0 |
| BMG07082017_slice_17 | 0.817 | 0.168 | 0.107 | 0.817 | 168.0 | 107.1 | 0.598 | 167.6 | 106.7 | 0.731 | 44.1 | 16.6 |
| BMG07082017_slice_18 | 0.813 | 0.176 | 0.112 | 0.813 | 175.7 | 112.1 | 0.585 | 175.3 | 111.6 | 0.732 | 43.7 | 16.4 |
| BMG07082017_slice_19 | 0.820 | 0.170 | 0.108 | 0.820 | 169.6 | 108.3 | 0.596 | 169.2 | 107.8 | 0.737 | 42.5 | 15.7 |
| BMG07082017_slice_20 | 0.821 | 0.170 | 0.107 | 0.821 | 170.0 | 107.2 | 0.600 | 169.7 | 106.7 | 0.742 | 42.5 | 15.5 |
| BMG07082017_slice_21 | 0.827 | 0.162 | 0.102 | 0.827 | 162.0 | 102.1 | 0.613 | 161.7 | 101.7 | 0.747 | 41.4 | 14.9 |
| BMG07082017_slice_22 | 0.823 | 0.176 | 0.111 | 0.823 | 176.0 | 111.1 | 0.598 | 175.7 | 110.6 | 0.746 | 41.1 | 14.7 |
| BMG07082017_slice_23 | 0.829 | 0.171 | 0.109 | 0.829 | 171.4 | 108.5 | 0.613 | 171.0 | 108.1 | 0.753 | 39.9 | 14.1 |
| BMG07082017_slice_24 | 0.826 | 0.174 | 0.110 | 0.826 | 173.9 | 110.5 | 0.606 | 173.5 | 110.0 | 0.753 | 40.0 | 14.0 |
| BMG07082017_slice_25 | 0.821 | 0.179 | 0.113 | 0.821 | 178.6 | 113.1 | 0.591 | 178.2 | 112.6 | 0.756 | 40.0 | 14.0 |
| BMG07082017_slice_26 | 0.811 | 0.188 | 0.119 | 0.811 | 188.0 | 118.6 | 0.575 | 187.6 | 118.2 | 0.751 | 41.7 | 14.6 |
| BMG07082017_slice_27 | 0.814 | 0.186 | 0.117 | 0.814 | 185.8 | 117.3 | 0.580 | 185.4 | 116.8 | 0.756 | 41.3 | 14.2 |
| BMG07082017_slice_28 | 0.817 | 0.185 | 0.117 | 0.817 | 185.1 | 116.8 | 0.584 | 184.8 | 116.3 | 0.760 | 41.1 | 14.1 |
| BMG07082017_slice_29 | 0.819 | 0.180 | 0.114 | 0.819 | 180.4 | 114.2 | 0.591 | 180.1 | 113.8 | 0.760 | 41.0 | 14.0 |
| BMG07082017_slice_30 | 0.818 | 0.180 | 0.114 | 0.818 | 179.9 | 114.1 | 0.588 | 179.5 | 113.6 | 0.763 | 41.0 | 13.9 |
| BMG07082017_slice_31 | 0.815 | 0.186 | 0.118 | 0.815 | 186.5 | 118.0 | 0.580 | 186.1 | 117.6 | 0.763 | 41.0 | 14.0 |
| BMG07082017_slice_32 | 0.816 | 0.185 | 0.117 | 0.816 | 185.0 | 117.4 | 0.580 | 184.6 | 117.0 | 0.762 | 40.6 | 13.8 |
| BMG07082017_slice_33 | 0.818 | 0.184 | 0.117 | 0.818 | 183.6 | 116.7 | 0.583 | 183.2 | 116.3 | 0.766 | 40.2 | 13.6 |
| BMG07082017_slice_34 | 0.820 | 0.183 | 0.117 | 0.820 | 182.9 | 116.6 | 0.583 | 182.5 | 116.2 | 0.768 | 40.5 | 13.6 |
| BMG07082017_slice_35 | 0.818 | 0.183 | 0.117 | 0.818 | 183.4 | 116.8 | 0.581 | 183.1 | 116.4 | 0.771 | 40.2 | 13.5 |
| BMG07082017_slice_36 | 0.813 | 0.186 | 0.118 | 0.813 | 186.2 | 118.5 | 0.574 | 185.8 | 118.0 | 0.770 | 40.9 | 13.8 |
| BMG07082017_slice_37 | 0.812 | 0.186 | 0.118 | 0.812 | 185.6 | 118.5 | 0.570 | 185.3 | 118.0 | 0.768 | 41.2 | 14.0 |
| BMG07082017_slice_38 | 0.811 | 0.182 | 0.117 | 0.811 | 181.7 | 116.6 | 0.575 | 181.3 | 116.2 | 0.769 | 41.1 | 14.0 |
