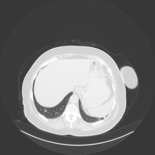
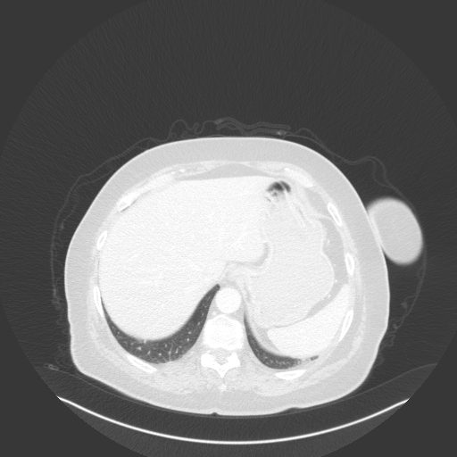
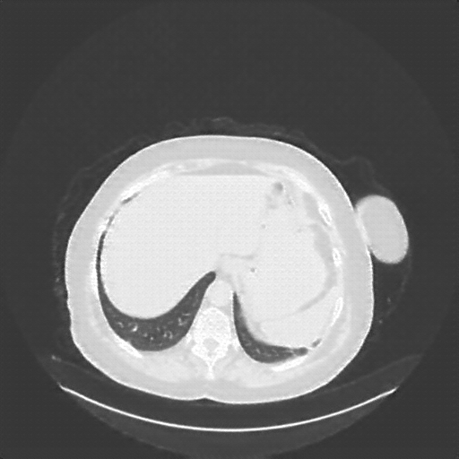
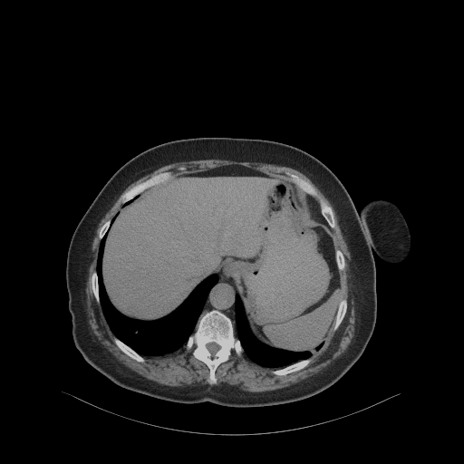
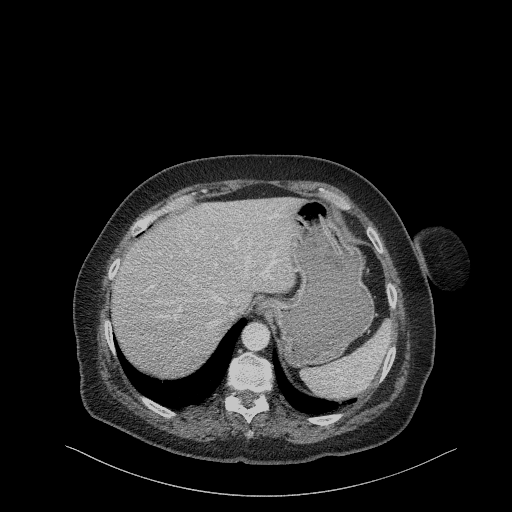
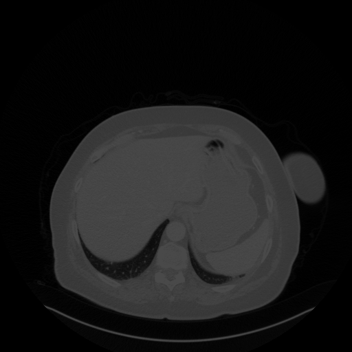
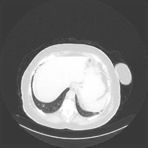
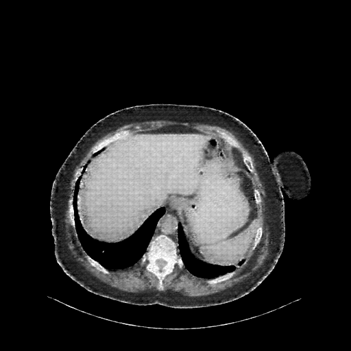
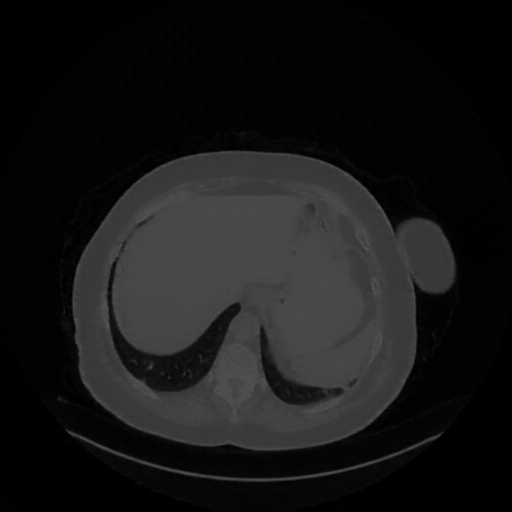
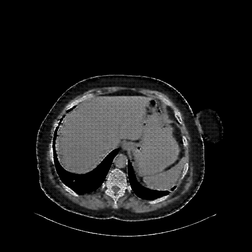
Slice 70 Targeting Evaluation
Patient ID: MP07122020q
Model: cytran
Slice: Slice_70
Slice Thickness: 3.0mm
Conversion: NATIVE β VENOUS
Contains all 4 metric datasets: Network-Normalized, Hounsfield Units, Lung Window, and Mediastinum Window
| Slice ID | SSIM | RMSE | MAE | HU SSIM | HU RMSE | HU MAE | Lung SSIM | Lung RMSE | Lung MAE | Mediastinum SSIM | Mediastinum RMSE | Mediastinum MAE |
|---|---|---|---|---|---|---|---|---|---|---|---|---|
| MP07122020q_slice_0 | 0.633 | 0.253 | 0.117 | 0.633 | 252.7 | 116.7 | 0.508 | 249.7 | 113.1 | 0.602 | 77.2 | 37.6 |
| MP07122020q_slice_1 | 0.625 | 0.251 | 0.116 | 0.625 | 251.0 | 116.4 | 0.503 | 248.1 | 113.1 | 0.599 | 78.9 | 38.7 |
| MP07122020q_slice_2 | 0.626 | 0.251 | 0.117 | 0.626 | 250.6 | 116.5 | 0.503 | 247.9 | 113.4 | 0.597 | 79.2 | 38.7 |
| MP07122020q_slice_3 | 0.634 | 0.250 | 0.116 | 0.634 | 249.8 | 115.6 | 0.512 | 247.4 | 112.7 | 0.599 | 77.1 | 37.3 |
| MP07122020q_slice_4 | 0.645 | 0.251 | 0.116 | 0.645 | 251.4 | 115.7 | 0.522 | 249.1 | 112.9 | 0.602 | 76.3 | 36.3 |
| MP07122020q_slice_5 | 0.651 | 0.253 | 0.117 | 0.651 | 253.2 | 116.6 | 0.527 | 251.2 | 113.8 | 0.605 | 75.5 | 35.5 |
| MP07122020q_slice_6 | 0.655 | 0.256 | 0.117 | 0.655 | 255.9 | 117.3 | 0.531 | 253.8 | 114.6 | 0.610 | 75.1 | 35.1 |
| MP07122020q_slice_7 | 0.657 | 0.258 | 0.119 | 0.657 | 258.4 | 118.6 | 0.530 | 256.3 | 115.8 | 0.613 | 74.8 | 34.8 |
| MP07122020q_slice_8 | 0.664 | 0.259 | 0.119 | 0.664 | 259.3 | 118.8 | 0.532 | 257.4 | 116.2 | 0.618 | 72.8 | 33.6 |
