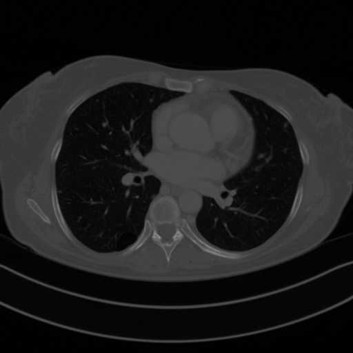
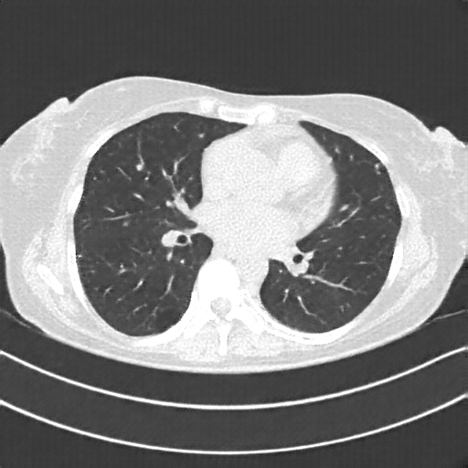
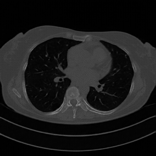
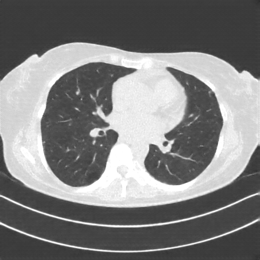
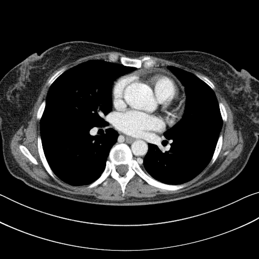
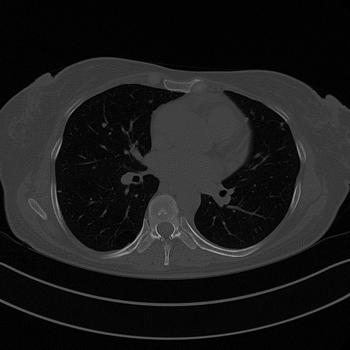
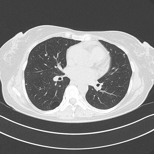
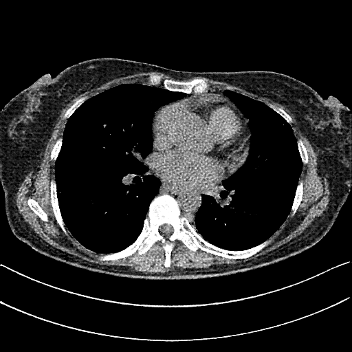
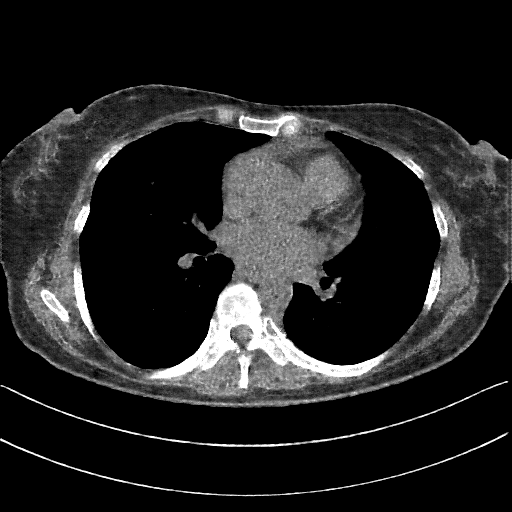
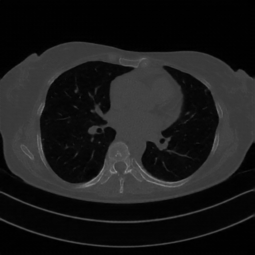
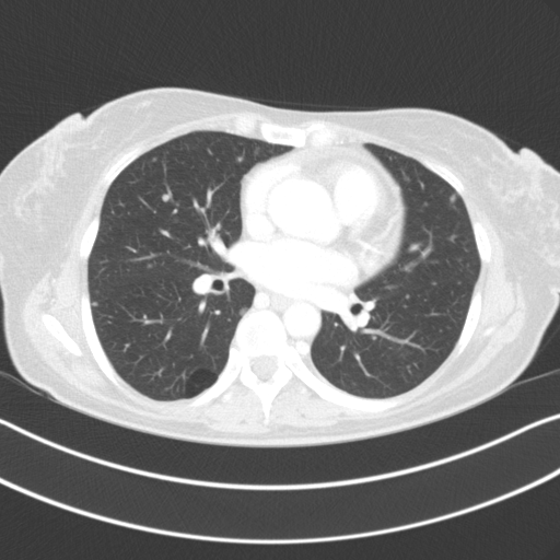
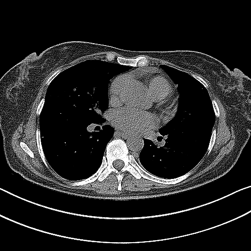
Slice 70 Targeting Evaluation
Patient ID: PN17122020
Model: cytran
Slice: Slice_70
Slice Thickness: 3.0mm
Conversion: NATIVE β VENOUS
Contains all 4 metric datasets: Network-Normalized, Hounsfield Units, Lung Window, and Mediastinum Window
| Slice ID | SSIM | RMSE | MAE | HU SSIM | HU RMSE | HU MAE | Lung SSIM | Lung RMSE | Lung MAE | Mediastinum SSIM | Mediastinum RMSE | Mediastinum MAE |
|---|---|---|---|---|---|---|---|---|---|---|---|---|
| PN17122020_slice_0 | 0.846 | 0.103 | 0.045 | 0.846 | 102.8 | 44.7 | 0.745 | 62.9 | 31.3 | 0.668 | 49.3 | 21.6 |
| PN17122020_slice_1 | 0.841 | 0.101 | 0.046 | 0.841 | 101.4 | 45.5 | 0.738 | 64.1 | 32.4 | 0.664 | 50.0 | 22.0 |
| PN17122020_slice_2 | 0.835 | 0.105 | 0.047 | 0.835 | 104.7 | 47.4 | 0.731 | 67.9 | 34.1 | 0.660 | 50.5 | 22.5 |
| PN17122020_slice_3 | 0.832 | 0.106 | 0.048 | 0.832 | 105.6 | 48.2 | 0.725 | 69.7 | 34.9 | 0.656 | 50.8 | 22.6 |
| PN17122020_slice_4 | 0.833 | 0.106 | 0.049 | 0.833 | 105.6 | 48.7 | 0.723 | 68.6 | 35.2 | 0.657 | 51.0 | 22.7 |
| PN17122020_slice_5 | 0.825 | 0.106 | 0.049 | 0.825 | 106.0 | 49.4 | 0.721 | 69.1 | 36.0 | 0.659 | 53.3 | 23.5 |
| PN17122020_slice_6 | 0.820 | 0.109 | 0.051 | 0.820 | 109.5 | 50.5 | 0.719 | 74.7 | 36.9 | 0.657 | 52.6 | 23.3 |
| PN17122020_slice_7 | 0.822 | 0.115 | 0.052 | 0.822 | 115.2 | 52.1 | 0.721 | 80.7 | 38.1 | 0.657 | 51.7 | 22.8 |
| PN17122020_slice_8 | 0.815 | 0.123 | 0.055 | 0.815 | 122.7 | 54.7 | 0.714 | 88.5 | 40.5 | 0.654 | 54.2 | 23.5 |
| PN17122020_slice_9 | 0.819 | 0.126 | 0.055 | 0.819 | 126.0 | 55.5 | 0.714 | 93.4 | 41.6 | 0.654 | 54.7 | 23.6 |
| PN17122020_slice_10 | 0.822 | 0.126 | 0.056 | 0.822 | 126.3 | 55.7 | 0.715 | 94.7 | 42.3 | 0.652 | 55.5 | 23.8 |
| PN17122020_slice_11 | 0.824 | 0.122 | 0.054 | 0.824 | 122.1 | 54.4 | 0.717 | 90.8 | 41.3 | 0.656 | 55.3 | 23.5 |
