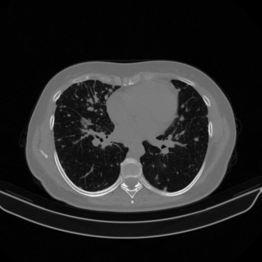
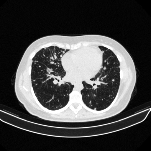
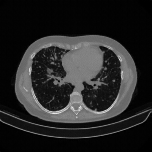
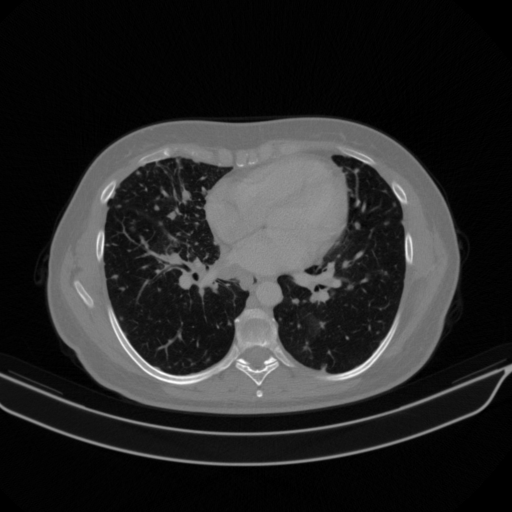
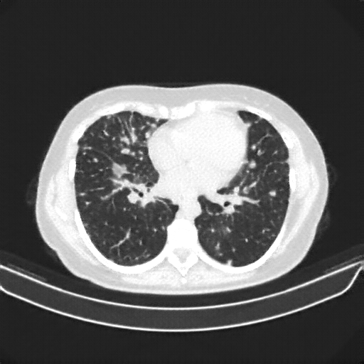
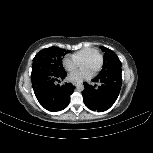
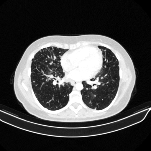
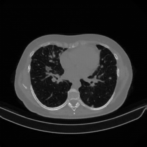
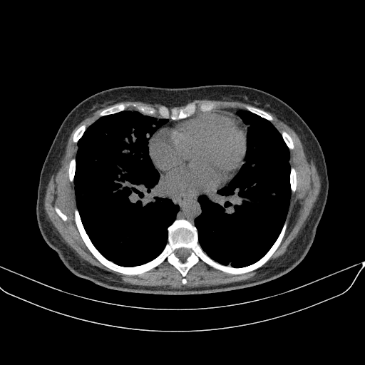
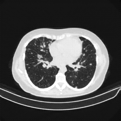
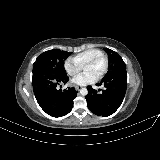
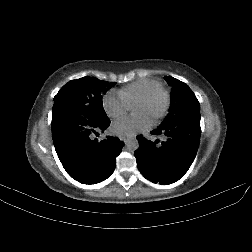
Slice 70 Targeting Evaluation
Patient ID: BM26032018
Model: cytran
Slice: Slice_70
Slice Thickness: 2.0mm
Conversion: NATIVE β VENOUS
Contains all 4 metric datasets: Network-Normalized, Hounsfield Units, Lung Window, and Mediastinum Window
| Slice ID | SSIM | RMSE | MAE | HU SSIM | HU RMSE | HU MAE | Lung SSIM | Lung RMSE | Lung MAE | Mediastinum SSIM | Mediastinum RMSE | Mediastinum MAE |
|---|---|---|---|---|---|---|---|---|---|---|---|---|
| BM26032018_slice_0 | 0.866 | 0.128 | 0.044 | 0.866 | 128.0 | 43.6 | 0.781 | 81.4 | 32.2 | 0.702 | 46.2 | 17.9 |
| BM26032018_slice_1 | 0.868 | 0.128 | 0.043 | 0.868 | 127.6 | 43.3 | 0.782 | 82.6 | 32.4 | 0.702 | 45.0 | 17.4 |
| BM26032018_slice_2 | 0.864 | 0.133 | 0.045 | 0.865 | 132.5 | 44.5 | 0.776 | 83.8 | 33.5 | 0.698 | 46.0 | 17.9 |
| BM26032018_slice_3 | 0.858 | 0.143 | 0.047 | 0.858 | 142.5 | 47.1 | 0.770 | 85.0 | 34.7 | 0.698 | 47.8 | 18.8 |
| BM26032018_slice_4 | 0.850 | 0.153 | 0.050 | 0.850 | 153.0 | 50.3 | 0.766 | 87.2 | 35.9 | 0.698 | 50.3 | 19.8 |
| BM26032018_slice_5 | 0.845 | 0.163 | 0.054 | 0.845 | 163.0 | 53.7 | 0.761 | 90.3 | 37.3 | 0.695 | 52.7 | 20.6 |
| BM26032018_slice_6 | 0.843 | 0.161 | 0.054 | 0.843 | 161.0 | 53.8 | 0.756 | 91.1 | 37.9 | 0.695 | 52.8 | 20.6 |
| BM26032018_slice_7 | 0.846 | 0.148 | 0.052 | 0.846 | 148.1 | 51.6 | 0.758 | 92.2 | 37.7 | 0.697 | 51.2 | 19.5 |
| BM26032018_slice_8 | 0.852 | 0.127 | 0.048 | 0.852 | 126.6 | 48.4 | 0.762 | 93.2 | 37.2 | 0.699 | 48.8 | 18.5 |
| BM26032018_slice_9 | 0.861 | 0.117 | 0.046 | 0.861 | 117.0 | 46.0 | 0.769 | 93.2 | 36.6 | 0.706 | 45.7 | 17.2 |
