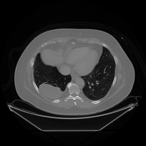
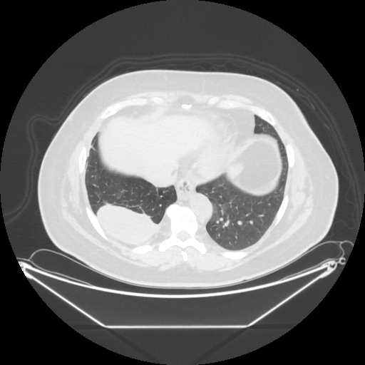
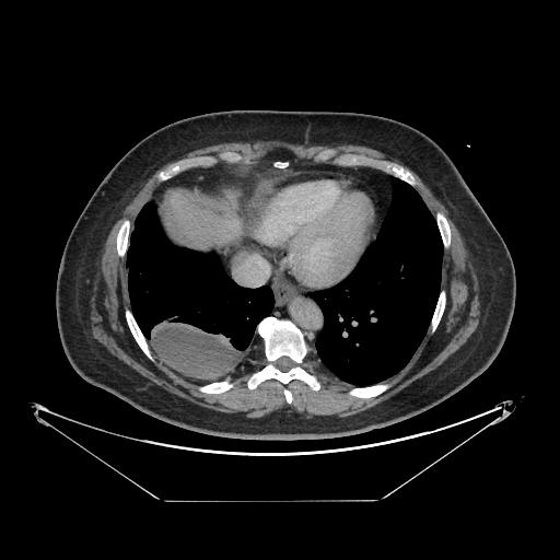
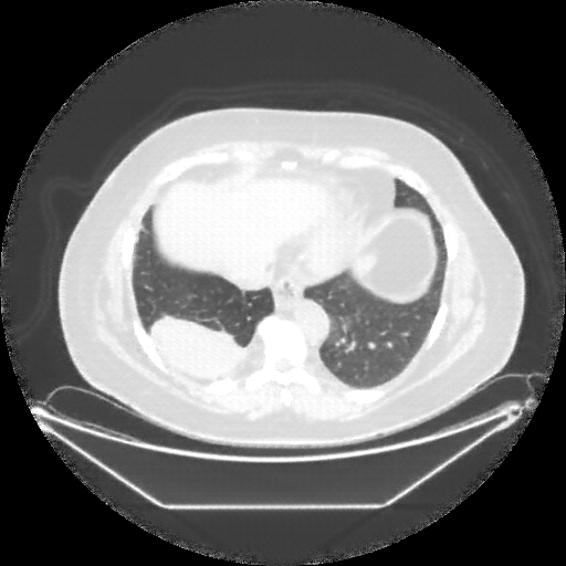
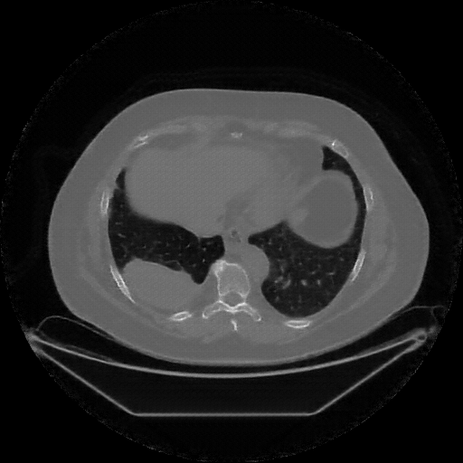
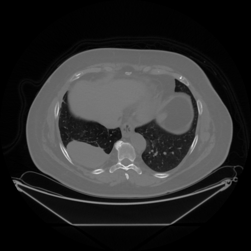
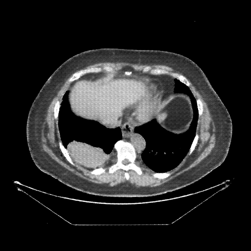
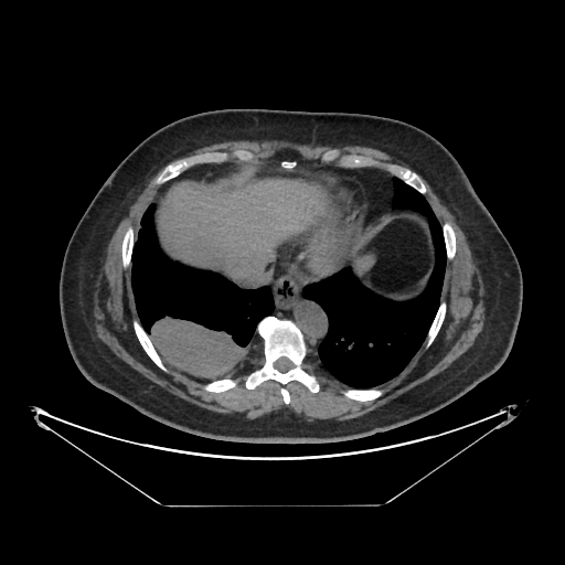
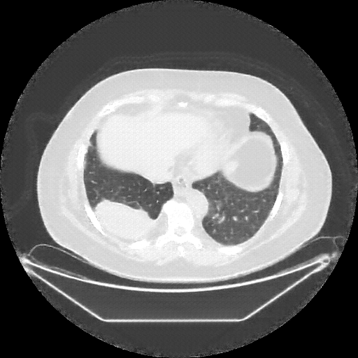
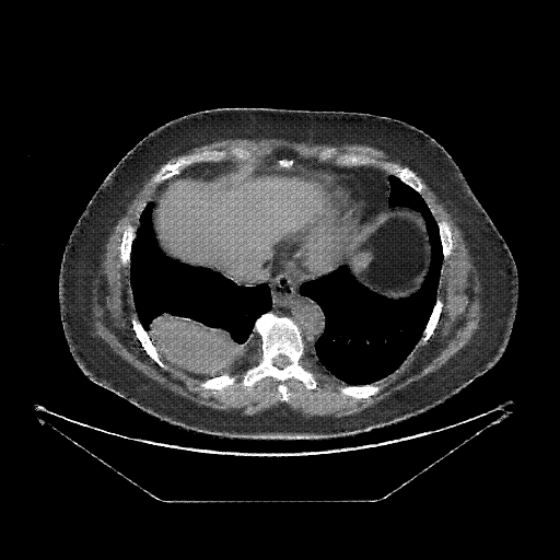
Slice 70 Targeting Evaluation
Patient ID: PD04012016
Model: cytran
Slice: Slice_70
Slice Thickness: 2.5mm
Conversion: NATIVE β VENOUS
Contains all 4 metric datasets: Network-Normalized, Hounsfield Units, Lung Window, and Mediastinum Window
| Slice ID | SSIM | RMSE | MAE | HU SSIM | HU RMSE | HU MAE | Lung SSIM | Lung RMSE | Lung MAE | Mediastinum SSIM | Mediastinum RMSE | Mediastinum MAE |
|---|---|---|---|---|---|---|---|---|---|---|---|---|
| PD04012016_slice_0 | 0.802 | 0.160 | 0.069 | 0.804 | 155.5 | 61.3 | 0.695 | 141.2 | 53.9 | 0.688 | 47.6 | 20.1 |
| PD04012016_slice_1 | 0.804 | 0.160 | 0.069 | 0.806 | 155.3 | 61.6 | 0.697 | 140.8 | 53.9 | 0.690 | 47.4 | 19.8 |
| PD04012016_slice_2 | 0.809 | 0.160 | 0.069 | 0.811 | 155.4 | 61.0 | 0.698 | 139.0 | 53.0 | 0.690 | 47.5 | 19.3 |
| PD04012016_slice_3 | 0.807 | 0.159 | 0.068 | 0.809 | 154.4 | 60.7 | 0.693 | 136.9 | 52.9 | 0.687 | 48.9 | 20.1 |
| PD04012016_slice_4 | 0.808 | 0.159 | 0.068 | 0.810 | 153.7 | 60.6 | 0.696 | 134.9 | 52.2 | 0.687 | 49.6 | 20.5 |
| PD04012016_slice_5 | 0.813 | 0.156 | 0.067 | 0.815 | 151.3 | 59.3 | 0.702 | 132.3 | 51.0 | 0.691 | 49.0 | 20.1 |
| PD04012016_slice_6 | 0.810 | 0.154 | 0.066 | 0.812 | 148.8 | 58.9 | 0.702 | 130.3 | 50.5 | 0.693 | 49.4 | 20.5 |
| PD04012016_slice_7 | 0.809 | 0.151 | 0.066 | 0.811 | 146.1 | 58.0 | 0.702 | 128.2 | 49.8 | 0.694 | 49.7 | 20.6 |
