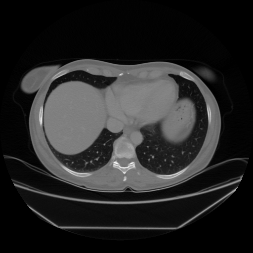
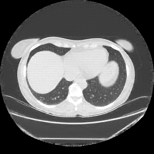
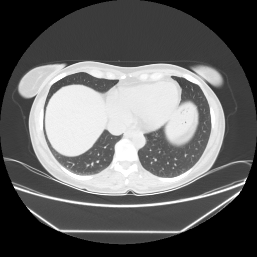
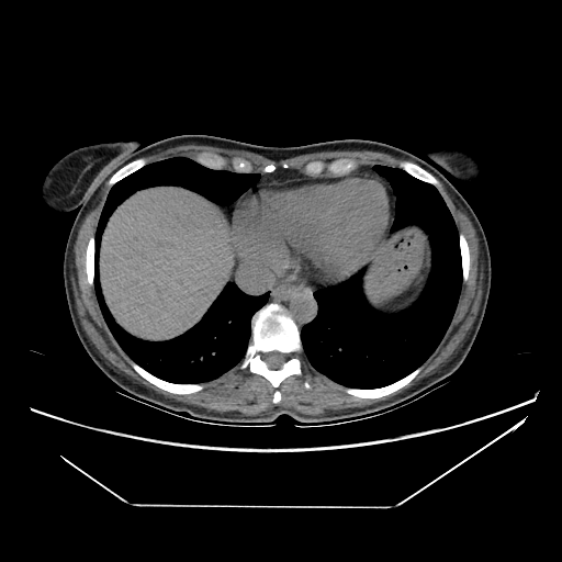
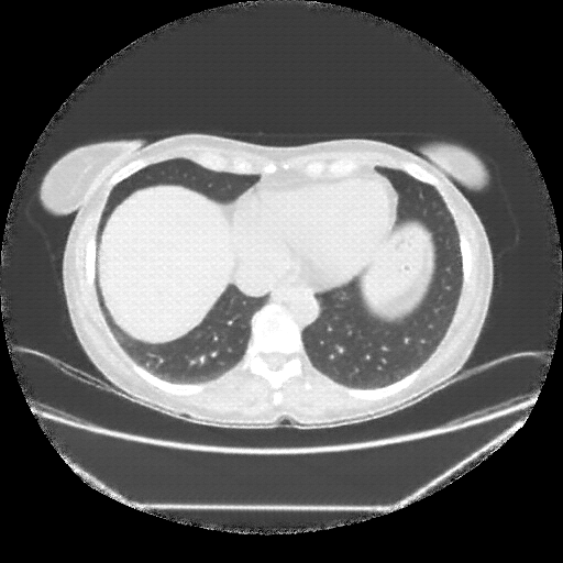
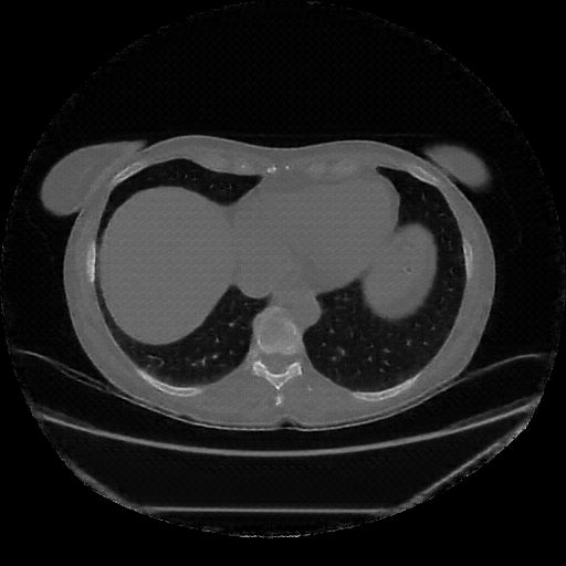
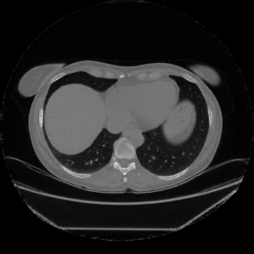
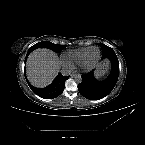
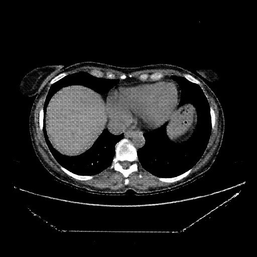
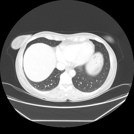
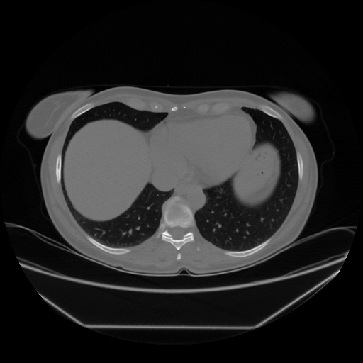
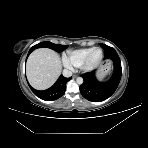
Slice 70 Targeting Evaluation
Patient ID: PM03022021
Model: cytran
Slice: Slice_70
Slice Thickness: 2.5mm
Conversion: NATIVE β VENOUS
Contains all 4 metric datasets: Network-Normalized, Hounsfield Units, Lung Window, and Mediastinum Window
| Slice ID | SSIM | RMSE | MAE | HU SSIM | HU RMSE | HU MAE | Lung SSIM | Lung RMSE | Lung MAE | Mediastinum SSIM | Mediastinum RMSE | Mediastinum MAE |
|---|---|---|---|---|---|---|---|---|---|---|---|---|
| PM03022021_slice_0 | 0.833 | 0.114 | 0.056 | 0.840 | 99.0 | 40.8 | 0.744 | 77.7 | 33.9 | 0.727 | 45.1 | 18.0 |
| PM03022021_slice_1 | 0.837 | 0.112 | 0.056 | 0.844 | 96.3 | 40.2 | 0.744 | 77.6 | 34.0 | 0.726 | 44.7 | 17.8 |
| PM03022021_slice_2 | 0.846 | 0.111 | 0.056 | 0.853 | 95.6 | 40.2 | 0.752 | 77.5 | 33.7 | 0.732 | 44.2 | 17.2 |
| PM03022021_slice_3 | 0.845 | 0.113 | 0.056 | 0.852 | 97.4 | 40.7 | 0.749 | 78.3 | 34.2 | 0.733 | 45.3 | 17.5 |
| PM03022021_slice_4 | 0.852 | 0.111 | 0.055 | 0.860 | 95.0 | 39.8 | 0.756 | 76.9 | 33.5 | 0.739 | 42.8 | 16.4 |
| PM03022021_slice_5 | 0.859 | 0.106 | 0.054 | 0.867 | 89.2 | 38.5 | 0.760 | 76.4 | 33.2 | 0.742 | 41.3 | 15.8 |
| PM03022021_slice_6 | 0.870 | 0.104 | 0.052 | 0.878 | 87.2 | 37.2 | 0.769 | 75.3 | 32.6 | 0.751 | 38.9 | 14.9 |
| PM03022021_slice_7 | 0.859 | 0.109 | 0.054 | 0.867 | 92.6 | 39.2 | 0.760 | 77.4 | 34.1 | 0.746 | 42.1 | 16.2 |
| PM03022021_slice_8 | 0.852 | 0.112 | 0.056 | 0.860 | 96.3 | 40.8 | 0.758 | 79.4 | 34.7 | 0.743 | 43.6 | 16.7 |