| BM26032018_slice_10 | 0.862 | 0.119 | 0.046 | 0.862 | 119.0 | 46.4 | 0.768 | 95.1 | 37.1 | 0.711 | 44.1 | 16.5 |
| BM26032018_slice_11 | 0.859 | 0.122 | 0.048 | 0.859 | 122.0 | 47.8 | 0.763 | 97.9 | 38.5 | 0.714 | 44.4 | 16.7 |
| BM26032018_slice_12 | 0.859 | 0.124 | 0.049 | 0.859 | 124.1 | 48.6 | 0.758 | 99.7 | 39.2 | 0.716 | 45.0 | 16.6 |
| BM26032018_slice_13 | 0.855 | 0.126 | 0.050 | 0.855 | 126.2 | 49.8 | 0.753 | 102.2 | 40.3 | 0.717 | 45.7 | 16.7 |
| BM26032018_slice_14 | 0.849 | 0.128 | 0.051 | 0.849 | 128.1 | 51.0 | 0.748 | 104.7 | 41.5 | 0.719 | 46.1 | 16.7 |
| BM26032018_slice_15 | 0.847 | 0.128 | 0.051 | 0.847 | 128.4 | 51.3 | 0.746 | 105.4 | 41.9 | 0.721 | 46.6 | 16.9 |
| BM26032018_slice_16 | 0.850 | 0.128 | 0.051 | 0.850 | 128.1 | 50.9 | 0.746 | 105.8 | 41.8 | 0.726 | 45.6 | 16.4 |
| BM26032018_slice_17 | 0.850 | 0.128 | 0.051 | 0.850 | 128.4 | 51.1 | 0.746 | 107.9 | 42.4 | 0.727 | 45.2 | 16.1 |
| BM26032018_slice_18 | 0.850 | 0.127 | 0.051 | 0.850 | 127.3 | 51.1 | 0.745 | 108.8 | 42.8 | 0.728 | 45.2 | 16.1 |
| BM26032018_slice_19 | 0.850 | 0.127 | 0.051 | 0.850 | 126.9 | 50.9 | 0.746 | 109.3 | 43.1 | 0.735 | 45.4 | 16.1 |
| BM26032018_slice_20 | 0.848 | 0.129 | 0.051 | 0.849 | 129.0 | 51.2 | 0.743 | 111.3 | 43.7 | 0.733 | 46.4 | 16.4 |
| BM26032018_slice_21 | 0.840 | 0.133 | 0.053 | 0.840 | 133.2 | 53.1 | 0.733 | 114.6 | 45.2 | 0.731 | 46.7 | 16.4 |
| BM26032018_slice_22 | 0.838 | 0.133 | 0.054 | 0.838 | 133.3 | 53.6 | 0.732 | 115.1 | 45.6 | 0.732 | 46.6 | 16.3 |
| BM26032018_slice_23 | 0.834 | 0.135 | 0.055 | 0.834 | 135.4 | 54.8 | 0.727 | 117.1 | 46.6 | 0.730 | 47.1 | 16.6 |
| BM26032018_slice_24 | 0.834 | 0.135 | 0.055 | 0.835 | 135.3 | 54.8 | 0.728 | 117.7 | 46.9 | 0.733 | 46.8 | 16.5 |
| BM26032018_slice_25 | 0.835 | 0.133 | 0.054 | 0.835 | 133.3 | 54.3 | 0.726 | 116.3 | 46.8 | 0.735 | 46.0 | 16.3 |
| BM26032018_slice_26 | 0.834 | 0.133 | 0.055 | 0.834 | 133.3 | 54.4 | 0.725 | 117.2 | 47.4 | 0.735 | 46.0 | 16.3 |
| BM26032018_slice_27 | 0.834 | 0.133 | 0.055 | 0.834 | 133.0 | 54.4 | 0.725 | 118.0 | 47.6 | 0.736 | 45.1 | 15.9 |
