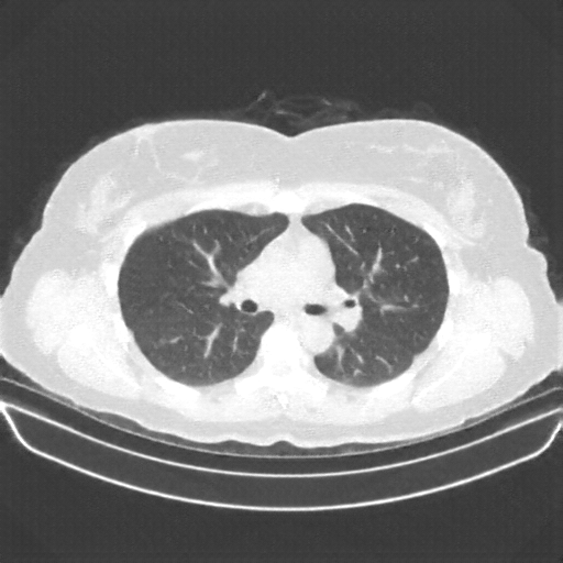
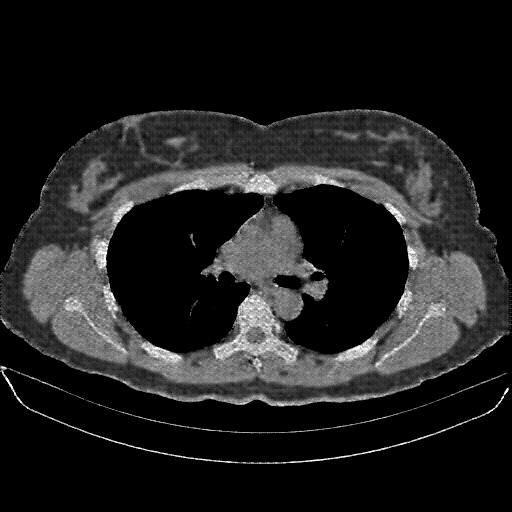
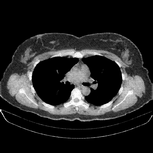
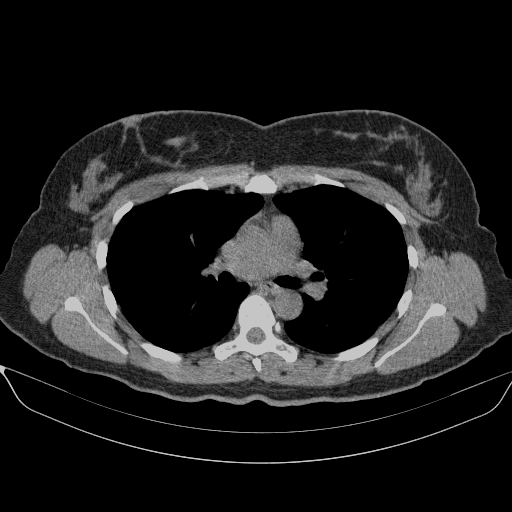
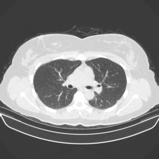
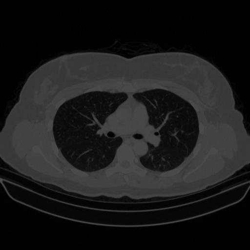
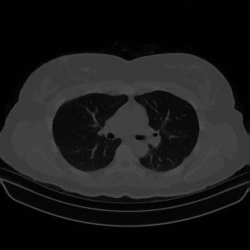
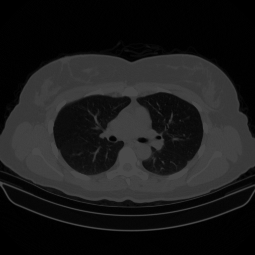
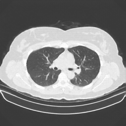
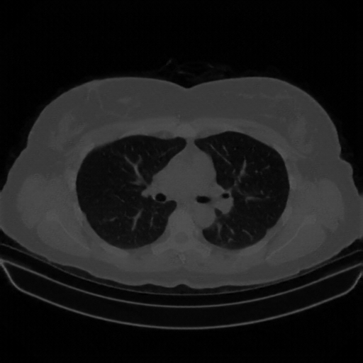
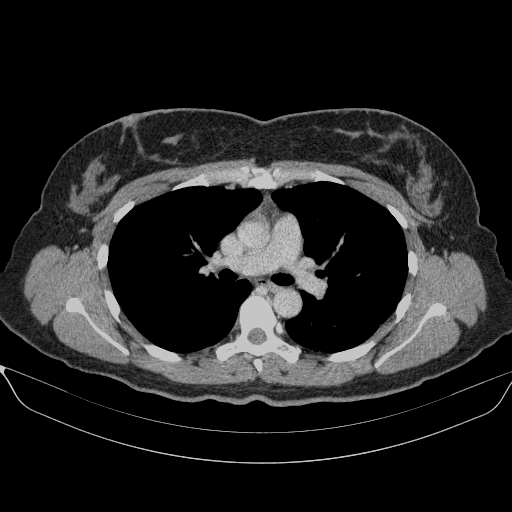
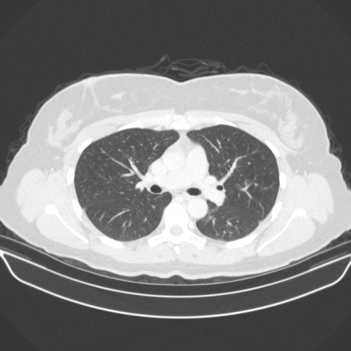
Slice 70 Targeting Evaluation
Patient ID: CV28012021
Model: cytran
Slice: Slice_70
Slice Thickness: 1.5mm
Conversion: NATIVE β VENOUS
Contains all 4 metric datasets: Network-Normalized, Hounsfield Units, Lung Window, and Mediastinum Window
| Slice ID | SSIM | RMSE | MAE | HU SSIM | HU RMSE | HU MAE | Lung SSIM | Lung RMSE | Lung MAE | Mediastinum SSIM | Mediastinum RMSE | Mediastinum MAE |
|---|---|---|---|---|---|---|---|---|---|---|---|---|
| CV28012021_slice_0 | 0.893 | 0.073 | 0.035 | 0.893 | 73.2 | 35.4 | 0.767 | 71.0 | 32.6 | 0.723 | 36.4 | 17.2 |
| CV28012021_slice_1 | 0.894 | 0.075 | 0.035 | 0.894 | 75.2 | 35.4 | 0.766 | 73.1 | 32.7 | 0.723 | 35.9 | 16.8 |
| CV28012021_slice_2 | 0.894 | 0.077 | 0.036 | 0.894 | 77.1 | 35.6 | 0.767 | 75.1 | 32.9 | 0.725 | 35.4 | 16.5 |
| CV28012021_slice_3 | 0.890 | 0.079 | 0.037 | 0.890 | 79.5 | 36.6 | 0.763 | 77.5 | 33.8 | 0.725 | 35.9 | 16.9 |
| CV28012021_slice_4 | 0.888 | 0.081 | 0.037 | 0.888 | 81.0 | 36.9 | 0.761 | 79.0 | 34.1 | 0.723 | 36.1 | 17.1 |
| CV28012021_slice_5 | 0.884 | 0.082 | 0.038 | 0.884 | 82.0 | 37.5 | 0.754 | 80.0 | 34.7 | 0.719 | 36.9 | 17.5 |
| CV28012021_slice_6 | 0.885 | 0.082 | 0.037 | 0.885 | 82.3 | 37.1 | 0.757 | 80.4 | 34.3 | 0.720 | 36.9 | 17.3 |
| CV28012021_slice_7 | 0.890 | 0.084 | 0.037 | 0.890 | 83.8 | 36.6 | 0.762 | 82.2 | 34.0 | 0.727 | 35.6 | 16.4 |
| CV28012021_slice_8 | 0.887 | 0.085 | 0.037 | 0.887 | 84.8 | 37.4 | 0.756 | 83.1 | 34.6 | 0.727 | 35.8 | 16.5 |
| CV28012021_slice_9 | 0.892 | 0.086 | 0.037 | 0.892 | 85.9 | 36.7 | 0.762 | 84.4 | 34.1 | 0.732 | 34.6 | 15.7 |
| CV28012021_slice_10 | 0.889 | 0.087 | 0.038 | 0.889 | 87.4 | 37.7 | 0.759 | 85.7 | 34.7 | 0.725 | 35.7 | 16.3 |
| CV28012021_slice_11 | 0.889 | 0.089 | 0.038 | 0.889 | 89.1 | 38.0 | 0.760 | 87.4 | 35.1 | 0.724 | 35.8 | 16.2 |
| CV28012021_slice_12 | 0.891 | 0.091 | 0.038 | 0.891 | 91.4 | 37.9 | 0.761 | 89.9 | 35.2 | 0.725 | 35.3 | 15.8 |
| CV28012021_slice_13 | 0.893 | 0.093 | 0.038 | 0.893 | 92.9 | 38.2 | 0.760 | 91.5 | 35.6 | 0.727 | 34.8 | 15.4 |
| CV28012021_slice_14 | 0.894 | 0.094 | 0.039 | 0.894 | 93.9 | 38.6 | 0.763 | 92.5 | 36.0 | 0.727 | 34.8 | 15.4 |
