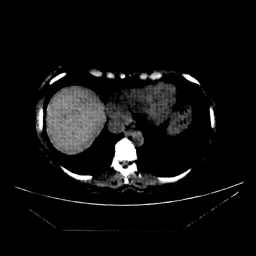
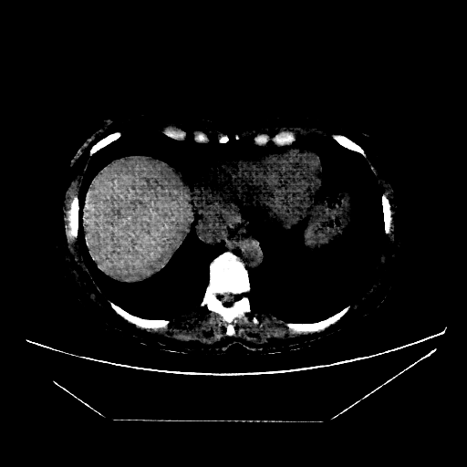
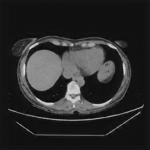
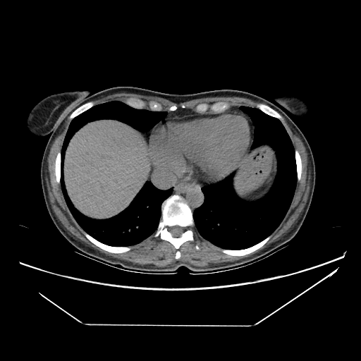
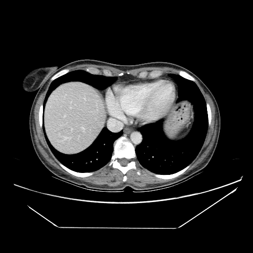
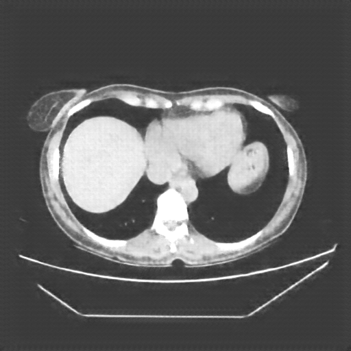
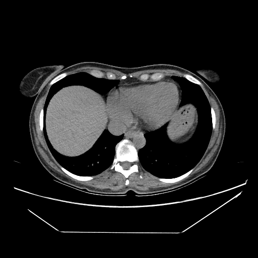
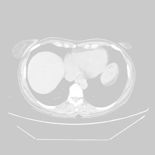
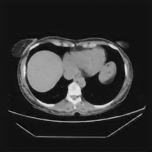
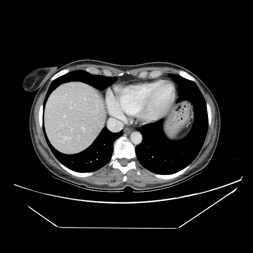
Slice 70 Targeting Evaluation
Patient ID: PM03022021
Model: cytran
Slice: Slice_70
Slice Thickness: 2.5mm
Conversion: NATIVE β VENOUS
Contains all 4 metric datasets: Network-Normalized, Hounsfield Units, Lung Window, and Mediastinum Window
| Slice ID | SSIM | RMSE | MAE | HU SSIM | HU RMSE | HU MAE | Lung SSIM | Lung RMSE | Lung MAE | Mediastinum SSIM | Mediastinum RMSE | Mediastinum MAE |
|---|---|---|---|---|---|---|---|---|---|---|---|---|
| PM03022021_slice_0 | 0.195 | 0.736 | 0.687 | 0.195 | 736.1 | 686.8 | 0.185 | 735.5 | 682.6 | 0.660 | 85.7 | 40.0 |
| PM03022021_slice_1 | 0.193 | 0.733 | 0.683 | 0.193 | 733.0 | 683.4 | 0.182 | 732.3 | 679.2 | 0.661 | 85.7 | 40.0 |
| PM03022021_slice_2 | 0.194 | 0.728 | 0.679 | 0.194 | 727.7 | 678.8 | 0.182 | 726.8 | 674.0 | 0.665 | 85.3 | 39.5 |
| PM03022021_slice_3 | 0.189 | 0.729 | 0.681 | 0.189 | 728.9 | 680.6 | 0.178 | 728.0 | 675.7 | 0.665 | 86.6 | 40.0 |
| PM03022021_slice_4 | 0.190 | 0.732 | 0.684 | 0.190 | 731.6 | 684.0 | 0.178 | 730.8 | 679.2 | 0.672 | 84.8 | 39.0 |
| PM03022021_slice_5 | 0.197 | 0.726 | 0.679 | 0.197 | 726.4 | 679.0 | 0.182 | 725.6 | 674.0 | 0.676 | 81.2 | 37.1 |
| PM03022021_slice_6 | 0.210 | 0.721 | 0.673 | 0.210 | 720.6 | 673.4 | 0.190 | 719.7 | 668.2 | 0.685 | 76.2 | 34.6 |
| PM03022021_slice_7 | 0.208 | 0.727 | 0.680 | 0.208 | 726.9 | 680.3 | 0.188 | 726.0 | 675.3 | 0.686 | 77.1 | 34.7 |
| PM03022021_slice_8 | 0.209 | 0.728 | 0.682 | 0.209 | 727.9 | 682.1 | 0.189 | 727.0 | 676.9 | 0.686 | 77.4 | 34.6 |
| PM03022021_slice_9 | 0.211 | 0.729 | 0.683 | 0.211 | 729.0 | 683.0 | 0.191 | 728.1 | 678.0 | 0.687 | 76.7 | 34.1 |