| BM26032018_slice_28 | 0.837 | 0.132 | 0.054 | 0.837 | 131.8 | 54.0 | 0.730 | 117.6 | 47.3 | 0.739 | 44.7 | 15.7 |
| BM26032018_slice_29 | 0.837 | 0.134 | 0.055 | 0.838 | 134.0 | 54.6 | 0.731 | 118.7 | 47.6 | 0.737 | 45.9 | 16.1 |
| BM26032018_slice_30 | 0.835 | 0.136 | 0.056 | 0.835 | 135.9 | 55.5 | 0.728 | 121.1 | 48.7 | 0.737 | 46.8 | 16.2 |
| BM26032018_slice_31 | 0.832 | 0.138 | 0.056 | 0.833 | 137.7 | 56.3 | 0.726 | 121.9 | 49.2 | 0.736 | 47.4 | 16.4 |
| BM26032018_slice_32 | 0.831 | 0.139 | 0.057 | 0.831 | 138.8 | 56.6 | 0.724 | 121.9 | 49.1 | 0.736 | 47.8 | 16.4 |
| BM26032018_slice_33 | 0.830 | 0.138 | 0.057 | 0.830 | 137.8 | 56.7 | 0.723 | 121.8 | 49.5 | 0.737 | 48.1 | 16.7 |
| BM26032018_slice_34 | 0.830 | 0.137 | 0.057 | 0.830 | 137.4 | 57.2 | 0.721 | 121.8 | 50.0 | 0.737 | 48.0 | 16.8 |
| BM26032018_slice_35 | 0.830 | 0.137 | 0.057 | 0.830 | 136.7 | 57.2 | 0.721 | 122.5 | 50.6 | 0.736 | 47.6 | 16.9 |
| BM26032018_slice_36 | 0.833 | 0.135 | 0.056 | 0.833 | 135.0 | 56.1 | 0.723 | 121.8 | 50.0 | 0.737 | 47.1 | 16.6 |
| BM26032018_slice_37 | 0.836 | 0.133 | 0.055 | 0.836 | 133.0 | 55.2 | 0.728 | 120.7 | 49.4 | 0.740 | 46.8 | 16.5 |
| BM26032018_slice_38 | 0.838 | 0.132 | 0.055 | 0.838 | 131.5 | 54.9 | 0.731 | 119.4 | 48.9 | 0.739 | 46.6 | 16.6 |
| BM26032018_slice_39 | 0.837 | 0.131 | 0.055 | 0.838 | 131.3 | 54.8 | 0.732 | 119.5 | 48.8 | 0.739 | 46.6 | 16.6 |
| BM26032018_slice_40 | 0.836 | 0.134 | 0.056 | 0.836 | 134.2 | 55.7 | 0.732 | 121.0 | 49.4 | 0.739 | 46.9 | 16.6 |
| BM26032018_slice_41 | 0.835 | 0.134 | 0.056 | 0.835 | 133.9 | 55.7 | 0.732 | 119.9 | 49.2 | 0.738 | 47.8 | 17.1 |
| BM26032018_slice_42 | 0.829 | 0.136 | 0.057 | 0.829 | 136.4 | 57.0 | 0.729 | 120.3 | 49.7 | 0.738 | 48.4 | 17.2 |
| BM26032018_slice_43 | 0.826 | 0.139 | 0.058 | 0.826 | 138.9 | 57.9 | 0.726 | 121.1 | 50.1 | 0.741 | 48.7 | 17.3 |
| BM26032018_slice_44 | 0.827 | 0.138 | 0.058 | 0.827 | 138.2 | 57.9 | 0.725 | 121.1 | 50.2 | 0.743 | 48.8 | 17.3 |
| BM26032018_slice_45 | 0.826 | 0.138 | 0.058 | 0.826 | 137.7 | 58.2 | 0.723 | 121.3 | 50.7 | 0.741 | 49.7 | 17.8 |
