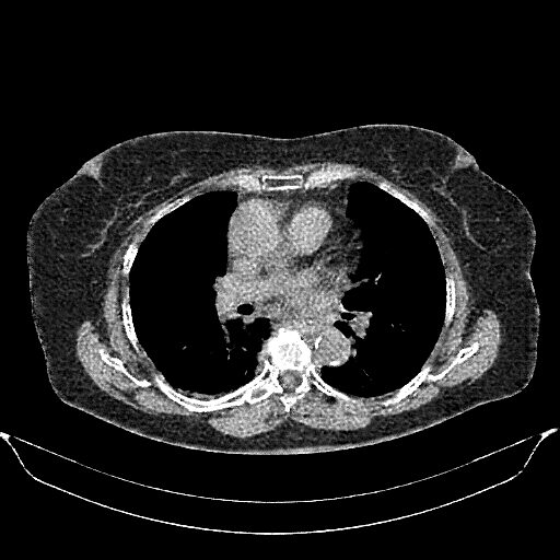
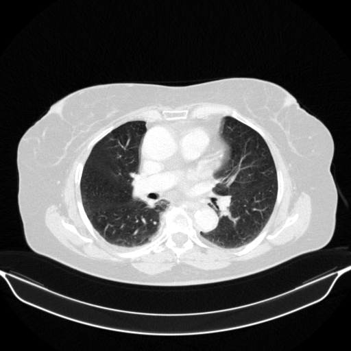
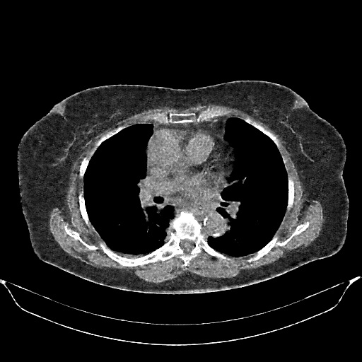
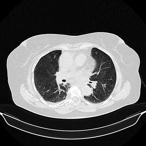
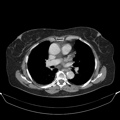
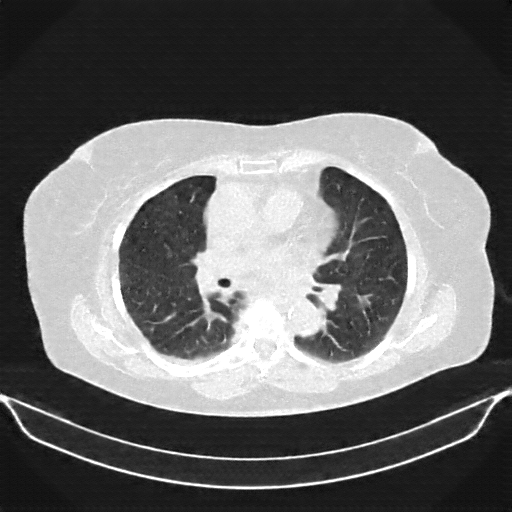
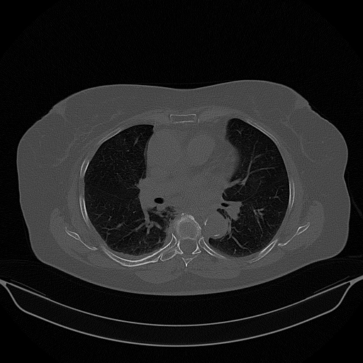
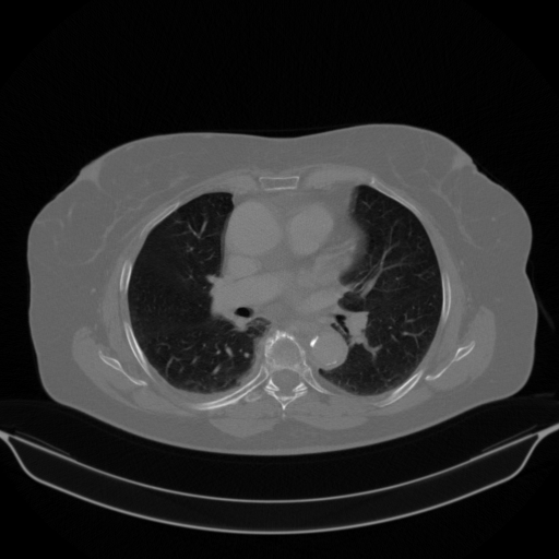
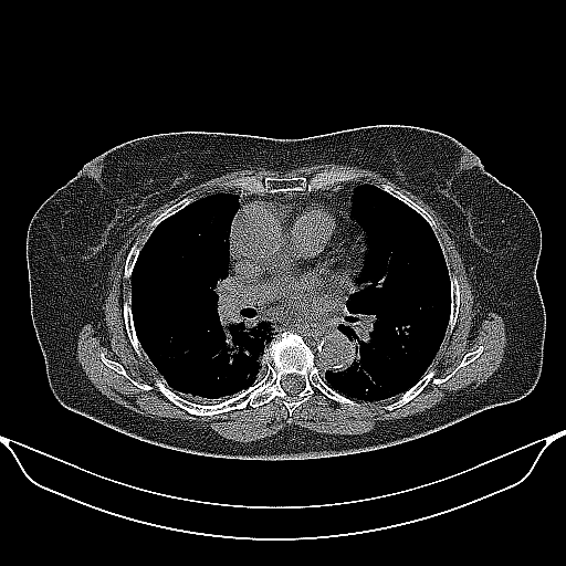
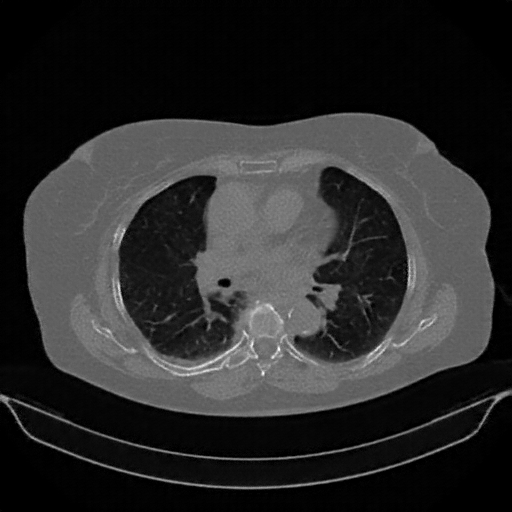
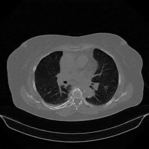
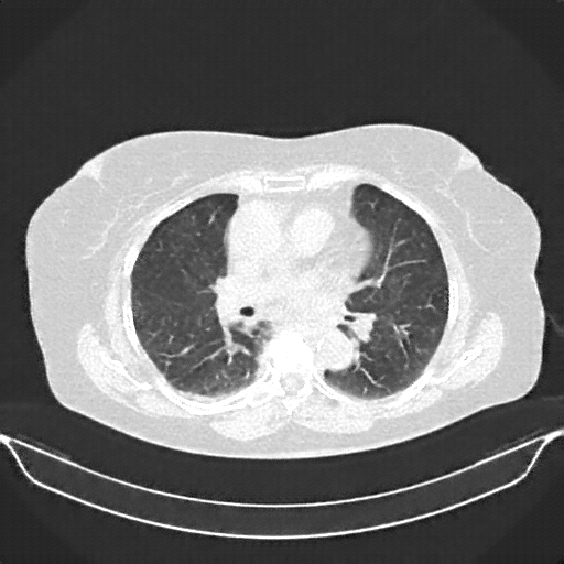
Slice 70 Targeting Evaluation
Patient ID: ME19112020
Model: cytran
Slice: Slice_70
Slice Thickness: 2.5mm
Conversion: NATIVE β VENOUS
Contains all 4 metric datasets: Network-Normalized, Hounsfield Units, Lung Window, and Mediastinum Window
| Slice ID | SSIM | RMSE | MAE | HU SSIM | HU RMSE | HU MAE | Lung SSIM | Lung RMSE | Lung MAE | Mediastinum SSIM | Mediastinum RMSE | Mediastinum MAE |
|---|---|---|---|---|---|---|---|---|---|---|---|---|
| ME19112020_slice_0 | 0.844 | 0.106 | 0.046 | 0.845 | 105.1 | 44.9 | 0.727 | 79.7 | 37.0 | 0.653 | 51.5 | 21.6 |
| ME19112020_slice_1 | 0.844 | 0.102 | 0.046 | 0.845 | 101.1 | 44.6 | 0.725 | 77.7 | 37.2 | 0.655 | 51.6 | 21.9 |
| ME19112020_slice_2 | 0.845 | 0.103 | 0.046 | 0.846 | 101.8 | 45.1 | 0.726 | 79.6 | 37.8 | 0.657 | 51.7 | 22.0 |
| ME19112020_slice_3 | 0.848 | 0.105 | 0.046 | 0.849 | 104.6 | 45.2 | 0.729 | 82.4 | 37.6 | 0.656 | 51.3 | 21.4 |
| ME19112020_slice_4 | 0.849 | 0.106 | 0.046 | 0.850 | 106.0 | 45.2 | 0.735 | 83.6 | 37.5 | 0.661 | 50.6 | 20.9 |
| ME19112020_slice_5 | 0.849 | 0.108 | 0.047 | 0.850 | 107.9 | 45.9 | 0.733 | 85.2 | 38.4 | 0.661 | 51.0 | 21.2 |
| ME19112020_slice_6 | 0.854 | 0.109 | 0.046 | 0.855 | 108.0 | 45.2 | 0.738 | 84.6 | 37.7 | 0.662 | 50.4 | 20.7 |
| ME19112020_slice_7 | 0.854 | 0.111 | 0.047 | 0.855 | 110.1 | 45.8 | 0.739 | 85.9 | 38.0 | 0.661 | 50.5 | 20.7 |
| ME19112020_slice_8 | 0.854 | 0.109 | 0.047 | 0.855 | 108.5 | 45.6 | 0.738 | 86.3 | 38.3 | 0.662 | 50.2 | 20.6 |
| ME19112020_slice_9 | 0.856 | 0.107 | 0.046 | 0.857 | 106.8 | 45.0 | 0.740 | 86.1 | 38.1 | 0.665 | 49.9 | 20.4 |
| ME19112020_slice_10 | 0.857 | 0.106 | 0.046 | 0.858 | 105.8 | 44.7 | 0.741 | 86.2 | 38.1 | 0.666 | 49.7 | 20.2 |
| ME19112020_slice_11 | 0.857 | 0.106 | 0.046 | 0.858 | 105.6 | 44.9 | 0.741 | 87.6 | 38.8 | 0.669 | 49.1 | 19.9 |
| ME19112020_slice_12 | 0.855 | 0.107 | 0.047 | 0.856 | 106.8 | 45.7 | 0.736 | 89.3 | 39.9 | 0.667 | 50.3 | 20.4 |
