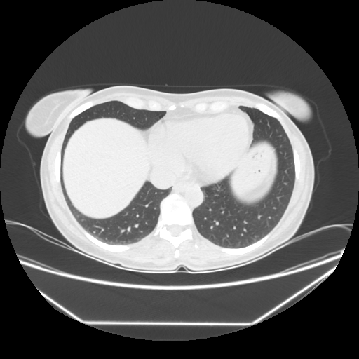
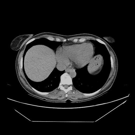
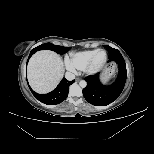
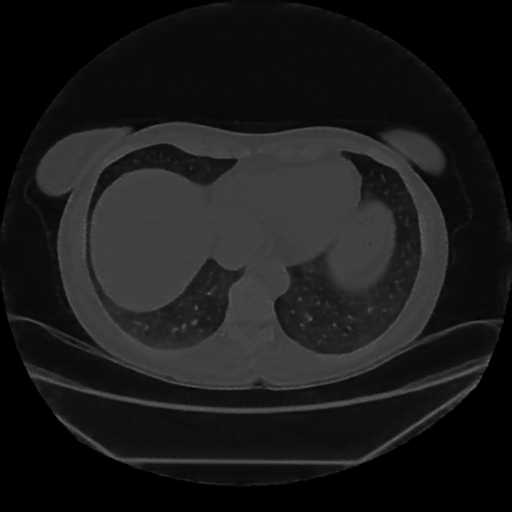
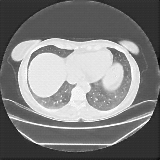
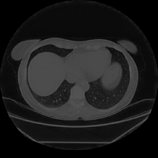
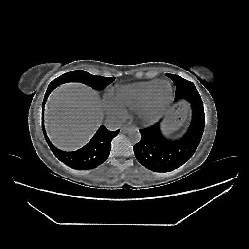
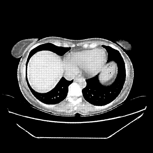
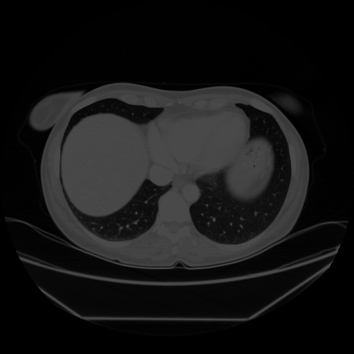
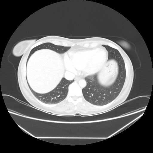
Slice 70 Targeting Evaluation
Patient ID: PM03022021
Model: cytran
Slice: Slice_70
Slice Thickness: 2.5mm
Conversion: NATIVE β VENOUS
Contains all 4 metric datasets: Network-Normalized, Hounsfield Units, Lung Window, and Mediastinum Window
| Slice ID | SSIM | RMSE | MAE | HU SSIM | HU RMSE | HU MAE | Lung SSIM | Lung RMSE | Lung MAE | Mediastinum SSIM | Mediastinum RMSE | Mediastinum MAE |
|---|---|---|---|---|---|---|---|---|---|---|---|---|
| PM03022021_slice_0 | 0.824 | 0.141 | 0.119 | 0.824 | 141.0 | 119.4 | 0.665 | 136.7 | 112.9 | 0.703 | 49.1 | 22.3 |
| PM03022021_slice_1 | 0.814 | 0.148 | 0.127 | 0.814 | 147.9 | 127.1 | 0.659 | 143.6 | 120.4 | 0.698 | 51.3 | 23.8 |
| PM03022021_slice_2 | 0.810 | 0.154 | 0.133 | 0.810 | 154.3 | 133.4 | 0.658 | 150.1 | 126.8 | 0.697 | 52.6 | 24.3 |
| PM03022021_slice_3 | 0.812 | 0.154 | 0.132 | 0.812 | 153.8 | 132.4 | 0.660 | 149.7 | 126.1 | 0.697 | 52.7 | 24.2 |
| PM03022021_slice_4 | 0.813 | 0.156 | 0.134 | 0.813 | 156.1 | 134.4 | 0.658 | 152.2 | 128.5 | 0.700 | 51.4 | 23.3 |
| PM03022021_slice_5 | 0.800 | 0.160 | 0.139 | 0.800 | 159.5 | 138.9 | 0.653 | 155.6 | 132.6 | 0.696 | 53.7 | 24.9 |
| PM03022021_slice_6 | 0.790 | 0.160 | 0.140 | 0.790 | 160.4 | 140.4 | 0.646 | 156.5 | 134.0 | 0.696 | 55.3 | 25.9 |
| PM03022021_slice_7 | 0.796 | 0.155 | 0.134 | 0.796 | 155.2 | 133.7 | 0.650 | 151.1 | 127.4 | 0.700 | 54.8 | 25.2 |
| PM03022021_slice_8 | 0.797 | 0.160 | 0.138 | 0.797 | 160.0 | 138.4 | 0.654 | 155.8 | 131.9 | 0.702 | 55.5 | 25.3 |
| PM03022021_slice_9 | 0.805 | 0.159 | 0.136 | 0.805 | 158.8 | 136.1 | 0.661 | 154.8 | 130.2 | 0.707 | 53.8 | 24.1 |