| MP07122020q_slice_9 | 0.667 | 0.259 | 0.119 | 0.667 | 258.7 | 118.5 | 0.534 | 257.0 | 116.2 | 0.622 | 71.9 | 33.0 |
| MP07122020q_slice_10 | 0.666 | 0.260 | 0.119 | 0.666 | 259.6 | 119.0 | 0.533 | 257.7 | 116.7 | 0.624 | 73.9 | 33.7 |
| MP07122020q_slice_11 | 0.663 | 0.264 | 0.121 | 0.663 | 263.5 | 120.9 | 0.533 | 261.3 | 118.7 | 0.627 | 76.5 | 34.5 |
| MP07122020q_slice_12 | 0.663 | 0.266 | 0.122 | 0.663 | 265.9 | 121.9 | 0.534 | 263.6 | 119.8 | 0.628 | 76.9 | 34.6 |
| MP07122020q_slice_13 | 0.664 | 0.266 | 0.122 | 0.664 | 265.6 | 121.6 | 0.533 | 263.3 | 119.6 | 0.630 | 75.7 | 33.9 |
| MP07122020q_slice_14 | 0.669 | 0.265 | 0.120 | 0.669 | 264.8 | 120.3 | 0.538 | 262.5 | 118.5 | 0.633 | 73.3 | 32.5 |
| MP07122020q_slice_15 | 0.675 | 0.264 | 0.119 | 0.675 | 264.4 | 119.5 | 0.541 | 262.5 | 117.8 | 0.634 | 71.7 | 31.6 |
| MP07122020q_slice_16 | 0.674 | 0.265 | 0.120 | 0.674 | 265.4 | 119.7 | 0.542 | 263.5 | 118.1 | 0.634 | 72.0 | 31.4 |
| MP07122020q_slice_17 | 0.674 | 0.267 | 0.120 | 0.674 | 267.2 | 120.2 | 0.545 | 265.2 | 118.6 | 0.635 | 72.9 | 31.6 |
| MP07122020q_slice_18 | 0.679 | 0.268 | 0.120 | 0.679 | 268.0 | 119.8 | 0.549 | 266.2 | 118.5 | 0.635 | 72.0 | 30.9 |
| MP07122020q_slice_19 | 0.680 | 0.270 | 0.121 | 0.680 | 269.7 | 120.8 | 0.548 | 267.8 | 119.5 | 0.635 | 72.6 | 31.0 |
| MP07122020q_slice_20 | 0.679 | 0.271 | 0.122 | 0.679 | 270.9 | 121.8 | 0.548 | 268.8 | 120.4 | 0.634 | 73.0 | 31.3 |
| MP07122020q_slice_21 | 0.678 | 0.272 | 0.123 | 0.678 | 272.2 | 122.9 | 0.547 | 270.0 | 121.4 | 0.635 | 73.2 | 31.5 |
| MP07122020q_slice_22 | 0.675 | 0.273 | 0.124 | 0.675 | 272.5 | 123.7 | 0.544 | 270.5 | 122.3 | 0.635 | 72.6 | 31.4 |
| MP07122020q_slice_23 | 0.674 | 0.273 | 0.124 | 0.674 | 272.6 | 124.1 | 0.544 | 270.7 | 122.7 | 0.634 | 72.1 | 31.2 |
| MP07122020q_slice_24 | 0.675 | 0.273 | 0.124 | 0.675 | 272.8 | 124.1 | 0.546 | 270.9 | 122.7 | 0.634 | 72.5 | 31.4 |