| PM03022021_slice_9 | 0.853 | 0.109 | 0.055 | 0.860 | 92.4 | 40.3 | 0.759 | 80.0 | 34.7 | 0.744 | 43.0 | 16.2 |
| PM03022021_slice_10 | 0.857 | 0.106 | 0.055 | 0.865 | 89.3 | 39.7 | 0.762 | 78.9 | 34.6 | 0.750 | 42.4 | 15.8 |
| PM03022021_slice_11 | 0.865 | 0.105 | 0.054 | 0.873 | 87.6 | 39.0 | 0.769 | 78.1 | 34.5 | 0.755 | 41.4 | 15.1 |
| PM03022021_slice_12 | 0.869 | 0.104 | 0.054 | 0.876 | 86.2 | 38.7 | 0.772 | 77.5 | 34.5 | 0.759 | 39.7 | 14.4 |
| PM03022021_slice_13 | 0.874 | 0.103 | 0.053 | 0.881 | 85.0 | 38.1 | 0.776 | 77.4 | 34.4 | 0.764 | 38.5 | 13.7 |
| PM03022021_slice_14 | 0.874 | 0.103 | 0.053 | 0.882 | 85.5 | 37.9 | 0.774 | 78.4 | 34.6 | 0.767 | 38.1 | 13.5 |
| PM03022021_slice_15 | 0.867 | 0.106 | 0.055 | 0.875 | 88.7 | 39.2 | 0.766 | 80.5 | 35.3 | 0.762 | 40.2 | 14.2 |
| PM03022021_slice_16 | 0.864 | 0.110 | 0.056 | 0.871 | 94.3 | 40.8 | 0.764 | 83.4 | 36.1 | 0.760 | 41.3 | 14.5 |
| PM03022021_slice_17 | 0.861 | 0.111 | 0.057 | 0.869 | 95.5 | 41.6 | 0.760 | 84.7 | 36.7 | 0.761 | 40.9 | 14.5 |
| PM03022021_slice_18 | 0.864 | 0.110 | 0.057 | 0.872 | 94.0 | 42.0 | 0.759 | 84.6 | 37.3 | 0.764 | 40.5 | 14.2 |
| PM03022021_slice_19 | 0.868 | 0.110 | 0.057 | 0.876 | 93.7 | 42.1 | 0.762 | 86.0 | 38.2 | 0.764 | 39.3 | 13.7 |
| PM03022021_slice_20 | 0.867 | 0.112 | 0.058 | 0.875 | 96.0 | 43.3 | 0.759 | 89.0 | 39.7 | 0.761 | 40.4 | 14.1 |
| PM03022021_slice_21 | 0.864 | 0.113 | 0.059 | 0.873 | 97.1 | 44.3 | 0.756 | 90.8 | 41.0 | 0.760 | 40.9 | 14.2 |
| PM03022021_slice_22 | 0.865 | 0.112 | 0.059 | 0.873 | 95.6 | 43.9 | 0.756 | 89.5 | 40.8 | 0.761 | 41.4 | 14.3 |
| PM03022021_slice_23 | 0.869 | 0.110 | 0.058 | 0.877 | 93.7 | 43.1 | 0.760 | 88.3 | 40.1 | 0.764 | 40.4 | 13.9 |
| PM03022021_slice_24 | 0.865 | 0.110 | 0.058 | 0.873 | 94.3 | 43.4 | 0.758 | 88.3 | 40.1 | 0.763 | 41.6 | 14.4 |
| PM03022021_slice_25 | 0.863 | 0.112 | 0.059 | 0.871 | 96.7 | 44.0 | 0.756 | 88.8 | 39.9 | 0.764 | 41.9 | 14.4 |
| PM03022021_slice_26 | 0.862 | 0.113 | 0.060 | 0.870 | 97.0 | 44.6 | 0.755 | 89.2 | 40.3 | 0.763 | 41.5 | 14.5 |