| ME19112020_slice_13 | 0.850 | 0.110 | 0.048 | 0.851 | 109.5 | 46.6 | 0.732 | 92.1 | 40.9 | 0.669 | 51.2 | 20.7 |
| ME19112020_slice_14 | 0.849 | 0.112 | 0.049 | 0.851 | 111.0 | 47.3 | 0.730 | 94.5 | 41.8 | 0.671 | 51.5 | 20.9 |
| ME19112020_slice_15 | 0.847 | 0.114 | 0.050 | 0.849 | 113.5 | 48.4 | 0.729 | 96.6 | 42.6 | 0.666 | 52.6 | 21.2 |
| ME19112020_slice_16 | 0.845 | 0.117 | 0.051 | 0.847 | 116.7 | 49.1 | 0.727 | 98.0 | 42.8 | 0.668 | 52.9 | 21.0 |
| ME19112020_slice_17 | 0.847 | 0.118 | 0.050 | 0.849 | 117.5 | 48.7 | 0.728 | 98.6 | 42.6 | 0.672 | 51.9 | 20.4 |
| ME19112020_slice_18 | 0.848 | 0.119 | 0.051 | 0.849 | 118.1 | 49.1 | 0.727 | 100.4 | 43.4 | 0.672 | 51.6 | 20.2 |
| ME19112020_slice_19 | 0.847 | 0.118 | 0.051 | 0.848 | 117.7 | 49.2 | 0.726 | 102.9 | 44.2 | 0.672 | 50.4 | 19.8 |
| ME19112020_slice_20 | 0.846 | 0.119 | 0.051 | 0.847 | 118.2 | 49.4 | 0.725 | 104.1 | 44.5 | 0.672 | 50.5 | 19.8 |
| ME19112020_slice_21 | 0.844 | 0.119 | 0.051 | 0.845 | 118.8 | 49.6 | 0.722 | 104.7 | 44.8 | 0.671 | 50.5 | 19.9 |
| ME19112020_slice_22 | 0.846 | 0.120 | 0.051 | 0.847 | 119.0 | 49.6 | 0.722 | 105.2 | 45.1 | 0.673 | 50.3 | 19.7 |
| ME19112020_slice_23 | 0.843 | 0.121 | 0.052 | 0.844 | 120.6 | 50.5 | 0.718 | 106.8 | 46.1 | 0.672 | 51.3 | 20.1 |
| ME19112020_slice_24 | 0.841 | 0.123 | 0.053 | 0.842 | 122.8 | 51.5 | 0.715 | 109.3 | 47.3 | 0.673 | 51.5 | 20.1 |
| ME19112020_slice_25 | 0.843 | 0.122 | 0.053 | 0.844 | 121.2 | 51.0 | 0.718 | 108.8 | 47.1 | 0.679 | 49.6 | 19.3 |
| ME19112020_slice_26 | 0.843 | 0.120 | 0.052 | 0.845 | 119.6 | 50.8 | 0.717 | 107.9 | 46.8 | 0.680 | 49.3 | 19.1 |
| ME19112020_slice_27 | 0.841 | 0.124 | 0.054 | 0.843 | 123.0 | 52.4 | 0.713 | 110.6 | 48.3 | 0.679 | 50.8 | 19.5 |
| ME19112020_slice_28 | 0.841 | 0.128 | 0.055 | 0.843 | 127.6 | 53.0 | 0.715 | 110.3 | 47.8 | 0.678 | 52.0 | 19.6 |
| ME19112020_slice_29 | 0.840 | 0.129 | 0.055 | 0.842 | 128.4 | 53.7 | 0.716 | 109.5 | 48.2 | 0.679 | 52.4 | 19.8 |
| ME19112020_slice_30 | 0.841 | 0.129 | 0.055 | 0.842 | 128.2 | 53.7 | 0.718 | 108.3 | 47.7 | 0.676 | 51.9 | 19.7 |
| ME19112020_slice_31 | 0.840 | 0.127 | 0.055 | 0.842 | 126.1 | 53.2 | 0.719 | 108.2 | 47.1 | 0.674 | 52.0 | 20.0 |
| ME19112020_slice_32 | 0.842 | 0.124 | 0.053 | 0.844 | 123.2 | 52.1 | 0.719 | 108.6 | 47.0 | 0.676 | 50.5 | 19.5 |
| ME19112020_slice_33 | 0.843 | 0.121 | 0.053 | 0.845 | 120.2 | 51.4 | 0.718 | 108.3 | 47.2 | 0.675 | 49.2 | 19.2 |
| ME19112020_slice_34 | 0.838 | 0.120 | 0.054 | 0.840 | 119.8 | 52.6 | 0.712 | 108.9 | 49.2 | 0.670 | 49.6 | 19.6 |
