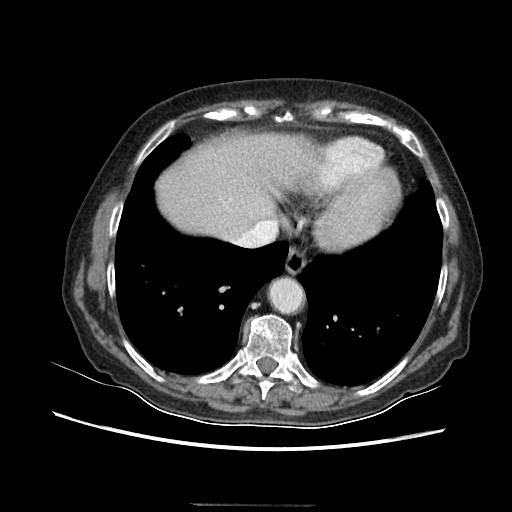
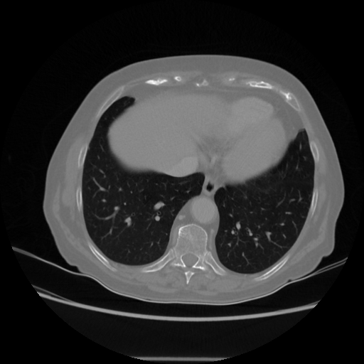
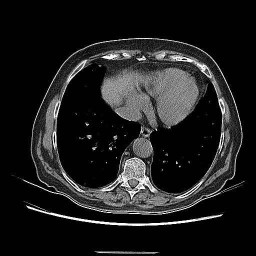
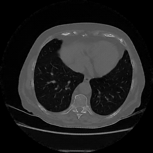
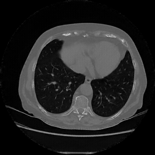
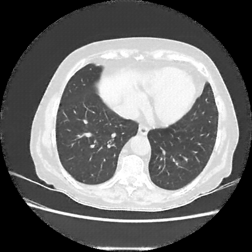
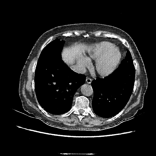
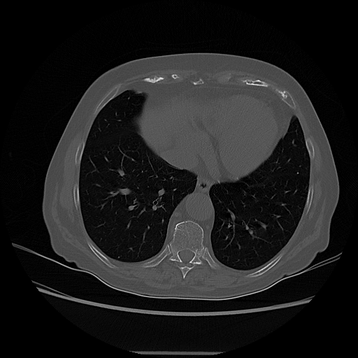
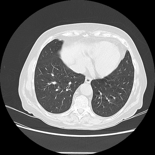
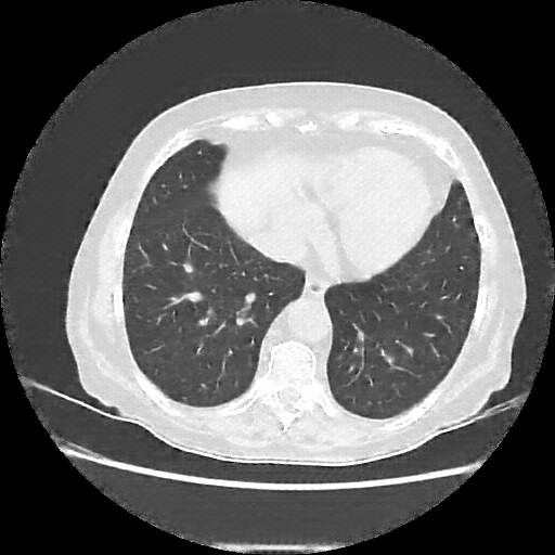
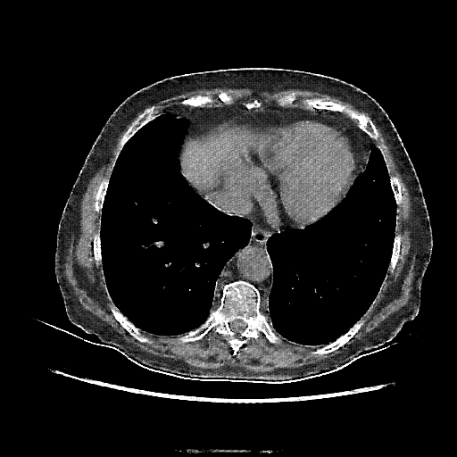
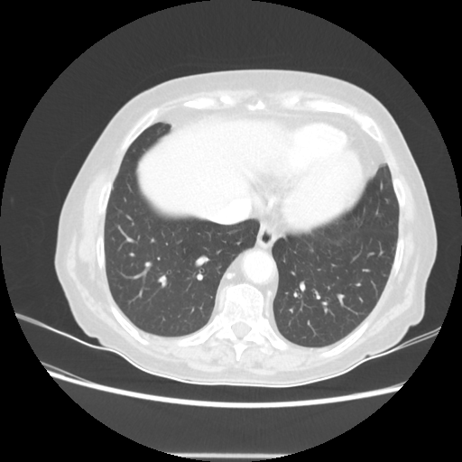
Slice 70 Targeting Evaluation
Patient ID: BC23122020
Model: cytran
Slice: Slice_70
Slice Thickness: 2.5mm
Conversion: NATIVE β VENOUS
Contains all 4 metric datasets: Network-Normalized, Hounsfield Units, Lung Window, and Mediastinum Window
| Slice ID | SSIM | RMSE | MAE | HU SSIM | HU RMSE | HU MAE | Lung SSIM | Lung RMSE | Lung MAE | Mediastinum SSIM | Mediastinum RMSE | Mediastinum MAE |
|---|---|---|---|---|---|---|---|---|---|---|---|---|
| BC23122020_slice_0 | 0.845 | 0.103 | 0.048 | 0.850 | 94.0 | 40.4 | 0.738 | 78.8 | 33.2 | 0.677 | 45.4 | 19.7 |
| BC23122020_slice_1 | 0.844 | 0.099 | 0.047 | 0.850 | 90.0 | 39.3 | 0.734 | 74.6 | 32.2 | 0.672 | 45.7 | 20.0 |
| BC23122020_slice_2 | 0.854 | 0.095 | 0.046 | 0.860 | 85.7 | 37.8 | 0.745 | 71.3 | 31.0 | 0.678 | 44.5 | 19.3 |
| BC23122020_slice_3 | 0.859 | 0.097 | 0.047 | 0.864 | 87.9 | 38.8 | 0.748 | 72.7 | 31.9 | 0.683 | 44.6 | 19.1 |
| BC23122020_slice_4 | 0.861 | 0.096 | 0.047 | 0.867 | 86.7 | 38.6 | 0.752 | 72.0 | 31.9 | 0.687 | 43.5 | 18.5 |
| BC23122020_slice_5 | 0.862 | 0.097 | 0.047 | 0.867 | 88.2 | 38.8 | 0.755 | 73.1 | 32.2 | 0.693 | 43.0 | 18.0 |
| BC23122020_slice_6 | 0.861 | 0.098 | 0.047 | 0.866 | 88.5 | 38.9 | 0.754 | 74.7 | 32.9 | 0.700 | 43.1 | 17.9 |
| BC23122020_slice_7 | 0.860 | 0.098 | 0.047 | 0.865 | 89.5 | 39.4 | 0.752 | 75.8 | 33.3 | 0.702 | 43.5 | 17.9 |
| BC23122020_slice_8 | 0.856 | 0.099 | 0.048 | 0.861 | 90.4 | 40.3 | 0.748 | 77.6 | 34.4 | 0.702 | 44.5 | 18.3 |