| BM26032018_slice_46 | 0.828 | 0.135 | 0.058 | 0.828 | 134.5 | 57.6 | 0.725 | 119.3 | 50.4 | 0.742 | 50.1 | 18.1 |
| BM26032018_slice_47 | 0.835 | 0.130 | 0.056 | 0.835 | 130.3 | 55.9 | 0.732 | 117.0 | 49.4 | 0.749 | 47.5 | 17.0 |
| BM26032018_slice_48 | 0.838 | 0.130 | 0.056 | 0.838 | 130.1 | 55.4 | 0.737 | 117.5 | 49.2 | 0.752 | 46.8 | 16.6 |
| BM26032018_slice_49 | 0.841 | 0.129 | 0.055 | 0.842 | 128.7 | 54.9 | 0.739 | 117.1 | 48.9 | 0.751 | 46.7 | 16.6 |
| BM26032018_slice_50 | 0.842 | 0.127 | 0.054 | 0.842 | 126.6 | 54.2 | 0.738 | 115.9 | 48.4 | 0.752 | 46.4 | 16.6 |
| BM26032018_slice_51 | 0.843 | 0.126 | 0.054 | 0.843 | 126.1 | 53.9 | 0.738 | 115.6 | 48.4 | 0.750 | 46.6 | 16.7 |
| BM26032018_slice_52 | 0.837 | 0.129 | 0.055 | 0.838 | 128.6 | 55.2 | 0.733 | 118.4 | 49.9 | 0.746 | 47.9 | 17.3 |
| BM26032018_slice_53 | 0.837 | 0.132 | 0.056 | 0.837 | 131.6 | 55.9 | 0.735 | 120.1 | 50.5 | 0.746 | 47.8 | 17.3 |
| BM26032018_slice_54 | 0.837 | 0.130 | 0.056 | 0.837 | 130.3 | 55.7 | 0.735 | 118.5 | 49.9 | 0.744 | 48.6 | 17.4 |
| BM26032018_slice_55 | 0.833 | 0.133 | 0.057 | 0.833 | 132.9 | 56.7 | 0.729 | 119.5 | 50.4 | 0.745 | 48.8 | 17.5 |
| BM26032018_slice_56 | 0.836 | 0.132 | 0.056 | 0.836 | 131.6 | 55.5 | 0.732 | 117.2 | 49.0 | 0.752 | 48.3 | 17.2 |
| BM26032018_slice_57 | 0.835 | 0.131 | 0.055 | 0.835 | 130.9 | 55.4 | 0.734 | 115.7 | 48.4 | 0.754 | 48.2 | 17.1 |
| BM26032018_slice_58 | 0.831 | 0.133 | 0.057 | 0.831 | 132.7 | 57.0 | 0.731 | 118.2 | 49.9 | 0.754 | 49.5 | 17.6 |
| BM26032018_slice_59 | 0.835 | 0.132 | 0.058 | 0.835 | 132.4 | 57.5 | 0.736 | 118.5 | 50.2 | 0.755 | 48.9 | 17.4 |
| BM26032018_slice_60 | 0.836 | 0.130 | 0.057 | 0.837 | 129.9 | 56.8 | 0.739 | 117.3 | 50.0 | 0.754 | 49.1 | 17.6 |
| BM26032018_slice_61 | 0.840 | 0.127 | 0.055 | 0.840 | 126.8 | 54.9 | 0.741 | 115.7 | 48.8 | 0.755 | 48.2 | 17.2 |
| BM26032018_slice_62 | 0.844 | 0.125 | 0.054 | 0.844 | 125.3 | 53.9 | 0.744 | 115.2 | 48.1 | 0.757 | 46.6 | 16.7 |
