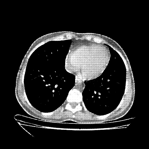
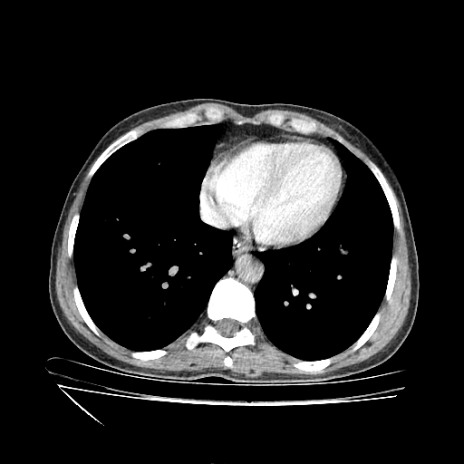
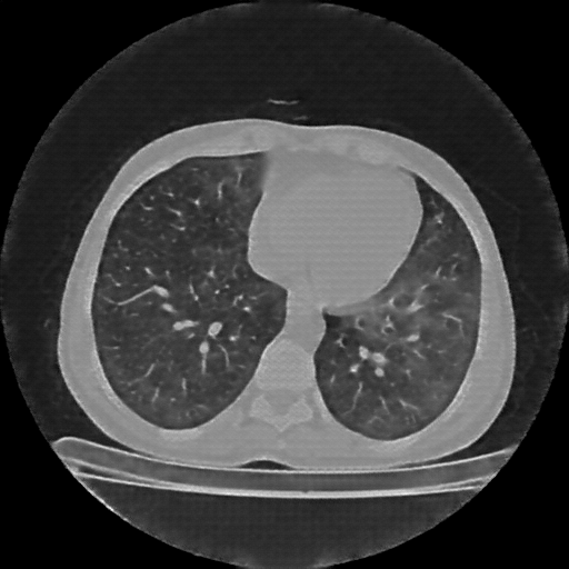
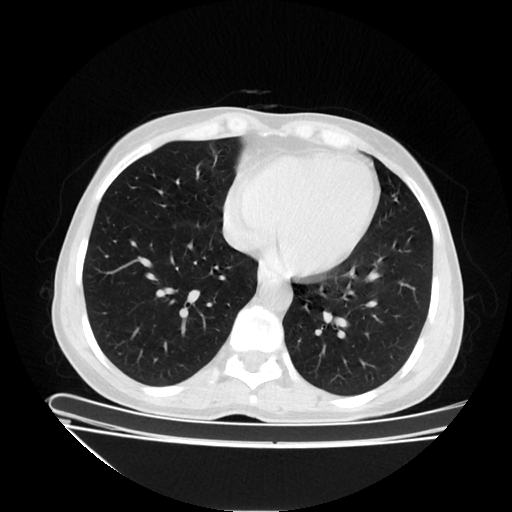
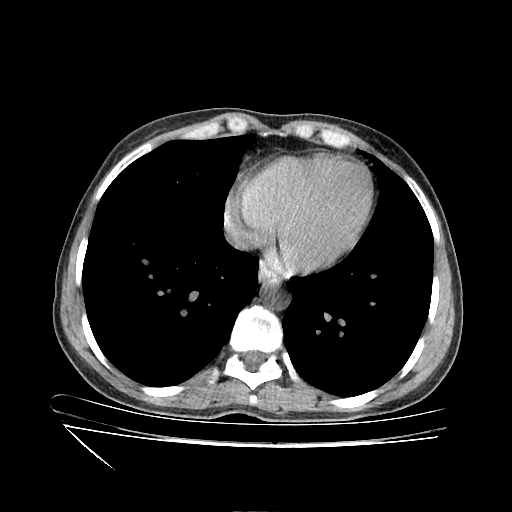
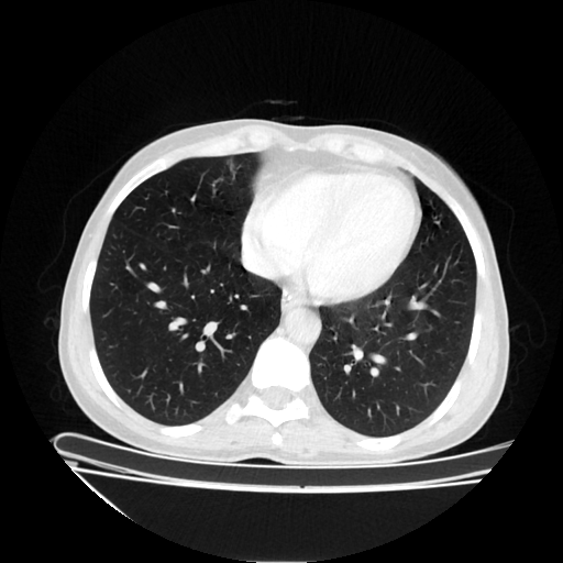
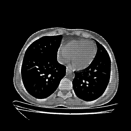
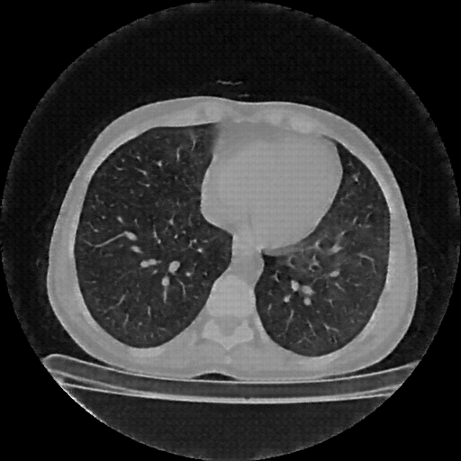
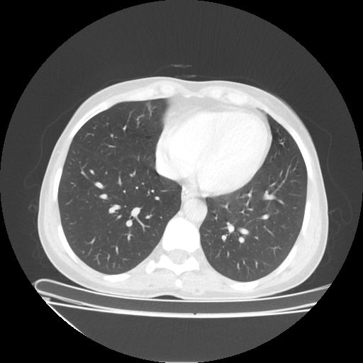
Slice 70 Targeting Evaluation
Patient ID: PP08072020
Model: cytran
Slice: Slice_70
Slice Thickness: 2.5mm
Conversion: NATIVE β VENOUS
Contains all 4 metric datasets: Network-Normalized, Hounsfield Units, Lung Window, and Mediastinum Window
| Slice ID | SSIM | RMSE | MAE | HU SSIM | HU RMSE | HU MAE | Lung SSIM | Lung RMSE | Lung MAE | Mediastinum SSIM | Mediastinum RMSE | Mediastinum MAE |
|---|---|---|---|---|---|---|---|---|---|---|---|---|
| PP08072020_slice_0 | 0.842 | 0.120 | 0.085 | 0.847 | 105.8 | 61.5 | 0.638 | 116.4 | 80.9 | 0.672 | 43.8 | 19.3 |
| PP08072020_slice_1 | 0.827 | 0.128 | 0.090 | 0.832 | 114.0 | 64.7 | 0.624 | 124.7 | 85.8 | 0.659 | 47.3 | 20.5 |
| PP08072020_slice_2 | 0.808 | 0.118 | 0.081 | 0.815 | 106.3 | 59.8 | 0.601 | 113.6 | 77.5 | 0.649 | 50.2 | 22.0 |
| PP08072020_slice_3 | 0.807 | 0.118 | 0.084 | 0.814 | 104.5 | 60.8 | 0.606 | 114.9 | 80.6 | 0.652 | 50.2 | 22.1 |
| PP08072020_slice_4 | 0.815 | 0.121 | 0.085 | 0.821 | 108.4 | 61.9 | 0.614 | 118.8 | 81.4 | 0.659 | 49.7 | 21.3 |
| PP08072020_slice_5 | 0.847 | 0.125 | 0.091 | 0.852 | 108.5 | 65.0 | 0.653 | 122.1 | 87.6 | 0.684 | 43.3 | 18.6 |
| PP08072020_slice_6 | 0.854 | 0.119 | 0.088 | 0.859 | 103.5 | 62.1 | 0.660 | 116.4 | 83.5 | 0.690 | 42.1 | 17.9 |
| PP08072020_slice_7 | 0.853 | 0.120 | 0.088 | 0.858 | 104.7 | 62.6 | 0.659 | 117.1 | 83.7 | 0.692 | 42.0 | 17.8 |