| BC23122020_slice_9 | 0.853 | 0.101 | 0.049 | 0.858 | 92.3 | 41.3 | 0.745 | 78.5 | 34.9 | 0.699 | 44.7 | 18.4 |
| BC23122020_slice_10 | 0.850 | 0.102 | 0.050 | 0.855 | 93.9 | 42.2 | 0.741 | 81.2 | 36.1 | 0.700 | 46.0 | 18.6 |
| BC23122020_slice_11 | 0.852 | 0.104 | 0.051 | 0.857 | 95.2 | 43.1 | 0.744 | 82.8 | 36.7 | 0.702 | 45.6 | 18.4 |
| BC23122020_slice_12 | 0.853 | 0.103 | 0.052 | 0.858 | 94.5 | 43.4 | 0.742 | 84.3 | 37.7 | 0.705 | 45.0 | 18.2 |
| BC23122020_slice_13 | 0.853 | 0.104 | 0.052 | 0.859 | 95.1 | 43.6 | 0.742 | 86.8 | 38.5 | 0.711 | 45.3 | 18.1 |
| BC23122020_slice_14 | 0.854 | 0.107 | 0.053 | 0.860 | 98.3 | 44.3 | 0.743 | 90.0 | 39.3 | 0.716 | 46.4 | 18.3 |
| BC23122020_slice_15 | 0.857 | 0.108 | 0.053 | 0.862 | 100.2 | 44.6 | 0.740 | 93.2 | 40.1 | 0.716 | 45.5 | 18.1 |
| BC23122020_slice_16 | 0.857 | 0.110 | 0.054 | 0.862 | 102.3 | 45.7 | 0.740 | 94.8 | 40.8 | 0.717 | 45.3 | 18.0 |
| BC23122020_slice_17 | 0.852 | 0.111 | 0.055 | 0.857 | 103.5 | 46.5 | 0.735 | 96.6 | 41.7 | 0.712 | 46.3 | 18.4 |
| BC23122020_slice_18 | 0.849 | 0.113 | 0.055 | 0.854 | 105.2 | 47.2 | 0.732 | 98.8 | 42.8 | 0.710 | 46.9 | 18.5 |
| BC23122020_slice_19 | 0.852 | 0.114 | 0.056 | 0.857 | 106.4 | 47.5 | 0.732 | 101.2 | 43.7 | 0.712 | 46.1 | 18.1 |
| BC23122020_slice_20 | 0.853 | 0.113 | 0.056 | 0.859 | 105.5 | 47.4 | 0.732 | 100.7 | 43.9 | 0.714 | 45.0 | 17.8 |
| BC23122020_slice_21 | 0.852 | 0.114 | 0.056 | 0.857 | 106.6 | 47.9 | 0.730 | 102.0 | 44.3 | 0.714 | 44.9 | 17.8 |
| BC23122020_slice_22 | 0.854 | 0.115 | 0.057 | 0.859 | 107.2 | 48.1 | 0.733 | 102.9 | 44.5 | 0.721 | 44.3 | 17.4 |
| BC23122020_slice_23 | 0.854 | 0.115 | 0.057 | 0.859 | 107.8 | 48.7 | 0.731 | 103.4 | 45.0 | 0.725 | 44.4 | 17.4 |
| BC23122020_slice_24 | 0.851 | 0.115 | 0.057 | 0.857 | 107.3 | 49.1 | 0.728 | 102.6 | 45.1 | 0.725 | 44.8 | 17.7 |
| BC23122020_slice_25 | 0.846 | 0.116 | 0.058 | 0.851 | 108.6 | 50.2 | 0.722 | 103.8 | 46.2 | 0.720 | 45.7 | 18.2 |