| ME19112020_slice_35 | 0.837 | 0.123 | 0.056 | 0.838 | 121.8 | 54.3 | 0.707 | 111.7 | 51.4 | 0.672 | 48.0 | 19.0 |
| ME19112020_slice_36 | 0.842 | 0.120 | 0.053 | 0.843 | 119.0 | 51.8 | 0.713 | 108.7 | 48.8 | 0.675 | 47.2 | 18.6 |
| ME19112020_slice_37 | 0.845 | 0.118 | 0.052 | 0.847 | 117.7 | 50.3 | 0.721 | 107.4 | 47.2 | 0.680 | 46.4 | 18.2 |
| ME19112020_slice_38 | 0.844 | 0.118 | 0.052 | 0.845 | 117.6 | 50.6 | 0.718 | 106.7 | 47.3 | 0.676 | 47.2 | 18.5 |
| ME19112020_slice_39 | 0.847 | 0.118 | 0.052 | 0.849 | 117.5 | 50.7 | 0.719 | 106.4 | 47.2 | 0.679 | 46.8 | 18.3 |
| ME19112020_slice_40 | 0.847 | 0.120 | 0.053 | 0.848 | 119.2 | 51.3 | 0.719 | 107.4 | 47.6 | 0.680 | 47.3 | 18.4 |
| ME19112020_slice_41 | 0.843 | 0.123 | 0.054 | 0.845 | 122.2 | 52.6 | 0.715 | 109.5 | 48.3 | 0.677 | 48.2 | 18.7 |
| ME19112020_slice_42 | 0.840 | 0.125 | 0.055 | 0.841 | 124.4 | 53.6 | 0.708 | 110.9 | 48.8 | 0.676 | 48.2 | 18.8 |
| ME19112020_slice_43 | 0.837 | 0.129 | 0.056 | 0.838 | 128.4 | 54.6 | 0.706 | 113.5 | 49.3 | 0.672 | 49.1 | 19.0 |
| ME19112020_slice_44 | 0.837 | 0.131 | 0.057 | 0.838 | 130.9 | 55.0 | 0.708 | 113.9 | 49.1 | 0.672 | 49.5 | 19.0 |
| ME19112020_slice_45 | 0.837 | 0.134 | 0.057 | 0.838 | 133.1 | 55.4 | 0.708 | 116.3 | 49.7 | 0.672 | 50.0 | 19.2 |
| ME19112020_slice_46 | 0.831 | 0.134 | 0.058 | 0.832 | 133.4 | 56.4 | 0.699 | 118.0 | 50.8 | 0.664 | 51.1 | 19.8 |
| ME19112020_slice_47 | 0.827 | 0.132 | 0.058 | 0.829 | 131.8 | 56.3 | 0.693 | 118.2 | 51.6 | 0.664 | 51.0 | 19.9 |
| ME19112020_slice_48 | 0.827 | 0.130 | 0.057 | 0.828 | 129.6 | 55.4 | 0.692 | 117.8 | 51.2 | 0.662 | 50.3 | 19.9 |
| ME19112020_slice_49 | 0.828 | 0.129 | 0.056 | 0.829 | 128.7 | 54.8 | 0.694 | 118.5 | 51.2 | 0.663 | 49.5 | 19.6 |
| ME19112020_slice_50 | 0.824 | 0.131 | 0.057 | 0.825 | 130.6 | 55.8 | 0.690 | 121.2 | 52.3 | 0.659 | 50.2 | 20.1 |
| ME19112020_slice_51 | 0.826 | 0.133 | 0.058 | 0.827 | 132.6 | 56.3 | 0.690 | 123.3 | 52.8 | 0.659 | 50.0 | 20.0 |
| ME19112020_slice_52 | 0.826 | 0.134 | 0.058 | 0.827 | 133.9 | 56.9 | 0.687 | 125.1 | 53.6 | 0.658 | 49.6 | 19.8 |
| ME19112020_slice_53 | 0.824 | 0.136 | 0.059 | 0.826 | 135.1 | 57.8 | 0.685 | 126.2 | 54.4 | 0.657 | 50.1 | 20.1 |
| ME19112020_slice_54 | 0.819 | 0.139 | 0.061 | 0.821 | 138.2 | 59.3 | 0.679 | 128.5 | 55.4 | 0.652 | 51.6 | 20.8 |
| ME19112020_slice_55 | 0.816 | 0.142 | 0.062 | 0.817 | 141.4 | 60.4 | 0.675 | 131.1 | 56.2 | 0.648 | 52.5 | 21.1 |
