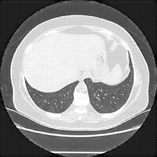
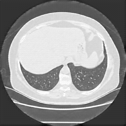
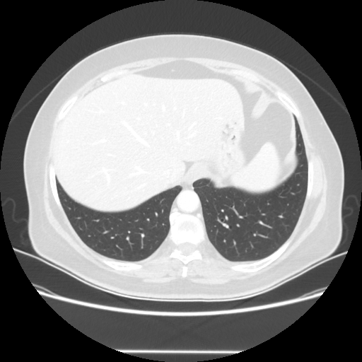
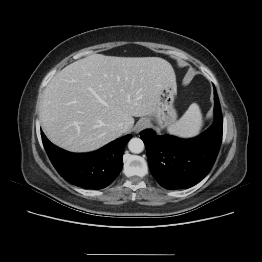
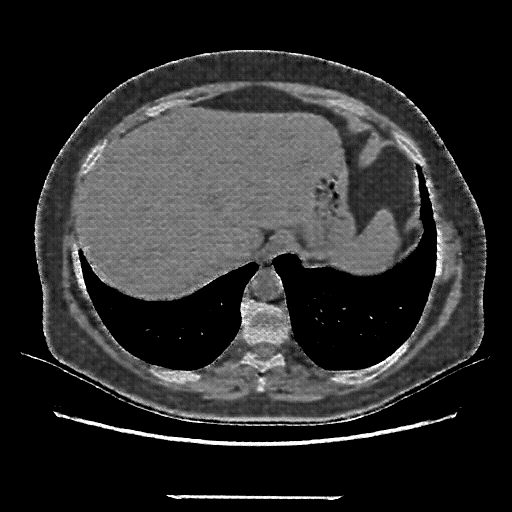
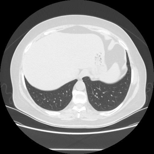
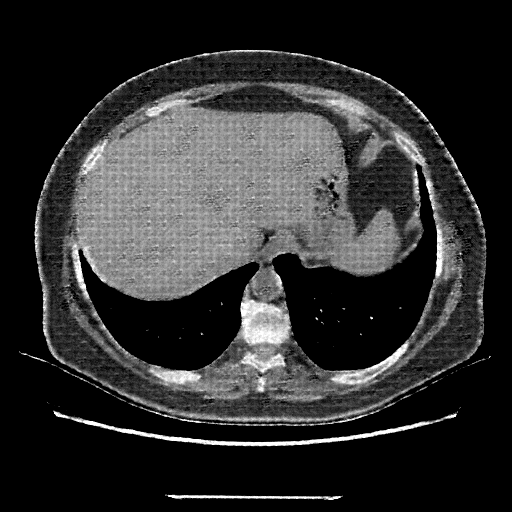
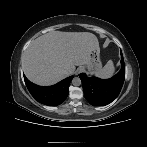
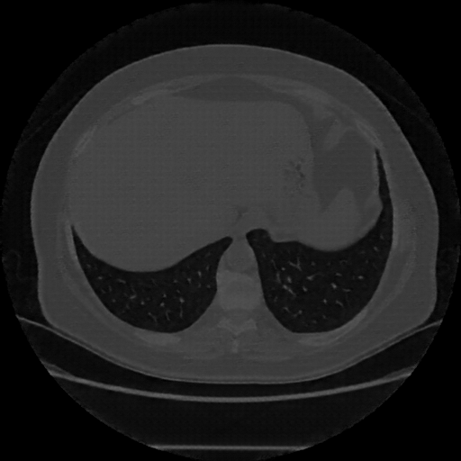
Slice 70 Targeting Evaluation
Patient ID: SV03022021
Model: cytran
Slice: Slice_70
Slice Thickness: 2.5mm
Conversion: NATIVE β VENOUS
Contains all 4 metric datasets: Network-Normalized, Hounsfield Units, Lung Window, and Mediastinum Window
| Slice ID | SSIM | RMSE | MAE | HU SSIM | HU RMSE | HU MAE | Lung SSIM | Lung RMSE | Lung MAE | Mediastinum SSIM | Mediastinum RMSE | Mediastinum MAE |
|---|---|---|---|---|---|---|---|---|---|---|---|---|
| SV03022021_slice_0 | 0.854 | 0.145 | 0.111 | 0.854 | 145.3 | 111.3 | 0.679 | 144.0 | 108.7 | 0.581 | 43.3 | 22.1 |
| SV03022021_slice_1 | 0.837 | 0.144 | 0.111 | 0.837 | 144.0 | 111.1 | 0.662 | 142.8 | 108.8 | 0.568 | 45.8 | 23.6 |
| SV03022021_slice_2 | 0.843 | 0.147 | 0.113 | 0.843 | 147.2 | 113.1 | 0.671 | 146.0 | 110.6 | 0.570 | 44.7 | 23.1 |
| SV03022021_slice_3 | 0.830 | 0.141 | 0.109 | 0.830 | 141.3 | 108.9 | 0.656 | 140.1 | 106.7 | 0.563 | 47.2 | 24.4 |
| SV03022021_slice_4 | 0.833 | 0.149 | 0.115 | 0.833 | 149.3 | 114.7 | 0.660 | 148.2 | 112.5 | 0.559 | 46.9 | 24.3 |
| SV03022021_slice_5 | 0.844 | 0.161 | 0.122 | 0.844 | 160.8 | 122.5 | 0.677 | 159.8 | 120.1 | 0.569 | 45.5 | 23.2 |
| SV03022021_slice_6 | 0.847 | 0.163 | 0.124 | 0.847 | 162.6 | 123.7 | 0.679 | 161.6 | 121.5 | 0.576 | 45.4 | 23.0 |
| SV03022021_slice_7 | 0.848 | 0.152 | 0.116 | 0.848 | 151.6 | 115.5 | 0.677 | 150.6 | 113.4 | 0.582 | 45.2 | 22.7 |
| SV03022021_slice_8 | 0.849 | 0.148 | 0.113 | 0.849 | 148.4 | 113.4 | 0.676 | 147.5 | 111.2 | 0.590 | 44.2 | 22.3 |
| SV03022021_slice_9 | 0.851 | 0.149 | 0.114 | 0.851 | 149.2 | 114.4 | 0.679 | 148.0 | 112.1 | 0.595 | 43.5 | 21.8 |
| SV03022021_slice_10 | 0.849 | 0.147 | 0.113 | 0.849 | 147.1 | 113.2 | 0.674 | 145.9 | 111.0 | 0.595 | 44.4 | 21.8 |
