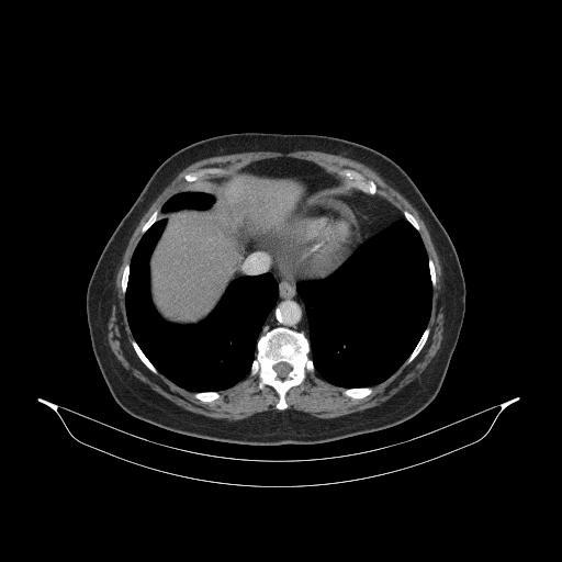
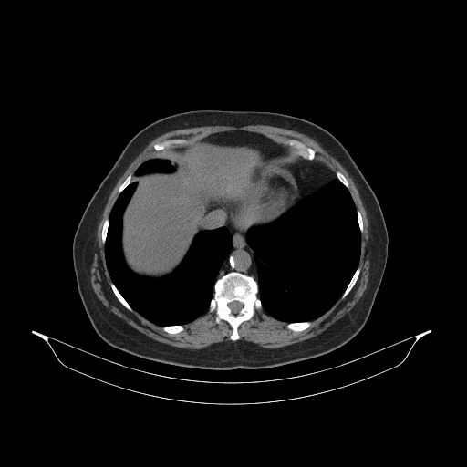
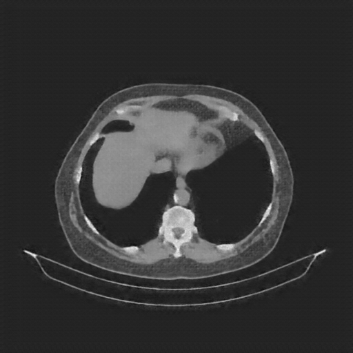
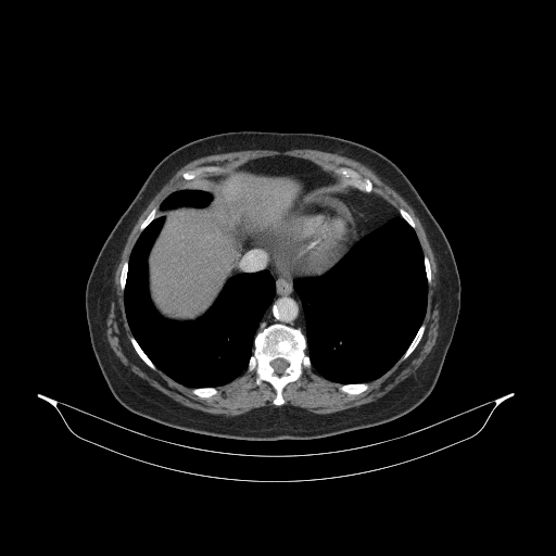
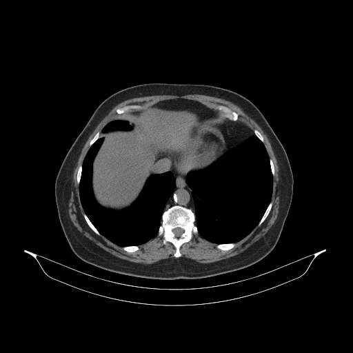
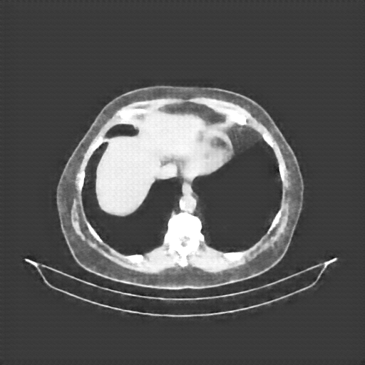
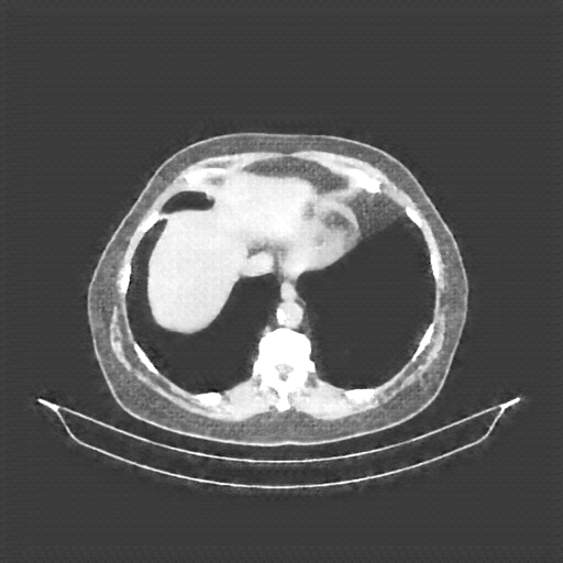
Slice 70 Targeting Evaluation
Patient ID: EM31082020
Model: cytran
Slice: Slice_70
Slice Thickness: 3.0mm
Conversion: NATIVE β VENOUS
Contains all 4 metric datasets: Network-Normalized, Hounsfield Units, Lung Window, and Mediastinum Window
| Slice ID | SSIM | RMSE | MAE | HU SSIM | HU RMSE | HU MAE | Lung SSIM | Lung RMSE | Lung MAE | Mediastinum SSIM | Mediastinum RMSE | Mediastinum MAE |
|---|---|---|---|---|---|---|---|---|---|---|---|---|
| EM31082020_slice_0 | 0.244 | 0.759 | 0.718 | 0.244 | 758.8 | 718.5 | 0.215 | 758.0 | 713.3 | 0.718 | 59.8 | 26.8 |
| EM31082020_slice_1 | 0.247 | 0.753 | 0.714 | 0.247 | 753.5 | 714.5 | 0.217 | 752.4 | 708.6 | 0.721 | 58.1 | 25.8 |
| EM31082020_slice_2 | 0.246 | 0.754 | 0.715 | 0.246 | 754.0 | 714.9 | 0.217 | 753.1 | 709.2 | 0.723 | 58.1 | 25.6 |
| EM31082020_slice_3 | 0.245 | 0.758 | 0.719 | 0.245 | 758.5 | 718.9 | 0.216 | 757.5 | 713.5 | 0.728 | 57.9 | 25.2 |
| EM31082020_slice_4 | 0.247 | 0.755 | 0.716 | 0.247 | 754.6 | 716.2 | 0.216 | 753.5 | 710.4 | 0.730 | 58.0 | 25.0 |
| EM31082020_slice_5 | 0.247 | 0.753 | 0.716 | 0.247 | 753.4 | 715.9 | 0.216 | 752.3 | 709.9 | 0.732 | 58.2 | 24.9 |
| EM31082020_slice_6 | 0.253 | 0.750 | 0.713 | 0.253 | 750.0 | 712.9 | 0.220 | 748.7 | 706.7 | 0.740 | 56.1 | 23.8 |
| EM31082020_slice_7 | 0.257 | 0.757 | 0.719 | 0.257 | 756.9 | 719.2 | 0.225 | 755.7 | 713.3 | 0.743 | 54.6 | 23.0 |
| EM31082020_slice_8 | 0.258 | 0.761 | 0.724 | 0.258 | 760.8 | 723.5 | 0.225 | 759.7 | 717.7 | 0.746 | 53.7 | 22.5 |