| ME19112020_slice_56 | 0.816 | 0.145 | 0.063 | 0.817 | 143.9 | 61.4 | 0.673 | 133.7 | 57.2 | 0.648 | 52.7 | 21.1 |
| ME19112020_slice_57 | 0.811 | 0.146 | 0.064 | 0.813 | 145.0 | 62.4 | 0.670 | 133.5 | 57.8 | 0.646 | 53.1 | 21.2 |
| ME19112020_slice_58 | 0.811 | 0.144 | 0.063 | 0.813 | 143.8 | 61.9 | 0.671 | 131.4 | 57.0 | 0.644 | 51.9 | 20.8 |
| ME19112020_slice_59 | 0.815 | 0.142 | 0.062 | 0.816 | 141.4 | 60.7 | 0.674 | 128.6 | 55.9 | 0.650 | 51.7 | 20.7 |
| ME19112020_slice_60 | 0.818 | 0.140 | 0.061 | 0.820 | 139.3 | 59.7 | 0.676 | 127.3 | 55.1 | 0.651 | 51.3 | 20.6 |
| ME19112020_slice_61 | 0.817 | 0.139 | 0.061 | 0.819 | 138.0 | 59.5 | 0.671 | 126.8 | 55.2 | 0.649 | 51.6 | 20.8 |
| ME19112020_slice_62 | 0.818 | 0.136 | 0.060 | 0.819 | 135.7 | 58.8 | 0.668 | 126.1 | 55.3 | 0.647 | 50.9 | 20.7 |
| ME19112020_slice_63 | 0.815 | 0.135 | 0.060 | 0.817 | 134.0 | 58.1 | 0.665 | 125.1 | 54.9 | 0.649 | 50.4 | 20.7 |
| ME19112020_slice_64 | 0.818 | 0.133 | 0.058 | 0.820 | 132.3 | 56.9 | 0.669 | 124.1 | 53.8 | 0.650 | 49.4 | 20.2 |
| ME19112020_slice_65 | 0.821 | 0.132 | 0.058 | 0.823 | 131.6 | 56.4 | 0.671 | 123.0 | 53.3 | 0.651 | 49.9 | 20.4 |
| ME19112020_slice_66 | 0.822 | 0.131 | 0.057 | 0.824 | 130.4 | 55.8 | 0.672 | 121.1 | 52.5 | 0.654 | 50.1 | 20.5 |
| ME19112020_slice_67 | 0.823 | 0.132 | 0.057 | 0.825 | 131.5 | 56.0 | 0.675 | 121.2 | 52.3 | 0.653 | 50.4 | 20.5 |
| ME19112020_slice_68 | 0.824 | 0.132 | 0.058 | 0.825 | 131.3 | 56.1 | 0.675 | 119.7 | 52.1 | 0.655 | 50.2 | 20.4 |
| ME19112020_slice_69 | 0.826 | 0.131 | 0.058 | 0.828 | 130.5 | 56.1 | 0.678 | 118.2 | 51.7 | 0.656 | 49.8 | 20.2 |
| ME19112020_slice_70 | 0.825 | 0.131 | 0.058 | 0.827 | 130.6 | 56.2 | 0.676 | 119.5 | 52.1 | 0.656 | 49.4 | 20.1 |
| ME19112020_slice_71 | 0.822 | 0.132 | 0.058 | 0.823 | 131.5 | 56.4 | 0.675 | 120.8 | 52.1 | 0.653 | 50.1 | 20.5 |
| ME19112020_slice_72 | 0.817 | 0.134 | 0.059 | 0.819 | 133.1 | 57.4 | 0.671 | 121.0 | 52.7 | 0.652 | 50.9 | 21.0 |
| ME19112020_slice_73 | 0.805 | 0.137 | 0.061 | 0.806 | 136.2 | 59.9 | 0.656 | 123.4 | 55.0 | 0.644 | 53.0 | 22.2 |
| ME19112020_slice_74 | 0.800 | 0.139 | 0.063 | 0.801 | 138.7 | 61.3 | 0.649 | 125.9 | 56.4 | 0.638 | 54.5 | 22.9 |
| ME19112020_slice_75 | 0.805 | 0.141 | 0.063 | 0.807 | 140.3 | 61.3 | 0.652 | 128.6 | 56.7 | 0.641 | 53.6 | 22.4 |
| ME19112020_slice_76 | 0.807 | 0.142 | 0.063 | 0.809 | 141.3 | 61.1 | 0.653 | 130.7 | 56.9 | 0.642 | 53.4 | 22.2 |
| ME19112020_slice_77 | 0.808 | 0.141 | 0.063 | 0.810 | 140.7 | 61.2 | 0.653 | 130.7 | 57.3 | 0.642 | 52.7 | 22.0 |