| PM03022021_slice_27 | 0.863 | 0.110 | 0.059 | 0.871 | 94.6 | 44.2 | 0.756 | 88.0 | 40.1 | 0.764 | 40.5 | 14.3 |
| PM03022021_slice_28 | 0.865 | 0.110 | 0.059 | 0.872 | 94.5 | 44.2 | 0.757 | 88.8 | 40.4 | 0.763 | 40.9 | 14.4 |
| PM03022021_slice_29 | 0.868 | 0.109 | 0.059 | 0.874 | 93.3 | 43.6 | 0.759 | 88.2 | 40.4 | 0.763 | 40.2 | 14.1 |
| PM03022021_slice_30 | 0.871 | 0.109 | 0.058 | 0.878 | 93.2 | 43.3 | 0.760 | 88.6 | 40.5 | 0.767 | 39.8 | 13.8 |
| PM03022021_slice_31 | 0.874 | 0.108 | 0.057 | 0.881 | 91.7 | 42.3 | 0.761 | 87.3 | 39.7 | 0.768 | 39.3 | 13.6 |
| PM03022021_slice_32 | 0.876 | 0.107 | 0.057 | 0.883 | 90.1 | 41.6 | 0.765 | 85.8 | 39.2 | 0.771 | 38.8 | 13.4 |
| PM03022021_slice_33 | 0.875 | 0.106 | 0.057 | 0.882 | 89.3 | 41.6 | 0.765 | 84.6 | 38.9 | 0.772 | 39.3 | 13.6 |
| PM03022021_slice_34 | 0.873 | 0.107 | 0.058 | 0.880 | 90.8 | 42.4 | 0.764 | 85.1 | 38.9 | 0.771 | 39.9 | 13.8 |
| PM03022021_slice_35 | 0.868 | 0.107 | 0.058 | 0.876 | 90.6 | 42.9 | 0.761 | 84.0 | 39.1 | 0.768 | 41.1 | 14.6 |
| PM03022021_slice_36 | 0.861 | 0.107 | 0.059 | 0.868 | 90.7 | 43.9 | 0.755 | 84.0 | 39.8 | 0.770 | 42.3 | 15.0 |
| PM03022021_slice_37 | 0.864 | 0.107 | 0.059 | 0.872 | 90.1 | 43.9 | 0.760 | 84.4 | 40.2 | 0.769 | 42.3 | 15.1 |
| PM03022021_slice_38 | 0.868 | 0.107 | 0.059 | 0.876 | 89.6 | 43.4 | 0.763 | 84.8 | 40.3 | 0.768 | 42.0 | 14.9 |
| PM03022021_slice_39 | 0.872 | 0.107 | 0.058 | 0.881 | 90.2 | 42.5 | 0.769 | 85.9 | 39.9 | 0.768 | 41.1 | 14.6 |
| PM03022021_slice_40 | 0.876 | 0.106 | 0.057 | 0.884 | 88.9 | 41.9 | 0.772 | 84.3 | 39.5 | 0.775 | 40.2 | 14.2 |
| PM03022021_slice_41 | 0.879 | 0.106 | 0.057 | 0.888 | 88.4 | 41.5 | 0.776 | 83.4 | 39.1 | 0.783 | 39.2 | 13.6 |
| PM03022021_slice_42 | 0.881 | 0.104 | 0.057 | 0.889 | 86.6 | 41.0 | 0.779 | 81.7 | 38.5 | 0.788 | 39.1 | 13.5 |
| PM03022021_slice_43 | 0.880 | 0.103 | 0.056 | 0.888 | 85.4 | 40.7 | 0.778 | 80.7 | 37.9 | 0.784 | 39.5 | 13.8 |
