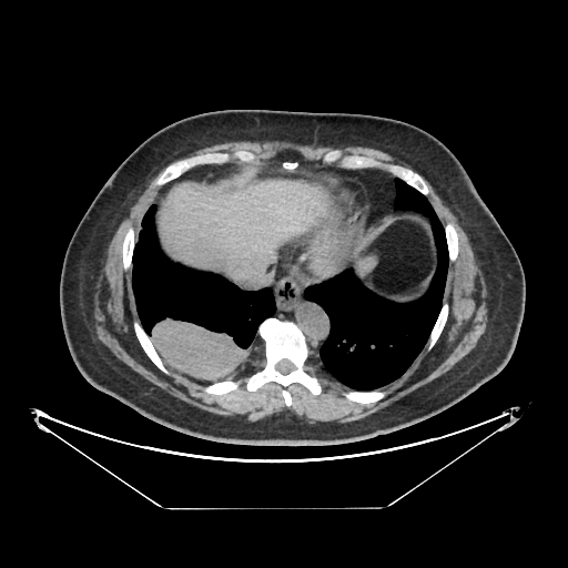
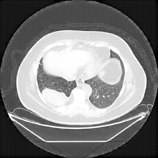
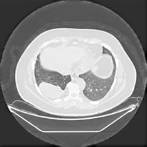
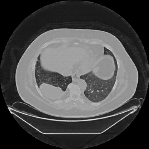
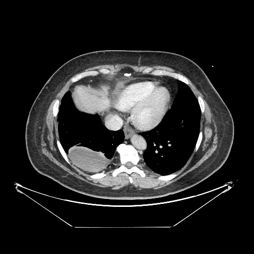
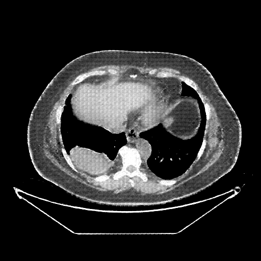
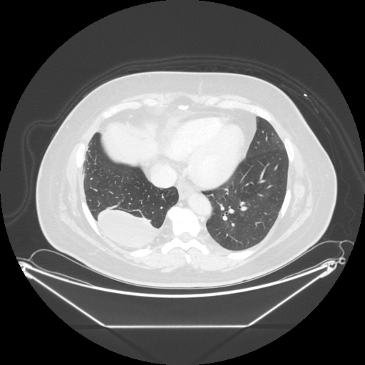
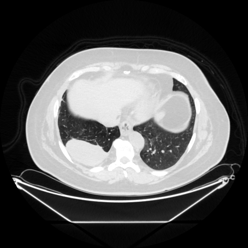
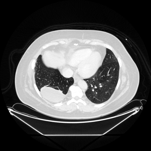
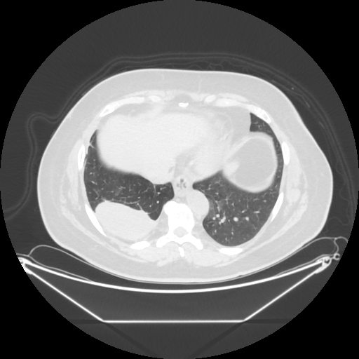
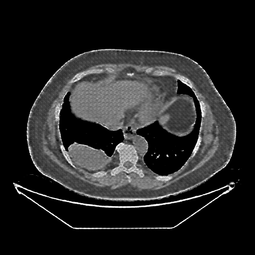
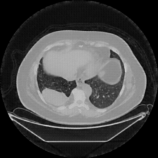
Slice 70 Targeting Evaluation
Patient ID: PD04012016
Model: cytran
Slice: Slice_70
Slice Thickness: 2.5mm
Conversion: NATIVE β VENOUS
Contains all 4 metric datasets: Network-Normalized, Hounsfield Units, Lung Window, and Mediastinum Window
| Slice ID | SSIM | RMSE | MAE | HU SSIM | HU RMSE | HU MAE | Lung SSIM | Lung RMSE | Lung MAE | Mediastinum SSIM | Mediastinum RMSE | Mediastinum MAE |
|---|---|---|---|---|---|---|---|---|---|---|---|---|
| PD04012016_slice_0 | 0.761 | 0.163 | 0.093 | 0.767 | 159.9 | 80.0 | 0.562 | 156.4 | 84.4 | 0.653 | 57.7 | 25.7 |
| PD04012016_slice_1 | 0.771 | 0.164 | 0.096 | 0.775 | 159.1 | 80.9 | 0.571 | 157.4 | 89.2 | 0.655 | 56.4 | 24.8 |
| PD04012016_slice_2 | 0.770 | 0.163 | 0.094 | 0.774 | 158.8 | 79.5 | 0.565 | 155.8 | 85.9 | 0.655 | 57.2 | 24.7 |
| PD04012016_slice_3 | 0.773 | 0.160 | 0.090 | 0.778 | 156.2 | 76.8 | 0.563 | 152.6 | 82.0 | 0.653 | 56.7 | 24.0 |
| PD04012016_slice_4 | 0.770 | 0.158 | 0.088 | 0.777 | 155.2 | 76.0 | 0.562 | 150.2 | 78.7 | 0.651 | 57.7 | 24.8 |
| PD04012016_slice_5 | 0.767 | 0.158 | 0.092 | 0.773 | 154.2 | 78.7 | 0.562 | 150.0 | 83.4 | 0.653 | 58.5 | 25.5 |
| PD04012016_slice_6 | 0.777 | 0.154 | 0.085 | 0.784 | 150.4 | 74.2 | 0.569 | 145.8 | 76.6 | 0.657 | 56.6 | 24.1 |
| PD04012016_slice_7 | 0.777 | 0.153 | 0.087 | 0.784 | 149.6 | 74.8 | 0.568 | 145.6 | 78.3 | 0.658 | 56.5 | 24.0 |
| PD04012016_slice_8 | 0.775 | 0.151 | 0.088 | 0.780 | 147.7 | 75.7 | 0.566 | 144.0 | 80.0 | 0.660 | 56.5 | 24.4 |
| PD04012016_slice_9 | 0.772 | 0.153 | 0.094 | 0.777 | 148.6 | 79.4 | 0.565 | 146.0 | 86.5 | 0.663 | 57.5 | 24.9 |
