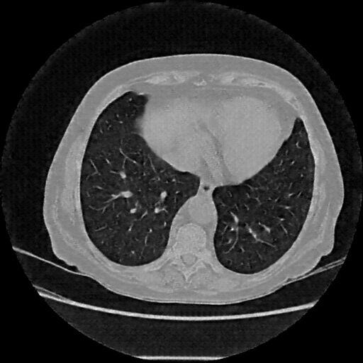
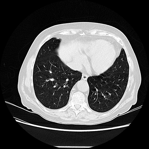
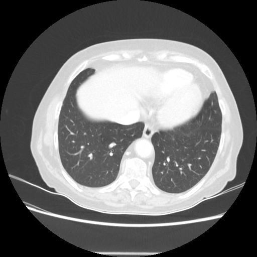
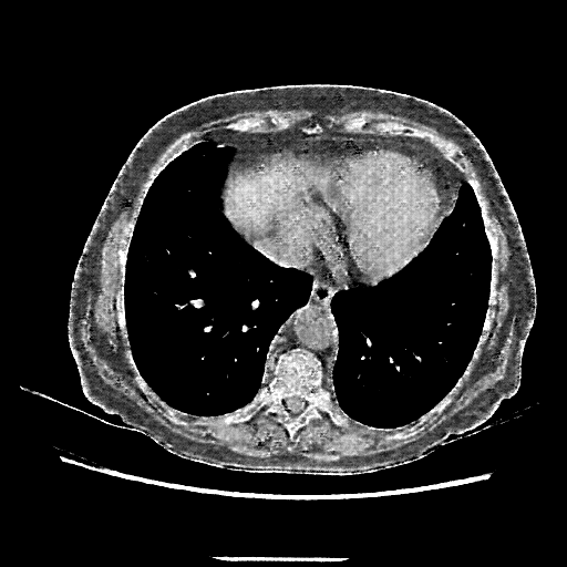
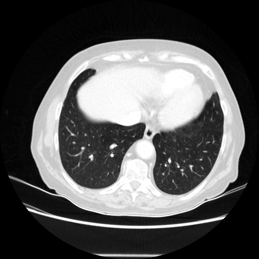
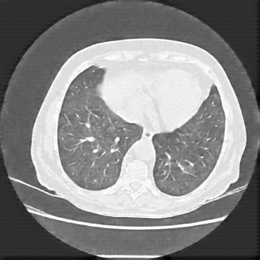
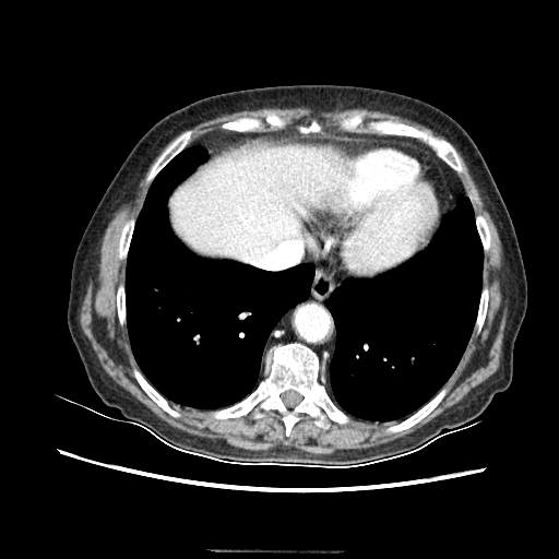
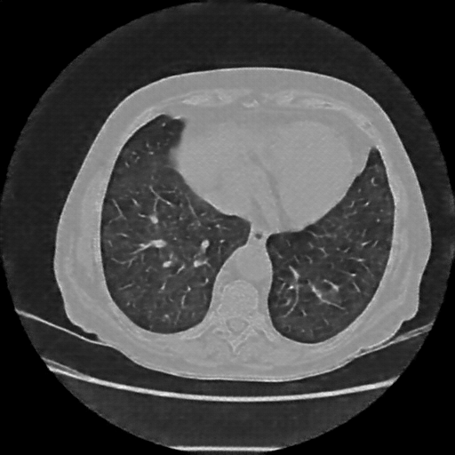
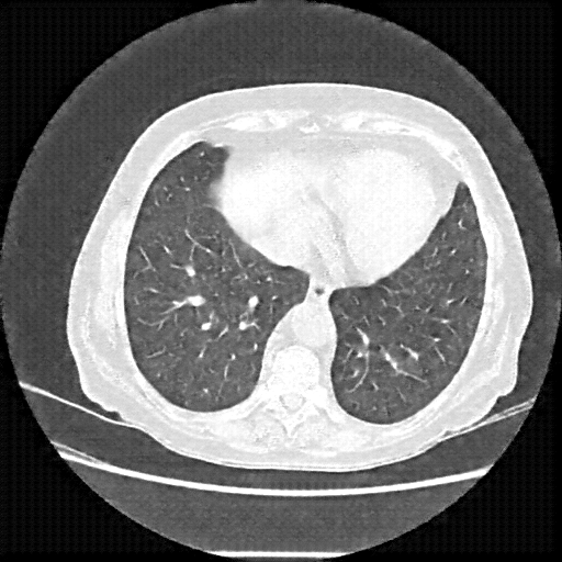
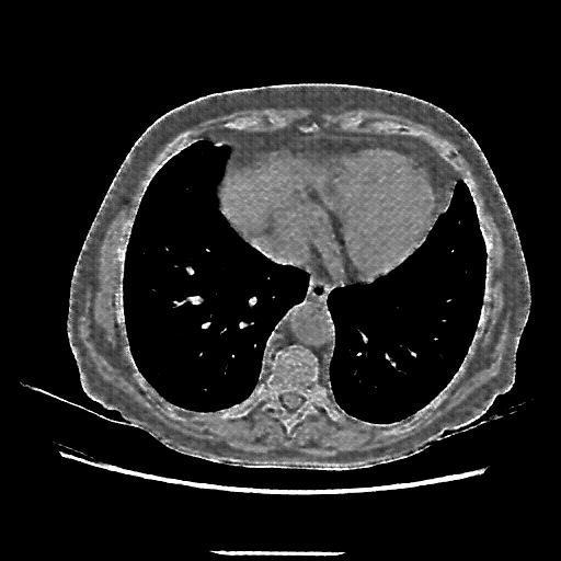
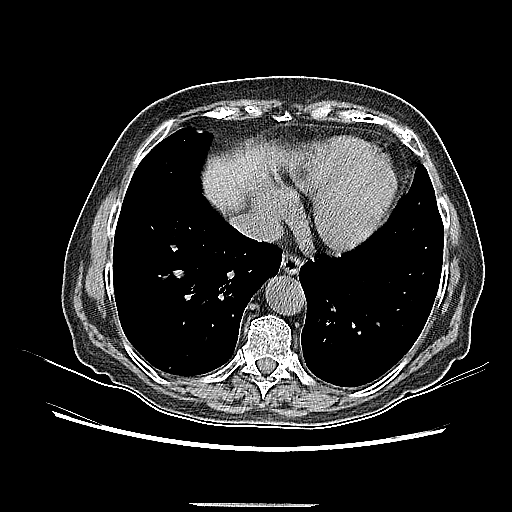
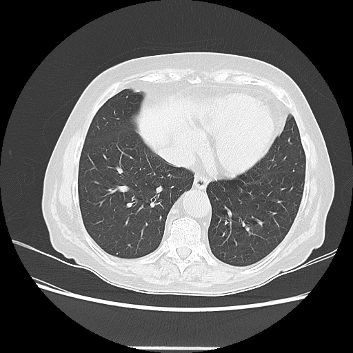
Slice 70 Targeting Evaluation
Patient ID: BC23122020
Model: cytran
Slice: Slice_70
Slice Thickness: 2.5mm
Conversion: NATIVE β VENOUS
Contains all 4 metric datasets: Network-Normalized, Hounsfield Units, Lung Window, and Mediastinum Window
| Slice ID | SSIM | RMSE | MAE | HU SSIM | HU RMSE | HU MAE | Lung SSIM | Lung RMSE | Lung MAE | Mediastinum SSIM | Mediastinum RMSE | Mediastinum MAE |
|---|---|---|---|---|---|---|---|---|---|---|---|---|
| BC23122020_slice_0 | 0.806 | 0.122 | 0.095 | 0.812 | 103.2 | 66.6 | 0.606 | 118.1 | 90.6 | 0.634 | 51.1 | 24.1 |
| BC23122020_slice_1 | 0.800 | 0.124 | 0.099 | 0.805 | 103.8 | 69.0 | 0.600 | 120.5 | 94.6 | 0.629 | 52.2 | 24.7 |
| BC23122020_slice_2 | 0.807 | 0.128 | 0.103 | 0.812 | 103.7 | 70.2 | 0.613 | 124.3 | 98.9 | 0.630 | 51.8 | 24.5 |
| BC23122020_slice_3 | 0.817 | 0.133 | 0.108 | 0.822 | 108.5 | 74.0 | 0.624 | 128.9 | 103.5 | 0.635 | 51.6 | 23.9 |
| BC23122020_slice_4 | 0.819 | 0.127 | 0.102 | 0.823 | 105.0 | 70.3 | 0.624 | 123.7 | 98.2 | 0.637 | 50.3 | 23.1 |
| BC23122020_slice_5 | 0.815 | 0.128 | 0.102 | 0.819 | 105.1 | 70.0 | 0.623 | 124.6 | 98.6 | 0.636 | 50.3 | 23.0 |
| BC23122020_slice_6 | 0.816 | 0.122 | 0.095 | 0.821 | 102.6 | 66.5 | 0.622 | 117.8 | 91.3 | 0.645 | 49.9 | 22.6 |
