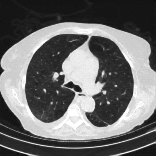
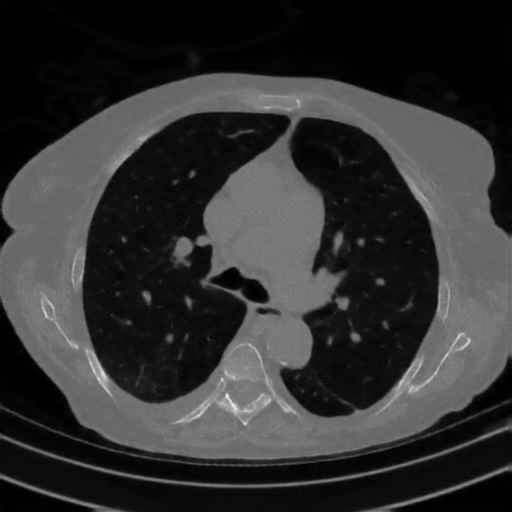
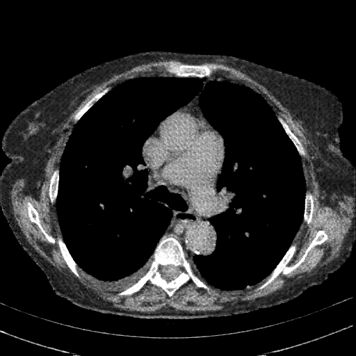
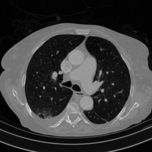
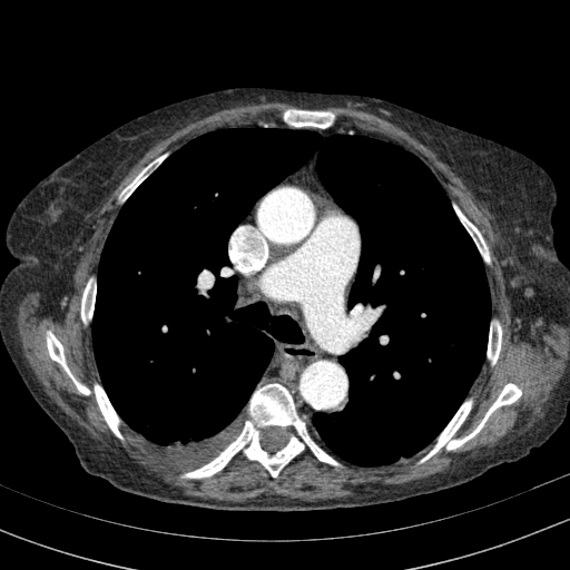
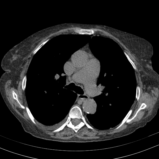
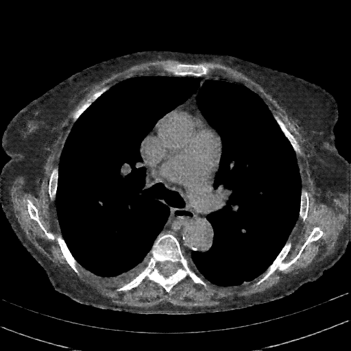
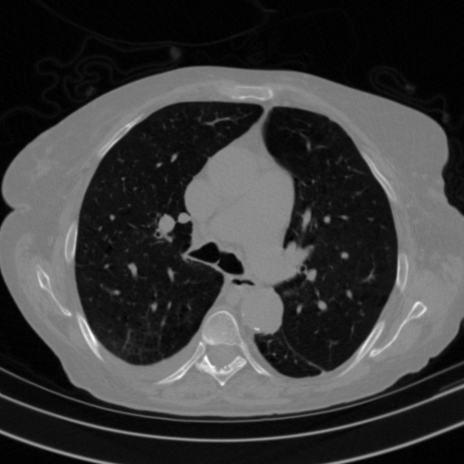
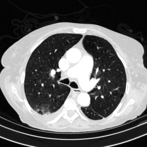
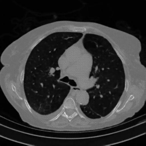
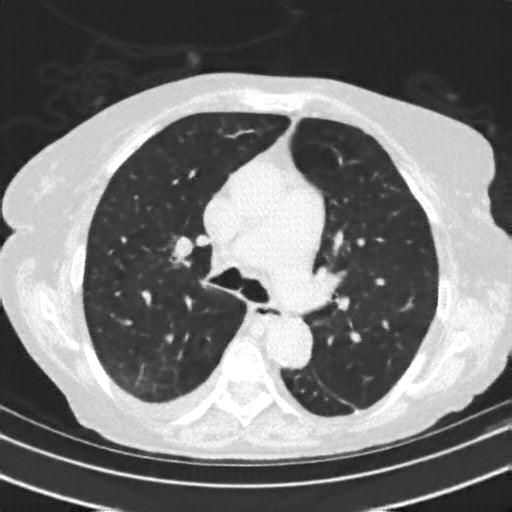
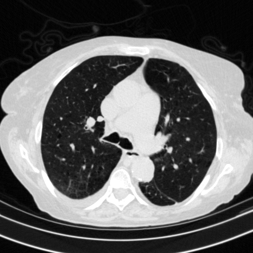
Slice 70 Targeting Evaluation
Patient ID: MF04022021
Model: cytran
Slice: Slice_70
Slice Thickness: 1.5mm
Conversion: NATIVE β VENOUS
Contains all 4 metric datasets: Network-Normalized, Hounsfield Units, Lung Window, and Mediastinum Window
| Slice ID | SSIM | RMSE | MAE | HU SSIM | HU RMSE | HU MAE | Lung SSIM | Lung RMSE | Lung MAE | Mediastinum SSIM | Mediastinum RMSE | Mediastinum MAE |
|---|---|---|---|---|---|---|---|---|---|---|---|---|
| MF04022021_slice_0 | 0.727 | 0.185 | 0.080 | 0.728 | 185.0 | 79.8 | 0.588 | 160.2 | 66.6 | 0.563 | 61.3 | 29.7 |
| MF04022021_slice_1 | 0.730 | 0.175 | 0.076 | 0.730 | 174.9 | 76.1 | 0.588 | 151.5 | 63.7 | 0.560 | 60.4 | 29.5 |
| MF04022021_slice_2 | 0.736 | 0.167 | 0.073 | 0.736 | 167.4 | 73.3 | 0.591 | 145.3 | 61.6 | 0.560 | 59.3 | 29.2 |
| MF04022021_slice_3 | 0.737 | 0.164 | 0.073 | 0.737 | 164.2 | 73.2 | 0.594 | 143.9 | 61.9 | 0.557 | 60.6 | 29.7 |
| MF04022021_slice_4 | 0.734 | 0.168 | 0.081 | 0.734 | 168.4 | 81.3 | 0.585 | 147.7 | 69.5 | 0.556 | 61.5 | 30.0 |
| MF04022021_slice_5 | 0.726 | 0.184 | 0.090 | 0.726 | 184.2 | 89.8 | 0.574 | 161.3 | 77.3 | 0.554 | 60.6 | 29.9 |
| MF04022021_slice_6 | 0.727 | 0.180 | 0.085 | 0.728 | 180.2 | 85.3 | 0.583 | 152.2 | 71.7 | 0.544 | 63.4 | 31.0 |
| MF04022021_slice_7 | 0.731 | 0.175 | 0.079 | 0.731 | 175.2 | 78.9 | 0.594 | 147.1 | 64.6 | 0.546 | 61.6 | 30.3 |
| MF04022021_slice_8 | 0.731 | 0.176 | 0.080 | 0.731 | 176.4 | 79.5 | 0.593 | 152.3 | 65.8 | 0.554 | 62.2 | 30.4 |
| MF04022021_slice_9 | 0.729 | 0.173 | 0.079 | 0.729 | 172.8 | 78.7 | 0.594 | 151.8 | 65.4 | 0.557 | 63.1 | 30.5 |
| MF04022021_slice_10 | 0.732 | 0.169 | 0.077 | 0.732 | 168.8 | 77.0 | 0.598 | 149.5 | 64.2 | 0.563 | 60.9 | 29.5 |
| MF04022021_slice_11 | 0.735 | 0.166 | 0.075 | 0.735 | 165.7 | 75.0 | 0.600 | 148.7 | 63.5 | 0.570 | 60.2 | 28.9 |
