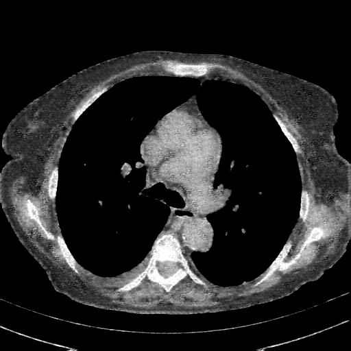
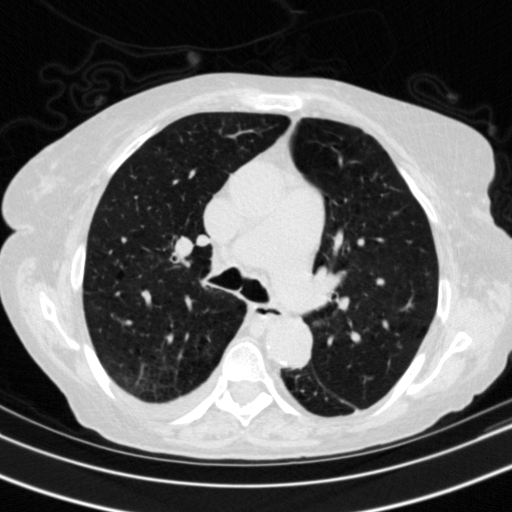
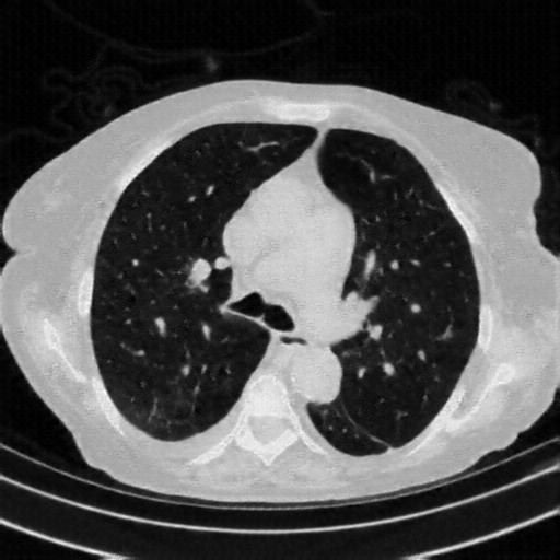
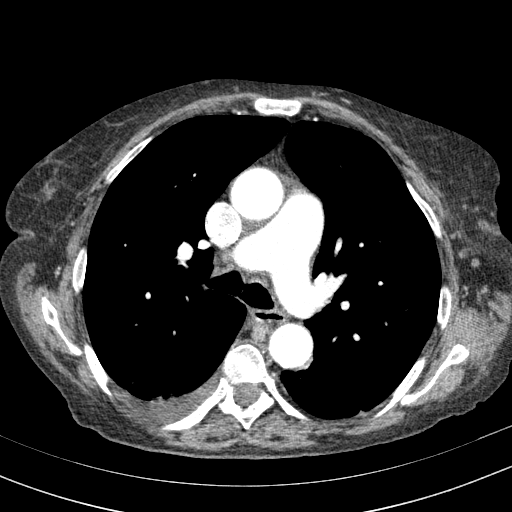
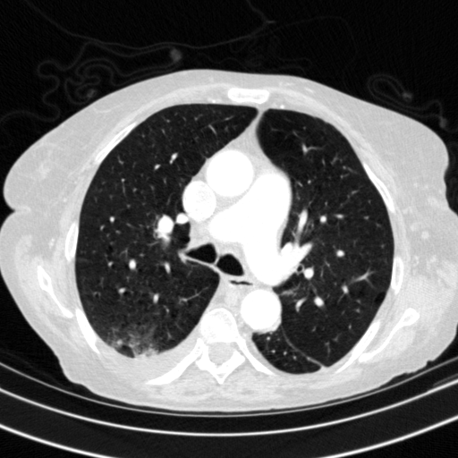
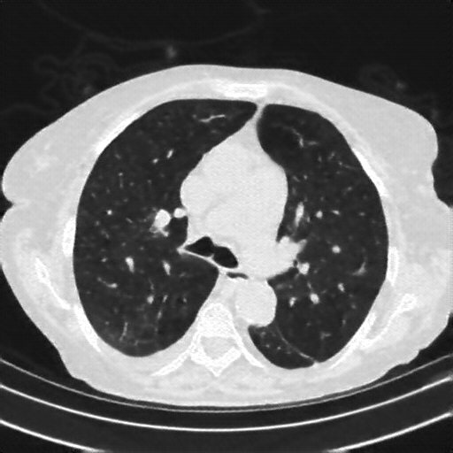
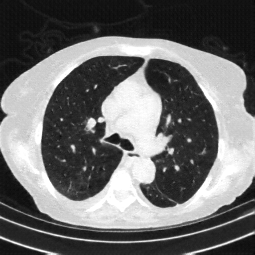
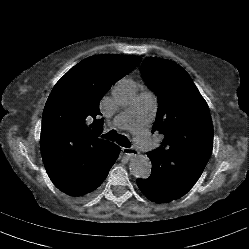
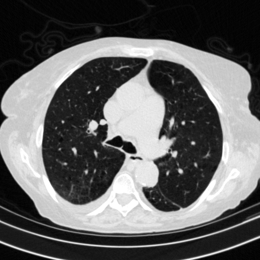
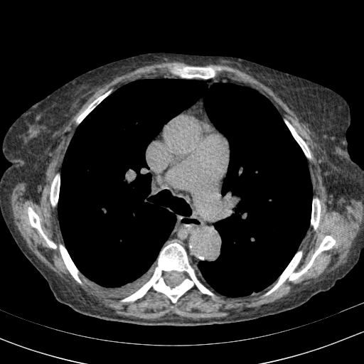
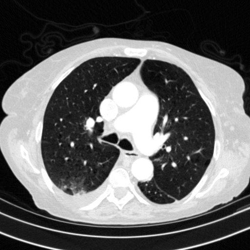
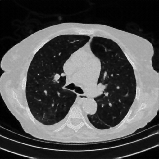
Slice 70 Targeting Evaluation
Patient ID: MF04022021
Model: cytran
Slice: Slice_70
Slice Thickness: 1.5mm
Conversion: NATIVE β VENOUS
Contains all 4 metric datasets: Network-Normalized, Hounsfield Units, Lung Window, and Mediastinum Window
| Slice ID | SSIM | RMSE | MAE | HU SSIM | HU RMSE | HU MAE | Lung SSIM | Lung RMSE | Lung MAE | Mediastinum SSIM | Mediastinum RMSE | Mediastinum MAE |
|---|---|---|---|---|---|---|---|---|---|---|---|---|
| MF04022021_slice_0 | 0.749 | 0.163 | 0.072 | 0.749 | 163.5 | 71.7 | 0.576 | 161.3 | 68.2 | 0.562 | 55.8 | 29.0 |
| MF04022021_slice_1 | 0.755 | 0.154 | 0.067 | 0.755 | 153.6 | 67.5 | 0.579 | 151.9 | 64.4 | 0.560 | 54.1 | 28.1 |
| MF04022021_slice_2 | 0.761 | 0.147 | 0.065 | 0.761 | 146.9 | 64.9 | 0.585 | 145.1 | 61.7 | 0.564 | 53.1 | 27.7 |
| MF04022021_slice_3 | 0.759 | 0.145 | 0.065 | 0.759 | 145.1 | 65.1 | 0.582 | 143.1 | 61.9 | 0.559 | 54.4 | 28.3 |
| MF04022021_slice_4 | 0.754 | 0.150 | 0.073 | 0.754 | 149.6 | 73.1 | 0.572 | 147.4 | 69.7 | 0.557 | 56.3 | 29.3 |
| MF04022021_slice_5 | 0.742 | 0.163 | 0.082 | 0.743 | 163.1 | 81.7 | 0.560 | 161.1 | 78.1 | 0.552 | 56.7 | 30.1 |
| MF04022021_slice_6 | 0.748 | 0.154 | 0.077 | 0.748 | 153.8 | 76.6 | 0.569 | 152.1 | 73.3 | 0.543 | 56.9 | 30.2 |
| MF04022021_slice_7 | 0.763 | 0.148 | 0.068 | 0.763 | 147.5 | 68.4 | 0.591 | 146.1 | 65.4 | 0.545 | 54.1 | 28.4 |
| MF04022021_slice_8 | 0.762 | 0.151 | 0.069 | 0.762 | 151.5 | 68.8 | 0.591 | 150.0 | 66.0 | 0.548 | 54.0 | 27.9 |
| MF04022021_slice_9 | 0.757 | 0.151 | 0.069 | 0.757 | 151.3 | 68.8 | 0.586 | 149.9 | 66.2 | 0.552 | 54.9 | 28.1 |
| MF04022021_slice_10 | 0.759 | 0.149 | 0.068 | 0.759 | 148.7 | 67.8 | 0.589 | 147.4 | 65.1 | 0.560 | 53.1 | 27.4 |
| MF04022021_slice_11 | 0.763 | 0.148 | 0.068 | 0.763 | 148.5 | 67.6 | 0.592 | 147.1 | 64.7 | 0.563 | 52.9 | 27.2 |