| PD04012016_slice_10 | 0.768 | 0.156 | 0.098 | 0.772 | 150.6 | 82.2 | 0.563 | 149.0 | 91.4 | 0.664 | 58.8 | 25.6 |
| PD04012016_slice_11 | 0.780 | 0.148 | 0.090 | 0.785 | 143.9 | 76.2 | 0.573 | 142.1 | 84.1 | 0.668 | 56.1 | 23.6 |
| PD04012016_slice_12 | 0.766 | 0.150 | 0.095 | 0.770 | 145.0 | 79.6 | 0.560 | 142.9 | 88.2 | 0.665 | 57.9 | 25.0 |
| PD04012016_slice_13 | 0.754 | 0.151 | 0.099 | 0.757 | 145.8 | 83.1 | 0.552 | 144.0 | 92.3 | 0.661 | 59.8 | 26.2 |
| PD04012016_slice_14 | 0.756 | 0.145 | 0.091 | 0.761 | 140.9 | 77.8 | 0.553 | 137.5 | 83.3 | 0.662 | 59.2 | 25.8 |
| PD04012016_slice_15 | 0.753 | 0.146 | 0.096 | 0.758 | 141.2 | 81.4 | 0.551 | 138.5 | 89.1 | 0.662 | 59.7 | 26.1 |
| PD04012016_slice_16 | 0.763 | 0.140 | 0.088 | 0.769 | 136.4 | 76.1 | 0.561 | 132.3 | 80.7 | 0.669 | 58.2 | 25.0 |
| PD04012016_slice_17 | 0.772 | 0.142 | 0.093 | 0.777 | 136.9 | 78.3 | 0.567 | 134.8 | 86.3 | 0.672 | 56.3 | 24.1 |
| PD04012016_slice_18 | 0.781 | 0.137 | 0.089 | 0.786 | 132.7 | 75.1 | 0.575 | 130.6 | 82.1 | 0.677 | 54.2 | 22.6 |
| PD04012016_slice_19 | 0.776 | 0.134 | 0.086 | 0.782 | 130.6 | 74.0 | 0.572 | 127.3 | 79.0 | 0.679 | 55.0 | 23.2 |
| PD04012016_slice_20 | 0.773 | 0.133 | 0.086 | 0.779 | 129.6 | 73.7 | 0.570 | 125.9 | 78.2 | 0.679 | 55.4 | 23.6 |
| PD04012016_slice_21 | 0.773 | 0.134 | 0.089 | 0.778 | 130.2 | 76.2 | 0.567 | 127.2 | 82.0 | 0.682 | 55.0 | 23.4 |
| PD04012016_slice_22 | 0.767 | 0.136 | 0.092 | 0.772 | 131.8 | 78.3 | 0.562 | 129.4 | 85.2 | 0.680 | 55.2 | 23.4 |
| PD04012016_slice_23 | 0.761 | 0.134 | 0.086 | 0.769 | 131.0 | 75.3 | 0.559 | 126.4 | 77.7 | 0.676 | 55.8 | 23.4 |
| PD04012016_slice_24 | 0.764 | 0.134 | 0.085 | 0.772 | 130.3 | 74.4 | 0.566 | 125.8 | 76.9 | 0.678 | 55.7 | 23.3 |
| PD04012016_slice_25 | 0.759 | 0.135 | 0.087 | 0.766 | 131.6 | 75.9 | 0.559 | 127.4 | 79.2 | 0.677 | 57.0 | 24.0 |
| PD04012016_slice_26 | 0.745 | 0.140 | 0.094 | 0.751 | 136.3 | 81.8 | 0.545 | 132.5 | 87.0 | 0.673 | 59.3 | 25.7 |
| PD04012016_slice_27 | 0.745 | 0.142 | 0.098 | 0.749 | 137.6 | 83.8 | 0.544 | 135.1 | 91.6 | 0.675 | 59.7 | 25.8 |