| PM03022021_slice_44 | 0.875 | 0.103 | 0.056 | 0.883 | 85.2 | 41.3 | 0.772 | 79.9 | 38.1 | 0.781 | 40.0 | 14.2 |
| PM03022021_slice_45 | 0.874 | 0.102 | 0.056 | 0.881 | 84.4 | 40.9 | 0.770 | 78.8 | 37.5 | 0.777 | 39.9 | 14.2 |
| PM03022021_slice_46 | 0.873 | 0.102 | 0.056 | 0.880 | 84.7 | 41.0 | 0.769 | 79.8 | 37.9 | 0.776 | 40.2 | 14.3 |
| PM03022021_slice_47 | 0.878 | 0.102 | 0.056 | 0.886 | 85.0 | 41.1 | 0.775 | 80.7 | 38.4 | 0.779 | 38.9 | 13.8 |
| PM03022021_slice_48 | 0.876 | 0.104 | 0.055 | 0.884 | 86.9 | 40.8 | 0.774 | 82.5 | 38.3 | 0.780 | 40.5 | 14.2 |
| PM03022021_slice_49 | 0.877 | 0.105 | 0.056 | 0.885 | 88.1 | 40.8 | 0.776 | 83.4 | 38.4 | 0.781 | 40.3 | 14.1 |
| PM03022021_slice_50 | 0.875 | 0.106 | 0.056 | 0.883 | 89.8 | 41.4 | 0.774 | 85.2 | 38.9 | 0.780 | 40.8 | 14.4 |
| PM03022021_slice_51 | 0.875 | 0.106 | 0.056 | 0.883 | 90.0 | 41.3 | 0.776 | 85.7 | 38.8 | 0.782 | 41.5 | 14.6 |
| PM03022021_slice_52 | 0.876 | 0.105 | 0.056 | 0.884 | 88.8 | 41.0 | 0.776 | 84.8 | 38.6 | 0.780 | 41.1 | 14.7 |
| PM03022021_slice_53 | 0.875 | 0.105 | 0.056 | 0.883 | 88.3 | 41.1 | 0.776 | 84.5 | 38.8 | 0.780 | 41.2 | 14.8 |
| PM03022021_slice_54 | 0.872 | 0.105 | 0.056 | 0.881 | 88.2 | 41.3 | 0.773 | 84.0 | 38.8 | 0.780 | 41.8 | 15.0 |
| PM03022021_slice_55 | 0.874 | 0.105 | 0.056 | 0.883 | 87.8 | 41.1 | 0.777 | 83.2 | 38.2 | 0.783 | 41.5 | 14.9 |
| PM03022021_slice_56 | 0.876 | 0.104 | 0.055 | 0.885 | 86.6 | 40.8 | 0.780 | 81.8 | 37.8 | 0.787 | 41.1 | 14.7 |
| PM03022021_slice_57 | 0.875 | 0.103 | 0.055 | 0.883 | 85.6 | 40.6 | 0.779 | 81.1 | 37.7 | 0.787 | 41.2 | 14.8 |
| PM03022021_slice_58 | 0.876 | 0.103 | 0.055 | 0.884 | 85.3 | 40.2 | 0.777 | 80.8 | 37.5 | 0.787 | 41.2 | 14.7 |
| PM03022021_slice_59 | 0.875 | 0.107 | 0.057 | 0.883 | 90.7 | 42.7 | 0.776 | 86.7 | 40.2 | 0.788 | 40.8 | 14.5 |
| PM03022021_slice_60 | 0.869 | 0.118 | 0.060 | 0.877 | 103.0 | 46.0 | 0.772 | 99.6 | 43.5 | 0.782 | 42.6 | 15.0 |
| PM03022021_slice_61 | 0.861 | 0.116 | 0.061 | 0.869 | 101.3 | 46.0 | 0.765 | 98.0 | 43.7 | 0.776 | 46.1 | 16.5 |
