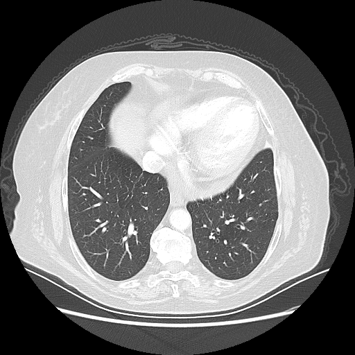
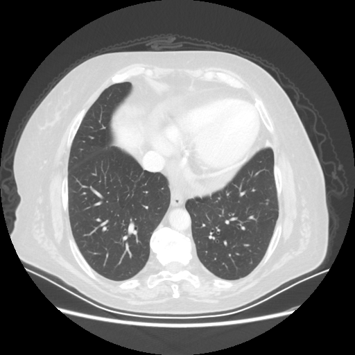
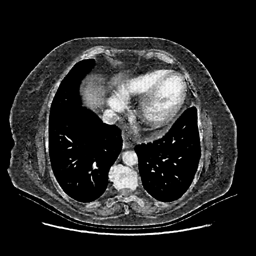
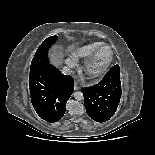
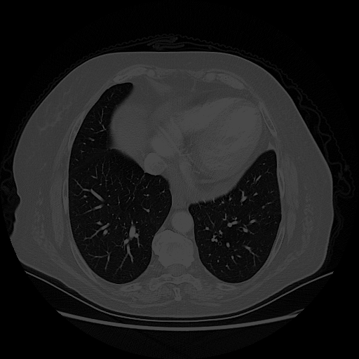
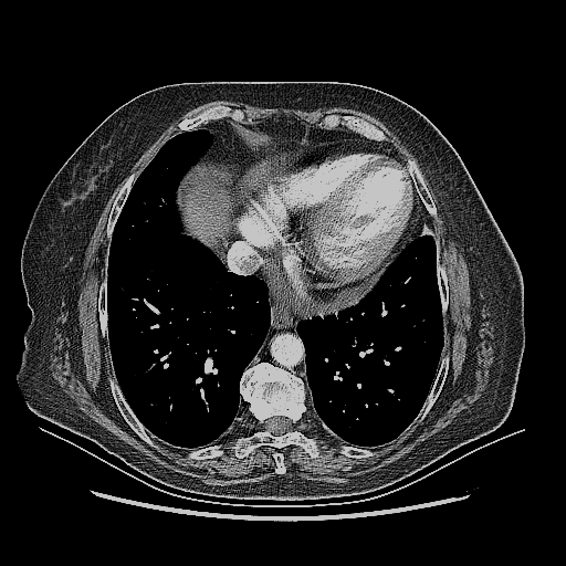
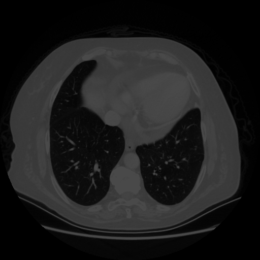
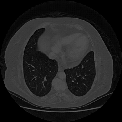
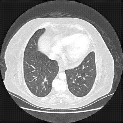
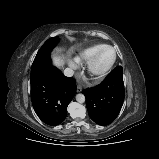
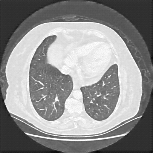
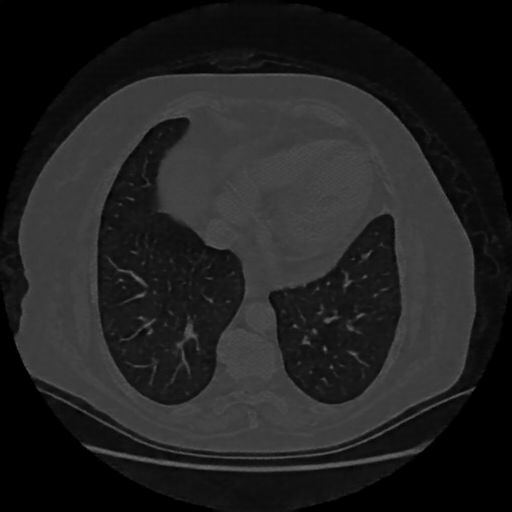
Slice 70 Targeting Evaluation
Patient ID: AB17122018
Model: cytran
Slice: Slice_70
Slice Thickness: 2.5mm
Conversion: NATIVE β VENOUS
Contains all 4 metric datasets: Network-Normalized, Hounsfield Units, Lung Window, and Mediastinum Window
| Slice ID | SSIM | RMSE | MAE | HU SSIM | HU RMSE | HU MAE | Lung SSIM | Lung RMSE | Lung MAE | Mediastinum SSIM | Mediastinum RMSE | Mediastinum MAE |
|---|---|---|---|---|---|---|---|---|---|---|---|---|
| AB17122018_slice_0 | 0.824 | 0.125 | 0.099 | 0.824 | 125.1 | 99.3 | 0.621 | 121.9 | 96.2 | 0.631 | 47.9 | 22.3 |
| AB17122018_slice_1 | 0.827 | 0.132 | 0.106 | 0.827 | 131.9 | 105.8 | 0.629 | 129.1 | 102.8 | 0.630 | 47.6 | 22.2 |
| AB17122018_slice_2 | 0.820 | 0.135 | 0.109 | 0.820 | 135.1 | 108.8 | 0.623 | 132.4 | 105.8 | 0.624 | 48.5 | 22.8 |
| AB17122018_slice_3 | 0.807 | 0.130 | 0.104 | 0.807 | 129.8 | 104.2 | 0.612 | 127.2 | 101.5 | 0.621 | 49.5 | 23.2 |
| AB17122018_slice_4 | 0.817 | 0.132 | 0.106 | 0.817 | 132.0 | 106.0 | 0.622 | 129.5 | 103.3 | 0.630 | 48.9 | 22.5 |
| AB17122018_slice_5 | 0.819 | 0.128 | 0.101 | 0.819 | 128.0 | 101.2 | 0.621 | 125.7 | 98.8 | 0.635 | 48.4 | 22.0 |
| AB17122018_slice_6 | 0.807 | 0.128 | 0.101 | 0.807 | 128.0 | 101.5 | 0.609 | 125.8 | 99.3 | 0.630 | 48.7 | 22.3 |
| AB17122018_slice_7 | 0.814 | 0.129 | 0.102 | 0.814 | 128.9 | 102.0 | 0.618 | 126.7 | 99.8 | 0.634 | 47.6 | 21.8 |
| AB17122018_slice_8 | 0.821 | 0.131 | 0.103 | 0.821 | 130.7 | 103.2 | 0.627 | 128.4 | 101.0 | 0.636 | 47.2 | 21.3 |
| AB17122018_slice_9 | 0.830 | 0.134 | 0.106 | 0.830 | 134.3 | 105.9 | 0.638 | 131.9 | 103.4 | 0.638 | 47.1 | 20.9 |
| AB17122018_slice_10 | 0.834 | 0.141 | 0.112 | 0.834 | 140.6 | 111.7 | 0.649 | 138.5 | 109.2 | 0.645 | 46.7 | 20.5 |