| SV03022021_slice_11 | 0.851 | 0.149 | 0.114 | 0.851 | 148.7 | 114.2 | 0.678 | 147.4 | 112.0 | 0.602 | 44.5 | 21.5 |
| SV03022021_slice_12 | 0.851 | 0.146 | 0.112 | 0.851 | 145.7 | 111.8 | 0.679 | 144.5 | 109.6 | 0.609 | 43.3 | 20.8 |
| SV03022021_slice_13 | 0.853 | 0.147 | 0.112 | 0.853 | 146.5 | 112.3 | 0.680 | 145.3 | 110.1 | 0.613 | 42.7 | 20.6 |
| SV03022021_slice_14 | 0.852 | 0.151 | 0.116 | 0.852 | 151.3 | 116.2 | 0.680 | 150.1 | 114.0 | 0.616 | 42.4 | 20.5 |
| SV03022021_slice_15 | 0.855 | 0.143 | 0.110 | 0.855 | 143.3 | 109.8 | 0.679 | 142.0 | 107.6 | 0.620 | 41.9 | 20.0 |
| SV03022021_slice_16 | 0.853 | 0.147 | 0.113 | 0.853 | 146.5 | 113.1 | 0.680 | 145.2 | 110.8 | 0.620 | 42.5 | 20.5 |
| SV03022021_slice_17 | 0.854 | 0.148 | 0.115 | 0.854 | 148.5 | 114.9 | 0.684 | 147.3 | 112.8 | 0.624 | 42.1 | 20.4 |
| SV03022021_slice_18 | 0.856 | 0.144 | 0.111 | 0.856 | 144.2 | 111.2 | 0.686 | 142.9 | 109.1 | 0.625 | 41.8 | 20.2 |
| SV03022021_slice_19 | 0.860 | 0.142 | 0.109 | 0.860 | 141.7 | 108.6 | 0.688 | 140.5 | 106.6 | 0.624 | 40.9 | 19.6 |
| SV03022021_slice_20 | 0.860 | 0.143 | 0.109 | 0.860 | 142.6 | 108.9 | 0.687 | 141.5 | 107.0 | 0.625 | 40.9 | 19.4 |
| SV03022021_slice_21 | 0.861 | 0.142 | 0.108 | 0.861 | 142.0 | 108.3 | 0.687 | 140.8 | 106.3 | 0.624 | 41.3 | 19.5 |
| SV03022021_slice_22 | 0.852 | 0.147 | 0.114 | 0.852 | 147.4 | 113.7 | 0.681 | 146.1 | 111.5 | 0.621 | 42.8 | 20.5 |
| SV03022021_slice_23 | 0.847 | 0.155 | 0.120 | 0.847 | 154.9 | 119.8 | 0.678 | 153.8 | 117.8 | 0.621 | 43.5 | 20.7 |
| SV03022021_slice_24 | 0.840 | 0.159 | 0.124 | 0.840 | 159.1 | 123.9 | 0.674 | 158.1 | 122.1 | 0.619 | 43.9 | 21.3 |
| SV03022021_slice_25 | 0.832 | 0.159 | 0.124 | 0.832 | 158.8 | 124.1 | 0.666 | 157.6 | 122.2 | 0.615 | 45.6 | 22.3 |
| SV03022021_slice_26 | 0.834 | 0.157 | 0.122 | 0.834 | 157.3 | 122.3 | 0.667 | 156.3 | 120.5 | 0.612 | 45.5 | 22.2 |
| SV03022021_slice_27 | 0.835 | 0.155 | 0.120 | 0.835 | 155.3 | 120.0 | 0.668 | 154.3 | 118.3 | 0.614 | 46.1 | 22.1 |
| SV03022021_slice_28 | 0.839 | 0.154 | 0.119 | 0.839 | 153.6 | 118.6 | 0.671 | 152.6 | 116.8 | 0.621 | 46.0 | 21.9 |