| PM03022021_slice_10 | 0.212 | 0.729 | 0.683 | 0.212 | 729.3 | 683.4 | 0.191 | 728.4 | 678.3 | 0.692 | 75.9 | 33.5 |
| PM03022021_slice_11 | 0.217 | 0.731 | 0.684 | 0.217 | 730.6 | 684.3 | 0.194 | 729.7 | 679.1 | 0.697 | 74.3 | 32.4 |
| PM03022021_slice_12 | 0.226 | 0.722 | 0.677 | 0.226 | 721.9 | 677.1 | 0.200 | 720.9 | 671.4 | 0.706 | 71.5 | 30.8 |
| PM03022021_slice_13 | 0.224 | 0.732 | 0.686 | 0.224 | 731.8 | 686.0 | 0.198 | 730.9 | 681.0 | 0.708 | 70.6 | 30.3 |
| PM03022021_slice_14 | 0.230 | 0.731 | 0.685 | 0.230 | 730.9 | 684.7 | 0.202 | 730.0 | 679.8 | 0.716 | 68.8 | 29.1 |
| PM03022021_slice_15 | 0.226 | 0.734 | 0.689 | 0.226 | 734.1 | 688.8 | 0.198 | 733.2 | 683.9 | 0.712 | 70.2 | 29.5 |
| PM03022021_slice_16 | 0.226 | 0.739 | 0.693 | 0.226 | 738.6 | 692.9 | 0.199 | 737.7 | 688.1 | 0.711 | 69.7 | 29.2 |
| PM03022021_slice_17 | 0.229 | 0.738 | 0.693 | 0.229 | 738.2 | 693.5 | 0.201 | 737.4 | 688.5 | 0.714 | 68.9 | 28.8 |
| PM03022021_slice_18 | 0.235 | 0.730 | 0.687 | 0.235 | 730.4 | 686.7 | 0.205 | 729.4 | 681.3 | 0.717 | 67.5 | 28.0 |
| PM03022021_slice_19 | 0.244 | 0.730 | 0.686 | 0.244 | 730.0 | 685.5 | 0.210 | 729.0 | 680.1 | 0.722 | 64.6 | 26.5 |
| PM03022021_slice_20 | 0.242 | 0.740 | 0.696 | 0.242 | 740.3 | 695.6 | 0.209 | 739.4 | 690.6 | 0.721 | 65.3 | 26.7 |
| PM03022021_slice_21 | 0.247 | 0.743 | 0.698 | 0.247 | 743.1 | 698.3 | 0.213 | 742.0 | 693.1 | 0.723 | 65.0 | 26.3 |
| PM03022021_slice_22 | 0.254 | 0.738 | 0.694 | 0.254 | 738.3 | 694.0 | 0.219 | 737.1 | 688.5 | 0.725 | 65.3 | 26.1 |
| PM03022021_slice_23 | 0.250 | 0.738 | 0.694 | 0.250 | 738.2 | 694.1 | 0.215 | 737.0 | 688.7 | 0.725 | 65.8 | 26.3 |
| PM03022021_slice_24 | 0.242 | 0.740 | 0.697 | 0.242 | 739.9 | 697.0 | 0.208 | 738.8 | 691.7 | 0.722 | 68.5 | 27.4 |
| PM03022021_slice_25 | 0.232 | 0.743 | 0.701 | 0.232 | 743.3 | 700.9 | 0.202 | 742.4 | 695.9 | 0.720 | 70.3 | 28.4 |
| PM03022021_slice_26 | 0.238 | 0.733 | 0.692 | 0.238 | 733.4 | 691.7 | 0.206 | 732.4 | 686.2 | 0.720 | 69.5 | 28.0 |