| EM31082020_slice_9 | 0.263 | 0.756 | 0.720 | 0.263 | 756.3 | 719.5 | 0.228 | 755.1 | 713.6 | 0.752 | 51.8 | 21.6 |
| EM31082020_slice_10 | 0.267 | 0.757 | 0.720 | 0.267 | 756.6 | 720.0 | 0.231 | 755.2 | 713.9 | 0.752 | 51.4 | 21.3 |
| EM31082020_slice_11 | 0.273 | 0.756 | 0.719 | 0.273 | 756.0 | 718.9 | 0.236 | 754.7 | 713.0 | 0.758 | 49.5 | 20.3 |
| EM31082020_slice_12 | 0.281 | 0.757 | 0.719 | 0.281 | 757.3 | 718.9 | 0.242 | 756.0 | 713.4 | 0.768 | 46.8 | 19.1 |
| EM31082020_slice_13 | 0.285 | 0.759 | 0.720 | 0.285 | 758.7 | 720.4 | 0.245 | 757.4 | 715.1 | 0.772 | 45.5 | 18.5 |
| EM31082020_slice_14 | 0.288 | 0.756 | 0.719 | 0.288 | 756.0 | 719.0 | 0.247 | 754.7 | 713.5 | 0.775 | 45.5 | 18.5 |
| EM31082020_slice_15 | 0.289 | 0.758 | 0.721 | 0.289 | 757.8 | 720.6 | 0.248 | 756.6 | 715.2 | 0.779 | 45.1 | 18.3 |
| EM31082020_slice_16 | 0.290 | 0.754 | 0.718 | 0.290 | 754.5 | 718.1 | 0.249 | 753.1 | 712.4 | 0.780 | 44.8 | 18.2 |
| EM31082020_slice_17 | 0.291 | 0.757 | 0.720 | 0.291 | 756.8 | 720.0 | 0.251 | 755.4 | 714.4 | 0.783 | 43.9 | 17.9 |
| EM31082020_slice_18 | 0.293 | 0.755 | 0.719 | 0.293 | 755.4 | 718.6 | 0.252 | 754.0 | 713.0 | 0.785 | 43.1 | 17.7 |
| EM31082020_slice_19 | 0.294 | 0.755 | 0.718 | 0.294 | 755.2 | 717.9 | 0.252 | 753.9 | 712.5 | 0.785 | 43.1 | 17.8 |
| EM31082020_slice_20 | 0.294 | 0.757 | 0.720 | 0.294 | 757.4 | 719.6 | 0.251 | 756.1 | 714.4 | 0.786 | 43.4 | 17.9 |
| EM31082020_slice_21 | 0.295 | 0.753 | 0.716 | 0.295 | 753.0 | 715.7 | 0.251 | 751.6 | 710.2 | 0.783 | 44.0 | 18.0 |
| EM31082020_slice_22 | 0.293 | 0.756 | 0.719 | 0.293 | 756.1 | 718.9 | 0.250 | 754.7 | 713.4 | 0.778 | 44.4 | 18.0 |
| EM31082020_slice_23 | 0.294 | 0.751 | 0.715 | 0.294 | 751.3 | 715.1 | 0.250 | 749.8 | 709.3 | 0.778 | 44.7 | 18.1 |
| EM31082020_slice_24 | 0.291 | 0.754 | 0.718 | 0.291 | 753.9 | 717.9 | 0.248 | 752.6 | 712.3 | 0.775 | 44.9 | 18.2 |
