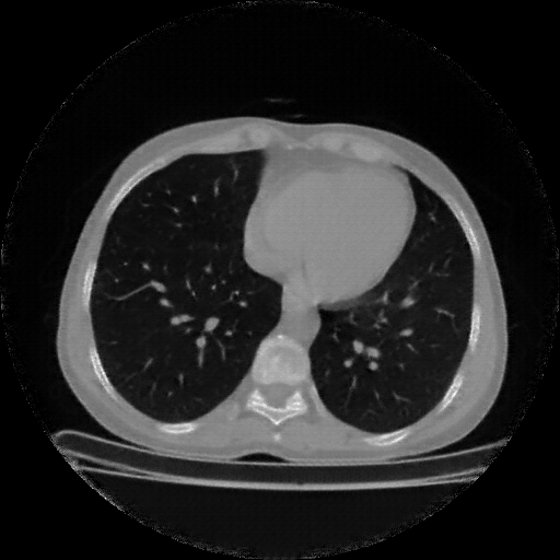
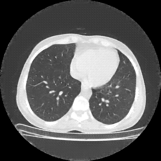
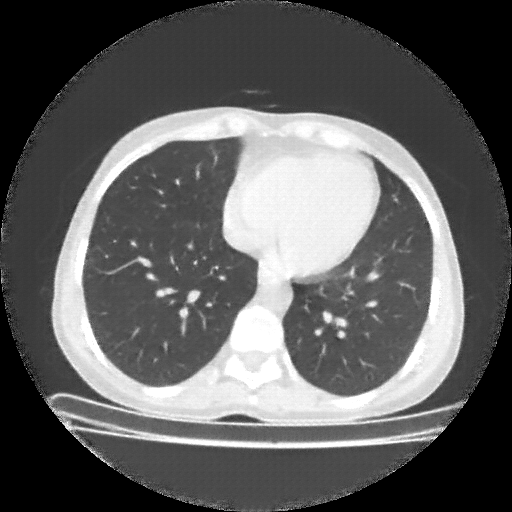
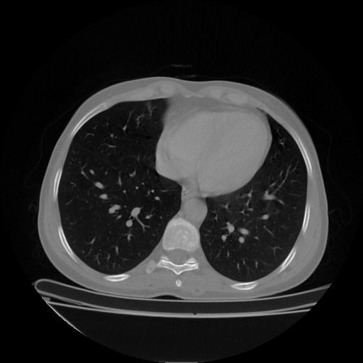
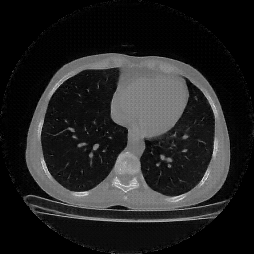
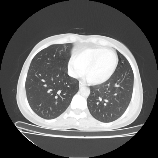
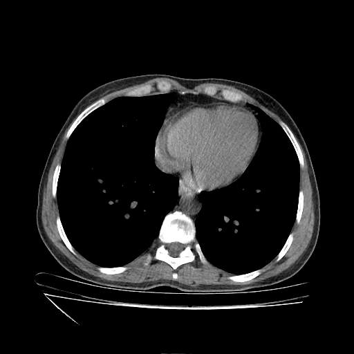
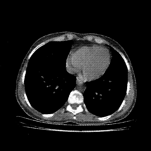
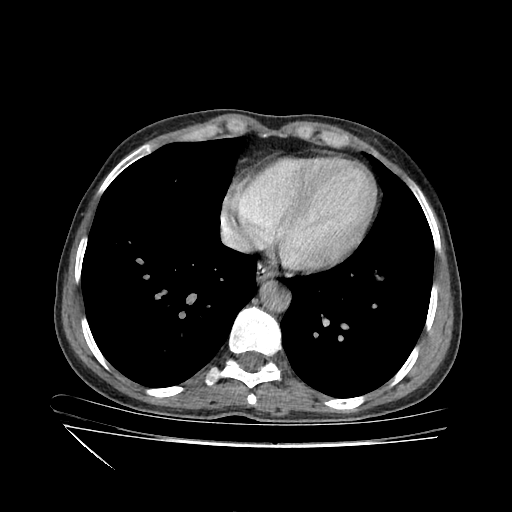
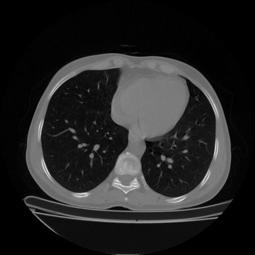
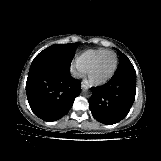
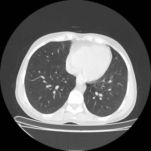
Slice 70 Targeting Evaluation
Patient ID: PP08072020
Model: cytran
Slice: Slice_70
Slice Thickness: 2.5mm
Conversion: NATIVE β VENOUS
Contains all 4 metric datasets: Network-Normalized, Hounsfield Units, Lung Window, and Mediastinum Window
| Slice ID | SSIM | RMSE | MAE | HU SSIM | HU RMSE | HU MAE | Lung SSIM | Lung RMSE | Lung MAE | Mediastinum SSIM | Mediastinum RMSE | Mediastinum MAE |
|---|---|---|---|---|---|---|---|---|---|---|---|---|
| PP08072020_slice_0 | 0.872 | 0.099 | 0.046 | 0.875 | 91.1 | 38.6 | 0.777 | 78.1 | 31.7 | 0.706 | 39.4 | 16.1 |
| PP08072020_slice_1 | 0.857 | 0.108 | 0.049 | 0.860 | 100.2 | 41.8 | 0.763 | 88.5 | 34.8 | 0.692 | 43.6 | 17.8 |
| PP08072020_slice_2 | 0.847 | 0.106 | 0.050 | 0.850 | 98.7 | 42.4 | 0.750 | 84.3 | 34.8 | 0.682 | 49.2 | 19.9 |
| PP08072020_slice_3 | 0.842 | 0.109 | 0.051 | 0.846 | 101.0 | 43.0 | 0.747 | 87.4 | 36.0 | 0.682 | 50.5 | 20.2 |
| PP08072020_slice_4 | 0.847 | 0.118 | 0.053 | 0.851 | 110.5 | 45.3 | 0.754 | 94.8 | 37.6 | 0.688 | 51.3 | 19.7 |
| PP08072020_slice_5 | 0.845 | 0.114 | 0.053 | 0.848 | 106.7 | 45.1 | 0.754 | 93.2 | 37.7 | 0.691 | 45.1 | 18.3 |
| PP08072020_slice_6 | 0.853 | 0.103 | 0.048 | 0.857 | 95.6 | 40.9 | 0.763 | 80.8 | 33.8 | 0.696 | 42.1 | 17.0 |
| PP08072020_slice_7 | 0.859 | 0.103 | 0.047 | 0.863 | 95.1 | 39.5 | 0.770 | 78.9 | 32.3 | 0.708 | 40.5 | 16.3 |
| PP08072020_slice_8 | 0.864 | 0.103 | 0.046 | 0.868 | 95.1 | 38.6 | 0.774 | 78.0 | 32.0 | 0.717 | 39.5 | 15.7 |
