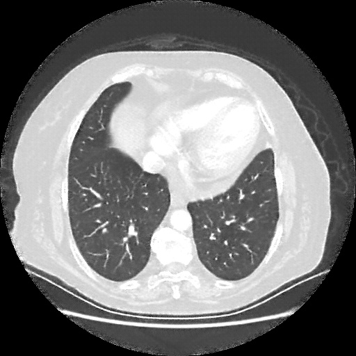
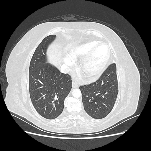
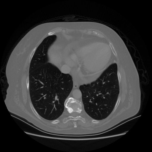
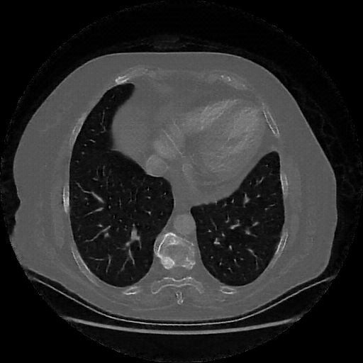
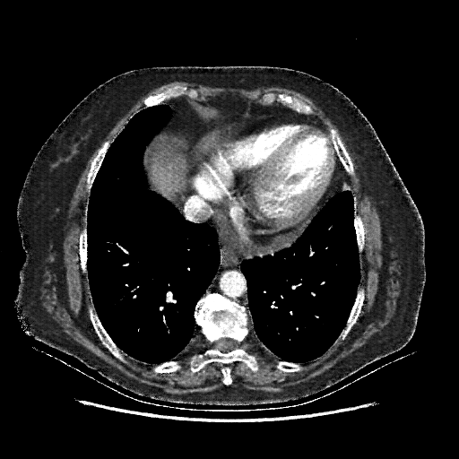
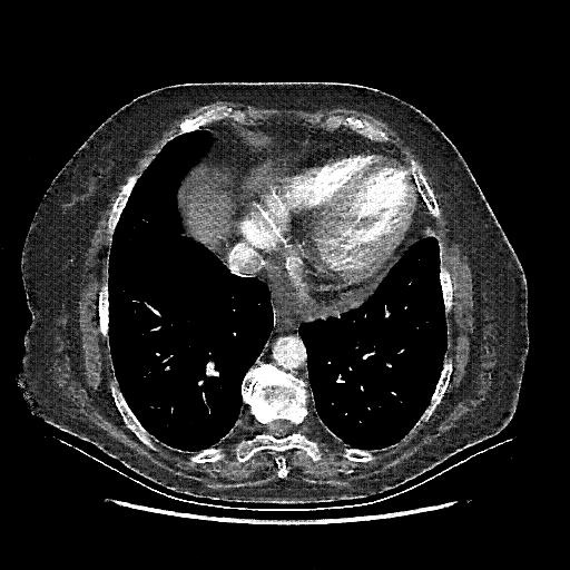
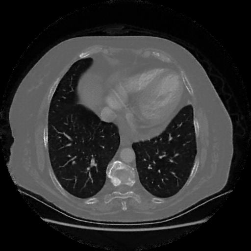
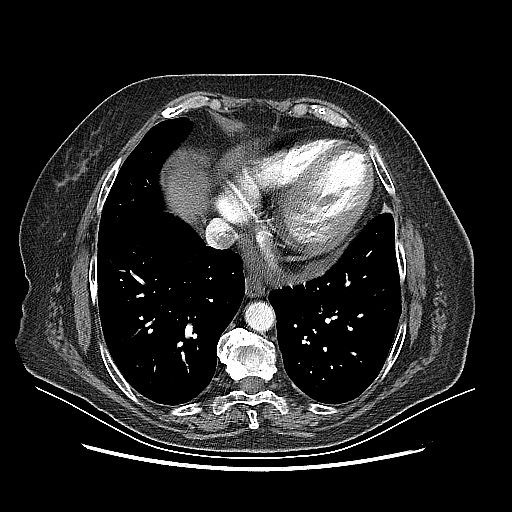
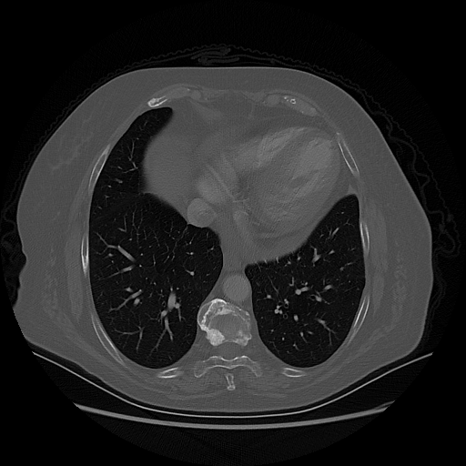
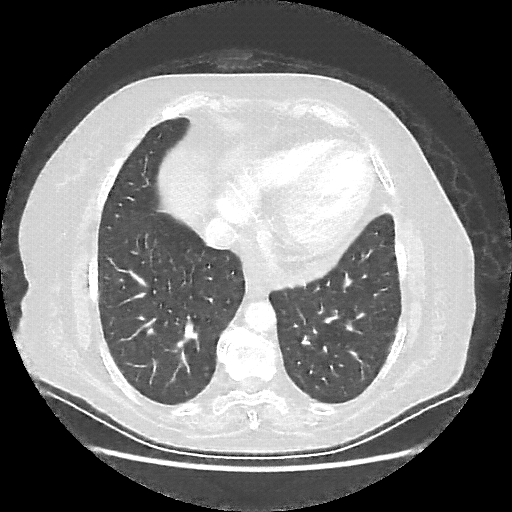
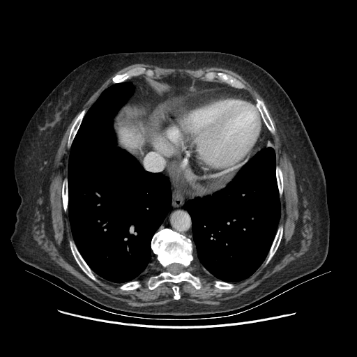
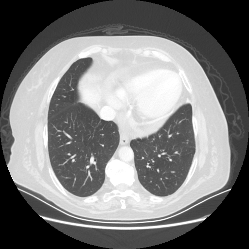
Slice 70 Targeting Evaluation
Patient ID: AB17122018
Model: cytran
Slice: Slice_70
Slice Thickness: 2.5mm
Conversion: NATIVE β VENOUS
Contains all 4 metric datasets: Network-Normalized, Hounsfield Units, Lung Window, and Mediastinum Window
| Slice ID | SSIM | RMSE | MAE | HU SSIM | HU RMSE | HU MAE | Lung SSIM | Lung RMSE | Lung MAE | Mediastinum SSIM | Mediastinum RMSE | Mediastinum MAE |
|---|---|---|---|---|---|---|---|---|---|---|---|---|
| AB17122018_slice_0 | 0.846 | 0.111 | 0.051 | 0.850 | 103.5 | 43.5 | 0.729 | 70.5 | 33.8 | 0.677 | 44.2 | 19.2 |
| AB17122018_slice_1 | 0.845 | 0.110 | 0.051 | 0.849 | 102.0 | 42.9 | 0.726 | 70.8 | 34.0 | 0.673 | 44.5 | 19.4 |
| AB17122018_slice_2 | 0.837 | 0.114 | 0.051 | 0.840 | 107.0 | 43.8 | 0.717 | 71.2 | 34.2 | 0.670 | 45.0 | 19.7 |
| AB17122018_slice_3 | 0.828 | 0.119 | 0.053 | 0.832 | 111.8 | 45.2 | 0.711 | 72.2 | 35.1 | 0.671 | 45.8 | 20.0 |