| AB17122018_slice_11 | 0.832 | 0.130 | 0.101 | 0.832 | 129.7 | 100.9 | 0.640 | 127.4 | 98.6 | 0.647 | 47.1 | 20.5 |
| AB17122018_slice_12 | 0.826 | 0.131 | 0.102 | 0.826 | 131.2 | 101.9 | 0.635 | 129.0 | 99.6 | 0.647 | 47.0 | 20.6 |
| AB17122018_slice_13 | 0.827 | 0.134 | 0.104 | 0.827 | 134.3 | 104.2 | 0.632 | 132.1 | 102.1 | 0.646 | 47.2 | 20.3 |
| AB17122018_slice_14 | 0.829 | 0.135 | 0.105 | 0.829 | 135.3 | 104.8 | 0.638 | 133.0 | 102.6 | 0.652 | 47.3 | 20.2 |
| AB17122018_slice_15 | 0.820 | 0.133 | 0.103 | 0.820 | 133.0 | 103.0 | 0.623 | 130.7 | 100.8 | 0.645 | 48.5 | 20.9 |
| AB17122018_slice_16 | 0.820 | 0.140 | 0.110 | 0.820 | 140.3 | 109.6 | 0.628 | 137.8 | 107.1 | 0.648 | 49.2 | 21.0 |
| AB17122018_slice_17 | 0.829 | 0.139 | 0.108 | 0.829 | 139.1 | 107.6 | 0.634 | 136.5 | 105.2 | 0.652 | 47.7 | 20.0 |
| AB17122018_slice_18 | 0.828 | 0.138 | 0.107 | 0.828 | 138.3 | 106.8 | 0.630 | 135.9 | 104.4 | 0.649 | 47.3 | 20.0 |
| AB17122018_slice_19 | 0.823 | 0.136 | 0.104 | 0.823 | 136.4 | 104.4 | 0.623 | 134.3 | 102.3 | 0.649 | 47.0 | 19.8 |
| AB17122018_slice_20 | 0.820 | 0.139 | 0.107 | 0.820 | 139.0 | 106.7 | 0.622 | 137.2 | 104.7 | 0.645 | 46.5 | 19.7 |
| AB17122018_slice_21 | 0.821 | 0.134 | 0.101 | 0.821 | 133.8 | 101.4 | 0.617 | 131.9 | 99.4 | 0.643 | 45.5 | 19.4 |
| AB17122018_slice_22 | 0.818 | 0.134 | 0.101 | 0.818 | 133.7 | 100.7 | 0.611 | 131.7 | 98.7 | 0.640 | 46.3 | 19.8 |
| AB17122018_slice_23 | 0.816 | 0.130 | 0.097 | 0.816 | 130.3 | 96.8 | 0.605 | 128.0 | 94.6 | 0.642 | 46.7 | 19.9 |
| AB17122018_slice_24 | 0.821 | 0.133 | 0.099 | 0.821 | 132.7 | 99.3 | 0.611 | 130.0 | 96.7 | 0.645 | 47.3 | 20.1 |
| AB17122018_slice_25 | 0.815 | 0.139 | 0.105 | 0.815 | 139.2 | 105.5 | 0.607 | 136.2 | 102.9 | 0.641 | 48.8 | 20.7 |
| AB17122018_slice_26 | 0.818 | 0.137 | 0.104 | 0.818 | 137.2 | 103.8 | 0.606 | 134.3 | 101.3 | 0.643 | 48.3 | 20.4 |
| AB17122018_slice_27 | 0.816 | 0.137 | 0.103 | 0.816 | 136.5 | 103.2 | 0.607 | 134.1 | 100.9 | 0.644 | 48.0 | 20.4 |
| AB17122018_slice_28 | 0.814 | 0.139 | 0.105 | 0.814 | 139.1 | 105.0 | 0.606 | 136.8 | 102.9 | 0.643 | 48.3 | 20.4 |
