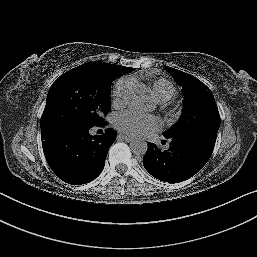
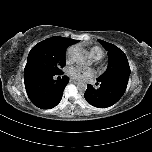
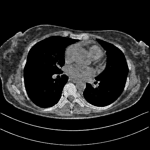
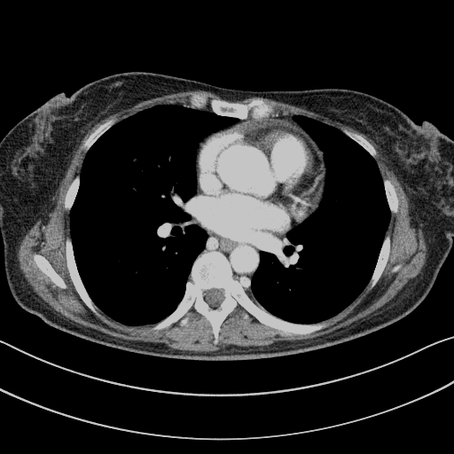
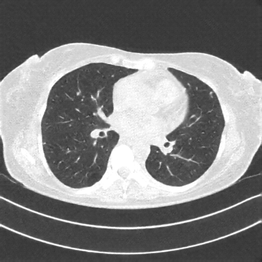
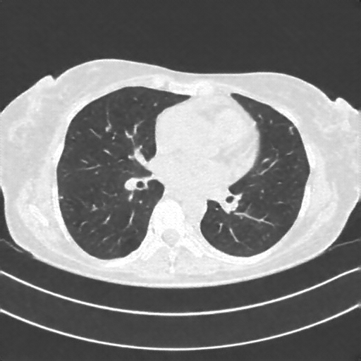
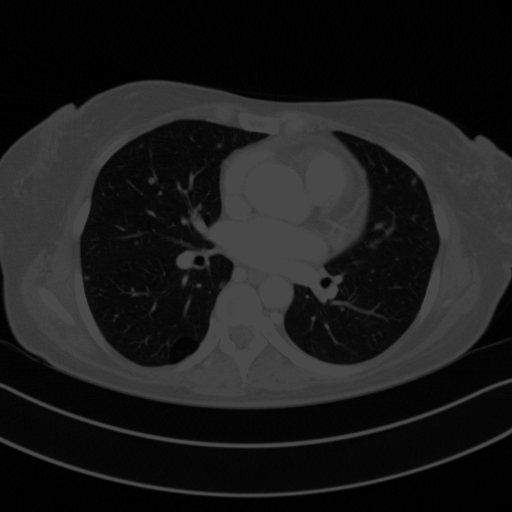
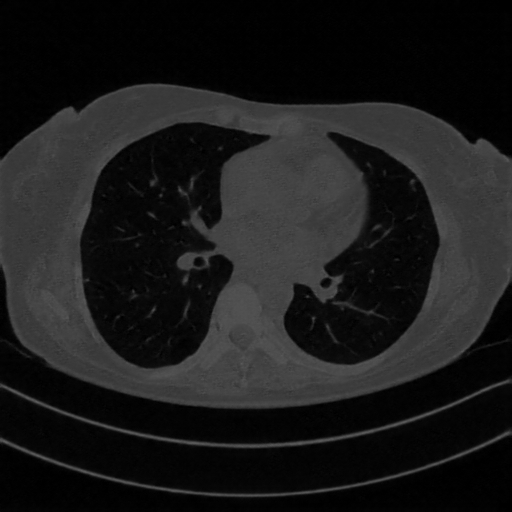
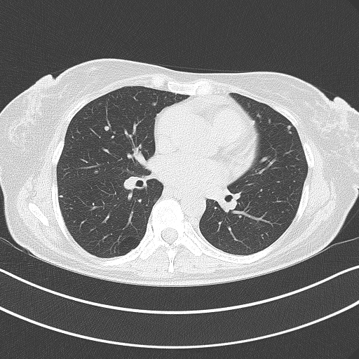
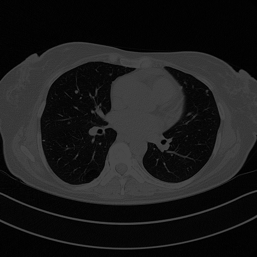
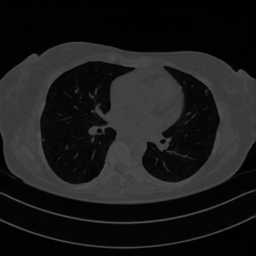
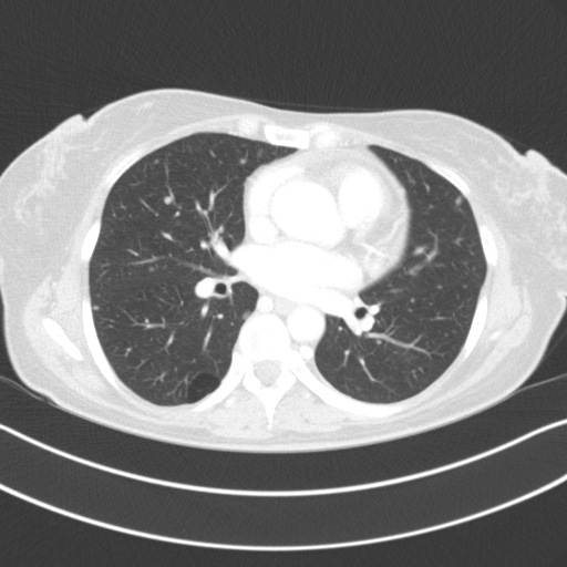
Slice 70 Targeting Evaluation
Patient ID: PN17122020
Model: cytran
Slice: Slice_70
Slice Thickness: 3.0mm
Conversion: NATIVE β VENOUS
Contains all 4 metric datasets: Network-Normalized, Hounsfield Units, Lung Window, and Mediastinum Window
| Slice ID | SSIM | RMSE | MAE | HU SSIM | HU RMSE | HU MAE | Lung SSIM | Lung RMSE | Lung MAE | Mediastinum SSIM | Mediastinum RMSE | Mediastinum MAE |
|---|---|---|---|---|---|---|---|---|---|---|---|---|
| PN17122020_slice_0 | 0.867 | 0.064 | 0.036 | 0.867 | 64.3 | 35.6 | 0.722 | 61.0 | 32.5 | 0.661 | 44.8 | 21.1 |
| PN17122020_slice_1 | 0.869 | 0.065 | 0.036 | 0.869 | 64.6 | 36.0 | 0.722 | 61.2 | 32.7 | 0.661 | 44.5 | 21.0 |
| PN17122020_slice_2 | 0.866 | 0.067 | 0.037 | 0.866 | 67.1 | 37.1 | 0.719 | 63.7 | 33.8 | 0.656 | 44.6 | 21.4 |
| PN17122020_slice_3 | 0.865 | 0.068 | 0.038 | 0.865 | 68.0 | 37.6 | 0.714 | 64.9 | 34.4 | 0.652 | 44.2 | 21.3 |
| PN17122020_slice_4 | 0.860 | 0.067 | 0.038 | 0.860 | 67.5 | 38.1 | 0.707 | 64.2 | 34.8 | 0.651 | 44.7 | 21.6 |
| PN17122020_slice_5 | 0.863 | 0.067 | 0.038 | 0.863 | 67.0 | 38.0 | 0.712 | 63.6 | 34.5 | 0.659 | 45.4 | 21.6 |
| PN17122020_slice_6 | 0.857 | 0.073 | 0.039 | 0.857 | 73.1 | 38.9 | 0.709 | 70.8 | 36.0 | 0.658 | 45.3 | 21.3 |
| PN17122020_slice_7 | 0.853 | 0.081 | 0.041 | 0.853 | 81.0 | 41.2 | 0.704 | 79.1 | 38.4 | 0.652 | 45.4 | 21.3 |
| PN17122020_slice_8 | 0.852 | 0.087 | 0.043 | 0.852 | 87.4 | 42.8 | 0.705 | 85.6 | 39.9 | 0.652 | 46.6 | 21.7 |
| PN17122020_slice_9 | 0.850 | 0.092 | 0.044 | 0.850 | 92.1 | 44.0 | 0.704 | 90.5 | 41.3 | 0.653 | 47.3 | 21.9 |
| PN17122020_slice_10 | 0.848 | 0.094 | 0.045 | 0.848 | 94.3 | 45.1 | 0.700 | 92.5 | 42.3 | 0.648 | 48.5 | 22.4 |
| PN17122020_slice_11 | 0.848 | 0.090 | 0.044 | 0.848 | 90.1 | 44.4 | 0.698 | 88.0 | 41.6 | 0.646 | 48.4 | 22.4 |