| PN17122020_slice_12 | 0.834 | 0.116 | 0.052 | 0.834 | 115.9 | 51.8 | 0.727 | 84.8 | 39.2 | 0.669 | 52.6 | 22.2 |
| PN17122020_slice_13 | 0.842 | 0.113 | 0.050 | 0.842 | 112.9 | 50.4 | 0.733 | 81.5 | 38.3 | 0.677 | 50.4 | 21.1 |
| PN17122020_slice_14 | 0.848 | 0.110 | 0.050 | 0.848 | 109.8 | 49.6 | 0.738 | 78.7 | 37.7 | 0.683 | 49.1 | 20.6 |
| PN17122020_slice_15 | 0.845 | 0.111 | 0.051 | 0.845 | 110.7 | 50.6 | 0.736 | 79.2 | 38.4 | 0.688 | 49.7 | 20.8 |
| PN17122020_slice_16 | 0.843 | 0.114 | 0.053 | 0.843 | 114.2 | 52.6 | 0.734 | 81.6 | 39.8 | 0.688 | 50.7 | 21.0 |
| PN17122020_slice_17 | 0.849 | 0.112 | 0.052 | 0.849 | 112.4 | 51.8 | 0.740 | 80.7 | 39.7 | 0.691 | 49.2 | 20.3 |
| PN17122020_slice_18 | 0.856 | 0.108 | 0.049 | 0.856 | 108.2 | 49.5 | 0.746 | 79.7 | 38.5 | 0.695 | 46.9 | 19.2 |
| PN17122020_slice_19 | 0.856 | 0.105 | 0.049 | 0.856 | 104.5 | 48.7 | 0.742 | 80.0 | 38.7 | 0.695 | 47.1 | 19.4 |
| PN17122020_slice_20 | 0.860 | 0.102 | 0.048 | 0.860 | 101.8 | 48.1 | 0.744 | 79.1 | 38.8 | 0.701 | 46.5 | 19.2 |
| PN17122020_slice_21 | 0.859 | 0.102 | 0.048 | 0.859 | 102.3 | 48.3 | 0.742 | 79.0 | 38.9 | 0.701 | 47.4 | 19.5 |
| PN17122020_slice_22 | 0.861 | 0.101 | 0.048 | 0.861 | 101.0 | 47.7 | 0.742 | 78.4 | 38.7 | 0.705 | 46.5 | 19.0 |
| PN17122020_slice_23 | 0.866 | 0.097 | 0.046 | 0.866 | 97.0 | 46.3 | 0.748 | 75.3 | 37.5 | 0.717 | 43.9 | 17.9 |
| PN17122020_slice_24 | 0.870 | 0.096 | 0.046 | 0.870 | 95.9 | 45.7 | 0.753 | 73.5 | 36.7 | 0.722 | 42.7 | 17.2 |
| PN17122020_slice_25 | 0.870 | 0.097 | 0.046 | 0.870 | 97.4 | 46.1 | 0.753 | 73.5 | 36.8 | 0.724 | 42.7 | 17.1 |
| PN17122020_slice_26 | 0.873 | 0.097 | 0.046 | 0.873 | 97.0 | 46.3 | 0.759 | 73.1 | 37.2 | 0.727 | 43.2 | 17.0 |
| PN17122020_slice_27 | 0.870 | 0.098 | 0.047 | 0.870 | 97.8 | 47.4 | 0.755 | 74.7 | 38.5 | 0.728 | 43.8 | 17.3 |
| PN17122020_slice_28 | 0.865 | 0.096 | 0.049 | 0.865 | 96.4 | 48.5 | 0.746 | 76.1 | 40.1 | 0.721 | 44.4 | 18.0 |
| PN17122020_slice_29 | 0.866 | 0.094 | 0.048 | 0.866 | 93.8 | 48.2 | 0.746 | 75.9 | 40.4 | 0.724 | 44.2 | 17.9 |
| PN17122020_slice_30 | 0.870 | 0.095 | 0.048 | 0.870 | 95.0 | 48.0 | 0.749 | 76.0 | 40.4 | 0.727 | 43.3 | 17.5 |
| PN17122020_slice_31 | 0.872 | 0.095 | 0.048 | 0.872 | 95.2 | 48.0 | 0.748 | 77.5 | 40.8 | 0.726 | 43.3 | 17.5 |
| PN17122020_slice_32 | 0.874 | 0.094 | 0.048 | 0.874 | 93.7 | 47.9 | 0.750 | 75.4 | 40.4 | 0.727 | 43.3 | 17.6 |
