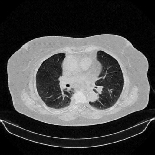
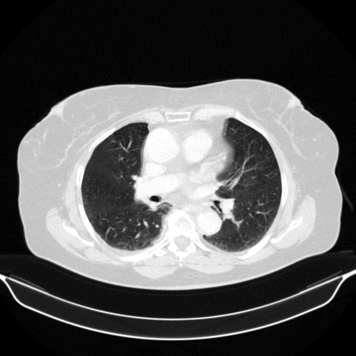
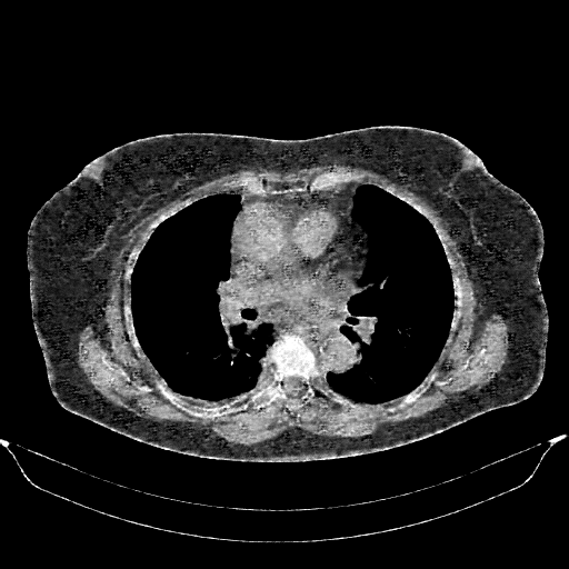
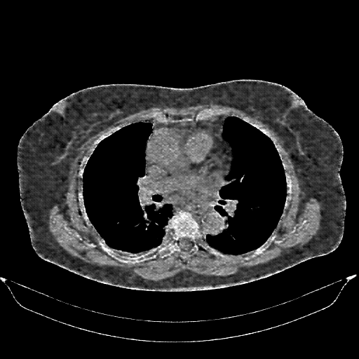
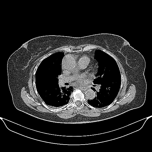
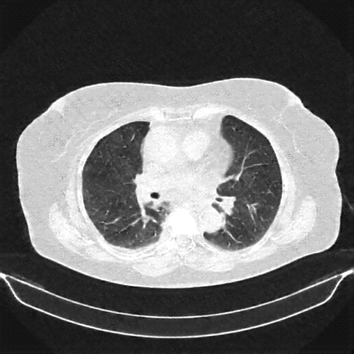
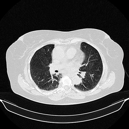
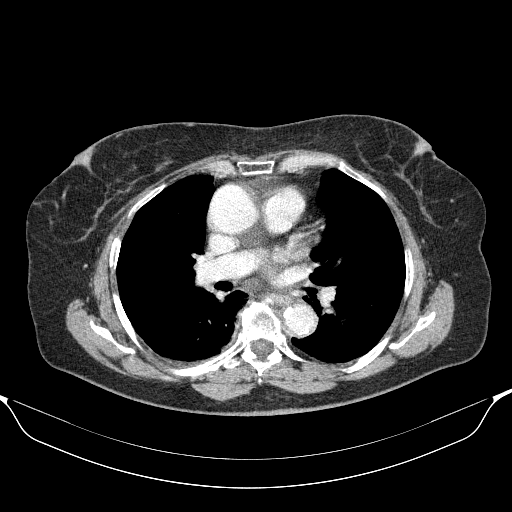
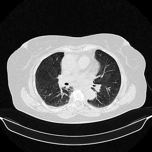
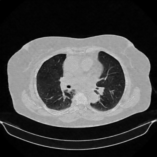
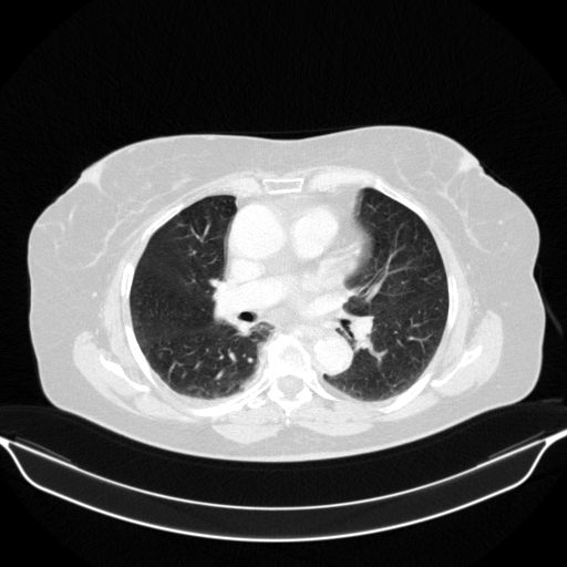
Slice 70 Targeting Evaluation
Patient ID: ME19112020
Model: cytran
Slice: Slice_70
Slice Thickness: 2.5mm
Conversion: NATIVE β VENOUS
Contains all 4 metric datasets: Network-Normalized, Hounsfield Units, Lung Window, and Mediastinum Window
| Slice ID | SSIM | RMSE | MAE | HU SSIM | HU RMSE | HU MAE | Lung SSIM | Lung RMSE | Lung MAE | Mediastinum SSIM | Mediastinum RMSE | Mediastinum MAE |
|---|---|---|---|---|---|---|---|---|---|---|---|---|
| ME19112020_slice_0 | 0.859 | 0.080 | 0.039 | 0.860 | 79.9 | 38.7 | 0.695 | 77.2 | 37.1 | 0.649 | 47.6 | 21.1 |
| ME19112020_slice_1 | 0.855 | 0.079 | 0.040 | 0.856 | 78.4 | 39.0 | 0.695 | 75.1 | 37.1 | 0.648 | 48.8 | 21.9 |
| ME19112020_slice_2 | 0.862 | 0.079 | 0.039 | 0.863 | 78.7 | 38.3 | 0.700 | 76.1 | 36.8 | 0.651 | 47.7 | 21.0 |
| ME19112020_slice_3 | 0.864 | 0.083 | 0.040 | 0.865 | 82.6 | 38.8 | 0.699 | 80.5 | 37.6 | 0.653 | 46.6 | 20.3 |
| ME19112020_slice_4 | 0.863 | 0.084 | 0.040 | 0.864 | 83.8 | 39.2 | 0.701 | 81.7 | 37.9 | 0.654 | 46.4 | 20.3 |
| ME19112020_slice_5 | 0.864 | 0.085 | 0.040 | 0.865 | 84.6 | 39.5 | 0.700 | 82.4 | 38.3 | 0.654 | 46.7 | 20.4 |
| ME19112020_slice_6 | 0.869 | 0.084 | 0.040 | 0.870 | 84.0 | 39.3 | 0.704 | 81.7 | 37.8 | 0.657 | 46.3 | 20.2 |
| ME19112020_slice_7 | 0.868 | 0.086 | 0.041 | 0.870 | 85.7 | 39.7 | 0.705 | 83.4 | 38.4 | 0.656 | 46.4 | 20.2 |
| ME19112020_slice_8 | 0.867 | 0.086 | 0.041 | 0.869 | 86.0 | 40.0 | 0.707 | 83.7 | 38.4 | 0.656 | 46.5 | 20.3 |
| ME19112020_slice_9 | 0.867 | 0.086 | 0.041 | 0.868 | 85.9 | 40.0 | 0.711 | 83.5 | 38.4 | 0.659 | 46.6 | 20.4 |
| ME19112020_slice_10 | 0.867 | 0.086 | 0.041 | 0.868 | 85.7 | 40.1 | 0.709 | 83.3 | 38.6 | 0.659 | 46.6 | 20.3 |
| ME19112020_slice_11 | 0.864 | 0.087 | 0.042 | 0.865 | 87.1 | 40.9 | 0.706 | 84.9 | 39.4 | 0.660 | 46.8 | 20.4 |
| ME19112020_slice_12 | 0.864 | 0.088 | 0.042 | 0.865 | 87.7 | 40.9 | 0.704 | 85.7 | 39.8 | 0.661 | 46.7 | 20.2 |
| ME19112020_slice_13 | 0.862 | 0.090 | 0.042 | 0.863 | 90.3 | 41.3 | 0.702 | 88.4 | 40.2 | 0.662 | 47.0 | 20.1 |