| PN17122020_slice_12 | 0.859 | 0.084 | 0.042 | 0.859 | 83.7 | 42.4 | 0.710 | 81.6 | 39.6 | 0.657 | 46.5 | 21.4 |
| PN17122020_slice_13 | 0.864 | 0.081 | 0.041 | 0.864 | 80.6 | 41.4 | 0.717 | 78.5 | 38.7 | 0.666 | 45.2 | 20.7 |
| PN17122020_slice_14 | 0.871 | 0.078 | 0.041 | 0.871 | 78.3 | 40.9 | 0.725 | 76.0 | 38.0 | 0.674 | 44.3 | 20.1 |
| PN17122020_slice_15 | 0.873 | 0.077 | 0.041 | 0.873 | 77.2 | 40.5 | 0.724 | 75.1 | 37.8 | 0.679 | 43.2 | 19.4 |
| PN17122020_slice_16 | 0.869 | 0.079 | 0.042 | 0.869 | 79.5 | 42.0 | 0.717 | 77.3 | 39.2 | 0.680 | 44.0 | 19.8 |
| PN17122020_slice_17 | 0.871 | 0.079 | 0.042 | 0.871 | 78.7 | 41.8 | 0.722 | 76.5 | 39.0 | 0.685 | 43.2 | 19.6 |
| PN17122020_slice_18 | 0.870 | 0.078 | 0.041 | 0.870 | 77.7 | 41.5 | 0.722 | 75.4 | 38.6 | 0.686 | 42.6 | 19.5 |
| PN17122020_slice_19 | 0.871 | 0.078 | 0.041 | 0.871 | 77.9 | 41.2 | 0.721 | 75.8 | 38.7 | 0.686 | 42.4 | 19.1 |
| PN17122020_slice_20 | 0.874 | 0.076 | 0.041 | 0.874 | 76.4 | 40.6 | 0.725 | 74.2 | 38.2 | 0.692 | 41.8 | 18.6 |
| PN17122020_slice_21 | 0.871 | 0.077 | 0.041 | 0.871 | 76.8 | 40.8 | 0.724 | 74.3 | 38.4 | 0.695 | 42.7 | 18.8 |
| PN17122020_slice_22 | 0.866 | 0.077 | 0.042 | 0.866 | 76.9 | 41.6 | 0.719 | 74.1 | 39.0 | 0.695 | 44.0 | 19.7 |
| PN17122020_slice_23 | 0.870 | 0.075 | 0.041 | 0.870 | 74.5 | 40.8 | 0.723 | 71.6 | 38.1 | 0.702 | 42.6 | 19.1 |
| PN17122020_slice_24 | 0.876 | 0.073 | 0.040 | 0.876 | 72.9 | 40.1 | 0.729 | 70.1 | 37.4 | 0.709 | 40.8 | 18.2 |
| PN17122020_slice_25 | 0.875 | 0.073 | 0.040 | 0.875 | 73.1 | 40.2 | 0.725 | 70.3 | 37.6 | 0.709 | 40.5 | 18.1 |
| PN17122020_slice_26 | 0.872 | 0.073 | 0.041 | 0.872 | 73.1 | 41.1 | 0.722 | 70.3 | 38.4 | 0.708 | 40.9 | 18.5 |
| PN17122020_slice_27 | 0.868 | 0.074 | 0.042 | 0.868 | 74.1 | 42.0 | 0.718 | 71.4 | 39.3 | 0.709 | 41.6 | 18.9 |
| PN17122020_slice_28 | 0.860 | 0.075 | 0.043 | 0.860 | 74.9 | 43.1 | 0.712 | 72.2 | 40.4 | 0.704 | 43.1 | 19.9 |
| PN17122020_slice_29 | 0.859 | 0.075 | 0.044 | 0.859 | 75.4 | 43.7 | 0.711 | 72.6 | 41.1 | 0.706 | 43.5 | 20.1 |
| PN17122020_slice_30 | 0.862 | 0.076 | 0.044 | 0.862 | 76.5 | 43.8 | 0.714 | 73.6 | 41.2 | 0.710 | 43.0 | 19.8 |
| PN17122020_slice_31 | 0.868 | 0.078 | 0.043 | 0.868 | 77.5 | 43.2 | 0.716 | 75.0 | 40.9 | 0.709 | 42.2 | 19.0 |
| PN17122020_slice_32 | 0.875 | 0.074 | 0.042 | 0.875 | 73.6 | 41.9 | 0.724 | 71.0 | 39.6 | 0.712 | 41.7 | 18.5 |
