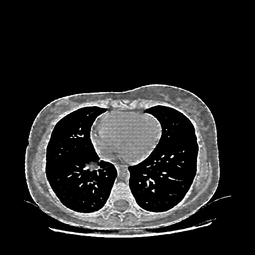
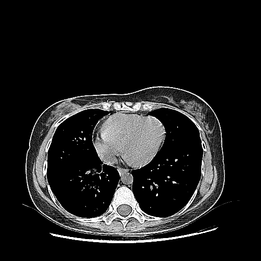
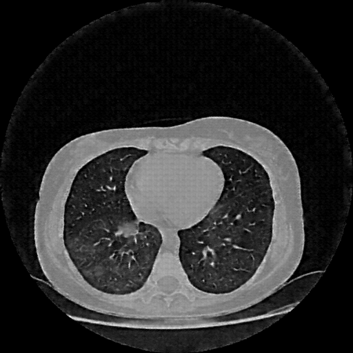
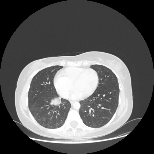
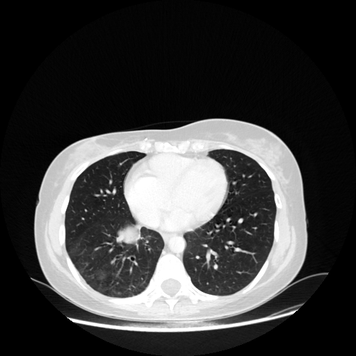
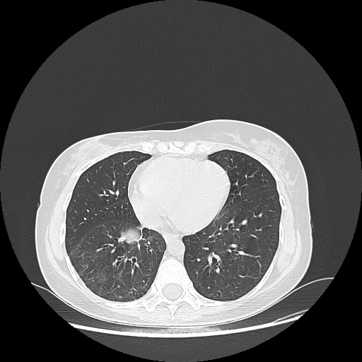
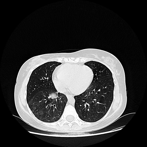
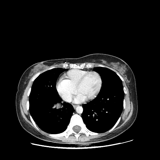
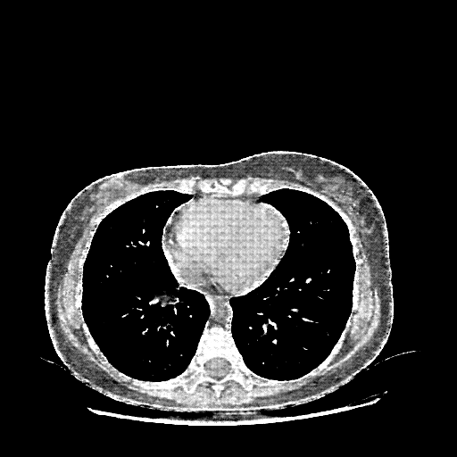
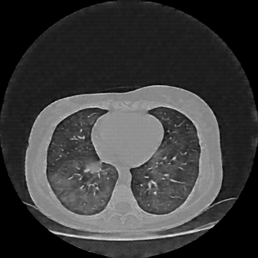
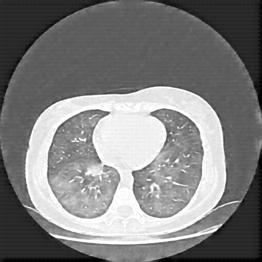
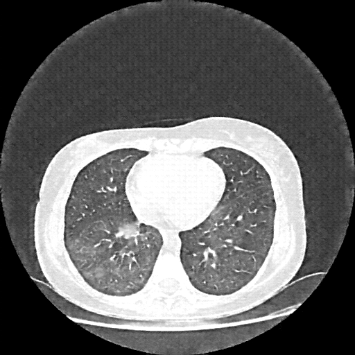
Slice 70 Targeting Evaluation
Patient ID: BMG07082017
Model: cytran
Slice: Slice_70
Slice Thickness: 2.5mm
Conversion: NATIVE β VENOUS
Contains all 4 metric datasets: Network-Normalized, Hounsfield Units, Lung Window, and Mediastinum Window
| Slice ID | SSIM | RMSE | MAE | HU SSIM | HU RMSE | HU MAE | Lung SSIM | Lung RMSE | Lung MAE | Mediastinum SSIM | Mediastinum RMSE | Mediastinum MAE |
|---|---|---|---|---|---|---|---|---|---|---|---|---|
| BMG07082017_slice_0 | 0.820 | 0.106 | 0.062 | 0.833 | 100.4 | 51.8 | 0.625 | 93.3 | 50.7 | 0.679 | 51.4 | 21.0 |
| BMG07082017_slice_1 | 0.826 | 0.111 | 0.073 | 0.834 | 104.7 | 59.4 | 0.615 | 101.8 | 66.0 | 0.678 | 50.9 | 20.8 |
| BMG07082017_slice_2 | 0.816 | 0.114 | 0.074 | 0.824 | 108.9 | 61.8 | 0.609 | 103.9 | 66.1 | 0.674 | 52.6 | 21.7 |
| BMG07082017_slice_3 | 0.812 | 0.113 | 0.067 | 0.824 | 108.4 | 56.7 | 0.605 | 101.3 | 56.5 | 0.674 | 52.4 | 21.5 |
| BMG07082017_slice_4 | 0.821 | 0.116 | 0.071 | 0.829 | 110.6 | 59.6 | 0.608 | 106.0 | 63.8 | 0.680 | 51.0 | 20.7 |
| BMG07082017_slice_5 | 0.809 | 0.119 | 0.070 | 0.818 | 114.2 | 59.3 | 0.598 | 108.1 | 61.0 | 0.680 | 53.0 | 21.4 |
| BMG07082017_slice_6 | 0.806 | 0.118 | 0.067 | 0.818 | 113.6 | 56.9 | 0.602 | 107.2 | 56.9 | 0.684 | 52.0 | 20.9 |
| BMG07082017_slice_7 | 0.802 | 0.121 | 0.067 | 0.816 | 115.5 | 56.7 | 0.609 | 108.7 | 55.3 | 0.687 | 51.9 | 20.9 |