| MF04022021_slice_12 | 0.740 | 0.164 | 0.074 | 0.740 | 164.0 | 73.7 | 0.604 | 149.0 | 63.3 | 0.577 | 59.0 | 28.2 |
| MF04022021_slice_13 | 0.744 | 0.165 | 0.073 | 0.744 | 164.5 | 73.4 | 0.608 | 150.8 | 63.7 | 0.580 | 58.6 | 27.9 |
| MF04022021_slice_14 | 0.742 | 0.167 | 0.075 | 0.742 | 166.8 | 74.8 | 0.606 | 152.6 | 64.8 | 0.583 | 59.3 | 28.1 |
| MF04022021_slice_15 | 0.748 | 0.167 | 0.074 | 0.748 | 166.8 | 74.3 | 0.610 | 152.3 | 64.4 | 0.590 | 58.2 | 27.3 |
| MF04022021_slice_16 | 0.749 | 0.166 | 0.074 | 0.749 | 166.1 | 74.0 | 0.611 | 151.6 | 64.0 | 0.593 | 58.3 | 27.1 |
| MF04022021_slice_17 | 0.749 | 0.167 | 0.075 | 0.749 | 167.3 | 74.5 | 0.611 | 151.3 | 63.9 | 0.597 | 59.3 | 27.3 |
| MF04022021_slice_18 | 0.748 | 0.170 | 0.076 | 0.748 | 170.4 | 75.6 | 0.609 | 153.7 | 64.6 | 0.600 | 58.9 | 26.9 |
| MF04022021_slice_19 | 0.748 | 0.172 | 0.076 | 0.748 | 171.6 | 76.2 | 0.606 | 153.0 | 65.0 | 0.601 | 59.3 | 27.0 |
| MF04022021_slice_20 | 0.751 | 0.175 | 0.076 | 0.751 | 175.1 | 76.2 | 0.610 | 153.7 | 65.1 | 0.606 | 59.0 | 26.8 |
| MF04022021_slice_21 | 0.751 | 0.174 | 0.076 | 0.751 | 174.1 | 75.7 | 0.610 | 154.2 | 65.3 | 0.611 | 57.6 | 26.2 |
| MF04022021_slice_22 | 0.752 | 0.172 | 0.075 | 0.753 | 172.0 | 74.8 | 0.612 | 154.5 | 65.0 | 0.616 | 55.3 | 25.2 |
| MF04022021_slice_23 | 0.759 | 0.166 | 0.073 | 0.759 | 166.4 | 72.6 | 0.619 | 153.0 | 63.8 | 0.621 | 53.1 | 24.1 |
| MF04022021_slice_24 | 0.760 | 0.167 | 0.073 | 0.760 | 167.2 | 73.0 | 0.619 | 155.3 | 64.7 | 0.624 | 52.7 | 23.9 |
| MF04022021_slice_25 | 0.758 | 0.166 | 0.072 | 0.758 | 166.0 | 72.4 | 0.618 | 154.6 | 64.3 | 0.626 | 53.8 | 23.9 |
| MF04022021_slice_26 | 0.760 | 0.167 | 0.072 | 0.760 | 166.8 | 72.0 | 0.619 | 154.8 | 64.0 | 0.628 | 53.1 | 23.6 |
| MF04022021_slice_27 | 0.761 | 0.168 | 0.072 | 0.761 | 168.1 | 72.4 | 0.619 | 155.5 | 64.2 | 0.630 | 53.2 | 23.3 |
| MF04022021_slice_28 | 0.759 | 0.168 | 0.073 | 0.759 | 167.9 | 72.9 | 0.615 | 156.4 | 64.8 | 0.631 | 54.0 | 23.5 |
| MF04022021_slice_29 | 0.761 | 0.168 | 0.073 | 0.761 | 167.7 | 72.9 | 0.614 | 156.8 | 64.9 | 0.631 | 53.8 | 23.2 |
| MF04022021_slice_30 | 0.757 | 0.168 | 0.073 | 0.758 | 167.5 | 73.0 | 0.609 | 156.5 | 65.2 | 0.630 | 55.0 | 23.7 |
| MF04022021_slice_31 | 0.759 | 0.168 | 0.073 | 0.759 | 167.5 | 73.0 | 0.610 | 155.9 | 65.1 | 0.634 | 55.2 | 23.6 |
| MF04022021_slice_32 | 0.756 | 0.167 | 0.073 | 0.756 | 167.2 | 72.8 | 0.607 | 156.4 | 65.4 | 0.634 | 53.9 | 23.2 |