| PM03022021_slice_10 | 0.794 | 0.169 | 0.147 | 0.794 | 168.6 | 147.2 | 0.657 | 164.6 | 141.0 | 0.703 | 55.8 | 25.3 |
| PM03022021_slice_11 | 0.782 | 0.170 | 0.149 | 0.782 | 169.7 | 149.0 | 0.647 | 165.5 | 142.4 | 0.701 | 58.1 | 26.6 |
| PM03022021_slice_12 | 0.779 | 0.172 | 0.151 | 0.779 | 171.6 | 151.3 | 0.646 | 167.6 | 144.7 | 0.702 | 58.3 | 26.7 |
| PM03022021_slice_13 | 0.778 | 0.171 | 0.151 | 0.778 | 171.2 | 151.0 | 0.645 | 166.9 | 144.4 | 0.702 | 59.0 | 26.8 |
| PM03022021_slice_14 | 0.775 | 0.172 | 0.152 | 0.775 | 171.7 | 151.5 | 0.641 | 167.5 | 145.1 | 0.702 | 59.6 | 27.1 |
| PM03022021_slice_15 | 0.765 | 0.180 | 0.160 | 0.765 | 180.0 | 160.2 | 0.636 | 175.5 | 153.2 | 0.702 | 62.0 | 28.3 |
| PM03022021_slice_16 | 0.764 | 0.178 | 0.157 | 0.764 | 177.7 | 157.2 | 0.634 | 172.9 | 149.9 | 0.703 | 62.6 | 28.6 |
| PM03022021_slice_17 | 0.767 | 0.179 | 0.159 | 0.767 | 179.5 | 158.5 | 0.636 | 175.0 | 151.5 | 0.705 | 61.4 | 27.9 |
| PM03022021_slice_18 | 0.762 | 0.183 | 0.162 | 0.762 | 182.7 | 162.0 | 0.630 | 178.3 | 154.9 | 0.705 | 62.2 | 28.2 |
| PM03022021_slice_19 | 0.751 | 0.190 | 0.169 | 0.751 | 190.1 | 169.4 | 0.622 | 185.6 | 162.2 | 0.700 | 64.0 | 29.1 |
| PM03022021_slice_20 | 0.742 | 0.195 | 0.174 | 0.742 | 194.9 | 173.8 | 0.614 | 190.3 | 166.3 | 0.697 | 66.3 | 30.1 |
| PM03022021_slice_21 | 0.743 | 0.197 | 0.175 | 0.743 | 197.5 | 175.2 | 0.614 | 193.2 | 168.5 | 0.697 | 65.2 | 29.2 |
| PM03022021_slice_22 | 0.728 | 0.198 | 0.177 | 0.728 | 197.9 | 177.1 | 0.603 | 192.7 | 169.3 | 0.691 | 68.9 | 31.4 |
| PM03022021_slice_23 | 0.721 | 0.202 | 0.183 | 0.721 | 202.4 | 182.8 | 0.600 | 197.1 | 174.5 | 0.689 | 69.9 | 32.0 |
| PM03022021_slice_24 | 0.728 | 0.201 | 0.181 | 0.728 | 201.0 | 181.2 | 0.608 | 196.1 | 173.3 | 0.694 | 68.0 | 31.0 |
| PM03022021_slice_25 | 0.728 | 0.203 | 0.183 | 0.728 | 202.6 | 182.7 | 0.608 | 197.8 | 174.7 | 0.695 | 67.4 | 30.7 |
| PM03022021_slice_26 | 0.736 | 0.200 | 0.180 | 0.736 | 200.0 | 180.0 | 0.615 | 195.8 | 172.4 | 0.698 | 64.6 | 29.4 |