| BMG07082017_slice_8 | 0.799 | 0.124 | 0.068 | 0.814 | 117.6 | 56.3 | 0.611 | 110.4 | 54.3 | 0.688 | 52.5 | 21.0 |
| BMG07082017_slice_9 | 0.800 | 0.122 | 0.068 | 0.813 | 117.6 | 57.8 | 0.603 | 111.2 | 57.0 | 0.692 | 52.8 | 20.9 |
| BMG07082017_slice_10 | 0.796 | 0.125 | 0.070 | 0.809 | 120.3 | 59.1 | 0.604 | 113.2 | 57.7 | 0.695 | 54.0 | 21.2 |
| BMG07082017_slice_11 | 0.796 | 0.127 | 0.071 | 0.813 | 119.7 | 56.4 | 0.616 | 112.3 | 53.6 | 0.697 | 53.1 | 20.7 |
| BMG07082017_slice_12 | 0.798 | 0.128 | 0.070 | 0.815 | 120.7 | 56.7 | 0.618 | 113.2 | 53.8 | 0.700 | 52.7 | 20.3 |
| BMG07082017_slice_13 | 0.798 | 0.130 | 0.072 | 0.818 | 121.3 | 55.7 | 0.622 | 114.0 | 52.7 | 0.701 | 52.1 | 20.0 |
| BMG07082017_slice_14 | 0.795 | 0.132 | 0.074 | 0.817 | 121.2 | 54.9 | 0.620 | 114.1 | 52.3 | 0.706 | 52.3 | 19.9 |
| BMG07082017_slice_15 | 0.789 | 0.137 | 0.081 | 0.816 | 122.2 | 54.6 | 0.616 | 115.0 | 52.7 | 0.705 | 53.4 | 20.1 |
| BMG07082017_slice_16 | 0.782 | 0.137 | 0.079 | 0.805 | 124.8 | 57.5 | 0.613 | 116.3 | 54.1 | 0.706 | 55.3 | 21.0 |
| BMG07082017_slice_17 | 0.785 | 0.137 | 0.079 | 0.808 | 124.5 | 56.7 | 0.617 | 116.0 | 53.6 | 0.712 | 54.8 | 20.5 |
| BMG07082017_slice_18 | 0.775 | 0.157 | 0.100 | 0.814 | 126.3 | 55.5 | 0.604 | 118.9 | 56.2 | 0.713 | 54.4 | 20.2 |
| BMG07082017_slice_19 | 0.768 | 0.158 | 0.100 | 0.806 | 128.1 | 56.9 | 0.597 | 120.3 | 56.7 | 0.710 | 55.2 | 20.6 |
| BMG07082017_slice_20 | 0.769 | 0.151 | 0.092 | 0.800 | 129.0 | 58.0 | 0.601 | 120.6 | 56.0 | 0.711 | 55.2 | 20.6 |
| BMG07082017_slice_21 | 0.765 | 0.152 | 0.093 | 0.795 | 131.4 | 59.5 | 0.601 | 122.7 | 57.3 | 0.712 | 55.8 | 20.9 |
| BMG07082017_slice_22 | 0.757 | 0.152 | 0.092 | 0.783 | 135.5 | 63.0 | 0.596 | 124.8 | 59.3 | 0.709 | 57.3 | 21.7 |
| BMG07082017_slice_23 | 0.739 | 0.168 | 0.108 | 0.776 | 138.0 | 63.6 | 0.582 | 128.3 | 62.1 | 0.708 | 59.4 | 22.8 |