| BC23122020_slice_7 | 0.814 | 0.123 | 0.096 | 0.819 | 103.2 | 66.6 | 0.620 | 119.0 | 92.1 | 0.645 | 50.7 | 22.8 |
| BC23122020_slice_8 | 0.808 | 0.123 | 0.096 | 0.813 | 104.6 | 67.0 | 0.612 | 119.5 | 92.0 | 0.644 | 51.5 | 23.1 |
| BC23122020_slice_9 | 0.805 | 0.121 | 0.093 | 0.810 | 105.4 | 66.6 | 0.604 | 117.3 | 89.0 | 0.644 | 51.8 | 23.2 |
| BC23122020_slice_10 | 0.803 | 0.123 | 0.093 | 0.808 | 107.1 | 67.3 | 0.601 | 119.0 | 89.9 | 0.645 | 52.2 | 23.2 |
| BC23122020_slice_11 | 0.808 | 0.123 | 0.094 | 0.813 | 106.6 | 66.9 | 0.605 | 119.7 | 90.6 | 0.646 | 51.3 | 22.7 |
| BC23122020_slice_12 | 0.818 | 0.130 | 0.101 | 0.823 | 110.0 | 70.3 | 0.617 | 126.9 | 97.8 | 0.650 | 50.0 | 21.8 |
| BC23122020_slice_13 | 0.813 | 0.129 | 0.099 | 0.817 | 110.8 | 69.6 | 0.614 | 126.2 | 95.8 | 0.653 | 51.0 | 22.1 |
| BC23122020_slice_14 | 0.812 | 0.130 | 0.098 | 0.817 | 112.7 | 70.0 | 0.610 | 126.5 | 95.0 | 0.653 | 51.5 | 22.3 |
| BC23122020_slice_15 | 0.814 | 0.134 | 0.102 | 0.819 | 116.1 | 71.9 | 0.613 | 130.9 | 98.5 | 0.655 | 50.7 | 21.9 |
| BC23122020_slice_16 | 0.812 | 0.131 | 0.096 | 0.817 | 115.5 | 70.0 | 0.606 | 127.2 | 93.3 | 0.655 | 50.7 | 21.9 |
| BC23122020_slice_17 | 0.807 | 0.127 | 0.092 | 0.813 | 114.8 | 68.6 | 0.598 | 123.2 | 88.4 | 0.653 | 51.7 | 22.3 |
| BC23122020_slice_18 | 0.810 | 0.134 | 0.100 | 0.814 | 118.5 | 72.5 | 0.606 | 131.1 | 97.2 | 0.656 | 52.0 | 22.2 |
| BC23122020_slice_19 | 0.810 | 0.132 | 0.096 | 0.816 | 118.4 | 70.7 | 0.605 | 128.9 | 93.2 | 0.657 | 51.5 | 21.9 |
| BC23122020_slice_20 | 0.812 | 0.126 | 0.088 | 0.818 | 116.1 | 67.3 | 0.601 | 122.6 | 85.1 | 0.662 | 50.8 | 21.5 |