| AB17122018_slice_29 | 0.815 | 0.145 | 0.111 | 0.815 | 145.1 | 111.1 | 0.613 | 143.0 | 109.0 | 0.641 | 47.7 | 20.1 |
| AB17122018_slice_30 | 0.822 | 0.145 | 0.112 | 0.822 | 145.4 | 112.4 | 0.623 | 143.7 | 110.3 | 0.644 | 46.4 | 19.7 |
| AB17122018_slice_31 | 0.822 | 0.149 | 0.116 | 0.822 | 149.3 | 116.4 | 0.623 | 147.4 | 114.1 | 0.641 | 47.8 | 20.4 |
| AB17122018_slice_32 | 0.820 | 0.146 | 0.112 | 0.820 | 145.8 | 112.5 | 0.621 | 143.8 | 110.1 | 0.641 | 48.2 | 20.5 |
| AB17122018_slice_33 | 0.822 | 0.143 | 0.110 | 0.822 | 142.9 | 109.9 | 0.626 | 141.0 | 107.7 | 0.645 | 47.1 | 20.0 |
| AB17122018_slice_34 | 0.819 | 0.145 | 0.112 | 0.819 | 145.1 | 112.5 | 0.629 | 143.3 | 110.4 | 0.639 | 47.6 | 20.5 |
| AB17122018_slice_35 | 0.814 | 0.138 | 0.107 | 0.814 | 138.1 | 106.5 | 0.618 | 136.5 | 104.7 | 0.640 | 47.1 | 20.4 |
| AB17122018_slice_36 | 0.810 | 0.134 | 0.104 | 0.810 | 133.8 | 104.5 | 0.612 | 132.1 | 102.6 | 0.638 | 47.1 | 20.7 |
| AB17122018_slice_37 | 0.816 | 0.137 | 0.108 | 0.816 | 137.0 | 107.7 | 0.620 | 135.3 | 105.8 | 0.636 | 47.0 | 20.8 |
| AB17122018_slice_38 | 0.816 | 0.138 | 0.109 | 0.816 | 137.8 | 108.6 | 0.626 | 136.1 | 106.6 | 0.638 | 47.9 | 21.2 |
| AB17122018_slice_39 | 0.822 | 0.144 | 0.113 | 0.822 | 143.5 | 113.3 | 0.634 | 141.9 | 111.1 | 0.639 | 47.7 | 21.0 |
| AB17122018_slice_40 | 0.821 | 0.143 | 0.114 | 0.821 | 143.2 | 113.7 | 0.633 | 141.6 | 111.5 | 0.638 | 47.2 | 21.1 |
| AB17122018_slice_41 | 0.820 | 0.139 | 0.110 | 0.820 | 139.1 | 110.4 | 0.628 | 137.4 | 108.0 | 0.632 | 47.4 | 21.4 |
| AB17122018_slice_42 | 0.810 | 0.134 | 0.105 | 0.810 | 134.1 | 105.4 | 0.613 | 132.5 | 103.3 | 0.628 | 47.8 | 22.0 |
| AB17122018_slice_43 | 0.803 | 0.132 | 0.104 | 0.803 | 132.5 | 103.5 | 0.605 | 130.8 | 101.5 | 0.626 | 48.6 | 22.5 |
| AB17122018_slice_44 | 0.790 | 0.133 | 0.104 | 0.790 | 133.5 | 104.5 | 0.595 | 132.2 | 103.0 | 0.617 | 49.7 | 23.4 |
| AB17122018_slice_45 | 0.792 | 0.135 | 0.106 | 0.792 | 135.4 | 106.3 | 0.603 | 134.2 | 104.8 | 0.621 | 49.8 | 23.4 |
| AB17122018_slice_46 | 0.788 | 0.138 | 0.109 | 0.788 | 138.1 | 108.8 | 0.602 | 137.0 | 107.7 | 0.614 | 51.2 | 24.0 |