| MP07122020q_slice_25 | 0.675 | 0.273 | 0.124 | 0.675 | 273.4 | 124.2 | 0.546 | 271.8 | 123.1 | 0.632 | 72.5 | 31.3 |
| MP07122020q_slice_26 | 0.674 | 0.275 | 0.125 | 0.674 | 274.5 | 125.1 | 0.546 | 272.8 | 123.8 | 0.634 | 73.4 | 31.8 |
| MP07122020q_slice_27 | 0.676 | 0.276 | 0.126 | 0.676 | 276.1 | 126.1 | 0.549 | 274.2 | 124.7 | 0.635 | 73.5 | 31.7 |
| MP07122020q_slice_28 | 0.680 | 0.277 | 0.126 | 0.680 | 277.2 | 126.4 | 0.550 | 275.1 | 124.8 | 0.633 | 73.7 | 31.5 |
| MP07122020q_slice_29 | 0.683 | 0.278 | 0.127 | 0.683 | 278.4 | 127.1 | 0.552 | 276.4 | 125.6 | 0.629 | 72.9 | 31.1 |
| MP07122020q_slice_30 | 0.686 | 0.278 | 0.127 | 0.686 | 278.2 | 126.7 | 0.554 | 276.3 | 125.3 | 0.632 | 71.8 | 30.4 |
| MP07122020q_slice_31 | 0.683 | 0.279 | 0.127 | 0.683 | 279.0 | 127.4 | 0.551 | 277.2 | 126.1 | 0.633 | 71.6 | 30.4 |
| MP07122020q_slice_32 | 0.680 | 0.280 | 0.128 | 0.680 | 279.5 | 128.1 | 0.549 | 277.8 | 126.8 | 0.631 | 71.8 | 30.7 |
| MP07122020q_slice_33 | 0.681 | 0.280 | 0.128 | 0.681 | 279.7 | 127.9 | 0.549 | 277.7 | 126.5 | 0.630 | 72.3 | 30.8 |
| MP07122020q_slice_34 | 0.680 | 0.281 | 0.128 | 0.680 | 280.8 | 128.3 | 0.550 | 278.3 | 126.8 | 0.628 | 73.9 | 31.4 |
| MP07122020q_slice_35 | 0.681 | 0.282 | 0.129 | 0.681 | 282.3 | 128.9 | 0.552 | 279.6 | 127.2 | 0.624 | 74.9 | 31.8 |
| MP07122020q_slice_36 | 0.686 | 0.282 | 0.128 | 0.686 | 282.0 | 128.4 | 0.558 | 279.5 | 126.7 | 0.621 | 74.9 | 31.8 |
| MP07122020q_slice_37 | 0.684 | 0.283 | 0.129 | 0.684 | 282.6 | 129.2 | 0.557 | 280.2 | 127.5 | 0.621 | 74.3 | 31.7 |
| MP07122020q_slice_38 | 0.681 | 0.283 | 0.130 | 0.681 | 282.8 | 129.9 | 0.553 | 280.9 | 128.3 | 0.620 | 73.0 | 31.5 |
| MP07122020q_slice_39 | 0.676 | 0.283 | 0.131 | 0.676 | 283.4 | 131.4 | 0.549 | 281.4 | 129.8 | 0.617 | 73.7 | 32.4 |
| MP07122020q_slice_40 | 0.672 | 0.285 | 0.133 | 0.672 | 285.1 | 133.2 | 0.546 | 283.2 | 131.8 | 0.610 | 73.1 | 32.3 |