| BC23122020_slice_26 | 0.849 | 0.116 | 0.058 | 0.854 | 108.7 | 50.0 | 0.724 | 104.6 | 46.5 | 0.718 | 45.4 | 18.1 |
| BC23122020_slice_27 | 0.846 | 0.120 | 0.059 | 0.851 | 112.2 | 50.9 | 0.716 | 107.5 | 47.3 | 0.714 | 44.4 | 17.8 |
| BC23122020_slice_28 | 0.843 | 0.121 | 0.060 | 0.848 | 113.6 | 51.1 | 0.711 | 109.5 | 47.8 | 0.712 | 44.2 | 17.7 |
| BC23122020_slice_29 | 0.839 | 0.126 | 0.061 | 0.845 | 118.8 | 52.5 | 0.707 | 113.4 | 48.9 | 0.712 | 45.1 | 17.9 |
| BC23122020_slice_30 | 0.833 | 0.130 | 0.063 | 0.839 | 123.4 | 54.5 | 0.701 | 119.5 | 51.0 | 0.710 | 46.4 | 18.5 |
| BC23122020_slice_31 | 0.826 | 0.137 | 0.066 | 0.832 | 130.5 | 57.2 | 0.694 | 126.2 | 53.3 | 0.705 | 49.2 | 19.7 |
| BC23122020_slice_32 | 0.825 | 0.141 | 0.067 | 0.830 | 134.3 | 58.7 | 0.693 | 129.6 | 54.4 | 0.704 | 51.6 | 20.6 |
| BC23122020_slice_33 | 0.817 | 0.142 | 0.069 | 0.823 | 135.9 | 59.9 | 0.685 | 131.4 | 55.8 | 0.702 | 53.2 | 21.5 |
| BC23122020_slice_34 | 0.818 | 0.144 | 0.069 | 0.823 | 137.0 | 59.7 | 0.686 | 132.5 | 55.7 | 0.702 | 52.6 | 21.2 |
| BC23122020_slice_35 | 0.819 | 0.146 | 0.069 | 0.825 | 139.5 | 60.2 | 0.687 | 135.9 | 56.7 | 0.703 | 51.5 | 20.8 |
| BC23122020_slice_36 | 0.814 | 0.152 | 0.072 | 0.819 | 145.6 | 62.6 | 0.681 | 141.9 | 59.1 | 0.695 | 53.0 | 21.6 |
| BC23122020_slice_37 | 0.806 | 0.153 | 0.074 | 0.812 | 147.4 | 64.5 | 0.671 | 143.0 | 60.5 | 0.695 | 54.2 | 22.0 |
| BC23122020_slice_38 | 0.800 | 0.158 | 0.076 | 0.806 | 151.7 | 67.1 | 0.665 | 146.6 | 62.6 | 0.689 | 55.0 | 22.5 |
| BC23122020_slice_39 | 0.797 | 0.156 | 0.076 | 0.802 | 150.3 | 67.2 | 0.663 | 145.1 | 62.6 | 0.687 | 55.4 | 22.9 |
| BC23122020_slice_40 | 0.795 | 0.155 | 0.076 | 0.800 | 149.0 | 67.1 | 0.659 | 143.8 | 62.7 | 0.686 | 54.5 | 22.7 |
| BC23122020_slice_41 | 0.789 | 0.157 | 0.078 | 0.794 | 151.5 | 68.8 | 0.655 | 146.9 | 64.5 | 0.683 | 56.2 | 23.5 |