| CV28012021_slice_15 | 0.894 | 0.095 | 0.038 | 0.894 | 94.8 | 38.5 | 0.760 | 93.7 | 36.1 | 0.723 | 34.1 | 15.1 |
| CV28012021_slice_16 | 0.893 | 0.096 | 0.039 | 0.893 | 95.8 | 38.7 | 0.758 | 94.8 | 36.5 | 0.722 | 33.9 | 15.1 |
| CV28012021_slice_17 | 0.887 | 0.099 | 0.041 | 0.887 | 98.6 | 40.7 | 0.752 | 97.4 | 38.5 | 0.722 | 35.6 | 16.1 |
| CV28012021_slice_18 | 0.884 | 0.100 | 0.042 | 0.884 | 99.7 | 41.6 | 0.746 | 98.3 | 39.2 | 0.721 | 36.4 | 16.5 |
| CV28012021_slice_19 | 0.880 | 0.101 | 0.042 | 0.880 | 101.4 | 42.0 | 0.742 | 100.0 | 39.6 | 0.718 | 36.9 | 16.7 |
| CV28012021_slice_20 | 0.877 | 0.104 | 0.043 | 0.877 | 103.9 | 42.7 | 0.736 | 102.5 | 40.3 | 0.714 | 38.0 | 17.0 |
| CV28012021_slice_21 | 0.871 | 0.107 | 0.044 | 0.871 | 106.7 | 44.2 | 0.728 | 105.2 | 41.7 | 0.706 | 39.8 | 18.0 |
| CV28012021_slice_22 | 0.868 | 0.109 | 0.045 | 0.868 | 108.5 | 45.1 | 0.726 | 107.1 | 42.7 | 0.707 | 40.1 | 18.3 |
| CV28012021_slice_23 | 0.861 | 0.111 | 0.046 | 0.861 | 111.2 | 46.3 | 0.718 | 109.6 | 43.8 | 0.703 | 41.0 | 18.8 |
| CV28012021_slice_24 | 0.862 | 0.112 | 0.046 | 0.862 | 112.1 | 45.9 | 0.720 | 110.7 | 43.6 | 0.703 | 40.7 | 18.3 |
| CV28012021_slice_25 | 0.863 | 0.114 | 0.046 | 0.863 | 113.7 | 45.9 | 0.722 | 112.4 | 43.8 | 0.704 | 40.6 | 18.1 |
| CV28012021_slice_26 | 0.860 | 0.115 | 0.047 | 0.860 | 115.2 | 47.0 | 0.719 | 113.8 | 44.8 | 0.699 | 41.6 | 18.8 |
| CV28012021_slice_27 | 0.851 | 0.117 | 0.049 | 0.851 | 117.2 | 49.0 | 0.712 | 115.6 | 46.6 | 0.694 | 43.3 | 20.1 |
| CV28012021_slice_28 | 0.850 | 0.119 | 0.049 | 0.850 | 118.5 | 49.3 | 0.709 | 117.0 | 47.1 | 0.695 | 43.3 | 20.0 |
| CV28012021_slice_29 | 0.851 | 0.120 | 0.050 | 0.851 | 119.9 | 49.5 | 0.707 | 118.6 | 47.5 | 0.696 | 43.1 | 19.6 |
| CV28012021_slice_30 | 0.854 | 0.121 | 0.049 | 0.854 | 121.2 | 49.0 | 0.711 | 120.0 | 47.4 | 0.698 | 41.9 | 18.7 |
| CV28012021_slice_31 | 0.845 | 0.123 | 0.051 | 0.845 | 123.1 | 51.0 | 0.703 | 121.9 | 49.2 | 0.693 | 43.6 | 19.8 |
| CV28012021_slice_32 | 0.841 | 0.126 | 0.052 | 0.841 | 125.8 | 52.1 | 0.700 | 124.5 | 50.4 | 0.692 | 45.0 | 20.4 |
| CV28012021_slice_33 | 0.839 | 0.128 | 0.053 | 0.839 | 128.3 | 53.4 | 0.697 | 127.0 | 51.5 | 0.691 | 45.4 | 20.6 |
| CV28012021_slice_34 | 0.843 | 0.130 | 0.053 | 0.843 | 129.7 | 53.2 | 0.698 | 128.7 | 51.6 | 0.693 | 44.2 | 19.6 |
| CV28012021_slice_35 | 0.835 | 0.132 | 0.055 | 0.835 | 132.4 | 55.2 | 0.691 | 131.2 | 53.4 | 0.688 | 45.7 | 20.7 |
| CV28012021_slice_36 | 0.832 | 0.136 | 0.057 | 0.832 | 135.5 | 56.9 | 0.688 | 134.1 | 54.9 | 0.682 | 47.0 | 21.4 |