| ME19112020_slice_14 | 0.864 | 0.093 | 0.042 | 0.865 | 92.5 | 41.6 | 0.704 | 90.9 | 40.6 | 0.666 | 46.5 | 19.7 |
| ME19112020_slice_15 | 0.860 | 0.094 | 0.043 | 0.861 | 93.9 | 42.7 | 0.699 | 92.2 | 41.4 | 0.659 | 47.5 | 20.4 |
| ME19112020_slice_16 | 0.856 | 0.096 | 0.044 | 0.858 | 95.9 | 43.5 | 0.695 | 93.9 | 42.3 | 0.660 | 48.3 | 20.6 |
| ME19112020_slice_17 | 0.855 | 0.098 | 0.045 | 0.857 | 97.5 | 43.8 | 0.694 | 95.5 | 42.7 | 0.664 | 47.8 | 20.3 |
| ME19112020_slice_18 | 0.856 | 0.099 | 0.045 | 0.857 | 98.7 | 44.1 | 0.697 | 97.0 | 43.0 | 0.665 | 47.7 | 20.1 |
| ME19112020_slice_19 | 0.852 | 0.101 | 0.046 | 0.853 | 101.4 | 45.2 | 0.696 | 99.6 | 44.0 | 0.666 | 47.9 | 20.4 |
| ME19112020_slice_20 | 0.852 | 0.102 | 0.046 | 0.853 | 102.3 | 45.1 | 0.696 | 100.6 | 44.0 | 0.667 | 47.7 | 20.1 |
| ME19112020_slice_21 | 0.850 | 0.103 | 0.046 | 0.851 | 103.4 | 45.4 | 0.692 | 101.8 | 44.5 | 0.666 | 47.2 | 19.9 |
| ME19112020_slice_22 | 0.851 | 0.104 | 0.046 | 0.851 | 104.3 | 45.7 | 0.693 | 102.8 | 44.7 | 0.667 | 47.3 | 19.8 |
| ME19112020_slice_23 | 0.848 | 0.106 | 0.047 | 0.849 | 105.7 | 46.6 | 0.693 | 104.0 | 45.5 | 0.668 | 48.3 | 20.2 |
| ME19112020_slice_24 | 0.846 | 0.106 | 0.047 | 0.847 | 105.9 | 46.7 | 0.688 | 104.2 | 45.8 | 0.666 | 48.4 | 20.2 |
| ME19112020_slice_25 | 0.846 | 0.106 | 0.047 | 0.847 | 106.3 | 46.7 | 0.691 | 104.7 | 45.9 | 0.672 | 47.8 | 19.9 |
| ME19112020_slice_26 | 0.848 | 0.106 | 0.047 | 0.849 | 105.5 | 46.2 | 0.691 | 104.1 | 45.4 | 0.673 | 47.0 | 19.4 |
| ME19112020_slice_27 | 0.848 | 0.108 | 0.048 | 0.849 | 108.0 | 46.9 | 0.690 | 106.5 | 46.2 | 0.674 | 47.6 | 19.3 |
| ME19112020_slice_28 | 0.854 | 0.107 | 0.047 | 0.856 | 107.1 | 46.4 | 0.694 | 105.6 | 45.8 | 0.677 | 46.9 | 18.7 |
| ME19112020_slice_29 | 0.857 | 0.107 | 0.047 | 0.859 | 106.4 | 46.1 | 0.698 | 104.8 | 45.5 | 0.681 | 46.4 | 18.4 |
| ME19112020_slice_30 | 0.855 | 0.106 | 0.047 | 0.856 | 106.0 | 46.3 | 0.696 | 104.3 | 45.5 | 0.673 | 46.6 | 18.8 |
| ME19112020_slice_31 | 0.853 | 0.107 | 0.047 | 0.854 | 107.2 | 46.7 | 0.697 | 105.5 | 45.9 | 0.671 | 47.2 | 19.2 |
| ME19112020_slice_32 | 0.854 | 0.107 | 0.047 | 0.855 | 107.1 | 46.5 | 0.695 | 105.8 | 45.8 | 0.671 | 46.3 | 18.8 |
| ME19112020_slice_33 | 0.853 | 0.107 | 0.048 | 0.854 | 107.1 | 46.8 | 0.692 | 106.0 | 46.3 | 0.671 | 45.5 | 18.7 |
| ME19112020_slice_34 | 0.845 | 0.108 | 0.049 | 0.846 | 107.9 | 48.5 | 0.685 | 107.0 | 48.3 | 0.665 | 46.4 | 19.3 |