| AB17122018_slice_4 | 0.826 | 0.124 | 0.054 | 0.830 | 117.9 | 47.0 | 0.711 | 73.9 | 36.0 | 0.671 | 46.1 | 20.1 |
| AB17122018_slice_5 | 0.824 | 0.121 | 0.054 | 0.828 | 113.8 | 46.7 | 0.710 | 75.1 | 36.4 | 0.676 | 45.7 | 19.9 |
| AB17122018_slice_6 | 0.825 | 0.123 | 0.054 | 0.829 | 116.2 | 46.5 | 0.710 | 74.2 | 36.1 | 0.679 | 44.9 | 19.6 |
| AB17122018_slice_7 | 0.835 | 0.123 | 0.054 | 0.839 | 116.8 | 46.7 | 0.720 | 74.2 | 36.2 | 0.680 | 44.2 | 19.1 |
| AB17122018_slice_8 | 0.847 | 0.119 | 0.053 | 0.852 | 112.3 | 45.4 | 0.733 | 75.1 | 36.1 | 0.687 | 42.7 | 18.1 |
| AB17122018_slice_9 | 0.858 | 0.117 | 0.051 | 0.862 | 110.0 | 44.0 | 0.746 | 74.9 | 35.3 | 0.698 | 41.3 | 17.2 |
| AB17122018_slice_10 | 0.862 | 0.116 | 0.050 | 0.867 | 109.4 | 43.0 | 0.753 | 74.9 | 34.7 | 0.704 | 41.6 | 16.8 |
| AB17122018_slice_11 | 0.862 | 0.118 | 0.051 | 0.866 | 111.1 | 43.4 | 0.756 | 75.8 | 34.6 | 0.707 | 42.0 | 16.8 |
| AB17122018_slice_12 | 0.862 | 0.123 | 0.052 | 0.866 | 116.5 | 44.4 | 0.752 | 78.5 | 35.2 | 0.707 | 41.7 | 16.6 |
| AB17122018_slice_13 | 0.859 | 0.135 | 0.054 | 0.863 | 128.9 | 46.5 | 0.747 | 80.3 | 36.1 | 0.709 | 42.2 | 16.5 |
| AB17122018_slice_14 | 0.855 | 0.137 | 0.055 | 0.860 | 131.2 | 47.5 | 0.741 | 81.1 | 36.9 | 0.708 | 42.6 | 16.7 |
| AB17122018_slice_15 | 0.852 | 0.135 | 0.055 | 0.856 | 129.5 | 47.7 | 0.738 | 82.7 | 37.6 | 0.707 | 43.2 | 17.0 |
| AB17122018_slice_16 | 0.852 | 0.130 | 0.054 | 0.857 | 124.0 | 46.9 | 0.738 | 84.3 | 37.7 | 0.705 | 43.4 | 16.7 |