| MP07122020q_slice_41 | 0.676 | 0.284 | 0.132 | 0.676 | 283.8 | 131.9 | 0.548 | 281.9 | 130.5 | 0.612 | 71.7 | 31.3 |
| MP07122020q_slice_42 | 0.680 | 0.284 | 0.132 | 0.680 | 284.3 | 131.6 | 0.549 | 282.4 | 130.2 | 0.612 | 71.2 | 30.8 |
| MP07122020q_slice_43 | 0.688 | 0.285 | 0.131 | 0.688 | 284.8 | 130.8 | 0.554 | 282.7 | 129.4 | 0.610 | 71.1 | 30.6 |
| MP07122020q_slice_44 | 0.686 | 0.285 | 0.132 | 0.686 | 285.3 | 131.6 | 0.552 | 283.3 | 130.1 | 0.611 | 72.0 | 30.9 |
| MP07122020q_slice_45 | 0.686 | 0.286 | 0.132 | 0.686 | 285.6 | 131.9 | 0.552 | 283.4 | 130.4 | 0.609 | 72.7 | 31.0 |
| MP07122020q_slice_46 | 0.687 | 0.286 | 0.132 | 0.687 | 285.8 | 131.8 | 0.554 | 283.5 | 130.2 | 0.611 | 73.2 | 30.9 |
| MP07122020q_slice_47 | 0.692 | 0.285 | 0.131 | 0.692 | 284.9 | 130.6 | 0.561 | 283.3 | 129.3 | 0.613 | 71.0 | 30.0 |
| MP07122020q_slice_48 | 0.695 | 0.284 | 0.130 | 0.695 | 284.0 | 130.0 | 0.565 | 282.4 | 128.6 | 0.614 | 70.5 | 30.0 |
| MP07122020q_slice_49 | 0.695 | 0.282 | 0.129 | 0.695 | 282.3 | 128.8 | 0.568 | 280.9 | 127.5 | 0.617 | 69.6 | 29.7 |
| MP07122020q_slice_50 | 0.695 | 0.280 | 0.128 | 0.695 | 280.4 | 128.1 | 0.568 | 278.9 | 126.8 | 0.620 | 69.2 | 29.5 |
| MP07122020q_slice_51 | 0.698 | 0.279 | 0.126 | 0.698 | 278.8 | 126.4 | 0.571 | 277.3 | 125.2 | 0.621 | 68.4 | 28.7 |
| MP07122020q_slice_52 | 0.698 | 0.277 | 0.126 | 0.698 | 277.5 | 125.6 | 0.569 | 275.9 | 124.4 | 0.625 | 68.3 | 28.6 |
| MP07122020q_slice_53 | 0.704 | 0.276 | 0.124 | 0.704 | 275.8 | 124.2 | 0.572 | 274.2 | 122.9 | 0.629 | 67.9 | 28.2 |
| MP07122020q_slice_54 | 0.704 | 0.276 | 0.124 | 0.704 | 275.6 | 124.4 | 0.570 | 273.9 | 123.2 | 0.632 | 67.6 | 28.0 |
| MP07122020q_slice_55 | 0.702 | 0.273 | 0.124 | 0.702 | 273.3 | 124.2 | 0.564 | 271.5 | 122.9 | 0.631 | 68.1 | 28.6 |
| MP07122020q_slice_56 | 0.698 | 0.273 | 0.126 | 0.698 | 273.0 | 125.8 | 0.556 | 271.2 | 124.4 | 0.627 | 68.3 | 28.9 |