| PM03022021_slice_27 | 0.230 | 0.742 | 0.701 | 0.230 | 741.7 | 700.6 | 0.202 | 740.9 | 695.6 | 0.716 | 71.4 | 29.0 |
| PM03022021_slice_28 | 0.234 | 0.741 | 0.700 | 0.234 | 741.4 | 699.6 | 0.205 | 740.5 | 694.4 | 0.716 | 69.7 | 28.3 |
| PM03022021_slice_29 | 0.252 | 0.734 | 0.691 | 0.252 | 734.2 | 691.1 | 0.218 | 733.3 | 685.8 | 0.721 | 65.1 | 26.5 |
| PM03022021_slice_30 | 0.261 | 0.726 | 0.683 | 0.261 | 726.1 | 683.3 | 0.224 | 724.9 | 677.6 | 0.722 | 63.8 | 25.9 |
| PM03022021_slice_31 | 0.265 | 0.725 | 0.682 | 0.265 | 725.5 | 681.5 | 0.226 | 724.4 | 676.0 | 0.722 | 62.6 | 25.3 |
| PM03022021_slice_32 | 0.264 | 0.724 | 0.680 | 0.264 | 723.6 | 680.1 | 0.225 | 722.4 | 674.5 | 0.722 | 62.3 | 25.3 |
| PM03022021_slice_33 | 0.255 | 0.732 | 0.690 | 0.255 | 732.3 | 689.5 | 0.218 | 731.3 | 684.1 | 0.722 | 64.8 | 26.4 |
| PM03022021_slice_34 | 0.249 | 0.730 | 0.689 | 0.249 | 729.8 | 688.6 | 0.214 | 728.8 | 682.9 | 0.719 | 67.9 | 27.5 |
| PM03022021_slice_35 | 0.246 | 0.726 | 0.686 | 0.246 | 726.4 | 685.5 | 0.212 | 725.3 | 679.6 | 0.717 | 69.7 | 28.5 |
| PM03022021_slice_36 | 0.232 | 0.740 | 0.699 | 0.232 | 740.3 | 698.9 | 0.204 | 739.4 | 693.7 | 0.712 | 74.0 | 30.4 |
| PM03022021_slice_37 | 0.231 | 0.740 | 0.698 | 0.231 | 740.1 | 698.1 | 0.202 | 739.1 | 692.8 | 0.707 | 73.7 | 30.4 |
| PM03022021_slice_38 | 0.237 | 0.732 | 0.690 | 0.237 | 732.0 | 690.0 | 0.205 | 730.8 | 684.3 | 0.708 | 72.2 | 29.8 |
| PM03022021_slice_39 | 0.239 | 0.732 | 0.688 | 0.239 | 731.8 | 688.2 | 0.205 | 730.7 | 682.5 | 0.702 | 69.4 | 29.1 |
| PM03022021_slice_40 | 0.247 | 0.732 | 0.688 | 0.247 | 731.5 | 687.6 | 0.212 | 730.2 | 681.9 | 0.707 | 66.9 | 28.0 |
| PM03022021_slice_41 | 0.246 | 0.736 | 0.694 | 0.246 | 736.4 | 694.3 | 0.212 | 735.1 | 688.5 | 0.716 | 66.6 | 27.4 |
| PM03022021_slice_42 | 0.239 | 0.746 | 0.705 | 0.239 | 745.6 | 704.7 | 0.208 | 744.4 | 699.0 | 0.718 | 68.2 | 28.0 |
| PM03022021_slice_43 | 0.250 | 0.734 | 0.694 | 0.250 | 734.0 | 694.0 | 0.215 | 732.7 | 687.7 | 0.723 | 66.3 | 27.1 |
| PM03022021_slice_44 | 0.234 | 0.748 | 0.709 | 0.234 | 748.1 | 708.5 | 0.205 | 747.1 | 703.1 | 0.718 | 71.1 | 29.1 |