| AB17122018_slice_47 | 0.787 | 0.142 | 0.112 | 0.787 | 141.9 | 112.3 | 0.599 | 140.8 | 111.0 | 0.611 | 51.0 | 24.0 |
| AB17122018_slice_48 | 0.791 | 0.143 | 0.112 | 0.791 | 142.8 | 112.3 | 0.602 | 141.7 | 111.0 | 0.611 | 50.9 | 23.7 |
| AB17122018_slice_49 | 0.804 | 0.145 | 0.113 | 0.804 | 144.8 | 113.3 | 0.615 | 143.7 | 111.9 | 0.615 | 49.1 | 22.8 |
| AB17122018_slice_50 | 0.804 | 0.138 | 0.106 | 0.804 | 137.7 | 106.4 | 0.611 | 136.6 | 105.0 | 0.614 | 48.4 | 22.8 |
| AB17122018_slice_51 | 0.809 | 0.139 | 0.107 | 0.809 | 138.9 | 106.5 | 0.615 | 137.8 | 105.2 | 0.616 | 47.5 | 22.3 |
| AB17122018_slice_52 | 0.819 | 0.143 | 0.109 | 0.819 | 142.8 | 108.8 | 0.623 | 141.7 | 107.5 | 0.617 | 46.8 | 21.6 |
| AB17122018_slice_53 | 0.820 | 0.148 | 0.113 | 0.820 | 148.3 | 113.3 | 0.628 | 147.4 | 112.0 | 0.616 | 45.9 | 21.3 |
| AB17122018_slice_54 | 0.817 | 0.151 | 0.116 | 0.817 | 151.4 | 115.9 | 0.626 | 150.6 | 114.5 | 0.611 | 46.4 | 21.5 |
| AB17122018_slice_55 | 0.816 | 0.153 | 0.117 | 0.816 | 152.8 | 116.9 | 0.629 | 151.9 | 115.5 | 0.611 | 46.9 | 21.5 |
| AB17122018_slice_56 | 0.806 | 0.148 | 0.113 | 0.806 | 147.6 | 113.2 | 0.624 | 146.7 | 111.8 | 0.608 | 48.0 | 22.2 |
| AB17122018_slice_57 | 0.815 | 0.150 | 0.116 | 0.815 | 149.5 | 115.6 | 0.633 | 148.6 | 113.9 | 0.615 | 46.7 | 21.5 |
| AB17122018_slice_58 | 0.815 | 0.143 | 0.111 | 0.815 | 143.4 | 110.9 | 0.630 | 142.3 | 109.1 | 0.618 | 46.5 | 21.5 |
| AB17122018_slice_59 | 0.817 | 0.140 | 0.108 | 0.817 | 140.4 | 108.3 | 0.631 | 139.4 | 106.6 | 0.619 | 45.8 | 21.1 |
| AB17122018_slice_60 | 0.821 | 0.138 | 0.107 | 0.821 | 138.5 | 107.2 | 0.633 | 137.5 | 105.4 | 0.624 | 45.1 | 21.0 |
| AB17122018_slice_61 | 0.825 | 0.139 | 0.107 | 0.825 | 138.8 | 107.4 | 0.638 | 137.9 | 105.7 | 0.629 | 44.0 | 20.4 |
| AB17122018_slice_62 | 0.828 | 0.138 | 0.106 | 0.828 | 137.7 | 106.2 | 0.639 | 136.7 | 104.6 | 0.631 | 43.7 | 20.2 |
| AB17122018_slice_63 | 0.825 | 0.137 | 0.106 | 0.825 | 137.0 | 105.8 | 0.635 | 135.8 | 104.1 | 0.630 | 45.3 | 20.8 |
| AB17122018_slice_64 | 0.822 | 0.136 | 0.105 | 0.822 | 135.8 | 105.0 | 0.633 | 134.5 | 103.0 | 0.633 | 46.6 | 21.3 |
| AB17122018_slice_65 | 0.823 | 0.136 | 0.104 | 0.823 | 135.8 | 104.4 | 0.633 | 134.3 | 102.2 | 0.637 | 47.6 | 21.4 |