| BC23122020_slice_42 | 0.788 | 0.159 | 0.078 | 0.793 | 152.7 | 68.8 | 0.651 | 148.3 | 64.6 | 0.685 | 56.6 | 23.7 |
| BC23122020_slice_43 | 0.795 | 0.158 | 0.076 | 0.800 | 152.0 | 67.4 | 0.657 | 147.9 | 63.6 | 0.688 | 55.8 | 23.1 |
| BC23122020_slice_44 | 0.800 | 0.157 | 0.075 | 0.805 | 151.5 | 66.1 | 0.663 | 147.6 | 62.5 | 0.689 | 55.0 | 22.6 |
| BC23122020_slice_45 | 0.797 | 0.155 | 0.075 | 0.802 | 149.0 | 65.9 | 0.660 | 145.4 | 62.6 | 0.688 | 55.3 | 22.9 |
| BC23122020_slice_46 | 0.793 | 0.153 | 0.075 | 0.798 | 147.2 | 66.0 | 0.655 | 143.6 | 62.5 | 0.683 | 55.3 | 23.4 |
| BC23122020_slice_47 | 0.787 | 0.158 | 0.077 | 0.792 | 152.6 | 68.6 | 0.651 | 148.7 | 64.7 | 0.679 | 55.6 | 23.5 |
| BC23122020_slice_48 | 0.783 | 0.160 | 0.078 | 0.787 | 154.3 | 69.7 | 0.650 | 150.4 | 65.7 | 0.680 | 56.9 | 24.2 |
| BC23122020_slice_49 | 0.781 | 0.165 | 0.080 | 0.786 | 160.1 | 71.0 | 0.651 | 156.4 | 67.2 | 0.679 | 58.2 | 24.7 |
| BC23122020_slice_50 | 0.786 | 0.167 | 0.080 | 0.791 | 161.9 | 71.4 | 0.658 | 158.2 | 67.5 | 0.678 | 58.1 | 24.6 |
| BC23122020_slice_51 | 0.790 | 0.164 | 0.079 | 0.795 | 159.1 | 70.3 | 0.656 | 155.4 | 66.6 | 0.672 | 57.1 | 24.1 |
| BC23122020_slice_52 | 0.790 | 0.165 | 0.079 | 0.794 | 160.0 | 70.3 | 0.658 | 156.1 | 66.3 | 0.674 | 56.9 | 23.9 |
| BC23122020_slice_53 | 0.793 | 0.160 | 0.077 | 0.798 | 154.7 | 68.5 | 0.661 | 151.4 | 65.1 | 0.673 | 56.4 | 23.8 |
| BC23122020_slice_54 | 0.792 | 0.156 | 0.075 | 0.797 | 150.3 | 66.9 | 0.658 | 147.2 | 63.7 | 0.669 | 55.1 | 23.5 |
| BC23122020_slice_55 | 0.790 | 0.156 | 0.075 | 0.795 | 150.3 | 66.5 | 0.654 | 147.2 | 63.3 | 0.664 | 54.1 | 23.2 |
| BC23122020_slice_56 | 0.790 | 0.158 | 0.076 | 0.795 | 153.0 | 67.5 | 0.656 | 149.6 | 63.9 | 0.668 | 54.8 | 23.2 |
| BC23122020_slice_57 | 0.790 | 0.158 | 0.076 | 0.795 | 153.1 | 67.9 | 0.655 | 149.8 | 64.3 | 0.664 | 55.3 | 23.6 |
| BC23122020_slice_58 | 0.794 | 0.159 | 0.076 | 0.799 | 153.4 | 68.3 | 0.658 | 149.9 | 64.5 | 0.684 | 53.3 | 22.1 |