| ME19112020_slice_35 | 0.843 | 0.110 | 0.051 | 0.844 | 110.2 | 50.3 | 0.683 | 109.4 | 50.3 | 0.666 | 46.0 | 19.1 |
| ME19112020_slice_36 | 0.850 | 0.107 | 0.048 | 0.851 | 107.1 | 47.6 | 0.691 | 106.2 | 47.6 | 0.674 | 45.0 | 18.5 |
| ME19112020_slice_37 | 0.853 | 0.107 | 0.047 | 0.853 | 106.8 | 46.7 | 0.695 | 106.0 | 46.8 | 0.677 | 44.3 | 18.0 |
| ME19112020_slice_38 | 0.855 | 0.106 | 0.047 | 0.856 | 106.3 | 46.4 | 0.695 | 105.4 | 46.6 | 0.674 | 44.5 | 18.0 |
| ME19112020_slice_39 | 0.854 | 0.107 | 0.047 | 0.855 | 106.5 | 46.6 | 0.696 | 105.6 | 46.7 | 0.674 | 44.8 | 18.1 |
| ME19112020_slice_40 | 0.853 | 0.108 | 0.048 | 0.854 | 107.6 | 47.0 | 0.697 | 106.7 | 47.1 | 0.678 | 44.9 | 18.1 |
| ME19112020_slice_41 | 0.859 | 0.109 | 0.048 | 0.860 | 108.7 | 46.7 | 0.700 | 107.9 | 46.9 | 0.681 | 44.0 | 17.5 |
| ME19112020_slice_42 | 0.856 | 0.111 | 0.049 | 0.858 | 110.6 | 47.7 | 0.692 | 109.8 | 47.8 | 0.679 | 44.1 | 17.7 |
| ME19112020_slice_43 | 0.855 | 0.112 | 0.049 | 0.856 | 112.0 | 47.8 | 0.692 | 111.3 | 47.8 | 0.676 | 44.3 | 17.8 |
| ME19112020_slice_44 | 0.854 | 0.113 | 0.049 | 0.855 | 112.4 | 47.9 | 0.690 | 111.5 | 47.9 | 0.675 | 44.8 | 17.9 |
| ME19112020_slice_45 | 0.851 | 0.116 | 0.050 | 0.852 | 115.6 | 49.0 | 0.685 | 114.8 | 49.0 | 0.670 | 45.4 | 18.2 |
| ME19112020_slice_46 | 0.847 | 0.117 | 0.050 | 0.848 | 117.3 | 49.7 | 0.680 | 116.5 | 49.7 | 0.666 | 45.9 | 18.5 |
| ME19112020_slice_47 | 0.842 | 0.117 | 0.051 | 0.843 | 116.6 | 50.3 | 0.676 | 116.0 | 50.4 | 0.666 | 46.0 | 18.7 |
| ME19112020_slice_48 | 0.841 | 0.117 | 0.051 | 0.842 | 117.1 | 50.3 | 0.674 | 116.5 | 50.5 | 0.666 | 45.3 | 18.5 |
| ME19112020_slice_49 | 0.842 | 0.117 | 0.051 | 0.843 | 117.2 | 50.3 | 0.676 | 116.6 | 50.6 | 0.667 | 45.1 | 18.4 |
| ME19112020_slice_50 | 0.841 | 0.120 | 0.052 | 0.842 | 119.6 | 50.8 | 0.676 | 119.2 | 51.0 | 0.665 | 44.8 | 18.1 |
| ME19112020_slice_51 | 0.839 | 0.122 | 0.052 | 0.840 | 121.9 | 51.8 | 0.671 | 121.3 | 51.9 | 0.662 | 45.7 | 18.6 |
| ME19112020_slice_52 | 0.837 | 0.124 | 0.053 | 0.838 | 123.5 | 52.5 | 0.668 | 122.9 | 52.7 | 0.659 | 46.2 | 18.9 |
| ME19112020_slice_53 | 0.834 | 0.125 | 0.054 | 0.835 | 124.6 | 53.1 | 0.664 | 123.9 | 53.3 | 0.655 | 46.8 | 19.2 |
| ME19112020_slice_54 | 0.833 | 0.126 | 0.054 | 0.834 | 125.5 | 53.5 | 0.665 | 124.8 | 53.5 | 0.655 | 47.2 | 19.3 |
| ME19112020_slice_55 | 0.832 | 0.128 | 0.055 | 0.832 | 127.5 | 54.4 | 0.663 | 126.9 | 54.3 | 0.652 | 47.7 | 19.7 |