| MF04022021_slice_33 | 0.757 | 0.166 | 0.073 | 0.757 | 165.8 | 72.6 | 0.607 | 155.4 | 65.3 | 0.635 | 53.8 | 23.1 |
| MF04022021_slice_34 | 0.756 | 0.165 | 0.073 | 0.756 | 164.7 | 72.9 | 0.607 | 154.6 | 65.8 | 0.636 | 53.2 | 23.1 |
| MF04022021_slice_35 | 0.759 | 0.163 | 0.072 | 0.759 | 162.9 | 71.8 | 0.608 | 153.7 | 65.1 | 0.634 | 52.4 | 22.8 |
| MF04022021_slice_36 | 0.765 | 0.162 | 0.071 | 0.765 | 162.2 | 71.1 | 0.613 | 153.5 | 64.7 | 0.634 | 51.6 | 22.5 |
| MF04022021_slice_37 | 0.762 | 0.164 | 0.073 | 0.762 | 164.3 | 72.5 | 0.609 | 155.3 | 65.7 | 0.629 | 53.4 | 23.5 |
| MF04022021_slice_38 | 0.759 | 0.166 | 0.074 | 0.759 | 166.3 | 73.7 | 0.603 | 156.7 | 66.5 | 0.626 | 54.1 | 23.9 |
| MF04022021_slice_39 | 0.756 | 0.168 | 0.075 | 0.756 | 167.6 | 74.7 | 0.601 | 158.1 | 67.5 | 0.627 | 54.1 | 23.8 |
| MF04022021_slice_40 | 0.758 | 0.167 | 0.075 | 0.758 | 167.4 | 74.6 | 0.604 | 157.6 | 67.2 | 0.626 | 54.5 | 24.0 |
| MF04022021_slice_41 | 0.755 | 0.169 | 0.076 | 0.755 | 168.5 | 75.6 | 0.601 | 158.7 | 68.0 | 0.624 | 55.2 | 24.3 |
| MF04022021_slice_42 | 0.756 | 0.169 | 0.076 | 0.756 | 168.7 | 76.0 | 0.599 | 158.7 | 68.2 | 0.626 | 55.5 | 24.2 |
| MF04022021_slice_43 | 0.762 | 0.166 | 0.075 | 0.762 | 166.3 | 74.8 | 0.605 | 155.9 | 66.8 | 0.629 | 55.2 | 24.1 |
| MF04022021_slice_44 | 0.767 | 0.164 | 0.074 | 0.767 | 163.8 | 73.9 | 0.609 | 153.0 | 65.8 | 0.631 | 55.7 | 24.0 |
| MF04022021_slice_45 | 0.766 | 0.163 | 0.074 | 0.766 | 163.1 | 74.0 | 0.609 | 152.7 | 66.0 | 0.634 | 55.6 | 23.9 |
| MF04022021_slice_46 | 0.769 | 0.162 | 0.074 | 0.769 | 161.9 | 73.5 | 0.611 | 151.8 | 65.7 | 0.632 | 55.2 | 23.8 |
| MF04022021_slice_47 | 0.771 | 0.162 | 0.073 | 0.771 | 161.8 | 73.3 | 0.613 | 151.8 | 65.5 | 0.631 | 55.1 | 23.7 |
| MF04022021_slice_48 | 0.766 | 0.164 | 0.075 | 0.766 | 164.1 | 74.9 | 0.607 | 154.2 | 66.9 | 0.627 | 56.0 | 24.1 |
| MF04022021_slice_49 | 0.762 | 0.166 | 0.076 | 0.762 | 166.0 | 76.1 | 0.601 | 156.0 | 68.1 | 0.625 | 56.7 | 24.4 |
| MF04022021_slice_50 | 0.764 | 0.164 | 0.075 | 0.764 | 164.3 | 75.2 | 0.599 | 154.7 | 67.6 | 0.626 | 56.5 | 24.3 |
| MF04022021_slice_51 | 0.762 | 0.165 | 0.075 | 0.762 | 164.5 | 75.3 | 0.596 | 154.8 | 67.8 | 0.627 | 56.5 | 24.2 |
| MF04022021_slice_52 | 0.762 | 0.164 | 0.075 | 0.762 | 164.2 | 75.0 | 0.595 | 154.6 | 67.7 | 0.626 | 56.2 | 24.1 |