| SV03022021_slice_29 | 0.838 | 0.151 | 0.116 | 0.838 | 150.7 | 116.4 | 0.669 | 149.8 | 114.8 | 0.618 | 46.2 | 21.8 |
| SV03022021_slice_30 | 0.838 | 0.145 | 0.111 | 0.838 | 145.2 | 111.5 | 0.668 | 144.3 | 110.0 | 0.619 | 45.2 | 21.5 |
| SV03022021_slice_31 | 0.838 | 0.146 | 0.112 | 0.838 | 145.7 | 111.8 | 0.665 | 144.7 | 110.0 | 0.616 | 45.3 | 21.8 |
| SV03022021_slice_32 | 0.834 | 0.143 | 0.109 | 0.834 | 142.8 | 109.2 | 0.659 | 141.7 | 107.4 | 0.610 | 46.1 | 22.3 |
| SV03022021_slice_33 | 0.832 | 0.138 | 0.104 | 0.832 | 137.8 | 104.1 | 0.655 | 136.7 | 102.6 | 0.611 | 46.4 | 22.4 |
| SV03022021_slice_34 | 0.832 | 0.137 | 0.104 | 0.832 | 137.2 | 103.6 | 0.657 | 136.1 | 102.0 | 0.615 | 46.2 | 22.2 |
| SV03022021_slice_35 | 0.835 | 0.143 | 0.109 | 0.835 | 142.9 | 108.6 | 0.665 | 142.0 | 107.0 | 0.616 | 45.4 | 21.8 |
| SV03022021_slice_36 | 0.836 | 0.142 | 0.108 | 0.836 | 141.5 | 108.0 | 0.667 | 140.5 | 106.4 | 0.619 | 45.5 | 21.7 |
| SV03022021_slice_37 | 0.837 | 0.144 | 0.110 | 0.837 | 143.6 | 110.3 | 0.668 | 142.7 | 108.7 | 0.623 | 45.0 | 21.5 |
| SV03022021_slice_38 | 0.843 | 0.141 | 0.108 | 0.843 | 140.6 | 108.1 | 0.674 | 139.6 | 106.3 | 0.622 | 44.1 | 21.3 |
| SV03022021_slice_39 | 0.849 | 0.145 | 0.112 | 0.849 | 145.1 | 112.1 | 0.682 | 144.2 | 110.4 | 0.625 | 43.3 | 21.1 |
| SV03022021_slice_40 | 0.849 | 0.149 | 0.116 | 0.849 | 149.1 | 115.9 | 0.685 | 148.1 | 114.0 | 0.625 | 43.4 | 21.3 |
| SV03022021_slice_41 | 0.855 | 0.150 | 0.116 | 0.855 | 149.7 | 116.0 | 0.693 | 148.7 | 114.2 | 0.627 | 42.6 | 20.9 |
| SV03022021_slice_42 | 0.853 | 0.148 | 0.115 | 0.853 | 148.2 | 114.7 | 0.689 | 147.3 | 113.1 | 0.624 | 43.6 | 21.2 |
| SV03022021_slice_43 | 0.851 | 0.149 | 0.115 | 0.851 | 148.9 | 115.4 | 0.686 | 147.9 | 113.7 | 0.621 | 43.9 | 21.5 |
| SV03022021_slice_44 | 0.853 | 0.146 | 0.112 | 0.853 | 145.8 | 112.2 | 0.692 | 144.8 | 110.6 | 0.622 | 43.9 | 21.5 |
| SV03022021_slice_45 | 0.853 | 0.149 | 0.115 | 0.853 | 148.9 | 114.8 | 0.694 | 148.1 | 113.2 | 0.620 | 43.9 | 21.7 |
| SV03022021_slice_46 | 0.853 | 0.148 | 0.114 | 0.853 | 148.1 | 114.3 | 0.694 | 147.2 | 112.8 | 0.619 | 44.3 | 21.9 |
