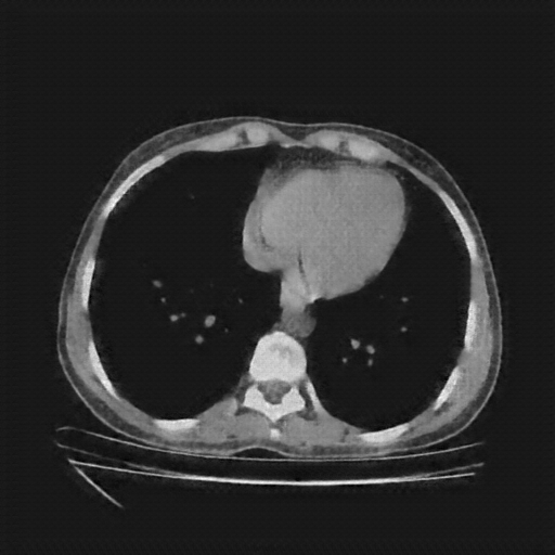
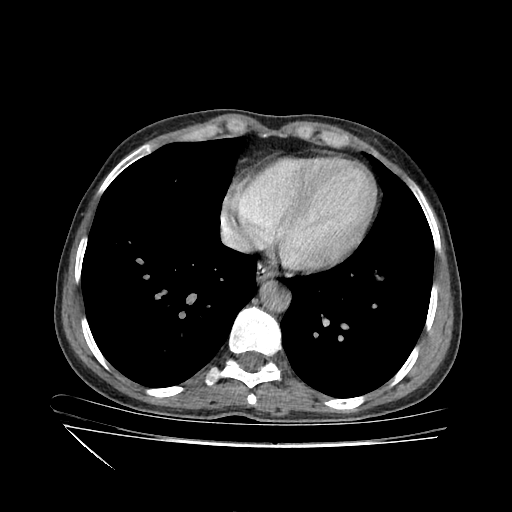
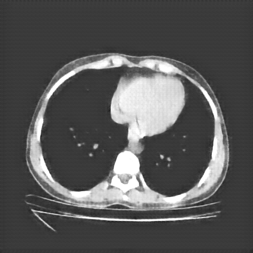
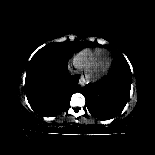
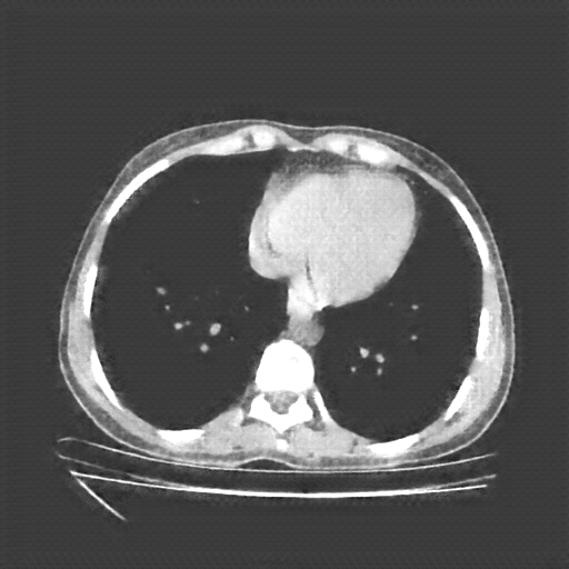
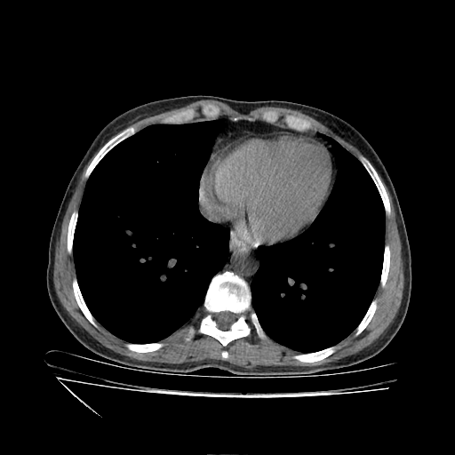
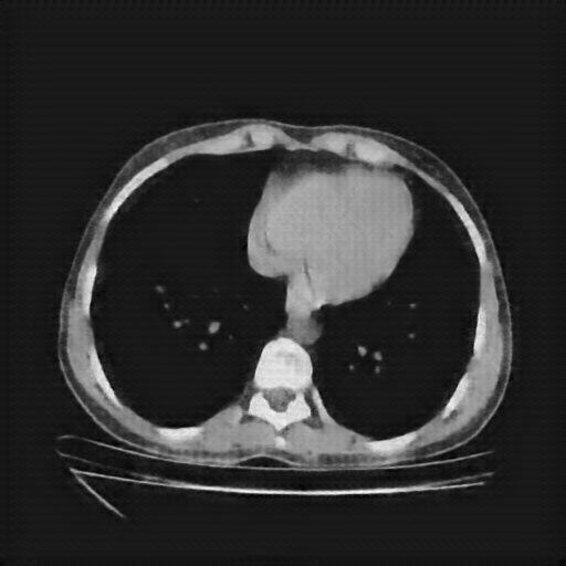
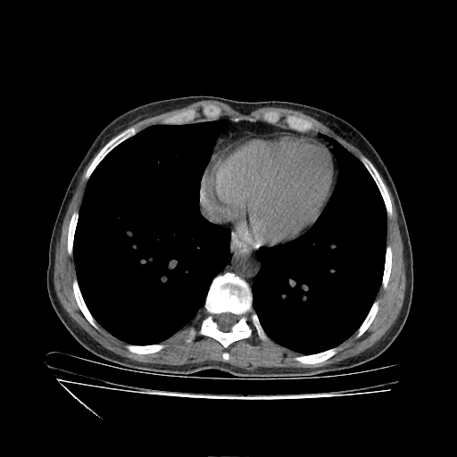
Slice 70 Targeting Evaluation
Patient ID: PP08072020
Model: cytran
Slice: Slice_70
Slice Thickness: 2.5mm
Conversion: NATIVE β VENOUS
Contains all 4 metric datasets: Network-Normalized, Hounsfield Units, Lung Window, and Mediastinum Window
| Slice ID | SSIM | RMSE | MAE | HU SSIM | HU RMSE | HU MAE | Lung SSIM | Lung RMSE | Lung MAE | Mediastinum SSIM | Mediastinum RMSE | Mediastinum MAE |
|---|---|---|---|---|---|---|---|---|---|---|---|---|
| PP08072020_slice_0 | 0.194 | 0.711 | 0.656 | 0.194 | 710.7 | 655.7 | 0.182 | 710.1 | 651.9 | 0.603 | 95.8 | 49.9 |
| PP08072020_slice_1 | 0.193 | 0.706 | 0.649 | 0.193 | 705.9 | 649.1 | 0.182 | 705.2 | 645.2 | 0.602 | 97.2 | 50.7 |
| PP08072020_slice_2 | 0.186 | 0.710 | 0.654 | 0.186 | 710.1 | 653.8 | 0.178 | 709.2 | 649.8 | 0.590 | 102.7 | 54.1 |
| PP08072020_slice_3 | 0.184 | 0.716 | 0.659 | 0.184 | 715.6 | 658.7 | 0.177 | 714.7 | 655.0 | 0.590 | 104.4 | 54.9 |
| PP08072020_slice_4 | 0.184 | 0.716 | 0.659 | 0.184 | 716.0 | 658.9 | 0.177 | 714.8 | 654.9 | 0.594 | 103.0 | 53.8 |
| PP08072020_slice_5 | 0.183 | 0.715 | 0.659 | 0.183 | 714.9 | 659.4 | 0.176 | 714.2 | 655.4 | 0.598 | 99.7 | 51.9 |
| PP08072020_slice_6 | 0.185 | 0.717 | 0.662 | 0.185 | 716.9 | 661.9 | 0.180 | 716.2 | 657.9 | 0.605 | 98.5 | 50.7 |
| PP08072020_slice_7 | 0.185 | 0.717 | 0.662 | 0.185 | 716.8 | 662.5 | 0.180 | 716.2 | 658.4 | 0.609 | 98.1 | 50.0 |
| PP08072020_slice_8 | 0.185 | 0.722 | 0.668 | 0.185 | 722.0 | 667.5 | 0.179 | 721.5 | 663.9 | 0.615 | 97.0 | 49.1 |