| CV28012021_slice_37 | 0.834 | 0.138 | 0.057 | 0.834 | 137.8 | 57.0 | 0.692 | 136.5 | 55.1 | 0.682 | 46.6 | 21.0 |
| CV28012021_slice_38 | 0.827 | 0.141 | 0.059 | 0.827 | 141.2 | 58.9 | 0.684 | 139.9 | 57.0 | 0.678 | 48.3 | 21.8 |
| CV28012021_slice_39 | 0.828 | 0.144 | 0.060 | 0.828 | 143.8 | 60.0 | 0.684 | 142.7 | 58.3 | 0.681 | 48.2 | 21.5 |
| CV28012021_slice_40 | 0.822 | 0.146 | 0.062 | 0.822 | 146.1 | 61.8 | 0.680 | 144.9 | 60.1 | 0.677 | 49.4 | 22.3 |
| CV28012021_slice_41 | 0.814 | 0.149 | 0.064 | 0.814 | 148.5 | 63.7 | 0.673 | 147.3 | 61.8 | 0.670 | 51.6 | 23.7 |
| CV28012021_slice_42 | 0.812 | 0.150 | 0.064 | 0.812 | 149.5 | 64.1 | 0.671 | 148.4 | 62.5 | 0.667 | 51.6 | 23.7 |
| CV28012021_slice_43 | 0.809 | 0.152 | 0.066 | 0.809 | 151.6 | 65.6 | 0.668 | 150.3 | 64.0 | 0.666 | 52.5 | 24.3 |
| CV28012021_slice_44 | 0.809 | 0.153 | 0.066 | 0.809 | 152.8 | 66.1 | 0.666 | 151.4 | 64.5 | 0.665 | 52.5 | 24.2 |
| CV28012021_slice_45 | 0.817 | 0.153 | 0.065 | 0.817 | 152.9 | 65.1 | 0.675 | 151.7 | 63.6 | 0.669 | 50.5 | 22.9 |
| CV28012021_slice_46 | 0.814 | 0.155 | 0.066 | 0.814 | 155.1 | 66.2 | 0.671 | 153.6 | 64.5 | 0.667 | 51.2 | 23.2 |
| CV28012021_slice_47 | 0.815 | 0.156 | 0.066 | 0.815 | 156.0 | 66.4 | 0.674 | 154.7 | 64.7 | 0.667 | 50.9 | 23.0 |
| CV28012021_slice_48 | 0.813 | 0.158 | 0.067 | 0.813 | 157.7 | 67.1 | 0.671 | 156.3 | 65.4 | 0.665 | 51.2 | 23.0 |
| CV28012021_slice_49 | 0.813 | 0.158 | 0.068 | 0.813 | 158.4 | 67.5 | 0.669 | 157.0 | 65.8 | 0.665 | 51.2 | 23.0 |
| CV28012021_slice_50 | 0.817 | 0.156 | 0.066 | 0.817 | 156.3 | 66.0 | 0.672 | 155.0 | 64.4 | 0.668 | 50.4 | 22.3 |
| CV28012021_slice_51 | 0.818 | 0.155 | 0.065 | 0.818 | 155.2 | 65.2 | 0.671 | 153.9 | 63.7 | 0.666 | 50.5 | 22.2 |
| CV28012021_slice_52 | 0.815 | 0.154 | 0.065 | 0.815 | 153.6 | 65.3 | 0.669 | 152.3 | 63.6 | 0.667 | 50.3 | 22.4 |
| CV28012021_slice_53 | 0.816 | 0.151 | 0.064 | 0.816 | 150.6 | 64.2 | 0.672 | 149.3 | 62.6 | 0.669 | 50.1 | 22.4 |
| CV28012021_slice_54 | 0.822 | 0.146 | 0.062 | 0.822 | 146.0 | 62.2 | 0.677 | 144.9 | 60.6 | 0.675 | 48.6 | 21.5 |
| CV28012021_slice_55 | 0.826 | 0.141 | 0.061 | 0.826 | 141.2 | 60.8 | 0.678 | 140.1 | 59.3 | 0.677 | 47.5 | 21.1 |
| CV28012021_slice_56 | 0.826 | 0.139 | 0.060 | 0.826 | 138.9 | 60.2 | 0.681 | 137.7 | 58.7 | 0.681 | 47.7 | 21.2 |
| CV28012021_slice_57 | 0.828 | 0.137 | 0.059 | 0.828 | 136.8 | 58.8 | 0.684 | 135.7 | 57.4 | 0.682 | 47.4 | 21.0 |
| CV28012021_slice_58 | 0.830 | 0.133 | 0.057 | 0.830 | 132.8 | 56.9 | 0.684 | 131.9 | 55.8 | 0.683 | 46.4 | 20.4 |
