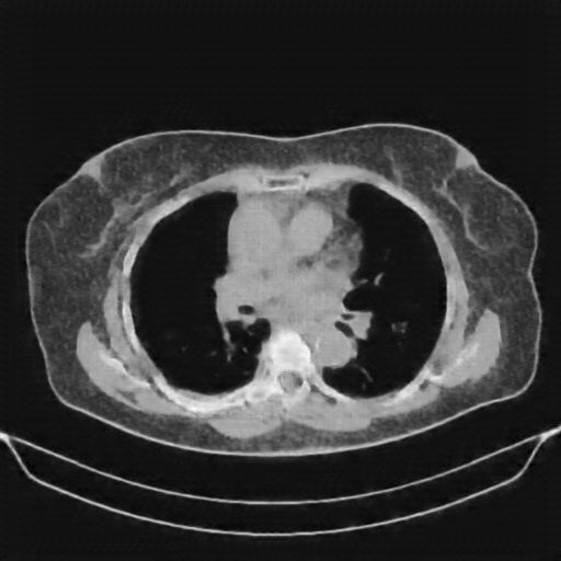
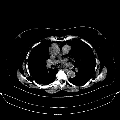
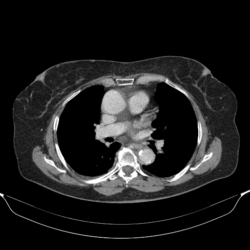
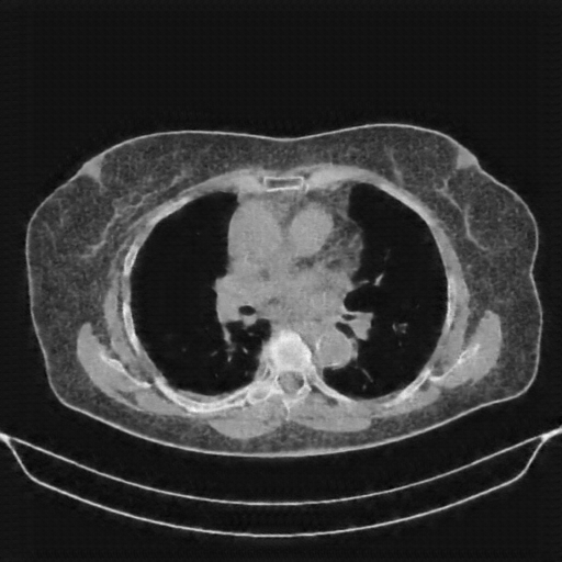
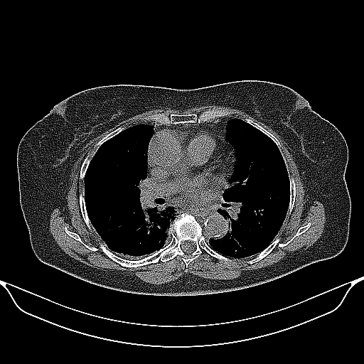
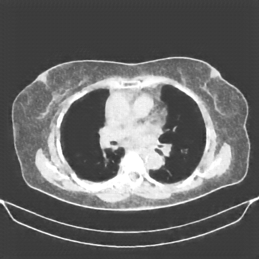
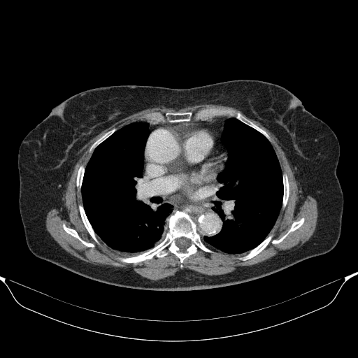
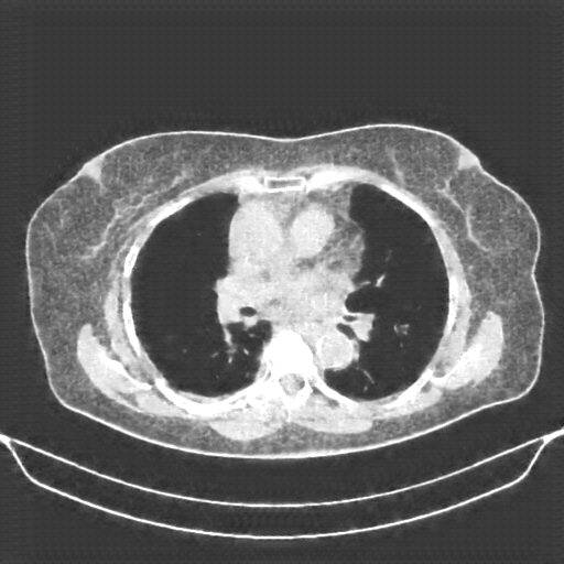
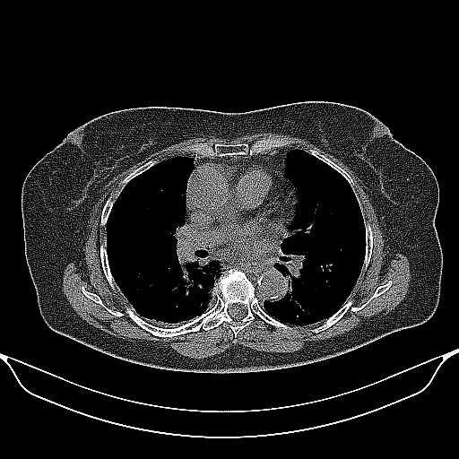
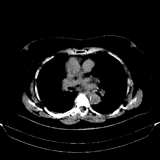
Slice 70 Targeting Evaluation
Patient ID: ME19112020
Model: cytran
Slice: Slice_70
Slice Thickness: 2.5mm
Conversion: NATIVE β VENOUS
Contains all 4 metric datasets: Network-Normalized, Hounsfield Units, Lung Window, and Mediastinum Window
| Slice ID | SSIM | RMSE | MAE | HU SSIM | HU RMSE | HU MAE | Lung SSIM | Lung RMSE | Lung MAE | Mediastinum SSIM | Mediastinum RMSE | Mediastinum MAE |
|---|---|---|---|---|---|---|---|---|---|---|---|---|
| ME19112020_slice_0 | 0.199 | 0.717 | 0.664 | 0.199 | 717.4 | 663.6 | 0.176 | 716.3 | 658.4 | 0.647 | 83.3 | 41.6 |
| ME19112020_slice_1 | 0.201 | 0.719 | 0.664 | 0.201 | 719.0 | 664.5 | 0.178 | 718.0 | 659.5 | 0.645 | 82.5 | 41.3 |
| ME19112020_slice_2 | 0.204 | 0.715 | 0.659 | 0.204 | 714.8 | 659.2 | 0.179 | 713.7 | 654.2 | 0.648 | 80.7 | 40.3 |
| ME19112020_slice_3 | 0.202 | 0.717 | 0.662 | 0.202 | 717.0 | 661.8 | 0.177 | 715.9 | 656.9 | 0.649 | 81.0 | 40.5 |
| ME19112020_slice_4 | 0.200 | 0.721 | 0.666 | 0.200 | 720.6 | 666.2 | 0.178 | 719.6 | 661.5 | 0.648 | 82.1 | 40.8 |
| ME19112020_slice_5 | 0.202 | 0.719 | 0.665 | 0.202 | 718.9 | 665.1 | 0.179 | 717.7 | 660.1 | 0.649 | 81.6 | 40.4 |
| ME19112020_slice_6 | 0.197 | 0.721 | 0.668 | 0.197 | 721.2 | 668.1 | 0.177 | 720.1 | 663.2 | 0.649 | 82.6 | 41.0 |
| ME19112020_slice_7 | 0.198 | 0.718 | 0.665 | 0.198 | 718.4 | 665.1 | 0.176 | 717.2 | 659.9 | 0.650 | 81.1 | 40.1 |
| ME19112020_slice_8 | 0.199 | 0.715 | 0.662 | 0.199 | 714.6 | 661.9 | 0.175 | 713.3 | 656.4 | 0.654 | 80.5 | 39.6 |
| ME19112020_slice_9 | 0.199 | 0.718 | 0.666 | 0.199 | 718.2 | 665.9 | 0.175 | 717.0 | 660.6 | 0.655 | 80.6 | 39.7 |
| ME19112020_slice_10 | 0.204 | 0.717 | 0.665 | 0.204 | 716.6 | 664.7 | 0.177 | 715.3 | 659.3 | 0.656 | 79.1 | 38.6 |
| ME19112020_slice_11 | 0.207 | 0.715 | 0.662 | 0.207 | 714.6 | 661.8 | 0.175 | 713.3 | 656.4 | 0.659 | 76.4 | 37.3 |
| ME19112020_slice_12 | 0.209 | 0.720 | 0.666 | 0.209 | 719.8 | 665.9 | 0.176 | 718.7 | 660.9 | 0.658 | 75.4 | 36.7 |
| ME19112020_slice_13 | 0.210 | 0.720 | 0.667 | 0.210 | 719.7 | 666.9 | 0.176 | 718.5 | 661.9 | 0.659 | 75.7 | 36.7 |