| PN17122020_slice_33 | 0.876 | 0.092 | 0.047 | 0.876 | 91.9 | 47.4 | 0.749 | 73.8 | 39.8 | 0.727 | 42.8 | 17.4 |
| PN17122020_slice_34 | 0.877 | 0.094 | 0.048 | 0.877 | 93.9 | 47.8 | 0.748 | 73.7 | 39.8 | 0.733 | 42.6 | 17.1 |
| PN17122020_slice_35 | 0.880 | 0.094 | 0.048 | 0.880 | 94.4 | 47.8 | 0.755 | 72.6 | 39.2 | 0.739 | 41.9 | 16.7 |
| PN17122020_slice_36 | 0.880 | 0.094 | 0.049 | 0.880 | 94.0 | 48.5 | 0.751 | 73.1 | 40.2 | 0.737 | 42.7 | 17.0 |
| PN17122020_slice_37 | 0.874 | 0.098 | 0.051 | 0.874 | 97.6 | 50.7 | 0.743 | 75.6 | 42.1 | 0.731 | 44.1 | 17.9 |
| PN17122020_slice_38 | 0.872 | 0.097 | 0.051 | 0.872 | 97.0 | 51.3 | 0.739 | 77.1 | 43.0 | 0.729 | 45.2 | 18.4 |
| PN17122020_slice_39 | 0.872 | 0.095 | 0.051 | 0.872 | 95.0 | 50.7 | 0.735 | 77.2 | 43.1 | 0.727 | 44.8 | 18.4 |
| PN17122020_slice_40 | 0.869 | 0.093 | 0.050 | 0.869 | 93.5 | 50.4 | 0.728 | 77.9 | 43.4 | 0.724 | 43.9 | 18.5 |
| PN17122020_slice_41 | 0.868 | 0.093 | 0.050 | 0.868 | 92.5 | 50.0 | 0.728 | 79.6 | 43.7 | 0.724 | 43.8 | 18.4 |
| PN17122020_slice_42 | 0.870 | 0.095 | 0.050 | 0.870 | 94.9 | 50.1 | 0.729 | 80.2 | 43.4 | 0.726 | 45.3 | 18.6 |
| PN17122020_slice_43 | 0.866 | 0.101 | 0.051 | 0.866 | 101.4 | 51.4 | 0.722 | 83.0 | 43.9 | 0.723 | 46.3 | 19.0 |
| PN17122020_slice_44 | 0.866 | 0.102 | 0.051 | 0.866 | 102.2 | 51.1 | 0.726 | 83.2 | 43.2 | 0.725 | 44.8 | 18.3 |
| PN17122020_slice_45 | 0.865 | 0.102 | 0.051 | 0.865 | 102.3 | 51.1 | 0.725 | 82.2 | 42.7 | 0.726 | 44.7 | 18.2 |
| PN17122020_slice_46 | 0.865 | 0.101 | 0.051 | 0.865 | 100.9 | 51.5 | 0.722 | 81.5 | 42.9 | 0.726 | 43.9 | 18.0 |
| PN17122020_slice_47 | 0.865 | 0.100 | 0.052 | 0.865 | 99.5 | 51.7 | 0.726 | 79.1 | 42.9 | 0.730 | 43.1 | 17.9 |
| PN17122020_slice_48 | 0.862 | 0.102 | 0.053 | 0.862 | 102.0 | 53.1 | 0.723 | 78.3 | 43.7 | 0.724 | 45.3 | 18.8 |
| PN17122020_slice_49 | 0.858 | 0.103 | 0.055 | 0.858 | 102.8 | 54.7 | 0.715 | 80.9 | 45.5 | 0.720 | 47.5 | 19.6 |
| PN17122020_slice_50 | 0.860 | 0.100 | 0.055 | 0.860 | 99.8 | 54.9 | 0.716 | 82.1 | 46.8 | 0.721 | 46.9 | 19.6 |
| PN17122020_slice_51 | 0.862 | 0.098 | 0.055 | 0.862 | 98.2 | 54.6 | 0.716 | 82.2 | 47.1 | 0.721 | 46.1 | 19.3 |
| PN17122020_slice_52 | 0.861 | 0.097 | 0.054 | 0.861 | 97.1 | 54.2 | 0.716 | 83.7 | 47.2 | 0.719 | 45.1 | 19.1 |