| ME19112020_slice_78 | 0.807 | 0.138 | 0.061 | 0.808 | 137.2 | 60.1 | 0.655 | 127.3 | 56.3 | 0.644 | 52.0 | 21.7 |
| ME19112020_slice_79 | 0.803 | 0.138 | 0.062 | 0.804 | 137.3 | 60.3 | 0.648 | 127.6 | 56.7 | 0.639 | 52.3 | 22.1 |
| ME19112020_slice_80 | 0.806 | 0.137 | 0.062 | 0.808 | 136.8 | 60.1 | 0.651 | 127.1 | 56.7 | 0.642 | 51.6 | 21.6 |
| ME19112020_slice_81 | 0.809 | 0.137 | 0.061 | 0.811 | 136.5 | 59.9 | 0.654 | 126.7 | 56.2 | 0.641 | 51.3 | 21.5 |
| ME19112020_slice_82 | 0.812 | 0.138 | 0.061 | 0.813 | 137.3 | 59.8 | 0.655 | 127.1 | 55.9 | 0.641 | 50.8 | 21.4 |
| ME19112020_slice_83 | 0.817 | 0.140 | 0.062 | 0.818 | 140.0 | 60.6 | 0.660 | 129.6 | 56.5 | 0.641 | 50.3 | 21.1 |
| ME19112020_slice_84 | 0.816 | 0.140 | 0.062 | 0.817 | 139.7 | 61.0 | 0.656 | 129.5 | 56.8 | 0.640 | 50.3 | 21.1 |
| ME19112020_slice_85 | 0.815 | 0.140 | 0.062 | 0.817 | 139.8 | 60.9 | 0.656 | 129.9 | 56.7 | 0.638 | 51.4 | 21.5 |
| ME19112020_slice_86 | 0.820 | 0.139 | 0.062 | 0.821 | 139.0 | 60.3 | 0.660 | 128.6 | 56.0 | 0.641 | 50.2 | 21.0 |
| ME19112020_slice_87 | 0.820 | 0.141 | 0.062 | 0.821 | 140.6 | 61.1 | 0.660 | 129.5 | 56.6 | 0.640 | 50.8 | 21.2 |
| ME19112020_slice_88 | 0.817 | 0.141 | 0.063 | 0.818 | 140.7 | 61.7 | 0.657 | 129.3 | 57.3 | 0.638 | 51.3 | 21.6 |
| ME19112020_slice_89 | 0.810 | 0.142 | 0.064 | 0.811 | 141.6 | 62.4 | 0.647 | 129.7 | 57.8 | 0.632 | 52.5 | 22.2 |
| ME19112020_slice_90 | 0.810 | 0.141 | 0.064 | 0.812 | 139.9 | 62.1 | 0.645 | 128.0 | 57.6 | 0.634 | 52.5 | 22.3 |
| ME19112020_slice_91 | 0.815 | 0.137 | 0.062 | 0.817 | 136.0 | 60.5 | 0.652 | 124.8 | 56.4 | 0.642 | 51.6 | 21.8 |
| ME19112020_slice_92 | 0.814 | 0.135 | 0.062 | 0.816 | 133.8 | 59.8 | 0.651 | 122.9 | 55.8 | 0.642 | 51.6 | 21.9 |
| ME19112020_slice_93 | 0.816 | 0.133 | 0.061 | 0.817 | 132.3 | 59.1 | 0.653 | 121.4 | 55.3 | 0.642 | 51.3 | 21.7 |
| ME19112020_slice_94 | 0.817 | 0.132 | 0.060 | 0.818 | 130.8 | 58.6 | 0.657 | 119.8 | 54.6 | 0.645 | 51.5 | 21.7 |
| ME19112020_slice_95 | 0.826 | 0.130 | 0.059 | 0.828 | 129.5 | 57.5 | 0.669 | 119.1 | 53.7 | 0.655 | 49.6 | 20.6 |
| ME19112020_slice_96 | 0.823 | 0.136 | 0.062 | 0.824 | 135.8 | 60.3 | 0.667 | 125.8 | 56.5 | 0.652 | 49.7 | 20.8 |
| ME19112020_slice_97 | 0.815 | 0.144 | 0.065 | 0.817 | 143.2 | 63.2 | 0.658 | 132.8 | 59.2 | 0.644 | 52.4 | 21.9 |
| ME19112020_slice_98 | 0.814 | 0.147 | 0.066 | 0.816 | 146.1 | 64.0 | 0.661 | 136.2 | 60.1 | 0.645 | 53.5 | 22.2 |
