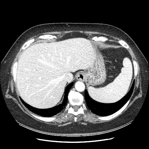
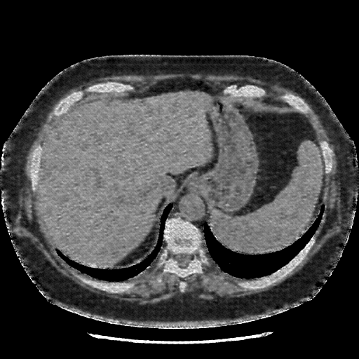
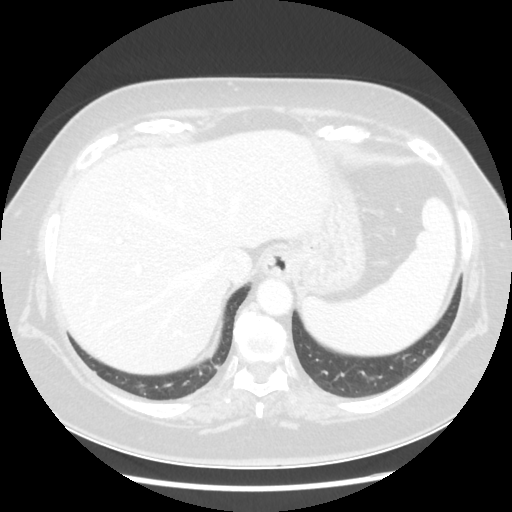
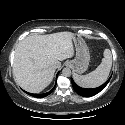
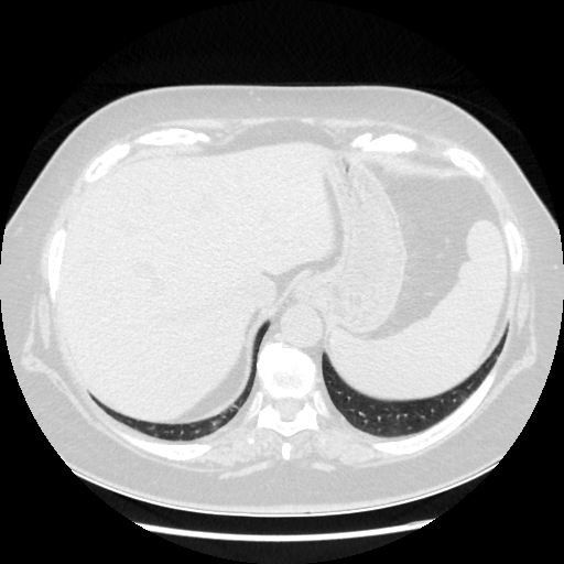
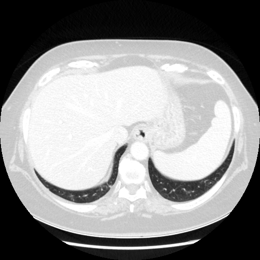
Slice 70 Targeting Evaluation
Patient ID: SE04022021
Model: cytran
Slice: Slice_70
Slice Thickness: 2.5mm
Conversion: NATIVE β VENOUS
Contains all 4 metric datasets: Network-Normalized, Hounsfield Units, Lung Window, and Mediastinum Window
| Slice ID | SSIM | RMSE | MAE | HU SSIM | HU RMSE | HU MAE | Lung SSIM | Lung RMSE | Lung MAE | Mediastinum SSIM | Mediastinum RMSE | Mediastinum MAE |
|---|---|---|---|---|---|---|---|---|---|---|---|---|
| SE04022021_slice_0 | 0.807 | 0.156 | 0.115 | 0.813 | 115.8 | 68.7 | 0.636 | 153.6 | 112.1 | 0.544 | 53.3 | 27.4 |
| SE04022021_slice_1 | 0.816 | 0.154 | 0.113 | 0.822 | 115.3 | 67.6 | 0.640 | 152.2 | 110.5 | 0.547 | 51.3 | 26.4 |
| SE04022021_slice_2 | 0.838 | 0.153 | 0.112 | 0.844 | 113.3 | 66.0 | 0.659 | 151.3 | 109.3 | 0.560 | 47.1 | 24.2 |
| SE04022021_slice_3 | 0.843 | 0.154 | 0.112 | 0.849 | 112.9 | 65.5 | 0.663 | 152.3 | 109.8 | 0.562 | 46.1 | 23.6 |
| SE04022021_slice_4 | 0.834 | 0.154 | 0.113 | 0.840 | 113.8 | 66.2 | 0.653 | 152.7 | 110.2 | 0.559 | 47.3 | 24.1 |
| SE04022021_slice_5 | 0.831 | 0.153 | 0.112 | 0.838 | 114.3 | 66.6 | 0.648 | 151.8 | 109.9 | 0.562 | 47.7 | 24.4 |
| SE04022021_slice_6 | 0.823 | 0.151 | 0.111 | 0.829 | 113.8 | 66.8 | 0.638 | 149.8 | 109.1 | 0.564 | 48.1 | 24.8 |
| SE04022021_slice_7 | 0.820 | 0.152 | 0.112 | 0.826 | 114.1 | 67.1 | 0.635 | 150.5 | 109.8 | 0.568 | 48.6 | 24.5 |
| SE04022021_slice_8 | 0.838 | 0.156 | 0.114 | 0.845 | 115.4 | 67.3 | 0.654 | 154.2 | 111.8 | 0.581 | 45.7 | 22.5 |
| SE04022021_slice_9 | 0.836 | 0.159 | 0.116 | 0.842 | 118.2 | 68.7 | 0.654 | 156.8 | 113.5 | 0.587 | 46.5 | 22.2 |
| SE04022021_slice_10 | 0.831 | 0.164 | 0.120 | 0.837 | 123.0 | 71.7 | 0.649 | 162.2 | 117.7 | 0.589 | 47.4 | 22.5 |
| SE04022021_slice_11 | 0.835 | 0.160 | 0.118 | 0.841 | 121.2 | 70.7 | 0.650 | 158.6 | 115.1 | 0.595 | 46.2 | 22.0 |
| SE04022021_slice_12 | 0.839 | 0.161 | 0.119 | 0.845 | 120.5 | 71.0 | 0.658 | 159.2 | 116.2 | 0.602 | 44.9 | 21.3 |