| PN17122020_slice_33 | 0.880 | 0.072 | 0.041 | 0.880 | 72.3 | 41.4 | 0.725 | 70.0 | 39.2 | 0.719 | 40.0 | 17.6 |
| PN17122020_slice_34 | 0.884 | 0.072 | 0.041 | 0.884 | 72.2 | 41.1 | 0.727 | 69.8 | 38.9 | 0.724 | 39.2 | 17.1 |
| PN17122020_slice_35 | 0.888 | 0.071 | 0.041 | 0.888 | 71.4 | 40.7 | 0.730 | 69.1 | 38.5 | 0.724 | 38.5 | 16.9 |
| PN17122020_slice_36 | 0.886 | 0.071 | 0.041 | 0.886 | 71.1 | 41.2 | 0.723 | 68.8 | 38.9 | 0.720 | 38.5 | 17.1 |
| PN17122020_slice_37 | 0.879 | 0.073 | 0.042 | 0.879 | 72.6 | 42.4 | 0.716 | 70.4 | 40.1 | 0.714 | 39.7 | 17.9 |
| PN17122020_slice_38 | 0.871 | 0.075 | 0.044 | 0.871 | 74.6 | 44.1 | 0.704 | 72.2 | 41.7 | 0.709 | 41.3 | 18.8 |
| PN17122020_slice_39 | 0.868 | 0.074 | 0.044 | 0.868 | 74.3 | 44.0 | 0.699 | 71.9 | 41.7 | 0.705 | 41.4 | 19.0 |
| PN17122020_slice_40 | 0.870 | 0.074 | 0.044 | 0.870 | 74.2 | 43.5 | 0.700 | 72.2 | 41.5 | 0.707 | 40.3 | 18.5 |
| PN17122020_slice_41 | 0.868 | 0.076 | 0.044 | 0.868 | 76.1 | 43.9 | 0.702 | 74.3 | 42.0 | 0.709 | 41.1 | 18.6 |
| PN17122020_slice_42 | 0.869 | 0.078 | 0.044 | 0.869 | 78.1 | 44.1 | 0.705 | 75.7 | 42.1 | 0.711 | 42.9 | 18.9 |
| PN17122020_slice_43 | 0.865 | 0.081 | 0.045 | 0.865 | 80.8 | 44.7 | 0.699 | 78.1 | 42.5 | 0.706 | 44.3 | 19.3 |
| PN17122020_slice_44 | 0.863 | 0.082 | 0.045 | 0.863 | 81.7 | 44.7 | 0.698 | 79.0 | 42.3 | 0.706 | 43.8 | 19.2 |
| PN17122020_slice_45 | 0.875 | 0.080 | 0.043 | 0.875 | 80.2 | 43.5 | 0.707 | 77.9 | 41.3 | 0.715 | 41.0 | 17.7 |
| PN17122020_slice_46 | 0.876 | 0.079 | 0.043 | 0.876 | 79.0 | 43.4 | 0.705 | 76.9 | 41.1 | 0.715 | 40.3 | 17.5 |
| PN17122020_slice_47 | 0.878 | 0.076 | 0.043 | 0.878 | 75.9 | 43.2 | 0.707 | 73.7 | 40.9 | 0.718 | 39.7 | 17.6 |
| PN17122020_slice_48 | 0.875 | 0.076 | 0.044 | 0.875 | 75.8 | 43.9 | 0.704 | 73.8 | 41.6 | 0.714 | 40.3 | 18.1 |
| PN17122020_slice_49 | 0.873 | 0.076 | 0.045 | 0.873 | 76.1 | 44.5 | 0.700 | 74.3 | 42.5 | 0.712 | 40.6 | 18.2 |
| PN17122020_slice_50 | 0.869 | 0.077 | 0.045 | 0.869 | 76.8 | 45.3 | 0.695 | 75.2 | 43.4 | 0.705 | 40.5 | 18.4 |
| PN17122020_slice_51 | 0.863 | 0.078 | 0.046 | 0.863 | 77.7 | 46.0 | 0.688 | 75.8 | 44.0 | 0.702 | 41.3 | 18.8 |
| PN17122020_slice_52 | 0.866 | 0.079 | 0.046 | 0.866 | 79.4 | 46.4 | 0.692 | 77.6 | 44.5 | 0.707 | 40.6 | 18.4 |
| PN17122020_slice_53 | 0.869 | 0.079 | 0.046 | 0.869 | 79.1 | 46.2 | 0.695 | 77.4 | 44.4 | 0.706 | 40.6 | 18.3 |