| BC23122020_slice_21 | 0.810 | 0.129 | 0.090 | 0.816 | 118.2 | 68.2 | 0.599 | 125.5 | 87.2 | 0.659 | 50.9 | 21.5 |
| BC23122020_slice_22 | 0.812 | 0.130 | 0.091 | 0.818 | 117.8 | 67.7 | 0.600 | 126.2 | 87.8 | 0.662 | 50.4 | 21.2 |
| BC23122020_slice_23 | 0.816 | 0.133 | 0.095 | 0.821 | 118.8 | 69.4 | 0.607 | 129.7 | 92.3 | 0.666 | 49.5 | 20.9 |
| BC23122020_slice_24 | 0.815 | 0.133 | 0.096 | 0.820 | 118.5 | 69.4 | 0.605 | 130.1 | 93.0 | 0.668 | 49.6 | 20.8 |
| BC23122020_slice_25 | 0.815 | 0.140 | 0.104 | 0.819 | 121.7 | 73.4 | 0.613 | 137.0 | 101.2 | 0.668 | 49.8 | 21.0 |
| BC23122020_slice_26 | 0.809 | 0.138 | 0.101 | 0.814 | 121.9 | 72.4 | 0.600 | 134.7 | 97.8 | 0.664 | 50.6 | 21.2 |
| BC23122020_slice_27 | 0.803 | 0.135 | 0.094 | 0.809 | 122.6 | 69.9 | 0.589 | 131.3 | 91.0 | 0.657 | 50.5 | 21.3 |
| BC23122020_slice_28 | 0.799 | 0.134 | 0.092 | 0.805 | 124.0 | 69.8 | 0.584 | 130.6 | 88.6 | 0.656 | 51.2 | 21.3 |
| BC23122020_slice_29 | 0.796 | 0.136 | 0.092 | 0.803 | 127.1 | 70.8 | 0.581 | 132.9 | 88.5 | 0.656 | 51.2 | 21.3 |
| BC23122020_slice_30 | 0.791 | 0.142 | 0.095 | 0.797 | 132.5 | 72.9 | 0.577 | 139.3 | 92.2 | 0.654 | 52.4 | 21.7 |
| BC23122020_slice_31 | 0.782 | 0.147 | 0.097 | 0.788 | 137.5 | 74.7 | 0.567 | 143.9 | 93.9 | 0.648 | 54.5 | 22.8 |
| BC23122020_slice_32 | 0.787 | 0.152 | 0.104 | 0.793 | 140.3 | 78.6 | 0.577 | 149.3 | 101.2 | 0.651 | 55.3 | 23.1 |
| BC23122020_slice_33 | 0.783 | 0.153 | 0.105 | 0.789 | 140.3 | 78.3 | 0.574 | 150.4 | 102.3 | 0.650 | 55.9 | 23.5 |
| BC23122020_slice_34 | 0.787 | 0.161 | 0.116 | 0.792 | 144.2 | 84.1 | 0.585 | 158.5 | 113.5 | 0.654 | 55.8 | 23.6 |
| BC23122020_slice_35 | 0.783 | 0.159 | 0.107 | 0.789 | 146.0 | 80.2 | 0.574 | 155.4 | 104.4 | 0.650 | 56.4 | 23.8 |