| SE04022021_slice_13 | 0.840 | 0.160 | 0.118 | 0.847 | 119.1 | 70.0 | 0.660 | 158.2 | 115.4 | 0.608 | 44.3 | 20.8 |
| SE04022021_slice_14 | 0.838 | 0.161 | 0.119 | 0.844 | 120.7 | 71.4 | 0.657 | 159.2 | 116.7 | 0.615 | 44.5 | 20.9 |
| SE04022021_slice_15 | 0.835 | 0.161 | 0.119 | 0.841 | 121.5 | 71.8 | 0.652 | 159.3 | 116.7 | 0.612 | 44.7 | 21.0 |
| SE04022021_slice_16 | 0.827 | 0.163 | 0.120 | 0.833 | 124.0 | 73.1 | 0.641 | 161.2 | 118.1 | 0.607 | 45.6 | 21.2 |
| SE04022021_slice_17 | 0.822 | 0.161 | 0.118 | 0.829 | 123.5 | 72.4 | 0.632 | 159.5 | 116.6 | 0.604 | 45.7 | 21.2 |
| SE04022021_slice_18 | 0.818 | 0.166 | 0.123 | 0.825 | 126.9 | 75.1 | 0.629 | 165.0 | 121.1 | 0.606 | 46.4 | 21.5 |
| SE04022021_slice_19 | 0.814 | 0.167 | 0.124 | 0.821 | 128.6 | 75.9 | 0.623 | 166.0 | 121.6 | 0.602 | 46.6 | 21.7 |
| SE04022021_slice_20 | 0.808 | 0.170 | 0.125 | 0.815 | 131.2 | 76.8 | 0.614 | 168.6 | 122.9 | 0.598 | 47.6 | 22.1 |
| SE04022021_slice_21 | 0.804 | 0.170 | 0.126 | 0.811 | 130.9 | 77.4 | 0.611 | 169.0 | 124.0 | 0.596 | 47.7 | 22.3 |
| SE04022021_slice_22 | 0.797 | 0.173 | 0.129 | 0.803 | 131.6 | 78.9 | 0.605 | 171.4 | 126.8 | 0.594 | 47.7 | 22.7 |
| SE04022021_slice_23 | 0.792 | 0.177 | 0.133 | 0.798 | 134.8 | 81.6 | 0.602 | 175.0 | 130.3 | 0.594 | 48.3 | 23.3 |
| SE04022021_slice_24 | 0.801 | 0.175 | 0.131 | 0.807 | 134.5 | 80.2 | 0.609 | 173.9 | 128.4 | 0.599 | 46.6 | 22.4 |
| SE04022021_slice_25 | 0.800 | 0.172 | 0.127 | 0.807 | 132.5 | 78.7 | 0.607 | 170.4 | 125.5 | 0.601 | 47.2 | 22.6 |
| SE04022021_slice_26 | 0.802 | 0.169 | 0.126 | 0.809 | 128.5 | 77.4 | 0.610 | 167.7 | 124.4 | 0.606 | 47.0 | 22.8 |
| SE04022021_slice_27 | 0.796 | 0.169 | 0.127 | 0.803 | 128.7 | 78.4 | 0.602 | 167.8 | 125.3 | 0.599 | 48.3 | 23.6 |
| SE04022021_slice_28 | 0.795 | 0.169 | 0.127 | 0.802 | 127.7 | 77.7 | 0.600 | 168.1 | 125.3 | 0.598 | 48.3 | 23.7 |
| SE04022021_slice_29 | 0.797 | 0.171 | 0.128 | 0.804 | 129.4 | 78.5 | 0.603 | 169.6 | 126.3 | 0.595 | 48.1 | 23.5 |
| SE04022021_slice_30 | 0.788 | 0.173 | 0.131 | 0.795 | 131.8 | 80.7 | 0.590 | 171.7 | 128.7 | 0.587 | 48.8 | 24.2 |
| SE04022021_slice_31 | 0.789 | 0.173 | 0.129 | 0.796 | 132.6 | 79.8 | 0.590 | 171.5 | 127.4 | 0.585 | 48.2 | 23.8 |