| PP08072020_slice_9 | 0.872 | 0.099 | 0.045 | 0.875 | 90.3 | 37.5 | 0.782 | 75.9 | 31.3 | 0.728 | 37.9 | 14.9 |
| PP08072020_slice_10 | 0.863 | 0.095 | 0.045 | 0.866 | 86.5 | 37.8 | 0.772 | 75.1 | 31.9 | 0.731 | 38.8 | 15.4 |
| PP08072020_slice_11 | 0.870 | 0.095 | 0.045 | 0.873 | 86.8 | 37.5 | 0.779 | 76.3 | 32.0 | 0.738 | 38.6 | 14.9 |
| PP08072020_slice_12 | 0.865 | 0.097 | 0.046 | 0.869 | 88.8 | 38.5 | 0.772 | 79.6 | 33.4 | 0.733 | 39.1 | 15.0 |
| PP08072020_slice_13 | 0.875 | 0.098 | 0.045 | 0.878 | 90.1 | 38.1 | 0.782 | 81.5 | 33.4 | 0.741 | 38.0 | 14.0 |
| PP08072020_slice_14 | 0.881 | 0.099 | 0.045 | 0.884 | 91.1 | 38.0 | 0.787 | 82.3 | 33.5 | 0.752 | 36.6 | 13.3 |
| PP08072020_slice_15 | 0.881 | 0.099 | 0.045 | 0.885 | 90.5 | 37.9 | 0.784 | 82.5 | 33.9 | 0.751 | 37.5 | 13.5 |
| PP08072020_slice_16 | 0.880 | 0.098 | 0.046 | 0.883 | 90.2 | 38.4 | 0.779 | 82.2 | 34.5 | 0.752 | 37.6 | 13.7 |
| PP08072020_slice_17 | 0.880 | 0.097 | 0.046 | 0.883 | 89.2 | 38.1 | 0.779 | 81.5 | 34.4 | 0.757 | 36.9 | 13.4 |
| PP08072020_slice_18 | 0.878 | 0.099 | 0.046 | 0.882 | 91.1 | 38.5 | 0.777 | 83.1 | 34.6 | 0.763 | 37.5 | 13.5 |
| PP08072020_slice_19 | 0.872 | 0.102 | 0.047 | 0.875 | 94.6 | 39.9 | 0.770 | 85.9 | 35.6 | 0.761 | 38.6 | 13.7 |
| PP08072020_slice_20 | 0.871 | 0.104 | 0.048 | 0.874 | 95.9 | 40.1 | 0.768 | 87.7 | 36.1 | 0.762 | 38.6 | 13.6 |
| PP08072020_slice_21 | 0.876 | 0.103 | 0.047 | 0.879 | 94.9 | 39.4 | 0.770 | 88.2 | 36.1 | 0.771 | 36.9 | 13.0 |
| PP08072020_slice_22 | 0.877 | 0.101 | 0.047 | 0.880 | 93.4 | 39.2 | 0.769 | 87.8 | 36.4 | 0.769 | 35.8 | 12.9 |
| PP08072020_slice_23 | 0.880 | 0.099 | 0.046 | 0.884 | 91.3 | 38.5 | 0.775 | 85.6 | 36.0 | 0.774 | 36.1 | 12.9 |
| PP08072020_slice_24 | 0.881 | 0.099 | 0.046 | 0.884 | 90.7 | 38.7 | 0.776 | 84.6 | 36.2 | 0.778 | 36.0 | 12.8 |
| PP08072020_slice_25 | 0.878 | 0.100 | 0.048 | 0.882 | 91.9 | 39.9 | 0.774 | 84.8 | 36.9 | 0.781 | 36.9 | 12.9 |
| PP08072020_slice_26 | 0.876 | 0.104 | 0.049 | 0.879 | 95.8 | 40.9 | 0.774 | 87.2 | 37.2 | 0.779 | 38.5 | 13.2 |