| PD04012016_slice_28 | 0.735 | 0.149 | 0.109 | 0.737 | 141.9 | 90.4 | 0.541 | 142.2 | 103.5 | 0.671 | 61.6 | 27.1 |
| PD04012016_slice_29 | 0.732 | 0.153 | 0.113 | 0.734 | 145.0 | 93.3 | 0.537 | 146.5 | 108.2 | 0.666 | 61.3 | 27.0 |
| PD04012016_slice_30 | 0.719 | 0.156 | 0.118 | 0.721 | 147.5 | 96.6 | 0.527 | 149.5 | 112.3 | 0.663 | 62.6 | 28.1 |
| PD04012016_slice_31 | 0.718 | 0.157 | 0.120 | 0.719 | 148.8 | 97.8 | 0.528 | 151.7 | 114.5 | 0.662 | 62.7 | 28.4 |
| PD04012016_slice_32 | 0.730 | 0.148 | 0.109 | 0.733 | 141.9 | 90.9 | 0.535 | 142.7 | 103.7 | 0.666 | 60.6 | 27.1 |
| PD04012016_slice_33 | 0.724 | 0.154 | 0.116 | 0.726 | 146.5 | 95.1 | 0.530 | 148.8 | 110.5 | 0.660 | 61.4 | 27.7 |
| PD04012016_slice_34 | 0.736 | 0.149 | 0.108 | 0.739 | 142.8 | 89.9 | 0.538 | 143.4 | 102.4 | 0.666 | 59.2 | 26.2 |
| PD04012016_slice_35 | 0.748 | 0.148 | 0.106 | 0.751 | 141.8 | 87.5 | 0.548 | 143.1 | 100.7 | 0.667 | 57.5 | 25.0 |
| PD04012016_slice_36 | 0.759 | 0.150 | 0.107 | 0.762 | 142.5 | 86.9 | 0.557 | 145.4 | 102.2 | 0.671 | 55.9 | 23.8 |
| PD04012016_slice_37 | 0.765 | 0.145 | 0.101 | 0.769 | 138.6 | 82.9 | 0.561 | 140.3 | 96.0 | 0.672 | 55.3 | 23.2 |
| PD04012016_slice_38 | 0.760 | 0.145 | 0.103 | 0.764 | 138.4 | 84.1 | 0.557 | 140.8 | 98.3 | 0.667 | 55.6 | 23.6 |
| PD04012016_slice_39 | 0.749 | 0.147 | 0.102 | 0.753 | 140.6 | 84.7 | 0.546 | 141.4 | 97.0 | 0.664 | 57.2 | 24.5 |
| PD04012016_slice_40 | 0.749 | 0.151 | 0.107 | 0.752 | 142.8 | 87.2 | 0.548 | 145.7 | 102.9 | 0.661 | 57.4 | 24.7 |
| PD04012016_slice_41 | 0.753 | 0.148 | 0.104 | 0.756 | 141.1 | 84.8 | 0.551 | 143.8 | 99.9 | 0.662 | 56.4 | 24.3 |
| PD04012016_slice_42 | 0.763 | 0.144 | 0.096 | 0.767 | 138.0 | 79.5 | 0.557 | 139.1 | 91.6 | 0.665 | 55.0 | 23.1 |
| PD04012016_slice_43 | 0.774 | 0.143 | 0.094 | 0.778 | 137.6 | 77.7 | 0.567 | 138.5 | 89.6 | 0.668 | 54.0 | 22.2 |
| PD04012016_slice_44 | 0.781 | 0.145 | 0.097 | 0.785 | 138.1 | 78.7 | 0.577 | 140.3 | 92.7 | 0.672 | 53.3 | 21.7 |
| PD04012016_slice_45 | 0.776 | 0.147 | 0.098 | 0.779 | 140.3 | 80.3 | 0.572 | 142.1 | 93.7 | 0.668 | 54.4 | 22.2 |