| PP08072020_slice_8 | 0.850 | 0.115 | 0.082 | 0.855 | 101.5 | 59.3 | 0.654 | 111.6 | 77.8 | 0.694 | 42.0 | 17.6 |
| PP08072020_slice_9 | 0.856 | 0.112 | 0.079 | 0.862 | 99.1 | 57.6 | 0.661 | 108.6 | 75.3 | 0.703 | 40.6 | 16.9 |
| PP08072020_slice_10 | 0.858 | 0.110 | 0.078 | 0.863 | 97.8 | 57.1 | 0.664 | 106.3 | 73.8 | 0.710 | 40.5 | 16.6 |
| PP08072020_slice_11 | 0.854 | 0.109 | 0.077 | 0.860 | 98.2 | 56.9 | 0.657 | 105.7 | 72.8 | 0.710 | 40.5 | 16.4 |
| PP08072020_slice_12 | 0.854 | 0.114 | 0.080 | 0.859 | 102.8 | 59.6 | 0.658 | 110.4 | 75.9 | 0.714 | 40.6 | 16.2 |
| PP08072020_slice_13 | 0.848 | 0.120 | 0.086 | 0.853 | 109.4 | 65.2 | 0.656 | 116.8 | 81.8 | 0.717 | 42.4 | 17.3 |
| PP08072020_slice_14 | 0.831 | 0.121 | 0.086 | 0.837 | 111.5 | 66.8 | 0.635 | 116.5 | 80.9 | 0.710 | 45.0 | 18.8 |
| PP08072020_slice_15 | 0.817 | 0.124 | 0.088 | 0.823 | 115.3 | 70.0 | 0.616 | 119.0 | 83.0 | 0.702 | 46.7 | 19.5 |
| PP08072020_slice_16 | 0.820 | 0.126 | 0.093 | 0.825 | 116.4 | 72.6 | 0.621 | 121.7 | 87.8 | 0.709 | 46.7 | 19.2 |
| PP08072020_slice_17 | 0.819 | 0.121 | 0.085 | 0.825 | 114.0 | 68.4 | 0.619 | 116.3 | 79.3 | 0.712 | 45.7 | 18.5 |
| PP08072020_slice_18 | 0.812 | 0.125 | 0.088 | 0.818 | 117.6 | 70.9 | 0.610 | 119.7 | 81.9 | 0.712 | 46.9 | 19.1 |
| PP08072020_slice_19 | 0.799 | 0.134 | 0.098 | 0.804 | 124.8 | 78.1 | 0.599 | 128.9 | 92.4 | 0.709 | 48.7 | 20.7 |
| PP08072020_slice_20 | 0.793 | 0.136 | 0.099 | 0.798 | 126.9 | 79.0 | 0.593 | 131.1 | 93.5 | 0.705 | 49.4 | 21.0 |
| PP08072020_slice_21 | 0.791 | 0.134 | 0.096 | 0.797 | 126.4 | 77.3 | 0.590 | 129.2 | 90.2 | 0.701 | 49.6 | 20.8 |
| PP08072020_slice_22 | 0.796 | 0.130 | 0.091 | 0.802 | 123.5 | 74.3 | 0.595 | 125.5 | 85.6 | 0.702 | 49.5 | 20.4 |