| PM03022021_slice_27 | 0.735 | 0.197 | 0.176 | 0.735 | 196.5 | 176.5 | 0.612 | 192.2 | 168.7 | 0.699 | 64.3 | 29.4 |
| PM03022021_slice_28 | 0.732 | 0.198 | 0.179 | 0.732 | 198.4 | 178.7 | 0.609 | 194.4 | 171.3 | 0.700 | 64.3 | 29.4 |
| PM03022021_slice_29 | 0.711 | 0.213 | 0.194 | 0.711 | 212.6 | 193.6 | 0.593 | 208.4 | 185.7 | 0.688 | 68.2 | 31.7 |
| PM03022021_slice_30 | 0.701 | 0.212 | 0.192 | 0.701 | 211.6 | 192.4 | 0.583 | 207.3 | 184.7 | 0.681 | 69.5 | 32.5 |
| PM03022021_slice_31 | 0.688 | 0.214 | 0.196 | 0.688 | 214.2 | 195.6 | 0.571 | 209.6 | 187.6 | 0.676 | 71.7 | 33.8 |
| PM03022021_slice_32 | 0.681 | 0.219 | 0.202 | 0.681 | 219.2 | 201.5 | 0.566 | 214.7 | 193.5 | 0.671 | 72.2 | 34.3 |
| PM03022021_slice_33 | 0.694 | 0.212 | 0.194 | 0.694 | 211.9 | 193.7 | 0.574 | 207.6 | 186.1 | 0.674 | 69.4 | 32.7 |
| PM03022021_slice_34 | 0.713 | 0.201 | 0.182 | 0.713 | 200.6 | 181.9 | 0.590 | 196.8 | 174.9 | 0.684 | 64.8 | 30.3 |
| PM03022021_slice_35 | 0.733 | 0.202 | 0.182 | 0.733 | 201.9 | 182.5 | 0.606 | 198.8 | 176.5 | 0.693 | 60.4 | 27.8 |
| PM03022021_slice_36 | 0.744 | 0.194 | 0.173 | 0.744 | 193.9 | 173.5 | 0.610 | 190.9 | 167.8 | 0.700 | 57.9 | 26.4 |
| PM03022021_slice_37 | 0.745 | 0.188 | 0.168 | 0.745 | 188.5 | 168.3 | 0.611 | 185.3 | 162.7 | 0.700 | 58.3 | 26.5 |
| PM03022021_slice_38 | 0.741 | 0.186 | 0.166 | 0.741 | 186.0 | 165.9 | 0.608 | 182.8 | 160.3 | 0.696 | 58.9 | 26.8 |
| PM03022021_slice_39 | 0.733 | 0.188 | 0.168 | 0.733 | 188.2 | 168.4 | 0.604 | 185.0 | 162.9 | 0.688 | 60.1 | 27.6 |
| PM03022021_slice_40 | 0.712 | 0.196 | 0.176 | 0.712 | 195.6 | 176.0 | 0.587 | 192.1 | 170.2 | 0.675 | 64.2 | 29.7 |
| PM03022021_slice_41 | 0.697 | 0.203 | 0.185 | 0.697 | 203.5 | 184.7 | 0.578 | 199.2 | 177.7 | 0.676 | 68.6 | 31.6 |
| PM03022021_slice_42 | 0.690 | 0.210 | 0.193 | 0.690 | 210.2 | 192.6 | 0.575 | 205.9 | 185.1 | 0.673 | 70.0 | 32.6 |
| PM03022021_slice_43 | 0.684 | 0.217 | 0.200 | 0.684 | 216.7 | 200.1 | 0.572 | 212.3 | 191.8 | 0.667 | 71.4 | 33.5 |
| PM03022021_slice_44 | 0.698 | 0.209 | 0.192 | 0.698 | 209.3 | 192.1 | 0.581 | 205.3 | 184.3 | 0.673 | 67.1 | 31.3 |