| PM03022021_slice_45 | 0.230 | 0.749 | 0.709 | 0.230 | 748.9 | 709.4 | 0.202 | 748.0 | 704.2 | 0.715 | 73.0 | 30.0 |
| PM03022021_slice_46 | 0.238 | 0.737 | 0.697 | 0.238 | 736.8 | 697.2 | 0.207 | 735.6 | 691.3 | 0.710 | 70.5 | 29.4 |
| PM03022021_slice_47 | 0.248 | 0.734 | 0.695 | 0.248 | 733.8 | 694.9 | 0.214 | 732.4 | 688.5 | 0.722 | 67.7 | 27.8 |
| PM03022021_slice_48 | 0.252 | 0.736 | 0.696 | 0.252 | 736.1 | 695.5 | 0.216 | 734.6 | 689.2 | 0.723 | 65.6 | 27.1 |
| PM03022021_slice_49 | 0.255 | 0.739 | 0.697 | 0.255 | 739.2 | 697.2 | 0.220 | 737.8 | 691.2 | 0.724 | 64.8 | 26.7 |
| PM03022021_slice_50 | 0.245 | 0.749 | 0.708 | 0.245 | 749.4 | 707.6 | 0.214 | 748.2 | 701.9 | 0.722 | 67.9 | 28.2 |
| PM03022021_slice_51 | 0.252 | 0.742 | 0.700 | 0.252 | 742.5 | 700.4 | 0.220 | 741.2 | 694.5 | 0.726 | 66.4 | 27.5 |
| PM03022021_slice_52 | 0.269 | 0.735 | 0.692 | 0.269 | 735.0 | 692.1 | 0.231 | 733.6 | 686.0 | 0.728 | 63.8 | 26.4 |
| PM03022021_slice_53 | 0.257 | 0.742 | 0.701 | 0.257 | 742.4 | 701.0 | 0.224 | 741.1 | 695.1 | 0.725 | 66.3 | 27.5 |
| PM03022021_slice_54 | 0.252 | 0.743 | 0.702 | 0.252 | 742.7 | 702.3 | 0.221 | 741.5 | 696.4 | 0.725 | 68.0 | 28.1 |
| PM03022021_slice_55 | 0.253 | 0.738 | 0.698 | 0.253 | 737.8 | 698.1 | 0.222 | 736.5 | 691.9 | 0.726 | 68.0 | 28.0 |
| PM03022021_slice_56 | 0.256 | 0.735 | 0.696 | 0.256 | 734.8 | 695.6 | 0.224 | 733.4 | 689.0 | 0.730 | 67.7 | 27.8 |
| PM03022021_slice_57 | 0.256 | 0.731 | 0.692 | 0.256 | 731.5 | 692.3 | 0.223 | 730.1 | 685.6 | 0.734 | 67.5 | 27.7 |
| PM03022021_slice_58 | 0.257 | 0.734 | 0.694 | 0.257 | 734.4 | 694.4 | 0.224 | 733.0 | 687.9 | 0.736 | 67.6 | 27.6 |
| PM03022021_slice_59 | 0.248 | 0.745 | 0.704 | 0.248 | 744.8 | 703.9 | 0.217 | 743.6 | 698.1 | 0.733 | 68.7 | 28.1 |
| PM03022021_slice_60 | 0.241 | 0.749 | 0.708 | 0.241 | 749.4 | 708.3 | 0.212 | 748.2 | 702.6 | 0.723 | 71.8 | 29.5 |
| PM03022021_slice_61 | 0.249 | 0.735 | 0.693 | 0.249 | 734.5 | 692.6 | 0.216 | 733.1 | 686.3 | 0.721 | 72.4 | 29.5 |