| CV28012021_slice_59 | 0.836 | 0.128 | 0.055 | 0.836 | 128.0 | 54.9 | 0.687 | 127.1 | 53.8 | 0.685 | 44.6 | 19.5 |
| CV28012021_slice_60 | 0.841 | 0.123 | 0.054 | 0.841 | 122.7 | 53.8 | 0.692 | 121.7 | 52.6 | 0.689 | 43.9 | 19.3 |
| CV28012021_slice_61 | 0.841 | 0.123 | 0.054 | 0.841 | 122.6 | 53.9 | 0.692 | 121.5 | 52.6 | 0.690 | 43.8 | 19.4 |
| CV28012021_slice_62 | 0.844 | 0.120 | 0.053 | 0.844 | 119.6 | 52.6 | 0.696 | 118.6 | 51.3 | 0.694 | 43.1 | 18.9 |
| CV28012021_slice_63 | 0.849 | 0.115 | 0.051 | 0.849 | 115.3 | 50.8 | 0.701 | 114.3 | 49.5 | 0.699 | 42.0 | 18.1 |
| CV28012021_slice_64 | 0.856 | 0.110 | 0.049 | 0.856 | 109.5 | 48.7 | 0.708 | 108.6 | 47.4 | 0.704 | 40.0 | 17.2 |
| CV28012021_slice_65 | 0.859 | 0.105 | 0.048 | 0.859 | 105.1 | 47.7 | 0.709 | 104.2 | 46.4 | 0.706 | 39.7 | 17.3 |
| CV28012021_slice_66 | 0.865 | 0.101 | 0.046 | 0.865 | 100.8 | 45.8 | 0.717 | 99.9 | 44.4 | 0.712 | 38.5 | 16.8 |
| CV28012021_slice_67 | 0.873 | 0.097 | 0.044 | 0.873 | 96.5 | 43.6 | 0.728 | 95.7 | 42.2 | 0.719 | 37.5 | 16.1 |
| CV28012021_slice_68 | 0.879 | 0.092 | 0.042 | 0.879 | 91.8 | 42.1 | 0.735 | 90.9 | 40.8 | 0.726 | 37.1 | 15.9 |
| CV28012021_slice_69 | 0.881 | 0.089 | 0.042 | 0.881 | 89.0 | 41.7 | 0.737 | 88.0 | 40.3 | 0.728 | 36.5 | 15.6 |
| CV28012021_slice_70 | 0.879 | 0.088 | 0.042 | 0.879 | 87.9 | 41.9 | 0.735 | 86.8 | 40.4 | 0.730 | 36.6 | 15.9 |
| CV28012021_slice_71 | 0.880 | 0.088 | 0.042 | 0.880 | 87.6 | 42.0 | 0.737 | 86.5 | 40.5 | 0.727 | 37.2 | 16.3 |
| CV28012021_slice_72 | 0.882 | 0.085 | 0.042 | 0.882 | 85.5 | 41.6 | 0.742 | 84.4 | 40.1 | 0.726 | 36.9 | 16.3 |
| CV28012021_slice_73 | 0.887 | 0.084 | 0.040 | 0.887 | 83.9 | 40.2 | 0.751 | 82.9 | 39.0 | 0.731 | 36.0 | 15.7 |
| CV28012021_slice_74 | 0.891 | 0.084 | 0.040 | 0.891 | 83.6 | 39.6 | 0.755 | 82.8 | 38.4 | 0.732 | 35.4 | 15.3 |
| CV28012021_slice_75 | 0.888 | 0.082 | 0.040 | 0.888 | 82.5 | 40.1 | 0.751 | 81.6 | 38.8 | 0.734 | 35.5 | 15.6 |
| CV28012021_slice_76 | 0.890 | 0.082 | 0.039 | 0.890 | 81.9 | 39.3 | 0.754 | 81.1 | 38.2 | 0.738 | 34.5 | 15.0 |
| CV28012021_slice_77 | 0.889 | 0.082 | 0.039 | 0.889 | 81.6 | 39.4 | 0.754 | 80.8 | 38.3 | 0.738 | 34.7 | 15.1 |
| CV28012021_slice_78 | 0.890 | 0.080 | 0.039 | 0.890 | 80.1 | 39.0 | 0.753 | 79.2 | 37.8 | 0.738 | 34.3 | 14.9 |
| CV28012021_slice_79 | 0.889 | 0.080 | 0.039 | 0.889 | 79.9 | 39.4 | 0.751 | 79.0 | 38.1 | 0.739 | 34.9 | 15.3 |
| CV28012021_slice_80 | 0.893 | 0.079 | 0.039 | 0.893 | 78.9 | 38.9 | 0.755 | 77.9 | 37.6 | 0.744 | 34.3 | 14.9 |
| CV28012021_slice_81 | 0.890 | 0.080 | 0.039 | 0.890 | 79.6 | 39.2 | 0.753 | 78.6 | 37.8 | 0.739 | 34.9 | 15.2 |