| BMG07082017_slice_39 | 0.806 | 0.188 | 0.120 | 0.806 | 187.8 | 120.1 | 0.570 | 187.4 | 119.7 | 0.765 | 41.4 | 14.2 |
| BMG07082017_slice_40 | 0.805 | 0.189 | 0.120 | 0.805 | 188.7 | 120.5 | 0.570 | 188.5 | 120.1 | 0.764 | 40.8 | 14.0 |
| BMG07082017_slice_41 | 0.807 | 0.185 | 0.118 | 0.807 | 185.3 | 118.4 | 0.570 | 185.1 | 118.0 | 0.764 | 40.8 | 14.0 |
| BMG07082017_slice_42 | 0.801 | 0.190 | 0.121 | 0.801 | 189.7 | 120.9 | 0.562 | 189.4 | 120.5 | 0.760 | 41.9 | 14.4 |
| BMG07082017_slice_43 | 0.804 | 0.188 | 0.120 | 0.804 | 188.2 | 120.2 | 0.563 | 187.9 | 119.8 | 0.764 | 41.6 | 14.3 |
| BMG07082017_slice_44 | 0.810 | 0.179 | 0.115 | 0.810 | 179.1 | 114.8 | 0.580 | 178.7 | 114.4 | 0.766 | 43.8 | 14.7 |
| BMG07082017_slice_45 | 0.809 | 0.188 | 0.119 | 0.809 | 187.9 | 119.0 | 0.576 | 187.5 | 118.6 | 0.768 | 41.6 | 14.2 |
| BMG07082017_slice_46 | 0.811 | 0.182 | 0.116 | 0.811 | 182.0 | 116.3 | 0.577 | 181.7 | 115.9 | 0.770 | 41.7 | 14.1 |
| BMG07082017_slice_47 | 0.811 | 0.175 | 0.112 | 0.811 | 174.7 | 111.8 | 0.587 | 174.3 | 111.4 | 0.764 | 42.2 | 14.2 |
| BMG07082017_slice_48 | 0.808 | 0.179 | 0.114 | 0.808 | 179.4 | 114.3 | 0.575 | 178.9 | 113.9 | 0.767 | 41.9 | 14.0 |
| BMG07082017_slice_49 | 0.809 | 0.185 | 0.118 | 0.809 | 185.0 | 118.2 | 0.569 | 184.7 | 117.7 | 0.769 | 42.8 | 14.5 |
| BMG07082017_slice_50 | 0.810 | 0.183 | 0.117 | 0.810 | 183.0 | 117.1 | 0.571 | 182.6 | 116.6 | 0.767 | 42.9 | 14.7 |
| BMG07082017_slice_51 | 0.807 | 0.178 | 0.115 | 0.807 | 178.0 | 115.1 | 0.572 | 177.5 | 114.5 | 0.761 | 43.5 | 15.2 |
| BMG07082017_slice_52 | 0.805 | 0.186 | 0.119 | 0.805 | 186.2 | 119.5 | 0.562 | 185.7 | 119.0 | 0.770 | 41.4 | 14.0 |
| BMG07082017_slice_53 | 0.808 | 0.181 | 0.116 | 0.808 | 181.1 | 115.9 | 0.572 | 180.7 | 115.4 | 0.768 | 41.5 | 14.1 |
| BMG07082017_slice_54 | 0.812 | 0.176 | 0.112 | 0.812 | 176.0 | 112.5 | 0.581 | 175.5 | 111.9 | 0.768 | 41.2 | 14.0 |
| BMG07082017_slice_55 | 0.807 | 0.175 | 0.112 | 0.807 | 174.8 | 112.1 | 0.576 | 174.4 | 111.6 | 0.768 | 41.1 | 14.1 |
| BMG07082017_slice_56 | 0.806 | 0.178 | 0.114 | 0.806 | 178.3 | 114.1 | 0.572 | 177.8 | 113.5 | 0.767 | 41.4 | 14.2 |
| BMG07082017_slice_57 | 0.805 | 0.182 | 0.116 | 0.805 | 182.2 | 115.9 | 0.571 | 181.6 | 115.4 | 0.763 | 43.1 | 14.8 |
| BMG07082017_slice_58 | 0.798 | 0.188 | 0.118 | 0.798 | 187.8 | 118.4 | 0.559 | 187.2 | 117.9 | 0.760 | 44.4 | 15.3 |
| BMG07082017_slice_59 | 0.796 | 0.190 | 0.120 | 0.796 | 189.6 | 120.1 | 0.556 | 189.0 | 119.6 | 0.760 | 43.9 | 15.1 |
| BMG07082017_slice_60 | 0.791 | 0.193 | 0.123 | 0.791 | 193.2 | 122.7 | 0.547 | 192.6 | 122.2 | 0.760 | 44.1 | 15.3 |