| PN17122020_slice_54 | 0.866 | 0.079 | 0.046 | 0.866 | 79.2 | 46.2 | 0.696 | 77.1 | 44.2 | 0.704 | 42.4 | 19.0 |
| PN17122020_slice_55 | 0.863 | 0.080 | 0.047 | 0.863 | 79.9 | 46.9 | 0.690 | 77.2 | 44.7 | 0.701 | 44.3 | 19.7 |
| PN17122020_slice_56 | 0.869 | 0.079 | 0.046 | 0.869 | 78.6 | 46.0 | 0.698 | 76.0 | 43.8 | 0.707 | 43.4 | 19.3 |
| PN17122020_slice_57 | 0.873 | 0.077 | 0.045 | 0.873 | 77.3 | 45.2 | 0.700 | 75.1 | 43.1 | 0.710 | 41.9 | 18.6 |
| PN17122020_slice_58 | 0.875 | 0.078 | 0.045 | 0.875 | 77.6 | 45.4 | 0.701 | 75.5 | 43.2 | 0.709 | 41.7 | 18.6 |
| PN17122020_slice_59 | 0.877 | 0.077 | 0.045 | 0.877 | 77.1 | 44.7 | 0.705 | 75.1 | 42.5 | 0.712 | 40.6 | 18.3 |
| PN17122020_slice_60 | 0.875 | 0.077 | 0.045 | 0.875 | 77.1 | 44.7 | 0.700 | 75.1 | 42.4 | 0.706 | 40.7 | 18.5 |
| PN17122020_slice_61 | 0.862 | 0.081 | 0.047 | 0.862 | 80.8 | 46.9 | 0.681 | 78.9 | 44.7 | 0.691 | 43.6 | 19.9 |
| PN17122020_slice_62 | 0.859 | 0.084 | 0.048 | 0.859 | 84.4 | 48.0 | 0.679 | 82.4 | 45.9 | 0.688 | 44.3 | 20.1 |
| PN17122020_slice_63 | 0.850 | 0.088 | 0.049 | 0.850 | 88.4 | 49.0 | 0.668 | 86.7 | 47.0 | 0.682 | 45.1 | 20.5 |
| PN17122020_slice_64 | 0.844 | 0.093 | 0.050 | 0.844 | 92.6 | 50.1 | 0.663 | 91.0 | 48.1 | 0.675 | 45.5 | 20.7 |
| PN17122020_slice_65 | 0.847 | 0.094 | 0.050 | 0.847 | 94.2 | 49.8 | 0.667 | 92.7 | 47.8 | 0.679 | 44.3 | 20.2 |
| PN17122020_slice_66 | 0.850 | 0.097 | 0.050 | 0.850 | 96.5 | 49.9 | 0.675 | 95.0 | 48.0 | 0.684 | 44.3 | 19.9 |
| PN17122020_slice_67 | 0.845 | 0.100 | 0.051 | 0.845 | 99.9 | 51.4 | 0.668 | 98.1 | 49.3 | 0.676 | 46.4 | 20.7 |
| PN17122020_slice_68 | 0.846 | 0.100 | 0.051 | 0.846 | 99.6 | 51.0 | 0.672 | 97.9 | 49.0 | 0.675 | 46.1 | 20.6 |
| PN17122020_slice_69 | 0.848 | 0.098 | 0.051 | 0.848 | 98.4 | 50.6 | 0.673 | 96.7 | 48.5 | 0.678 | 45.2 | 20.4 |
| PN17122020_slice_70 | 0.850 | 0.099 | 0.051 | 0.850 | 98.6 | 50.7 | 0.674 | 96.8 | 48.5 | 0.679 | 44.9 | 20.4 |
| PN17122020_slice_71 | 0.854 | 0.099 | 0.051 | 0.854 | 99.1 | 50.8 | 0.677 | 97.6 | 48.6 | 0.680 | 43.6 | 20.0 |
| PN17122020_slice_72 | 0.846 | 0.102 | 0.053 | 0.846 | 102.1 | 52.6 | 0.668 | 100.6 | 50.3 | 0.675 | 44.2 | 20.4 |
| PN17122020_slice_73 | 0.834 | 0.106 | 0.055 | 0.834 | 106.1 | 55.3 | 0.651 | 104.8 | 53.4 | 0.665 | 47.2 | 21.7 |