| MF04022021_slice_12 | 0.765 | 0.148 | 0.067 | 0.765 | 148.1 | 67.0 | 0.596 | 147.0 | 64.4 | 0.572 | 51.9 | 26.4 |
| MF04022021_slice_13 | 0.767 | 0.151 | 0.069 | 0.767 | 150.7 | 68.8 | 0.597 | 149.3 | 65.8 | 0.572 | 52.3 | 26.7 |
| MF04022021_slice_14 | 0.762 | 0.152 | 0.069 | 0.762 | 151.6 | 68.6 | 0.593 | 150.4 | 66.0 | 0.578 | 52.5 | 26.5 |
| MF04022021_slice_15 | 0.767 | 0.152 | 0.068 | 0.767 | 151.9 | 68.4 | 0.597 | 150.7 | 65.7 | 0.585 | 51.6 | 25.9 |
| MF04022021_slice_16 | 0.769 | 0.151 | 0.067 | 0.769 | 151.0 | 67.3 | 0.597 | 150.0 | 65.0 | 0.591 | 50.8 | 25.2 |
| MF04022021_slice_17 | 0.771 | 0.150 | 0.067 | 0.771 | 150.3 | 66.9 | 0.600 | 149.3 | 64.6 | 0.599 | 51.2 | 25.0 |
| MF04022021_slice_18 | 0.771 | 0.153 | 0.068 | 0.771 | 152.6 | 67.5 | 0.598 | 151.5 | 65.0 | 0.602 | 51.2 | 25.0 |
| MF04022021_slice_19 | 0.768 | 0.153 | 0.068 | 0.768 | 152.9 | 68.4 | 0.594 | 151.6 | 65.8 | 0.602 | 52.0 | 25.2 |
| MF04022021_slice_20 | 0.768 | 0.154 | 0.069 | 0.769 | 153.8 | 68.5 | 0.594 | 152.4 | 66.1 | 0.605 | 52.5 | 25.2 |
| MF04022021_slice_21 | 0.769 | 0.154 | 0.068 | 0.769 | 154.1 | 68.3 | 0.594 | 152.8 | 65.9 | 0.609 | 51.3 | 24.7 |
| MF04022021_slice_22 | 0.773 | 0.154 | 0.068 | 0.773 | 154.1 | 68.1 | 0.598 | 152.8 | 65.4 | 0.615 | 49.7 | 24.0 |
| MF04022021_slice_23 | 0.777 | 0.153 | 0.067 | 0.777 | 152.6 | 67.5 | 0.602 | 151.2 | 64.7 | 0.617 | 48.6 | 23.5 |
| MF04022021_slice_24 | 0.777 | 0.154 | 0.068 | 0.777 | 154.2 | 67.7 | 0.601 | 153.0 | 65.1 | 0.619 | 48.3 | 23.3 |
| MF04022021_slice_25 | 0.774 | 0.154 | 0.067 | 0.774 | 154.0 | 67.5 | 0.600 | 152.8 | 64.9 | 0.623 | 49.0 | 23.2 |
| MF04022021_slice_26 | 0.776 | 0.154 | 0.067 | 0.776 | 154.0 | 67.2 | 0.599 | 152.8 | 64.8 | 0.624 | 48.3 | 22.9 |
| MF04022021_slice_27 | 0.776 | 0.155 | 0.068 | 0.776 | 155.4 | 67.5 | 0.599 | 154.3 | 65.2 | 0.625 | 48.4 | 22.7 |
| MF04022021_slice_28 | 0.772 | 0.157 | 0.069 | 0.772 | 156.8 | 68.6 | 0.595 | 155.5 | 66.1 | 0.627 | 49.3 | 23.1 |
| MF04022021_slice_29 | 0.774 | 0.157 | 0.069 | 0.774 | 157.0 | 68.5 | 0.593 | 155.7 | 65.9 | 0.628 | 49.2 | 22.8 |
| MF04022021_slice_30 | 0.769 | 0.156 | 0.069 | 0.769 | 155.8 | 68.5 | 0.587 | 154.5 | 66.0 | 0.626 | 50.2 | 23.1 |
| MF04022021_slice_31 | 0.770 | 0.155 | 0.068 | 0.770 | 155.2 | 68.2 | 0.588 | 153.8 | 65.7 | 0.627 | 50.7 | 23.1 |
| MF04022021_slice_32 | 0.767 | 0.156 | 0.069 | 0.768 | 155.6 | 68.6 | 0.587 | 154.2 | 65.9 | 0.628 | 50.3 | 23.1 |