| PP08072020_slice_27 | 0.873 | 0.106 | 0.049 | 0.876 | 98.2 | 41.8 | 0.773 | 88.5 | 37.6 | 0.773 | 39.9 | 13.7 |
| PP08072020_slice_28 | 0.870 | 0.106 | 0.050 | 0.873 | 98.3 | 41.9 | 0.768 | 87.0 | 37.2 | 0.771 | 40.5 | 13.9 |
| PP08072020_slice_29 | 0.869 | 0.103 | 0.049 | 0.872 | 95.2 | 41.3 | 0.763 | 84.3 | 36.9 | 0.769 | 41.0 | 14.2 |
| PP08072020_slice_30 | 0.869 | 0.100 | 0.048 | 0.873 | 91.4 | 40.7 | 0.764 | 81.5 | 36.6 | 0.773 | 40.3 | 14.2 |
| PP08072020_slice_31 | 0.870 | 0.098 | 0.048 | 0.873 | 89.2 | 40.3 | 0.759 | 80.7 | 36.8 | 0.774 | 39.5 | 14.2 |
| PP08072020_slice_32 | 0.867 | 0.099 | 0.049 | 0.870 | 90.4 | 41.0 | 0.751 | 83.2 | 37.9 | 0.774 | 38.8 | 14.1 |
| PP08072020_slice_33 | 0.861 | 0.103 | 0.051 | 0.864 | 95.2 | 43.2 | 0.744 | 87.4 | 39.7 | 0.770 | 41.7 | 14.8 |
| PP08072020_slice_34 | 0.860 | 0.108 | 0.053 | 0.863 | 101.2 | 44.9 | 0.744 | 92.5 | 40.7 | 0.769 | 41.1 | 14.5 |
| PP08072020_slice_35 | 0.862 | 0.109 | 0.052 | 0.865 | 102.1 | 44.4 | 0.747 | 94.0 | 40.3 | 0.775 | 40.1 | 13.8 |
| PP08072020_slice_36 | 0.857 | 0.109 | 0.052 | 0.860 | 101.5 | 44.5 | 0.742 | 93.1 | 40.5 | 0.773 | 39.4 | 13.7 |
| PP08072020_slice_37 | 0.857 | 0.111 | 0.053 | 0.860 | 103.8 | 45.3 | 0.743 | 95.9 | 41.5 | 0.772 | 39.3 | 13.7 |
| PP08072020_slice_38 | 0.859 | 0.111 | 0.053 | 0.863 | 103.7 | 45.2 | 0.748 | 97.7 | 42.0 | 0.773 | 39.4 | 13.7 |
| PP08072020_slice_39 | 0.862 | 0.108 | 0.052 | 0.866 | 100.9 | 44.5 | 0.748 | 95.3 | 41.6 | 0.771 | 38.9 | 13.5 |
| PP08072020_slice_40 | 0.861 | 0.108 | 0.051 | 0.865 | 100.0 | 43.7 | 0.746 | 93.7 | 40.6 | 0.772 | 38.6 | 13.4 |
| PP08072020_slice_41 | 0.865 | 0.106 | 0.050 | 0.869 | 98.3 | 42.6 | 0.752 | 90.5 | 39.3 | 0.779 | 37.9 | 13.1 |
| PP08072020_slice_42 | 0.865 | 0.105 | 0.050 | 0.869 | 96.9 | 42.4 | 0.750 | 87.8 | 38.9 | 0.776 | 39.6 | 13.7 |
| PP08072020_slice_43 | 0.862 | 0.105 | 0.051 | 0.866 | 97.3 | 43.1 | 0.747 | 87.1 | 39.1 | 0.775 | 41.2 | 14.4 |