| PM03022021_slice_62 | 0.862 | 0.115 | 0.060 | 0.870 | 100.1 | 45.3 | 0.767 | 97.0 | 43.2 | 0.773 | 45.5 | 16.6 |
| PM03022021_slice_63 | 0.855 | 0.116 | 0.061 | 0.864 | 100.6 | 45.9 | 0.761 | 97.3 | 43.8 | 0.767 | 46.4 | 17.3 |
| PM03022021_slice_64 | 0.854 | 0.116 | 0.061 | 0.863 | 100.6 | 45.8 | 0.760 | 97.4 | 43.8 | 0.765 | 46.5 | 17.6 |
| PM03022021_slice_65 | 0.851 | 0.116 | 0.061 | 0.860 | 100.6 | 46.1 | 0.757 | 97.0 | 44.0 | 0.762 | 46.9 | 18.0 |
| PM03022021_slice_66 | 0.847 | 0.116 | 0.061 | 0.855 | 101.1 | 46.6 | 0.752 | 97.6 | 44.5 | 0.759 | 47.5 | 18.4 |
| PM03022021_slice_67 | 0.842 | 0.119 | 0.063 | 0.851 | 104.0 | 48.0 | 0.747 | 100.4 | 45.9 | 0.755 | 47.7 | 18.6 |
| PM03022021_slice_68 | 0.828 | 0.122 | 0.065 | 0.837 | 108.3 | 50.3 | 0.733 | 104.9 | 48.2 | 0.745 | 49.7 | 19.7 |
| PM03022021_slice_69 | 0.821 | 0.125 | 0.066 | 0.830 | 111.1 | 51.1 | 0.726 | 107.9 | 49.0 | 0.741 | 50.3 | 20.2 |
| PM03022021_slice_70 | 0.810 | 0.128 | 0.067 | 0.819 | 114.8 | 52.5 | 0.714 | 111.7 | 50.6 | 0.733 | 51.5 | 21.1 |
| PM03022021_slice_71 | 0.826 | 0.124 | 0.064 | 0.835 | 110.5 | 49.7 | 0.726 | 107.6 | 47.9 | 0.737 | 48.7 | 19.9 |
| PM03022021_slice_72 | 0.812 | 0.125 | 0.065 | 0.821 | 111.5 | 50.6 | 0.716 | 108.6 | 48.7 | 0.729 | 50.8 | 21.4 |
| PM03022021_slice_73 | 0.819 | 0.124 | 0.064 | 0.827 | 109.9 | 49.3 | 0.722 | 107.1 | 47.4 | 0.731 | 49.6 | 20.9 |
| PM03022021_slice_74 | 0.821 | 0.113 | 0.060 | 0.828 | 97.6 | 45.8 | 0.724 | 94.6 | 44.1 | 0.727 | 49.8 | 21.1 |
| PM03022021_slice_75 | 0.821 | 0.112 | 0.060 | 0.829 | 97.1 | 45.5 | 0.724 | 94.4 | 43.8 | 0.721 | 49.4 | 21.2 |
| PM03022021_slice_76 | 0.815 | 0.112 | 0.061 | 0.823 | 96.9 | 46.0 | 0.717 | 94.5 | 44.5 | 0.714 | 50.6 | 22.0 |
| PM03022021_slice_77 | 0.816 | 0.111 | 0.060 | 0.823 | 95.7 | 45.8 | 0.717 | 93.7 | 44.5 | 0.710 | 50.9 | 22.4 |
| PM03022021_slice_78 | 0.813 | 0.112 | 0.061 | 0.821 | 96.8 | 46.5 | 0.716 | 94.7 | 45.1 | 0.709 | 51.9 | 23.1 |