| ME19112020_slice_14 | 0.209 | 0.719 | 0.667 | 0.209 | 718.8 | 667.1 | 0.176 | 717.6 | 662.1 | 0.659 | 75.9 | 36.9 |
| ME19112020_slice_15 | 0.212 | 0.721 | 0.669 | 0.212 | 720.8 | 669.2 | 0.177 | 719.6 | 663.9 | 0.660 | 75.0 | 36.2 |
| ME19112020_slice_16 | 0.208 | 0.727 | 0.675 | 0.208 | 726.8 | 675.3 | 0.176 | 725.5 | 670.4 | 0.661 | 76.1 | 36.7 |
| ME19112020_slice_17 | 0.212 | 0.726 | 0.675 | 0.212 | 725.8 | 674.8 | 0.178 | 724.6 | 669.9 | 0.666 | 74.3 | 35.6 |
| ME19112020_slice_18 | 0.215 | 0.725 | 0.674 | 0.215 | 725.2 | 673.9 | 0.179 | 724.0 | 669.0 | 0.669 | 72.8 | 34.6 |
| ME19112020_slice_19 | 0.215 | 0.730 | 0.679 | 0.215 | 730.4 | 678.6 | 0.178 | 729.4 | 674.0 | 0.672 | 70.5 | 33.5 |
| ME19112020_slice_20 | 0.222 | 0.728 | 0.676 | 0.222 | 728.0 | 676.4 | 0.181 | 726.9 | 671.7 | 0.674 | 69.7 | 32.8 |
| ME19112020_slice_21 | 0.234 | 0.715 | 0.664 | 0.234 | 715.2 | 664.0 | 0.187 | 713.8 | 658.8 | 0.681 | 67.5 | 31.3 |
| ME19112020_slice_22 | 0.236 | 0.717 | 0.665 | 0.236 | 716.6 | 665.4 | 0.188 | 715.3 | 660.4 | 0.684 | 67.1 | 31.0 |
| ME19112020_slice_23 | 0.235 | 0.716 | 0.666 | 0.235 | 715.7 | 666.0 | 0.186 | 714.2 | 660.6 | 0.683 | 67.0 | 31.0 |
| ME19112020_slice_24 | 0.236 | 0.718 | 0.668 | 0.236 | 718.3 | 668.1 | 0.185 | 716.8 | 662.8 | 0.685 | 66.4 | 30.5 |
| ME19112020_slice_25 | 0.235 | 0.723 | 0.673 | 0.235 | 723.4 | 673.1 | 0.184 | 722.0 | 668.1 | 0.690 | 64.6 | 29.8 |
| ME19112020_slice_26 | 0.235 | 0.725 | 0.675 | 0.235 | 724.8 | 675.0 | 0.184 | 723.6 | 670.1 | 0.692 | 64.4 | 29.6 |
| ME19112020_slice_27 | 0.232 | 0.721 | 0.672 | 0.232 | 721.2 | 672.3 | 0.181 | 719.8 | 667.1 | 0.692 | 65.8 | 30.0 |
| ME19112020_slice_28 | 0.227 | 0.718 | 0.670 | 0.227 | 717.6 | 670.4 | 0.179 | 716.0 | 664.9 | 0.688 | 68.2 | 31.1 |
| ME19112020_slice_29 | 0.221 | 0.725 | 0.677 | 0.221 | 724.8 | 677.4 | 0.177 | 723.3 | 672.1 | 0.690 | 69.1 | 31.6 |
| ME19112020_slice_30 | 0.225 | 0.724 | 0.676 | 0.225 | 724.2 | 676.0 | 0.180 | 722.8 | 670.7 | 0.692 | 67.7 | 30.9 |
| ME19112020_slice_31 | 0.229 | 0.720 | 0.671 | 0.229 | 719.8 | 670.9 | 0.181 | 718.3 | 665.6 | 0.689 | 67.6 | 30.6 |
| ME19112020_slice_32 | 0.234 | 0.717 | 0.667 | 0.234 | 716.8 | 666.7 | 0.184 | 715.5 | 661.5 | 0.691 | 65.8 | 29.8 |
| ME19112020_slice_33 | 0.244 | 0.710 | 0.660 | 0.244 | 710.4 | 659.7 | 0.190 | 709.0 | 654.5 | 0.692 | 64.5 | 29.2 |
| ME19112020_slice_34 | 0.268 | 0.712 | 0.658 | 0.268 | 712.2 | 658.2 | 0.207 | 710.9 | 653.7 | 0.694 | 62.1 | 27.8 |