| EM31082020_slice_25 | 0.292 | 0.750 | 0.714 | 0.292 | 749.7 | 713.8 | 0.248 | 748.2 | 708.1 | 0.775 | 44.8 | 18.3 |
| EM31082020_slice_26 | 0.292 | 0.752 | 0.715 | 0.292 | 752.3 | 715.3 | 0.249 | 750.9 | 709.8 | 0.782 | 44.1 | 18.2 |
| EM31082020_slice_27 | 0.294 | 0.754 | 0.715 | 0.294 | 753.7 | 714.7 | 0.252 | 752.2 | 709.6 | 0.782 | 43.8 | 18.3 |
| EM31082020_slice_28 | 0.293 | 0.753 | 0.715 | 0.293 | 752.6 | 714.7 | 0.250 | 751.0 | 709.2 | 0.782 | 43.9 | 18.4 |
| EM31082020_slice_29 | 0.293 | 0.750 | 0.713 | 0.293 | 749.6 | 713.1 | 0.248 | 747.9 | 707.2 | 0.781 | 43.6 | 18.2 |
| EM31082020_slice_30 | 0.292 | 0.747 | 0.711 | 0.292 | 747.0 | 710.9 | 0.247 | 745.3 | 705.0 | 0.775 | 44.0 | 18.2 |
| EM31082020_slice_31 | 0.293 | 0.745 | 0.710 | 0.293 | 745.0 | 709.6 | 0.247 | 743.4 | 703.5 | 0.773 | 44.3 | 18.3 |
| EM31082020_slice_32 | 0.291 | 0.749 | 0.713 | 0.291 | 748.6 | 712.5 | 0.246 | 747.0 | 706.6 | 0.772 | 45.0 | 18.5 |
| EM31082020_slice_33 | 0.293 | 0.752 | 0.714 | 0.293 | 752.4 | 713.8 | 0.248 | 750.9 | 708.3 | 0.767 | 45.0 | 18.7 |
| EM31082020_slice_34 | 0.293 | 0.753 | 0.714 | 0.293 | 753.2 | 713.9 | 0.249 | 751.7 | 708.5 | 0.770 | 44.8 | 18.8 |
| EM31082020_slice_35 | 0.294 | 0.754 | 0.714 | 0.294 | 753.7 | 713.5 | 0.250 | 752.3 | 708.3 | 0.772 | 44.4 | 18.6 |
| EM31082020_slice_36 | 0.295 | 0.752 | 0.712 | 0.295 | 751.8 | 711.7 | 0.251 | 750.3 | 706.4 | 0.768 | 44.5 | 18.7 |
| EM31082020_slice_37 | 0.293 | 0.751 | 0.713 | 0.293 | 751.5 | 713.3 | 0.248 | 750.0 | 707.8 | 0.771 | 44.4 | 18.6 |
| EM31082020_slice_38 | 0.291 | 0.750 | 0.713 | 0.291 | 749.8 | 712.6 | 0.247 | 748.2 | 706.8 | 0.765 | 44.5 | 18.7 |
| EM31082020_slice_39 | 0.289 | 0.748 | 0.712 | 0.289 | 748.4 | 711.7 | 0.245 | 746.8 | 705.6 | 0.760 | 45.1 | 19.0 |