| CV28012021_slice_82 | 0.893 | 0.080 | 0.039 | 0.893 | 79.6 | 38.8 | 0.758 | 78.6 | 37.4 | 0.742 | 34.7 | 15.0 |
| CV28012021_slice_83 | 0.890 | 0.079 | 0.039 | 0.890 | 78.9 | 39.2 | 0.756 | 77.9 | 37.7 | 0.742 | 35.3 | 15.4 |
| CV28012021_slice_84 | 0.892 | 0.078 | 0.039 | 0.892 | 77.9 | 38.6 | 0.758 | 77.0 | 37.2 | 0.743 | 35.0 | 15.1 |
| CV28012021_slice_85 | 0.893 | 0.078 | 0.039 | 0.893 | 78.5 | 38.6 | 0.759 | 77.5 | 37.3 | 0.742 | 34.8 | 15.0 |
| CV28012021_slice_86 | 0.892 | 0.080 | 0.039 | 0.892 | 79.5 | 39.3 | 0.755 | 78.6 | 37.9 | 0.736 | 35.3 | 15.3 |
| CV28012021_slice_87 | 0.890 | 0.080 | 0.040 | 0.890 | 80.4 | 39.6 | 0.754 | 79.5 | 38.3 | 0.739 | 35.2 | 15.2 |
| CV28012021_slice_88 | 0.891 | 0.081 | 0.039 | 0.891 | 80.7 | 39.3 | 0.756 | 79.9 | 38.1 | 0.740 | 34.9 | 15.0 |
| CV28012021_slice_89 | 0.887 | 0.083 | 0.040 | 0.887 | 82.9 | 40.3 | 0.752 | 82.1 | 39.0 | 0.737 | 35.7 | 15.4 |
| CV28012021_slice_90 | 0.888 | 0.083 | 0.040 | 0.888 | 83.0 | 40.4 | 0.752 | 82.2 | 39.2 | 0.736 | 35.7 | 15.5 |
| CV28012021_slice_91 | 0.890 | 0.083 | 0.040 | 0.890 | 83.0 | 39.8 | 0.756 | 82.1 | 38.6 | 0.739 | 35.3 | 15.2 |
| CV28012021_slice_92 | 0.890 | 0.082 | 0.040 | 0.890 | 82.5 | 40.2 | 0.753 | 81.5 | 38.8 | 0.739 | 35.0 | 15.2 |
| CV28012021_slice_93 | 0.891 | 0.081 | 0.040 | 0.891 | 80.7 | 39.6 | 0.755 | 79.7 | 38.3 | 0.740 | 34.5 | 15.1 |
| CV28012021_slice_94 | 0.895 | 0.078 | 0.038 | 0.895 | 78.4 | 38.5 | 0.760 | 77.6 | 37.3 | 0.743 | 33.2 | 14.4 |
| CV28012021_slice_95 | 0.893 | 0.078 | 0.039 | 0.893 | 78.0 | 39.0 | 0.755 | 77.1 | 37.6 | 0.741 | 33.9 | 14.8 |
| CV28012021_slice_96 | 0.890 | 0.079 | 0.040 | 0.890 | 79.4 | 39.7 | 0.752 | 78.4 | 38.2 | 0.742 | 34.0 | 14.9 |
| CV28012021_slice_97 | 0.890 | 0.080 | 0.039 | 0.890 | 79.7 | 39.3 | 0.752 | 78.8 | 38.0 | 0.742 | 33.6 | 14.6 |
| CV28012021_slice_98 | 0.893 | 0.078 | 0.039 | 0.893 | 78.0 | 38.9 | 0.756 | 77.1 | 37.5 | 0.742 | 32.9 | 14.3 |
| CV28012021_slice_99 | 0.893 | 0.078 | 0.039 | 0.893 | 77.7 | 39.0 | 0.759 | 76.8 | 37.6 | 0.746 | 33.0 | 14.4 |
| CV28012021_slice_100 | 0.894 | 0.078 | 0.039 | 0.894 | 77.9 | 39.2 | 0.758 | 77.1 | 37.9 | 0.748 | 32.3 | 13.9 |
| CV28012021_slice_101 | 0.895 | 0.078 | 0.039 | 0.895 | 78.5 | 38.9 | 0.762 | 77.6 | 37.5 | 0.748 | 32.3 | 13.9 |
| CV28012021_slice_102 | 0.893 | 0.080 | 0.040 | 0.893 | 80.2 | 39.6 | 0.759 | 79.4 | 38.2 | 0.745 | 32.5 | 13.9 |
| CV28012021_slice_103 | 0.893 | 0.081 | 0.040 | 0.893 | 81.1 | 39.7 | 0.761 | 80.3 | 38.4 | 0.749 | 32.5 | 14.0 |