| ME19112020_slice_35 | 0.283 | 0.711 | 0.656 | 0.283 | 711.1 | 655.8 | 0.217 | 709.9 | 651.8 | 0.704 | 55.8 | 25.3 |
| ME19112020_slice_36 | 0.284 | 0.709 | 0.654 | 0.284 | 709.3 | 654.4 | 0.218 | 708.2 | 650.4 | 0.705 | 55.5 | 25.2 |
| ME19112020_slice_37 | 0.280 | 0.713 | 0.658 | 0.280 | 712.6 | 658.4 | 0.216 | 711.5 | 654.3 | 0.707 | 55.8 | 25.4 |
| ME19112020_slice_38 | 0.279 | 0.709 | 0.656 | 0.279 | 709.3 | 655.8 | 0.215 | 708.0 | 651.6 | 0.705 | 56.7 | 25.9 |
| ME19112020_slice_39 | 0.276 | 0.709 | 0.655 | 0.276 | 708.6 | 655.5 | 0.211 | 707.3 | 651.2 | 0.703 | 57.1 | 26.1 |
| ME19112020_slice_40 | 0.268 | 0.716 | 0.663 | 0.268 | 716.3 | 663.3 | 0.206 | 715.1 | 659.0 | 0.701 | 58.1 | 26.4 |
| ME19112020_slice_41 | 0.265 | 0.718 | 0.665 | 0.265 | 718.3 | 665.2 | 0.203 | 717.1 | 661.0 | 0.698 | 58.7 | 26.6 |
| ME19112020_slice_42 | 0.262 | 0.714 | 0.661 | 0.262 | 713.6 | 661.2 | 0.201 | 712.3 | 656.6 | 0.696 | 59.8 | 27.0 |
| ME19112020_slice_43 | 0.264 | 0.709 | 0.658 | 0.264 | 709.4 | 657.5 | 0.204 | 708.1 | 652.8 | 0.695 | 60.2 | 27.2 |
| ME19112020_slice_44 | 0.253 | 0.719 | 0.667 | 0.253 | 719.4 | 667.2 | 0.196 | 718.2 | 662.6 | 0.691 | 61.6 | 27.9 |
| ME19112020_slice_45 | 0.256 | 0.718 | 0.666 | 0.256 | 718.3 | 666.2 | 0.198 | 716.9 | 661.4 | 0.692 | 62.3 | 28.2 |
| ME19112020_slice_46 | 0.265 | 0.713 | 0.660 | 0.265 | 713.0 | 660.4 | 0.204 | 711.6 | 655.7 | 0.689 | 62.8 | 28.3 |
| ME19112020_slice_47 | 0.272 | 0.705 | 0.652 | 0.272 | 705.3 | 652.1 | 0.209 | 704.0 | 647.6 | 0.690 | 61.6 | 27.7 |
| ME19112020_slice_48 | 0.275 | 0.700 | 0.647 | 0.275 | 699.8 | 646.9 | 0.210 | 698.5 | 642.4 | 0.689 | 61.0 | 27.6 |
| ME19112020_slice_49 | 0.274 | 0.706 | 0.651 | 0.274 | 705.7 | 651.3 | 0.210 | 704.5 | 647.2 | 0.686 | 60.6 | 27.6 |
| ME19112020_slice_50 | 0.277 | 0.707 | 0.652 | 0.277 | 707.1 | 651.8 | 0.212 | 706.0 | 647.8 | 0.685 | 60.0 | 27.4 |
| ME19112020_slice_51 | 0.271 | 0.711 | 0.656 | 0.271 | 711.1 | 656.1 | 0.208 | 709.9 | 651.9 | 0.681 | 61.4 | 28.4 |
| ME19112020_slice_52 | 0.263 | 0.719 | 0.664 | 0.263 | 719.4 | 664.3 | 0.203 | 718.4 | 660.4 | 0.680 | 61.7 | 28.6 |
| ME19112020_slice_53 | 0.265 | 0.710 | 0.656 | 0.265 | 709.6 | 656.1 | 0.203 | 708.3 | 651.8 | 0.678 | 62.2 | 28.9 |
| ME19112020_slice_54 | 0.263 | 0.710 | 0.657 | 0.263 | 710.4 | 657.3 | 0.201 | 709.1 | 652.9 | 0.677 | 63.3 | 29.4 |
| ME19112020_slice_55 | 0.258 | 0.712 | 0.660 | 0.258 | 712.2 | 659.5 | 0.198 | 710.9 | 655.0 | 0.673 | 64.5 | 29.9 |
| ME19112020_slice_56 | 0.253 | 0.717 | 0.664 | 0.253 | 717.5 | 664.2 | 0.194 | 716.2 | 659.8 | 0.670 | 65.0 | 30.2 |