| SE04022021_slice_32 | 0.783 | 0.170 | 0.127 | 0.790 | 131.0 | 78.5 | 0.586 | 169.1 | 125.3 | 0.577 | 49.4 | 24.4 |
| SE04022021_slice_33 | 0.786 | 0.170 | 0.127 | 0.793 | 130.1 | 77.6 | 0.592 | 169.4 | 125.1 | 0.585 | 49.0 | 24.1 |
| SE04022021_slice_34 | 0.791 | 0.175 | 0.131 | 0.798 | 131.5 | 79.3 | 0.599 | 173.6 | 128.9 | 0.585 | 48.9 | 24.3 |
| SE04022021_slice_35 | 0.790 | 0.174 | 0.130 | 0.798 | 130.7 | 78.6 | 0.596 | 173.3 | 128.4 | 0.580 | 48.7 | 24.2 |
| SE04022021_slice_36 | 0.786 | 0.176 | 0.131 | 0.793 | 132.6 | 79.3 | 0.594 | 175.2 | 129.4 | 0.576 | 49.5 | 24.6 |
| SE04022021_slice_37 | 0.779 | 0.178 | 0.132 | 0.787 | 135.4 | 80.5 | 0.584 | 176.7 | 130.2 | 0.572 | 50.3 | 25.2 |
| SE04022021_slice_38 | 0.784 | 0.176 | 0.132 | 0.792 | 133.0 | 79.7 | 0.590 | 175.4 | 129.7 | 0.574 | 49.8 | 24.9 |
| SE04022021_slice_39 | 0.786 | 0.177 | 0.132 | 0.794 | 133.4 | 80.0 | 0.589 | 176.1 | 130.3 | 0.571 | 50.2 | 25.0 |
| SE04022021_slice_40 | 0.790 | 0.178 | 0.133 | 0.797 | 133.2 | 79.9 | 0.593 | 176.7 | 130.7 | 0.572 | 50.1 | 24.9 |
| SE04022021_slice_41 | 0.791 | 0.178 | 0.132 | 0.798 | 134.3 | 80.3 | 0.594 | 176.8 | 130.7 | 0.575 | 49.1 | 24.5 |
| SE04022021_slice_42 | 0.794 | 0.175 | 0.131 | 0.801 | 131.8 | 79.1 | 0.601 | 174.4 | 129.2 | 0.584 | 48.8 | 24.4 |
| SE04022021_slice_43 | 0.797 | 0.173 | 0.129 | 0.804 | 129.2 | 77.9 | 0.605 | 171.7 | 127.5 | 0.587 | 48.9 | 24.4 |
| SE04022021_slice_44 | 0.795 | 0.174 | 0.132 | 0.802 | 127.8 | 78.7 | 0.601 | 173.5 | 130.1 | 0.585 | 49.1 | 24.7 |
| SE04022021_slice_45 | 0.787 | 0.181 | 0.139 | 0.794 | 131.7 | 83.1 | 0.598 | 179.9 | 136.7 | 0.582 | 49.9 | 25.5 |
| SE04022021_slice_46 | 0.787 | 0.177 | 0.135 | 0.795 | 130.9 | 82.1 | 0.597 | 175.6 | 133.4 | 0.586 | 49.8 | 25.0 |
| SE04022021_slice_47 | 0.782 | 0.191 | 0.143 | 0.789 | 149.6 | 89.4 | 0.593 | 189.7 | 140.6 | 0.578 | 50.5 | 25.5 |
| SE04022021_slice_48 | 0.775 | 0.211 | 0.151 | 0.783 | 174.3 | 97.1 | 0.590 | 210.4 | 148.8 | 0.570 | 55.5 | 27.4 |
| SE04022021_slice_49 | 0.766 | 0.213 | 0.149 | 0.773 | 181.6 | 98.3 | 0.581 | 212.7 | 146.8 | 0.561 | 60.3 | 29.6 |
| SE04022021_slice_50 | 0.766 | 0.208 | 0.147 | 0.774 | 173.5 | 95.4 | 0.587 | 207.4 | 145.3 | 0.562 | 60.8 | 30.2 |