| MF04022021_slice_53 | 0.764 | 0.162 | 0.074 | 0.764 | 162.0 | 74.0 | 0.597 | 152.5 | 66.8 | 0.627 | 55.8 | 24.1 |
| MF04022021_slice_54 | 0.767 | 0.161 | 0.074 | 0.767 | 160.7 | 73.8 | 0.599 | 151.5 | 66.7 | 0.628 | 54.9 | 23.7 |
| MF04022021_slice_55 | 0.763 | 0.164 | 0.076 | 0.763 | 164.2 | 75.7 | 0.596 | 154.8 | 68.5 | 0.625 | 57.2 | 24.3 |
| MF04022021_slice_56 | 0.765 | 0.162 | 0.075 | 0.766 | 161.6 | 74.9 | 0.600 | 152.6 | 67.8 | 0.633 | 54.7 | 23.4 |
| MF04022021_slice_57 | 0.768 | 0.160 | 0.074 | 0.768 | 160.1 | 74.4 | 0.601 | 150.5 | 67.1 | 0.633 | 54.7 | 23.3 |
| MF04022021_slice_58 | 0.765 | 0.162 | 0.075 | 0.765 | 161.7 | 75.3 | 0.597 | 152.0 | 67.7 | 0.631 | 55.4 | 23.6 |
| MF04022021_slice_59 | 0.757 | 0.169 | 0.080 | 0.757 | 169.0 | 79.6 | 0.589 | 160.2 | 72.5 | 0.626 | 58.0 | 24.8 |
| MF04022021_slice_60 | 0.764 | 0.166 | 0.077 | 0.764 | 165.5 | 77.3 | 0.598 | 157.3 | 70.3 | 0.638 | 54.3 | 23.2 |
| MF04022021_slice_61 | 0.761 | 0.164 | 0.076 | 0.761 | 164.4 | 76.2 | 0.595 | 156.1 | 69.1 | 0.636 | 54.7 | 23.5 |
| MF04022021_slice_62 | 0.764 | 0.166 | 0.077 | 0.764 | 165.7 | 76.5 | 0.599 | 157.9 | 69.8 | 0.634 | 55.0 | 23.7 |
| MF04022021_slice_63 | 0.759 | 0.167 | 0.077 | 0.759 | 166.8 | 77.2 | 0.594 | 159.4 | 70.6 | 0.633 | 54.9 | 23.8 |
| MF04022021_slice_64 | 0.757 | 0.166 | 0.077 | 0.757 | 165.8 | 77.2 | 0.592 | 158.4 | 70.8 | 0.631 | 54.4 | 23.8 |
| MF04022021_slice_65 | 0.758 | 0.166 | 0.077 | 0.758 | 166.3 | 77.1 | 0.592 | 159.7 | 71.0 | 0.631 | 53.7 | 23.5 |
| MF04022021_slice_66 | 0.761 | 0.166 | 0.077 | 0.761 | 166.1 | 76.7 | 0.596 | 159.7 | 70.7 | 0.633 | 53.3 | 23.3 |
| MF04022021_slice_67 | 0.761 | 0.166 | 0.077 | 0.761 | 165.9 | 76.8 | 0.596 | 159.4 | 70.7 | 0.632 | 54.1 | 23.7 |
| MF04022021_slice_68 | 0.760 | 0.167 | 0.078 | 0.760 | 166.8 | 77.4 | 0.594 | 160.2 | 71.2 | 0.630 | 55.0 | 24.1 |
| MF04022021_slice_69 | 0.763 | 0.168 | 0.078 | 0.763 | 167.7 | 77.9 | 0.596 | 161.0 | 71.6 | 0.630 | 55.6 | 24.4 |
| MF04022021_slice_70 | 0.762 | 0.169 | 0.079 | 0.762 | 169.4 | 78.9 | 0.598 | 162.3 | 72.3 | 0.625 | 56.4 | 25.0 |
| MF04022021_slice_71 | 0.755 | 0.173 | 0.081 | 0.756 | 172.9 | 80.9 | 0.593 | 165.1 | 73.7 | 0.617 | 57.6 | 25.8 |
| MF04022021_slice_72 | 0.751 | 0.175 | 0.083 | 0.751 | 175.3 | 82.5 | 0.591 | 167.2 | 75.1 | 0.610 | 58.1 | 26.2 |
| MF04022021_slice_73 | 0.750 | 0.175 | 0.083 | 0.751 | 175.2 | 82.8 | 0.592 | 166.7 | 75.1 | 0.606 | 59.2 | 26.9 |