| BMG07082017_slice_61 | 0.794 | 0.189 | 0.121 | 0.794 | 189.3 | 120.7 | 0.552 | 188.8 | 120.2 | 0.758 | 44.2 | 15.5 |
| BMG07082017_slice_62 | 0.799 | 0.181 | 0.117 | 0.799 | 181.3 | 116.6 | 0.563 | 180.7 | 116.1 | 0.762 | 43.1 | 15.1 |
| BMG07082017_slice_63 | 0.801 | 0.183 | 0.117 | 0.801 | 182.6 | 117.4 | 0.562 | 182.1 | 117.0 | 0.762 | 42.5 | 14.9 |
| BMG07082017_slice_64 | 0.804 | 0.182 | 0.117 | 0.804 | 182.4 | 116.8 | 0.566 | 181.9 | 116.4 | 0.764 | 41.5 | 14.4 |
| BMG07082017_slice_65 | 0.809 | 0.180 | 0.115 | 0.809 | 180.3 | 115.2 | 0.574 | 179.8 | 114.8 | 0.766 | 41.2 | 14.2 |
| BMG07082017_slice_66 | 0.814 | 0.178 | 0.114 | 0.814 | 178.4 | 113.7 | 0.579 | 178.0 | 113.2 | 0.768 | 40.8 | 13.9 |
| BMG07082017_slice_67 | 0.813 | 0.181 | 0.115 | 0.813 | 181.1 | 115.0 | 0.574 | 180.7 | 114.5 | 0.768 | 40.8 | 13.9 |
| BMG07082017_slice_68 | 0.818 | 0.175 | 0.112 | 0.818 | 175.2 | 111.9 | 0.586 | 174.7 | 111.3 | 0.773 | 40.3 | 13.6 |
| BMG07082017_slice_69 | 0.817 | 0.174 | 0.111 | 0.817 | 174.3 | 111.2 | 0.585 | 173.7 | 110.7 | 0.772 | 40.1 | 13.5 |
| BMG07082017_slice_70 | 0.817 | 0.175 | 0.112 | 0.817 | 175.4 | 111.8 | 0.584 | 174.9 | 111.2 | 0.771 | 40.0 | 13.7 |
| BMG07082017_slice_71 | 0.817 | 0.175 | 0.112 | 0.817 | 175.3 | 111.9 | 0.582 | 174.9 | 111.4 | 0.771 | 39.8 | 13.7 |
| BMG07082017_slice_72 | 0.820 | 0.173 | 0.111 | 0.820 | 173.0 | 110.7 | 0.590 | 172.5 | 110.2 | 0.772 | 39.5 | 13.5 |
| BMG07082017_slice_73 | 0.821 | 0.171 | 0.110 | 0.821 | 170.7 | 109.6 | 0.593 | 170.3 | 109.1 | 0.775 | 39.5 | 13.5 |
| BMG07082017_slice_74 | 0.825 | 0.164 | 0.107 | 0.825 | 164.4 | 106.6 | 0.602 | 163.9 | 106.0 | 0.778 | 39.4 | 13.5 |
| BMG07082017_slice_75 | 0.825 | 0.161 | 0.104 | 0.825 | 161.2 | 104.3 | 0.608 | 160.7 | 103.7 | 0.781 | 39.6 | 13.4 |
| BMG07082017_slice_76 | 0.828 | 0.152 | 0.098 | 0.828 | 152.1 | 97.9 | 0.623 | 151.6 | 97.3 | 0.786 | 39.4 | 13.3 |
| BMG07082017_slice_77 | 0.817 | 0.159 | 0.101 | 0.817 | 158.7 | 100.8 | 0.615 | 158.2 | 100.2 | 0.777 | 42.6 | 14.7 |
| BMG07082017_slice_78 | 0.812 | 0.165 | 0.107 | 0.812 | 165.3 | 107.1 | 0.602 | 164.7 | 106.4 | 0.774 | 44.3 | 15.4 |
| BMG07082017_slice_79 | 0.820 | 0.163 | 0.105 | 0.820 | 162.7 | 105.1 | 0.612 | 162.1 | 104.3 | 0.779 | 42.4 | 14.4 |
| BMG07082017_slice_80 | 0.825 | 0.159 | 0.102 | 0.825 | 159.1 | 102.0 | 0.623 | 158.6 | 101.4 | 0.775 | 41.7 | 14.2 |
| BMG07082017_slice_81 | 0.833 | 0.151 | 0.091 | 0.833 | 150.6 | 91.3 | 0.645 | 150.3 | 90.8 | 0.767 | 42.3 | 14.4 |
| BMG07082017_slice_82 | 0.815 | 0.179 | 0.114 | 0.815 | 179.3 | 114.1 | 0.595 | 178.9 | 113.6 | 0.747 | 45.5 | 16.1 |