| PD04012016_slice_46 | 0.773 | 0.149 | 0.101 | 0.776 | 142.3 | 82.3 | 0.570 | 144.8 | 96.8 | 0.667 | 55.2 | 22.6 |
| PD04012016_slice_47 | 0.771 | 0.151 | 0.103 | 0.774 | 143.9 | 83.5 | 0.569 | 146.6 | 98.7 | 0.664 | 56.0 | 22.9 |
| PD04012016_slice_48 | 0.766 | 0.153 | 0.106 | 0.769 | 145.6 | 85.7 | 0.566 | 148.9 | 101.8 | 0.658 | 56.4 | 23.5 |
| PD04012016_slice_49 | 0.768 | 0.157 | 0.111 | 0.770 | 147.4 | 88.3 | 0.574 | 152.8 | 107.5 | 0.658 | 56.9 | 23.9 |
| PD04012016_slice_50 | 0.763 | 0.155 | 0.109 | 0.765 | 146.5 | 87.7 | 0.568 | 150.6 | 104.9 | 0.655 | 57.2 | 24.4 |
| PD04012016_slice_51 | 0.753 | 0.157 | 0.112 | 0.755 | 148.8 | 90.5 | 0.560 | 152.6 | 107.4 | 0.650 | 58.2 | 25.4 |
| PD04012016_slice_52 | 0.751 | 0.157 | 0.112 | 0.754 | 149.2 | 91.0 | 0.559 | 153.3 | 108.3 | 0.651 | 58.4 | 25.6 |
| PD04012016_slice_53 | 0.752 | 0.158 | 0.113 | 0.754 | 149.7 | 91.5 | 0.561 | 153.9 | 109.1 | 0.651 | 58.2 | 25.7 |
| PD04012016_slice_54 | 0.747 | 0.161 | 0.116 | 0.749 | 151.5 | 93.1 | 0.559 | 156.3 | 111.8 | 0.649 | 58.9 | 26.2 |
| PD04012016_slice_55 | 0.749 | 0.163 | 0.120 | 0.750 | 152.3 | 94.7 | 0.564 | 159.3 | 116.3 | 0.651 | 58.6 | 26.0 |
| PD04012016_slice_56 | 0.752 | 0.164 | 0.121 | 0.753 | 152.6 | 94.6 | 0.566 | 160.1 | 116.7 | 0.651 | 58.0 | 25.4 |
| PD04012016_slice_57 | 0.755 | 0.162 | 0.119 | 0.757 | 150.9 | 93.4 | 0.569 | 158.2 | 115.3 | 0.653 | 57.7 | 25.0 |
| PD04012016_slice_58 | 0.747 | 0.165 | 0.125 | 0.748 | 152.5 | 96.7 | 0.564 | 161.1 | 120.5 | 0.650 | 59.6 | 26.3 |
| PD04012016_slice_59 | 0.743 | 0.166 | 0.126 | 0.744 | 153.7 | 97.8 | 0.561 | 162.2 | 121.7 | 0.650 | 60.1 | 26.6 |
| PD04012016_slice_60 | 0.744 | 0.164 | 0.122 | 0.745 | 152.6 | 95.5 | 0.560 | 159.6 | 117.5 | 0.651 | 59.6 | 26.3 |
| PD04012016_slice_61 | 0.743 | 0.164 | 0.121 | 0.745 | 153.5 | 95.6 | 0.557 | 159.4 | 116.4 | 0.651 | 59.2 | 26.0 |
| PD04012016_slice_62 | 0.740 | 0.164 | 0.121 | 0.742 | 153.5 | 95.8 | 0.555 | 159.4 | 116.9 | 0.653 | 59.4 | 26.1 |
| PD04012016_slice_63 | 0.738 | 0.168 | 0.124 | 0.739 | 157.2 | 97.6 | 0.552 | 163.2 | 119.1 | 0.650 | 59.7 | 26.4 |