| MF04022021_slice_74 | 0.746 | 0.176 | 0.084 | 0.746 | 175.9 | 83.9 | 0.589 | 167.1 | 75.7 | 0.602 | 59.7 | 27.4 |
| MF04022021_slice_75 | 0.743 | 0.178 | 0.085 | 0.743 | 177.7 | 85.4 | 0.582 | 169.2 | 77.2 | 0.597 | 59.3 | 27.5 |
| MF04022021_slice_76 | 0.740 | 0.178 | 0.086 | 0.740 | 177.6 | 85.8 | 0.579 | 169.5 | 77.9 | 0.597 | 59.3 | 27.5 |
| MF04022021_slice_77 | 0.736 | 0.179 | 0.087 | 0.736 | 179.1 | 86.6 | 0.574 | 171.0 | 78.5 | 0.591 | 60.0 | 28.1 |
| MF04022021_slice_78 | 0.731 | 0.178 | 0.086 | 0.731 | 178.0 | 85.8 | 0.566 | 170.6 | 78.4 | 0.585 | 59.3 | 28.0 |
| MF04022021_slice_79 | 0.732 | 0.177 | 0.085 | 0.733 | 176.7 | 84.8 | 0.567 | 170.0 | 77.9 | 0.583 | 58.8 | 27.8 |
| MF04022021_slice_80 | 0.732 | 0.177 | 0.085 | 0.732 | 177.2 | 84.5 | 0.565 | 171.0 | 77.8 | 0.575 | 59.0 | 28.4 |
| MF04022021_slice_81 | 0.730 | 0.178 | 0.084 | 0.730 | 177.5 | 84.3 | 0.560 | 171.9 | 77.9 | 0.571 | 58.4 | 28.3 |
| MF04022021_slice_82 | 0.730 | 0.176 | 0.084 | 0.730 | 175.5 | 83.6 | 0.557 | 170.1 | 77.4 | 0.569 | 58.6 | 28.3 |
| MF04022021_slice_83 | 0.730 | 0.176 | 0.084 | 0.730 | 176.2 | 84.2 | 0.557 | 170.9 | 77.8 | 0.569 | 59.7 | 29.0 |
| MF04022021_slice_84 | 0.733 | 0.176 | 0.084 | 0.733 | 175.6 | 83.5 | 0.561 | 170.4 | 77.1 | 0.567 | 58.8 | 28.6 |
| MF04022021_slice_85 | 0.730 | 0.173 | 0.083 | 0.730 | 173.1 | 82.9 | 0.553 | 168.1 | 76.6 | 0.560 | 58.3 | 28.6 |
| MF04022021_slice_86 | 0.730 | 0.172 | 0.083 | 0.730 | 171.9 | 82.9 | 0.555 | 166.5 | 76.5 | 0.558 | 58.8 | 28.8 |
| MF04022021_slice_87 | 0.727 | 0.172 | 0.084 | 0.727 | 172.3 | 83.8 | 0.549 | 167.0 | 77.4 | 0.552 | 58.5 | 28.9 |
| MF04022021_slice_88 | 0.731 | 0.174 | 0.084 | 0.731 | 173.9 | 84.4 | 0.550 | 169.1 | 78.5 | 0.545 | 57.8 | 28.7 |
| MF04022021_slice_89 | 0.734 | 0.171 | 0.083 | 0.734 | 170.7 | 83.2 | 0.552 | 165.6 | 77.1 | 0.545 | 58.4 | 29.3 |
| MF04022021_slice_90 | 0.731 | 0.169 | 0.083 | 0.731 | 168.9 | 82.6 | 0.546 | 163.6 | 76.6 | 0.540 | 59.4 | 29.9 |
| MF04022021_slice_91 | 0.732 | 0.168 | 0.082 | 0.732 | 168.4 | 82.0 | 0.544 | 162.7 | 75.9 | 0.537 | 59.7 | 30.3 |
| MF04022021_slice_92 | 0.733 | 0.167 | 0.081 | 0.733 | 166.6 | 80.7 | 0.542 | 161.2 | 74.8 | 0.530 | 59.4 | 30.4 |
| MF04022021_slice_93 | 0.731 | 0.165 | 0.081 | 0.731 | 165.2 | 80.8 | 0.539 | 159.7 | 74.7 | 0.521 | 60.6 | 31.5 |