| ME19112020_slice_56 | 0.830 | 0.131 | 0.056 | 0.831 | 130.8 | 55.5 | 0.658 | 130.3 | 55.7 | 0.651 | 47.8 | 19.7 |
| ME19112020_slice_57 | 0.830 | 0.131 | 0.057 | 0.831 | 130.8 | 55.7 | 0.657 | 130.2 | 55.9 | 0.652 | 47.8 | 19.6 |
| ME19112020_slice_58 | 0.830 | 0.129 | 0.056 | 0.831 | 129.1 | 55.0 | 0.657 | 128.5 | 55.0 | 0.649 | 47.4 | 19.6 |
| ME19112020_slice_59 | 0.832 | 0.127 | 0.055 | 0.833 | 126.4 | 53.9 | 0.660 | 125.8 | 54.0 | 0.652 | 46.9 | 19.5 |
| ME19112020_slice_60 | 0.836 | 0.126 | 0.054 | 0.837 | 125.4 | 53.4 | 0.662 | 124.7 | 53.5 | 0.655 | 46.6 | 19.1 |
| ME19112020_slice_61 | 0.836 | 0.125 | 0.054 | 0.837 | 124.9 | 53.4 | 0.661 | 124.2 | 53.6 | 0.655 | 46.6 | 19.2 |
| ME19112020_slice_62 | 0.836 | 0.124 | 0.053 | 0.837 | 123.5 | 52.6 | 0.663 | 122.8 | 52.7 | 0.655 | 46.4 | 19.1 |
| ME19112020_slice_63 | 0.830 | 0.123 | 0.054 | 0.831 | 123.4 | 53.1 | 0.658 | 122.7 | 53.2 | 0.654 | 47.0 | 19.6 |
| ME19112020_slice_64 | 0.832 | 0.123 | 0.053 | 0.833 | 123.0 | 52.4 | 0.660 | 122.3 | 52.6 | 0.654 | 46.2 | 19.2 |
| ME19112020_slice_65 | 0.835 | 0.122 | 0.053 | 0.836 | 121.7 | 52.2 | 0.658 | 120.9 | 52.5 | 0.655 | 46.2 | 19.2 |
| ME19112020_slice_66 | 0.835 | 0.120 | 0.053 | 0.836 | 119.9 | 51.6 | 0.658 | 119.2 | 51.9 | 0.654 | 46.6 | 19.4 |
| ME19112020_slice_67 | 0.837 | 0.120 | 0.052 | 0.838 | 119.8 | 51.4 | 0.661 | 119.0 | 51.7 | 0.655 | 46.6 | 19.3 |
| ME19112020_slice_68 | 0.838 | 0.118 | 0.052 | 0.839 | 117.8 | 50.8 | 0.659 | 117.1 | 51.0 | 0.656 | 46.0 | 19.3 |
| ME19112020_slice_69 | 0.838 | 0.117 | 0.052 | 0.839 | 117.3 | 50.8 | 0.661 | 116.6 | 50.9 | 0.657 | 46.4 | 19.3 |
| ME19112020_slice_70 | 0.836 | 0.119 | 0.052 | 0.837 | 119.2 | 51.4 | 0.660 | 118.4 | 51.5 | 0.655 | 46.3 | 19.4 |
| ME19112020_slice_71 | 0.833 | 0.121 | 0.053 | 0.834 | 120.5 | 51.8 | 0.658 | 119.7 | 51.8 | 0.652 | 46.8 | 19.8 |
| ME19112020_slice_72 | 0.830 | 0.120 | 0.053 | 0.831 | 119.8 | 52.2 | 0.652 | 119.0 | 52.2 | 0.650 | 47.3 | 20.3 |
| ME19112020_slice_73 | 0.823 | 0.121 | 0.054 | 0.824 | 121.0 | 53.5 | 0.644 | 120.3 | 53.6 | 0.646 | 48.2 | 20.8 |
| ME19112020_slice_74 | 0.823 | 0.123 | 0.055 | 0.824 | 123.3 | 54.4 | 0.643 | 122.7 | 54.6 | 0.646 | 48.5 | 20.8 |
| ME19112020_slice_75 | 0.821 | 0.127 | 0.056 | 0.822 | 126.4 | 55.1 | 0.643 | 125.7 | 55.3 | 0.643 | 48.9 | 21.2 |
| ME19112020_slice_76 | 0.812 | 0.129 | 0.057 | 0.813 | 129.2 | 56.8 | 0.635 | 128.4 | 56.6 | 0.635 | 50.7 | 22.4 |
| ME19112020_slice_77 | 0.818 | 0.129 | 0.057 | 0.819 | 128.7 | 56.3 | 0.640 | 128.1 | 56.3 | 0.641 | 49.4 | 21.4 |