| SE04022021_slice_51 | 0.773 | 0.203 | 0.144 | 0.781 | 166.3 | 92.0 | 0.593 | 202.2 | 142.5 | 0.558 | 59.1 | 29.6 |
| SE04022021_slice_52 | 0.776 | 0.200 | 0.143 | 0.783 | 161.1 | 89.8 | 0.591 | 199.1 | 141.4 | 0.552 | 58.6 | 29.3 |
| SE04022021_slice_53 | 0.778 | 0.197 | 0.141 | 0.785 | 157.4 | 87.9 | 0.592 | 196.0 | 139.5 | 0.551 | 57.8 | 29.0 |
| SE04022021_slice_54 | 0.784 | 0.194 | 0.138 | 0.791 | 156.0 | 85.9 | 0.600 | 193.3 | 136.4 | 0.555 | 57.4 | 28.3 |
| SE04022021_slice_55 | 0.778 | 0.199 | 0.143 | 0.785 | 158.1 | 87.8 | 0.594 | 198.8 | 141.2 | 0.551 | 57.6 | 28.4 |
| SE04022021_slice_56 | 0.772 | 0.199 | 0.142 | 0.780 | 158.6 | 87.9 | 0.588 | 198.7 | 140.9 | 0.544 | 58.1 | 28.6 |
| SE04022021_slice_57 | 0.765 | 0.205 | 0.145 | 0.773 | 165.9 | 90.9 | 0.582 | 204.2 | 143.6 | 0.540 | 58.3 | 29.2 |
| SE04022021_slice_58 | 0.762 | 0.207 | 0.147 | 0.770 | 167.8 | 92.1 | 0.580 | 206.6 | 145.4 | 0.532 | 58.5 | 29.9 |
| SE04022021_slice_59 | 0.754 | 0.205 | 0.145 | 0.762 | 164.8 | 90.7 | 0.568 | 204.1 | 144.0 | 0.517 | 59.6 | 31.0 |
| SE04022021_slice_60 | 0.756 | 0.201 | 0.143 | 0.763 | 159.8 | 88.0 | 0.569 | 200.3 | 141.5 | 0.512 | 59.2 | 31.2 |
| SE04022021_slice_61 | 0.761 | 0.199 | 0.142 | 0.769 | 155.7 | 86.0 | 0.578 | 198.7 | 140.8 | 0.509 | 58.0 | 30.8 |
| SE04022021_slice_62 | 0.771 | 0.197 | 0.140 | 0.779 | 152.2 | 83.5 | 0.586 | 196.8 | 138.8 | 0.502 | 56.8 | 30.1 |
| SE04022021_slice_63 | 0.781 | 0.194 | 0.136 | 0.788 | 149.2 | 80.5 | 0.591 | 193.4 | 135.1 | 0.494 | 55.8 | 29.5 |
| SE04022021_slice_64 | 0.788 | 0.193 | 0.134 | 0.796 | 146.4 | 77.8 | 0.597 | 192.0 | 133.1 | 0.494 | 54.6 | 29.0 |
| SE04022021_slice_65 | 0.794 | 0.192 | 0.134 | 0.802 | 144.7 | 76.5 | 0.602 | 191.8 | 132.6 | 0.490 | 54.3 | 29.0 |
| SE04022021_slice_66 | 0.796 | 0.189 | 0.131 | 0.804 | 141.1 | 74.5 | 0.606 | 188.5 | 130.2 | 0.490 | 54.2 | 29.4 |
| SE04022021_slice_67 | 0.792 | 0.185 | 0.129 | 0.800 | 138.2 | 73.7 | 0.600 | 184.1 | 127.9 | 0.483 | 54.9 | 30.7 |
| SE04022021_slice_68 | 0.791 | 0.187 | 0.131 | 0.799 | 138.1 | 74.1 | 0.601 | 186.0 | 129.5 | 0.474 | 54.9 | 31.2 |
| SE04022021_slice_69 | 0.772 | 0.178 | 0.126 | 0.780 | 133.9 | 72.8 | 0.580 | 177.6 | 124.6 | 0.463 | 56.8 | 33.3 |
| SE04022021_slice_70 | 0.765 | 0.179 | 0.128 | 0.774 | 131.3 | 72.6 | 0.578 | 178.7 | 126.6 | 0.458 | 57.5 | 33.9 |