| PD04012016_slice_8 | 0.814 | 0.148 | 0.064 | 0.817 | 142.2 | 56.0 | 0.707 | 125.3 | 48.2 | 0.695 | 48.3 | 19.7 |
| PD04012016_slice_9 | 0.815 | 0.147 | 0.064 | 0.817 | 141.7 | 55.9 | 0.710 | 123.7 | 47.9 | 0.698 | 48.9 | 19.6 |
| PD04012016_slice_10 | 0.815 | 0.146 | 0.064 | 0.818 | 140.7 | 56.0 | 0.708 | 124.5 | 48.9 | 0.699 | 49.5 | 19.8 |
| PD04012016_slice_11 | 0.816 | 0.141 | 0.062 | 0.818 | 135.4 | 54.7 | 0.705 | 120.1 | 48.5 | 0.700 | 49.7 | 19.9 |
| PD04012016_slice_12 | 0.810 | 0.136 | 0.062 | 0.813 | 130.4 | 54.0 | 0.698 | 117.2 | 48.6 | 0.699 | 49.1 | 20.3 |
| PD04012016_slice_13 | 0.809 | 0.133 | 0.061 | 0.812 | 127.0 | 53.3 | 0.694 | 114.6 | 48.5 | 0.698 | 49.2 | 20.5 |
| PD04012016_slice_14 | 0.808 | 0.130 | 0.060 | 0.811 | 123.8 | 52.5 | 0.694 | 111.9 | 48.0 | 0.700 | 49.7 | 20.8 |
| PD04012016_slice_15 | 0.812 | 0.127 | 0.059 | 0.815 | 120.7 | 51.6 | 0.698 | 108.0 | 46.8 | 0.703 | 49.3 | 20.5 |
| PD04012016_slice_16 | 0.818 | 0.125 | 0.059 | 0.820 | 118.9 | 50.8 | 0.705 | 105.3 | 45.7 | 0.711 | 48.6 | 19.9 |
| PD04012016_slice_17 | 0.824 | 0.124 | 0.058 | 0.827 | 117.8 | 50.0 | 0.712 | 104.0 | 44.7 | 0.716 | 46.5 | 18.7 |
| PD04012016_slice_18 | 0.831 | 0.121 | 0.056 | 0.834 | 114.3 | 48.4 | 0.718 | 101.6 | 43.6 | 0.721 | 45.0 | 17.7 |
| PD04012016_slice_19 | 0.827 | 0.117 | 0.056 | 0.830 | 110.5 | 48.2 | 0.714 | 99.8 | 44.1 | 0.723 | 46.0 | 18.5 |
| PD04012016_slice_20 | 0.832 | 0.114 | 0.054 | 0.835 | 106.7 | 46.8 | 0.715 | 97.2 | 43.3 | 0.728 | 44.2 | 17.9 |
| PD04012016_slice_21 | 0.832 | 0.111 | 0.054 | 0.834 | 104.3 | 46.7 | 0.713 | 95.4 | 43.5 | 0.730 | 43.9 | 18.0 |
| PD04012016_slice_22 | 0.830 | 0.111 | 0.054 | 0.832 | 103.6 | 46.8 | 0.708 | 95.9 | 44.3 | 0.728 | 44.2 | 18.1 |