| PP08072020_slice_9 | 0.189 | 0.729 | 0.676 | 0.189 | 729.0 | 675.9 | 0.182 | 728.5 | 672.7 | 0.622 | 96.2 | 48.2 |
| PP08072020_slice_10 | 0.192 | 0.732 | 0.679 | 0.192 | 732.2 | 679.5 | 0.183 | 731.8 | 676.3 | 0.628 | 95.3 | 47.1 |
| PP08072020_slice_11 | 0.197 | 0.732 | 0.679 | 0.197 | 731.8 | 679.0 | 0.187 | 731.3 | 675.7 | 0.635 | 93.4 | 45.7 |
| PP08072020_slice_12 | 0.197 | 0.731 | 0.679 | 0.197 | 731.2 | 679.4 | 0.186 | 730.7 | 675.9 | 0.639 | 91.3 | 44.4 |
| PP08072020_slice_13 | 0.203 | 0.727 | 0.677 | 0.203 | 727.0 | 677.2 | 0.189 | 726.4 | 672.9 | 0.644 | 87.4 | 42.1 |
| PP08072020_slice_14 | 0.203 | 0.729 | 0.679 | 0.203 | 728.6 | 679.2 | 0.188 | 728.0 | 674.9 | 0.654 | 85.3 | 40.6 |
| PP08072020_slice_15 | 0.201 | 0.732 | 0.682 | 0.201 | 731.8 | 682.3 | 0.185 | 731.0 | 677.8 | 0.661 | 84.3 | 39.8 |
| PP08072020_slice_16 | 0.201 | 0.727 | 0.681 | 0.201 | 727.1 | 680.7 | 0.185 | 726.1 | 675.4 | 0.664 | 83.0 | 39.1 |
| PP08072020_slice_17 | 0.203 | 0.728 | 0.683 | 0.203 | 728.3 | 682.7 | 0.186 | 727.4 | 677.6 | 0.670 | 82.1 | 38.3 |
| PP08072020_slice_18 | 0.204 | 0.733 | 0.688 | 0.204 | 732.8 | 687.6 | 0.187 | 731.9 | 682.6 | 0.670 | 82.6 | 38.4 |
| PP08072020_slice_19 | 0.203 | 0.728 | 0.684 | 0.203 | 727.6 | 683.6 | 0.186 | 726.6 | 678.0 | 0.670 | 83.2 | 38.4 |
| PP08072020_slice_20 | 0.203 | 0.726 | 0.681 | 0.203 | 725.6 | 681.0 | 0.184 | 724.5 | 675.2 | 0.671 | 81.5 | 37.4 |
| PP08072020_slice_21 | 0.203 | 0.729 | 0.683 | 0.203 | 728.7 | 683.0 | 0.183 | 727.7 | 677.6 | 0.677 | 79.2 | 36.2 |
| PP08072020_slice_22 | 0.204 | 0.733 | 0.686 | 0.204 | 732.9 | 685.7 | 0.184 | 732.1 | 680.8 | 0.685 | 76.5 | 34.7 |
| PP08072020_slice_23 | 0.212 | 0.727 | 0.681 | 0.212 | 727.2 | 680.7 | 0.188 | 726.1 | 675.2 | 0.688 | 74.1 | 33.3 |