| BC23122020_slice_36 | 0.778 | 0.158 | 0.101 | 0.785 | 148.4 | 78.5 | 0.565 | 154.5 | 98.5 | 0.646 | 57.3 | 24.3 |
| BC23122020_slice_37 | 0.769 | 0.160 | 0.103 | 0.775 | 150.3 | 80.2 | 0.553 | 156.3 | 100.0 | 0.644 | 58.5 | 24.9 |
| BC23122020_slice_38 | 0.756 | 0.160 | 0.099 | 0.764 | 152.2 | 79.1 | 0.541 | 156.7 | 96.4 | 0.639 | 59.7 | 25.8 |
| BC23122020_slice_39 | 0.755 | 0.158 | 0.099 | 0.762 | 150.6 | 78.4 | 0.541 | 155.4 | 96.0 | 0.636 | 59.7 | 25.9 |
| BC23122020_slice_40 | 0.760 | 0.160 | 0.104 | 0.767 | 149.2 | 79.8 | 0.550 | 156.8 | 101.5 | 0.638 | 58.5 | 25.3 |
| BC23122020_slice_41 | 0.759 | 0.162 | 0.106 | 0.766 | 151.5 | 81.1 | 0.550 | 159.5 | 103.5 | 0.636 | 59.0 | 25.7 |
| BC23122020_slice_42 | 0.763 | 0.164 | 0.110 | 0.769 | 152.4 | 83.2 | 0.553 | 161.8 | 107.1 | 0.637 | 58.1 | 25.4 |
| BC23122020_slice_43 | 0.759 | 0.162 | 0.104 | 0.766 | 153.5 | 81.7 | 0.543 | 159.6 | 101.6 | 0.638 | 58.9 | 25.7 |
| BC23122020_slice_44 | 0.766 | 0.163 | 0.104 | 0.772 | 153.6 | 80.6 | 0.551 | 160.2 | 101.2 | 0.641 | 58.4 | 25.3 |
| BC23122020_slice_45 | 0.761 | 0.165 | 0.110 | 0.767 | 152.9 | 83.3 | 0.551 | 162.4 | 107.7 | 0.638 | 59.0 | 25.8 |
| BC23122020_slice_46 | 0.757 | 0.165 | 0.113 | 0.763 | 151.7 | 84.3 | 0.550 | 162.6 | 110.5 | 0.636 | 59.0 | 26.1 |
| BC23122020_slice_47 | 0.754 | 0.167 | 0.114 | 0.760 | 152.7 | 83.9 | 0.548 | 164.7 | 111.3 | 0.634 | 59.0 | 26.3 |
| BC23122020_slice_48 | 0.751 | 0.166 | 0.112 | 0.757 | 153.0 | 83.4 | 0.547 | 163.4 | 108.6 | 0.635 | 60.0 | 26.9 |
| BC23122020_slice_49 | 0.750 | 0.173 | 0.116 | 0.755 | 159.3 | 86.1 | 0.550 | 170.4 | 113.0 | 0.635 | 61.4 | 27.5 |