| PM03022021_slice_45 | 0.715 | 0.205 | 0.187 | 0.715 | 204.8 | 187.3 | 0.596 | 201.1 | 179.9 | 0.683 | 63.7 | 29.5 |
| PM03022021_slice_46 | 0.706 | 0.204 | 0.186 | 0.706 | 203.5 | 185.6 | 0.587 | 199.6 | 178.3 | 0.676 | 65.8 | 30.5 |
| PM03022021_slice_47 | 0.679 | 0.216 | 0.199 | 0.679 | 216.0 | 199.2 | 0.568 | 211.1 | 190.3 | 0.669 | 72.9 | 34.1 |
| PM03022021_slice_48 | 0.677 | 0.208 | 0.191 | 0.677 | 208.3 | 190.5 | 0.561 | 202.6 | 181.3 | 0.666 | 74.5 | 34.8 |
| PM03022021_slice_49 | 0.677 | 0.210 | 0.191 | 0.677 | 209.6 | 191.4 | 0.561 | 204.0 | 182.3 | 0.665 | 74.5 | 34.8 |
| PM03022021_slice_50 | 0.674 | 0.216 | 0.197 | 0.674 | 215.8 | 197.4 | 0.560 | 210.3 | 188.1 | 0.663 | 74.6 | 34.9 |
| PM03022021_slice_51 | 0.683 | 0.210 | 0.190 | 0.683 | 209.5 | 190.4 | 0.567 | 204.3 | 181.7 | 0.666 | 72.7 | 33.7 |
| PM03022021_slice_52 | 0.687 | 0.203 | 0.184 | 0.687 | 203.2 | 184.1 | 0.569 | 197.9 | 175.3 | 0.667 | 71.6 | 33.2 |
| PM03022021_slice_53 | 0.696 | 0.206 | 0.187 | 0.696 | 205.9 | 187.0 | 0.582 | 201.2 | 178.5 | 0.670 | 69.2 | 31.9 |
| PM03022021_slice_54 | 0.693 | 0.218 | 0.199 | 0.693 | 217.5 | 199.1 | 0.583 | 213.0 | 190.1 | 0.672 | 69.5 | 32.2 |
| PM03022021_slice_55 | 0.700 | 0.218 | 0.199 | 0.700 | 217.6 | 199.3 | 0.590 | 213.4 | 190.3 | 0.678 | 68.1 | 31.5 |
| PM03022021_slice_56 | 0.704 | 0.216 | 0.198 | 0.704 | 215.8 | 197.6 | 0.596 | 211.3 | 188.2 | 0.681 | 67.7 | 31.3 |
| PM03022021_slice_57 | 0.707 | 0.216 | 0.198 | 0.707 | 215.8 | 197.8 | 0.598 | 211.2 | 188.3 | 0.687 | 67.5 | 31.0 |
| PM03022021_slice_58 | 0.709 | 0.217 | 0.199 | 0.709 | 217.4 | 199.2 | 0.597 | 212.7 | 189.6 | 0.690 | 67.5 | 30.9 |
| PM03022021_slice_59 | 0.710 | 0.219 | 0.200 | 0.710 | 219.0 | 200.5 | 0.597 | 214.1 | 190.7 | 0.689 | 68.2 | 31.1 |
| PM03022021_slice_60 | 0.708 | 0.216 | 0.196 | 0.708 | 215.7 | 196.4 | 0.597 | 211.1 | 187.4 | 0.682 | 69.1 | 31.6 |
| PM03022021_slice_61 | 0.722 | 0.204 | 0.183 | 0.722 | 203.8 | 182.8 | 0.603 | 199.3 | 174.7 | 0.681 | 66.2 | 29.8 |