| PD04012016_slice_23 | 0.824 | 0.112 | 0.056 | 0.826 | 104.6 | 48.0 | 0.702 | 97.1 | 45.5 | 0.726 | 45.1 | 18.6 |
| PD04012016_slice_24 | 0.825 | 0.113 | 0.056 | 0.828 | 105.9 | 48.4 | 0.705 | 97.3 | 45.4 | 0.724 | 45.0 | 18.3 |
| PD04012016_slice_25 | 0.828 | 0.114 | 0.056 | 0.831 | 106.8 | 48.2 | 0.710 | 96.3 | 44.5 | 0.729 | 44.5 | 17.7 |
| PD04012016_slice_26 | 0.827 | 0.116 | 0.056 | 0.830 | 109.4 | 48.7 | 0.709 | 97.2 | 44.4 | 0.728 | 44.4 | 17.4 |
| PD04012016_slice_27 | 0.831 | 0.115 | 0.055 | 0.834 | 108.3 | 47.8 | 0.712 | 96.0 | 43.5 | 0.734 | 44.0 | 17.0 |
| PD04012016_slice_28 | 0.827 | 0.114 | 0.055 | 0.829 | 106.8 | 47.7 | 0.707 | 96.3 | 43.9 | 0.733 | 44.8 | 17.4 |
| PD04012016_slice_29 | 0.811 | 0.115 | 0.057 | 0.813 | 108.7 | 49.9 | 0.692 | 99.4 | 46.6 | 0.723 | 46.3 | 19.1 |
| PD04012016_slice_30 | 0.804 | 0.115 | 0.058 | 0.806 | 108.4 | 50.6 | 0.685 | 99.9 | 47.6 | 0.722 | 46.7 | 19.7 |
| PD04012016_slice_31 | 0.812 | 0.115 | 0.057 | 0.815 | 108.3 | 49.6 | 0.692 | 100.9 | 47.1 | 0.724 | 45.5 | 18.9 |
| PD04012016_slice_32 | 0.808 | 0.114 | 0.058 | 0.811 | 107.3 | 50.1 | 0.689 | 99.8 | 47.4 | 0.722 | 46.4 | 19.5 |
| PD04012016_slice_33 | 0.806 | 0.117 | 0.059 | 0.809 | 110.2 | 51.4 | 0.687 | 101.4 | 48.2 | 0.719 | 47.1 | 19.8 |
| PD04012016_slice_34 | 0.816 | 0.117 | 0.058 | 0.819 | 110.1 | 50.1 | 0.695 | 100.3 | 46.7 | 0.723 | 45.2 | 18.4 |
| PD04012016_slice_35 | 0.818 | 0.120 | 0.058 | 0.821 | 113.1 | 50.5 | 0.698 | 101.7 | 46.5 | 0.723 | 44.7 | 18.0 |
| PD04012016_slice_36 | 0.815 | 0.121 | 0.059 | 0.817 | 114.1 | 51.1 | 0.696 | 102.5 | 46.9 | 0.722 | 44.6 | 18.0 |
| PD04012016_slice_37 | 0.813 | 0.121 | 0.059 | 0.816 | 114.7 | 51.2 | 0.693 | 103.7 | 47.1 | 0.717 | 45.4 | 18.3 |
| PD04012016_slice_38 | 0.803 | 0.121 | 0.060 | 0.805 | 114.0 | 52.0 | 0.680 | 104.3 | 48.4 | 0.710 | 47.1 | 19.6 |