| PN17122020_slice_74 | 0.831 | 0.109 | 0.056 | 0.831 | 108.6 | 56.1 | 0.651 | 107.3 | 54.1 | 0.658 | 47.7 | 22.1 |
| PN17122020_slice_75 | 0.833 | 0.108 | 0.055 | 0.833 | 108.3 | 55.3 | 0.652 | 107.0 | 53.4 | 0.660 | 47.1 | 21.8 |
| PN17122020_slice_76 | 0.832 | 0.108 | 0.055 | 0.832 | 108.1 | 54.9 | 0.650 | 107.0 | 53.3 | 0.659 | 47.5 | 21.9 |
| PN17122020_slice_77 | 0.833 | 0.107 | 0.054 | 0.833 | 106.7 | 54.1 | 0.653 | 105.6 | 52.6 | 0.660 | 47.6 | 22.0 |
| PN17122020_slice_78 | 0.836 | 0.107 | 0.053 | 0.836 | 106.6 | 53.2 | 0.657 | 105.4 | 51.6 | 0.666 | 47.1 | 21.8 |
| PN17122020_slice_79 | 0.832 | 0.108 | 0.054 | 0.832 | 108.1 | 53.6 | 0.653 | 106.8 | 51.9 | 0.664 | 48.1 | 22.1 |
| PN17122020_slice_80 | 0.831 | 0.110 | 0.054 | 0.831 | 109.7 | 53.8 | 0.650 | 108.4 | 52.2 | 0.658 | 48.5 | 22.2 |
| PN17122020_slice_81 | 0.829 | 0.113 | 0.055 | 0.829 | 112.6 | 54.8 | 0.648 | 111.0 | 52.8 | 0.662 | 49.3 | 22.4 |
| PN17122020_slice_82 | 0.823 | 0.114 | 0.056 | 0.823 | 114.0 | 55.9 | 0.642 | 112.5 | 54.0 | 0.661 | 49.9 | 22.9 |
| PN17122020_slice_83 | 0.822 | 0.114 | 0.056 | 0.822 | 114.0 | 56.0 | 0.642 | 112.7 | 54.1 | 0.660 | 49.8 | 22.9 |
| PN17122020_slice_84 | 0.820 | 0.115 | 0.057 | 0.820 | 115.3 | 56.6 | 0.639 | 114.0 | 54.7 | 0.662 | 49.0 | 22.4 |
| PN17122020_slice_85 | 0.816 | 0.116 | 0.057 | 0.816 | 116.2 | 57.5 | 0.631 | 114.8 | 55.6 | 0.661 | 49.7 | 22.5 |
| PN17122020_slice_86 | 0.817 | 0.116 | 0.057 | 0.817 | 116.0 | 57.2 | 0.633 | 114.5 | 55.2 | 0.661 | 49.6 | 22.3 |
| PN17122020_slice_87 | 0.816 | 0.118 | 0.058 | 0.816 | 117.5 | 57.8 | 0.632 | 116.2 | 55.8 | 0.664 | 49.1 | 22.2 |
| PN17122020_slice_88 | 0.813 | 0.120 | 0.059 | 0.813 | 119.6 | 58.6 | 0.629 | 118.3 | 56.7 | 0.667 | 48.7 | 21.9 |
| PN17122020_slice_89 | 0.812 | 0.121 | 0.059 | 0.812 | 121.0 | 58.8 | 0.627 | 119.5 | 56.8 | 0.670 | 48.6 | 21.7 |
| PN17122020_slice_90 | 0.813 | 0.121 | 0.059 | 0.813 | 120.9 | 58.7 | 0.627 | 119.3 | 56.6 | 0.676 | 48.5 | 21.6 |
| PN17122020_slice_91 | 0.808 | 0.121 | 0.059 | 0.808 | 120.8 | 58.9 | 0.622 | 119.3 | 56.9 | 0.681 | 48.6 | 21.6 |
| PN17122020_slice_92 | 0.807 | 0.122 | 0.059 | 0.807 | 121.5 | 59.4 | 0.618 | 120.0 | 57.4 | 0.683 | 48.9 | 21.6 |
| PN17122020_slice_93 | 0.810 | 0.121 | 0.059 | 0.810 | 121.5 | 58.9 | 0.621 | 119.8 | 56.7 | 0.691 | 48.6 | 21.2 |