| PP08072020_slice_24 | 0.210 | 0.726 | 0.681 | 0.210 | 726.2 | 681.2 | 0.187 | 725.0 | 675.5 | 0.688 | 75.0 | 33.5 |
| PP08072020_slice_25 | 0.205 | 0.730 | 0.687 | 0.205 | 730.2 | 686.8 | 0.184 | 729.1 | 681.2 | 0.685 | 78.0 | 34.7 |
| PP08072020_slice_26 | 0.205 | 0.737 | 0.695 | 0.205 | 737.5 | 694.8 | 0.186 | 736.5 | 689.5 | 0.678 | 80.7 | 35.9 |
| PP08072020_slice_27 | 0.204 | 0.744 | 0.701 | 0.204 | 743.8 | 700.6 | 0.187 | 742.9 | 695.5 | 0.675 | 81.5 | 36.1 |
| PP08072020_slice_28 | 0.206 | 0.744 | 0.700 | 0.206 | 743.6 | 699.7 | 0.188 | 742.7 | 694.7 | 0.678 | 81.5 | 36.1 |
| PP08072020_slice_29 | 0.206 | 0.744 | 0.700 | 0.206 | 743.6 | 699.9 | 0.188 | 742.6 | 694.6 | 0.683 | 82.3 | 36.2 |
| PP08072020_slice_30 | 0.209 | 0.738 | 0.694 | 0.209 | 737.5 | 694.1 | 0.189 | 736.3 | 688.4 | 0.689 | 80.0 | 34.8 |
| PP08072020_slice_31 | 0.217 | 0.729 | 0.686 | 0.217 | 729.4 | 686.5 | 0.192 | 728.1 | 680.3 | 0.694 | 77.3 | 33.3 |
| PP08072020_slice_32 | 0.213 | 0.735 | 0.691 | 0.213 | 734.5 | 691.3 | 0.189 | 733.4 | 685.6 | 0.692 | 77.1 | 33.5 |
| PP08072020_slice_33 | 0.209 | 0.735 | 0.692 | 0.209 | 734.9 | 692.1 | 0.187 | 733.6 | 686.3 | 0.684 | 79.8 | 34.8 |
| PP08072020_slice_34 | 0.204 | 0.741 | 0.698 | 0.204 | 740.7 | 697.8 | 0.185 | 739.6 | 692.3 | 0.681 | 81.2 | 35.6 |
| PP08072020_slice_35 | 0.201 | 0.748 | 0.704 | 0.201 | 748.2 | 704.0 | 0.183 | 747.3 | 699.2 | 0.683 | 81.0 | 35.6 |
| PP08072020_slice_36 | 0.205 | 0.747 | 0.703 | 0.205 | 747.3 | 702.9 | 0.188 | 746.6 | 698.2 | 0.689 | 80.0 | 35.2 |
| PP08072020_slice_37 | 0.208 | 0.742 | 0.698 | 0.208 | 742.0 | 697.7 | 0.189 | 741.1 | 692.7 | 0.687 | 77.8 | 34.3 |
| PP08072020_slice_38 | 0.218 | 0.731 | 0.687 | 0.218 | 730.9 | 686.9 | 0.194 | 729.9 | 681.2 | 0.685 | 75.1 | 33.2 |