| CV28012021_slice_104 | 0.895 | 0.082 | 0.039 | 0.895 | 81.7 | 39.0 | 0.765 | 81.0 | 37.8 | 0.753 | 32.1 | 13.5 |
| CV28012021_slice_105 | 0.897 | 0.080 | 0.038 | 0.897 | 79.8 | 38.2 | 0.766 | 79.1 | 37.0 | 0.756 | 31.7 | 13.4 |
| CV28012021_slice_106 | 0.899 | 0.078 | 0.037 | 0.899 | 77.6 | 37.5 | 0.768 | 76.8 | 36.2 | 0.755 | 31.1 | 13.1 |
| CV28012021_slice_107 | 0.899 | 0.077 | 0.037 | 0.899 | 77.5 | 37.3 | 0.769 | 76.7 | 36.0 | 0.756 | 30.8 | 13.0 |
| CV28012021_slice_108 | 0.903 | 0.075 | 0.036 | 0.903 | 74.5 | 36.2 | 0.772 | 73.8 | 35.1 | 0.759 | 30.1 | 12.7 |
| CV28012021_slice_109 | 0.903 | 0.073 | 0.036 | 0.903 | 72.7 | 35.8 | 0.773 | 71.9 | 34.7 | 0.763 | 29.3 | 12.4 |
| CV28012021_slice_110 | 0.905 | 0.072 | 0.036 | 0.905 | 71.7 | 35.5 | 0.775 | 70.9 | 34.4 | 0.767 | 28.8 | 12.1 |
| CV28012021_slice_111 | 0.905 | 0.071 | 0.035 | 0.905 | 71.4 | 35.3 | 0.775 | 70.7 | 34.1 | 0.771 | 28.6 | 11.9 |
| CV28012021_slice_112 | 0.902 | 0.072 | 0.036 | 0.902 | 72.2 | 35.9 | 0.771 | 71.4 | 34.7 | 0.770 | 29.1 | 12.2 |
| CV28012021_slice_113 | 0.897 | 0.074 | 0.037 | 0.897 | 74.3 | 36.7 | 0.764 | 73.6 | 35.5 | 0.765 | 30.0 | 12.6 |
| CV28012021_slice_114 | 0.896 | 0.076 | 0.037 | 0.896 | 75.5 | 37.2 | 0.764 | 74.8 | 35.9 | 0.769 | 30.1 | 12.6 |
| CV28012021_slice_115 | 0.896 | 0.076 | 0.037 | 0.896 | 76.1 | 37.1 | 0.764 | 75.4 | 35.9 | 0.773 | 29.8 | 12.4 |
| CV28012021_slice_116 | 0.886 | 0.083 | 0.040 | 0.886 | 83.2 | 39.8 | 0.751 | 82.4 | 38.4 | 0.765 | 31.8 | 13.3 |
| CV28012021_slice_117 | 0.880 | 0.095 | 0.043 | 0.880 | 94.6 | 43.0 | 0.749 | 93.9 | 41.6 | 0.761 | 33.3 | 14.0 |
| CV28012021_slice_118 | 0.878 | 0.103 | 0.045 | 0.878 | 103.0 | 45.0 | 0.746 | 102.4 | 43.7 | 0.759 | 35.3 | 14.5 |
| CV28012021_slice_119 | 0.877 | 0.105 | 0.045 | 0.877 | 104.9 | 45.0 | 0.748 | 104.3 | 43.7 | 0.756 | 36.7 | 14.8 |
| CV28012021_slice_120 | 0.878 | 0.102 | 0.044 | 0.878 | 101.5 | 43.7 | 0.751 | 100.9 | 42.4 | 0.755 | 37.7 | 15.2 |
| CV28012021_slice_121 | 0.879 | 0.098 | 0.043 | 0.879 | 97.6 | 42.9 | 0.750 | 96.8 | 41.4 | 0.752 | 38.0 | 15.7 |
| CV28012021_slice_122 | 0.881 | 0.093 | 0.042 | 0.881 | 93.0 | 41.6 | 0.752 | 92.1 | 40.2 | 0.749 | 36.9 | 15.6 |
| CV28012021_slice_123 | 0.886 | 0.091 | 0.041 | 0.886 | 91.4 | 41.1 | 0.757 | 90.6 | 39.8 | 0.749 | 36.3 | 15.4 |
| CV28012021_slice_124 | 0.888 | 0.089 | 0.040 | 0.888 | 88.9 | 40.5 | 0.761 | 88.2 | 39.3 | 0.750 | 36.0 | 15.3 |
| CV28012021_slice_125 | 0.887 | 0.091 | 0.041 | 0.887 | 91.2 | 40.9 | 0.760 | 90.5 | 39.8 | 0.750 | 35.0 | 15.0 |
| CV28012021_slice_126 | 0.888 | 0.094 | 0.042 | 0.888 | 93.7 | 41.9 | 0.760 | 93.0 | 40.7 | 0.746 | 35.4 | 15.2 |