| PD04012016_slice_64 | 0.736 | 0.175 | 0.125 | 0.738 | 165.3 | 99.4 | 0.551 | 170.9 | 120.3 | 0.646 | 60.0 | 26.6 |
| PD04012016_slice_65 | 0.735 | 0.176 | 0.126 | 0.736 | 165.9 | 99.9 | 0.552 | 172.0 | 121.5 | 0.641 | 62.1 | 27.9 |
| PD04012016_slice_66 | 0.737 | 0.177 | 0.128 | 0.738 | 165.2 | 100.2 | 0.555 | 172.9 | 123.6 | 0.643 | 62.5 | 27.9 |
| PD04012016_slice_67 | 0.739 | 0.178 | 0.126 | 0.740 | 167.5 | 99.7 | 0.557 | 174.5 | 122.4 | 0.642 | 62.8 | 27.8 |
| PD04012016_slice_68 | 0.728 | 0.183 | 0.127 | 0.729 | 173.9 | 102.0 | 0.547 | 179.8 | 123.6 | 0.635 | 64.5 | 29.1 |
| PD04012016_slice_69 | 0.736 | 0.186 | 0.127 | 0.738 | 176.1 | 101.7 | 0.554 | 182.5 | 123.8 | 0.640 | 63.0 | 28.2 |
| PD04012016_slice_70 | 0.736 | 0.189 | 0.130 | 0.737 | 179.6 | 103.8 | 0.555 | 186.1 | 126.3 | 0.637 | 63.5 | 28.9 |
| PD04012016_slice_71 | 0.747 | 0.194 | 0.132 | 0.748 | 184.0 | 104.5 | 0.568 | 191.4 | 128.5 | 0.638 | 61.8 | 28.1 |
| PD04012016_slice_72 | 0.751 | 0.201 | 0.133 | 0.753 | 190.4 | 105.6 | 0.572 | 198.1 | 130.3 | 0.634 | 61.9 | 27.9 |
| PD04012016_slice_73 | 0.749 | 0.209 | 0.142 | 0.749 | 196.5 | 110.7 | 0.575 | 206.6 | 139.2 | 0.631 | 63.4 | 29.1 |
| PD04012016_slice_74 | 0.754 | 0.212 | 0.143 | 0.754 | 199.2 | 111.4 | 0.579 | 209.8 | 140.6 | 0.631 | 63.2 | 28.8 |
| PD04012016_slice_75 | 0.760 | 0.217 | 0.146 | 0.761 | 203.6 | 112.9 | 0.588 | 215.1 | 143.7 | 0.629 | 63.6 | 28.8 |
| PD04012016_slice_76 | 0.776 | 0.213 | 0.142 | 0.776 | 199.3 | 108.2 | 0.600 | 211.3 | 139.3 | 0.628 | 62.0 | 27.5 |
| PD04012016_slice_77 | 0.786 | 0.206 | 0.134 | 0.787 | 192.8 | 101.9 | 0.607 | 204.0 | 131.4 | 0.627 | 61.1 | 26.6 |
| PD04012016_slice_78 | 0.788 | 0.200 | 0.130 | 0.789 | 187.0 | 98.6 | 0.607 | 198.3 | 127.7 | 0.623 | 61.7 | 27.1 |
| PD04012016_slice_79 | 0.790 | 0.197 | 0.130 | 0.791 | 183.1 | 97.4 | 0.611 | 195.2 | 127.3 | 0.622 | 61.1 | 26.9 |
| PD04012016_slice_80 | 0.796 | 0.193 | 0.125 | 0.797 | 179.6 | 93.8 | 0.613 | 191.2 | 122.8 | 0.622 | 59.7 | 25.9 |
| PD04012016_slice_81 | 0.792 | 0.191 | 0.122 | 0.794 | 178.1 | 92.2 | 0.608 | 189.0 | 120.1 | 0.619 | 59.8 | 26.0 |