| PM03022021_slice_62 | 0.733 | 0.204 | 0.183 | 0.733 | 204.4 | 183.1 | 0.616 | 200.1 | 175.3 | 0.682 | 64.7 | 28.9 |
| PM03022021_slice_63 | 0.747 | 0.200 | 0.177 | 0.747 | 200.3 | 177.2 | 0.624 | 196.3 | 170.3 | 0.686 | 62.0 | 27.0 |
| PM03022021_slice_64 | 0.757 | 0.199 | 0.174 | 0.757 | 198.5 | 174.4 | 0.633 | 194.8 | 167.8 | 0.690 | 60.6 | 26.0 |
| PM03022021_slice_65 | 0.760 | 0.199 | 0.174 | 0.760 | 198.6 | 174.1 | 0.638 | 194.9 | 167.1 | 0.691 | 60.8 | 26.1 |
| PM03022021_slice_66 | 0.761 | 0.203 | 0.178 | 0.761 | 203.5 | 178.5 | 0.640 | 199.9 | 171.2 | 0.691 | 60.4 | 25.9 |
| PM03022021_slice_67 | 0.762 | 0.210 | 0.184 | 0.762 | 210.0 | 183.6 | 0.641 | 206.4 | 176.3 | 0.694 | 60.9 | 25.9 |
| PM03022021_slice_68 | 0.755 | 0.214 | 0.187 | 0.755 | 214.0 | 186.6 | 0.638 | 210.0 | 178.5 | 0.692 | 63.0 | 27.3 |
| PM03022021_slice_69 | 0.759 | 0.211 | 0.183 | 0.759 | 211.3 | 182.7 | 0.641 | 207.2 | 174.7 | 0.691 | 63.0 | 27.4 |
| PM03022021_slice_70 | 0.768 | 0.211 | 0.180 | 0.768 | 210.7 | 180.3 | 0.646 | 206.9 | 172.6 | 0.694 | 60.6 | 26.2 |
| PM03022021_slice_71 | 0.775 | 0.208 | 0.179 | 0.775 | 208.3 | 178.6 | 0.651 | 204.5 | 170.8 | 0.694 | 59.2 | 25.4 |
| PM03022021_slice_72 | 0.784 | 0.205 | 0.175 | 0.784 | 204.8 | 174.7 | 0.656 | 201.1 | 167.4 | 0.695 | 57.9 | 24.5 |
| PM03022021_slice_73 | 0.788 | 0.205 | 0.175 | 0.788 | 204.5 | 174.7 | 0.659 | 200.8 | 167.4 | 0.695 | 56.4 | 24.0 |
| PM03022021_slice_74 | 0.802 | 0.190 | 0.164 | 0.802 | 189.7 | 163.9 | 0.667 | 186.1 | 157.3 | 0.698 | 54.0 | 22.5 |
| PM03022021_slice_75 | 0.806 | 0.184 | 0.158 | 0.806 | 184.1 | 158.0 | 0.671 | 180.5 | 151.5 | 0.697 | 53.4 | 22.5 |
| PM03022021_slice_76 | 0.807 | 0.185 | 0.159 | 0.807 | 184.9 | 158.9 | 0.671 | 181.4 | 152.5 | 0.693 | 53.5 | 22.7 |
| PM03022021_slice_77 | 0.811 | 0.185 | 0.159 | 0.811 | 184.7 | 159.0 | 0.676 | 181.5 | 152.8 | 0.690 | 53.3 | 22.6 |
| PM03022021_slice_78 | 0.816 | 0.182 | 0.156 | 0.816 | 182.4 | 156.4 | 0.682 | 179.3 | 150.5 | 0.690 | 52.4 | 22.0 |