| PM03022021_slice_62 | 0.247 | 0.730 | 0.687 | 0.247 | 729.9 | 687.0 | 0.214 | 728.4 | 680.8 | 0.718 | 71.8 | 29.9 |
| PM03022021_slice_63 | 0.223 | 0.744 | 0.701 | 0.223 | 744.5 | 701.3 | 0.197 | 743.3 | 695.9 | 0.712 | 76.3 | 32.4 |
| PM03022021_slice_64 | 0.233 | 0.740 | 0.696 | 0.233 | 740.5 | 695.7 | 0.204 | 739.3 | 690.3 | 0.711 | 74.9 | 31.9 |
| PM03022021_slice_65 | 0.239 | 0.732 | 0.688 | 0.239 | 732.3 | 688.0 | 0.209 | 731.0 | 682.2 | 0.711 | 75.2 | 32.0 |
| PM03022021_slice_66 | 0.245 | 0.724 | 0.680 | 0.245 | 724.0 | 679.8 | 0.213 | 722.5 | 673.7 | 0.711 | 75.3 | 32.0 |
| PM03022021_slice_67 | 0.233 | 0.729 | 0.684 | 0.233 | 729.0 | 683.9 | 0.204 | 727.8 | 678.2 | 0.709 | 77.4 | 33.0 |
| PM03022021_slice_68 | 0.211 | 0.740 | 0.695 | 0.211 | 740.3 | 694.5 | 0.188 | 739.2 | 689.3 | 0.699 | 82.4 | 35.5 |
| PM03022021_slice_69 | 0.207 | 0.735 | 0.688 | 0.207 | 734.7 | 688.3 | 0.186 | 733.5 | 683.1 | 0.698 | 84.3 | 36.4 |
| PM03022021_slice_70 | 0.221 | 0.720 | 0.672 | 0.221 | 720.1 | 672.4 | 0.196 | 718.8 | 667.1 | 0.698 | 82.1 | 35.5 |
| PM03022021_slice_71 | 0.224 | 0.717 | 0.668 | 0.224 | 716.7 | 667.5 | 0.200 | 715.5 | 662.4 | 0.697 | 82.2 | 35.7 |
| PM03022021_slice_72 | 0.197 | 0.727 | 0.678 | 0.197 | 726.6 | 678.4 | 0.180 | 725.5 | 673.5 | 0.691 | 87.2 | 39.1 |
| PM03022021_slice_73 | 0.198 | 0.724 | 0.675 | 0.198 | 724.1 | 675.2 | 0.181 | 723.0 | 670.3 | 0.685 | 86.3 | 39.3 |
| PM03022021_slice_74 | 0.206 | 0.716 | 0.667 | 0.206 | 716.0 | 666.8 | 0.187 | 714.9 | 661.7 | 0.681 | 86.2 | 39.6 |
| PM03022021_slice_75 | 0.204 | 0.718 | 0.667 | 0.204 | 717.6 | 666.8 | 0.187 | 716.6 | 662.0 | 0.675 | 86.9 | 40.4 |
| PM03022021_slice_76 | 0.215 | 0.707 | 0.655 | 0.215 | 706.6 | 655.2 | 0.193 | 705.5 | 650.1 | 0.673 | 84.6 | 39.6 |
| PM03022021_slice_77 | 0.211 | 0.713 | 0.659 | 0.211 | 712.6 | 658.6 | 0.190 | 711.7 | 654.0 | 0.668 | 84.7 | 40.1 |
| PM03022021_slice_78 | 0.200 | 0.717 | 0.662 | 0.200 | 717.3 | 662.2 | 0.181 | 716.4 | 657.9 | 0.666 | 86.5 | 41.5 |