| PP08072020_slice_44 | 0.858 | 0.105 | 0.051 | 0.862 | 97.9 | 43.6 | 0.743 | 87.6 | 39.4 | 0.772 | 41.3 | 14.4 |
| PP08072020_slice_45 | 0.849 | 0.107 | 0.053 | 0.853 | 100.0 | 44.9 | 0.733 | 89.6 | 40.5 | 0.768 | 41.8 | 14.8 |
| PP08072020_slice_46 | 0.843 | 0.112 | 0.055 | 0.847 | 105.2 | 46.9 | 0.726 | 95.3 | 42.6 | 0.759 | 43.2 | 15.6 |
| PP08072020_slice_47 | 0.835 | 0.116 | 0.057 | 0.838 | 109.7 | 49.2 | 0.715 | 101.8 | 45.4 | 0.753 | 44.3 | 16.0 |
| PP08072020_slice_48 | 0.834 | 0.117 | 0.057 | 0.838 | 110.5 | 49.6 | 0.714 | 104.9 | 46.4 | 0.754 | 42.2 | 15.5 |
| PP08072020_slice_49 | 0.837 | 0.117 | 0.057 | 0.840 | 110.1 | 49.2 | 0.714 | 105.8 | 46.7 | 0.757 | 42.0 | 15.3 |
| PP08072020_slice_50 | 0.836 | 0.120 | 0.058 | 0.839 | 112.9 | 50.1 | 0.711 | 109.1 | 48.0 | 0.757 | 43.2 | 15.7 |
| PP08072020_slice_51 | 0.843 | 0.128 | 0.060 | 0.846 | 121.4 | 52.6 | 0.721 | 118.3 | 50.6 | 0.768 | 39.6 | 14.1 |
| PP08072020_slice_52 | 0.849 | 0.118 | 0.058 | 0.852 | 111.5 | 49.9 | 0.723 | 107.8 | 47.8 | 0.779 | 37.6 | 13.2 |
| PP08072020_slice_53 | 0.844 | 0.116 | 0.057 | 0.847 | 109.4 | 49.0 | 0.722 | 103.8 | 46.5 | 0.774 | 39.4 | 13.9 |
| PP08072020_slice_54 | 0.831 | 0.119 | 0.059 | 0.835 | 112.5 | 51.0 | 0.708 | 105.5 | 48.0 | 0.772 | 41.0 | 14.6 |
| PP08072020_slice_55 | 0.833 | 0.118 | 0.058 | 0.837 | 111.2 | 50.4 | 0.711 | 103.9 | 47.4 | 0.769 | 41.6 | 15.1 |
| PP08072020_slice_56 | 0.836 | 0.115 | 0.057 | 0.839 | 108.4 | 49.4 | 0.715 | 100.2 | 46.0 | 0.768 | 42.1 | 15.3 |
| PP08072020_slice_57 | 0.832 | 0.114 | 0.057 | 0.835 | 107.6 | 49.3 | 0.713 | 99.1 | 45.7 | 0.771 | 42.9 | 15.7 |
| PP08072020_slice_58 | 0.828 | 0.114 | 0.057 | 0.832 | 107.0 | 49.5 | 0.707 | 99.1 | 46.2 | 0.765 | 43.7 | 16.1 |
| PP08072020_slice_59 | 0.829 | 0.115 | 0.057 | 0.833 | 107.9 | 49.4 | 0.705 | 101.3 | 46.5 | 0.763 | 43.9 | 16.2 |
| PP08072020_slice_60 | 0.825 | 0.119 | 0.059 | 0.828 | 112.4 | 51.1 | 0.700 | 106.2 | 48.1 | 0.762 | 44.7 | 16.4 |
| PP08072020_slice_61 | 0.827 | 0.123 | 0.059 | 0.831 | 116.9 | 51.7 | 0.701 | 110.7 | 48.8 | 0.761 | 44.1 | 16.1 |