| PP08072020_slice_23 | 0.797 | 0.129 | 0.092 | 0.803 | 122.3 | 75.0 | 0.598 | 124.5 | 86.5 | 0.703 | 50.3 | 20.8 |
| PP08072020_slice_24 | 0.789 | 0.127 | 0.090 | 0.796 | 120.9 | 74.6 | 0.590 | 121.7 | 84.1 | 0.703 | 51.3 | 21.3 |
| PP08072020_slice_25 | 0.794 | 0.126 | 0.088 | 0.801 | 120.0 | 73.6 | 0.593 | 120.2 | 81.9 | 0.708 | 50.5 | 20.6 |
| PP08072020_slice_26 | 0.801 | 0.126 | 0.087 | 0.808 | 120.8 | 72.9 | 0.599 | 120.6 | 80.5 | 0.714 | 49.2 | 19.8 |
| PP08072020_slice_27 | 0.803 | 0.133 | 0.096 | 0.809 | 126.0 | 79.0 | 0.602 | 128.5 | 91.2 | 0.715 | 49.5 | 20.0 |
| PP08072020_slice_28 | 0.800 | 0.136 | 0.102 | 0.804 | 126.7 | 81.8 | 0.600 | 131.6 | 97.2 | 0.711 | 49.5 | 20.2 |
| PP08072020_slice_29 | 0.783 | 0.136 | 0.104 | 0.787 | 127.2 | 84.4 | 0.580 | 130.9 | 98.7 | 0.704 | 52.5 | 22.0 |
| PP08072020_slice_30 | 0.773 | 0.130 | 0.098 | 0.779 | 123.6 | 81.8 | 0.571 | 124.9 | 92.0 | 0.706 | 52.9 | 22.6 |
| PP08072020_slice_31 | 0.775 | 0.131 | 0.100 | 0.780 | 123.8 | 82.6 | 0.573 | 126.3 | 94.4 | 0.709 | 52.0 | 22.2 |
| PP08072020_slice_32 | 0.771 | 0.134 | 0.104 | 0.776 | 126.2 | 84.8 | 0.571 | 129.8 | 98.3 | 0.707 | 52.7 | 22.6 |
| PP08072020_slice_33 | 0.768 | 0.147 | 0.118 | 0.772 | 135.5 | 93.7 | 0.571 | 143.0 | 113.1 | 0.709 | 53.6 | 23.0 |
| PP08072020_slice_34 | 0.778 | 0.144 | 0.109 | 0.782 | 134.4 | 87.9 | 0.576 | 139.4 | 104.0 | 0.710 | 51.9 | 21.8 |
| PP08072020_slice_35 | 0.781 | 0.142 | 0.105 | 0.786 | 133.0 | 84.1 | 0.576 | 137.9 | 99.7 | 0.707 | 50.4 | 20.7 |
| PP08072020_slice_36 | 0.782 | 0.139 | 0.102 | 0.787 | 130.1 | 81.9 | 0.576 | 134.6 | 96.7 | 0.711 | 49.9 | 20.3 |
| PP08072020_slice_37 | 0.788 | 0.133 | 0.092 | 0.794 | 126.7 | 76.5 | 0.581 | 128.4 | 86.8 | 0.713 | 48.9 | 19.6 |
| PP08072020_slice_38 | 0.786 | 0.132 | 0.090 | 0.793 | 126.5 | 75.2 | 0.579 | 127.8 | 84.8 | 0.710 | 49.7 | 19.9 |