| BMG07082017_slice_24 | 0.729 | 0.179 | 0.118 | 0.772 | 141.1 | 64.8 | 0.568 | 131.8 | 64.9 | 0.708 | 60.3 | 23.1 |
| BMG07082017_slice_25 | 0.722 | 0.190 | 0.126 | 0.769 | 143.8 | 65.6 | 0.559 | 135.0 | 67.3 | 0.711 | 60.6 | 23.0 |
| BMG07082017_slice_26 | 0.728 | 0.182 | 0.119 | 0.769 | 146.2 | 66.9 | 0.563 | 136.5 | 66.5 | 0.713 | 60.3 | 22.5 |
| BMG07082017_slice_27 | 0.730 | 0.174 | 0.109 | 0.762 | 149.2 | 69.7 | 0.566 | 138.4 | 66.3 | 0.715 | 60.2 | 22.5 |
| BMG07082017_slice_28 | 0.723 | 0.196 | 0.131 | 0.772 | 146.9 | 66.9 | 0.555 | 139.5 | 69.4 | 0.719 | 58.8 | 21.6 |
| BMG07082017_slice_29 | 0.718 | 0.222 | 0.153 | 0.779 | 148.5 | 66.4 | 0.549 | 144.2 | 75.2 | 0.719 | 58.3 | 21.0 |
| BMG07082017_slice_30 | 0.708 | 0.235 | 0.164 | 0.775 | 148.7 | 67.2 | 0.540 | 145.0 | 77.9 | 0.721 | 59.7 | 21.6 |
| BMG07082017_slice_31 | 0.711 | 0.210 | 0.144 | 0.767 | 148.6 | 69.1 | 0.548 | 140.5 | 73.1 | 0.719 | 61.3 | 22.6 |
| BMG07082017_slice_32 | 0.712 | 0.191 | 0.127 | 0.755 | 150.2 | 71.4 | 0.551 | 139.4 | 70.2 | 0.718 | 62.4 | 23.4 |
| BMG07082017_slice_33 | 0.711 | 0.186 | 0.123 | 0.750 | 151.5 | 73.0 | 0.554 | 139.4 | 70.6 | 0.720 | 63.1 | 23.8 |
| BMG07082017_slice_34 | 0.705 | 0.194 | 0.130 | 0.748 | 151.3 | 73.1 | 0.546 | 139.2 | 71.2 | 0.719 | 63.4 | 23.9 |
| BMG07082017_slice_35 | 0.709 | 0.178 | 0.117 | 0.742 | 151.6 | 75.2 | 0.551 | 138.7 | 70.5 | 0.721 | 62.8 | 23.9 |
| BMG07082017_slice_36 | 0.711 | 0.181 | 0.119 | 0.747 | 150.7 | 73.4 | 0.545 | 138.9 | 70.2 | 0.724 | 61.4 | 22.9 |
| BMG07082017_slice_37 | 0.720 | 0.176 | 0.115 | 0.754 | 148.4 | 72.1 | 0.551 | 137.5 | 69.1 | 0.724 | 60.5 | 22.3 |
| BMG07082017_slice_38 | 0.718 | 0.180 | 0.117 | 0.754 | 150.4 | 71.6 | 0.549 | 140.2 | 69.2 | 0.724 | 60.0 | 22.0 |
| BMG07082017_slice_39 | 0.716 | 0.188 | 0.124 | 0.757 | 151.9 | 71.4 | 0.549 | 143.0 | 71.0 | 0.721 | 59.6 | 21.8 |