| ME19112020_slice_57 | 0.248 | 0.714 | 0.661 | 0.248 | 714.3 | 661.4 | 0.192 | 713.0 | 656.8 | 0.667 | 66.1 | 30.6 |
| ME19112020_slice_58 | 0.255 | 0.709 | 0.656 | 0.255 | 709.4 | 655.8 | 0.196 | 708.1 | 651.3 | 0.670 | 64.7 | 29.8 |
| ME19112020_slice_59 | 0.261 | 0.708 | 0.654 | 0.261 | 707.7 | 653.9 | 0.201 | 706.5 | 649.5 | 0.672 | 64.7 | 29.7 |
| ME19112020_slice_60 | 0.262 | 0.707 | 0.654 | 0.262 | 706.9 | 653.5 | 0.202 | 705.7 | 649.2 | 0.674 | 64.9 | 29.9 |
| ME19112020_slice_61 | 0.264 | 0.702 | 0.648 | 0.264 | 701.7 | 648.4 | 0.202 | 700.5 | 644.0 | 0.672 | 64.9 | 30.1 |
| ME19112020_slice_62 | 0.268 | 0.701 | 0.647 | 0.268 | 700.5 | 646.6 | 0.204 | 699.4 | 642.5 | 0.672 | 63.3 | 29.4 |
| ME19112020_slice_63 | 0.272 | 0.703 | 0.648 | 0.272 | 703.2 | 648.0 | 0.206 | 702.1 | 644.1 | 0.674 | 61.9 | 28.7 |
| ME19112020_slice_64 | 0.270 | 0.703 | 0.647 | 0.270 | 703.0 | 647.1 | 0.203 | 701.9 | 643.3 | 0.675 | 61.1 | 28.6 |
| ME19112020_slice_65 | 0.265 | 0.701 | 0.645 | 0.265 | 701.1 | 645.1 | 0.200 | 700.0 | 641.1 | 0.672 | 61.4 | 29.0 |
| ME19112020_slice_66 | 0.265 | 0.699 | 0.644 | 0.265 | 699.3 | 643.6 | 0.199 | 698.1 | 639.5 | 0.670 | 61.9 | 29.3 |
| ME19112020_slice_67 | 0.263 | 0.702 | 0.646 | 0.263 | 701.8 | 646.1 | 0.199 | 700.6 | 642.0 | 0.670 | 62.8 | 29.6 |
| ME19112020_slice_68 | 0.260 | 0.702 | 0.646 | 0.260 | 701.5 | 646.3 | 0.197 | 700.3 | 641.9 | 0.672 | 63.0 | 30.0 |
| ME19112020_slice_69 | 0.249 | 0.708 | 0.653 | 0.249 | 708.3 | 653.0 | 0.191 | 707.1 | 648.7 | 0.669 | 64.0 | 30.6 |
| ME19112020_slice_70 | 0.246 | 0.710 | 0.654 | 0.246 | 710.2 | 653.9 | 0.188 | 709.2 | 650.0 | 0.667 | 63.8 | 30.5 |
| ME19112020_slice_71 | 0.250 | 0.704 | 0.649 | 0.250 | 704.4 | 648.8 | 0.191 | 703.4 | 644.6 | 0.668 | 64.3 | 30.7 |
| ME19112020_slice_72 | 0.251 | 0.704 | 0.647 | 0.251 | 703.6 | 647.5 | 0.192 | 702.5 | 643.2 | 0.670 | 64.8 | 30.8 |
| ME19112020_slice_73 | 0.261 | 0.700 | 0.641 | 0.261 | 699.7 | 641.3 | 0.199 | 698.7 | 637.3 | 0.671 | 64.1 | 30.0 |
| ME19112020_slice_74 | 0.266 | 0.693 | 0.634 | 0.266 | 692.8 | 634.1 | 0.200 | 691.7 | 630.1 | 0.669 | 64.0 | 29.9 |
| ME19112020_slice_75 | 0.267 | 0.691 | 0.632 | 0.267 | 690.7 | 631.8 | 0.201 | 689.7 | 627.8 | 0.668 | 64.0 | 30.3 |
| ME19112020_slice_76 | 0.268 | 0.687 | 0.628 | 0.268 | 687.1 | 628.1 | 0.200 | 686.0 | 624.2 | 0.667 | 64.4 | 30.4 |
| ME19112020_slice_77 | 0.272 | 0.687 | 0.627 | 0.272 | 686.7 | 627.3 | 0.202 | 685.6 | 623.3 | 0.665 | 62.6 | 29.7 |