| PD04012016_slice_82 | 0.793 | 0.191 | 0.123 | 0.794 | 178.0 | 92.4 | 0.610 | 189.2 | 120.7 | 0.620 | 60.4 | 26.2 |
| PD04012016_slice_83 | 0.799 | 0.187 | 0.119 | 0.801 | 175.1 | 89.6 | 0.614 | 185.4 | 116.6 | 0.624 | 59.0 | 25.3 |
| PD04012016_slice_84 | 0.799 | 0.186 | 0.118 | 0.801 | 173.2 | 88.9 | 0.616 | 183.8 | 115.9 | 0.624 | 58.6 | 25.2 |
| PD04012016_slice_85 | 0.800 | 0.185 | 0.118 | 0.802 | 172.4 | 88.6 | 0.618 | 182.7 | 115.2 | 0.624 | 58.6 | 25.3 |
| PD04012016_slice_86 | 0.800 | 0.185 | 0.119 | 0.801 | 173.0 | 89.6 | 0.616 | 183.5 | 116.5 | 0.618 | 59.1 | 25.6 |
| PD04012016_slice_87 | 0.802 | 0.186 | 0.119 | 0.804 | 173.3 | 89.4 | 0.619 | 183.7 | 116.3 | 0.618 | 59.0 | 25.6 |
| PD04012016_slice_88 | 0.806 | 0.184 | 0.118 | 0.807 | 170.8 | 88.2 | 0.622 | 181.5 | 115.4 | 0.617 | 58.7 | 25.3 |
| PD04012016_slice_89 | 0.808 | 0.181 | 0.116 | 0.810 | 168.1 | 86.4 | 0.622 | 179.1 | 113.8 | 0.616 | 58.5 | 25.1 |
| PD04012016_slice_90 | 0.807 | 0.177 | 0.114 | 0.809 | 164.3 | 84.4 | 0.618 | 175.1 | 111.3 | 0.614 | 57.7 | 24.9 |
| PD04012016_slice_91 | 0.805 | 0.172 | 0.109 | 0.807 | 160.1 | 82.0 | 0.612 | 169.6 | 106.9 | 0.610 | 56.7 | 24.7 |
| PD04012016_slice_92 | 0.800 | 0.169 | 0.108 | 0.802 | 157.5 | 81.5 | 0.605 | 166.6 | 105.8 | 0.608 | 57.0 | 25.1 |
| PD04012016_slice_93 | 0.799 | 0.170 | 0.112 | 0.801 | 156.7 | 83.1 | 0.606 | 167.5 | 109.5 | 0.606 | 56.7 | 25.3 |
| PD04012016_slice_94 | 0.806 | 0.168 | 0.111 | 0.808 | 154.3 | 81.8 | 0.612 | 165.7 | 108.5 | 0.609 | 55.2 | 24.4 |
| PD04012016_slice_95 | 0.804 | 0.167 | 0.111 | 0.805 | 153.6 | 81.8 | 0.609 | 164.8 | 108.2 | 0.607 | 54.9 | 24.4 |
| PD04012016_slice_96 | 0.803 | 0.167 | 0.111 | 0.804 | 153.4 | 81.9 | 0.610 | 165.2 | 108.8 | 0.610 | 54.2 | 24.2 |
| PD04012016_slice_97 | 0.800 | 0.168 | 0.113 | 0.801 | 153.7 | 82.9 | 0.610 | 166.3 | 110.7 | 0.612 | 54.4 | 24.5 |
4Γ3 grid: Rows show different image types (Original NATIVE, Reconstructed NATIVE, Original VENOUS, Generated VENOUS), Columns show windowing techniques (No Window, Lung Window, Mediastinum Window)