| ME19112020_slice_78 | 0.815 | 0.127 | 0.057 | 0.815 | 126.7 | 56.2 | 0.636 | 126.1 | 56.3 | 0.642 | 48.9 | 21.3 |
| ME19112020_slice_79 | 0.809 | 0.127 | 0.057 | 0.810 | 126.8 | 56.5 | 0.630 | 126.1 | 56.6 | 0.638 | 49.9 | 22.0 |
| ME19112020_slice_80 | 0.812 | 0.127 | 0.057 | 0.813 | 126.5 | 56.4 | 0.627 | 125.8 | 56.6 | 0.638 | 48.6 | 21.4 |
| ME19112020_slice_81 | 0.817 | 0.126 | 0.057 | 0.818 | 126.3 | 56.1 | 0.631 | 125.7 | 56.3 | 0.640 | 48.2 | 21.0 |
| ME19112020_slice_82 | 0.819 | 0.127 | 0.057 | 0.820 | 126.7 | 55.9 | 0.634 | 126.2 | 56.2 | 0.639 | 47.9 | 21.0 |
| ME19112020_slice_83 | 0.824 | 0.129 | 0.057 | 0.825 | 129.2 | 56.2 | 0.641 | 128.6 | 56.5 | 0.639 | 47.6 | 20.6 |
| ME19112020_slice_84 | 0.824 | 0.129 | 0.058 | 0.826 | 129.1 | 56.6 | 0.638 | 128.6 | 56.9 | 0.639 | 47.4 | 20.6 |
| ME19112020_slice_85 | 0.823 | 0.130 | 0.058 | 0.824 | 129.9 | 57.0 | 0.636 | 129.4 | 57.1 | 0.640 | 48.3 | 21.0 |
| ME19112020_slice_86 | 0.827 | 0.129 | 0.057 | 0.828 | 128.4 | 56.4 | 0.637 | 128.0 | 56.6 | 0.642 | 47.0 | 20.4 |
| ME19112020_slice_87 | 0.832 | 0.128 | 0.057 | 0.833 | 127.9 | 56.1 | 0.642 | 127.4 | 56.3 | 0.643 | 47.0 | 20.2 |
| ME19112020_slice_88 | 0.830 | 0.128 | 0.057 | 0.831 | 127.8 | 56.4 | 0.640 | 127.4 | 56.8 | 0.641 | 47.3 | 20.4 |
| ME19112020_slice_89 | 0.827 | 0.127 | 0.057 | 0.828 | 126.8 | 55.7 | 0.639 | 126.2 | 56.0 | 0.640 | 47.8 | 20.8 |
| ME19112020_slice_90 | 0.827 | 0.125 | 0.056 | 0.828 | 124.6 | 55.1 | 0.637 | 123.9 | 55.4 | 0.639 | 47.7 | 20.8 |
| ME19112020_slice_91 | 0.831 | 0.122 | 0.055 | 0.832 | 121.8 | 53.9 | 0.641 | 121.3 | 54.4 | 0.647 | 46.8 | 20.1 |
| ME19112020_slice_92 | 0.831 | 0.120 | 0.054 | 0.832 | 120.1 | 53.2 | 0.642 | 119.6 | 53.7 | 0.647 | 47.2 | 20.3 |
| ME19112020_slice_93 | 0.826 | 0.120 | 0.055 | 0.827 | 119.9 | 53.7 | 0.639 | 119.1 | 53.8 | 0.644 | 48.4 | 21.0 |
| ME19112020_slice_94 | 0.830 | 0.119 | 0.054 | 0.831 | 118.4 | 53.2 | 0.639 | 117.7 | 53.5 | 0.649 | 47.7 | 20.5 |
| ME19112020_slice_95 | 0.835 | 0.119 | 0.054 | 0.836 | 118.4 | 53.1 | 0.648 | 117.7 | 53.3 | 0.653 | 47.1 | 19.9 |
| ME19112020_slice_96 | 0.824 | 0.126 | 0.057 | 0.825 | 125.9 | 56.6 | 0.639 | 125.1 | 56.5 | 0.647 | 48.4 | 20.9 |
| ME19112020_slice_97 | 0.819 | 0.133 | 0.060 | 0.819 | 132.4 | 58.7 | 0.634 | 131.5 | 58.6 | 0.640 | 50.6 | 22.0 |
| ME19112020_slice_98 | 0.821 | 0.135 | 0.060 | 0.822 | 134.6 | 59.2 | 0.638 | 134.0 | 59.3 | 0.643 | 50.7 | 21.7 |