| MF04022021_slice_33 | 0.765 | 0.155 | 0.069 | 0.765 | 154.8 | 69.0 | 0.586 | 153.2 | 66.2 | 0.629 | 51.1 | 23.5 |
| MF04022021_slice_34 | 0.766 | 0.154 | 0.069 | 0.766 | 154.1 | 69.2 | 0.585 | 152.7 | 66.6 | 0.630 | 50.2 | 23.2 |
| MF04022021_slice_35 | 0.767 | 0.154 | 0.069 | 0.767 | 153.8 | 68.9 | 0.584 | 152.4 | 66.3 | 0.629 | 49.7 | 23.1 |
| MF04022021_slice_36 | 0.772 | 0.153 | 0.068 | 0.772 | 153.5 | 68.3 | 0.586 | 152.2 | 65.9 | 0.629 | 48.8 | 22.6 |
| MF04022021_slice_37 | 0.771 | 0.155 | 0.069 | 0.771 | 155.0 | 69.0 | 0.586 | 153.7 | 66.6 | 0.625 | 49.4 | 22.9 |
| MF04022021_slice_38 | 0.771 | 0.156 | 0.069 | 0.771 | 156.1 | 69.5 | 0.584 | 154.9 | 67.2 | 0.624 | 49.2 | 23.0 |
| MF04022021_slice_39 | 0.769 | 0.157 | 0.070 | 0.769 | 157.5 | 70.3 | 0.582 | 156.4 | 68.1 | 0.623 | 48.9 | 22.8 |
| MF04022021_slice_40 | 0.771 | 0.156 | 0.070 | 0.771 | 156.4 | 69.8 | 0.583 | 155.3 | 67.7 | 0.623 | 48.8 | 22.7 |
| MF04022021_slice_41 | 0.773 | 0.157 | 0.070 | 0.773 | 157.5 | 70.1 | 0.584 | 156.5 | 68.1 | 0.624 | 48.5 | 22.4 |
| MF04022021_slice_42 | 0.772 | 0.158 | 0.071 | 0.772 | 157.7 | 70.6 | 0.583 | 156.7 | 68.6 | 0.621 | 48.5 | 22.5 |
| MF04022021_slice_43 | 0.776 | 0.155 | 0.070 | 0.776 | 155.1 | 69.5 | 0.586 | 154.0 | 67.4 | 0.625 | 48.8 | 22.4 |
| MF04022021_slice_44 | 0.782 | 0.153 | 0.069 | 0.782 | 152.9 | 68.5 | 0.590 | 151.7 | 66.3 | 0.627 | 48.9 | 22.2 |
| MF04022021_slice_45 | 0.780 | 0.152 | 0.069 | 0.780 | 152.4 | 68.7 | 0.588 | 151.3 | 66.6 | 0.629 | 48.8 | 22.3 |
| MF04022021_slice_46 | 0.783 | 0.152 | 0.069 | 0.783 | 151.8 | 68.5 | 0.591 | 150.6 | 66.2 | 0.628 | 48.1 | 22.1 |
| MF04022021_slice_47 | 0.783 | 0.152 | 0.069 | 0.783 | 151.9 | 68.7 | 0.593 | 150.7 | 66.2 | 0.630 | 48.3 | 22.2 |
| MF04022021_slice_48 | 0.783 | 0.154 | 0.069 | 0.783 | 154.0 | 69.3 | 0.591 | 152.9 | 67.2 | 0.628 | 48.3 | 22.0 |
| MF04022021_slice_49 | 0.777 | 0.156 | 0.071 | 0.778 | 155.7 | 70.6 | 0.583 | 154.6 | 68.7 | 0.623 | 49.4 | 22.4 |
| MF04022021_slice_50 | 0.777 | 0.154 | 0.070 | 0.778 | 154.3 | 70.2 | 0.581 | 153.2 | 68.1 | 0.624 | 49.7 | 22.5 |
| MF04022021_slice_51 | 0.773 | 0.155 | 0.071 | 0.773 | 154.6 | 70.7 | 0.576 | 153.4 | 68.6 | 0.623 | 50.3 | 22.9 |
| MF04022021_slice_52 | 0.774 | 0.155 | 0.071 | 0.774 | 154.5 | 70.5 | 0.578 | 153.4 | 68.5 | 0.624 | 49.9 | 22.6 |