| PM03022021_slice_79 | 0.196 | 0.711 | 0.656 | 0.196 | 711.2 | 656.0 | 0.179 | 710.2 | 651.5 | 0.669 | 86.7 | 41.6 |
| PM03022021_slice_80 | 0.205 | 0.698 | 0.643 | 0.205 | 697.7 | 642.9 | 0.187 | 696.6 | 638.0 | 0.673 | 85.3 | 40.7 |
| PM03022021_slice_81 | 0.185 | 0.717 | 0.661 | 0.185 | 717.2 | 660.6 | 0.171 | 716.5 | 656.5 | 0.666 | 87.8 | 42.5 |
| PM03022021_slice_82 | 0.172 | 0.725 | 0.668 | 0.172 | 724.7 | 668.2 | 0.160 | 724.0 | 664.3 | 0.657 | 89.8 | 43.8 |
| PM03022021_slice_83 | 0.197 | 0.707 | 0.651 | 0.197 | 707.5 | 651.1 | 0.180 | 706.6 | 646.5 | 0.662 | 86.5 | 41.6 |
| PM03022021_slice_84 | 0.200 | 0.702 | 0.647 | 0.200 | 701.9 | 646.5 | 0.184 | 700.8 | 641.4 | 0.661 | 87.5 | 42.0 |
| PM03022021_slice_85 | 0.171 | 0.720 | 0.665 | 0.171 | 720.2 | 664.8 | 0.162 | 719.4 | 660.4 | 0.653 | 91.9 | 44.9 |
| PM03022021_slice_86 | 0.170 | 0.719 | 0.664 | 0.170 | 719.3 | 664.2 | 0.161 | 718.4 | 659.7 | 0.654 | 92.5 | 45.2 |
| PM03022021_slice_87 | 0.168 | 0.724 | 0.668 | 0.168 | 723.7 | 668.3 | 0.159 | 722.9 | 664.1 | 0.653 | 92.2 | 45.2 |
| PM03022021_slice_88 | 0.168 | 0.722 | 0.667 | 0.168 | 722.3 | 666.8 | 0.160 | 721.5 | 662.7 | 0.654 | 91.9 | 45.2 |
| PM03022021_slice_89 | 0.181 | 0.714 | 0.657 | 0.181 | 713.7 | 657.3 | 0.169 | 712.9 | 653.0 | 0.656 | 88.8 | 43.6 |
| PM03022021_slice_90 | 0.197 | 0.706 | 0.649 | 0.197 | 706.0 | 648.8 | 0.181 | 705.2 | 644.3 | 0.660 | 85.7 | 42.0 |
| PM03022021_slice_91 | 0.188 | 0.714 | 0.656 | 0.188 | 713.9 | 655.7 | 0.172 | 713.1 | 651.6 | 0.653 | 86.2 | 42.8 |
| PM03022021_slice_92 | 0.188 | 0.714 | 0.657 | 0.188 | 714.1 | 657.1 | 0.173 | 713.3 | 652.8 | 0.652 | 88.0 | 43.8 |
| PM03022021_slice_93 | 0.202 | 0.706 | 0.649 | 0.202 | 705.8 | 649.1 | 0.183 | 704.8 | 644.2 | 0.653 | 86.5 | 42.5 |
| PM03022021_slice_94 | 0.209 | 0.702 | 0.646 | 0.209 | 702.4 | 645.8 | 0.189 | 701.3 | 640.8 | 0.658 | 85.2 | 41.6 |
4Γ3 grid: Rows show different image types (Original NATIVE, Reconstructed NATIVE, Original VENOUS, Generated VENOUS), Columns show windowing techniques (No Window, Lung Window, Mediastinum Window)