| ME19112020_slice_78 | 0.271 | 0.694 | 0.634 | 0.271 | 694.2 | 633.6 | 0.202 | 693.1 | 629.8 | 0.666 | 62.0 | 29.3 |
| ME19112020_slice_79 | 0.261 | 0.698 | 0.637 | 0.261 | 697.5 | 637.3 | 0.196 | 696.5 | 633.4 | 0.664 | 63.9 | 30.3 |
| ME19112020_slice_80 | 0.258 | 0.703 | 0.642 | 0.258 | 702.5 | 641.9 | 0.194 | 701.5 | 638.0 | 0.665 | 64.4 | 30.4 |
| ME19112020_slice_81 | 0.256 | 0.706 | 0.644 | 0.256 | 705.7 | 644.3 | 0.194 | 704.7 | 640.6 | 0.660 | 65.5 | 31.0 |
| ME19112020_slice_82 | 0.251 | 0.708 | 0.646 | 0.251 | 707.9 | 646.4 | 0.192 | 706.9 | 642.6 | 0.655 | 66.0 | 31.7 |
| ME19112020_slice_83 | 0.253 | 0.700 | 0.640 | 0.253 | 700.0 | 640.1 | 0.192 | 698.9 | 636.0 | 0.653 | 65.2 | 31.5 |
| ME19112020_slice_84 | 0.255 | 0.700 | 0.640 | 0.255 | 699.7 | 640.0 | 0.192 | 698.6 | 635.9 | 0.654 | 65.5 | 31.6 |
| ME19112020_slice_85 | 0.255 | 0.697 | 0.639 | 0.255 | 697.0 | 638.9 | 0.195 | 695.9 | 634.6 | 0.652 | 67.0 | 32.2 |
| ME19112020_slice_86 | 0.247 | 0.711 | 0.652 | 0.247 | 710.7 | 651.7 | 0.191 | 709.7 | 647.8 | 0.650 | 66.9 | 32.3 |
| ME19112020_slice_87 | 0.249 | 0.714 | 0.653 | 0.249 | 713.6 | 653.3 | 0.191 | 712.7 | 649.7 | 0.648 | 66.3 | 31.9 |
| ME19112020_slice_88 | 0.260 | 0.702 | 0.641 | 0.260 | 702.4 | 641.5 | 0.198 | 701.4 | 637.7 | 0.650 | 65.1 | 31.1 |
| ME19112020_slice_89 | 0.256 | 0.696 | 0.637 | 0.256 | 696.3 | 637.1 | 0.194 | 695.2 | 633.1 | 0.648 | 67.0 | 32.0 |
| ME19112020_slice_90 | 0.261 | 0.696 | 0.637 | 0.261 | 696.0 | 636.6 | 0.197 | 695.0 | 632.7 | 0.647 | 66.4 | 31.8 |
| ME19112020_slice_91 | 0.271 | 0.694 | 0.633 | 0.271 | 693.7 | 633.1 | 0.203 | 692.7 | 629.4 | 0.650 | 64.4 | 30.7 |
| ME19112020_slice_92 | 0.267 | 0.695 | 0.635 | 0.267 | 695.0 | 635.1 | 0.201 | 694.0 | 631.4 | 0.648 | 65.1 | 30.9 |
| ME19112020_slice_93 | 0.267 | 0.696 | 0.636 | 0.267 | 695.6 | 635.9 | 0.201 | 694.6 | 632.1 | 0.651 | 64.8 | 30.7 |
| ME19112020_slice_94 | 0.265 | 0.694 | 0.634 | 0.265 | 693.6 | 633.8 | 0.200 | 692.5 | 630.0 | 0.653 | 65.4 | 31.0 |
| ME19112020_slice_95 | 0.266 | 0.695 | 0.635 | 0.266 | 695.2 | 635.3 | 0.201 | 694.2 | 631.6 | 0.656 | 64.5 | 30.5 |
| ME19112020_slice_96 | 0.260 | 0.699 | 0.639 | 0.260 | 698.7 | 638.5 | 0.197 | 697.8 | 634.8 | 0.659 | 64.6 | 30.6 |
| ME19112020_slice_97 | 0.251 | 0.696 | 0.636 | 0.251 | 695.8 | 636.0 | 0.191 | 694.6 | 631.9 | 0.655 | 66.4 | 31.6 |
| ME19112020_slice_98 | 0.248 | 0.697 | 0.636 | 0.248 | 697.1 | 636.3 | 0.190 | 696.1 | 632.3 | 0.653 | 66.0 | 31.8 |