| MF04022021_slice_53 | 0.775 | 0.153 | 0.070 | 0.776 | 152.8 | 69.9 | 0.579 | 151.7 | 67.8 | 0.625 | 50.0 | 22.8 |
| MF04022021_slice_54 | 0.777 | 0.152 | 0.070 | 0.777 | 152.4 | 70.0 | 0.580 | 151.2 | 67.8 | 0.626 | 49.7 | 22.6 |
| MF04022021_slice_55 | 0.773 | 0.157 | 0.072 | 0.773 | 156.5 | 71.8 | 0.576 | 155.1 | 69.7 | 0.624 | 52.0 | 23.1 |
| MF04022021_slice_56 | 0.777 | 0.154 | 0.071 | 0.777 | 153.8 | 71.1 | 0.579 | 152.8 | 69.3 | 0.629 | 48.7 | 22.0 |
| MF04022021_slice_57 | 0.780 | 0.151 | 0.070 | 0.780 | 151.4 | 69.9 | 0.582 | 150.4 | 68.1 | 0.631 | 48.1 | 21.7 |
| MF04022021_slice_58 | 0.777 | 0.153 | 0.071 | 0.778 | 152.7 | 70.5 | 0.578 | 151.7 | 68.8 | 0.630 | 48.6 | 21.8 |
| MF04022021_slice_59 | 0.769 | 0.161 | 0.075 | 0.769 | 161.1 | 75.1 | 0.569 | 160.1 | 73.5 | 0.626 | 52.6 | 23.1 |
| MF04022021_slice_60 | 0.776 | 0.158 | 0.073 | 0.776 | 158.1 | 73.2 | 0.577 | 157.2 | 71.4 | 0.637 | 49.0 | 21.9 |
| MF04022021_slice_61 | 0.775 | 0.157 | 0.072 | 0.775 | 156.8 | 71.7 | 0.577 | 155.7 | 69.9 | 0.636 | 49.2 | 22.0 |
| MF04022021_slice_62 | 0.777 | 0.158 | 0.072 | 0.778 | 158.0 | 72.0 | 0.580 | 157.0 | 70.4 | 0.636 | 48.9 | 21.7 |
| MF04022021_slice_63 | 0.775 | 0.159 | 0.072 | 0.776 | 159.0 | 72.4 | 0.581 | 158.1 | 70.9 | 0.637 | 48.8 | 21.5 |
| MF04022021_slice_64 | 0.776 | 0.158 | 0.073 | 0.776 | 158.0 | 72.6 | 0.581 | 157.1 | 71.1 | 0.636 | 48.0 | 21.3 |
| MF04022021_slice_65 | 0.775 | 0.159 | 0.073 | 0.775 | 159.3 | 72.9 | 0.581 | 158.5 | 71.5 | 0.637 | 47.5 | 21.1 |
| MF04022021_slice_66 | 0.778 | 0.160 | 0.073 | 0.778 | 159.8 | 72.6 | 0.586 | 159.0 | 71.3 | 0.640 | 47.2 | 20.8 |
| MF04022021_slice_67 | 0.776 | 0.159 | 0.073 | 0.776 | 159.4 | 72.6 | 0.585 | 158.5 | 71.2 | 0.636 | 47.9 | 21.4 |
| MF04022021_slice_68 | 0.775 | 0.159 | 0.073 | 0.775 | 159.4 | 72.7 | 0.583 | 158.5 | 71.3 | 0.638 | 48.1 | 21.5 |
| MF04022021_slice_69 | 0.774 | 0.161 | 0.073 | 0.774 | 160.9 | 73.4 | 0.582 | 160.0 | 71.8 | 0.634 | 48.8 | 22.0 |
| MF04022021_slice_70 | 0.775 | 0.162 | 0.074 | 0.775 | 162.4 | 74.0 | 0.583 | 161.5 | 72.4 | 0.629 | 49.0 | 22.4 |
| MF04022021_slice_71 | 0.770 | 0.164 | 0.076 | 0.770 | 164.4 | 75.7 | 0.577 | 163.4 | 73.9 | 0.621 | 50.3 | 23.2 |
| MF04022021_slice_72 | 0.767 | 0.166 | 0.077 | 0.768 | 166.4 | 77.0 | 0.576 | 165.3 | 75.1 | 0.615 | 51.1 | 23.8 |
| MF04022021_slice_73 | 0.767 | 0.166 | 0.077 | 0.767 | 166.0 | 77.3 | 0.577 | 165.0 | 75.3 | 0.611 | 52.1 | 24.5 |