| BC23122020_slice_59 | 0.797 | 0.157 | 0.075 | 0.802 | 151.1 | 66.7 | 0.664 | 147.3 | 62.7 | 0.693 | 54.4 | 22.5 |
| BC23122020_slice_60 | 0.799 | 0.156 | 0.074 | 0.804 | 150.6 | 65.7 | 0.663 | 147.2 | 62.1 | 0.691 | 53.4 | 22.0 |
| BC23122020_slice_61 | 0.798 | 0.157 | 0.075 | 0.803 | 151.6 | 66.5 | 0.662 | 148.3 | 63.0 | 0.698 | 52.6 | 21.5 |
| BC23122020_slice_62 | 0.791 | 0.160 | 0.076 | 0.796 | 154.9 | 68.1 | 0.655 | 151.4 | 64.4 | 0.696 | 52.2 | 21.3 |
| BC23122020_slice_63 | 0.794 | 0.160 | 0.076 | 0.799 | 154.4 | 67.5 | 0.658 | 150.8 | 64.0 | 0.699 | 50.7 | 20.6 |
| BC23122020_slice_64 | 0.798 | 0.161 | 0.075 | 0.803 | 155.5 | 67.2 | 0.661 | 151.9 | 63.8 | 0.703 | 49.5 | 19.8 |
| BC23122020_slice_65 | 0.797 | 0.167 | 0.077 | 0.802 | 161.5 | 69.2 | 0.663 | 157.9 | 65.8 | 0.704 | 49.5 | 19.9 |
| BC23122020_slice_66 | 0.794 | 0.174 | 0.079 | 0.799 | 169.8 | 71.1 | 0.661 | 166.6 | 68.1 | 0.700 | 52.3 | 20.7 |
| BC23122020_slice_67 | 0.788 | 0.184 | 0.082 | 0.793 | 179.8 | 73.9 | 0.655 | 176.7 | 71.0 | 0.696 | 55.8 | 21.7 |
| BC23122020_slice_68 | 0.778 | 0.186 | 0.083 | 0.783 | 181.1 | 74.6 | 0.647 | 177.9 | 71.6 | 0.692 | 59.3 | 23.2 |
| BC23122020_slice_69 | 0.774 | 0.185 | 0.082 | 0.779 | 180.1 | 74.2 | 0.643 | 177.0 | 71.6 | 0.692 | 60.1 | 23.5 |
| BC23122020_slice_70 | 0.788 | 0.182 | 0.080 | 0.793 | 176.9 | 72.1 | 0.654 | 173.9 | 69.6 | 0.698 | 58.6 | 22.5 |
| BC23122020_slice_71 | 0.790 | 0.183 | 0.081 | 0.795 | 178.7 | 73.1 | 0.658 | 175.2 | 70.2 | 0.700 | 58.4 | 22.1 |
| BC23122020_slice_72 | 0.769 | 0.191 | 0.086 | 0.774 | 187.0 | 77.9 | 0.640 | 183.0 | 74.5 | 0.679 | 61.1 | 24.4 |
| BC23122020_slice_73 | 0.775 | 0.195 | 0.086 | 0.779 | 190.4 | 78.1 | 0.644 | 186.4 | 74.5 | 0.672 | 59.7 | 23.8 |
| BC23122020_slice_74 | 0.784 | 0.198 | 0.085 | 0.790 | 193.5 | 77.2 | 0.648 | 189.8 | 74.1 | 0.664 | 59.4 | 23.2 |