| BMG07082017_slice_40 | 0.723 | 0.174 | 0.111 | 0.753 | 151.9 | 72.8 | 0.558 | 142.4 | 69.6 | 0.721 | 59.3 | 21.8 |
| BMG07082017_slice_41 | 0.714 | 0.183 | 0.119 | 0.750 | 152.1 | 72.4 | 0.549 | 142.6 | 70.5 | 0.718 | 60.5 | 22.4 |
| BMG07082017_slice_42 | 0.707 | 0.193 | 0.127 | 0.748 | 155.6 | 72.9 | 0.540 | 146.8 | 72.4 | 0.716 | 60.9 | 22.5 |
| BMG07082017_slice_43 | 0.709 | 0.179 | 0.115 | 0.740 | 154.2 | 74.8 | 0.545 | 144.5 | 71.5 | 0.718 | 60.7 | 22.7 |
| BMG07082017_slice_44 | 0.707 | 0.192 | 0.128 | 0.746 | 154.0 | 73.7 | 0.539 | 144.7 | 72.4 | 0.717 | 62.5 | 23.2 |
| BMG07082017_slice_45 | 0.704 | 0.196 | 0.129 | 0.742 | 159.9 | 77.0 | 0.541 | 149.7 | 74.8 | 0.722 | 62.8 | 23.5 |
| BMG07082017_slice_46 | 0.706 | 0.206 | 0.139 | 0.754 | 157.0 | 73.5 | 0.538 | 148.3 | 75.2 | 0.727 | 61.8 | 22.5 |
| BMG07082017_slice_47 | 0.686 | 0.231 | 0.159 | 0.746 | 162.7 | 75.6 | 0.520 | 155.1 | 81.0 | 0.719 | 65.1 | 24.1 |
| BMG07082017_slice_48 | 0.705 | 0.220 | 0.150 | 0.759 | 157.5 | 72.6 | 0.533 | 150.5 | 77.2 | 0.728 | 61.5 | 21.9 |
| BMG07082017_slice_49 | 0.718 | 0.199 | 0.134 | 0.764 | 150.5 | 69.9 | 0.545 | 141.5 | 71.4 | 0.731 | 60.7 | 21.8 |
| BMG07082017_slice_50 | 0.703 | 0.210 | 0.145 | 0.757 | 148.9 | 70.2 | 0.531 | 141.9 | 73.5 | 0.725 | 60.9 | 22.5 |
| BMG07082017_slice_51 | 0.686 | 0.235 | 0.164 | 0.749 | 151.9 | 71.8 | 0.516 | 147.2 | 79.6 | 0.719 | 62.4 | 23.4 |
| BMG07082017_slice_52 | 0.676 | 0.260 | 0.182 | 0.747 | 157.6 | 73.8 | 0.506 | 153.1 | 84.2 | 0.722 | 62.7 | 23.0 |
| BMG07082017_slice_53 | 0.676 | 0.245 | 0.170 | 0.741 | 159.7 | 74.5 | 0.511 | 153.2 | 81.9 | 0.718 | 63.6 | 23.5 |
| BMG07082017_slice_54 | 0.687 | 0.223 | 0.153 | 0.741 | 158.7 | 74.6 | 0.521 | 149.3 | 77.6 | 0.719 | 63.2 | 23.3 |
| BMG07082017_slice_55 | 0.685 | 0.202 | 0.137 | 0.729 | 156.7 | 76.1 | 0.523 | 146.5 | 75.4 | 0.717 | 63.3 | 23.9 |