| ME19112020_slice_99 | 0.819 | 0.137 | 0.061 | 0.820 | 136.8 | 59.5 | 0.638 | 136.3 | 59.8 | 0.645 | 51.9 | 21.9 |
| ME19112020_slice_100 | 0.816 | 0.139 | 0.061 | 0.817 | 138.9 | 60.4 | 0.636 | 138.2 | 60.5 | 0.646 | 53.4 | 22.6 |
| ME19112020_slice_101 | 0.816 | 0.139 | 0.062 | 0.817 | 138.4 | 60.7 | 0.635 | 137.8 | 60.9 | 0.649 | 53.1 | 22.5 |
| ME19112020_slice_102 | 0.812 | 0.140 | 0.062 | 0.813 | 139.7 | 61.1 | 0.632 | 138.9 | 61.3 | 0.648 | 55.1 | 23.4 |
| ME19112020_slice_103 | 0.808 | 0.142 | 0.063 | 0.809 | 141.9 | 61.8 | 0.629 | 141.2 | 62.1 | 0.651 | 55.8 | 23.7 |
| ME19112020_slice_104 | 0.808 | 0.144 | 0.063 | 0.809 | 143.5 | 62.3 | 0.628 | 142.8 | 62.7 | 0.656 | 55.4 | 23.4 |
| ME19112020_slice_105 | 0.811 | 0.143 | 0.064 | 0.813 | 142.4 | 62.5 | 0.629 | 141.9 | 63.1 | 0.660 | 53.1 | 22.5 |
| ME19112020_slice_106 | 0.808 | 0.140 | 0.063 | 0.810 | 140.0 | 62.0 | 0.631 | 139.3 | 62.6 | 0.665 | 54.8 | 23.0 |
| ME19112020_slice_107 | 0.813 | 0.135 | 0.061 | 0.814 | 135.2 | 60.1 | 0.633 | 134.4 | 60.5 | 0.669 | 53.8 | 22.5 |
| ME19112020_slice_108 | 0.816 | 0.134 | 0.060 | 0.818 | 133.8 | 58.9 | 0.639 | 132.9 | 59.2 | 0.673 | 53.1 | 22.1 |
| ME19112020_slice_109 | 0.820 | 0.129 | 0.058 | 0.821 | 129.2 | 56.8 | 0.639 | 128.6 | 57.3 | 0.671 | 51.4 | 21.4 |
| ME19112020_slice_110 | 0.820 | 0.125 | 0.056 | 0.822 | 124.5 | 55.1 | 0.642 | 123.9 | 55.6 | 0.674 | 51.2 | 21.5 |
| ME19112020_slice_111 | 0.823 | 0.122 | 0.055 | 0.825 | 121.6 | 54.1 | 0.647 | 120.7 | 54.3 | 0.676 | 50.9 | 21.5 |
| ME19112020_slice_112 | 0.828 | 0.122 | 0.055 | 0.830 | 122.1 | 53.8 | 0.650 | 121.2 | 54.0 | 0.677 | 49.0 | 20.5 |
| ME19112020_slice_113 | 0.825 | 0.124 | 0.055 | 0.827 | 123.5 | 54.2 | 0.646 | 122.6 | 54.2 | 0.671 | 48.9 | 20.6 |
| ME19112020_slice_114 | 0.826 | 0.121 | 0.054 | 0.827 | 121.0 | 53.0 | 0.646 | 120.3 | 53.2 | 0.672 | 48.5 | 20.4 |
| ME19112020_slice_115 | 0.829 | 0.117 | 0.053 | 0.831 | 116.8 | 51.8 | 0.650 | 116.2 | 52.2 | 0.672 | 48.0 | 20.3 |
| ME19112020_slice_116 | 0.830 | 0.113 | 0.051 | 0.831 | 113.2 | 50.4 | 0.656 | 112.5 | 50.6 | 0.670 | 48.0 | 20.3 |
| ME19112020_slice_117 | 0.835 | 0.109 | 0.050 | 0.836 | 109.2 | 48.8 | 0.662 | 108.4 | 48.8 | 0.670 | 46.9 | 20.0 |
| ME19112020_slice_118 | 0.840 | 0.108 | 0.049 | 0.841 | 107.4 | 48.4 | 0.664 | 106.7 | 48.6 | 0.671 | 45.9 | 19.4 |
| ME19112020_slice_119 | 0.839 | 0.107 | 0.049 | 0.840 | 106.4 | 48.4 | 0.660 | 105.7 | 48.6 | 0.665 | 46.4 | 19.8 |