| PN17122020_slice_53 | 0.862 | 0.096 | 0.053 | 0.862 | 95.6 | 53.3 | 0.719 | 83.3 | 46.7 | 0.718 | 45.9 | 19.5 |
| PN17122020_slice_54 | 0.860 | 0.097 | 0.054 | 0.860 | 96.9 | 53.6 | 0.715 | 82.9 | 46.6 | 0.716 | 47.1 | 20.1 |
| PN17122020_slice_55 | 0.858 | 0.101 | 0.055 | 0.858 | 100.9 | 54.9 | 0.713 | 82.6 | 46.7 | 0.712 | 48.6 | 20.6 |
| PN17122020_slice_56 | 0.857 | 0.103 | 0.055 | 0.857 | 102.6 | 55.1 | 0.714 | 81.5 | 46.2 | 0.712 | 49.0 | 20.7 |
| PN17122020_slice_57 | 0.854 | 0.103 | 0.056 | 0.854 | 102.9 | 55.7 | 0.710 | 81.9 | 46.5 | 0.714 | 48.1 | 20.4 |
| PN17122020_slice_58 | 0.856 | 0.103 | 0.056 | 0.856 | 102.7 | 56.5 | 0.707 | 82.9 | 47.3 | 0.714 | 48.0 | 20.4 |
| PN17122020_slice_59 | 0.856 | 0.102 | 0.056 | 0.856 | 101.8 | 55.9 | 0.713 | 82.9 | 46.7 | 0.717 | 47.7 | 20.4 |
| PN17122020_slice_60 | 0.855 | 0.104 | 0.057 | 0.855 | 104.3 | 56.7 | 0.711 | 83.2 | 46.8 | 0.712 | 47.4 | 20.4 |
| PN17122020_slice_61 | 0.848 | 0.110 | 0.059 | 0.848 | 109.6 | 58.7 | 0.699 | 86.6 | 48.8 | 0.702 | 50.3 | 21.4 |
| PN17122020_slice_62 | 0.842 | 0.111 | 0.060 | 0.842 | 110.7 | 59.6 | 0.690 | 90.9 | 50.2 | 0.692 | 50.9 | 21.7 |
| PN17122020_slice_63 | 0.836 | 0.111 | 0.059 | 0.836 | 111.1 | 59.3 | 0.679 | 94.9 | 50.9 | 0.686 | 50.4 | 21.7 |
| PN17122020_slice_64 | 0.832 | 0.113 | 0.060 | 0.832 | 112.9 | 59.7 | 0.674 | 99.6 | 52.1 | 0.679 | 50.1 | 21.7 |
| PN17122020_slice_65 | 0.836 | 0.112 | 0.058 | 0.836 | 112.4 | 58.1 | 0.680 | 100.8 | 51.0 | 0.682 | 48.2 | 21.0 |
| PN17122020_slice_66 | 0.838 | 0.114 | 0.058 | 0.838 | 113.5 | 58.1 | 0.686 | 102.5 | 51.1 | 0.684 | 48.6 | 21.0 |
| PN17122020_slice_67 | 0.833 | 0.118 | 0.060 | 0.833 | 118.1 | 60.3 | 0.682 | 104.8 | 52.5 | 0.679 | 51.2 | 22.0 |
| PN17122020_slice_68 | 0.833 | 0.119 | 0.060 | 0.833 | 119.5 | 60.0 | 0.684 | 104.2 | 51.8 | 0.680 | 50.6 | 21.9 |
| PN17122020_slice_69 | 0.832 | 0.119 | 0.060 | 0.832 | 118.7 | 60.0 | 0.686 | 103.2 | 51.6 | 0.682 | 50.1 | 21.9 |
| PN17122020_slice_70 | 0.828 | 0.120 | 0.061 | 0.828 | 120.4 | 61.3 | 0.680 | 103.5 | 52.1 | 0.679 | 51.7 | 22.6 |
| PN17122020_slice_71 | 0.826 | 0.121 | 0.062 | 0.826 | 121.2 | 61.9 | 0.678 | 105.3 | 52.6 | 0.679 | 51.4 | 22.7 |
| PN17122020_slice_72 | 0.827 | 0.124 | 0.063 | 0.827 | 123.8 | 63.2 | 0.677 | 107.9 | 53.8 | 0.676 | 51.1 | 22.4 |
| PN17122020_slice_73 | 0.820 | 0.130 | 0.067 | 0.820 | 129.6 | 66.7 | 0.666 | 112.7 | 57.4 | 0.672 | 53.8 | 23.4 |