| AB17122018_slice_66 | 0.826 | 0.135 | 0.103 | 0.826 | 134.9 | 102.9 | 0.634 | 133.3 | 100.6 | 0.644 | 46.4 | 20.9 |
| AB17122018_slice_67 | 0.825 | 0.136 | 0.103 | 0.825 | 136.0 | 103.1 | 0.633 | 134.2 | 100.6 | 0.646 | 47.0 | 21.0 |
| AB17122018_slice_68 | 0.829 | 0.140 | 0.105 | 0.829 | 140.3 | 105.4 | 0.637 | 138.2 | 102.8 | 0.650 | 47.0 | 20.6 |
| AB17122018_slice_69 | 0.828 | 0.141 | 0.106 | 0.828 | 141.2 | 105.8 | 0.635 | 138.9 | 103.0 | 0.645 | 47.5 | 21.0 |
| AB17122018_slice_70 | 0.826 | 0.143 | 0.107 | 0.826 | 142.6 | 106.8 | 0.633 | 140.5 | 104.3 | 0.645 | 47.0 | 20.6 |
| AB17122018_slice_71 | 0.824 | 0.142 | 0.107 | 0.824 | 141.9 | 107.0 | 0.631 | 139.7 | 104.4 | 0.645 | 46.9 | 20.5 |
| AB17122018_slice_72 | 0.823 | 0.143 | 0.108 | 0.823 | 142.9 | 108.5 | 0.627 | 140.6 | 105.9 | 0.641 | 47.1 | 20.7 |
| AB17122018_slice_73 | 0.826 | 0.140 | 0.108 | 0.826 | 140.4 | 107.6 | 0.629 | 138.4 | 105.5 | 0.643 | 45.3 | 19.9 |
| AB17122018_slice_74 | 0.831 | 0.138 | 0.105 | 0.831 | 137.6 | 104.9 | 0.632 | 135.6 | 103.0 | 0.643 | 44.6 | 19.4 |
| AB17122018_slice_75 | 0.837 | 0.136 | 0.105 | 0.837 | 136.5 | 104.8 | 0.640 | 134.8 | 103.0 | 0.645 | 43.3 | 18.8 |
| AB17122018_slice_76 | 0.841 | 0.138 | 0.107 | 0.841 | 138.5 | 107.5 | 0.644 | 136.8 | 105.7 | 0.646 | 43.1 | 18.8 |
| AB17122018_slice_77 | 0.840 | 0.129 | 0.100 | 0.840 | 129.5 | 99.6 | 0.638 | 127.6 | 97.8 | 0.643 | 44.1 | 19.5 |
| AB17122018_slice_78 | 0.833 | 0.133 | 0.103 | 0.833 | 133.0 | 103.5 | 0.634 | 131.2 | 101.7 | 0.631 | 45.6 | 20.7 |
| AB17122018_slice_79 | 0.829 | 0.134 | 0.105 | 0.829 | 134.3 | 105.2 | 0.632 | 132.9 | 103.7 | 0.614 | 45.7 | 21.7 |
| AB17122018_slice_80 | 0.815 | 0.132 | 0.104 | 0.815 | 132.5 | 104.2 | 0.615 | 131.2 | 102.8 | 0.602 | 47.7 | 23.5 |
| AB17122018_slice_81 | 0.815 | 0.129 | 0.101 | 0.815 | 128.9 | 101.4 | 0.613 | 127.7 | 100.2 | 0.598 | 47.5 | 23.7 |
| AB17122018_slice_82 | 0.799 | 0.128 | 0.101 | 0.799 | 127.7 | 101.1 | 0.599 | 126.5 | 99.9 | 0.589 | 49.8 | 25.5 |
| AB17122018_slice_83 | 0.814 | 0.127 | 0.100 | 0.814 | 127.3 | 100.3 | 0.609 | 126.1 | 99.1 | 0.589 | 48.2 | 24.5 |