| PD04012016_slice_39 | 0.800 | 0.122 | 0.060 | 0.803 | 115.2 | 52.5 | 0.677 | 105.8 | 49.1 | 0.711 | 47.7 | 19.8 |
| PD04012016_slice_40 | 0.795 | 0.121 | 0.060 | 0.798 | 114.9 | 52.8 | 0.672 | 106.1 | 49.7 | 0.707 | 48.4 | 20.5 |
| PD04012016_slice_41 | 0.782 | 0.123 | 0.062 | 0.785 | 116.8 | 54.4 | 0.659 | 108.7 | 51.3 | 0.699 | 49.7 | 21.6 |
| PD04012016_slice_42 | 0.788 | 0.124 | 0.062 | 0.791 | 118.1 | 54.4 | 0.666 | 110.2 | 51.3 | 0.700 | 49.5 | 21.2 |
| PD04012016_slice_43 | 0.798 | 0.125 | 0.061 | 0.800 | 118.7 | 53.8 | 0.676 | 110.0 | 50.3 | 0.703 | 48.6 | 20.4 |
| PD04012016_slice_44 | 0.807 | 0.127 | 0.061 | 0.809 | 120.6 | 53.6 | 0.688 | 110.4 | 49.5 | 0.706 | 47.6 | 19.4 |
| PD04012016_slice_45 | 0.807 | 0.129 | 0.062 | 0.810 | 122.6 | 54.1 | 0.690 | 110.7 | 49.6 | 0.707 | 47.7 | 19.2 |
| PD04012016_slice_46 | 0.816 | 0.127 | 0.060 | 0.818 | 121.3 | 52.8 | 0.698 | 110.2 | 48.4 | 0.712 | 46.4 | 18.0 |
| PD04012016_slice_47 | 0.810 | 0.130 | 0.062 | 0.813 | 123.6 | 54.1 | 0.692 | 112.3 | 49.7 | 0.708 | 48.3 | 19.1 |
| PD04012016_slice_48 | 0.801 | 0.131 | 0.063 | 0.804 | 125.0 | 55.5 | 0.682 | 114.5 | 51.5 | 0.699 | 49.3 | 20.2 |
| PD04012016_slice_49 | 0.808 | 0.129 | 0.062 | 0.811 | 123.1 | 54.3 | 0.689 | 113.0 | 50.6 | 0.701 | 48.5 | 19.8 |
| PD04012016_slice_50 | 0.806 | 0.128 | 0.062 | 0.808 | 122.2 | 54.5 | 0.689 | 112.9 | 51.2 | 0.701 | 48.8 | 20.2 |
| PD04012016_slice_51 | 0.807 | 0.126 | 0.061 | 0.810 | 120.3 | 53.8 | 0.689 | 112.1 | 50.9 | 0.703 | 47.8 | 19.9 |
| PD04012016_slice_52 | 0.802 | 0.128 | 0.062 | 0.805 | 121.4 | 54.5 | 0.685 | 113.0 | 51.6 | 0.699 | 48.7 | 20.5 |
| PD04012016_slice_53 | 0.807 | 0.128 | 0.062 | 0.810 | 122.2 | 54.3 | 0.691 | 113.3 | 51.1 | 0.701 | 48.2 | 20.0 |