| PN17122020_slice_74 | 0.814 | 0.131 | 0.068 | 0.814 | 130.5 | 67.5 | 0.661 | 115.5 | 58.6 | 0.666 | 53.8 | 23.5 |
| PN17122020_slice_75 | 0.814 | 0.130 | 0.066 | 0.814 | 130.1 | 66.2 | 0.656 | 115.0 | 57.5 | 0.660 | 52.5 | 23.2 |
| PN17122020_slice_76 | 0.814 | 0.128 | 0.065 | 0.814 | 128.5 | 64.8 | 0.655 | 114.9 | 56.8 | 0.659 | 53.4 | 23.6 |
| PN17122020_slice_77 | 0.817 | 0.126 | 0.063 | 0.817 | 125.8 | 63.0 | 0.659 | 113.0 | 55.4 | 0.658 | 52.9 | 23.6 |
| PN17122020_slice_78 | 0.817 | 0.126 | 0.063 | 0.817 | 125.9 | 62.8 | 0.660 | 112.7 | 54.9 | 0.662 | 53.5 | 23.8 |
| PN17122020_slice_79 | 0.814 | 0.128 | 0.064 | 0.814 | 128.4 | 63.8 | 0.656 | 114.3 | 55.5 | 0.660 | 54.4 | 24.3 |
| PN17122020_slice_80 | 0.817 | 0.128 | 0.063 | 0.817 | 128.4 | 62.7 | 0.660 | 114.5 | 54.5 | 0.664 | 53.3 | 23.6 |
| PN17122020_slice_81 | 0.814 | 0.131 | 0.064 | 0.814 | 130.8 | 63.7 | 0.659 | 116.3 | 55.3 | 0.667 | 54.4 | 24.0 |
| PN17122020_slice_82 | 0.809 | 0.133 | 0.065 | 0.809 | 133.4 | 65.3 | 0.654 | 118.2 | 56.1 | 0.662 | 55.2 | 24.6 |
| PN17122020_slice_83 | 0.807 | 0.134 | 0.066 | 0.807 | 134.3 | 66.2 | 0.649 | 119.4 | 57.1 | 0.660 | 54.8 | 24.2 |
| PN17122020_slice_84 | 0.802 | 0.137 | 0.067 | 0.802 | 136.9 | 67.4 | 0.641 | 121.0 | 57.8 | 0.658 | 54.4 | 23.9 |
| PN17122020_slice_85 | 0.800 | 0.139 | 0.068 | 0.800 | 138.6 | 68.4 | 0.638 | 120.8 | 58.3 | 0.661 | 55.7 | 24.3 |
| PN17122020_slice_86 | 0.803 | 0.136 | 0.067 | 0.803 | 136.5 | 67.5 | 0.643 | 119.9 | 57.7 | 0.662 | 54.8 | 23.9 |
| PN17122020_slice_87 | 0.802 | 0.136 | 0.067 | 0.802 | 135.9 | 67.1 | 0.641 | 121.8 | 58.1 | 0.665 | 54.1 | 23.5 |
| PN17122020_slice_88 | 0.799 | 0.138 | 0.068 | 0.799 | 137.9 | 68.0 | 0.638 | 124.1 | 59.3 | 0.667 | 53.9 | 23.4 |
| PN17122020_slice_89 | 0.800 | 0.138 | 0.068 | 0.800 | 137.7 | 67.8 | 0.642 | 125.1 | 59.7 | 0.673 | 53.8 | 23.2 |
| PN17122020_slice_90 | 0.800 | 0.138 | 0.068 | 0.800 | 137.7 | 67.8 | 0.641 | 124.5 | 59.5 | 0.680 | 53.8 | 23.2 |
| PN17122020_slice_91 | 0.796 | 0.138 | 0.067 | 0.796 | 138.0 | 67.5 | 0.635 | 124.6 | 59.2 | 0.684 | 53.7 | 23.2 |
| PN17122020_slice_92 | 0.792 | 0.140 | 0.068 | 0.792 | 139.7 | 67.7 | 0.628 | 125.6 | 59.2 | 0.683 | 53.9 | 22.9 |
| PN17122020_slice_93 | 0.793 | 0.140 | 0.068 | 0.793 | 139.6 | 67.7 | 0.629 | 125.3 | 58.8 | 0.690 | 54.0 | 22.8 |