| ME19112020_slice_99 | 0.813 | 0.148 | 0.066 | 0.815 | 147.2 | 64.1 | 0.662 | 137.7 | 60.4 | 0.648 | 54.0 | 22.2 |
| ME19112020_slice_100 | 0.814 | 0.150 | 0.067 | 0.815 | 148.9 | 65.0 | 0.662 | 139.6 | 61.6 | 0.653 | 54.0 | 22.1 |
| ME19112020_slice_101 | 0.812 | 0.150 | 0.068 | 0.813 | 148.9 | 65.9 | 0.657 | 140.0 | 62.6 | 0.652 | 54.6 | 22.5 |
| ME19112020_slice_102 | 0.807 | 0.152 | 0.068 | 0.809 | 150.8 | 66.2 | 0.656 | 140.3 | 62.1 | 0.652 | 56.6 | 23.3 |
| ME19112020_slice_103 | 0.805 | 0.152 | 0.068 | 0.806 | 151.6 | 66.3 | 0.656 | 141.8 | 62.3 | 0.656 | 57.6 | 23.6 |
| ME19112020_slice_104 | 0.801 | 0.154 | 0.070 | 0.803 | 153.6 | 67.9 | 0.652 | 144.3 | 64.3 | 0.660 | 58.0 | 23.9 |
| ME19112020_slice_105 | 0.805 | 0.153 | 0.070 | 0.807 | 152.6 | 67.7 | 0.655 | 143.9 | 64.4 | 0.663 | 56.2 | 23.3 |
| ME19112020_slice_106 | 0.803 | 0.152 | 0.069 | 0.805 | 151.2 | 67.3 | 0.655 | 142.1 | 63.9 | 0.668 | 57.6 | 23.5 |
| ME19112020_slice_107 | 0.804 | 0.150 | 0.069 | 0.805 | 149.0 | 66.4 | 0.656 | 138.6 | 62.7 | 0.668 | 58.4 | 23.8 |
| ME19112020_slice_108 | 0.803 | 0.147 | 0.067 | 0.805 | 146.6 | 65.2 | 0.658 | 136.0 | 61.4 | 0.670 | 57.6 | 23.6 |
| ME19112020_slice_109 | 0.808 | 0.143 | 0.065 | 0.810 | 142.5 | 62.8 | 0.662 | 131.8 | 59.1 | 0.669 | 55.4 | 22.8 |
| ME19112020_slice_110 | 0.814 | 0.138 | 0.062 | 0.815 | 136.8 | 60.2 | 0.669 | 126.2 | 56.5 | 0.672 | 54.6 | 22.4 |
| ME19112020_slice_111 | 0.816 | 0.135 | 0.061 | 0.818 | 133.9 | 59.2 | 0.673 | 123.2 | 55.4 | 0.674 | 54.3 | 22.4 |
| ME19112020_slice_112 | 0.815 | 0.136 | 0.062 | 0.817 | 135.2 | 59.9 | 0.672 | 124.5 | 56.3 | 0.671 | 52.8 | 21.8 |
| ME19112020_slice_113 | 0.815 | 0.137 | 0.063 | 0.817 | 136.3 | 60.3 | 0.668 | 125.7 | 56.7 | 0.666 | 52.7 | 21.6 |
| ME19112020_slice_114 | 0.815 | 0.136 | 0.062 | 0.817 | 134.7 | 59.5 | 0.666 | 123.4 | 56.0 | 0.667 | 52.8 | 21.7 |
| ME19112020_slice_115 | 0.819 | 0.130 | 0.060 | 0.821 | 129.1 | 57.3 | 0.673 | 118.5 | 54.0 | 0.667 | 51.3 | 21.3 |
| ME19112020_slice_116 | 0.821 | 0.126 | 0.058 | 0.823 | 125.5 | 56.0 | 0.675 | 114.1 | 52.4 | 0.667 | 50.8 | 21.1 |
| ME19112020_slice_117 | 0.827 | 0.123 | 0.056 | 0.829 | 122.0 | 54.4 | 0.680 | 110.5 | 50.9 | 0.668 | 49.9 | 20.7 |
| ME19112020_slice_118 | 0.827 | 0.122 | 0.057 | 0.829 | 120.8 | 54.7 | 0.678 | 109.8 | 51.5 | 0.667 | 49.5 | 20.7 |
| ME19112020_slice_119 | 0.828 | 0.120 | 0.056 | 0.830 | 118.7 | 54.0 | 0.679 | 108.4 | 51.0 | 0.664 | 49.6 | 20.9 |