| PP08072020_slice_39 | 0.778 | 0.137 | 0.099 | 0.784 | 129.4 | 80.8 | 0.573 | 132.7 | 93.7 | 0.702 | 51.6 | 21.2 |
| PP08072020_slice_40 | 0.777 | 0.140 | 0.103 | 0.782 | 132.1 | 84.4 | 0.570 | 135.9 | 98.5 | 0.706 | 50.7 | 21.0 |
| PP08072020_slice_41 | 0.767 | 0.145 | 0.112 | 0.771 | 136.0 | 90.2 | 0.564 | 141.6 | 106.9 | 0.706 | 51.5 | 21.8 |
| PP08072020_slice_42 | 0.768 | 0.138 | 0.105 | 0.773 | 129.7 | 85.2 | 0.562 | 133.7 | 99.4 | 0.705 | 52.1 | 21.7 |
| PP08072020_slice_43 | 0.769 | 0.131 | 0.097 | 0.775 | 125.0 | 81.2 | 0.558 | 126.1 | 91.1 | 0.706 | 52.4 | 21.7 |
| PP08072020_slice_44 | 0.769 | 0.136 | 0.103 | 0.775 | 128.6 | 85.3 | 0.562 | 130.8 | 97.4 | 0.707 | 52.4 | 21.8 |
| PP08072020_slice_45 | 0.770 | 0.137 | 0.102 | 0.776 | 130.2 | 84.9 | 0.560 | 132.3 | 96.5 | 0.708 | 51.4 | 21.2 |
| PP08072020_slice_46 | 0.764 | 0.141 | 0.105 | 0.770 | 133.3 | 86.5 | 0.552 | 136.0 | 99.0 | 0.704 | 52.2 | 21.7 |
| PP08072020_slice_47 | 0.757 | 0.145 | 0.108 | 0.763 | 137.5 | 88.3 | 0.547 | 141.4 | 102.5 | 0.702 | 52.6 | 22.1 |
| PP08072020_slice_48 | 0.746 | 0.149 | 0.108 | 0.751 | 142.4 | 90.6 | 0.536 | 144.7 | 102.8 | 0.697 | 53.9 | 22.6 |
| PP08072020_slice_49 | 0.735 | 0.153 | 0.114 | 0.740 | 145.7 | 94.6 | 0.528 | 148.8 | 108.5 | 0.686 | 56.7 | 24.0 |
| PP08072020_slice_50 | 0.726 | 0.161 | 0.121 | 0.731 | 153.1 | 100.9 | 0.522 | 156.2 | 115.9 | 0.681 | 60.8 | 25.8 |
| PP08072020_slice_51 | 0.733 | 0.172 | 0.127 | 0.738 | 164.6 | 106.3 | 0.530 | 168.2 | 122.1 | 0.691 | 57.8 | 24.3 |
| PP08072020_slice_52 | 0.741 | 0.162 | 0.120 | 0.746 | 155.7 | 101.4 | 0.533 | 157.5 | 113.8 | 0.696 | 55.7 | 22.9 |
| PP08072020_slice_53 | 0.743 | 0.154 | 0.112 | 0.749 | 148.1 | 96.0 | 0.536 | 148.3 | 106.1 | 0.691 | 57.3 | 23.6 |