| MF04022021_slice_94 | 0.731 | 0.165 | 0.081 | 0.731 | 164.8 | 80.8 | 0.540 | 159.2 | 74.5 | 0.518 | 61.7 | 32.1 |
| MF04022021_slice_95 | 0.737 | 0.163 | 0.079 | 0.737 | 162.5 | 79.4 | 0.548 | 157.1 | 73.0 | 0.518 | 61.2 | 32.0 |
| MF04022021_slice_96 | 0.735 | 0.160 | 0.079 | 0.735 | 160.2 | 78.7 | 0.543 | 154.8 | 72.4 | 0.513 | 60.7 | 32.0 |
| MF04022021_slice_97 | 0.734 | 0.160 | 0.079 | 0.734 | 159.7 | 79.1 | 0.543 | 154.1 | 72.6 | 0.512 | 61.1 | 32.4 |
| MF04022021_slice_98 | 0.743 | 0.159 | 0.078 | 0.743 | 159.2 | 77.9 | 0.550 | 153.6 | 71.3 | 0.510 | 60.2 | 32.0 |
| MF04022021_slice_99 | 0.752 | 0.157 | 0.076 | 0.752 | 156.6 | 76.4 | 0.560 | 151.2 | 69.6 | 0.512 | 59.6 | 31.5 |
| MF04022021_slice_100 | 0.750 | 0.155 | 0.077 | 0.750 | 155.4 | 76.4 | 0.560 | 149.9 | 69.5 | 0.508 | 61.3 | 32.5 |
| MF04022021_slice_101 | 0.746 | 0.156 | 0.078 | 0.746 | 155.8 | 77.7 | 0.557 | 149.6 | 69.9 | 0.506 | 62.6 | 33.6 |
| MF04022021_slice_102 | 0.746 | 0.155 | 0.077 | 0.746 | 154.5 | 77.2 | 0.552 | 148.6 | 69.8 | 0.500 | 61.8 | 33.4 |
| MF04022021_slice_103 | 0.748 | 0.152 | 0.076 | 0.748 | 152.2 | 76.4 | 0.557 | 146.3 | 68.9 | 0.497 | 62.1 | 33.6 |
| MF04022021_slice_104 | 0.747 | 0.151 | 0.077 | 0.747 | 151.2 | 76.8 | 0.556 | 144.9 | 68.7 | 0.499 | 62.6 | 34.1 |
| MF04022021_slice_105 | 0.753 | 0.149 | 0.075 | 0.753 | 148.6 | 75.4 | 0.558 | 142.4 | 67.6 | 0.504 | 61.8 | 33.7 |
| MF04022021_slice_106 | 0.754 | 0.148 | 0.075 | 0.755 | 147.4 | 75.0 | 0.559 | 141.4 | 67.5 | 0.501 | 61.8 | 33.8 |
| MF04022021_slice_107 | 0.755 | 0.146 | 0.074 | 0.755 | 145.5 | 74.2 | 0.556 | 139.0 | 66.5 | 0.497 | 62.0 | 34.0 |
| MF04022021_slice_108 | 0.753 | 0.145 | 0.075 | 0.753 | 144.7 | 74.4 | 0.555 | 137.3 | 66.2 | 0.492 | 64.1 | 35.2 |
| MF04022021_slice_109 | 0.755 | 0.142 | 0.073 | 0.756 | 141.8 | 73.2 | 0.556 | 134.5 | 65.2 | 0.494 | 64.4 | 35.5 |
| MF04022021_slice_110 | 0.756 | 0.141 | 0.073 | 0.756 | 140.8 | 72.9 | 0.558 | 133.7 | 65.0 | 0.494 | 64.5 | 35.8 |
| MF04022021_slice_111 | 0.754 | 0.140 | 0.073 | 0.755 | 140.2 | 72.9 | 0.557 | 132.9 | 64.8 | 0.490 | 65.1 | 36.3 |
| MF04022021_slice_112 | 0.755 | 0.139 | 0.072 | 0.756 | 139.1 | 72.1 | 0.554 | 132.2 | 64.2 | 0.487 | 64.0 | 35.9 |
| MF04022021_slice_113 | 0.757 | 0.138 | 0.071 | 0.758 | 138.0 | 71.4 | 0.556 | 131.2 | 63.7 | 0.484 | 63.6 | 35.7 |