| ME19112020_slice_120 | 0.827 | 0.118 | 0.056 | 0.829 | 116.5 | 53.3 | 0.679 | 106.2 | 50.3 | 0.663 | 50.7 | 21.7 |
| ME19112020_slice_121 | 0.837 | 0.115 | 0.054 | 0.840 | 113.7 | 51.4 | 0.688 | 102.9 | 48.3 | 0.661 | 49.0 | 20.9 |
| ME19112020_slice_122 | 0.837 | 0.114 | 0.054 | 0.839 | 113.4 | 51.5 | 0.689 | 102.6 | 48.4 | 0.656 | 49.2 | 21.1 |
| ME19112020_slice_123 | 0.842 | 0.111 | 0.052 | 0.844 | 110.0 | 49.6 | 0.691 | 99.5 | 46.7 | 0.654 | 48.1 | 20.7 |
| ME19112020_slice_124 | 0.840 | 0.112 | 0.052 | 0.842 | 110.7 | 49.9 | 0.685 | 100.4 | 46.9 | 0.646 | 49.0 | 21.4 |
| ME19112020_slice_125 | 0.838 | 0.111 | 0.052 | 0.840 | 109.8 | 49.7 | 0.681 | 98.8 | 46.5 | 0.644 | 49.6 | 21.9 |
| ME19112020_slice_126 | 0.847 | 0.107 | 0.050 | 0.849 | 105.9 | 48.3 | 0.686 | 95.2 | 45.3 | 0.643 | 48.3 | 21.2 |
| ME19112020_slice_127 | 0.848 | 0.105 | 0.050 | 0.850 | 103.8 | 47.9 | 0.685 | 93.8 | 45.1 | 0.639 | 48.2 | 21.6 |
| ME19112020_slice_128 | 0.848 | 0.105 | 0.050 | 0.850 | 103.7 | 47.8 | 0.683 | 93.4 | 44.8 | 0.636 | 48.1 | 21.7 |
| ME19112020_slice_129 | 0.850 | 0.105 | 0.050 | 0.852 | 103.4 | 47.9 | 0.684 | 93.4 | 44.7 | 0.635 | 48.1 | 21.7 |
| ME19112020_slice_130 | 0.850 | 0.105 | 0.050 | 0.853 | 103.2 | 47.8 | 0.683 | 93.3 | 44.6 | 0.635 | 48.2 | 21.8 |
| ME19112020_slice_131 | 0.849 | 0.105 | 0.050 | 0.851 | 103.6 | 48.0 | 0.682 | 93.8 | 44.7 | 0.633 | 48.5 | 22.0 |
| ME19112020_slice_132 | 0.846 | 0.106 | 0.051 | 0.848 | 104.5 | 48.6 | 0.681 | 94.5 | 45.2 | 0.629 | 50.0 | 22.6 |
| ME19112020_slice_133 | 0.846 | 0.107 | 0.051 | 0.848 | 105.8 | 48.8 | 0.680 | 96.0 | 45.5 | 0.628 | 50.2 | 22.7 |
| ME19112020_slice_134 | 0.842 | 0.108 | 0.052 | 0.844 | 107.2 | 49.6 | 0.676 | 97.6 | 46.4 | 0.623 | 51.5 | 23.4 |
| ME19112020_slice_135 | 0.840 | 0.107 | 0.052 | 0.842 | 106.1 | 49.4 | 0.675 | 96.9 | 46.3 | 0.620 | 51.5 | 23.5 |
| ME19112020_slice_136 | 0.835 | 0.107 | 0.052 | 0.838 | 105.7 | 49.9 | 0.669 | 96.9 | 47.0 | 0.615 | 52.1 | 24.0 |
| ME19112020_slice_137 | 0.837 | 0.108 | 0.052 | 0.840 | 107.1 | 49.7 | 0.675 | 99.3 | 47.2 | 0.619 | 51.9 | 23.8 |
| ME19112020_slice_138 | 0.837 | 0.112 | 0.052 | 0.839 | 111.1 | 50.4 | 0.678 | 103.0 | 47.8 | 0.620 | 52.7 | 24.1 |
| ME19112020_slice_139 | 0.838 | 0.112 | 0.052 | 0.840 | 110.9 | 50.1 | 0.678 | 102.8 | 47.6 | 0.619 | 52.5 | 24.0 |
| ME19112020_slice_140 | 0.835 | 0.111 | 0.052 | 0.837 | 110.1 | 49.9 | 0.676 | 102.1 | 47.3 | 0.616 | 52.9 | 24.2 |