| PP08072020_slice_62 | 0.831 | 0.123 | 0.058 | 0.835 | 117.1 | 50.9 | 0.707 | 110.6 | 47.9 | 0.765 | 43.2 | 15.6 |
| PP08072020_slice_63 | 0.840 | 0.121 | 0.057 | 0.843 | 114.1 | 49.3 | 0.718 | 108.0 | 46.4 | 0.773 | 41.2 | 14.7 |
| PP08072020_slice_64 | 0.849 | 0.115 | 0.055 | 0.853 | 108.6 | 47.2 | 0.728 | 103.9 | 44.9 | 0.784 | 39.9 | 14.1 |
| PP08072020_slice_65 | 0.862 | 0.109 | 0.052 | 0.866 | 101.4 | 44.5 | 0.743 | 97.9 | 42.6 | 0.796 | 36.9 | 12.9 |
| PP08072020_slice_66 | 0.866 | 0.106 | 0.051 | 0.870 | 98.1 | 43.6 | 0.744 | 95.2 | 42.0 | 0.801 | 35.4 | 12.2 |
| PP08072020_slice_67 | 0.866 | 0.107 | 0.051 | 0.870 | 99.2 | 43.6 | 0.743 | 96.0 | 41.8 | 0.804 | 35.1 | 12.0 |
| PP08072020_slice_68 | 0.861 | 0.108 | 0.052 | 0.865 | 100.8 | 44.2 | 0.738 | 96.9 | 42.2 | 0.804 | 36.3 | 12.3 |
| PP08072020_slice_69 | 0.859 | 0.110 | 0.052 | 0.863 | 102.9 | 44.8 | 0.736 | 98.3 | 42.5 | 0.803 | 37.0 | 12.4 |
| PP08072020_slice_70 | 0.857 | 0.111 | 0.053 | 0.860 | 103.8 | 45.3 | 0.735 | 98.3 | 42.7 | 0.805 | 38.0 | 12.5 |
| PP08072020_slice_71 | 0.855 | 0.112 | 0.053 | 0.858 | 105.2 | 45.8 | 0.733 | 99.3 | 43.1 | 0.804 | 38.5 | 12.6 |
| PP08072020_slice_72 | 0.853 | 0.113 | 0.054 | 0.857 | 106.3 | 46.2 | 0.733 | 100.3 | 43.4 | 0.802 | 38.4 | 12.7 |
| PP08072020_slice_73 | 0.854 | 0.114 | 0.054 | 0.857 | 107.5 | 46.4 | 0.732 | 101.3 | 43.6 | 0.805 | 38.4 | 12.6 |
| PP08072020_slice_74 | 0.855 | 0.113 | 0.054 | 0.858 | 106.1 | 46.0 | 0.732 | 99.5 | 43.3 | 0.807 | 38.2 | 12.4 |
| PP08072020_slice_75 | 0.858 | 0.111 | 0.052 | 0.862 | 103.6 | 44.5 | 0.736 | 96.2 | 41.5 | 0.810 | 36.9 | 11.7 |
| PP08072020_slice_76 | 0.865 | 0.107 | 0.051 | 0.868 | 99.9 | 43.2 | 0.742 | 93.8 | 40.7 | 0.814 | 35.2 | 11.0 |
| PP08072020_slice_77 | 0.867 | 0.105 | 0.050 | 0.871 | 97.0 | 42.4 | 0.745 | 92.4 | 40.4 | 0.818 | 33.8 | 10.7 |
| PP08072020_slice_78 | 0.869 | 0.100 | 0.049 | 0.872 | 92.4 | 41.5 | 0.746 | 88.8 | 39.7 | 0.822 | 32.5 | 10.5 |