| BMG07082017_slice_83 | 0.812 | 0.182 | 0.116 | 0.812 | 181.9 | 115.7 | 0.588 | 181.5 | 115.2 | 0.736 | 46.1 | 16.8 |
| BMG07082017_slice_84 | 0.803 | 0.187 | 0.118 | 0.803 | 186.9 | 118.4 | 0.577 | 186.6 | 118.0 | 0.725 | 47.1 | 17.7 |
| BMG07082017_slice_85 | 0.793 | 0.194 | 0.123 | 0.793 | 193.6 | 123.4 | 0.563 | 193.3 | 123.0 | 0.716 | 48.6 | 18.9 |
| BMG07082017_slice_86 | 0.797 | 0.181 | 0.116 | 0.797 | 181.1 | 115.8 | 0.573 | 180.8 | 115.4 | 0.710 | 48.3 | 19.1 |
| BMG07082017_slice_87 | 0.779 | 0.182 | 0.118 | 0.779 | 182.5 | 118.0 | 0.553 | 182.3 | 117.7 | 0.698 | 50.6 | 20.9 |
| BMG07082017_slice_88 | 0.757 | 0.187 | 0.122 | 0.757 | 186.9 | 121.7 | 0.533 | 186.7 | 121.4 | 0.689 | 52.5 | 22.6 |
| BMG07082017_slice_89 | 0.746 | 0.184 | 0.121 | 0.746 | 184.5 | 120.6 | 0.525 | 184.3 | 120.3 | 0.685 | 53.7 | 23.6 |
| BMG07082017_slice_90 | 0.714 | 0.193 | 0.127 | 0.714 | 193.0 | 126.8 | 0.497 | 192.8 | 126.6 | 0.677 | 57.3 | 26.0 |
| BMG07082017_slice_91 | 0.710 | 0.192 | 0.127 | 0.710 | 192.3 | 126.7 | 0.493 | 192.1 | 126.5 | 0.672 | 58.3 | 26.7 |
| BMG07082017_slice_92 | 0.698 | 0.195 | 0.130 | 0.698 | 195.5 | 129.5 | 0.486 | 195.3 | 129.3 | 0.671 | 59.9 | 27.7 |
| BMG07082017_slice_93 | 0.703 | 0.192 | 0.127 | 0.703 | 192.4 | 127.4 | 0.491 | 192.1 | 127.1 | 0.671 | 59.7 | 27.6 |
| BMG07082017_slice_94 | 0.704 | 0.194 | 0.129 | 0.704 | 193.8 | 129.0 | 0.490 | 193.5 | 128.7 | 0.670 | 59.0 | 27.3 |
| BMG07082017_slice_95 | 0.703 | 0.191 | 0.127 | 0.703 | 191.0 | 127.2 | 0.488 | 190.7 | 126.9 | 0.669 | 59.0 | 27.4 |
| BMG07082017_slice_96 | 0.705 | 0.191 | 0.127 | 0.705 | 191.1 | 127.3 | 0.489 | 190.6 | 126.9 | 0.671 | 59.3 | 27.2 |
| BMG07082017_slice_97 | 0.726 | 0.188 | 0.126 | 0.726 | 188.5 | 125.7 | 0.502 | 188.0 | 125.3 | 0.675 | 57.0 | 25.7 |
| BMG07082017_slice_98 | 0.775 | 0.168 | 0.109 | 0.775 | 168.1 | 109.3 | 0.543 | 167.4 | 108.8 | 0.683 | 51.0 | 22.2 |
| BMG07082017_slice_99 | 0.767 | 0.177 | 0.115 | 0.767 | 176.8 | 114.8 | 0.537 | 176.0 | 114.3 | 0.681 | 51.5 | 22.6 |
| BMG07082017_slice_100 | 0.750 | 0.184 | 0.121 | 0.750 | 184.4 | 121.0 | 0.519 | 183.5 | 120.6 | 0.679 | 53.3 | 23.5 |
| BMG07082017_slice_101 | 0.747 | 0.183 | 0.120 | 0.747 | 183.4 | 120.0 | 0.518 | 182.6 | 119.6 | 0.679 | 53.9 | 23.9 |
| BMG07082017_slice_102 | 0.744 | 0.188 | 0.124 | 0.744 | 187.7 | 123.8 | 0.514 | 187.0 | 123.4 | 0.679 | 54.3 | 24.1 |
4Γ3 grid: Rows show different image types (Original NATIVE, Reconstructed NATIVE, Original VENOUS, Generated VENOUS), Columns show windowing techniques (No Window, Lung Window, Mediastinum Window)