| ME19112020_slice_99 | 0.250 | 0.699 | 0.638 | 0.250 | 699.3 | 637.8 | 0.191 | 698.4 | 634.1 | 0.653 | 66.6 | 31.8 |
| ME19112020_slice_100 | 0.251 | 0.694 | 0.632 | 0.251 | 694.2 | 631.9 | 0.193 | 693.3 | 628.2 | 0.658 | 66.2 | 31.5 |
| ME19112020_slice_101 | 0.237 | 0.703 | 0.642 | 0.237 | 703.5 | 641.9 | 0.185 | 702.7 | 638.4 | 0.656 | 68.6 | 32.8 |
| ME19112020_slice_102 | 0.243 | 0.700 | 0.638 | 0.243 | 699.6 | 637.8 | 0.188 | 698.7 | 634.2 | 0.656 | 68.8 | 32.8 |
| ME19112020_slice_103 | 0.261 | 0.690 | 0.628 | 0.261 | 689.8 | 627.9 | 0.200 | 688.9 | 624.3 | 0.663 | 68.4 | 32.2 |
| ME19112020_slice_104 | 0.270 | 0.689 | 0.627 | 0.270 | 689.4 | 626.5 | 0.204 | 688.5 | 623.0 | 0.665 | 66.4 | 31.0 |
| ME19112020_slice_105 | 0.267 | 0.698 | 0.635 | 0.267 | 697.8 | 634.6 | 0.202 | 696.9 | 631.2 | 0.669 | 65.9 | 30.7 |
| ME19112020_slice_106 | 0.248 | 0.700 | 0.640 | 0.248 | 700.3 | 640.4 | 0.192 | 699.4 | 637.0 | 0.674 | 71.2 | 32.7 |
| ME19112020_slice_107 | 0.244 | 0.704 | 0.645 | 0.244 | 704.0 | 644.6 | 0.192 | 703.0 | 641.1 | 0.677 | 73.3 | 33.6 |
| ME19112020_slice_108 | 0.251 | 0.702 | 0.641 | 0.251 | 701.5 | 641.0 | 0.196 | 700.6 | 637.6 | 0.675 | 69.8 | 32.3 |
| ME19112020_slice_109 | 0.258 | 0.701 | 0.639 | 0.258 | 701.2 | 639.4 | 0.199 | 700.3 | 636.1 | 0.677 | 67.3 | 31.2 |
| ME19112020_slice_110 | 0.252 | 0.701 | 0.641 | 0.252 | 700.6 | 641.0 | 0.198 | 699.7 | 637.4 | 0.675 | 70.5 | 32.4 |
| ME19112020_slice_111 | 0.249 | 0.705 | 0.645 | 0.249 | 704.8 | 645.1 | 0.196 | 703.8 | 641.4 | 0.672 | 70.2 | 32.7 |
| ME19112020_slice_112 | 0.257 | 0.706 | 0.644 | 0.257 | 706.3 | 644.1 | 0.200 | 705.3 | 640.6 | 0.674 | 65.4 | 30.5 |
| ME19112020_slice_113 | 0.247 | 0.715 | 0.652 | 0.247 | 714.8 | 652.2 | 0.194 | 714.0 | 648.9 | 0.672 | 66.7 | 31.3 |
| ME19112020_slice_114 | 0.247 | 0.706 | 0.646 | 0.247 | 706.4 | 646.1 | 0.196 | 705.5 | 642.3 | 0.670 | 68.6 | 32.1 |
| ME19112020_slice_115 | 0.247 | 0.701 | 0.641 | 0.247 | 700.8 | 641.4 | 0.196 | 699.8 | 637.5 | 0.669 | 69.0 | 32.3 |
| ME19112020_slice_116 | 0.249 | 0.704 | 0.644 | 0.249 | 704.1 | 644.0 | 0.198 | 703.1 | 640.2 | 0.667 | 69.6 | 32.5 |
| ME19112020_slice_117 | 0.263 | 0.700 | 0.638 | 0.263 | 699.7 | 637.8 | 0.204 | 698.8 | 634.2 | 0.667 | 66.3 | 30.9 |
| ME19112020_slice_118 | 0.261 | 0.703 | 0.639 | 0.261 | 702.8 | 639.3 | 0.201 | 701.9 | 635.9 | 0.666 | 64.9 | 30.7 |
| ME19112020_slice_119 | 0.267 | 0.700 | 0.635 | 0.267 | 699.8 | 635.0 | 0.203 | 699.0 | 631.9 | 0.665 | 63.6 | 30.0 |