| CV28012021_slice_127 | 0.895 | 0.092 | 0.041 | 0.895 | 91.6 | 40.6 | 0.769 | 91.1 | 39.6 | 0.749 | 33.6 | 14.3 |
| CV28012021_slice_128 | 0.892 | 0.091 | 0.041 | 0.892 | 91.1 | 40.7 | 0.764 | 90.6 | 39.6 | 0.739 | 34.3 | 14.8 |
| CV28012021_slice_129 | 0.891 | 0.090 | 0.040 | 0.891 | 90.2 | 40.1 | 0.764 | 89.7 | 39.1 | 0.735 | 34.6 | 15.0 |
| CV28012021_slice_130 | 0.894 | 0.087 | 0.039 | 0.894 | 86.7 | 38.7 | 0.766 | 86.1 | 37.7 | 0.734 | 34.5 | 14.8 |
| CV28012021_slice_131 | 0.894 | 0.085 | 0.038 | 0.894 | 84.7 | 38.4 | 0.763 | 84.0 | 37.3 | 0.729 | 34.5 | 15.0 |
| CV28012021_slice_132 | 0.895 | 0.084 | 0.039 | 0.895 | 83.7 | 38.6 | 0.762 | 83.0 | 37.4 | 0.727 | 34.4 | 15.2 |
| CV28012021_slice_133 | 0.900 | 0.082 | 0.037 | 0.900 | 81.8 | 37.4 | 0.767 | 81.1 | 36.3 | 0.725 | 33.6 | 14.6 |
| CV28012021_slice_134 | 0.905 | 0.079 | 0.036 | 0.905 | 79.0 | 35.9 | 0.772 | 78.4 | 34.8 | 0.726 | 32.2 | 13.8 |
| CV28012021_slice_135 | 0.907 | 0.078 | 0.035 | 0.907 | 77.6 | 35.4 | 0.773 | 76.9 | 34.4 | 0.725 | 32.2 | 13.9 |
| CV28012021_slice_136 | 0.909 | 0.076 | 0.035 | 0.909 | 75.8 | 34.7 | 0.773 | 75.2 | 33.7 | 0.722 | 31.8 | 13.8 |
| CV28012021_slice_137 | 0.907 | 0.076 | 0.035 | 0.907 | 75.7 | 35.2 | 0.767 | 75.0 | 34.1 | 0.715 | 33.0 | 14.5 |
| CV28012021_slice_138 | 0.906 | 0.075 | 0.035 | 0.906 | 74.7 | 35.4 | 0.763 | 73.9 | 34.3 | 0.709 | 33.3 | 14.8 |
| CV28012021_slice_139 | 0.905 | 0.073 | 0.035 | 0.905 | 73.4 | 35.2 | 0.762 | 72.5 | 34.1 | 0.706 | 33.8 | 15.3 |
| CV28012021_slice_140 | 0.909 | 0.070 | 0.034 | 0.909 | 69.6 | 34.2 | 0.766 | 68.7 | 33.1 | 0.708 | 32.9 | 14.9 |
| CV28012021_slice_141 | 0.904 | 0.070 | 0.035 | 0.904 | 69.5 | 35.0 | 0.758 | 68.5 | 33.9 | 0.699 | 34.6 | 15.9 |
| CV28012021_slice_142 | 0.909 | 0.068 | 0.034 | 0.909 | 67.5 | 33.8 | 0.761 | 66.7 | 32.8 | 0.698 | 33.3 | 15.3 |
| CV28012021_slice_143 | 0.912 | 0.066 | 0.033 | 0.912 | 66.0 | 33.4 | 0.763 | 65.1 | 32.4 | 0.698 | 32.5 | 14.9 |
| CV28012021_slice_144 | 0.912 | 0.063 | 0.033 | 0.912 | 63.5 | 33.0 | 0.766 | 62.4 | 31.7 | 0.700 | 32.5 | 15.1 |
| CV28012021_slice_145 | 0.911 | 0.063 | 0.033 | 0.911 | 63.0 | 33.1 | 0.762 | 61.9 | 31.9 | 0.694 | 32.8 | 15.3 |
| CV28012021_slice_146 | 0.914 | 0.062 | 0.033 | 0.914 | 62.1 | 32.6 | 0.763 | 61.1 | 31.4 | 0.692 | 32.4 | 15.1 |
| CV28012021_slice_147 | 0.915 | 0.061 | 0.032 | 0.915 | 60.5 | 32.2 | 0.763 | 59.4 | 30.9 | 0.693 | 32.1 | 15.1 |
| CV28012021_slice_148 | 0.912 | 0.060 | 0.033 | 0.912 | 60.1 | 32.6 | 0.761 | 58.8 | 31.3 | 0.691 | 32.9 | 15.7 |