| BC23122020_slice_50 | 0.750 | 0.174 | 0.117 | 0.755 | 160.7 | 86.8 | 0.554 | 172.3 | 114.3 | 0.634 | 61.7 | 27.7 |
| BC23122020_slice_51 | 0.759 | 0.173 | 0.116 | 0.765 | 160.2 | 87.6 | 0.558 | 170.5 | 113.6 | 0.634 | 60.8 | 27.0 |
| BC23122020_slice_52 | 0.761 | 0.172 | 0.114 | 0.767 | 160.5 | 86.8 | 0.561 | 169.8 | 111.5 | 0.640 | 60.6 | 26.6 |
| BC23122020_slice_53 | 0.762 | 0.169 | 0.113 | 0.768 | 157.7 | 86.1 | 0.559 | 166.7 | 110.7 | 0.635 | 61.1 | 26.7 |
| BC23122020_slice_54 | 0.761 | 0.165 | 0.110 | 0.766 | 155.0 | 85.3 | 0.554 | 162.0 | 106.9 | 0.633 | 59.9 | 26.3 |
| BC23122020_slice_55 | 0.757 | 0.165 | 0.109 | 0.763 | 155.1 | 84.6 | 0.550 | 161.5 | 105.7 | 0.629 | 60.2 | 26.6 |
| BC23122020_slice_56 | 0.758 | 0.166 | 0.109 | 0.764 | 157.6 | 85.5 | 0.547 | 162.8 | 105.1 | 0.629 | 60.6 | 26.7 |
| BC23122020_slice_57 | 0.754 | 0.169 | 0.112 | 0.759 | 159.1 | 87.4 | 0.546 | 165.5 | 109.0 | 0.626 | 62.2 | 27.2 |
| BC23122020_slice_58 | 0.752 | 0.165 | 0.099 | 0.760 | 160.5 | 83.8 | 0.534 | 160.8 | 95.3 | 0.644 | 59.7 | 25.5 |
| BC23122020_slice_59 | 0.755 | 0.160 | 0.090 | 0.764 | 157.5 | 78.7 | 0.540 | 155.7 | 84.6 | 0.653 | 59.4 | 25.1 |
| BC23122020_slice_60 | 0.754 | 0.162 | 0.090 | 0.764 | 159.3 | 79.2 | 0.537 | 156.8 | 84.0 | 0.655 | 59.3 | 24.9 |
| BC23122020_slice_61 | 0.754 | 0.163 | 0.091 | 0.763 | 159.9 | 80.6 | 0.539 | 156.9 | 85.1 | 0.661 | 58.7 | 24.4 |
| BC23122020_slice_62 | 0.746 | 0.166 | 0.089 | 0.757 | 163.3 | 80.0 | 0.542 | 159.1 | 81.5 | 0.661 | 59.2 | 24.4 |
| BC23122020_slice_63 | 0.751 | 0.165 | 0.088 | 0.763 | 162.4 | 78.7 | 0.551 | 158.4 | 79.4 | 0.665 | 57.6 | 23.4 |
| BC23122020_slice_64 | 0.757 | 0.166 | 0.092 | 0.767 | 162.9 | 82.2 | 0.545 | 159.4 | 85.6 | 0.668 | 56.3 | 22.8 |