| PM03022021_slice_79 | 0.822 | 0.179 | 0.152 | 0.822 | 178.7 | 151.6 | 0.685 | 176.1 | 146.5 | 0.691 | 49.9 | 20.7 |
| PM03022021_slice_80 | 0.826 | 0.179 | 0.152 | 0.826 | 179.5 | 152.4 | 0.686 | 176.9 | 147.4 | 0.689 | 49.4 | 20.2 |
| PM03022021_slice_81 | 0.834 | 0.177 | 0.148 | 0.834 | 176.6 | 148.3 | 0.689 | 174.2 | 143.8 | 0.694 | 48.0 | 19.3 |
| PM03022021_slice_82 | 0.838 | 0.176 | 0.147 | 0.838 | 175.7 | 146.7 | 0.694 | 173.4 | 142.4 | 0.699 | 47.4 | 19.1 |
| PM03022021_slice_83 | 0.838 | 0.175 | 0.145 | 0.838 | 174.5 | 144.7 | 0.691 | 172.2 | 140.5 | 0.697 | 47.5 | 19.1 |
| PM03022021_slice_84 | 0.838 | 0.175 | 0.145 | 0.838 | 175.2 | 145.4 | 0.692 | 172.9 | 141.1 | 0.694 | 47.5 | 19.3 |
| PM03022021_slice_85 | 0.840 | 0.166 | 0.136 | 0.840 | 166.2 | 136.2 | 0.687 | 163.6 | 131.7 | 0.693 | 47.6 | 19.3 |
| PM03022021_slice_86 | 0.840 | 0.166 | 0.136 | 0.840 | 166.2 | 135.8 | 0.688 | 163.7 | 131.4 | 0.694 | 47.7 | 19.3 |
| PM03022021_slice_87 | 0.842 | 0.167 | 0.136 | 0.842 | 166.8 | 136.2 | 0.691 | 164.6 | 131.9 | 0.696 | 46.7 | 18.9 |
| PM03022021_slice_88 | 0.842 | 0.170 | 0.139 | 0.842 | 170.3 | 138.8 | 0.693 | 168.1 | 134.6 | 0.694 | 46.6 | 18.9 |
| PM03022021_slice_89 | 0.839 | 0.173 | 0.140 | 0.839 | 173.4 | 140.1 | 0.688 | 171.1 | 135.8 | 0.689 | 47.3 | 19.5 |
| PM03022021_slice_90 | 0.835 | 0.172 | 0.139 | 0.835 | 172.1 | 139.2 | 0.685 | 169.7 | 134.8 | 0.681 | 48.4 | 20.2 |
| PM03022021_slice_91 | 0.829 | 0.170 | 0.138 | 0.829 | 169.5 | 138.3 | 0.677 | 166.9 | 133.6 | 0.676 | 49.3 | 20.8 |
| PM03022021_slice_92 | 0.826 | 0.169 | 0.137 | 0.826 | 168.6 | 137.3 | 0.673 | 165.9 | 132.5 | 0.676 | 49.9 | 21.1 |
| PM03022021_slice_93 | 0.825 | 0.172 | 0.140 | 0.825 | 172.2 | 140.3 | 0.672 | 169.4 | 135.5 | 0.676 | 50.2 | 21.4 |
| PM03022021_slice_94 | 0.822 | 0.170 | 0.139 | 0.822 | 169.9 | 139.0 | 0.670 | 167.0 | 134.1 | 0.678 | 50.4 | 21.5 |
4Γ3 grid: Rows show different image types (Original NATIVE, Reconstructed NATIVE, Original VENOUS, Generated VENOUS), Columns show windowing techniques (No Window, Lung Window, Mediastinum Window)