| ME19112020_slice_120 | 0.273 | 0.697 | 0.631 | 0.273 | 697.3 | 630.8 | 0.208 | 696.6 | 628.0 | 0.665 | 63.8 | 29.8 |
| ME19112020_slice_121 | 0.281 | 0.692 | 0.626 | 0.281 | 692.0 | 625.6 | 0.212 | 691.2 | 622.6 | 0.660 | 63.4 | 29.9 |
| ME19112020_slice_122 | 0.280 | 0.691 | 0.624 | 0.280 | 691.3 | 624.5 | 0.210 | 690.5 | 621.7 | 0.655 | 63.0 | 30.2 |
| ME19112020_slice_123 | 0.281 | 0.683 | 0.615 | 0.281 | 683.3 | 614.9 | 0.208 | 682.6 | 612.1 | 0.648 | 61.7 | 30.0 |
| ME19112020_slice_124 | 0.281 | 0.681 | 0.612 | 0.281 | 681.2 | 611.8 | 0.207 | 680.4 | 609.1 | 0.639 | 64.0 | 31.2 |
| ME19112020_slice_125 | 0.271 | 0.680 | 0.610 | 0.271 | 680.2 | 609.7 | 0.201 | 679.5 | 607.0 | 0.632 | 65.6 | 32.5 |
| ME19112020_slice_126 | 0.264 | 0.681 | 0.609 | 0.264 | 681.3 | 608.9 | 0.197 | 680.7 | 606.4 | 0.630 | 65.7 | 33.1 |
| ME19112020_slice_127 | 0.258 | 0.675 | 0.603 | 0.258 | 675.3 | 602.5 | 0.193 | 674.7 | 600.0 | 0.623 | 67.0 | 33.9 |
| ME19112020_slice_128 | 0.240 | 0.678 | 0.606 | 0.240 | 678.3 | 606.2 | 0.184 | 677.7 | 603.5 | 0.616 | 70.3 | 36.2 |
| ME19112020_slice_129 | 0.228 | 0.679 | 0.607 | 0.228 | 678.7 | 606.7 | 0.178 | 678.1 | 603.8 | 0.610 | 72.8 | 37.9 |
| ME19112020_slice_130 | 0.221 | 0.682 | 0.610 | 0.221 | 682.4 | 610.2 | 0.174 | 681.8 | 607.5 | 0.604 | 74.0 | 38.8 |
| ME19112020_slice_131 | 0.211 | 0.679 | 0.609 | 0.211 | 679.2 | 608.6 | 0.170 | 678.6 | 605.8 | 0.601 | 76.0 | 40.2 |
| ME19112020_slice_132 | 0.211 | 0.676 | 0.606 | 0.211 | 675.8 | 605.6 | 0.170 | 675.2 | 602.7 | 0.599 | 77.3 | 40.8 |
| ME19112020_slice_133 | 0.217 | 0.679 | 0.607 | 0.217 | 679.5 | 607.5 | 0.173 | 678.8 | 604.7 | 0.598 | 76.4 | 40.4 |
| ME19112020_slice_134 | 0.205 | 0.684 | 0.612 | 0.205 | 683.8 | 611.6 | 0.165 | 683.2 | 609.0 | 0.595 | 77.4 | 41.2 |
| ME19112020_slice_135 | 0.199 | 0.679 | 0.607 | 0.199 | 679.2 | 607.1 | 0.162 | 678.6 | 604.5 | 0.594 | 79.0 | 42.2 |
| ME19112020_slice_136 | 0.216 | 0.674 | 0.601 | 0.216 | 673.5 | 600.7 | 0.172 | 673.0 | 598.1 | 0.597 | 77.3 | 41.1 |
| ME19112020_slice_137 | 0.232 | 0.680 | 0.606 | 0.232 | 679.8 | 606.1 | 0.181 | 679.3 | 603.7 | 0.596 | 76.0 | 40.2 |
| ME19112020_slice_138 | 0.240 | 0.677 | 0.603 | 0.240 | 677.3 | 602.7 | 0.184 | 676.9 | 600.3 | 0.596 | 75.2 | 39.7 |
| ME19112020_slice_139 | 0.233 | 0.675 | 0.601 | 0.233 | 675.1 | 601.3 | 0.181 | 674.6 | 598.7 | 0.595 | 76.0 | 40.4 |
| ME19112020_slice_140 | 0.231 | 0.675 | 0.600 | 0.231 | 674.7 | 600.0 | 0.179 | 674.1 | 597.4 | 0.595 | 75.9 | 40.6 |
| ME19112020_slice_141 | 0.231 | 0.673 | 0.598 | 0.231 | 673.2 | 598.2 | 0.179 | 672.6 | 595.7 | 0.593 | 76.0 | 40.6 |