| PD04012016_slice_54 | 0.806 | 0.130 | 0.062 | 0.809 | 123.5 | 54.5 | 0.692 | 114.1 | 51.0 | 0.700 | 48.2 | 20.0 |
| PD04012016_slice_55 | 0.815 | 0.130 | 0.061 | 0.818 | 124.1 | 53.5 | 0.702 | 113.9 | 49.8 | 0.706 | 46.6 | 18.6 |
| PD04012016_slice_56 | 0.812 | 0.132 | 0.062 | 0.815 | 125.6 | 54.0 | 0.699 | 115.0 | 49.9 | 0.704 | 46.6 | 18.7 |
| PD04012016_slice_57 | 0.812 | 0.130 | 0.061 | 0.815 | 123.9 | 53.3 | 0.699 | 113.5 | 49.4 | 0.704 | 46.8 | 18.7 |
| PD04012016_slice_58 | 0.810 | 0.130 | 0.061 | 0.813 | 123.7 | 53.5 | 0.696 | 112.6 | 49.6 | 0.702 | 47.8 | 19.3 |
| PD04012016_slice_59 | 0.810 | 0.130 | 0.061 | 0.813 | 123.7 | 53.5 | 0.696 | 112.9 | 49.9 | 0.703 | 48.0 | 19.5 |
| PD04012016_slice_60 | 0.805 | 0.130 | 0.062 | 0.808 | 124.4 | 54.1 | 0.690 | 114.5 | 50.9 | 0.703 | 48.5 | 20.0 |
| PD04012016_slice_61 | 0.802 | 0.131 | 0.062 | 0.806 | 125.2 | 54.5 | 0.687 | 115.8 | 51.5 | 0.704 | 48.4 | 20.1 |
| PD04012016_slice_62 | 0.800 | 0.131 | 0.062 | 0.803 | 124.6 | 54.6 | 0.683 | 115.3 | 51.7 | 0.706 | 48.6 | 20.3 |
| PD04012016_slice_63 | 0.798 | 0.134 | 0.064 | 0.800 | 128.3 | 56.4 | 0.680 | 118.3 | 53.0 | 0.702 | 48.7 | 20.5 |
| PD04012016_slice_64 | 0.772 | 0.148 | 0.071 | 0.774 | 143.2 | 63.1 | 0.658 | 133.6 | 59.2 | 0.686 | 52.4 | 22.9 |
| PD04012016_slice_65 | 0.786 | 0.147 | 0.069 | 0.788 | 142.1 | 61.1 | 0.673 | 132.7 | 57.4 | 0.691 | 52.6 | 22.5 |
| PD04012016_slice_66 | 0.780 | 0.146 | 0.069 | 0.783 | 140.3 | 61.5 | 0.669 | 131.7 | 58.0 | 0.688 | 54.1 | 23.3 |
| PD04012016_slice_67 | 0.763 | 0.151 | 0.072 | 0.766 | 145.8 | 64.7 | 0.655 | 137.9 | 61.3 | 0.678 | 57.2 | 25.3 |
| PD04012016_slice_68 | 0.763 | 0.158 | 0.075 | 0.766 | 152.8 | 67.2 | 0.655 | 145.6 | 64.0 | 0.677 | 57.2 | 25.3 |