| PP08072020_slice_39 | 0.217 | 0.737 | 0.693 | 0.217 | 737.1 | 693.4 | 0.194 | 736.2 | 688.2 | 0.686 | 74.8 | 33.1 |
| PP08072020_slice_40 | 0.217 | 0.735 | 0.691 | 0.217 | 734.7 | 690.6 | 0.192 | 733.7 | 685.3 | 0.682 | 74.3 | 33.0 |
| PP08072020_slice_41 | 0.215 | 0.736 | 0.692 | 0.215 | 736.2 | 692.4 | 0.191 | 735.2 | 687.0 | 0.683 | 75.0 | 33.3 |
| PP08072020_slice_42 | 0.212 | 0.738 | 0.694 | 0.212 | 737.5 | 693.8 | 0.190 | 736.5 | 688.7 | 0.685 | 78.2 | 34.7 |
| PP08072020_slice_43 | 0.213 | 0.743 | 0.700 | 0.213 | 743.0 | 699.8 | 0.193 | 742.1 | 695.0 | 0.683 | 81.1 | 36.0 |
| PP08072020_slice_44 | 0.213 | 0.747 | 0.704 | 0.213 | 746.8 | 703.7 | 0.194 | 745.9 | 698.9 | 0.683 | 81.9 | 36.3 |
| PP08072020_slice_45 | 0.215 | 0.741 | 0.699 | 0.215 | 741.2 | 698.7 | 0.196 | 740.3 | 693.5 | 0.684 | 82.2 | 36.4 |
| PP08072020_slice_46 | 0.214 | 0.736 | 0.694 | 0.214 | 736.3 | 694.0 | 0.195 | 735.1 | 688.3 | 0.682 | 82.3 | 36.2 |
| PP08072020_slice_47 | 0.214 | 0.732 | 0.690 | 0.214 | 731.9 | 689.8 | 0.195 | 730.5 | 683.6 | 0.679 | 82.1 | 36.1 |
| PP08072020_slice_48 | 0.218 | 0.728 | 0.686 | 0.218 | 728.1 | 685.8 | 0.196 | 726.7 | 679.6 | 0.681 | 78.9 | 34.6 |
| PP08072020_slice_49 | 0.220 | 0.732 | 0.689 | 0.220 | 732.0 | 688.9 | 0.197 | 730.8 | 683.0 | 0.690 | 77.2 | 33.5 |
| PP08072020_slice_50 | 0.217 | 0.733 | 0.690 | 0.217 | 733.3 | 690.5 | 0.195 | 732.0 | 684.5 | 0.693 | 77.7 | 33.6 |
| PP08072020_slice_51 | 0.214 | 0.737 | 0.696 | 0.214 | 737.1 | 695.8 | 0.193 | 735.9 | 690.0 | 0.702 | 76.3 | 32.9 |
| PP08072020_slice_52 | 0.214 | 0.733 | 0.693 | 0.214 | 732.9 | 692.8 | 0.193 | 731.8 | 686.9 | 0.704 | 77.0 | 33.3 |
| PP08072020_slice_53 | 0.211 | 0.739 | 0.699 | 0.211 | 739.4 | 698.6 | 0.192 | 738.2 | 692.8 | 0.697 | 79.3 | 34.4 |
