GAN Medical CT Evaluation Report

Patient: BMG07082017

Slice 70 Targeting Evaluation

Patient Information

Patient ID: BMG07082017

Model: cytran

Slice: Slice_70

Slice Thickness: 2.5mm

Conversion: NATIVE β†’ VENOUS

πŸ“Š Download Metrics

πŸ“₯ Download CSV Metrics (patient_BMG07082017_metrics.csv)

Contains all 4 metric datasets: Network-Normalized, Hounsfield Units, Lung Window, and Mediastinum Window

Native→Venous Translation Metrics (Generated Venous vs Real Venous)

Targeted Slice 70 - Network-Normalized Analysis (Generated vs Real Venous)

0.840
SSIM Score
0.131
RMSE
0.057
MAE

Average Network-Normalized Metrics Across All Slices (103 slices) - Generated vs Real Venous

0.848
SSIM Score (Avg)
0.127
RMSE (Avg)
0.054
MAE (Avg)

Targeted Slice 70 - HU-Space Analysis (Generated vs Real Venous)

0.844
HU SSIM
124.6
HU RMSE
48.4
HU MAE

Average HU-Space Metrics Across All Slices (103 slices) - Generated vs Real Venous

0.852
HU SSIM (Avg)
120.8
HU RMSE (Avg)
46.1
HU MAE (Avg)

Targeted Slice 70 - Lung Window Analysis (Generated vs Real Venous)

0.720
Lung SSIM
114.8
Lung RMSE
45.1
Lung MAE

Average Lung Window Metrics Across All Slices (103 slices) - Generated vs Real Venous

0.735
Lung SSIM (Avg)
109.1
Lung RMSE (Avg)
41.9
Lung MAE (Avg)

Targeted Slice 70 - Mediastinum Window Analysis (Generated vs Real Venous)

0.784
Mediastinum SSIM
43.0
Mediastinum RMSE
13.8
Mediastinum MAE

Average Mediastinum Window Metrics Across All Slices (103 slices) - Generated vs Real Venous

0.762
Mediastinum SSIM (Avg)
44.5
Mediastinum RMSE (Avg)
15.0
Mediastinum MAE (Avg)

Image Grid

4Γ—3 grid: Rows show different image types (Original NATIVE, Reconstructed NATIVE, Original VENOUS, Generated VENOUS), Columns show windowing techniques (No Window, Lung Window, Mediastinum Window)