| PD04012016_slice_69 | 0.771 | 0.161 | 0.075 | 0.773 | 155.7 | 67.6 | 0.663 | 149.1 | 64.6 | 0.682 | 55.9 | 24.5 |
| PD04012016_slice_70 | 0.781 | 0.163 | 0.075 | 0.784 | 158.1 | 67.5 | 0.672 | 151.5 | 64.6 | 0.685 | 54.2 | 23.6 |
| PD04012016_slice_71 | 0.775 | 0.171 | 0.079 | 0.778 | 166.3 | 71.0 | 0.669 | 159.9 | 68.1 | 0.678 | 55.7 | 24.9 |
| PD04012016_slice_72 | 0.775 | 0.179 | 0.081 | 0.778 | 175.1 | 73.9 | 0.668 | 169.1 | 71.2 | 0.672 | 57.1 | 25.5 |
| PD04012016_slice_73 | 0.775 | 0.184 | 0.083 | 0.778 | 180.0 | 75.2 | 0.670 | 174.0 | 72.5 | 0.669 | 58.0 | 25.8 |
| PD04012016_slice_74 | 0.781 | 0.187 | 0.083 | 0.784 | 183.1 | 75.3 | 0.675 | 177.2 | 72.5 | 0.667 | 57.8 | 25.3 |
| PD04012016_slice_75 | 0.784 | 0.192 | 0.084 | 0.787 | 187.8 | 76.8 | 0.680 | 181.8 | 73.8 | 0.662 | 58.7 | 25.7 |
| PD04012016_slice_76 | 0.795 | 0.189 | 0.081 | 0.798 | 184.9 | 73.8 | 0.692 | 178.9 | 70.7 | 0.658 | 58.5 | 25.2 |
| PD04012016_slice_77 | 0.800 | 0.186 | 0.079 | 0.803 | 181.6 | 71.2 | 0.695 | 175.2 | 68.2 | 0.654 | 59.1 | 25.4 |
| PD04012016_slice_78 | 0.799 | 0.181 | 0.077 | 0.802 | 176.3 | 69.2 | 0.694 | 170.2 | 66.4 | 0.649 | 60.1 | 26.3 |
| PD04012016_slice_79 | 0.805 | 0.175 | 0.075 | 0.808 | 170.9 | 66.7 | 0.698 | 165.1 | 64.1 | 0.649 | 58.9 | 25.6 |
| PD04012016_slice_80 | 0.806 | 0.174 | 0.073 | 0.809 | 169.2 | 65.6 | 0.699 | 163.6 | 63.0 | 0.647 | 58.3 | 25.3 |
| PD04012016_slice_81 | 0.801 | 0.173 | 0.073 | 0.804 | 168.7 | 65.0 | 0.695 | 163.7 | 62.9 | 0.646 | 58.7 | 25.6 |
| PD04012016_slice_82 | 0.800 | 0.173 | 0.073 | 0.803 | 167.9 | 65.1 | 0.693 | 163.1 | 63.0 | 0.644 | 59.1 | 26.0 |
| PD04012016_slice_83 | 0.800 | 0.172 | 0.073 | 0.803 | 167.5 | 64.8 | 0.694 | 162.5 | 62.7 | 0.645 | 59.0 | 26.1 |