| PP08072020_slice_79 | 0.879 | 0.095 | 0.047 | 0.882 | 87.0 | 38.9 | 0.755 | 84.7 | 37.7 | 0.830 | 29.7 | 9.4 |
| PP08072020_slice_80 | 0.889 | 0.093 | 0.045 | 0.893 | 84.7 | 37.3 | 0.767 | 83.0 | 36.2 | 0.837 | 28.0 | 8.6 |
| PP08072020_slice_81 | 0.887 | 0.103 | 0.049 | 0.890 | 95.3 | 41.1 | 0.763 | 94.0 | 40.2 | 0.838 | 28.4 | 8.7 |
| PP08072020_slice_82 | 0.870 | 0.138 | 0.060 | 0.873 | 132.4 | 51.9 | 0.750 | 131.1 | 50.8 | 0.820 | 32.4 | 10.2 |
| PP08072020_slice_83 | 0.849 | 0.145 | 0.064 | 0.852 | 139.4 | 55.7 | 0.732 | 137.7 | 54.4 | 0.794 | 39.9 | 13.4 |
| PP08072020_slice_84 | 0.847 | 0.143 | 0.061 | 0.851 | 137.1 | 53.6 | 0.735 | 135.2 | 52.5 | 0.785 | 43.4 | 14.6 |
| PP08072020_slice_85 | 0.844 | 0.144 | 0.061 | 0.848 | 139.0 | 53.8 | 0.735 | 137.1 | 52.5 | 0.769 | 44.6 | 15.5 |
| PP08072020_slice_86 | 0.838 | 0.151 | 0.064 | 0.842 | 145.6 | 56.2 | 0.732 | 143.4 | 54.7 | 0.758 | 45.5 | 16.2 |
| PP08072020_slice_87 | 0.829 | 0.157 | 0.066 | 0.833 | 152.1 | 58.6 | 0.727 | 149.5 | 56.9 | 0.746 | 47.3 | 17.3 |
| PP08072020_slice_88 | 0.825 | 0.160 | 0.067 | 0.828 | 155.1 | 59.7 | 0.724 | 152.2 | 58.0 | 0.740 | 48.7 | 18.0 |
| PP08072020_slice_89 | 0.827 | 0.160 | 0.067 | 0.831 | 155.1 | 59.3 | 0.726 | 152.1 | 57.7 | 0.734 | 48.2 | 17.7 |
| PP08072020_slice_90 | 0.834 | 0.156 | 0.065 | 0.838 | 150.6 | 57.2 | 0.731 | 148.5 | 55.9 | 0.732 | 46.2 | 17.3 |
| PP08072020_slice_91 | 0.846 | 0.153 | 0.063 | 0.850 | 147.8 | 55.1 | 0.742 | 146.4 | 54.2 | 0.736 | 44.7 | 16.6 |
| PP08072020_slice_92 | 0.846 | 0.153 | 0.063 | 0.850 | 148.4 | 55.0 | 0.743 | 147.4 | 54.3 | 0.734 | 44.1 | 16.5 |
| PP08072020_slice_93 | 0.844 | 0.155 | 0.063 | 0.848 | 149.5 | 55.3 | 0.741 | 148.6 | 54.5 | 0.727 | 44.9 | 16.9 |
| PP08072020_slice_94 | 0.848 | 0.152 | 0.062 | 0.852 | 147.2 | 54.1 | 0.746 | 146.5 | 53.3 | 0.726 | 44.8 | 16.7 |
| PP08072020_slice_95 | 0.847 | 0.147 | 0.060 | 0.850 | 142.0 | 52.3 | 0.745 | 141.5 | 51.7 | 0.722 | 45.3 | 17.0 |