| SV03022021_slice_47 | 0.854 | 0.141 | 0.108 | 0.854 | 140.6 | 108.3 | 0.690 | 139.7 | 106.9 | 0.619 | 44.7 | 22.1 |
| SV03022021_slice_48 | 0.855 | 0.141 | 0.109 | 0.855 | 141.4 | 109.3 | 0.692 | 140.5 | 107.9 | 0.622 | 44.8 | 22.0 |
| SV03022021_slice_49 | 0.853 | 0.139 | 0.107 | 0.853 | 139.1 | 107.3 | 0.690 | 138.3 | 105.9 | 0.622 | 45.0 | 22.0 |
| SV03022021_slice_50 | 0.852 | 0.142 | 0.110 | 0.852 | 142.0 | 109.8 | 0.688 | 141.1 | 108.4 | 0.617 | 44.2 | 21.6 |
| SV03022021_slice_51 | 0.857 | 0.138 | 0.106 | 0.857 | 137.7 | 106.5 | 0.694 | 136.7 | 104.9 | 0.625 | 42.7 | 20.7 |
| SV03022021_slice_52 | 0.855 | 0.133 | 0.103 | 0.855 | 132.9 | 102.8 | 0.693 | 132.0 | 101.2 | 0.630 | 42.2 | 20.6 |
| SV03022021_slice_53 | 0.856 | 0.140 | 0.109 | 0.856 | 140.1 | 108.7 | 0.695 | 139.1 | 107.0 | 0.635 | 41.6 | 20.0 |
| SV03022021_slice_54 | 0.854 | 0.144 | 0.113 | 0.854 | 144.4 | 112.5 | 0.694 | 143.5 | 110.8 | 0.635 | 41.8 | 19.9 |
| SV03022021_slice_55 | 0.855 | 0.146 | 0.114 | 0.855 | 146.3 | 113.9 | 0.698 | 145.1 | 112.0 | 0.646 | 42.0 | 19.6 |
| SV03022021_slice_56 | 0.854 | 0.150 | 0.118 | 0.854 | 150.4 | 117.5 | 0.700 | 149.1 | 115.5 | 0.648 | 43.0 | 19.7 |
| SV03022021_slice_57 | 0.856 | 0.146 | 0.116 | 0.856 | 145.5 | 115.6 | 0.700 | 144.2 | 113.5 | 0.654 | 42.8 | 19.6 |
| SV03022021_slice_58 | 0.864 | 0.142 | 0.112 | 0.864 | 142.2 | 112.0 | 0.712 | 141.1 | 110.1 | 0.667 | 40.3 | 18.2 |
| SV03022021_slice_59 | 0.868 | 0.140 | 0.110 | 0.868 | 140.5 | 110.4 | 0.714 | 139.1 | 108.2 | 0.674 | 39.3 | 17.6 |
| SV03022021_slice_60 | 0.872 | 0.134 | 0.106 | 0.872 | 134.2 | 105.8 | 0.714 | 132.9 | 103.7 | 0.677 | 38.6 | 17.2 |
| SV03022021_slice_61 | 0.882 | 0.128 | 0.102 | 0.882 | 127.9 | 101.6 | 0.725 | 126.6 | 99.6 | 0.685 | 36.8 | 16.2 |
| SV03022021_slice_62 | 0.881 | 0.126 | 0.100 | 0.881 | 126.5 | 99.9 | 0.717 | 124.8 | 97.9 | 0.679 | 37.7 | 16.6 |
| SV03022021_slice_63 | 0.883 | 0.126 | 0.099 | 0.883 | 125.6 | 98.7 | 0.718 | 124.1 | 96.8 | 0.675 | 37.3 | 16.6 |
| SV03022021_slice_64 | 0.883 | 0.125 | 0.098 | 0.883 | 125.0 | 97.5 | 0.715 | 123.5 | 95.7 | 0.669 | 37.1 | 16.5 |