| AB17122018_slice_84 | 0.818 | 0.133 | 0.105 | 0.818 | 133.3 | 105.3 | 0.614 | 132.2 | 104.2 | 0.584 | 47.4 | 24.1 |
| AB17122018_slice_85 | 0.806 | 0.131 | 0.104 | 0.806 | 131.1 | 104.5 | 0.602 | 129.9 | 103.3 | 0.576 | 48.6 | 25.2 |
| AB17122018_slice_86 | 0.796 | 0.133 | 0.106 | 0.796 | 132.9 | 106.4 | 0.593 | 131.7 | 105.2 | 0.570 | 50.5 | 26.4 |
| AB17122018_slice_87 | 0.788 | 0.134 | 0.108 | 0.788 | 134.4 | 108.1 | 0.585 | 133.2 | 106.9 | 0.566 | 51.7 | 27.3 |
| AB17122018_slice_88 | 0.813 | 0.139 | 0.111 | 0.813 | 138.7 | 110.6 | 0.607 | 137.4 | 109.3 | 0.571 | 49.0 | 25.2 |
| AB17122018_slice_89 | 0.811 | 0.134 | 0.107 | 0.811 | 134.1 | 107.1 | 0.604 | 132.8 | 105.7 | 0.570 | 49.3 | 25.5 |
| AB17122018_slice_90 | 0.813 | 0.132 | 0.105 | 0.813 | 131.5 | 104.9 | 0.607 | 130.1 | 103.5 | 0.572 | 49.1 | 25.4 |
| AB17122018_slice_91 | 0.817 | 0.128 | 0.102 | 0.817 | 128.3 | 102.4 | 0.606 | 126.9 | 101.0 | 0.571 | 48.6 | 25.1 |
| AB17122018_slice_92 | 0.819 | 0.131 | 0.105 | 0.819 | 131.3 | 104.9 | 0.609 | 130.0 | 103.6 | 0.572 | 48.7 | 25.1 |
| AB17122018_slice_93 | 0.831 | 0.133 | 0.106 | 0.831 | 133.4 | 106.3 | 0.624 | 132.1 | 104.9 | 0.579 | 47.4 | 24.2 |
| AB17122018_slice_94 | 0.826 | 0.134 | 0.107 | 0.826 | 134.3 | 107.1 | 0.622 | 133.1 | 105.8 | 0.579 | 47.7 | 24.4 |
| AB17122018_slice_95 | 0.823 | 0.131 | 0.105 | 0.823 | 131.4 | 104.8 | 0.616 | 130.1 | 103.5 | 0.580 | 47.9 | 24.5 |
| AB17122018_slice_96 | 0.822 | 0.128 | 0.103 | 0.822 | 128.4 | 102.6 | 0.610 | 127.1 | 101.3 | 0.578 | 47.7 | 24.5 |
| AB17122018_slice_97 | 0.812 | 0.127 | 0.101 | 0.812 | 126.7 | 101.1 | 0.598 | 125.4 | 99.8 | 0.576 | 48.9 | 25.2 |
| AB17122018_slice_98 | 0.806 | 0.126 | 0.101 | 0.806 | 126.5 | 100.8 | 0.592 | 125.2 | 99.5 | 0.574 | 50.2 | 25.8 |
| AB17122018_slice_99 | 0.808 | 0.128 | 0.101 | 0.808 | 128.2 | 100.5 | 0.598 | 126.7 | 99.1 | 0.579 | 50.2 | 25.4 |
| AB17122018_slice_100 | 0.822 | 0.134 | 0.103 | 0.822 | 134.0 | 103.1 | 0.614 | 132.3 | 101.5 | 0.585 | 49.4 | 24.4 |
4Γ3 grid: Rows show different image types (Original NATIVE, Reconstructed NATIVE, Original VENOUS, Generated VENOUS), Columns show windowing techniques (No Window, Lung Window, Mediastinum Window)