| BC23122020_slice_75 | 0.782 | 0.199 | 0.085 | 0.788 | 195.0 | 77.0 | 0.645 | 191.8 | 74.2 | 0.653 | 60.5 | 23.9 |
| BC23122020_slice_76 | 0.780 | 0.198 | 0.084 | 0.786 | 194.3 | 76.3 | 0.641 | 191.4 | 73.9 | 0.645 | 61.2 | 24.3 |
| BC23122020_slice_77 | 0.786 | 0.199 | 0.084 | 0.791 | 194.9 | 75.7 | 0.644 | 192.5 | 73.6 | 0.638 | 61.7 | 24.5 |
| BC23122020_slice_78 | 0.786 | 0.202 | 0.084 | 0.791 | 197.4 | 75.9 | 0.644 | 195.2 | 74.0 | 0.627 | 62.6 | 25.1 |
| BC23122020_slice_79 | 0.783 | 0.202 | 0.084 | 0.788 | 197.6 | 75.7 | 0.642 | 195.6 | 74.0 | 0.625 | 62.7 | 25.4 |
| BC23122020_slice_80 | 0.785 | 0.201 | 0.083 | 0.790 | 196.4 | 75.0 | 0.642 | 194.4 | 73.4 | 0.618 | 63.5 | 25.9 |
| BC23122020_slice_81 | 0.787 | 0.199 | 0.082 | 0.792 | 195.2 | 74.2 | 0.643 | 193.3 | 72.8 | 0.612 | 64.3 | 26.4 |
| BC23122020_slice_82 | 0.787 | 0.198 | 0.081 | 0.792 | 193.7 | 73.5 | 0.643 | 191.7 | 71.8 | 0.605 | 64.2 | 26.8 |
| BC23122020_slice_83 | 0.791 | 0.197 | 0.082 | 0.796 | 192.9 | 73.3 | 0.646 | 190.6 | 71.4 | 0.600 | 64.5 | 27.1 |
| BC23122020_slice_84 | 0.797 | 0.195 | 0.080 | 0.803 | 190.4 | 71.9 | 0.654 | 188.1 | 69.9 | 0.596 | 63.3 | 26.9 |
| BC23122020_slice_85 | 0.796 | 0.191 | 0.079 | 0.802 | 187.0 | 70.4 | 0.651 | 184.7 | 68.4 | 0.594 | 62.1 | 26.7 |
| BC23122020_slice_86 | 0.799 | 0.188 | 0.077 | 0.804 | 183.6 | 68.6 | 0.655 | 180.3 | 66.3 | 0.596 | 60.3 | 26.1 |
| BC23122020_slice_87 | 0.797 | 0.183 | 0.075 | 0.802 | 178.5 | 66.6 | 0.651 | 175.5 | 64.4 | 0.594 | 59.0 | 25.8 |
| BC23122020_slice_88 | 0.797 | 0.178 | 0.073 | 0.802 | 173.0 | 64.7 | 0.651 | 170.6 | 62.8 | 0.593 | 58.2 | 25.7 |
| BC23122020_slice_89 | 0.788 | 0.175 | 0.072 | 0.794 | 169.8 | 64.1 | 0.642 | 167.4 | 62.3 | 0.588 | 58.4 | 26.4 |
| BC23122020_slice_90 | 0.791 | 0.170 | 0.070 | 0.796 | 164.9 | 62.3 | 0.646 | 162.6 | 60.7 | 0.591 | 58.0 | 26.2 |
| BC23122020_slice_91 | 0.789 | 0.164 | 0.069 | 0.794 | 159.2 | 60.6 | 0.646 | 157.7 | 59.3 | 0.590 | 57.6 | 26.3 |