| SV03022021_slice_65 | 0.881 | 0.123 | 0.096 | 0.881 | 123.1 | 95.6 | 0.709 | 121.6 | 93.8 | 0.661 | 37.3 | 16.7 |
| SV03022021_slice_66 | 0.878 | 0.126 | 0.098 | 0.878 | 125.8 | 97.6 | 0.707 | 124.4 | 95.8 | 0.655 | 37.8 | 17.1 |
| SV03022021_slice_67 | 0.873 | 0.127 | 0.098 | 0.873 | 127.2 | 98.4 | 0.699 | 125.8 | 96.7 | 0.646 | 38.0 | 17.5 |
| SV03022021_slice_68 | 0.863 | 0.124 | 0.096 | 0.863 | 124.3 | 96.1 | 0.686 | 123.1 | 94.6 | 0.638 | 39.8 | 19.0 |
| SV03022021_slice_69 | 0.856 | 0.127 | 0.098 | 0.856 | 127.2 | 98.4 | 0.679 | 126.0 | 96.8 | 0.627 | 41.4 | 20.1 |
| SV03022021_slice_70 | 0.859 | 0.131 | 0.101 | 0.859 | 131.2 | 100.9 | 0.681 | 130.0 | 99.3 | 0.622 | 41.5 | 19.8 |
| SV03022021_slice_71 | 0.857 | 0.133 | 0.102 | 0.857 | 133.0 | 102.1 | 0.679 | 131.9 | 100.5 | 0.618 | 42.0 | 20.2 |
| SV03022021_slice_72 | 0.852 | 0.132 | 0.102 | 0.852 | 132.4 | 102.1 | 0.672 | 131.4 | 100.5 | 0.609 | 42.9 | 21.0 |
| SV03022021_slice_73 | 0.848 | 0.130 | 0.100 | 0.848 | 129.9 | 99.7 | 0.665 | 128.8 | 98.2 | 0.604 | 43.4 | 21.4 |
| SV03022021_slice_74 | 0.842 | 0.134 | 0.103 | 0.842 | 133.8 | 103.3 | 0.661 | 132.9 | 102.0 | 0.600 | 44.2 | 22.3 |
| SV03022021_slice_75 | 0.835 | 0.134 | 0.104 | 0.835 | 134.5 | 103.7 | 0.653 | 133.5 | 102.4 | 0.593 | 45.5 | 23.2 |
| SV03022021_slice_76 | 0.829 | 0.137 | 0.106 | 0.829 | 136.8 | 106.1 | 0.650 | 135.9 | 104.8 | 0.588 | 46.2 | 23.8 |
| SV03022021_slice_77 | 0.830 | 0.138 | 0.107 | 0.830 | 137.6 | 106.5 | 0.650 | 136.7 | 105.2 | 0.583 | 46.1 | 23.8 |
| SV03022021_slice_78 | 0.813 | 0.135 | 0.105 | 0.813 | 135.1 | 105.4 | 0.632 | 134.2 | 104.0 | 0.571 | 48.0 | 25.6 |
| SV03022021_slice_79 | 0.813 | 0.135 | 0.105 | 0.813 | 135.4 | 105.2 | 0.633 | 134.5 | 103.9 | 0.569 | 47.9 | 25.5 |
| SV03022021_slice_80 | 0.815 | 0.136 | 0.105 | 0.815 | 135.7 | 105.2 | 0.629 | 134.8 | 104.0 | 0.561 | 48.2 | 25.6 |
| SV03022021_slice_81 | 0.808 | 0.135 | 0.105 | 0.808 | 135.2 | 105.4 | 0.624 | 134.4 | 104.1 | 0.559 | 49.2 | 26.4 |
| SV03022021_slice_82 | 0.805 | 0.137 | 0.107 | 0.805 | 137.1 | 107.0 | 0.620 | 136.2 | 105.8 | 0.553 | 49.9 | 26.8 |