| ME19112020_slice_142 | 0.223 | 0.671 | 0.597 | 0.223 | 670.7 | 596.5 | 0.174 | 670.1 | 593.8 | 0.594 | 76.4 | 41.1 |
| ME19112020_slice_143 | 0.219 | 0.665 | 0.592 | 0.219 | 664.9 | 591.9 | 0.170 | 664.3 | 589.2 | 0.592 | 76.5 | 41.3 |
| ME19112020_slice_144 | 0.198 | 0.675 | 0.602 | 0.198 | 674.9 | 601.7 | 0.158 | 674.3 | 599.0 | 0.588 | 78.1 | 42.6 |
| ME19112020_slice_145 | 0.191 | 0.677 | 0.604 | 0.191 | 677.2 | 604.0 | 0.154 | 676.7 | 601.5 | 0.584 | 78.6 | 43.0 |
| ME19112020_slice_146 | 0.195 | 0.677 | 0.604 | 0.195 | 677.1 | 604.4 | 0.157 | 676.5 | 601.6 | 0.583 | 78.3 | 42.9 |
| ME19112020_slice_147 | 0.203 | 0.676 | 0.603 | 0.203 | 675.7 | 603.0 | 0.162 | 675.0 | 600.0 | 0.581 | 77.5 | 42.6 |
| ME19112020_slice_148 | 0.213 | 0.667 | 0.595 | 0.213 | 666.8 | 595.2 | 0.168 | 666.1 | 592.1 | 0.581 | 76.9 | 42.0 |
| ME19112020_slice_149 | 0.221 | 0.661 | 0.590 | 0.221 | 661.5 | 589.9 | 0.173 | 660.9 | 587.0 | 0.583 | 76.5 | 41.5 |
| ME19112020_slice_150 | 0.245 | 0.664 | 0.590 | 0.245 | 664.0 | 589.8 | 0.186 | 663.4 | 587.2 | 0.585 | 73.4 | 39.5 |
| ME19112020_slice_151 | 0.236 | 0.670 | 0.595 | 0.236 | 669.8 | 595.4 | 0.180 | 669.2 | 593.1 | 0.583 | 74.4 | 40.2 |
| ME19112020_slice_152 | 0.250 | 0.665 | 0.590 | 0.250 | 665.1 | 590.4 | 0.189 | 664.6 | 588.1 | 0.585 | 74.2 | 39.5 |
| ME19112020_slice_153 | 0.251 | 0.661 | 0.587 | 0.251 | 661.2 | 587.0 | 0.189 | 660.6 | 584.6 | 0.584 | 75.6 | 40.0 |
| ME19112020_slice_154 | 0.251 | 0.658 | 0.584 | 0.251 | 657.9 | 584.3 | 0.189 | 657.3 | 581.9 | 0.585 | 76.6 | 40.4 |
| ME19112020_slice_155 | 0.244 | 0.664 | 0.590 | 0.244 | 664.3 | 590.4 | 0.186 | 663.8 | 588.1 | 0.586 | 77.3 | 40.9 |
| ME19112020_slice_156 | 0.240 | 0.663 | 0.591 | 0.240 | 663.4 | 591.4 | 0.183 | 662.8 | 589.0 | 0.585 | 77.7 | 41.2 |
| ME19112020_slice_157 | 0.232 | 0.679 | 0.605 | 0.232 | 678.7 | 605.4 | 0.180 | 678.2 | 603.2 | 0.588 | 77.0 | 41.0 |
| ME19112020_slice_158 | 0.246 | 0.674 | 0.602 | 0.246 | 673.6 | 601.8 | 0.189 | 673.1 | 599.3 | 0.591 | 75.2 | 39.8 |
| ME19112020_slice_159 | 0.242 | 0.676 | 0.605 | 0.242 | 676.3 | 605.0 | 0.186 | 675.8 | 602.6 | 0.593 | 74.8 | 39.8 |
| ME19112020_slice_160 | 0.244 | 0.672 | 0.602 | 0.244 | 671.7 | 601.8 | 0.188 | 671.1 | 599.1 | 0.594 | 75.1 | 39.9 |
4Γ3 grid: Rows show different image types (Original NATIVE, Reconstructed NATIVE, Original VENOUS, Generated VENOUS), Columns show windowing techniques (No Window, Lung Window, Mediastinum Window)