| BM26032018_slice_63 | 0.846 | 0.123 | 0.053 | 0.846 | 123.4 | 53.3 | 0.744 | 114.6 | 48.3 | 0.757 | 46.7 | 16.7 |
| BM26032018_slice_64 | 0.849 | 0.121 | 0.052 | 0.849 | 121.1 | 52.3 | 0.747 | 113.0 | 47.6 | 0.756 | 45.8 | 16.5 |
| BM26032018_slice_65 | 0.850 | 0.120 | 0.052 | 0.850 | 120.2 | 52.1 | 0.749 | 112.6 | 47.4 | 0.759 | 45.2 | 16.4 |
| BM26032018_slice_66 | 0.848 | 0.121 | 0.053 | 0.848 | 121.1 | 52.6 | 0.747 | 113.7 | 47.9 | 0.754 | 44.8 | 16.3 |
| BM26032018_slice_67 | 0.849 | 0.121 | 0.053 | 0.849 | 120.9 | 52.5 | 0.748 | 112.4 | 47.4 | 0.751 | 44.9 | 16.3 |
| BM26032018_slice_68 | 0.851 | 0.120 | 0.052 | 0.851 | 120.0 | 52.0 | 0.748 | 111.7 | 46.9 | 0.755 | 44.9 | 16.2 |
| BM26032018_slice_69 | 0.853 | 0.120 | 0.052 | 0.853 | 119.6 | 52.1 | 0.750 | 110.0 | 46.4 | 0.756 | 45.6 | 16.3 |
| BM26032018_slice_70 | 0.853 | 0.123 | 0.053 | 0.853 | 123.0 | 52.9 | 0.752 | 110.9 | 46.5 | 0.759 | 45.2 | 16.1 |
| BM26032018_slice_71 | 0.854 | 0.122 | 0.053 | 0.854 | 122.2 | 52.4 | 0.754 | 108.1 | 45.4 | 0.763 | 44.8 | 15.8 |
| BM26032018_slice_72 | 0.854 | 0.122 | 0.053 | 0.854 | 121.9 | 52.4 | 0.756 | 106.5 | 45.1 | 0.766 | 44.6 | 15.7 |
| BM26032018_slice_73 | 0.852 | 0.123 | 0.053 | 0.852 | 123.1 | 52.9 | 0.755 | 108.6 | 45.9 | 0.761 | 46.3 | 16.4 |
| BM26032018_slice_74 | 0.851 | 0.120 | 0.052 | 0.851 | 119.7 | 52.1 | 0.753 | 108.6 | 45.9 | 0.759 | 45.8 | 16.2 |
| BM26032018_slice_75 | 0.856 | 0.117 | 0.051 | 0.856 | 117.0 | 50.7 | 0.755 | 108.2 | 45.5 | 0.762 | 44.0 | 15.7 |
| BM26032018_slice_76 | 0.858 | 0.116 | 0.050 | 0.858 | 116.1 | 50.2 | 0.755 | 108.5 | 45.7 | 0.764 | 43.2 | 15.3 |
| BM26032018_slice_77 | 0.860 | 0.116 | 0.050 | 0.860 | 115.6 | 49.9 | 0.757 | 108.4 | 45.5 | 0.768 | 42.5 | 15.0 |
| BM26032018_slice_78 | 0.859 | 0.116 | 0.050 | 0.859 | 116.0 | 50.0 | 0.754 | 108.9 | 45.8 | 0.768 | 42.3 | 14.8 |
| BM26032018_slice_79 | 0.857 | 0.117 | 0.050 | 0.857 | 116.9 | 50.4 | 0.751 | 110.8 | 46.5 | 0.766 | 42.8 | 15.0 |
| BM26032018_slice_80 | 0.854 | 0.118 | 0.051 | 0.854 | 117.8 | 50.9 | 0.749 | 110.2 | 46.5 | 0.763 | 43.7 | 15.4 |