| PN17122020_slice_94 | 0.808 | 0.123 | 0.060 | 0.808 | 122.8 | 59.5 | 0.620 | 121.0 | 57.3 | 0.691 | 49.0 | 21.2 |
| PN17122020_slice_95 | 0.813 | 0.123 | 0.059 | 0.813 | 123.2 | 59.3 | 0.628 | 121.4 | 57.0 | 0.690 | 48.9 | 21.0 |
| PN17122020_slice_96 | 0.805 | 0.126 | 0.060 | 0.805 | 125.7 | 60.5 | 0.621 | 123.8 | 58.0 | 0.685 | 50.1 | 21.6 |
| PN17122020_slice_97 | 0.801 | 0.128 | 0.062 | 0.801 | 128.4 | 61.6 | 0.617 | 126.5 | 59.1 | 0.684 | 50.8 | 21.8 |
| PN17122020_slice_98 | 0.803 | 0.131 | 0.062 | 0.803 | 130.6 | 62.0 | 0.622 | 128.6 | 59.4 | 0.687 | 51.6 | 21.9 |
| PN17122020_slice_99 | 0.804 | 0.133 | 0.062 | 0.804 | 133.2 | 62.0 | 0.627 | 131.0 | 59.4 | 0.693 | 51.9 | 21.6 |
| PN17122020_slice_100 | 0.809 | 0.133 | 0.060 | 0.809 | 132.7 | 60.4 | 0.637 | 130.8 | 58.0 | 0.697 | 50.8 | 20.9 |
| PN17122020_slice_101 | 0.811 | 0.134 | 0.061 | 0.811 | 134.3 | 60.6 | 0.641 | 132.3 | 58.1 | 0.702 | 50.3 | 20.4 |
| PN17122020_slice_102 | 0.813 | 0.136 | 0.060 | 0.813 | 135.9 | 60.3 | 0.645 | 133.9 | 57.9 | 0.706 | 50.3 | 20.2 |
| PN17122020_slice_103 | 0.809 | 0.140 | 0.061 | 0.809 | 140.0 | 61.4 | 0.642 | 138.1 | 58.9 | 0.703 | 50.6 | 20.5 |
| PN17122020_slice_104 | 0.809 | 0.143 | 0.062 | 0.809 | 143.1 | 62.3 | 0.643 | 141.3 | 59.8 | 0.704 | 50.7 | 20.4 |
| PN17122020_slice_105 | 0.813 | 0.143 | 0.062 | 0.813 | 142.9 | 62.2 | 0.649 | 141.2 | 59.8 | 0.707 | 50.6 | 20.3 |
| PN17122020_slice_106 | 0.814 | 0.143 | 0.062 | 0.814 | 143.2 | 62.3 | 0.649 | 141.5 | 59.8 | 0.705 | 50.5 | 20.2 |
| PN17122020_slice_107 | 0.816 | 0.144 | 0.063 | 0.816 | 144.3 | 63.2 | 0.650 | 142.7 | 60.8 | 0.703 | 49.7 | 19.8 |
| PN17122020_slice_108 | 0.815 | 0.149 | 0.065 | 0.815 | 149.3 | 65.3 | 0.649 | 147.9 | 63.1 | 0.696 | 49.8 | 20.0 |
| PN17122020_slice_109 | 0.812 | 0.154 | 0.067 | 0.812 | 153.9 | 66.9 | 0.645 | 152.6 | 64.8 | 0.688 | 50.5 | 20.5 |
| PN17122020_slice_110 | 0.808 | 0.157 | 0.067 | 0.808 | 156.7 | 67.3 | 0.647 | 155.5 | 65.3 | 0.682 | 52.6 | 21.5 |
| PN17122020_slice_111 | 0.804 | 0.159 | 0.067 | 0.804 | 158.8 | 67.4 | 0.647 | 157.7 | 65.4 | 0.671 | 55.3 | 22.8 |
| PN17122020_slice_112 | 0.800 | 0.161 | 0.068 | 0.800 | 161.0 | 68.1 | 0.643 | 160.1 | 66.5 | 0.666 | 56.7 | 23.9 |
| PN17122020_slice_113 | 0.800 | 0.160 | 0.068 | 0.800 | 159.8 | 67.9 | 0.642 | 158.9 | 66.3 | 0.661 | 57.5 | 24.6 |