| BC23122020_slice_92 | 0.790 | 0.160 | 0.067 | 0.795 | 154.8 | 58.8 | 0.649 | 153.3 | 57.5 | 0.590 | 56.8 | 25.9 |
| BC23122020_slice_93 | 0.795 | 0.157 | 0.066 | 0.800 | 151.8 | 57.7 | 0.653 | 149.5 | 55.9 | 0.590 | 56.5 | 25.7 |
| BC23122020_slice_94 | 0.794 | 0.154 | 0.065 | 0.799 | 148.4 | 56.8 | 0.654 | 145.2 | 54.6 | 0.591 | 56.6 | 25.8 |
| BC23122020_slice_95 | 0.786 | 0.151 | 0.065 | 0.791 | 145.7 | 56.6 | 0.644 | 142.5 | 54.4 | 0.587 | 57.9 | 26.8 |
| BC23122020_slice_96 | 0.782 | 0.149 | 0.064 | 0.787 | 143.6 | 56.2 | 0.642 | 140.5 | 53.8 | 0.586 | 57.5 | 27.0 |
| BC23122020_slice_97 | 0.782 | 0.147 | 0.063 | 0.787 | 141.1 | 55.4 | 0.641 | 138.0 | 53.0 | 0.586 | 56.5 | 26.8 |
| BC23122020_slice_98 | 0.782 | 0.143 | 0.062 | 0.787 | 137.1 | 54.3 | 0.641 | 134.1 | 52.1 | 0.589 | 55.7 | 26.8 |
| BC23122020_slice_99 | 0.786 | 0.139 | 0.061 | 0.791 | 132.8 | 52.8 | 0.646 | 131.3 | 51.3 | 0.592 | 55.3 | 26.6 |
| BC23122020_slice_100 | 0.783 | 0.138 | 0.061 | 0.788 | 131.6 | 52.7 | 0.645 | 129.9 | 51.1 | 0.592 | 55.8 | 26.9 |
| BC23122020_slice_101 | 0.775 | 0.138 | 0.061 | 0.780 | 131.5 | 53.3 | 0.641 | 128.1 | 51.2 | 0.595 | 56.6 | 27.4 |
| BC23122020_slice_102 | 0.775 | 0.135 | 0.061 | 0.779 | 128.5 | 52.6 | 0.642 | 123.5 | 50.1 | 0.599 | 56.6 | 27.5 |
| BC23122020_slice_103 | 0.773 | 0.132 | 0.060 | 0.778 | 125.3 | 51.6 | 0.643 | 119.6 | 48.8 | 0.602 | 56.9 | 27.6 |
| BC23122020_slice_104 | 0.777 | 0.129 | 0.058 | 0.782 | 122.2 | 50.0 | 0.647 | 116.3 | 47.4 | 0.606 | 56.0 | 27.0 |
| BC23122020_slice_105 | 0.780 | 0.125 | 0.057 | 0.785 | 118.3 | 48.9 | 0.648 | 113.3 | 46.3 | 0.604 | 54.9 | 26.7 |
| BC23122020_slice_106 | 0.779 | 0.121 | 0.056 | 0.784 | 114.4 | 47.9 | 0.649 | 111.7 | 45.8 | 0.605 | 54.4 | 26.6 |
4Γ3 grid: Rows show different image types (Original NATIVE, Reconstructed NATIVE, Original VENOUS, Generated VENOUS), Columns show windowing techniques (No Window, Lung Window, Mediastinum Window)