| BM26032018_slice_81 | 0.854 | 0.117 | 0.051 | 0.854 | 117.2 | 50.8 | 0.749 | 109.0 | 46.1 | 0.769 | 43.2 | 15.0 |
| BM26032018_slice_82 | 0.853 | 0.118 | 0.051 | 0.853 | 117.6 | 51.3 | 0.746 | 109.8 | 46.4 | 0.771 | 43.2 | 15.0 |
| BM26032018_slice_83 | 0.854 | 0.118 | 0.052 | 0.854 | 118.3 | 51.5 | 0.747 | 110.0 | 46.3 | 0.776 | 43.0 | 14.7 |
| BM26032018_slice_84 | 0.851 | 0.123 | 0.053 | 0.851 | 122.5 | 52.8 | 0.745 | 111.4 | 46.6 | 0.773 | 43.1 | 14.6 |
| BM26032018_slice_85 | 0.847 | 0.128 | 0.055 | 0.847 | 128.0 | 54.9 | 0.743 | 116.0 | 48.4 | 0.771 | 43.7 | 14.9 |
| BM26032018_slice_86 | 0.846 | 0.132 | 0.056 | 0.846 | 132.5 | 56.3 | 0.744 | 122.1 | 50.4 | 0.768 | 45.1 | 15.6 |
| BM26032018_slice_87 | 0.843 | 0.134 | 0.056 | 0.843 | 133.6 | 56.4 | 0.742 | 124.7 | 51.2 | 0.765 | 46.4 | 16.1 |
| BM26032018_slice_88 | 0.842 | 0.134 | 0.056 | 0.842 | 134.2 | 56.2 | 0.740 | 125.6 | 51.3 | 0.764 | 46.3 | 16.0 |
| BM26032018_slice_89 | 0.844 | 0.132 | 0.055 | 0.844 | 132.3 | 55.3 | 0.739 | 124.1 | 50.5 | 0.763 | 46.1 | 15.9 |
| BM26032018_slice_90 | 0.846 | 0.130 | 0.054 | 0.847 | 130.1 | 54.2 | 0.740 | 122.4 | 49.7 | 0.765 | 44.9 | 15.2 |
| BM26032018_slice_91 | 0.848 | 0.130 | 0.054 | 0.848 | 129.5 | 53.8 | 0.741 | 122.5 | 49.9 | 0.764 | 44.4 | 15.1 |
| BM26032018_slice_92 | 0.846 | 0.129 | 0.054 | 0.847 | 129.1 | 53.5 | 0.739 | 122.5 | 49.9 | 0.762 | 44.6 | 15.2 |
| BM26032018_slice_93 | 0.847 | 0.129 | 0.054 | 0.847 | 128.7 | 53.4 | 0.741 | 121.9 | 49.7 | 0.763 | 44.5 | 15.1 |
| BM26032018_slice_94 | 0.849 | 0.126 | 0.052 | 0.849 | 126.0 | 52.3 | 0.742 | 119.6 | 48.7 | 0.763 | 43.5 | 14.6 |
| BM26032018_slice_95 | 0.854 | 0.125 | 0.052 | 0.854 | 125.2 | 51.5 | 0.747 | 119.4 | 48.0 | 0.767 | 42.5 | 14.0 |
| BM26032018_slice_96 | 0.854 | 0.125 | 0.051 | 0.855 | 125.1 | 51.0 | 0.749 | 119.0 | 47.3 | 0.766 | 42.1 | 13.9 |
| BM26032018_slice_97 | 0.853 | 0.129 | 0.052 | 0.853 | 128.8 | 52.3 | 0.749 | 121.4 | 48.2 | 0.761 | 42.7 | 14.2 |
| BM26032018_slice_98 | 0.851 | 0.130 | 0.053 | 0.851 | 129.7 | 52.4 | 0.751 | 122.6 | 48.6 | 0.756 | 44.9 | 15.1 |