| SE04022021_slice_71 | 0.768 | 0.187 | 0.133 | 0.776 | 131.8 | 73.3 | 0.585 | 186.3 | 132.0 | 0.458 | 57.3 | 33.7 |
| SE04022021_slice_72 | 0.769 | 0.191 | 0.135 | 0.777 | 131.1 | 73.1 | 0.585 | 190.3 | 134.4 | 0.449 | 57.1 | 33.6 |
| SE04022021_slice_73 | 0.767 | 0.196 | 0.138 | 0.776 | 133.0 | 74.0 | 0.585 | 195.2 | 137.1 | 0.442 | 57.5 | 33.7 |
| SE04022021_slice_74 | 0.768 | 0.195 | 0.138 | 0.776 | 132.4 | 73.2 | 0.583 | 194.9 | 136.3 | 0.438 | 57.7 | 33.6 |
| SE04022021_slice_75 | 0.773 | 0.196 | 0.137 | 0.781 | 132.0 | 72.0 | 0.587 | 195.4 | 135.5 | 0.436 | 56.7 | 33.0 |
| SE04022021_slice_76 | 0.771 | 0.194 | 0.135 | 0.780 | 130.2 | 70.7 | 0.585 | 193.2 | 133.7 | 0.434 | 56.5 | 32.8 |
| SE04022021_slice_77 | 0.763 | 0.190 | 0.132 | 0.771 | 130.5 | 69.8 | 0.578 | 189.0 | 130.3 | 0.430 | 57.5 | 33.5 |
| SE04022021_slice_78 | 0.767 | 0.197 | 0.136 | 0.776 | 135.5 | 71.8 | 0.585 | 196.7 | 134.2 | 0.430 | 56.4 | 32.8 |
| SE04022021_slice_79 | 0.772 | 0.190 | 0.130 | 0.781 | 134.0 | 69.3 | 0.586 | 189.6 | 128.6 | 0.427 | 57.2 | 33.0 |
| SE04022021_slice_80 | 0.773 | 0.190 | 0.130 | 0.782 | 131.8 | 69.1 | 0.587 | 189.1 | 128.7 | 0.425 | 57.1 | 33.0 |
| SE04022021_slice_81 | 0.766 | 0.189 | 0.130 | 0.775 | 130.8 | 68.9 | 0.578 | 188.0 | 128.4 | 0.422 | 58.7 | 33.8 |
| SE04022021_slice_82 | 0.764 | 0.191 | 0.132 | 0.773 | 131.0 | 69.6 | 0.575 | 190.1 | 130.1 | 0.419 | 59.3 | 34.1 |
| SE04022021_slice_83 | 0.759 | 0.189 | 0.131 | 0.768 | 127.7 | 68.8 | 0.571 | 188.7 | 129.7 | 0.418 | 59.5 | 34.3 |
| SE04022021_slice_84 | 0.749 | 0.188 | 0.131 | 0.758 | 125.9 | 68.6 | 0.563 | 186.9 | 128.9 | 0.417 | 60.3 | 35.0 |
| SE04022021_slice_85 | 0.736 | 0.188 | 0.132 | 0.745 | 126.6 | 69.5 | 0.553 | 187.2 | 129.6 | 0.412 | 61.2 | 36.0 |
| SE04022021_slice_86 | 0.702 | 0.197 | 0.139 | 0.711 | 133.7 | 75.2 | 0.525 | 195.8 | 136.7 | 0.397 | 63.1 | 39.0 |
| SE04022021_slice_87 | 0.724 | 0.185 | 0.129 | 0.734 | 128.5 | 69.4 | 0.537 | 183.8 | 126.6 | 0.402 | 61.4 | 36.6 |
4Γ3 grid: Rows show different image types (Original NATIVE, Reconstructed NATIVE, Original VENOUS, Generated VENOUS), Columns show windowing techniques (No Window, Lung Window, Mediastinum Window)