| PP08072020_slice_54 | 0.737 | 0.153 | 0.107 | 0.745 | 148.7 | 93.3 | 0.528 | 147.4 | 99.9 | 0.690 | 56.5 | 23.4 |
| PP08072020_slice_55 | 0.740 | 0.155 | 0.112 | 0.747 | 150.1 | 96.3 | 0.531 | 149.8 | 105.1 | 0.695 | 56.1 | 23.1 |
| PP08072020_slice_56 | 0.742 | 0.150 | 0.108 | 0.749 | 145.6 | 93.8 | 0.530 | 144.9 | 101.6 | 0.695 | 55.7 | 22.9 |
| PP08072020_slice_57 | 0.740 | 0.146 | 0.102 | 0.748 | 142.5 | 90.0 | 0.531 | 139.9 | 94.0 | 0.700 | 56.0 | 22.9 |
| PP08072020_slice_58 | 0.733 | 0.151 | 0.110 | 0.740 | 146.7 | 96.0 | 0.523 | 144.7 | 102.0 | 0.698 | 58.0 | 23.9 |
| PP08072020_slice_59 | 0.736 | 0.152 | 0.110 | 0.742 | 147.7 | 95.7 | 0.525 | 145.6 | 102.2 | 0.701 | 58.5 | 23.9 |
| PP08072020_slice_60 | 0.729 | 0.155 | 0.110 | 0.735 | 151.3 | 96.1 | 0.518 | 148.9 | 102.2 | 0.699 | 59.0 | 24.0 |
| PP08072020_slice_61 | 0.726 | 0.163 | 0.116 | 0.733 | 158.4 | 101.0 | 0.514 | 156.8 | 109.1 | 0.703 | 59.0 | 23.8 |
| PP08072020_slice_62 | 0.727 | 0.166 | 0.121 | 0.733 | 160.9 | 104.4 | 0.517 | 160.2 | 114.1 | 0.704 | 58.8 | 23.7 |
| PP08072020_slice_63 | 0.744 | 0.161 | 0.117 | 0.749 | 155.0 | 100.3 | 0.536 | 155.4 | 111.0 | 0.709 | 56.0 | 22.3 |
| PP08072020_slice_64 | 0.745 | 0.164 | 0.126 | 0.749 | 157.2 | 106.1 | 0.542 | 159.5 | 120.1 | 0.709 | 56.6 | 22.5 |
| PP08072020_slice_65 | 0.748 | 0.157 | 0.119 | 0.753 | 151.2 | 102.4 | 0.546 | 151.7 | 112.7 | 0.718 | 55.5 | 22.1 |
| PP08072020_slice_66 | 0.745 | 0.156 | 0.119 | 0.750 | 150.3 | 102.5 | 0.544 | 150.2 | 111.7 | 0.718 | 55.9 | 22.3 |
| PP08072020_slice_67 | 0.741 | 0.155 | 0.116 | 0.747 | 150.9 | 101.9 | 0.540 | 149.0 | 107.8 | 0.720 | 56.3 | 22.2 |
| PP08072020_slice_68 | 0.732 | 0.165 | 0.126 | 0.738 | 160.1 | 110.5 | 0.530 | 158.8 | 117.9 | 0.723 | 57.7 | 22.8 |