| MP07122020q_slice_57 | 0.684 | 0.279 | 0.131 | 0.684 | 278.7 | 130.6 | 0.545 | 277.0 | 129.0 | 0.616 | 71.6 | 31.6 |
| MP07122020q_slice_58 | 0.666 | 0.281 | 0.133 | 0.666 | 280.8 | 133.2 | 0.529 | 278.8 | 131.2 | 0.605 | 76.1 | 34.7 |
| MP07122020q_slice_59 | 0.658 | 0.276 | 0.131 | 0.658 | 275.9 | 131.0 | 0.524 | 273.7 | 128.9 | 0.600 | 77.9 | 36.0 |
| MP07122020q_slice_60 | 0.669 | 0.272 | 0.127 | 0.669 | 271.9 | 126.7 | 0.533 | 270.1 | 125.2 | 0.601 | 74.9 | 34.2 |
| MP07122020q_slice_61 | 0.672 | 0.270 | 0.125 | 0.672 | 270.1 | 125.3 | 0.537 | 268.5 | 123.7 | 0.599 | 74.0 | 34.1 |
| MP07122020q_slice_62 | 0.683 | 0.267 | 0.123 | 0.683 | 267.3 | 123.0 | 0.547 | 266.0 | 121.7 | 0.600 | 71.9 | 33.1 |
| MP07122020q_slice_63 | 0.699 | 0.264 | 0.120 | 0.699 | 263.7 | 119.9 | 0.560 | 262.7 | 118.9 | 0.602 | 69.6 | 31.6 |
| MP07122020q_slice_64 | 0.709 | 0.261 | 0.117 | 0.709 | 260.7 | 117.3 | 0.572 | 259.8 | 116.4 | 0.605 | 68.4 | 30.8 |
| MP07122020q_slice_65 | 0.715 | 0.258 | 0.115 | 0.715 | 257.8 | 115.2 | 0.576 | 256.8 | 114.3 | 0.606 | 67.8 | 30.4 |
| MP07122020q_slice_66 | 0.719 | 0.253 | 0.112 | 0.719 | 252.7 | 112.0 | 0.581 | 251.8 | 111.0 | 0.608 | 67.6 | 30.6 |
| MP07122020q_slice_67 | 0.723 | 0.246 | 0.108 | 0.723 | 245.9 | 108.3 | 0.582 | 245.1 | 107.3 | 0.610 | 67.0 | 30.3 |
| MP07122020q_slice_68 | 0.728 | 0.243 | 0.106 | 0.728 | 242.6 | 105.5 | 0.583 | 241.9 | 104.8 | 0.610 | 65.9 | 29.7 |
| MP07122020q_slice_69 | 0.730 | 0.240 | 0.104 | 0.730 | 239.6 | 104.2 | 0.582 | 238.9 | 103.4 | 0.611 | 65.6 | 29.5 |
| MP07122020q_slice_70 | 0.730 | 0.238 | 0.103 | 0.730 | 238.1 | 103.2 | 0.577 | 237.3 | 102.4 | 0.609 | 65.4 | 29.4 |
| MP07122020q_slice_71 | 0.732 | 0.237 | 0.102 | 0.732 | 236.5 | 102.0 | 0.579 | 235.8 | 101.4 | 0.610 | 64.6 | 29.0 |
| MP07122020q_slice_72 | 0.729 | 0.234 | 0.101 | 0.729 | 234.3 | 101.1 | 0.578 | 233.6 | 100.4 | 0.612 | 64.8 | 29.1 |