| MF04022021_slice_74 | 0.765 | 0.166 | 0.078 | 0.765 | 166.5 | 78.1 | 0.578 | 165.4 | 75.9 | 0.612 | 51.8 | 24.6 |
| MF04022021_slice_75 | 0.761 | 0.169 | 0.080 | 0.761 | 168.8 | 79.8 | 0.571 | 167.8 | 77.7 | 0.606 | 51.4 | 24.7 |
| MF04022021_slice_76 | 0.757 | 0.169 | 0.081 | 0.757 | 169.4 | 80.5 | 0.567 | 168.4 | 78.4 | 0.602 | 51.8 | 24.9 |
| MF04022021_slice_77 | 0.751 | 0.172 | 0.082 | 0.751 | 171.6 | 81.7 | 0.560 | 170.5 | 79.7 | 0.591 | 53.2 | 25.7 |
| MF04022021_slice_78 | 0.744 | 0.171 | 0.081 | 0.744 | 170.7 | 81.3 | 0.555 | 169.6 | 79.5 | 0.588 | 53.2 | 25.7 |
| MF04022021_slice_79 | 0.748 | 0.170 | 0.081 | 0.748 | 169.9 | 80.5 | 0.558 | 169.0 | 78.8 | 0.586 | 52.6 | 25.5 |
| MF04022021_slice_80 | 0.751 | 0.171 | 0.080 | 0.751 | 170.8 | 80.4 | 0.558 | 169.9 | 78.8 | 0.579 | 52.7 | 26.0 |
| MF04022021_slice_81 | 0.749 | 0.172 | 0.081 | 0.749 | 172.0 | 80.6 | 0.553 | 171.2 | 79.1 | 0.575 | 52.4 | 25.9 |
| MF04022021_slice_82 | 0.744 | 0.169 | 0.080 | 0.745 | 169.3 | 79.6 | 0.548 | 168.4 | 78.1 | 0.571 | 53.1 | 26.3 |
| MF04022021_slice_83 | 0.744 | 0.170 | 0.080 | 0.745 | 170.4 | 80.3 | 0.549 | 169.5 | 78.7 | 0.570 | 53.8 | 26.8 |
| MF04022021_slice_84 | 0.753 | 0.170 | 0.079 | 0.753 | 170.0 | 79.4 | 0.558 | 169.2 | 77.7 | 0.572 | 52.6 | 26.1 |
| MF04022021_slice_85 | 0.750 | 0.167 | 0.079 | 0.751 | 167.0 | 78.8 | 0.553 | 166.1 | 76.9 | 0.566 | 52.3 | 26.2 |
| MF04022021_slice_86 | 0.746 | 0.166 | 0.079 | 0.747 | 165.6 | 79.3 | 0.549 | 164.7 | 77.5 | 0.560 | 53.0 | 26.8 |
| MF04022021_slice_87 | 0.747 | 0.166 | 0.080 | 0.747 | 165.5 | 79.6 | 0.546 | 164.8 | 78.1 | 0.555 | 52.1 | 26.6 |
| MF04022021_slice_88 | 0.747 | 0.168 | 0.081 | 0.747 | 167.9 | 80.8 | 0.546 | 167.3 | 79.4 | 0.547 | 52.1 | 26.8 |
| MF04022021_slice_89 | 0.748 | 0.165 | 0.080 | 0.748 | 164.5 | 79.6 | 0.546 | 163.8 | 78.0 | 0.544 | 52.4 | 27.1 |
| MF04022021_slice_90 | 0.746 | 0.162 | 0.079 | 0.746 | 162.5 | 79.0 | 0.541 | 161.7 | 77.3 | 0.538 | 53.5 | 27.9 |
| MF04022021_slice_91 | 0.749 | 0.162 | 0.078 | 0.749 | 162.4 | 77.9 | 0.542 | 161.7 | 76.5 | 0.536 | 53.1 | 28.0 |
| MF04022021_slice_92 | 0.749 | 0.161 | 0.077 | 0.749 | 160.7 | 76.9 | 0.541 | 160.1 | 75.7 | 0.531 | 53.5 | 28.3 |
| MF04022021_slice_93 | 0.751 | 0.159 | 0.077 | 0.751 | 158.8 | 76.6 | 0.544 | 158.2 | 75.4 | 0.524 | 54.4 | 28.9 |