| PP08072020_slice_54 | 0.203 | 0.749 | 0.708 | 0.203 | 749.0 | 707.9 | 0.189 | 748.0 | 702.6 | 0.692 | 83.4 | 36.0 |
| PP08072020_slice_55 | 0.206 | 0.739 | 0.699 | 0.206 | 739.4 | 699.2 | 0.191 | 738.2 | 693.2 | 0.693 | 84.6 | 36.3 |
| PP08072020_slice_56 | 0.210 | 0.724 | 0.687 | 0.210 | 724.2 | 686.5 | 0.196 | 722.5 | 679.3 | 0.698 | 85.2 | 36.6 |
| PP08072020_slice_57 | 0.206 | 0.728 | 0.690 | 0.206 | 727.7 | 690.1 | 0.194 | 726.0 | 683.1 | 0.701 | 85.3 | 36.6 |
| PP08072020_slice_58 | 0.204 | 0.728 | 0.690 | 0.204 | 727.9 | 690.3 | 0.192 | 726.1 | 683.2 | 0.703 | 85.3 | 36.6 |
| PP08072020_slice_59 | 0.203 | 0.731 | 0.693 | 0.203 | 731.0 | 692.9 | 0.189 | 729.3 | 686.2 | 0.702 | 85.3 | 36.6 |
| PP08072020_slice_60 | 0.202 | 0.729 | 0.692 | 0.202 | 728.9 | 692.1 | 0.189 | 727.0 | 685.1 | 0.704 | 86.4 | 36.8 |
| PP08072020_slice_61 | 0.202 | 0.728 | 0.691 | 0.202 | 727.9 | 690.6 | 0.189 | 726.1 | 683.7 | 0.708 | 84.4 | 35.8 |
| PP08072020_slice_62 | 0.203 | 0.734 | 0.697 | 0.203 | 733.9 | 696.7 | 0.190 | 732.2 | 690.0 | 0.707 | 82.5 | 35.1 |
| PP08072020_slice_63 | 0.208 | 0.737 | 0.700 | 0.208 | 737.2 | 699.6 | 0.194 | 735.7 | 693.2 | 0.710 | 80.3 | 33.9 |
| PP08072020_slice_64 | 0.214 | 0.736 | 0.698 | 0.214 | 736.2 | 698.3 | 0.198 | 734.7 | 691.9 | 0.715 | 78.0 | 32.8 |
| PP08072020_slice_65 | 0.223 | 0.739 | 0.700 | 0.223 | 738.7 | 700.3 | 0.203 | 737.3 | 694.1 | 0.718 | 74.0 | 31.1 |
| PP08072020_slice_66 | 0.237 | 0.734 | 0.695 | 0.237 | 733.9 | 695.4 | 0.213 | 732.6 | 689.1 | 0.727 | 70.3 | 29.1 |
| PP08072020_slice_67 | 0.226 | 0.747 | 0.708 | 0.226 | 747.0 | 708.3 | 0.207 | 745.8 | 702.6 | 0.728 | 72.7 | 29.9 |
| PP08072020_slice_68 | 0.225 | 0.749 | 0.711 | 0.225 | 749.4 | 711.2 | 0.207 | 748.2 | 705.4 | 0.729 | 74.4 | 30.3 |