| PD04012016_slice_84 | 0.804 | 0.170 | 0.071 | 0.807 | 165.5 | 63.6 | 0.698 | 160.6 | 61.5 | 0.647 | 57.5 | 25.2 |
| PD04012016_slice_85 | 0.806 | 0.169 | 0.071 | 0.809 | 164.1 | 63.0 | 0.699 | 159.2 | 60.6 | 0.645 | 56.9 | 24.8 |
| PD04012016_slice_86 | 0.807 | 0.168 | 0.070 | 0.810 | 163.5 | 62.4 | 0.700 | 159.1 | 60.4 | 0.643 | 56.9 | 24.7 |
| PD04012016_slice_87 | 0.811 | 0.168 | 0.070 | 0.814 | 163.7 | 62.0 | 0.704 | 159.3 | 59.9 | 0.643 | 56.8 | 24.6 |
| PD04012016_slice_88 | 0.811 | 0.165 | 0.068 | 0.814 | 160.2 | 60.8 | 0.704 | 155.9 | 58.9 | 0.641 | 56.7 | 24.8 |
| PD04012016_slice_89 | 0.808 | 0.163 | 0.068 | 0.811 | 158.5 | 60.8 | 0.699 | 154.3 | 59.0 | 0.638 | 57.2 | 25.4 |
| PD04012016_slice_90 | 0.808 | 0.160 | 0.067 | 0.811 | 154.9 | 59.5 | 0.697 | 150.6 | 57.7 | 0.634 | 56.3 | 25.1 |
| PD04012016_slice_91 | 0.805 | 0.157 | 0.067 | 0.808 | 151.8 | 58.8 | 0.693 | 147.2 | 57.0 | 0.632 | 55.4 | 25.1 |
| PD04012016_slice_92 | 0.799 | 0.153 | 0.066 | 0.801 | 148.2 | 58.7 | 0.686 | 144.0 | 57.0 | 0.627 | 55.7 | 25.8 |
| PD04012016_slice_93 | 0.798 | 0.151 | 0.066 | 0.801 | 145.7 | 58.3 | 0.684 | 141.7 | 56.7 | 0.625 | 55.4 | 26.2 |
| PD04012016_slice_94 | 0.803 | 0.148 | 0.065 | 0.805 | 143.0 | 57.1 | 0.689 | 139.2 | 55.6 | 0.628 | 54.4 | 25.9 |
| PD04012016_slice_95 | 0.802 | 0.148 | 0.064 | 0.804 | 142.3 | 56.8 | 0.689 | 138.3 | 55.1 | 0.630 | 53.6 | 25.4 |
| PD04012016_slice_96 | 0.797 | 0.149 | 0.065 | 0.800 | 143.6 | 57.4 | 0.686 | 139.1 | 55.3 | 0.627 | 53.7 | 25.6 |
| PD04012016_slice_97 | 0.796 | 0.148 | 0.065 | 0.798 | 142.7 | 57.3 | 0.685 | 138.5 | 55.4 | 0.628 | 54.0 | 25.6 |
4Γ3 grid: Rows show different image types (Original NATIVE, Reconstructed NATIVE, Original VENOUS, Generated VENOUS), Columns show windowing techniques (No Window, Lung Window, Mediastinum Window)