| MF04022021_slice_114 | 0.760 | 0.137 | 0.071 | 0.761 | 136.7 | 70.8 | 0.561 | 129.8 | 63.0 | 0.482 | 63.8 | 35.8 |
| MF04022021_slice_115 | 0.765 | 0.135 | 0.070 | 0.765 | 135.1 | 70.1 | 0.567 | 128.1 | 62.3 | 0.484 | 63.5 | 35.6 |
| MF04022021_slice_116 | 0.759 | 0.136 | 0.071 | 0.759 | 135.8 | 70.9 | 0.562 | 128.3 | 62.9 | 0.484 | 64.6 | 36.4 |
| MF04022021_slice_117 | 0.764 | 0.134 | 0.070 | 0.764 | 133.5 | 69.8 | 0.567 | 126.5 | 62.1 | 0.486 | 64.0 | 36.2 |
| MF04022021_slice_118 | 0.765 | 0.132 | 0.070 | 0.765 | 132.2 | 69.8 | 0.566 | 124.7 | 61.8 | 0.480 | 64.6 | 36.6 |
| MF04022021_slice_119 | 0.763 | 0.132 | 0.070 | 0.763 | 131.9 | 69.9 | 0.564 | 124.3 | 61.9 | 0.478 | 64.6 | 36.6 |
| MF04022021_slice_120 | 0.762 | 0.131 | 0.070 | 0.762 | 131.1 | 70.0 | 0.565 | 123.3 | 61.8 | 0.481 | 65.0 | 36.8 |
| MF04022021_slice_121 | 0.759 | 0.129 | 0.070 | 0.759 | 129.0 | 69.5 | 0.565 | 120.6 | 61.2 | 0.480 | 66.1 | 37.7 |
| MF04022021_slice_122 | 0.762 | 0.128 | 0.069 | 0.762 | 127.7 | 68.6 | 0.567 | 119.2 | 60.4 | 0.482 | 66.0 | 37.6 |
| MF04022021_slice_123 | 0.764 | 0.125 | 0.068 | 0.764 | 124.9 | 67.6 | 0.567 | 116.2 | 59.6 | 0.485 | 65.9 | 37.5 |
| MF04022021_slice_124 | 0.769 | 0.121 | 0.067 | 0.769 | 121.1 | 66.6 | 0.572 | 112.2 | 58.5 | 0.488 | 64.5 | 36.7 |
| MF04022021_slice_125 | 0.771 | 0.117 | 0.065 | 0.772 | 116.6 | 64.8 | 0.575 | 107.1 | 56.9 | 0.490 | 65.1 | 36.7 |
| MF04022021_slice_126 | 0.775 | 0.113 | 0.063 | 0.776 | 112.5 | 62.8 | 0.580 | 102.9 | 55.3 | 0.489 | 64.7 | 36.6 |
| MF04022021_slice_127 | 0.777 | 0.111 | 0.062 | 0.777 | 111.1 | 61.7 | 0.580 | 101.3 | 54.3 | 0.489 | 64.0 | 36.2 |
| MF04022021_slice_128 | 0.778 | 0.111 | 0.061 | 0.778 | 110.9 | 61.2 | 0.578 | 101.1 | 53.8 | 0.485 | 63.8 | 36.1 |
| MF04022021_slice_129 | 0.781 | 0.110 | 0.061 | 0.782 | 110.1 | 60.7 | 0.580 | 100.7 | 53.7 | 0.485 | 62.6 | 35.5 |
| MF04022021_slice_130 | 0.779 | 0.112 | 0.062 | 0.780 | 112.0 | 61.3 | 0.574 | 103.5 | 54.8 | 0.478 | 61.9 | 35.4 |
| MF04022021_slice_131 | 0.779 | 0.115 | 0.062 | 0.780 | 115.1 | 61.8 | 0.573 | 106.7 | 55.4 | 0.472 | 61.5 | 35.2 |
| MF04022021_slice_132 | 0.779 | 0.117 | 0.062 | 0.779 | 116.6 | 61.9 | 0.572 | 108.8 | 55.6 | 0.470 | 60.7 | 34.7 |
| MF04022021_slice_133 | 0.769 | 0.121 | 0.064 | 0.770 | 120.5 | 63.8 | 0.567 | 112.7 | 57.5 | 0.464 | 62.2 | 35.6 |