| ME19112020_slice_141 | 0.835 | 0.113 | 0.052 | 0.837 | 111.7 | 50.0 | 0.676 | 103.6 | 47.3 | 0.615 | 53.2 | 24.4 |
| ME19112020_slice_142 | 0.837 | 0.111 | 0.051 | 0.839 | 110.2 | 49.3 | 0.678 | 102.1 | 46.6 | 0.616 | 52.6 | 24.1 |
| ME19112020_slice_143 | 0.837 | 0.107 | 0.050 | 0.839 | 106.4 | 48.5 | 0.678 | 98.3 | 45.9 | 0.614 | 51.9 | 23.9 |
| ME19112020_slice_144 | 0.840 | 0.103 | 0.049 | 0.842 | 102.0 | 47.1 | 0.683 | 93.7 | 44.2 | 0.615 | 51.1 | 23.5 |
| ME19112020_slice_145 | 0.841 | 0.100 | 0.049 | 0.843 | 99.4 | 46.6 | 0.683 | 90.3 | 43.6 | 0.612 | 50.6 | 23.4 |
| ME19112020_slice_146 | 0.846 | 0.098 | 0.047 | 0.848 | 97.3 | 45.3 | 0.687 | 87.5 | 42.2 | 0.615 | 49.3 | 22.8 |
| ME19112020_slice_147 | 0.844 | 0.100 | 0.047 | 0.846 | 98.9 | 45.6 | 0.688 | 88.9 | 42.4 | 0.613 | 49.3 | 22.8 |
| ME19112020_slice_148 | 0.846 | 0.098 | 0.047 | 0.848 | 97.3 | 44.8 | 0.689 | 87.4 | 41.5 | 0.610 | 48.9 | 22.7 |
| ME19112020_slice_149 | 0.844 | 0.100 | 0.046 | 0.846 | 99.0 | 44.9 | 0.684 | 90.5 | 42.1 | 0.607 | 48.5 | 22.7 |
| ME19112020_slice_150 | 0.837 | 0.103 | 0.047 | 0.839 | 102.0 | 45.7 | 0.678 | 94.5 | 43.3 | 0.603 | 49.6 | 23.2 |
| ME19112020_slice_151 | 0.829 | 0.105 | 0.049 | 0.831 | 104.3 | 46.9 | 0.669 | 97.2 | 44.5 | 0.597 | 50.8 | 23.9 |
| ME19112020_slice_152 | 0.821 | 0.110 | 0.050 | 0.823 | 108.6 | 48.5 | 0.661 | 102.3 | 46.4 | 0.596 | 52.3 | 24.6 |
| ME19112020_slice_153 | 0.811 | 0.114 | 0.052 | 0.813 | 112.6 | 49.9 | 0.654 | 107.0 | 47.9 | 0.594 | 53.7 | 25.4 |
| ME19112020_slice_154 | 0.804 | 0.115 | 0.052 | 0.806 | 114.1 | 50.3 | 0.651 | 108.7 | 48.2 | 0.595 | 54.8 | 26.0 |
| ME19112020_slice_155 | 0.806 | 0.114 | 0.052 | 0.808 | 112.7 | 49.9 | 0.653 | 108.1 | 48.1 | 0.598 | 54.7 | 25.8 |
| ME19112020_slice_156 | 0.808 | 0.115 | 0.052 | 0.810 | 113.2 | 50.0 | 0.653 | 109.1 | 48.3 | 0.599 | 54.8 | 25.8 |
| ME19112020_slice_157 | 0.808 | 0.117 | 0.052 | 0.810 | 115.3 | 50.2 | 0.653 | 111.4 | 48.7 | 0.599 | 54.8 | 25.8 |
| ME19112020_slice_158 | 0.809 | 0.119 | 0.052 | 0.811 | 117.5 | 50.7 | 0.658 | 113.8 | 49.1 | 0.602 | 54.2 | 25.6 |
| ME19112020_slice_159 | 0.814 | 0.117 | 0.051 | 0.816 | 115.9 | 49.8 | 0.664 | 112.3 | 48.1 | 0.605 | 53.0 | 25.0 |
| ME19112020_slice_160 | 0.815 | 0.118 | 0.051 | 0.817 | 116.4 | 50.0 | 0.665 | 112.5 | 48.2 | 0.604 | 53.3 | 25.1 |
4Γ3 grid: Rows show different image types (Original NATIVE, Reconstructed NATIVE, Original VENOUS, Generated VENOUS), Columns show windowing techniques (No Window, Lung Window, Mediastinum Window)