| SV03022021_slice_83 | 0.807 | 0.136 | 0.106 | 0.807 | 135.8 | 105.9 | 0.623 | 135.0 | 104.8 | 0.553 | 50.0 | 26.8 |
| SV03022021_slice_84 | 0.793 | 0.135 | 0.105 | 0.793 | 134.6 | 105.4 | 0.613 | 133.7 | 104.3 | 0.549 | 52.3 | 28.4 |
| SV03022021_slice_85 | 0.805 | 0.138 | 0.108 | 0.805 | 138.0 | 107.7 | 0.626 | 137.1 | 106.4 | 0.550 | 50.8 | 27.5 |
| SV03022021_slice_86 | 0.807 | 0.135 | 0.105 | 0.807 | 134.8 | 104.9 | 0.626 | 133.9 | 103.6 | 0.551 | 50.8 | 27.4 |
| SV03022021_slice_87 | 0.810 | 0.135 | 0.104 | 0.810 | 134.5 | 104.5 | 0.628 | 133.6 | 103.1 | 0.548 | 50.2 | 27.0 |
| SV03022021_slice_88 | 0.829 | 0.137 | 0.106 | 0.829 | 136.8 | 105.8 | 0.646 | 135.9 | 104.4 | 0.557 | 47.7 | 25.4 |
| SV03022021_slice_89 | 0.840 | 0.140 | 0.107 | 0.840 | 140.0 | 107.2 | 0.658 | 139.0 | 105.9 | 0.560 | 46.6 | 24.4 |
| SV03022021_slice_90 | 0.846 | 0.141 | 0.107 | 0.846 | 140.6 | 107.5 | 0.662 | 139.6 | 106.2 | 0.558 | 45.4 | 23.6 |
| SV03022021_slice_91 | 0.845 | 0.139 | 0.107 | 0.845 | 139.2 | 106.6 | 0.661 | 138.3 | 105.3 | 0.556 | 45.8 | 24.0 |
| SV03022021_slice_92 | 0.836 | 0.139 | 0.106 | 0.836 | 138.6 | 106.4 | 0.652 | 137.5 | 105.2 | 0.552 | 47.3 | 24.9 |
| SV03022021_slice_93 | 0.836 | 0.140 | 0.107 | 0.836 | 140.4 | 107.5 | 0.652 | 139.5 | 106.4 | 0.552 | 47.5 | 24.8 |
| SV03022021_slice_94 | 0.844 | 0.143 | 0.109 | 0.844 | 143.3 | 109.1 | 0.659 | 142.3 | 107.9 | 0.555 | 46.7 | 24.1 |
| SV03022021_slice_95 | 0.848 | 0.146 | 0.111 | 0.848 | 146.3 | 111.5 | 0.665 | 145.4 | 110.3 | 0.556 | 46.2 | 23.7 |
| SV03022021_slice_96 | 0.850 | 0.147 | 0.113 | 0.850 | 147.4 | 112.7 | 0.668 | 146.5 | 111.5 | 0.559 | 45.3 | 23.4 |
| SV03022021_slice_97 | 0.852 | 0.145 | 0.111 | 0.852 | 144.9 | 110.8 | 0.669 | 144.0 | 109.5 | 0.559 | 44.8 | 23.2 |
| SV03022021_slice_98 | 0.854 | 0.147 | 0.113 | 0.854 | 147.3 | 112.7 | 0.674 | 146.5 | 111.3 | 0.561 | 44.3 | 23.1 |
4Γ3 grid: Rows show different image types (Original NATIVE, Reconstructed NATIVE, Original VENOUS, Generated VENOUS), Columns show windowing techniques (No Window, Lung Window, Mediastinum Window)