| BMG07082017_slice_56 | 0.696 | 0.192 | 0.127 | 0.732 | 158.0 | 76.6 | 0.532 | 147.0 | 74.1 | 0.718 | 62.3 | 23.3 |
| BMG07082017_slice_57 | 0.693 | 0.181 | 0.118 | 0.717 | 162.5 | 83.0 | 0.533 | 150.4 | 77.6 | 0.712 | 64.6 | 24.7 |
| BMG07082017_slice_58 | 0.688 | 0.181 | 0.116 | 0.708 | 167.2 | 87.6 | 0.529 | 154.0 | 81.3 | 0.708 | 66.1 | 25.6 |
| BMG07082017_slice_59 | 0.691 | 0.190 | 0.124 | 0.721 | 163.7 | 81.0 | 0.527 | 150.7 | 76.0 | 0.710 | 63.9 | 24.3 |
| BMG07082017_slice_60 | 0.694 | 0.192 | 0.127 | 0.730 | 160.8 | 78.2 | 0.528 | 149.0 | 74.9 | 0.715 | 62.5 | 23.5 |
| BMG07082017_slice_61 | 0.691 | 0.192 | 0.127 | 0.726 | 161.3 | 79.4 | 0.524 | 149.5 | 75.8 | 0.712 | 63.2 | 24.0 |
| BMG07082017_slice_62 | 0.686 | 0.181 | 0.119 | 0.712 | 161.9 | 83.9 | 0.525 | 149.8 | 78.3 | 0.709 | 64.6 | 25.3 |
| BMG07082017_slice_63 | 0.691 | 0.172 | 0.110 | 0.707 | 163.4 | 91.0 | 0.537 | 150.8 | 84.2 | 0.707 | 65.5 | 26.0 |
| BMG07082017_slice_64 | 0.700 | 0.173 | 0.110 | 0.717 | 163.2 | 88.2 | 0.543 | 150.9 | 81.8 | 0.710 | 63.4 | 24.7 |
| BMG07082017_slice_65 | 0.705 | 0.173 | 0.111 | 0.724 | 160.8 | 85.6 | 0.548 | 149.1 | 79.2 | 0.711 | 62.7 | 24.2 |
| BMG07082017_slice_66 | 0.709 | 0.171 | 0.109 | 0.728 | 160.4 | 85.5 | 0.555 | 148.3 | 78.9 | 0.714 | 62.8 | 24.2 |
| BMG07082017_slice_67 | 0.703 | 0.172 | 0.111 | 0.723 | 159.3 | 84.5 | 0.549 | 147.1 | 77.9 | 0.713 | 63.3 | 24.7 |
| BMG07082017_slice_68 | 0.708 | 0.168 | 0.107 | 0.724 | 158.6 | 85.7 | 0.557 | 146.5 | 79.1 | 0.714 | 62.7 | 24.4 |
| BMG07082017_slice_69 | 0.713 | 0.166 | 0.106 | 0.731 | 155.2 | 82.4 | 0.560 | 143.5 | 76.3 | 0.718 | 61.3 | 23.3 |
| BMG07082017_slice_70 | 0.704 | 0.174 | 0.114 | 0.730 | 154.5 | 80.0 | 0.550 | 142.1 | 74.0 | 0.716 | 62.4 | 23.9 |
| BMG07082017_slice_71 | 0.701 | 0.168 | 0.111 | 0.721 | 154.7 | 85.0 | 0.555 | 142.2 | 77.9 | 0.712 | 64.5 | 25.4 |
| BMG07082017_slice_72 | 0.704 | 0.173 | 0.115 | 0.730 | 151.8 | 79.0 | 0.555 | 139.5 | 73.1 | 0.717 | 63.3 | 24.6 |