| BC23122020_slice_65 | 0.751 | 0.169 | 0.093 | 0.761 | 166.5 | 83.2 | 0.546 | 162.7 | 84.9 | 0.668 | 56.6 | 23.1 |
| BC23122020_slice_66 | 0.743 | 0.177 | 0.094 | 0.756 | 174.2 | 83.8 | 0.555 | 169.9 | 83.2 | 0.661 | 59.5 | 24.3 |
| BC23122020_slice_67 | 0.730 | 0.187 | 0.099 | 0.745 | 182.8 | 86.3 | 0.555 | 177.9 | 84.2 | 0.655 | 63.0 | 25.7 |
| BC23122020_slice_68 | 0.724 | 0.188 | 0.099 | 0.738 | 184.7 | 88.0 | 0.550 | 179.7 | 86.2 | 0.654 | 66.3 | 27.0 |
| BC23122020_slice_69 | 0.713 | 0.186 | 0.105 | 0.722 | 183.9 | 94.3 | 0.511 | 179.7 | 97.5 | 0.645 | 67.8 | 28.4 |
| BC23122020_slice_70 | 0.727 | 0.182 | 0.102 | 0.736 | 179.5 | 91.4 | 0.521 | 175.6 | 95.4 | 0.650 | 66.8 | 27.5 |
| BC23122020_slice_71 | 0.734 | 0.183 | 0.106 | 0.742 | 179.9 | 92.8 | 0.526 | 177.6 | 100.3 | 0.653 | 65.9 | 27.1 |
| BC23122020_slice_72 | 0.722 | 0.188 | 0.111 | 0.729 | 184.8 | 97.2 | 0.516 | 183.1 | 106.0 | 0.644 | 67.3 | 28.6 |
| BC23122020_slice_73 | 0.738 | 0.191 | 0.112 | 0.745 | 186.9 | 96.2 | 0.529 | 185.6 | 107.0 | 0.643 | 66.0 | 27.3 |
| BC23122020_slice_74 | 0.748 | 0.194 | 0.112 | 0.755 | 190.1 | 95.5 | 0.534 | 189.5 | 107.8 | 0.637 | 65.8 | 27.0 |
| BC23122020_slice_75 | 0.752 | 0.195 | 0.108 | 0.760 | 191.0 | 92.5 | 0.535 | 190.4 | 103.6 | 0.629 | 65.4 | 26.8 |
| BC23122020_slice_76 | 0.753 | 0.195 | 0.108 | 0.760 | 191.2 | 92.0 | 0.534 | 191.0 | 104.2 | 0.620 | 66.4 | 27.3 |
| BC23122020_slice_77 | 0.758 | 0.198 | 0.113 | 0.763 | 191.7 | 92.9 | 0.542 | 193.8 | 109.6 | 0.611 | 67.1 | 27.8 |
| BC23122020_slice_78 | 0.755 | 0.200 | 0.113 | 0.761 | 194.5 | 92.9 | 0.537 | 197.5 | 110.6 | 0.603 | 67.5 | 28.4 |
| BC23122020_slice_79 | 0.753 | 0.201 | 0.114 | 0.759 | 195.7 | 94.0 | 0.531 | 198.3 | 111.2 | 0.598 | 68.0 | 28.8 |