| PM03022021_slice_79 | 0.819 | 0.114 | 0.061 | 0.826 | 98.5 | 46.6 | 0.721 | 96.6 | 45.3 | 0.712 | 50.4 | 22.5 |
| PM03022021_slice_80 | 0.824 | 0.111 | 0.060 | 0.832 | 95.3 | 45.0 | 0.727 | 93.6 | 43.8 | 0.717 | 49.0 | 22.0 |
| PM03022021_slice_81 | 0.813 | 0.112 | 0.061 | 0.821 | 96.6 | 45.8 | 0.717 | 94.7 | 44.5 | 0.713 | 50.5 | 22.9 |
| PM03022021_slice_82 | 0.810 | 0.113 | 0.062 | 0.818 | 97.6 | 46.2 | 0.714 | 95.5 | 44.8 | 0.709 | 51.3 | 23.3 |
| PM03022021_slice_83 | 0.813 | 0.114 | 0.062 | 0.821 | 98.7 | 46.4 | 0.715 | 96.9 | 45.1 | 0.708 | 51.3 | 23.2 |
| PM03022021_slice_84 | 0.812 | 0.115 | 0.062 | 0.820 | 99.4 | 46.8 | 0.715 | 97.2 | 45.2 | 0.705 | 52.1 | 23.6 |
| PM03022021_slice_85 | 0.810 | 0.115 | 0.062 | 0.818 | 99.5 | 47.1 | 0.712 | 97.4 | 45.5 | 0.701 | 52.8 | 24.0 |
| PM03022021_slice_86 | 0.809 | 0.117 | 0.063 | 0.817 | 101.1 | 47.7 | 0.714 | 98.5 | 45.9 | 0.702 | 52.9 | 24.1 |
| PM03022021_slice_87 | 0.811 | 0.116 | 0.063 | 0.819 | 100.1 | 47.5 | 0.715 | 97.7 | 45.7 | 0.702 | 52.2 | 23.9 |
| PM03022021_slice_88 | 0.813 | 0.114 | 0.062 | 0.821 | 98.5 | 47.0 | 0.717 | 96.5 | 45.3 | 0.706 | 51.8 | 23.8 |
| PM03022021_slice_89 | 0.829 | 0.116 | 0.061 | 0.836 | 100.7 | 45.7 | 0.728 | 99.2 | 44.3 | 0.713 | 48.5 | 22.0 |
| PM03022021_slice_90 | 0.841 | 0.114 | 0.059 | 0.848 | 98.3 | 43.9 | 0.737 | 97.0 | 42.7 | 0.714 | 46.4 | 20.9 |
| PM03022021_slice_91 | 0.845 | 0.111 | 0.058 | 0.852 | 95.3 | 42.6 | 0.736 | 93.7 | 41.3 | 0.711 | 45.8 | 20.5 |
| PM03022021_slice_92 | 0.835 | 0.115 | 0.060 | 0.842 | 99.1 | 44.4 | 0.727 | 97.3 | 43.0 | 0.702 | 47.6 | 21.5 |
| PM03022021_slice_93 | 0.830 | 0.119 | 0.061 | 0.837 | 104.0 | 46.0 | 0.722 | 102.1 | 44.5 | 0.700 | 48.4 | 21.8 |
| PM03022021_slice_94 | 0.832 | 0.117 | 0.060 | 0.839 | 102.1 | 45.1 | 0.725 | 100.0 | 43.7 | 0.704 | 47.9 | 21.5 |
4Γ3 grid: Rows show different image types (Original NATIVE, Reconstructed NATIVE, Original VENOUS, Generated VENOUS), Columns show windowing techniques (No Window, Lung Window, Mediastinum Window)