| EM31082020_slice_40 | 0.291 | 0.748 | 0.710 | 0.291 | 748.0 | 710.1 | 0.245 | 746.4 | 704.1 | 0.763 | 44.8 | 19.0 |
| EM31082020_slice_41 | 0.292 | 0.747 | 0.708 | 0.292 | 746.9 | 707.8 | 0.246 | 745.2 | 701.9 | 0.761 | 44.8 | 19.1 |
| EM31082020_slice_42 | 0.291 | 0.748 | 0.709 | 0.291 | 748.3 | 709.4 | 0.245 | 746.6 | 703.5 | 0.761 | 45.1 | 19.3 |
| EM31082020_slice_43 | 0.291 | 0.747 | 0.709 | 0.291 | 747.2 | 708.8 | 0.244 | 745.5 | 703.0 | 0.762 | 45.6 | 19.3 |
| EM31082020_slice_44 | 0.291 | 0.748 | 0.710 | 0.291 | 747.9 | 709.8 | 0.244 | 746.3 | 704.2 | 0.758 | 45.4 | 19.3 |
| EM31082020_slice_45 | 0.290 | 0.748 | 0.710 | 0.290 | 747.6 | 709.6 | 0.244 | 746.1 | 704.0 | 0.757 | 45.3 | 19.2 |
| EM31082020_slice_46 | 0.291 | 0.747 | 0.708 | 0.291 | 746.8 | 707.9 | 0.245 | 745.3 | 702.2 | 0.756 | 45.6 | 19.4 |
| EM31082020_slice_47 | 0.291 | 0.746 | 0.708 | 0.291 | 746.2 | 707.9 | 0.246 | 744.6 | 702.1 | 0.752 | 45.6 | 19.5 |
| EM31082020_slice_48 | 0.292 | 0.749 | 0.710 | 0.292 | 749.3 | 710.4 | 0.247 | 747.8 | 704.9 | 0.754 | 45.2 | 19.3 |
| EM31082020_slice_49 | 0.293 | 0.749 | 0.710 | 0.293 | 749.4 | 709.6 | 0.248 | 747.9 | 704.3 | 0.753 | 45.2 | 19.3 |
| EM31082020_slice_50 | 0.295 | 0.753 | 0.712 | 0.295 | 752.7 | 711.9 | 0.249 | 751.4 | 706.8 | 0.750 | 45.0 | 19.1 |
| EM31082020_slice_51 | 0.295 | 0.751 | 0.710 | 0.295 | 750.8 | 710.2 | 0.248 | 749.5 | 705.2 | 0.751 | 44.9 | 19.0 |
| EM31082020_slice_52 | 0.295 | 0.752 | 0.710 | 0.295 | 751.5 | 710.5 | 0.249 | 750.2 | 705.5 | 0.751 | 45.2 | 19.2 |
| EM31082020_slice_53 | 0.296 | 0.751 | 0.710 | 0.296 | 751.5 | 710.5 | 0.251 | 750.2 | 705.5 | 0.750 | 45.7 | 19.3 |
| EM31082020_slice_54 | 0.294 | 0.753 | 0.713 | 0.294 | 753.0 | 712.6 | 0.250 | 751.7 | 707.4 | 0.753 | 45.7 | 19.3 |
| EM31082020_slice_55 | 0.293 | 0.754 | 0.714 | 0.293 | 754.2 | 714.1 | 0.250 | 752.9 | 708.9 | 0.751 | 45.7 | 19.1 |