| BM26032018_slice_99 | 0.853 | 0.128 | 0.051 | 0.853 | 127.8 | 51.2 | 0.754 | 120.3 | 47.3 | 0.753 | 45.5 | 15.3 |
| BM26032018_slice_100 | 0.861 | 0.125 | 0.049 | 0.862 | 124.6 | 49.2 | 0.764 | 117.0 | 45.3 | 0.754 | 44.3 | 15.0 |
| BM26032018_slice_101 | 0.865 | 0.119 | 0.047 | 0.866 | 118.8 | 47.4 | 0.770 | 111.3 | 43.5 | 0.753 | 43.3 | 14.6 |
| BM26032018_slice_102 | 0.872 | 0.114 | 0.045 | 0.872 | 114.2 | 45.4 | 0.776 | 107.0 | 41.6 | 0.753 | 42.0 | 14.3 |
| BM26032018_slice_103 | 0.871 | 0.115 | 0.046 | 0.871 | 114.6 | 45.8 | 0.777 | 107.3 | 41.6 | 0.749 | 42.4 | 15.0 |
| BM26032018_slice_104 | 0.870 | 0.113 | 0.046 | 0.870 | 112.9 | 45.5 | 0.777 | 105.8 | 41.3 | 0.743 | 42.9 | 15.6 |
| BM26032018_slice_105 | 0.875 | 0.112 | 0.045 | 0.875 | 111.6 | 44.5 | 0.781 | 104.7 | 40.3 | 0.743 | 42.8 | 15.3 |
| BM26032018_slice_106 | 0.876 | 0.111 | 0.044 | 0.876 | 111.1 | 44.1 | 0.784 | 104.0 | 39.8 | 0.742 | 42.8 | 15.6 |
| BM26032018_slice_107 | 0.866 | 0.112 | 0.046 | 0.866 | 112.1 | 45.6 | 0.775 | 104.2 | 41.0 | 0.733 | 45.1 | 17.2 |
| BM26032018_slice_108 | 0.865 | 0.112 | 0.046 | 0.865 | 111.5 | 45.5 | 0.774 | 102.8 | 40.5 | 0.727 | 45.4 | 17.3 |
| BM26032018_slice_109 | 0.864 | 0.111 | 0.046 | 0.864 | 111.2 | 45.4 | 0.774 | 102.6 | 40.6 | 0.725 | 45.8 | 17.8 |
| BM26032018_slice_110 | 0.861 | 0.111 | 0.046 | 0.862 | 110.7 | 45.4 | 0.772 | 101.9 | 40.6 | 0.721 | 46.6 | 18.6 |
| BM26032018_slice_111 | 0.855 | 0.112 | 0.046 | 0.856 | 112.3 | 46.3 | 0.765 | 103.6 | 41.6 | 0.714 | 47.8 | 19.3 |
| BM26032018_slice_112 | 0.853 | 0.112 | 0.046 | 0.853 | 112.4 | 46.3 | 0.762 | 104.3 | 41.7 | 0.711 | 48.2 | 19.7 |
| BM26032018_slice_113 | 0.854 | 0.112 | 0.046 | 0.854 | 111.7 | 45.9 | 0.763 | 103.9 | 41.5 | 0.710 | 47.9 | 19.8 |
| BM26032018_slice_114 | 0.853 | 0.111 | 0.046 | 0.853 | 111.1 | 45.6 | 0.760 | 104.3 | 41.6 | 0.706 | 48.1 | 20.0 |
| BM26032018_slice_115 | 0.852 | 0.110 | 0.045 | 0.852 | 109.7 | 45.4 | 0.758 | 103.3 | 41.6 | 0.702 | 48.0 | 20.3 |
| BM26032018_slice_116 | 0.854 | 0.109 | 0.045 | 0.854 | 108.5 | 45.0 | 0.760 | 101.7 | 41.0 | 0.702 | 47.9 | 20.3 |