| MF04022021_slice_94 | 0.751 | 0.158 | 0.076 | 0.751 | 157.9 | 76.2 | 0.545 | 157.4 | 75.1 | 0.521 | 54.8 | 29.3 |
| MF04022021_slice_95 | 0.756 | 0.156 | 0.075 | 0.756 | 156.1 | 75.0 | 0.551 | 155.6 | 73.9 | 0.521 | 54.1 | 29.1 |
| MF04022021_slice_96 | 0.754 | 0.154 | 0.075 | 0.754 | 154.1 | 75.0 | 0.547 | 153.6 | 74.0 | 0.517 | 54.5 | 29.6 |
| MF04022021_slice_97 | 0.750 | 0.153 | 0.075 | 0.750 | 153.3 | 75.5 | 0.541 | 152.9 | 74.5 | 0.512 | 54.9 | 30.2 |
| MF04022021_slice_98 | 0.759 | 0.154 | 0.074 | 0.760 | 153.8 | 74.4 | 0.548 | 153.4 | 73.6 | 0.510 | 53.8 | 29.5 |
| MF04022021_slice_99 | 0.764 | 0.152 | 0.074 | 0.764 | 152.2 | 73.5 | 0.553 | 151.9 | 72.6 | 0.509 | 53.8 | 29.6 |
| MF04022021_slice_100 | 0.753 | 0.151 | 0.074 | 0.753 | 150.6 | 74.1 | 0.545 | 150.2 | 73.0 | 0.505 | 56.4 | 31.4 |
| MF04022021_slice_101 | 0.743 | 0.151 | 0.075 | 0.743 | 150.6 | 75.2 | 0.536 | 150.1 | 74.1 | 0.498 | 57.8 | 32.4 |
| MF04022021_slice_102 | 0.746 | 0.150 | 0.075 | 0.747 | 149.6 | 74.7 | 0.535 | 149.3 | 73.9 | 0.492 | 56.8 | 32.1 |
| MF04022021_slice_103 | 0.740 | 0.148 | 0.075 | 0.740 | 148.1 | 74.7 | 0.532 | 147.8 | 73.8 | 0.492 | 58.0 | 32.8 |
| MF04022021_slice_104 | 0.739 | 0.147 | 0.075 | 0.739 | 147.3 | 74.9 | 0.530 | 146.9 | 74.0 | 0.492 | 58.3 | 33.2 |
| MF04022021_slice_105 | 0.743 | 0.145 | 0.074 | 0.743 | 144.7 | 73.7 | 0.533 | 144.4 | 72.9 | 0.494 | 57.5 | 32.8 |
| MF04022021_slice_106 | 0.744 | 0.144 | 0.074 | 0.744 | 143.9 | 73.5 | 0.533 | 143.6 | 72.8 | 0.490 | 57.7 | 33.0 |
| MF04022021_slice_107 | 0.750 | 0.141 | 0.072 | 0.751 | 141.1 | 72.0 | 0.540 | 140.8 | 71.3 | 0.491 | 57.1 | 32.7 |
| MF04022021_slice_108 | 0.746 | 0.140 | 0.072 | 0.746 | 139.5 | 71.7 | 0.533 | 139.2 | 71.0 | 0.486 | 58.6 | 33.6 |
| MF04022021_slice_109 | 0.759 | 0.136 | 0.070 | 0.759 | 136.2 | 69.5 | 0.543 | 135.9 | 68.8 | 0.487 | 56.6 | 32.6 |
| MF04022021_slice_110 | 0.758 | 0.136 | 0.069 | 0.758 | 135.6 | 69.3 | 0.546 | 135.3 | 68.6 | 0.487 | 57.1 | 33.2 |
| MF04022021_slice_111 | 0.745 | 0.135 | 0.070 | 0.745 | 135.1 | 70.2 | 0.534 | 134.9 | 69.6 | 0.481 | 59.1 | 34.6 |
| MF04022021_slice_112 | 0.741 | 0.135 | 0.070 | 0.741 | 135.2 | 70.4 | 0.529 | 135.0 | 69.9 | 0.478 | 59.7 | 35.0 |
| MF04022021_slice_113 | 0.735 | 0.135 | 0.071 | 0.736 | 135.2 | 70.7 | 0.521 | 134.9 | 70.1 | 0.469 | 60.3 | 35.5 |