| PP08072020_slice_69 | 0.219 | 0.761 | 0.723 | 0.219 | 761.3 | 723.2 | 0.203 | 760.3 | 717.9 | 0.728 | 75.6 | 30.7 |
| PP08072020_slice_70 | 0.222 | 0.758 | 0.719 | 0.222 | 757.8 | 719.5 | 0.206 | 756.7 | 714.2 | 0.737 | 73.3 | 29.4 |
| PP08072020_slice_71 | 0.226 | 0.754 | 0.716 | 0.226 | 754.1 | 716.2 | 0.208 | 752.8 | 710.5 | 0.739 | 71.6 | 28.6 |
| PP08072020_slice_72 | 0.218 | 0.765 | 0.728 | 0.218 | 765.1 | 728.1 | 0.204 | 764.0 | 722.8 | 0.737 | 74.4 | 29.7 |
| PP08072020_slice_73 | 0.225 | 0.762 | 0.724 | 0.225 | 761.9 | 724.2 | 0.208 | 760.8 | 719.0 | 0.744 | 71.7 | 28.4 |
| PP08072020_slice_74 | 0.231 | 0.760 | 0.722 | 0.231 | 759.9 | 722.4 | 0.213 | 758.6 | 716.7 | 0.744 | 70.2 | 27.7 |
| PP08072020_slice_75 | 0.237 | 0.759 | 0.721 | 0.237 | 758.5 | 720.5 | 0.218 | 757.1 | 714.7 | 0.744 | 67.7 | 26.6 |
| PP08072020_slice_76 | 0.229 | 0.763 | 0.724 | 0.229 | 762.6 | 724.0 | 0.211 | 761.4 | 718.4 | 0.747 | 67.5 | 26.5 |
| PP08072020_slice_77 | 0.234 | 0.759 | 0.719 | 0.234 | 758.8 | 719.3 | 0.213 | 757.7 | 713.7 | 0.752 | 64.0 | 25.0 |
| PP08072020_slice_78 | 0.241 | 0.760 | 0.719 | 0.241 | 759.6 | 719.4 | 0.217 | 758.5 | 714.1 | 0.753 | 61.2 | 23.8 |
| PP08072020_slice_79 | 0.243 | 0.762 | 0.721 | 0.243 | 761.5 | 721.5 | 0.219 | 760.6 | 716.4 | 0.754 | 61.0 | 23.7 |
| PP08072020_slice_80 | 0.231 | 0.765 | 0.724 | 0.231 | 764.8 | 724.2 | 0.207 | 763.8 | 719.3 | 0.753 | 59.9 | 23.7 |
| PP08072020_slice_81 | 0.237 | 0.759 | 0.718 | 0.237 | 759.2 | 718.5 | 0.213 | 758.2 | 713.2 | 0.753 | 59.4 | 23.8 |
| PP08072020_slice_82 | 0.227 | 0.762 | 0.722 | 0.227 | 761.6 | 722.0 | 0.205 | 760.5 | 716.7 | 0.734 | 63.8 | 26.2 |
| PP08072020_slice_83 | 0.237 | 0.765 | 0.724 | 0.237 | 765.3 | 723.7 | 0.212 | 764.3 | 718.7 | 0.719 | 66.3 | 27.9 |