| PP08072020_slice_69 | 0.730 | 0.167 | 0.125 | 0.736 | 163.0 | 111.6 | 0.528 | 160.5 | 116.8 | 0.727 | 58.4 | 23.1 |
| PP08072020_slice_70 | 0.727 | 0.171 | 0.130 | 0.734 | 166.5 | 115.4 | 0.527 | 164.1 | 121.4 | 0.726 | 59.9 | 23.5 |
| PP08072020_slice_71 | 0.721 | 0.171 | 0.130 | 0.728 | 167.9 | 116.7 | 0.524 | 163.9 | 120.2 | 0.726 | 61.6 | 24.3 |
| PP08072020_slice_72 | 0.722 | 0.172 | 0.128 | 0.730 | 168.4 | 116.2 | 0.528 | 164.1 | 118.6 | 0.726 | 61.2 | 24.0 |
| PP08072020_slice_73 | 0.724 | 0.167 | 0.120 | 0.734 | 163.9 | 109.4 | 0.539 | 158.0 | 107.5 | 0.729 | 60.2 | 23.2 |
| PP08072020_slice_74 | 0.724 | 0.160 | 0.112 | 0.736 | 156.0 | 100.0 | 0.558 | 148.9 | 94.8 | 0.732 | 59.8 | 22.9 |
| PP08072020_slice_75 | 0.710 | 0.164 | 0.117 | 0.723 | 159.6 | 105.0 | 0.548 | 151.7 | 98.6 | 0.729 | 62.0 | 24.6 |
| PP08072020_slice_76 | 0.707 | 0.162 | 0.116 | 0.719 | 158.0 | 104.8 | 0.549 | 150.0 | 98.5 | 0.730 | 63.7 | 25.9 |
| PP08072020_slice_77 | 0.700 | 0.164 | 0.120 | 0.711 | 161.1 | 109.4 | 0.535 | 153.2 | 104.3 | 0.727 | 67.0 | 27.7 |
| PP08072020_slice_78 | 0.700 | 0.161 | 0.117 | 0.712 | 157.1 | 105.7 | 0.548 | 148.9 | 99.4 | 0.727 | 65.9 | 27.3 |
| PP08072020_slice_79 | 0.702 | 0.158 | 0.116 | 0.717 | 151.8 | 101.0 | 0.560 | 143.0 | 93.8 | 0.729 | 64.3 | 26.5 |
| PP08072020_slice_80 | 0.703 | 0.160 | 0.119 | 0.714 | 156.0 | 108.0 | 0.548 | 147.6 | 101.9 | 0.727 | 65.3 | 27.4 |
| PP08072020_slice_81 | 0.715 | 0.161 | 0.122 | 0.724 | 157.8 | 111.3 | 0.545 | 150.8 | 108.1 | 0.728 | 64.0 | 26.7 |
| PP08072020_slice_82 | 0.710 | 0.170 | 0.127 | 0.718 | 167.0 | 116.4 | 0.536 | 161.1 | 114.8 | 0.718 | 64.5 | 27.6 |
| PP08072020_slice_83 | 0.713 | 0.167 | 0.124 | 0.720 | 163.5 | 112.5 | 0.538 | 158.9 | 113.2 | 0.706 | 64.9 | 28.2 |