| MF04022021_slice_114 | 0.734 | 0.134 | 0.071 | 0.734 | 133.8 | 70.5 | 0.521 | 133.6 | 69.9 | 0.463 | 61.0 | 35.9 |
| MF04022021_slice_115 | 0.739 | 0.132 | 0.070 | 0.740 | 132.4 | 69.7 | 0.527 | 132.2 | 69.0 | 0.467 | 60.1 | 35.7 |
| MF04022021_slice_116 | 0.725 | 0.133 | 0.071 | 0.725 | 133.2 | 71.1 | 0.514 | 132.8 | 70.2 | 0.464 | 62.3 | 37.1 |
| MF04022021_slice_117 | 0.730 | 0.132 | 0.070 | 0.730 | 131.5 | 70.3 | 0.518 | 131.2 | 69.5 | 0.461 | 62.1 | 36.9 |
| MF04022021_slice_118 | 0.736 | 0.129 | 0.069 | 0.736 | 128.8 | 69.1 | 0.523 | 128.6 | 68.5 | 0.463 | 60.9 | 36.3 |
| MF04022021_slice_119 | 0.732 | 0.128 | 0.069 | 0.732 | 128.5 | 69.4 | 0.523 | 128.3 | 68.9 | 0.464 | 61.7 | 36.6 |
| MF04022021_slice_120 | 0.717 | 0.128 | 0.070 | 0.717 | 128.2 | 70.5 | 0.509 | 128.0 | 69.7 | 0.458 | 63.4 | 37.8 |
| MF04022021_slice_121 | 0.693 | 0.126 | 0.071 | 0.693 | 126.4 | 70.9 | 0.489 | 126.1 | 70.1 | 0.451 | 65.7 | 39.6 |
| MF04022021_slice_122 | 0.692 | 0.125 | 0.070 | 0.692 | 125.3 | 70.1 | 0.487 | 125.0 | 69.4 | 0.452 | 66.1 | 39.6 |
| MF04022021_slice_123 | 0.698 | 0.122 | 0.069 | 0.698 | 121.7 | 68.8 | 0.495 | 121.5 | 68.3 | 0.458 | 65.7 | 39.3 |
| MF04022021_slice_124 | 0.712 | 0.117 | 0.067 | 0.713 | 116.7 | 67.0 | 0.508 | 116.5 | 66.5 | 0.465 | 63.4 | 38.0 |
| MF04022021_slice_125 | 0.722 | 0.112 | 0.065 | 0.722 | 112.1 | 64.6 | 0.515 | 111.8 | 64.1 | 0.468 | 63.3 | 37.6 |
| MF04022021_slice_126 | 0.715 | 0.109 | 0.064 | 0.715 | 108.8 | 63.6 | 0.512 | 108.5 | 63.1 | 0.465 | 64.6 | 38.5 |
| MF04022021_slice_127 | 0.715 | 0.107 | 0.063 | 0.715 | 107.4 | 63.1 | 0.513 | 107.1 | 62.6 | 0.465 | 64.9 | 38.5 |
| MF04022021_slice_128 | 0.715 | 0.106 | 0.063 | 0.715 | 106.5 | 62.7 | 0.510 | 106.2 | 62.3 | 0.461 | 64.5 | 38.5 |
| MF04022021_slice_129 | 0.726 | 0.105 | 0.062 | 0.726 | 105.2 | 61.9 | 0.513 | 104.9 | 61.4 | 0.460 | 62.3 | 37.3 |
| MF04022021_slice_130 | 0.726 | 0.108 | 0.063 | 0.726 | 108.1 | 62.7 | 0.510 | 107.8 | 62.3 | 0.455 | 61.7 | 37.1 |
| MF04022021_slice_131 | 0.727 | 0.112 | 0.064 | 0.727 | 112.3 | 63.8 | 0.511 | 112.1 | 63.4 | 0.451 | 62.0 | 37.2 |
| MF04022021_slice_132 | 0.734 | 0.114 | 0.064 | 0.734 | 114.2 | 63.7 | 0.518 | 113.9 | 63.1 | 0.454 | 60.7 | 36.5 |
| MF04022021_slice_133 | 0.712 | 0.119 | 0.066 | 0.712 | 118.7 | 65.9 | 0.503 | 118.3 | 65.2 | 0.446 | 62.9 | 37.9 |