| BC23122020_slice_80 | 0.758 | 0.201 | 0.116 | 0.764 | 194.5 | 94.0 | 0.538 | 198.3 | 113.1 | 0.594 | 68.6 | 29.3 |
| BC23122020_slice_81 | 0.754 | 0.201 | 0.116 | 0.760 | 193.7 | 93.9 | 0.533 | 198.0 | 113.9 | 0.585 | 69.2 | 30.2 |
| BC23122020_slice_82 | 0.757 | 0.200 | 0.118 | 0.763 | 191.4 | 93.5 | 0.537 | 197.3 | 116.1 | 0.582 | 68.7 | 30.3 |
| BC23122020_slice_83 | 0.751 | 0.200 | 0.122 | 0.755 | 190.3 | 94.6 | 0.536 | 198.1 | 120.1 | 0.576 | 69.1 | 31.2 |
| BC23122020_slice_84 | 0.746 | 0.199 | 0.122 | 0.750 | 188.6 | 94.1 | 0.534 | 196.8 | 120.0 | 0.572 | 69.2 | 31.7 |
| BC23122020_slice_85 | 0.752 | 0.197 | 0.123 | 0.757 | 186.2 | 93.8 | 0.538 | 195.2 | 120.8 | 0.570 | 67.9 | 31.3 |
| BC23122020_slice_86 | 0.744 | 0.194 | 0.120 | 0.748 | 183.4 | 92.2 | 0.529 | 191.6 | 117.9 | 0.567 | 67.8 | 31.8 |
| BC23122020_slice_87 | 0.741 | 0.192 | 0.122 | 0.746 | 179.2 | 92.1 | 0.530 | 189.5 | 120.5 | 0.564 | 67.4 | 31.9 |
| BC23122020_slice_88 | 0.742 | 0.190 | 0.123 | 0.747 | 176.7 | 91.5 | 0.531 | 187.8 | 120.7 | 0.562 | 66.2 | 31.6 |
| BC23122020_slice_89 | 0.744 | 0.188 | 0.123 | 0.748 | 173.7 | 90.5 | 0.531 | 185.8 | 120.6 | 0.559 | 65.7 | 31.4 |
| BC23122020_slice_90 | 0.751 | 0.187 | 0.125 | 0.755 | 170.9 | 90.3 | 0.544 | 185.1 | 122.9 | 0.561 | 65.3 | 31.2 |
| BC23122020_slice_91 | 0.747 | 0.183 | 0.121 | 0.751 | 167.1 | 87.9 | 0.537 | 180.2 | 119.2 | 0.559 | 65.3 | 31.5 |
| BC23122020_slice_92 | 0.749 | 0.180 | 0.120 | 0.753 | 163.5 | 87.0 | 0.539 | 177.2 | 118.3 | 0.562 | 64.7 | 31.3 |
| BC23122020_slice_93 | 0.728 | 0.175 | 0.116 | 0.733 | 160.8 | 85.7 | 0.520 | 172.6 | 114.4 | 0.553 | 66.8 | 33.1 |