| PP08072020_slice_84 | 0.223 | 0.763 | 0.720 | 0.223 | 763.4 | 720.4 | 0.201 | 762.4 | 715.4 | 0.703 | 71.8 | 31.0 |
| PP08072020_slice_85 | 0.229 | 0.747 | 0.703 | 0.229 | 747.1 | 703.2 | 0.206 | 745.8 | 697.6 | 0.695 | 73.2 | 31.9 |
| PP08072020_slice_86 | 0.219 | 0.743 | 0.697 | 0.219 | 742.7 | 697.3 | 0.198 | 741.5 | 691.7 | 0.685 | 75.9 | 33.8 |
| PP08072020_slice_87 | 0.206 | 0.741 | 0.694 | 0.206 | 740.7 | 693.7 | 0.187 | 739.5 | 688.2 | 0.676 | 78.2 | 35.4 |
| PP08072020_slice_88 | 0.196 | 0.737 | 0.689 | 0.196 | 737.2 | 689.0 | 0.180 | 735.8 | 683.4 | 0.670 | 80.9 | 37.1 |
| PP08072020_slice_89 | 0.197 | 0.737 | 0.687 | 0.197 | 737.5 | 687.4 | 0.179 | 736.3 | 682.4 | 0.662 | 81.5 | 37.6 |
| PP08072020_slice_90 | 0.232 | 0.727 | 0.672 | 0.232 | 727.2 | 672.4 | 0.203 | 726.1 | 667.7 | 0.666 | 75.5 | 34.3 |
| PP08072020_slice_91 | 0.236 | 0.713 | 0.658 | 0.236 | 713.2 | 657.7 | 0.203 | 711.8 | 652.7 | 0.661 | 74.8 | 34.4 |
| PP08072020_slice_92 | 0.197 | 0.721 | 0.666 | 0.197 | 720.9 | 666.2 | 0.176 | 719.8 | 661.3 | 0.648 | 78.8 | 37.9 |
| PP08072020_slice_93 | 0.175 | 0.717 | 0.664 | 0.175 | 717.3 | 664.2 | 0.163 | 716.2 | 659.3 | 0.638 | 83.7 | 41.2 |
| PP08072020_slice_94 | 0.171 | 0.719 | 0.665 | 0.171 | 719.0 | 664.7 | 0.160 | 718.0 | 659.9 | 0.631 | 85.1 | 42.3 |
| PP08072020_slice_95 | 0.169 | 0.713 | 0.659 | 0.169 | 712.8 | 658.8 | 0.162 | 711.7 | 653.7 | 0.627 | 87.6 | 44.0 |
| PP08072020_slice_96 | 0.168 | 0.712 | 0.656 | 0.168 | 712.4 | 656.4 | 0.159 | 711.4 | 651.5 | 0.620 | 88.5 | 44.6 |
| PP08072020_slice_97 | 0.181 | 0.700 | 0.642 | 0.181 | 700.2 | 642.4 | 0.169 | 699.0 | 637.3 | 0.617 | 87.4 | 43.9 |
| PP08072020_slice_98 | 0.172 | 0.690 | 0.632 | 0.172 | 690.2 | 632.2 | 0.165 | 688.9 | 626.8 | 0.614 | 88.6 | 44.9 |