| PP08072020_slice_84 | 0.723 | 0.160 | 0.114 | 0.731 | 156.7 | 103.0 | 0.545 | 152.9 | 104.6 | 0.701 | 63.7 | 27.2 |
| PP08072020_slice_85 | 0.742 | 0.156 | 0.103 | 0.751 | 152.9 | 93.4 | 0.565 | 149.1 | 93.1 | 0.702 | 60.5 | 25.1 |
| PP08072020_slice_86 | 0.758 | 0.157 | 0.098 | 0.768 | 154.1 | 88.0 | 0.583 | 150.7 | 87.4 | 0.705 | 58.1 | 23.3 |
| PP08072020_slice_87 | 0.759 | 0.166 | 0.108 | 0.766 | 162.9 | 95.8 | 0.574 | 161.4 | 101.3 | 0.696 | 59.7 | 24.7 |
| PP08072020_slice_88 | 0.764 | 0.170 | 0.110 | 0.770 | 166.4 | 96.5 | 0.573 | 165.8 | 104.2 | 0.693 | 59.3 | 24.2 |
| PP08072020_slice_89 | 0.770 | 0.170 | 0.108 | 0.776 | 165.8 | 94.0 | 0.580 | 165.9 | 102.8 | 0.690 | 58.3 | 23.7 |
| PP08072020_slice_90 | 0.770 | 0.167 | 0.106 | 0.776 | 162.9 | 92.6 | 0.581 | 162.9 | 100.9 | 0.684 | 57.6 | 24.0 |
| PP08072020_slice_91 | 0.776 | 0.165 | 0.107 | 0.782 | 160.3 | 91.9 | 0.584 | 161.4 | 102.3 | 0.681 | 56.6 | 23.4 |
| PP08072020_slice_92 | 0.787 | 0.164 | 0.107 | 0.792 | 159.1 | 89.9 | 0.592 | 161.4 | 102.2 | 0.682 | 54.6 | 22.3 |
| PP08072020_slice_93 | 0.788 | 0.169 | 0.116 | 0.792 | 161.6 | 94.2 | 0.596 | 166.7 | 111.8 | 0.678 | 54.8 | 22.5 |
| PP08072020_slice_94 | 0.795 | 0.163 | 0.106 | 0.800 | 155.9 | 86.6 | 0.600 | 159.9 | 101.7 | 0.676 | 53.8 | 21.9 |
| PP08072020_slice_95 | 0.801 | 0.156 | 0.098 | 0.806 | 150.2 | 80.8 | 0.601 | 153.5 | 94.5 | 0.673 | 53.0 | 21.5 |
| PP08072020_slice_96 | 0.802 | 0.154 | 0.099 | 0.807 | 147.5 | 80.4 | 0.604 | 151.9 | 95.9 | 0.669 | 53.2 | 21.6 |
| PP08072020_slice_97 | 0.804 | 0.149 | 0.096 | 0.809 | 142.1 | 77.6 | 0.601 | 146.6 | 93.0 | 0.663 | 52.6 | 21.5 |
| PP08072020_slice_98 | 0.805 | 0.141 | 0.090 | 0.811 | 134.7 | 72.5 | 0.595 | 138.3 | 86.0 | 0.658 | 52.1 | 21.6 |