| BC23122020_slice_94 | 0.730 | 0.174 | 0.119 | 0.735 | 158.4 | 85.9 | 0.528 | 172.0 | 116.6 | 0.555 | 66.4 | 32.8 |
| BC23122020_slice_95 | 0.719 | 0.171 | 0.117 | 0.724 | 156.1 | 85.4 | 0.518 | 168.9 | 114.8 | 0.553 | 68.4 | 34.1 |
| BC23122020_slice_96 | 0.714 | 0.170 | 0.117 | 0.719 | 154.7 | 85.3 | 0.513 | 167.4 | 114.7 | 0.553 | 68.4 | 34.4 |
| BC23122020_slice_97 | 0.714 | 0.169 | 0.117 | 0.718 | 153.1 | 84.8 | 0.515 | 166.6 | 114.9 | 0.554 | 67.5 | 34.1 |
| BC23122020_slice_98 | 0.721 | 0.167 | 0.116 | 0.726 | 150.7 | 84.1 | 0.520 | 164.2 | 114.1 | 0.556 | 66.5 | 33.4 |
| BC23122020_slice_99 | 0.724 | 0.166 | 0.116 | 0.728 | 148.5 | 83.6 | 0.519 | 162.9 | 114.3 | 0.553 | 65.3 | 33.0 |
| BC23122020_slice_100 | 0.737 | 0.165 | 0.115 | 0.741 | 147.5 | 82.5 | 0.529 | 161.8 | 113.3 | 0.557 | 64.0 | 31.8 |
| BC23122020_slice_101 | 0.744 | 0.167 | 0.119 | 0.748 | 147.3 | 84.1 | 0.538 | 164.3 | 117.4 | 0.561 | 63.0 | 31.1 |
| BC23122020_slice_102 | 0.746 | 0.164 | 0.118 | 0.750 | 144.5 | 83.1 | 0.539 | 161.7 | 116.1 | 0.568 | 62.5 | 30.8 |
| BC23122020_slice_103 | 0.743 | 0.156 | 0.110 | 0.747 | 139.3 | 79.3 | 0.531 | 152.9 | 108.0 | 0.569 | 62.1 | 30.7 |
| BC23122020_slice_104 | 0.754 | 0.159 | 0.115 | 0.757 | 138.6 | 79.9 | 0.547 | 155.9 | 112.6 | 0.575 | 60.7 | 29.7 |
| BC23122020_slice_105 | 0.758 | 0.153 | 0.108 | 0.762 | 135.2 | 76.4 | 0.545 | 148.9 | 105.4 | 0.574 | 60.0 | 29.3 |
| BC23122020_slice_106 | 0.766 | 0.151 | 0.106 | 0.770 | 133.5 | 75.1 | 0.552 | 146.6 | 103.4 | 0.577 | 59.2 | 28.6 |
4Γ3 grid: Rows show different image types (Original NATIVE, Reconstructed NATIVE, Original VENOUS, Generated VENOUS), Columns show windowing techniques (No Window, Lung Window, Mediastinum Window)