| PP08072020_slice_99 | 0.149 | 0.691 | 0.634 | 0.149 | 691.4 | 634.4 | 0.152 | 690.2 | 629.0 | 0.611 | 92.6 | 47.9 |
| PP08072020_slice_100 | 0.144 | 0.697 | 0.637 | 0.144 | 697.5 | 637.2 | 0.144 | 696.5 | 632.5 | 0.608 | 92.0 | 47.7 |
| PP08072020_slice_101 | 0.179 | 0.684 | 0.620 | 0.179 | 683.7 | 620.2 | 0.167 | 682.5 | 615.6 | 0.614 | 86.9 | 44.0 |
| PP08072020_slice_102 | 0.197 | 0.675 | 0.611 | 0.197 | 674.7 | 610.5 | 0.179 | 673.5 | 606.0 | 0.615 | 84.6 | 42.8 |
| PP08072020_slice_103 | 0.180 | 0.683 | 0.618 | 0.180 | 683.3 | 618.3 | 0.166 | 682.0 | 613.7 | 0.610 | 86.4 | 44.4 |
| PP08072020_slice_104 | 0.153 | 0.688 | 0.625 | 0.153 | 687.6 | 625.2 | 0.151 | 686.3 | 620.2 | 0.606 | 90.8 | 47.4 |
| PP08072020_slice_105 | 0.147 | 0.686 | 0.626 | 0.147 | 686.2 | 625.5 | 0.149 | 685.1 | 620.6 | 0.608 | 92.2 | 48.2 |
| PP08072020_slice_106 | 0.154 | 0.685 | 0.625 | 0.154 | 685.2 | 624.8 | 0.154 | 684.1 | 619.8 | 0.609 | 91.6 | 47.5 |
| PP08072020_slice_107 | 0.153 | 0.685 | 0.625 | 0.153 | 685.1 | 625.5 | 0.156 | 684.0 | 620.3 | 0.611 | 92.6 | 47.9 |
| PP08072020_slice_108 | 0.152 | 0.689 | 0.627 | 0.152 | 688.5 | 627.4 | 0.152 | 687.5 | 622.5 | 0.612 | 91.4 | 47.3 |
| PP08072020_slice_109 | 0.159 | 0.692 | 0.629 | 0.159 | 692.3 | 629.3 | 0.155 | 691.4 | 624.8 | 0.614 | 89.8 | 46.2 |
| PP08072020_slice_110 | 0.166 | 0.687 | 0.625 | 0.166 | 687.4 | 625.2 | 0.162 | 686.3 | 620.4 | 0.615 | 89.4 | 45.6 |
| PP08072020_slice_111 | 0.157 | 0.697 | 0.636 | 0.157 | 697.3 | 635.8 | 0.154 | 696.2 | 631.0 | 0.614 | 90.4 | 46.5 |
4Γ3 grid: Rows show different image types (Original NATIVE, Reconstructed NATIVE, Original VENOUS, Generated VENOUS), Columns show windowing techniques (No Window, Lung Window, Mediastinum Window)