| PN17122020_slice_114 | 0.795 | 0.159 | 0.068 | 0.795 | 159.4 | 67.8 | 0.637 | 158.7 | 66.4 | 0.655 | 59.1 | 25.7 |
| PN17122020_slice_115 | 0.791 | 0.159 | 0.068 | 0.791 | 159.4 | 68.5 | 0.631 | 158.5 | 67.0 | 0.648 | 59.6 | 26.6 |
| PN17122020_slice_116 | 0.791 | 0.159 | 0.069 | 0.791 | 158.6 | 68.8 | 0.629 | 157.7 | 67.2 | 0.645 | 59.9 | 27.3 |
| PN17122020_slice_117 | 0.802 | 0.157 | 0.067 | 0.802 | 156.7 | 66.9 | 0.639 | 155.9 | 65.4 | 0.644 | 58.5 | 26.3 |
| PN17122020_slice_118 | 0.802 | 0.156 | 0.066 | 0.802 | 155.8 | 66.4 | 0.637 | 155.1 | 65.1 | 0.635 | 58.2 | 26.5 |
| PN17122020_slice_119 | 0.802 | 0.157 | 0.067 | 0.802 | 156.9 | 66.8 | 0.638 | 156.2 | 65.5 | 0.633 | 58.2 | 26.8 |
| PN17122020_slice_120 | 0.800 | 0.158 | 0.067 | 0.800 | 157.7 | 67.4 | 0.637 | 157.0 | 66.0 | 0.630 | 58.7 | 27.6 |
| PN17122020_slice_121 | 0.795 | 0.158 | 0.068 | 0.795 | 157.6 | 67.7 | 0.632 | 157.0 | 66.4 | 0.625 | 58.8 | 28.0 |
| PN17122020_slice_122 | 0.793 | 0.158 | 0.067 | 0.793 | 157.7 | 67.4 | 0.633 | 157.2 | 66.3 | 0.622 | 58.9 | 28.2 |
| PN17122020_slice_123 | 0.787 | 0.156 | 0.067 | 0.787 | 155.9 | 67.0 | 0.629 | 155.5 | 66.1 | 0.618 | 59.8 | 29.0 |
| PN17122020_slice_124 | 0.787 | 0.154 | 0.066 | 0.787 | 153.8 | 66.0 | 0.626 | 153.4 | 65.1 | 0.613 | 60.3 | 29.4 |
| PN17122020_slice_125 | 0.799 | 0.150 | 0.064 | 0.799 | 150.5 | 63.7 | 0.638 | 150.0 | 62.7 | 0.615 | 59.2 | 28.6 |
| PN17122020_slice_126 | 0.794 | 0.150 | 0.064 | 0.794 | 149.6 | 63.8 | 0.635 | 149.1 | 62.8 | 0.613 | 60.2 | 29.4 |
| PN17122020_slice_127 | 0.799 | 0.147 | 0.063 | 0.799 | 147.4 | 63.0 | 0.637 | 147.0 | 62.0 | 0.613 | 59.3 | 29.0 |
| PN17122020_slice_128 | 0.802 | 0.145 | 0.063 | 0.802 | 145.4 | 62.5 | 0.641 | 145.0 | 61.5 | 0.616 | 59.0 | 29.0 |
| PN17122020_slice_129 | 0.798 | 0.143 | 0.063 | 0.798 | 143.4 | 62.6 | 0.638 | 143.0 | 61.6 | 0.614 | 59.6 | 29.6 |
| PN17122020_slice_130 | 0.779 | 0.142 | 0.064 | 0.779 | 142.3 | 64.0 | 0.622 | 141.8 | 63.0 | 0.607 | 61.9 | 31.6 |
| PN17122020_slice_131 | 0.787 | 0.139 | 0.062 | 0.787 | 138.6 | 62.3 | 0.628 | 138.1 | 61.3 | 0.607 | 60.4 | 30.9 |
| PN17122020_slice_132 | 0.799 | 0.133 | 0.059 | 0.799 | 133.0 | 59.4 | 0.636 | 132.6 | 58.6 | 0.609 | 58.4 | 29.6 |
| PN17122020_slice_133 | 0.815 | 0.128 | 0.056 | 0.815 | 127.9 | 56.3 | 0.648 | 127.4 | 55.4 | 0.609 | 55.9 | 27.8 |