| BM26032018_slice_117 | 0.854 | 0.108 | 0.045 | 0.854 | 107.7 | 44.7 | 0.760 | 100.8 | 40.7 | 0.699 | 48.4 | 20.5 |
| BM26032018_slice_118 | 0.856 | 0.107 | 0.045 | 0.856 | 106.9 | 44.5 | 0.762 | 99.7 | 40.1 | 0.698 | 48.3 | 20.5 |
| BM26032018_slice_119 | 0.858 | 0.105 | 0.044 | 0.859 | 105.3 | 44.1 | 0.764 | 97.9 | 39.5 | 0.700 | 48.4 | 20.6 |
| BM26032018_slice_120 | 0.857 | 0.106 | 0.045 | 0.857 | 105.9 | 44.5 | 0.762 | 98.1 | 39.7 | 0.698 | 49.5 | 20.9 |
| BM26032018_slice_121 | 0.855 | 0.105 | 0.044 | 0.855 | 105.0 | 44.4 | 0.761 | 97.4 | 39.7 | 0.695 | 50.3 | 21.3 |
| BM26032018_slice_122 | 0.863 | 0.103 | 0.043 | 0.864 | 103.1 | 43.1 | 0.769 | 95.9 | 38.7 | 0.699 | 48.8 | 20.5 |
| BM26032018_slice_123 | 0.868 | 0.103 | 0.043 | 0.868 | 103.2 | 42.6 | 0.771 | 95.9 | 38.2 | 0.697 | 48.6 | 20.2 |
| BM26032018_slice_124 | 0.872 | 0.103 | 0.042 | 0.872 | 103.4 | 41.9 | 0.774 | 96.1 | 37.7 | 0.700 | 48.8 | 19.8 |
| BM26032018_slice_125 | 0.869 | 0.103 | 0.042 | 0.869 | 103.1 | 42.1 | 0.770 | 94.9 | 37.8 | 0.699 | 49.8 | 20.1 |
| BM26032018_slice_126 | 0.868 | 0.104 | 0.042 | 0.868 | 103.8 | 42.1 | 0.769 | 94.7 | 37.8 | 0.699 | 50.9 | 20.3 |
| BM26032018_slice_127 | 0.870 | 0.105 | 0.042 | 0.870 | 105.0 | 42.0 | 0.768 | 95.3 | 37.7 | 0.698 | 51.0 | 20.1 |
| BM26032018_slice_128 | 0.876 | 0.104 | 0.041 | 0.876 | 103.9 | 40.6 | 0.771 | 94.5 | 36.8 | 0.700 | 49.7 | 19.1 |
| BM26032018_slice_129 | 0.876 | 0.103 | 0.040 | 0.876 | 102.7 | 39.8 | 0.769 | 94.2 | 36.5 | 0.699 | 48.8 | 18.7 |
| BM26032018_slice_130 | 0.878 | 0.101 | 0.039 | 0.878 | 100.8 | 39.2 | 0.771 | 93.3 | 36.0 | 0.698 | 47.2 | 18.3 |
| BM26032018_slice_131 | 0.882 | 0.100 | 0.039 | 0.883 | 99.7 | 38.5 | 0.777 | 92.2 | 35.2 | 0.704 | 44.9 | 17.5 |
| BM26032018_slice_132 | 0.879 | 0.100 | 0.039 | 0.880 | 100.1 | 38.7 | 0.774 | 92.6 | 35.4 | 0.703 | 44.8 | 17.8 |
4Γ3 grid: Rows show different image types (Original NATIVE, Reconstructed NATIVE, Original VENOUS, Generated VENOUS), Columns show windowing techniques (No Window, Lung Window, Mediastinum Window)