| EM31082020_slice_56 | 0.295 | 0.755 | 0.715 | 0.295 | 755.5 | 715.2 | 0.251 | 754.2 | 710.2 | 0.753 | 45.3 | 18.8 |
| EM31082020_slice_57 | 0.295 | 0.759 | 0.719 | 0.295 | 758.7 | 718.6 | 0.251 | 757.4 | 713.6 | 0.756 | 44.8 | 18.6 |
| EM31082020_slice_58 | 0.295 | 0.759 | 0.719 | 0.295 | 759.1 | 718.9 | 0.251 | 757.8 | 714.0 | 0.758 | 44.3 | 18.3 |
| EM31082020_slice_59 | 0.294 | 0.760 | 0.720 | 0.294 | 760.3 | 719.7 | 0.251 | 758.9 | 714.8 | 0.760 | 44.6 | 18.2 |
| EM31082020_slice_60 | 0.292 | 0.759 | 0.720 | 0.292 | 759.1 | 720.0 | 0.250 | 757.7 | 714.9 | 0.765 | 44.7 | 18.1 |
| EM31082020_slice_61 | 0.294 | 0.759 | 0.720 | 0.294 | 758.7 | 719.8 | 0.252 | 757.3 | 714.7 | 0.770 | 44.4 | 17.8 |
| EM31082020_slice_62 | 0.293 | 0.763 | 0.725 | 0.293 | 763.1 | 725.1 | 0.252 | 761.7 | 719.8 | 0.777 | 44.0 | 17.5 |
| EM31082020_slice_63 | 0.292 | 0.767 | 0.730 | 0.292 | 766.9 | 729.9 | 0.253 | 765.5 | 724.5 | 0.785 | 44.0 | 17.3 |
| EM31082020_slice_64 | 0.291 | 0.765 | 0.729 | 0.291 | 764.5 | 728.5 | 0.252 | 763.0 | 723.0 | 0.790 | 44.0 | 17.1 |
| EM31082020_slice_65 | 0.289 | 0.770 | 0.735 | 0.289 | 770.4 | 734.7 | 0.252 | 768.9 | 729.2 | 0.799 | 44.1 | 17.0 |
| EM31082020_slice_66 | 0.289 | 0.768 | 0.731 | 0.289 | 768.2 | 731.5 | 0.252 | 766.6 | 726.0 | 0.805 | 44.1 | 16.7 |
| EM31082020_slice_67 | 0.288 | 0.772 | 0.734 | 0.288 | 771.5 | 733.7 | 0.251 | 770.1 | 728.8 | 0.801 | 44.6 | 16.8 |
| EM31082020_slice_68 | 0.292 | 0.765 | 0.725 | 0.292 | 765.0 | 724.9 | 0.252 | 763.5 | 720.1 | 0.801 | 44.2 | 16.6 |
| EM31082020_slice_69 | 0.296 | 0.761 | 0.719 | 0.296 | 761.1 | 719.3 | 0.254 | 759.7 | 714.5 | 0.797 | 43.3 | 16.1 |
| EM31082020_slice_70 | 0.301 | 0.756 | 0.713 | 0.301 | 756.2 | 713.3 | 0.260 | 754.7 | 708.4 | 0.792 | 44.2 | 16.6 |