| PN17122020_slice_134 | 0.817 | 0.124 | 0.055 | 0.817 | 123.7 | 55.0 | 0.650 | 123.2 | 54.0 | 0.610 | 55.6 | 27.9 |
| PN17122020_slice_135 | 0.814 | 0.124 | 0.055 | 0.814 | 123.9 | 55.3 | 0.646 | 123.4 | 54.4 | 0.609 | 55.9 | 28.3 |
| PN17122020_slice_136 | 0.807 | 0.126 | 0.056 | 0.807 | 125.7 | 56.4 | 0.638 | 125.2 | 55.5 | 0.604 | 56.9 | 29.0 |
| PN17122020_slice_137 | 0.821 | 0.124 | 0.054 | 0.821 | 123.9 | 53.9 | 0.649 | 123.4 | 53.0 | 0.605 | 54.5 | 27.5 |
| PN17122020_slice_138 | 0.820 | 0.122 | 0.054 | 0.820 | 121.8 | 53.5 | 0.647 | 121.4 | 52.8 | 0.604 | 55.1 | 27.8 |
| PN17122020_slice_139 | 0.825 | 0.115 | 0.052 | 0.825 | 115.3 | 51.7 | 0.649 | 114.8 | 51.0 | 0.605 | 54.1 | 27.1 |
| PN17122020_slice_140 | 0.831 | 0.107 | 0.049 | 0.831 | 106.7 | 49.2 | 0.657 | 106.2 | 48.4 | 0.611 | 52.7 | 26.4 |
| PN17122020_slice_141 | 0.830 | 0.101 | 0.048 | 0.830 | 100.8 | 48.0 | 0.654 | 100.1 | 47.1 | 0.610 | 53.0 | 26.6 |
| PN17122020_slice_142 | 0.836 | 0.094 | 0.046 | 0.836 | 94.4 | 46.0 | 0.657 | 93.5 | 44.9 | 0.610 | 51.5 | 26.0 |
| PN17122020_slice_143 | 0.833 | 0.090 | 0.045 | 0.833 | 90.2 | 45.4 | 0.655 | 89.3 | 44.2 | 0.612 | 51.9 | 26.2 |
| PN17122020_slice_144 | 0.827 | 0.087 | 0.045 | 0.827 | 87.4 | 45.3 | 0.651 | 86.5 | 44.1 | 0.611 | 53.1 | 26.7 |
| PN17122020_slice_145 | 0.826 | 0.087 | 0.045 | 0.826 | 87.1 | 45.3 | 0.652 | 86.2 | 44.1 | 0.613 | 53.5 | 26.7 |
| PN17122020_slice_146 | 0.826 | 0.088 | 0.045 | 0.826 | 88.4 | 45.4 | 0.656 | 87.5 | 44.2 | 0.617 | 53.5 | 26.6 |
| PN17122020_slice_147 | 0.832 | 0.089 | 0.045 | 0.832 | 89.0 | 45.1 | 0.659 | 88.2 | 43.9 | 0.617 | 52.3 | 25.8 |
| PN17122020_slice_148 | 0.827 | 0.090 | 0.046 | 0.827 | 89.7 | 45.6 | 0.652 | 88.9 | 44.6 | 0.618 | 52.8 | 26.0 |
| PN17122020_slice_149 | 0.830 | 0.091 | 0.045 | 0.830 | 90.7 | 45.3 | 0.656 | 89.7 | 44.2 | 0.620 | 52.2 | 25.5 |
| PN17122020_slice_150 | 0.829 | 0.092 | 0.046 | 0.829 | 91.9 | 45.9 | 0.657 | 90.6 | 44.6 | 0.621 | 52.3 | 25.8 |
| PN17122020_slice_151 | 0.833 | 0.092 | 0.046 | 0.833 | 92.4 | 45.6 | 0.662 | 91.2 | 44.1 | 0.622 | 51.5 | 25.2 |
| PN17122020_slice_152 | 0.838 | 0.092 | 0.045 | 0.838 | 91.8 | 45.0 | 0.664 | 90.6 | 43.5 | 0.622 | 50.5 | 24.5 |
4Γ3 grid: Rows show different image types (Original NATIVE, Reconstructed NATIVE, Original VENOUS, Generated VENOUS), Columns show windowing techniques (No Window, Lung Window, Mediastinum Window)