| BMG07082017_slice_73 | 0.703 | 0.177 | 0.119 | 0.732 | 151.8 | 78.3 | 0.554 | 139.0 | 72.5 | 0.717 | 63.2 | 24.4 |
| BMG07082017_slice_74 | 0.697 | 0.181 | 0.123 | 0.728 | 151.6 | 79.2 | 0.550 | 138.7 | 73.1 | 0.718 | 64.2 | 25.0 |
| BMG07082017_slice_75 | 0.695 | 0.195 | 0.133 | 0.735 | 151.5 | 76.4 | 0.544 | 138.8 | 72.3 | 0.721 | 63.3 | 24.1 |
| BMG07082017_slice_76 | 0.684 | 0.227 | 0.159 | 0.743 | 151.6 | 74.5 | 0.534 | 141.3 | 76.1 | 0.725 | 63.3 | 23.7 |
| BMG07082017_slice_77 | 0.677 | 0.231 | 0.163 | 0.735 | 154.7 | 76.8 | 0.531 | 144.9 | 78.5 | 0.719 | 65.6 | 25.1 |
| BMG07082017_slice_78 | 0.693 | 0.203 | 0.140 | 0.738 | 152.5 | 75.8 | 0.545 | 141.3 | 73.9 | 0.720 | 64.3 | 24.7 |
| BMG07082017_slice_79 | 0.705 | 0.192 | 0.131 | 0.745 | 149.3 | 74.1 | 0.554 | 138.2 | 71.0 | 0.725 | 61.6 | 23.4 |
| BMG07082017_slice_80 | 0.701 | 0.198 | 0.136 | 0.745 | 150.9 | 74.8 | 0.551 | 140.0 | 71.6 | 0.721 | 62.3 | 24.0 |
| BMG07082017_slice_81 | 0.712 | 0.201 | 0.137 | 0.762 | 149.5 | 72.1 | 0.558 | 140.9 | 71.5 | 0.714 | 61.1 | 23.6 |
| BMG07082017_slice_82 | 0.735 | 0.184 | 0.122 | 0.778 | 146.2 | 68.3 | 0.571 | 139.8 | 69.0 | 0.707 | 58.9 | 22.4 |
| BMG07082017_slice_83 | 0.761 | 0.161 | 0.099 | 0.790 | 141.8 | 65.8 | 0.591 | 135.1 | 64.1 | 0.704 | 56.2 | 20.9 |
| BMG07082017_slice_84 | 0.774 | 0.152 | 0.090 | 0.799 | 137.9 | 63.5 | 0.602 | 131.7 | 61.5 | 0.703 | 55.0 | 20.4 |
| BMG07082017_slice_85 | 0.790 | 0.141 | 0.079 | 0.806 | 134.8 | 64.9 | 0.613 | 128.2 | 62.4 | 0.700 | 54.3 | 20.1 |
| BMG07082017_slice_86 | 0.799 | 0.138 | 0.076 | 0.812 | 133.4 | 65.3 | 0.610 | 127.1 | 63.8 | 0.696 | 53.3 | 19.7 |
| BMG07082017_slice_87 | 0.806 | 0.135 | 0.074 | 0.818 | 130.3 | 63.5 | 0.610 | 124.4 | 62.5 | 0.695 | 52.6 | 19.5 |
| BMG07082017_slice_88 | 0.809 | 0.134 | 0.073 | 0.821 | 129.4 | 62.1 | 0.610 | 123.2 | 61.2 | 0.690 | 52.6 | 19.4 |