| MF04022021_slice_134 | 0.764 | 0.127 | 0.066 | 0.764 | 126.8 | 66.0 | 0.562 | 119.4 | 59.7 | 0.462 | 62.9 | 36.2 |
| MF04022021_slice_135 | 0.756 | 0.130 | 0.066 | 0.756 | 129.7 | 66.1 | 0.552 | 123.1 | 60.2 | 0.463 | 61.6 | 35.7 |
| MF04022021_slice_136 | 0.748 | 0.134 | 0.067 | 0.749 | 133.8 | 66.9 | 0.546 | 127.8 | 61.5 | 0.464 | 61.9 | 35.7 |
| MF04022021_slice_137 | 0.744 | 0.142 | 0.069 | 0.744 | 141.8 | 69.1 | 0.546 | 136.2 | 63.7 | 0.464 | 62.5 | 35.9 |
| MF04022021_slice_138 | 0.730 | 0.150 | 0.072 | 0.731 | 149.5 | 71.8 | 0.536 | 144.1 | 66.4 | 0.461 | 63.6 | 36.6 |
| MF04022021_slice_139 | 0.732 | 0.149 | 0.072 | 0.733 | 149.4 | 71.3 | 0.536 | 144.5 | 66.4 | 0.464 | 62.9 | 36.0 |
| MF04022021_slice_140 | 0.738 | 0.148 | 0.070 | 0.739 | 148.1 | 69.6 | 0.538 | 143.9 | 65.3 | 0.465 | 60.8 | 34.7 |
| MF04022021_slice_141 | 0.741 | 0.146 | 0.068 | 0.742 | 145.7 | 67.8 | 0.539 | 141.5 | 63.6 | 0.470 | 59.1 | 33.7 |
| MF04022021_slice_142 | 0.748 | 0.138 | 0.064 | 0.749 | 137.8 | 64.1 | 0.542 | 134.0 | 60.4 | 0.470 | 56.9 | 32.5 |
| MF04022021_slice_143 | 0.752 | 0.136 | 0.063 | 0.753 | 136.3 | 62.9 | 0.540 | 132.6 | 59.6 | 0.465 | 56.0 | 32.0 |
| MF04022021_slice_144 | 0.754 | 0.135 | 0.062 | 0.755 | 134.3 | 61.3 | 0.539 | 130.5 | 58.1 | 0.462 | 55.2 | 31.4 |
| MF04022021_slice_145 | 0.764 | 0.129 | 0.059 | 0.765 | 129.1 | 58.9 | 0.544 | 125.6 | 56.0 | 0.463 | 53.8 | 30.5 |
| MF04022021_slice_146 | 0.773 | 0.126 | 0.058 | 0.774 | 125.3 | 57.0 | 0.546 | 121.7 | 54.3 | 0.460 | 51.6 | 29.4 |
| MF04022021_slice_147 | 0.778 | 0.124 | 0.056 | 0.779 | 123.7 | 56.0 | 0.552 | 120.3 | 53.3 | 0.462 | 50.2 | 28.7 |
| MF04022021_slice_148 | 0.778 | 0.120 | 0.055 | 0.779 | 119.6 | 54.9 | 0.551 | 116.1 | 52.1 | 0.458 | 50.0 | 28.5 |
| MF04022021_slice_149 | 0.772 | 0.116 | 0.054 | 0.773 | 116.0 | 54.1 | 0.545 | 111.7 | 50.9 | 0.455 | 49.7 | 28.4 |
| MF04022021_slice_150 | 0.778 | 0.114 | 0.053 | 0.779 | 114.0 | 52.8 | 0.546 | 109.9 | 49.9 | 0.452 | 49.3 | 28.3 |
| MF04022021_slice_151 | 0.786 | 0.115 | 0.053 | 0.787 | 114.2 | 52.1 | 0.551 | 110.4 | 49.5 | 0.451 | 48.5 | 27.9 |
| MF04022021_slice_152 | 0.794 | 0.115 | 0.052 | 0.795 | 114.1 | 51.6 | 0.560 | 110.8 | 49.2 | 0.453 | 47.7 | 27.4 |
4Γ3 grid: Rows show different image types (Original NATIVE, Reconstructed NATIVE, Original VENOUS, Generated VENOUS), Columns show windowing techniques (No Window, Lung Window, Mediastinum Window)