| CV28012021_slice_149 | 0.912 | 0.059 | 0.032 | 0.912 | 58.8 | 32.4 | 0.761 | 57.5 | 31.1 | 0.686 | 33.0 | 15.9 |
| CV28012021_slice_150 | 0.917 | 0.057 | 0.031 | 0.917 | 56.6 | 31.5 | 0.767 | 55.3 | 30.2 | 0.688 | 32.1 | 15.4 |
| CV28012021_slice_151 | 0.919 | 0.055 | 0.031 | 0.919 | 55.3 | 31.0 | 0.767 | 54.0 | 29.7 | 0.689 | 31.7 | 15.0 |
| CV28012021_slice_152 | 0.916 | 0.054 | 0.031 | 0.916 | 54.5 | 31.3 | 0.760 | 53.0 | 29.9 | 0.681 | 32.3 | 15.6 |
| CV28012021_slice_153 | 0.920 | 0.053 | 0.031 | 0.920 | 53.0 | 30.8 | 0.764 | 51.6 | 29.5 | 0.682 | 31.5 | 15.2 |
| CV28012021_slice_154 | 0.922 | 0.052 | 0.030 | 0.922 | 52.3 | 30.5 | 0.771 | 50.9 | 29.2 | 0.688 | 31.1 | 14.9 |
| CV28012021_slice_155 | 0.920 | 0.052 | 0.031 | 0.920 | 52.1 | 31.1 | 0.767 | 50.5 | 29.7 | 0.687 | 31.7 | 15.4 |
| CV28012021_slice_156 | 0.921 | 0.050 | 0.030 | 0.921 | 50.2 | 30.3 | 0.767 | 48.6 | 29.0 | 0.688 | 31.2 | 15.1 |
| CV28012021_slice_157 | 0.924 | 0.048 | 0.029 | 0.924 | 48.1 | 29.4 | 0.769 | 46.7 | 28.2 | 0.690 | 30.4 | 14.7 |
| CV28012021_slice_158 | 0.923 | 0.048 | 0.030 | 0.923 | 48.4 | 29.5 | 0.768 | 47.0 | 28.3 | 0.689 | 30.9 | 15.0 |
| CV28012021_slice_159 | 0.918 | 0.049 | 0.031 | 0.918 | 49.3 | 30.6 | 0.763 | 47.8 | 29.5 | 0.684 | 32.5 | 15.9 |
| CV28012021_slice_160 | 0.913 | 0.049 | 0.031 | 0.913 | 48.6 | 31.0 | 0.760 | 47.1 | 29.9 | 0.682 | 33.6 | 16.5 |
| CV28012021_slice_161 | 0.912 | 0.048 | 0.031 | 0.912 | 47.9 | 31.1 | 0.759 | 46.3 | 30.0 | 0.683 | 33.4 | 16.5 |
| CV28012021_slice_162 | 0.916 | 0.047 | 0.031 | 0.916 | 46.8 | 30.6 | 0.762 | 45.0 | 29.4 | 0.687 | 32.7 | 16.2 |
| CV28012021_slice_163 | 0.920 | 0.046 | 0.030 | 0.920 | 46.1 | 30.0 | 0.767 | 44.3 | 28.7 | 0.691 | 31.9 | 15.7 |
| CV28012021_slice_164 | 0.915 | 0.048 | 0.031 | 0.915 | 47.5 | 30.8 | 0.764 | 45.6 | 29.4 | 0.689 | 32.9 | 16.3 |
| CV28012021_slice_165 | 0.917 | 0.047 | 0.030 | 0.917 | 46.6 | 30.3 | 0.767 | 44.8 | 28.9 | 0.690 | 32.5 | 16.1 |
| CV28012021_slice_166 | 0.919 | 0.047 | 0.030 | 0.919 | 46.6 | 30.2 | 0.769 | 44.7 | 28.7 | 0.691 | 32.5 | 16.1 |
| CV28012021_slice_167 | 0.918 | 0.047 | 0.030 | 0.918 | 47.0 | 30.2 | 0.768 | 45.2 | 28.8 | 0.692 | 32.2 | 16.0 |
| CV28012021_slice_168 | 0.908 | 0.050 | 0.032 | 0.908 | 50.3 | 32.2 | 0.756 | 48.4 | 30.7 | 0.682 | 34.4 | 17.5 |
| CV28012021_slice_169 | 0.911 | 0.049 | 0.031 | 0.911 | 49.0 | 31.2 | 0.760 | 47.1 | 29.8 | 0.685 | 33.9 | 17.1 |
4Γ3 grid: Rows show different image types (Original NATIVE, Reconstructed NATIVE, Original VENOUS, Generated VENOUS), Columns show windowing techniques (No Window, Lung Window, Mediastinum Window)