| PP08072020_slice_96 | 0.845 | 0.143 | 0.059 | 0.849 | 137.6 | 51.3 | 0.743 | 136.8 | 50.5 | 0.712 | 45.8 | 17.4 |
| PP08072020_slice_97 | 0.846 | 0.136 | 0.057 | 0.850 | 130.3 | 48.9 | 0.741 | 129.1 | 48.2 | 0.702 | 45.3 | 17.6 |
| PP08072020_slice_98 | 0.851 | 0.128 | 0.053 | 0.855 | 121.8 | 45.7 | 0.745 | 120.0 | 44.7 | 0.698 | 44.3 | 17.4 |
| PP08072020_slice_99 | 0.853 | 0.126 | 0.053 | 0.857 | 119.6 | 45.1 | 0.745 | 117.5 | 43.8 | 0.693 | 42.6 | 17.0 |
| PP08072020_slice_100 | 0.853 | 0.125 | 0.053 | 0.857 | 118.8 | 45.0 | 0.743 | 116.1 | 43.4 | 0.687 | 41.6 | 16.7 |
| PP08072020_slice_101 | 0.853 | 0.123 | 0.052 | 0.856 | 116.8 | 44.7 | 0.740 | 113.9 | 43.2 | 0.684 | 42.2 | 17.0 |
| PP08072020_slice_102 | 0.854 | 0.118 | 0.051 | 0.858 | 111.2 | 43.0 | 0.741 | 109.1 | 41.9 | 0.684 | 41.8 | 17.3 |
| PP08072020_slice_103 | 0.858 | 0.114 | 0.049 | 0.861 | 106.7 | 41.5 | 0.743 | 104.5 | 40.4 | 0.682 | 41.4 | 17.3 |
| PP08072020_slice_104 | 0.865 | 0.105 | 0.046 | 0.868 | 97.5 | 38.8 | 0.750 | 95.5 | 37.7 | 0.685 | 39.8 | 16.8 |
| PP08072020_slice_105 | 0.875 | 0.096 | 0.043 | 0.879 | 87.3 | 35.3 | 0.762 | 86.0 | 34.4 | 0.696 | 37.3 | 15.7 |
| PP08072020_slice_106 | 0.882 | 0.091 | 0.042 | 0.886 | 81.5 | 34.0 | 0.771 | 80.4 | 33.0 | 0.705 | 36.0 | 15.4 |
| PP08072020_slice_107 | 0.886 | 0.090 | 0.041 | 0.889 | 81.3 | 33.5 | 0.775 | 80.4 | 32.7 | 0.708 | 35.3 | 15.1 |
| PP08072020_slice_108 | 0.886 | 0.091 | 0.041 | 0.890 | 82.4 | 33.5 | 0.775 | 81.5 | 32.8 | 0.710 | 34.9 | 15.0 |
| PP08072020_slice_109 | 0.880 | 0.096 | 0.042 | 0.884 | 87.3 | 34.9 | 0.770 | 86.3 | 34.2 | 0.709 | 35.8 | 15.5 |
| PP08072020_slice_110 | 0.876 | 0.099 | 0.044 | 0.879 | 90.4 | 36.0 | 0.766 | 88.9 | 35.1 | 0.706 | 37.1 | 16.1 |
| PP08072020_slice_111 | 0.876 | 0.097 | 0.043 | 0.879 | 89.0 | 35.7 | 0.765 | 87.1 | 34.6 | 0.706 | 36.5 | 15.9 |
4Γ3 grid: Rows show different image types (Original NATIVE, Reconstructed NATIVE, Original VENOUS, Generated VENOUS), Columns show windowing techniques (No Window, Lung Window, Mediastinum Window)