| EM31082020_slice_71 | 0.309 | 0.753 | 0.706 | 0.309 | 752.6 | 706.0 | 0.263 | 751.2 | 701.2 | 0.785 | 43.1 | 16.4 |
| EM31082020_slice_72 | 0.313 | 0.741 | 0.691 | 0.313 | 741.1 | 690.7 | 0.262 | 739.8 | 686.2 | 0.772 | 44.4 | 16.9 |
| EM31082020_slice_73 | 0.290 | 0.740 | 0.686 | 0.290 | 739.6 | 686.2 | 0.238 | 738.4 | 681.9 | 0.752 | 46.3 | 18.5 |
| EM31082020_slice_74 | 0.276 | 0.727 | 0.672 | 0.276 | 726.8 | 671.8 | 0.223 | 725.4 | 667.1 | 0.735 | 50.2 | 20.9 |
| EM31082020_slice_75 | 0.283 | 0.719 | 0.661 | 0.283 | 718.7 | 661.4 | 0.228 | 717.1 | 656.5 | 0.726 | 50.0 | 21.0 |
| EM31082020_slice_76 | 0.275 | 0.725 | 0.666 | 0.275 | 725.3 | 665.6 | 0.220 | 724.1 | 661.5 | 0.714 | 50.8 | 21.9 |
| EM31082020_slice_77 | 0.278 | 0.726 | 0.664 | 0.278 | 725.8 | 664.4 | 0.223 | 724.7 | 660.5 | 0.705 | 50.8 | 22.1 |
| EM31082020_slice_78 | 0.244 | 0.725 | 0.665 | 0.244 | 725.0 | 665.1 | 0.197 | 723.9 | 661.1 | 0.692 | 54.4 | 24.6 |
| EM31082020_slice_79 | 0.248 | 0.721 | 0.660 | 0.248 | 721.0 | 660.3 | 0.200 | 719.8 | 656.3 | 0.692 | 54.3 | 24.6 |
| EM31082020_slice_80 | 0.255 | 0.721 | 0.659 | 0.255 | 720.8 | 659.0 | 0.205 | 719.5 | 654.9 | 0.693 | 54.2 | 24.6 |
| EM31082020_slice_81 | 0.265 | 0.720 | 0.657 | 0.265 | 719.9 | 657.3 | 0.212 | 718.6 | 653.3 | 0.693 | 54.2 | 24.6 |
| EM31082020_slice_82 | 0.272 | 0.721 | 0.657 | 0.272 | 720.5 | 656.9 | 0.217 | 719.4 | 653.2 | 0.693 | 53.6 | 24.3 |
| EM31082020_slice_83 | 0.254 | 0.722 | 0.660 | 0.254 | 722.2 | 659.6 | 0.203 | 721.0 | 655.8 | 0.688 | 55.5 | 25.5 |
| EM31082020_slice_84 | 0.253 | 0.719 | 0.657 | 0.253 | 719.0 | 657.4 | 0.204 | 717.7 | 653.4 | 0.687 | 55.9 | 25.6 |
4Γ3 grid: Rows show different image types (Original NATIVE, Reconstructed NATIVE, Original VENOUS, Generated VENOUS), Columns show windowing techniques (No Window, Lung Window, Mediastinum Window)