| PN17122020_slice_94 | 0.791 | 0.141 | 0.069 | 0.791 | 141.3 | 69.2 | 0.630 | 126.3 | 59.7 | 0.690 | 54.1 | 22.8 |
| PN17122020_slice_95 | 0.793 | 0.143 | 0.071 | 0.793 | 143.1 | 70.6 | 0.638 | 127.8 | 61.2 | 0.690 | 54.1 | 22.6 |
| PN17122020_slice_96 | 0.793 | 0.145 | 0.071 | 0.793 | 145.1 | 71.1 | 0.637 | 129.8 | 61.9 | 0.694 | 54.4 | 22.6 |
| PN17122020_slice_97 | 0.790 | 0.146 | 0.071 | 0.790 | 146.0 | 71.4 | 0.641 | 131.5 | 62.6 | 0.696 | 55.1 | 22.9 |
| PN17122020_slice_98 | 0.794 | 0.149 | 0.072 | 0.794 | 149.3 | 72.2 | 0.643 | 135.0 | 63.4 | 0.697 | 54.8 | 22.5 |
| PN17122020_slice_99 | 0.796 | 0.151 | 0.072 | 0.796 | 151.4 | 71.9 | 0.643 | 137.7 | 63.3 | 0.697 | 55.2 | 22.3 |
| PN17122020_slice_100 | 0.800 | 0.151 | 0.070 | 0.800 | 151.4 | 70.5 | 0.650 | 137.8 | 62.4 | 0.701 | 54.4 | 21.8 |
| PN17122020_slice_101 | 0.803 | 0.151 | 0.069 | 0.803 | 151.0 | 68.7 | 0.656 | 139.2 | 61.3 | 0.704 | 53.4 | 21.2 |
| PN17122020_slice_102 | 0.804 | 0.151 | 0.068 | 0.804 | 151.2 | 68.0 | 0.659 | 140.6 | 60.8 | 0.707 | 52.7 | 20.9 |
| PN17122020_slice_103 | 0.801 | 0.156 | 0.070 | 0.801 | 155.6 | 69.8 | 0.655 | 145.2 | 62.7 | 0.705 | 52.7 | 20.9 |
| PN17122020_slice_104 | 0.798 | 0.158 | 0.071 | 0.798 | 158.5 | 71.1 | 0.653 | 148.8 | 64.2 | 0.703 | 53.2 | 21.1 |
| PN17122020_slice_105 | 0.800 | 0.159 | 0.071 | 0.800 | 158.9 | 71.2 | 0.654 | 148.9 | 64.2 | 0.704 | 53.6 | 21.2 |
| PN17122020_slice_106 | 0.800 | 0.160 | 0.072 | 0.800 | 160.0 | 71.9 | 0.655 | 149.4 | 64.5 | 0.703 | 53.4 | 21.2 |
| PN17122020_slice_107 | 0.807 | 0.160 | 0.072 | 0.807 | 159.9 | 72.0 | 0.665 | 149.7 | 64.9 | 0.704 | 52.4 | 20.7 |
| PN17122020_slice_108 | 0.804 | 0.164 | 0.074 | 0.804 | 164.3 | 74.5 | 0.663 | 155.0 | 67.7 | 0.698 | 52.4 | 20.8 |
| PN17122020_slice_109 | 0.800 | 0.168 | 0.076 | 0.800 | 167.6 | 75.7 | 0.659 | 159.6 | 69.3 | 0.688 | 53.0 | 21.5 |
| PN17122020_slice_110 | 0.796 | 0.171 | 0.077 | 0.796 | 171.2 | 76.7 | 0.655 | 163.8 | 70.4 | 0.680 | 55.1 | 22.5 |
| PN17122020_slice_111 | 0.789 | 0.174 | 0.077 | 0.789 | 174.0 | 76.9 | 0.650 | 165.8 | 70.2 | 0.669 | 57.8 | 24.0 |
| PN17122020_slice_112 | 0.787 | 0.176 | 0.078 | 0.787 | 176.4 | 77.7 | 0.646 | 168.1 | 70.9 | 0.661 | 59.3 | 25.0 |
| PN17122020_slice_113 | 0.787 | 0.177 | 0.078 | 0.787 | 177.0 | 78.0 | 0.643 | 167.6 | 70.7 | 0.653 | 60.1 | 25.5 |