| ME19112020_slice_120 | 0.839 | 0.104 | 0.048 | 0.840 | 104.1 | 47.5 | 0.658 | 103.4 | 47.8 | 0.661 | 46.7 | 20.2 |
| ME19112020_slice_121 | 0.850 | 0.101 | 0.046 | 0.851 | 100.8 | 45.5 | 0.668 | 100.1 | 45.8 | 0.661 | 45.1 | 19.5 |
| ME19112020_slice_122 | 0.846 | 0.100 | 0.047 | 0.846 | 100.3 | 46.3 | 0.670 | 99.4 | 46.2 | 0.657 | 46.3 | 20.2 |
| ME19112020_slice_123 | 0.852 | 0.098 | 0.046 | 0.853 | 98.2 | 44.8 | 0.671 | 97.2 | 44.9 | 0.655 | 45.4 | 19.8 |
| ME19112020_slice_124 | 0.845 | 0.099 | 0.047 | 0.846 | 98.8 | 45.7 | 0.659 | 98.0 | 45.9 | 0.645 | 46.3 | 20.7 |
| ME19112020_slice_125 | 0.850 | 0.096 | 0.045 | 0.851 | 95.6 | 44.2 | 0.660 | 94.9 | 44.5 | 0.643 | 45.2 | 20.2 |
| ME19112020_slice_126 | 0.855 | 0.093 | 0.045 | 0.856 | 93.0 | 43.6 | 0.662 | 92.2 | 43.8 | 0.640 | 45.3 | 20.3 |
| ME19112020_slice_127 | 0.858 | 0.091 | 0.044 | 0.860 | 91.1 | 42.8 | 0.664 | 90.5 | 43.3 | 0.639 | 44.4 | 20.1 |
| ME19112020_slice_128 | 0.853 | 0.092 | 0.045 | 0.855 | 91.4 | 43.2 | 0.655 | 90.9 | 44.0 | 0.635 | 45.0 | 20.5 |
| ME19112020_slice_129 | 0.853 | 0.091 | 0.045 | 0.855 | 91.1 | 43.3 | 0.655 | 90.4 | 43.9 | 0.633 | 45.6 | 20.8 |
| ME19112020_slice_130 | 0.854 | 0.090 | 0.044 | 0.856 | 89.7 | 42.8 | 0.657 | 89.0 | 43.1 | 0.631 | 45.5 | 20.9 |
| ME19112020_slice_131 | 0.853 | 0.090 | 0.044 | 0.854 | 89.8 | 42.8 | 0.659 | 89.2 | 43.0 | 0.628 | 45.8 | 21.1 |
| ME19112020_slice_132 | 0.845 | 0.092 | 0.045 | 0.847 | 91.3 | 43.7 | 0.649 | 90.9 | 44.3 | 0.625 | 47.2 | 21.8 |
| ME19112020_slice_133 | 0.844 | 0.094 | 0.045 | 0.845 | 93.6 | 44.1 | 0.650 | 93.1 | 44.5 | 0.622 | 47.6 | 22.0 |
| ME19112020_slice_134 | 0.842 | 0.095 | 0.046 | 0.844 | 94.9 | 44.6 | 0.647 | 94.4 | 45.2 | 0.619 | 48.4 | 22.4 |
| ME19112020_slice_135 | 0.842 | 0.095 | 0.046 | 0.843 | 94.4 | 44.6 | 0.649 | 93.8 | 45.0 | 0.617 | 48.9 | 22.6 |
| ME19112020_slice_136 | 0.840 | 0.094 | 0.046 | 0.841 | 93.5 | 44.7 | 0.649 | 92.9 | 45.0 | 0.617 | 49.1 | 22.8 |
| ME19112020_slice_137 | 0.833 | 0.097 | 0.047 | 0.834 | 96.9 | 45.7 | 0.644 | 96.6 | 46.3 | 0.614 | 50.2 | 23.3 |
| ME19112020_slice_138 | 0.840 | 0.101 | 0.047 | 0.841 | 100.4 | 45.8 | 0.652 | 100.0 | 46.2 | 0.615 | 49.9 | 23.0 |
| ME19112020_slice_139 | 0.842 | 0.100 | 0.046 | 0.843 | 99.6 | 45.5 | 0.654 | 98.9 | 45.7 | 0.613 | 49.9 | 23.0 |
| ME19112020_slice_140 | 0.842 | 0.099 | 0.046 | 0.843 | 98.6 | 45.2 | 0.654 | 98.0 | 45.5 | 0.613 | 49.9 | 23.1 |