| BMG07082017_slice_89 | 0.810 | 0.135 | 0.072 | 0.823 | 130.3 | 61.0 | 0.610 | 124.4 | 60.0 | 0.688 | 52.8 | 19.6 |
| BMG07082017_slice_90 | 0.814 | 0.136 | 0.073 | 0.825 | 131.9 | 63.0 | 0.599 | 126.3 | 63.5 | 0.683 | 52.8 | 19.8 |
| BMG07082017_slice_91 | 0.815 | 0.134 | 0.072 | 0.826 | 130.4 | 62.2 | 0.596 | 124.6 | 63.2 | 0.681 | 52.9 | 19.9 |
| BMG07082017_slice_92 | 0.811 | 0.131 | 0.070 | 0.825 | 126.3 | 58.6 | 0.605 | 119.7 | 57.7 | 0.680 | 53.1 | 20.3 |
| BMG07082017_slice_93 | 0.814 | 0.128 | 0.069 | 0.827 | 123.0 | 58.4 | 0.599 | 116.5 | 58.1 | 0.680 | 52.2 | 20.1 |
| BMG07082017_slice_94 | 0.816 | 0.124 | 0.067 | 0.828 | 119.8 | 57.0 | 0.600 | 112.9 | 56.7 | 0.681 | 51.4 | 19.8 |
| BMG07082017_slice_95 | 0.807 | 0.125 | 0.069 | 0.827 | 116.0 | 52.0 | 0.607 | 108.8 | 50.8 | 0.679 | 51.7 | 20.2 |
| BMG07082017_slice_96 | 0.793 | 0.135 | 0.082 | 0.828 | 113.3 | 49.1 | 0.589 | 106.6 | 50.5 | 0.678 | 52.8 | 20.6 |
| BMG07082017_slice_97 | 0.790 | 0.136 | 0.084 | 0.827 | 111.3 | 48.4 | 0.586 | 103.7 | 50.3 | 0.677 | 53.5 | 21.0 |
| BMG07082017_slice_98 | 0.789 | 0.138 | 0.087 | 0.828 | 109.0 | 47.5 | 0.583 | 100.7 | 50.0 | 0.677 | 52.4 | 20.6 |
| BMG07082017_slice_99 | 0.790 | 0.135 | 0.083 | 0.825 | 111.0 | 48.4 | 0.584 | 100.9 | 49.4 | 0.678 | 52.4 | 20.4 |
| BMG07082017_slice_100 | 0.784 | 0.143 | 0.090 | 0.827 | 111.4 | 47.8 | 0.575 | 102.5 | 51.2 | 0.678 | 52.7 | 20.7 |
| BMG07082017_slice_101 | 0.782 | 0.141 | 0.088 | 0.822 | 113.6 | 48.8 | 0.576 | 104.3 | 51.4 | 0.676 | 53.7 | 21.2 |
| BMG07082017_slice_102 | 0.780 | 0.145 | 0.091 | 0.823 | 114.6 | 48.8 | 0.573 | 106.1 | 52.2 | 0.677 | 53.8 | 21.2 |
4Γ3 grid: Rows show different image types (Original NATIVE, Reconstructed NATIVE, Original VENOUS, Generated VENOUS), Columns show windowing techniques (No Window, Lung Window, Mediastinum Window)