| PN17122020_slice_114 | 0.782 | 0.176 | 0.077 | 0.782 | 175.7 | 77.3 | 0.636 | 166.3 | 70.3 | 0.649 | 62.2 | 26.8 |
| PN17122020_slice_115 | 0.779 | 0.176 | 0.078 | 0.779 | 175.5 | 77.7 | 0.630 | 166.0 | 70.5 | 0.641 | 62.7 | 27.4 |
| PN17122020_slice_116 | 0.781 | 0.174 | 0.077 | 0.781 | 174.2 | 77.2 | 0.632 | 165.2 | 70.2 | 0.636 | 62.4 | 27.4 |
| PN17122020_slice_117 | 0.787 | 0.172 | 0.076 | 0.787 | 172.2 | 76.3 | 0.634 | 164.3 | 69.8 | 0.633 | 61.5 | 27.2 |
| PN17122020_slice_118 | 0.791 | 0.171 | 0.075 | 0.791 | 171.0 | 75.2 | 0.636 | 164.1 | 69.3 | 0.630 | 60.6 | 27.0 |
| PN17122020_slice_119 | 0.790 | 0.173 | 0.076 | 0.790 | 172.5 | 76.0 | 0.637 | 165.2 | 69.6 | 0.625 | 60.6 | 27.4 |
| PN17122020_slice_120 | 0.790 | 0.173 | 0.076 | 0.790 | 173.1 | 76.2 | 0.638 | 165.7 | 69.8 | 0.623 | 60.9 | 27.9 |
| PN17122020_slice_121 | 0.791 | 0.175 | 0.077 | 0.791 | 174.8 | 76.8 | 0.637 | 167.0 | 70.2 | 0.618 | 60.8 | 27.9 |
| PN17122020_slice_122 | 0.794 | 0.174 | 0.076 | 0.794 | 173.5 | 76.2 | 0.637 | 167.3 | 70.3 | 0.615 | 60.1 | 27.4 |
| PN17122020_slice_123 | 0.796 | 0.170 | 0.075 | 0.796 | 170.0 | 74.7 | 0.638 | 164.6 | 69.3 | 0.616 | 59.9 | 27.4 |
| PN17122020_slice_124 | 0.797 | 0.167 | 0.073 | 0.797 | 166.7 | 72.8 | 0.639 | 161.8 | 67.9 | 0.615 | 60.5 | 28.1 |
| PN17122020_slice_125 | 0.799 | 0.164 | 0.072 | 0.799 | 164.4 | 71.9 | 0.642 | 159.5 | 66.8 | 0.614 | 60.2 | 28.2 |
| PN17122020_slice_126 | 0.795 | 0.164 | 0.071 | 0.795 | 163.7 | 71.3 | 0.640 | 157.8 | 65.8 | 0.611 | 60.9 | 28.7 |
| PN17122020_slice_127 | 0.796 | 0.163 | 0.071 | 0.796 | 163.0 | 71.1 | 0.640 | 156.9 | 65.5 | 0.612 | 60.9 | 28.7 |
| PN17122020_slice_128 | 0.800 | 0.161 | 0.071 | 0.800 | 161.3 | 70.7 | 0.646 | 154.7 | 64.9 | 0.613 | 60.6 | 28.6 |
| PN17122020_slice_129 | 0.797 | 0.159 | 0.071 | 0.797 | 159.4 | 70.7 | 0.642 | 152.0 | 64.5 | 0.609 | 61.6 | 29.3 |
| PN17122020_slice_130 | 0.792 | 0.158 | 0.071 | 0.792 | 157.7 | 71.3 | 0.633 | 150.2 | 65.0 | 0.603 | 62.0 | 30.0 |
| PN17122020_slice_131 | 0.803 | 0.154 | 0.069 | 0.803 | 153.6 | 68.9 | 0.647 | 146.5 | 63.1 | 0.607 | 59.2 | 28.6 |
| PN17122020_slice_132 | 0.815 | 0.148 | 0.067 | 0.815 | 148.4 | 66.7 | 0.655 | 141.6 | 60.9 | 0.607 | 56.9 | 27.2 |
| PN17122020_slice_133 | 0.819 | 0.143 | 0.064 | 0.819 | 143.0 | 63.9 | 0.657 | 136.4 | 58.5 | 0.606 | 56.2 | 26.9 |