| ME19112020_slice_141 | 0.843 | 0.100 | 0.046 | 0.844 | 100.0 | 45.1 | 0.655 | 99.4 | 45.4 | 0.612 | 49.4 | 22.9 |
| ME19112020_slice_142 | 0.844 | 0.099 | 0.046 | 0.845 | 99.0 | 44.8 | 0.660 | 98.4 | 45.0 | 0.614 | 49.2 | 22.8 |
| ME19112020_slice_143 | 0.842 | 0.096 | 0.045 | 0.843 | 95.9 | 44.4 | 0.655 | 95.4 | 44.8 | 0.612 | 49.0 | 22.9 |
| ME19112020_slice_144 | 0.838 | 0.093 | 0.045 | 0.839 | 92.5 | 44.0 | 0.650 | 92.0 | 44.5 | 0.609 | 49.1 | 23.1 |
| ME19112020_slice_145 | 0.841 | 0.088 | 0.043 | 0.842 | 87.7 | 42.6 | 0.657 | 87.2 | 42.9 | 0.609 | 48.3 | 22.9 |
| ME19112020_slice_146 | 0.842 | 0.086 | 0.043 | 0.843 | 86.2 | 41.9 | 0.656 | 85.6 | 42.2 | 0.612 | 47.8 | 22.7 |
| ME19112020_slice_147 | 0.847 | 0.087 | 0.042 | 0.848 | 86.9 | 41.4 | 0.662 | 86.2 | 41.5 | 0.610 | 47.1 | 22.2 |
| ME19112020_slice_148 | 0.851 | 0.086 | 0.042 | 0.851 | 85.7 | 41.0 | 0.666 | 84.8 | 40.9 | 0.608 | 47.0 | 22.2 |
| ME19112020_slice_149 | 0.841 | 0.090 | 0.043 | 0.842 | 89.8 | 42.2 | 0.655 | 89.2 | 42.5 | 0.603 | 48.1 | 22.8 |
| ME19112020_slice_150 | 0.833 | 0.094 | 0.044 | 0.834 | 93.3 | 43.3 | 0.647 | 92.8 | 43.7 | 0.598 | 49.1 | 23.3 |
| ME19112020_slice_151 | 0.829 | 0.096 | 0.045 | 0.830 | 96.1 | 44.2 | 0.644 | 95.5 | 44.6 | 0.597 | 49.9 | 23.7 |
| ME19112020_slice_152 | 0.829 | 0.099 | 0.046 | 0.830 | 99.2 | 44.8 | 0.645 | 98.4 | 44.9 | 0.596 | 50.1 | 23.8 |
| ME19112020_slice_153 | 0.822 | 0.103 | 0.047 | 0.823 | 102.8 | 45.8 | 0.639 | 102.3 | 46.1 | 0.596 | 51.2 | 24.2 |
| ME19112020_slice_154 | 0.812 | 0.105 | 0.047 | 0.813 | 104.7 | 46.7 | 0.633 | 104.1 | 46.9 | 0.596 | 52.9 | 25.0 |
| ME19112020_slice_155 | 0.812 | 0.104 | 0.047 | 0.813 | 103.5 | 46.5 | 0.633 | 102.6 | 46.6 | 0.597 | 52.8 | 25.1 |
| ME19112020_slice_156 | 0.814 | 0.104 | 0.047 | 0.815 | 103.9 | 46.4 | 0.634 | 103.3 | 46.6 | 0.599 | 52.7 | 24.9 |
| ME19112020_slice_157 | 0.813 | 0.107 | 0.048 | 0.814 | 106.9 | 47.0 | 0.634 | 106.2 | 47.1 | 0.597 | 52.5 | 24.8 |
| ME19112020_slice_158 | 0.813 | 0.110 | 0.049 | 0.814 | 109.6 | 47.8 | 0.631 | 109.0 | 48.0 | 0.597 | 52.2 | 24.8 |
| ME19112020_slice_159 | 0.816 | 0.109 | 0.048 | 0.817 | 108.8 | 47.3 | 0.638 | 108.1 | 47.5 | 0.600 | 51.8 | 24.7 |
| ME19112020_slice_160 | 0.819 | 0.109 | 0.048 | 0.820 | 109.3 | 47.4 | 0.641 | 108.5 | 47.5 | 0.601 | 52.1 | 24.5 |
4Γ3 grid: Rows show different image types (Original NATIVE, Reconstructed NATIVE, Original VENOUS, Generated VENOUS), Columns show windowing techniques (No Window, Lung Window, Mediastinum Window)