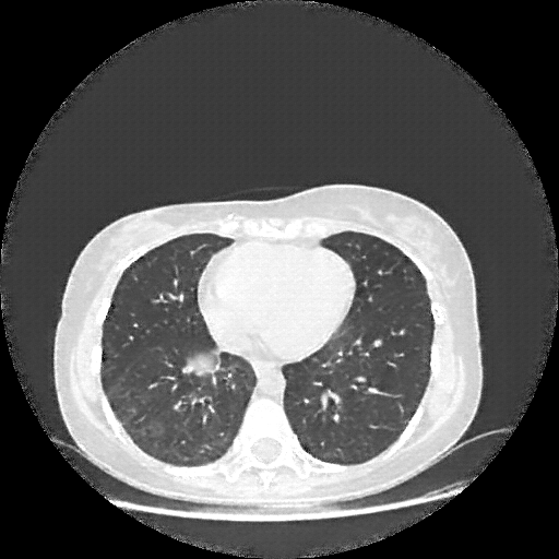
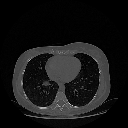
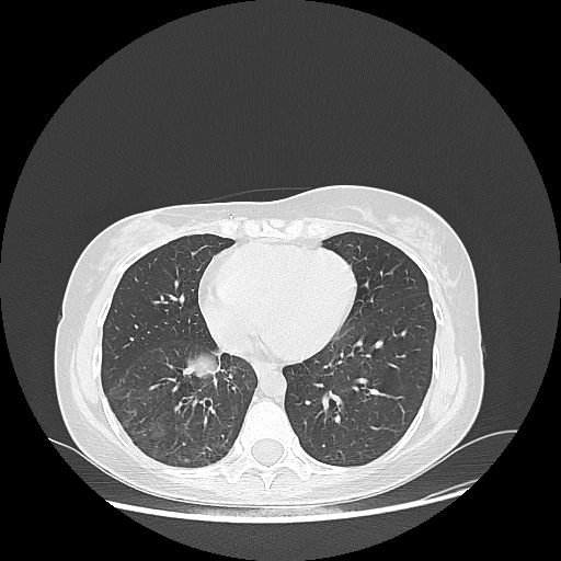
Original NATIVE CT scan (input)
Full window (WL 1023.5, WW 4095 β†’ Low βˆ’1024, High +3071)
Original NATIVE CT scan (input)
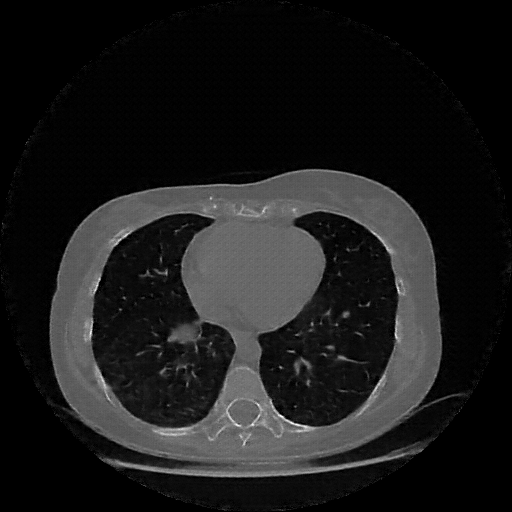
Original NATIVE CT scan (input)
Lung window (WL -600, WW 1500 β†’ Low βˆ’1350, High +150)
Original NATIVE CT scan (input)
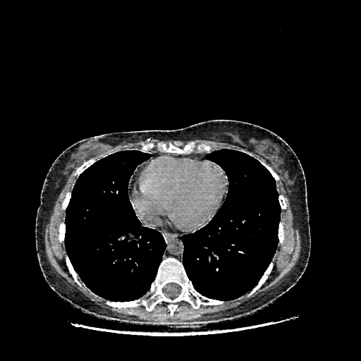
Original NATIVE CT scan (input)
Mediastinum window (WL 40, WW 400 β†’ Low βˆ’160, High +240)
Original NATIVE CT scan (input)
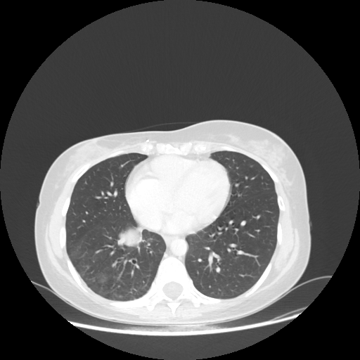
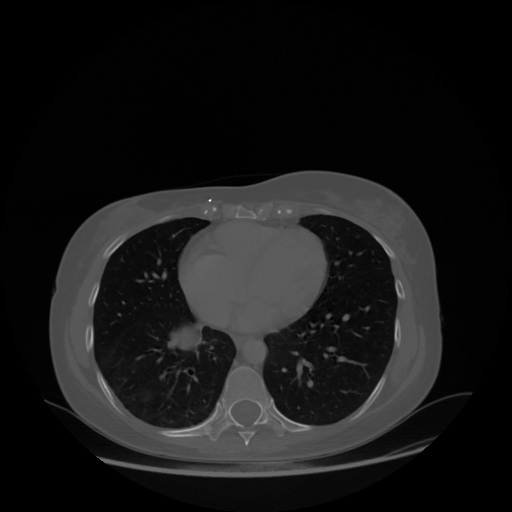
Reconstructed NATIVE CT scan (cycle consistency)
Full window (WL 1023.5, WW 4095 β†’ Low βˆ’1024, High +3071)
Reconstructed NATIVE CT scan (cycle consistency)
Reconstructed NATIVE CT scan (cycle consistency)
Lung window (WL -600, WW 1500 β†’ Low βˆ’1350, High +150)
Reconstructed NATIVE CT scan (cycle consistency)
Reconstructed NATIVE CT scan (cycle consistency)
Mediastinum window (WL 40, WW 400 β†’ Low βˆ’160, High +240)
Reconstructed NATIVE CT scan (cycle consistency)
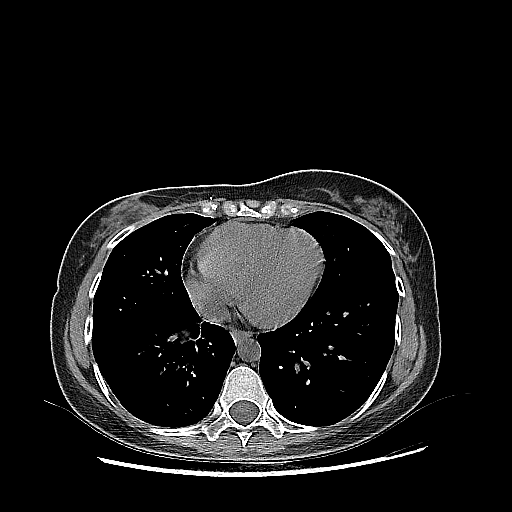
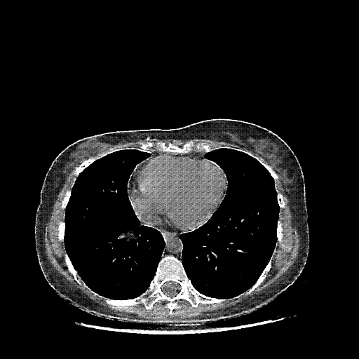
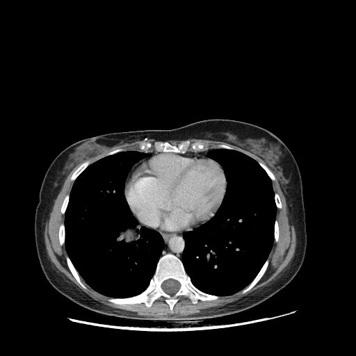
Original VENOUS CT scan
Full window (WL 1023.5, WW 4095 β†’ Low βˆ’1024, High +3071)
Original VENOUS CT scan
Original VENOUS CT scan
Lung window (WL -600, WW 1500 β†’ Low βˆ’1350, High +150)
Original VENOUS CT scan
Original VENOUS CT scan
Mediastinum window (WL 40, WW 400 β†’ Low βˆ’160, High +240)
Original VENOUS CT scan
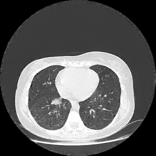
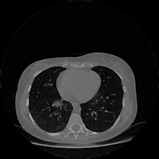
Generated VENOUS CT scan (A→B translation)
Full window (WL 1023.5, WW 4095 β†’ Low βˆ’1024, High +3071)
Generated VENOUS CT scan (A→B translation)
Generated VENOUS CT scan (A→B translation)
Lung window (WL -600, WW 1500 β†’ Low βˆ’1350, High +150)
Generated VENOUS CT scan (A→B translation)
Generated VENOUS CT scan (A→B translation)
Mediastinum window (WL 40, WW 400 β†’ Low βˆ’160, High +240)
Generated VENOUS CT scan (A→B translation)

Windowing Parameters