| MF04022021_slice_134 | 0.708 | 0.125 | 0.068 | 0.708 | 125.1 | 67.8 | 0.496 | 124.7 | 67.1 | 0.445 | 62.9 | 38.0 |
| MF04022021_slice_135 | 0.713 | 0.129 | 0.068 | 0.713 | 128.6 | 68.0 | 0.501 | 128.3 | 67.4 | 0.446 | 61.9 | 37.4 |
| MF04022021_slice_136 | 0.710 | 0.133 | 0.069 | 0.711 | 132.8 | 68.7 | 0.501 | 132.5 | 68.1 | 0.447 | 62.0 | 37.2 |
| MF04022021_slice_137 | 0.686 | 0.142 | 0.072 | 0.686 | 142.4 | 72.4 | 0.482 | 142.0 | 71.7 | 0.444 | 64.5 | 38.7 |
| MF04022021_slice_138 | 0.669 | 0.149 | 0.075 | 0.669 | 149.4 | 74.7 | 0.467 | 149.1 | 74.0 | 0.440 | 65.1 | 39.2 |
| MF04022021_slice_139 | 0.671 | 0.150 | 0.075 | 0.671 | 150.3 | 74.6 | 0.464 | 150.0 | 73.9 | 0.440 | 64.1 | 38.3 |
| MF04022021_slice_140 | 0.681 | 0.149 | 0.073 | 0.681 | 149.4 | 72.9 | 0.473 | 149.1 | 72.3 | 0.446 | 62.2 | 37.0 |
| MF04022021_slice_141 | 0.691 | 0.147 | 0.071 | 0.691 | 147.4 | 70.6 | 0.480 | 147.2 | 70.1 | 0.449 | 60.1 | 35.4 |
| MF04022021_slice_142 | 0.693 | 0.140 | 0.067 | 0.693 | 139.6 | 66.6 | 0.476 | 139.4 | 66.1 | 0.450 | 58.4 | 34.2 |
| MF04022021_slice_143 | 0.695 | 0.138 | 0.065 | 0.695 | 137.7 | 65.0 | 0.475 | 137.5 | 64.5 | 0.445 | 57.3 | 33.5 |
| MF04022021_slice_144 | 0.707 | 0.135 | 0.063 | 0.707 | 135.5 | 63.0 | 0.484 | 135.3 | 62.6 | 0.443 | 55.6 | 32.5 |
| MF04022021_slice_145 | 0.725 | 0.131 | 0.060 | 0.725 | 130.8 | 60.2 | 0.497 | 130.6 | 59.7 | 0.446 | 53.3 | 30.9 |
| MF04022021_slice_146 | 0.730 | 0.127 | 0.058 | 0.730 | 127.0 | 58.2 | 0.495 | 126.8 | 57.8 | 0.443 | 51.7 | 30.1 |
| MF04022021_slice_147 | 0.707 | 0.126 | 0.059 | 0.708 | 126.1 | 58.7 | 0.475 | 125.9 | 58.3 | 0.436 | 52.7 | 31.0 |
| MF04022021_slice_148 | 0.708 | 0.122 | 0.058 | 0.708 | 121.6 | 57.5 | 0.476 | 121.4 | 57.1 | 0.437 | 51.9 | 30.8 |
| MF04022021_slice_149 | 0.715 | 0.116 | 0.056 | 0.715 | 116.4 | 55.8 | 0.483 | 116.1 | 55.2 | 0.437 | 51.1 | 30.2 |
| MF04022021_slice_150 | 0.727 | 0.114 | 0.054 | 0.727 | 113.5 | 54.3 | 0.490 | 113.2 | 53.7 | 0.435 | 50.0 | 29.6 |
| MF04022021_slice_151 | 0.737 | 0.113 | 0.053 | 0.737 | 112.8 | 53.3 | 0.497 | 112.6 | 52.9 | 0.435 | 48.7 | 28.8 |
| MF04022021_slice_152 | 0.734 | 0.113 | 0.053 | 0.734 | 113.0 | 53.2 | 0.492 | 112.9 | 53.0 | 0.432 | 49.0 | 28.9 |
4Γ3 grid: Rows show different image types (Original NATIVE, Reconstructed NATIVE, Original VENOUS, Generated VENOUS), Columns show windowing techniques (No Window, Lung Window, Mediastinum Window)