| MP07122020q_slice_73 | 0.731 | 0.231 | 0.099 | 0.731 | 231.0 | 98.7 | 0.579 | 230.1 | 97.8 | 0.617 | 65.2 | 29.3 |
| MP07122020q_slice_74 | 0.736 | 0.226 | 0.095 | 0.736 | 225.6 | 94.7 | 0.584 | 224.8 | 93.8 | 0.618 | 63.9 | 28.4 |
| MP07122020q_slice_75 | 0.736 | 0.220 | 0.092 | 0.736 | 219.8 | 92.0 | 0.583 | 219.0 | 91.2 | 0.619 | 62.5 | 28.1 |
| MP07122020q_slice_76 | 0.737 | 0.215 | 0.090 | 0.737 | 215.1 | 89.8 | 0.583 | 214.4 | 88.9 | 0.619 | 61.5 | 27.8 |
| MP07122020q_slice_77 | 0.736 | 0.212 | 0.088 | 0.736 | 211.6 | 88.1 | 0.583 | 210.7 | 87.0 | 0.620 | 61.4 | 27.8 |
| MP07122020q_slice_78 | 0.736 | 0.209 | 0.086 | 0.736 | 209.4 | 86.5 | 0.581 | 208.4 | 85.4 | 0.619 | 61.3 | 27.7 |
| MP07122020q_slice_79 | 0.736 | 0.207 | 0.085 | 0.736 | 207.3 | 85.1 | 0.582 | 206.2 | 84.1 | 0.619 | 61.3 | 27.7 |
| MP07122020q_slice_80 | 0.737 | 0.205 | 0.084 | 0.737 | 205.2 | 84.5 | 0.581 | 204.0 | 83.4 | 0.620 | 61.3 | 27.7 |
| MP07122020q_slice_81 | 0.730 | 0.204 | 0.085 | 0.730 | 203.5 | 84.8 | 0.573 | 202.3 | 83.6 | 0.620 | 61.1 | 28.0 |
| MP07122020q_slice_82 | 0.729 | 0.202 | 0.084 | 0.729 | 202.0 | 84.3 | 0.569 | 200.8 | 83.1 | 0.622 | 60.8 | 27.8 |
| MP07122020q_slice_83 | 0.730 | 0.200 | 0.084 | 0.730 | 200.2 | 83.7 | 0.569 | 198.7 | 82.2 | 0.622 | 60.9 | 27.8 |
| MP07122020q_slice_84 | 0.725 | 0.198 | 0.084 | 0.725 | 198.3 | 84.0 | 0.567 | 196.6 | 82.3 | 0.621 | 62.0 | 28.6 |
| MP07122020q_slice_85 | 0.724 | 0.197 | 0.083 | 0.724 | 196.8 | 83.2 | 0.566 | 195.1 | 81.6 | 0.622 | 62.0 | 28.5 |
| MP07122020q_slice_86 | 0.717 | 0.197 | 0.084 | 0.717 | 197.2 | 84.3 | 0.560 | 195.5 | 82.6 | 0.621 | 63.6 | 29.4 |
| MP07122020q_slice_87 | 0.716 | 0.198 | 0.085 | 0.716 | 198.3 | 84.8 | 0.556 | 196.5 | 83.1 | 0.619 | 64.2 | 29.5 |
4Γ3 grid: Rows show different image types (Original NATIVE, Reconstructed NATIVE, Original VENOUS, Generated VENOUS), Columns show windowing techniques (No Window, Lung Window, Mediastinum Window)