| PN17122020_slice_134 | 0.819 | 0.139 | 0.062 | 0.819 | 139.5 | 62.1 | 0.661 | 132.0 | 56.3 | 0.607 | 56.5 | 27.4 |
| PN17122020_slice_135 | 0.819 | 0.139 | 0.062 | 0.819 | 139.3 | 61.6 | 0.661 | 131.5 | 55.8 | 0.606 | 56.2 | 27.4 |
| PN17122020_slice_136 | 0.819 | 0.140 | 0.061 | 0.819 | 140.5 | 61.2 | 0.660 | 132.3 | 55.6 | 0.606 | 56.1 | 27.5 |
| PN17122020_slice_137 | 0.823 | 0.138 | 0.060 | 0.823 | 138.2 | 59.6 | 0.666 | 131.1 | 54.4 | 0.608 | 55.6 | 27.2 |
| PN17122020_slice_138 | 0.827 | 0.133 | 0.057 | 0.827 | 133.3 | 57.5 | 0.669 | 126.8 | 52.7 | 0.610 | 54.9 | 26.8 |
| PN17122020_slice_139 | 0.828 | 0.127 | 0.056 | 0.828 | 126.8 | 56.1 | 0.669 | 120.1 | 51.3 | 0.610 | 54.8 | 26.7 |
| PN17122020_slice_140 | 0.831 | 0.119 | 0.054 | 0.831 | 118.8 | 54.1 | 0.672 | 112.1 | 49.3 | 0.613 | 54.4 | 26.6 |
| PN17122020_slice_141 | 0.833 | 0.113 | 0.053 | 0.833 | 112.8 | 52.8 | 0.671 | 105.1 | 47.8 | 0.612 | 53.9 | 26.4 |
| PN17122020_slice_142 | 0.834 | 0.108 | 0.051 | 0.834 | 107.5 | 51.4 | 0.673 | 98.5 | 46.3 | 0.612 | 53.4 | 26.2 |
| PN17122020_slice_143 | 0.835 | 0.102 | 0.050 | 0.835 | 102.2 | 49.9 | 0.677 | 93.4 | 44.8 | 0.615 | 52.9 | 25.9 |
| PN17122020_slice_144 | 0.832 | 0.098 | 0.049 | 0.832 | 98.0 | 48.6 | 0.678 | 88.8 | 43.7 | 0.618 | 54.2 | 26.2 |
| PN17122020_slice_145 | 0.825 | 0.098 | 0.049 | 0.825 | 98.3 | 49.1 | 0.673 | 88.4 | 44.2 | 0.618 | 56.2 | 27.2 |
| PN17122020_slice_146 | 0.827 | 0.098 | 0.049 | 0.827 | 97.7 | 48.8 | 0.675 | 89.1 | 44.0 | 0.620 | 56.1 | 26.8 |
| PN17122020_slice_147 | 0.828 | 0.098 | 0.049 | 0.828 | 97.8 | 49.0 | 0.676 | 89.9 | 44.2 | 0.618 | 55.7 | 26.7 |
| PN17122020_slice_148 | 0.830 | 0.098 | 0.049 | 0.830 | 98.1 | 48.8 | 0.677 | 90.0 | 43.8 | 0.617 | 54.7 | 26.3 |
| PN17122020_slice_149 | 0.831 | 0.099 | 0.049 | 0.831 | 98.7 | 48.7 | 0.682 | 90.3 | 43.6 | 0.621 | 54.8 | 26.3 |
| PN17122020_slice_150 | 0.828 | 0.100 | 0.049 | 0.828 | 99.9 | 48.8 | 0.682 | 91.4 | 43.7 | 0.623 | 55.1 | 26.4 |
| PN17122020_slice_151 | 0.825 | 0.101 | 0.049 | 0.825 | 101.0 | 49.5 | 0.681 | 92.0 | 44.2 | 0.626 | 55.7 | 26.7 |
| PN17122020_slice_152 | 0.831 | 0.101 | 0.049 | 0.831 | 100.6 | 48.9 | 0.688 | 92.2 | 43.8 | 0.630 | 54.6 | 26.0 |
4Γ3 grid: Rows show different image types (Original NATIVE, Reconstructed NATIVE, Original VENOUS, Generated VENOUS), Columns show windowing techniques (No Window, Lung Window, Mediastinum Window)