| PP08072020_slice_99 | 0.809 | 0.140 | 0.089 | 0.815 | 133.5 | 71.0 | 0.598 | 137.6 | 85.1 | 0.656 | 50.5 | 21.1 |
| PP08072020_slice_100 | 0.811 | 0.140 | 0.088 | 0.816 | 133.1 | 70.2 | 0.600 | 137.6 | 84.9 | 0.654 | 49.4 | 20.9 |
| PP08072020_slice_101 | 0.811 | 0.138 | 0.085 | 0.818 | 132.3 | 68.7 | 0.597 | 135.3 | 81.1 | 0.652 | 50.4 | 21.0 |
| PP08072020_slice_102 | 0.814 | 0.135 | 0.084 | 0.820 | 128.8 | 67.5 | 0.598 | 132.0 | 80.5 | 0.651 | 49.9 | 20.7 |
| PP08072020_slice_103 | 0.814 | 0.131 | 0.082 | 0.821 | 125.0 | 65.9 | 0.596 | 128.0 | 78.5 | 0.649 | 49.6 | 20.9 |
| PP08072020_slice_104 | 0.820 | 0.124 | 0.081 | 0.827 | 117.1 | 64.2 | 0.603 | 121.3 | 77.5 | 0.654 | 48.4 | 20.7 |
| PP08072020_slice_105 | 0.829 | 0.116 | 0.077 | 0.836 | 108.3 | 60.6 | 0.613 | 112.3 | 72.9 | 0.659 | 46.7 | 20.1 |
| PP08072020_slice_106 | 0.833 | 0.110 | 0.074 | 0.840 | 102.9 | 58.4 | 0.617 | 106.6 | 69.9 | 0.663 | 45.9 | 19.8 |
| PP08072020_slice_107 | 0.838 | 0.112 | 0.076 | 0.845 | 104.3 | 59.4 | 0.625 | 109.1 | 72.5 | 0.665 | 45.6 | 19.7 |
| PP08072020_slice_108 | 0.842 | 0.116 | 0.080 | 0.847 | 107.0 | 61.3 | 0.631 | 113.3 | 76.6 | 0.668 | 44.9 | 19.3 |
| PP08072020_slice_109 | 0.836 | 0.118 | 0.078 | 0.842 | 109.7 | 61.0 | 0.624 | 114.4 | 74.6 | 0.666 | 45.9 | 19.7 |
| PP08072020_slice_110 | 0.833 | 0.117 | 0.077 | 0.839 | 110.3 | 60.5 | 0.620 | 114.1 | 72.8 | 0.666 | 46.7 | 20.1 |
| PP08072020_slice_111 | 0.832 | 0.118 | 0.077 | 0.838 | 111.0 | 60.9 | 0.617 | 114.9 | 73.4 | 0.664 | 46.7 | 20.2 |
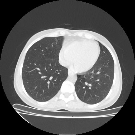
4Γ3 grid: Rows show different image types (Original NATIVE, Reconstructed NATIVE, Original VENOUS, Generated VENOUS), Columns show windowing techniques (No Window, Lung Window, Mediastinum Window)