| AB17122018_slice_17 | 0.858 | 0.121 | 0.053 | 0.862 | 114.6 | 45.3 | 0.744 | 84.8 | 37.3 | 0.711 | 42.3 | 16.2 |
| AB17122018_slice_18 | 0.859 | 0.117 | 0.052 | 0.863 | 110.7 | 44.6 | 0.744 | 85.5 | 37.3 | 0.714 | 41.0 | 15.8 |
| AB17122018_slice_19 | 0.864 | 0.114 | 0.051 | 0.868 | 107.1 | 43.5 | 0.749 | 85.3 | 36.9 | 0.718 | 39.7 | 15.4 |
| AB17122018_slice_20 | 0.860 | 0.110 | 0.051 | 0.864 | 103.1 | 43.4 | 0.743 | 86.3 | 37.7 | 0.713 | 39.9 | 15.7 |
| AB17122018_slice_21 | 0.861 | 0.108 | 0.051 | 0.865 | 100.6 | 43.5 | 0.741 | 86.9 | 38.3 | 0.707 | 39.5 | 15.7 |
| AB17122018_slice_22 | 0.864 | 0.107 | 0.051 | 0.868 | 99.2 | 43.5 | 0.742 | 87.8 | 38.6 | 0.707 | 39.6 | 15.8 |
| AB17122018_slice_23 | 0.864 | 0.106 | 0.051 | 0.868 | 98.0 | 43.5 | 0.739 | 88.2 | 39.2 | 0.707 | 39.4 | 15.8 |
| AB17122018_slice_24 | 0.860 | 0.105 | 0.051 | 0.865 | 97.8 | 43.9 | 0.734 | 88.6 | 39.7 | 0.707 | 39.6 | 15.9 |
| AB17122018_slice_25 | 0.860 | 0.106 | 0.052 | 0.865 | 98.5 | 44.4 | 0.735 | 89.8 | 40.2 | 0.705 | 40.5 | 16.2 |
| AB17122018_slice_26 | 0.863 | 0.106 | 0.052 | 0.868 | 97.9 | 44.1 | 0.738 | 88.6 | 39.7 | 0.712 | 40.3 | 15.9 |
| AB17122018_slice_27 | 0.859 | 0.108 | 0.053 | 0.863 | 100.2 | 45.8 | 0.732 | 90.7 | 41.3 | 0.709 | 40.4 | 16.1 |
| AB17122018_slice_28 | 0.851 | 0.109 | 0.055 | 0.855 | 102.1 | 47.1 | 0.724 | 92.3 | 42.2 | 0.701 | 42.1 | 17.1 |
| AB17122018_slice_29 | 0.843 | 0.110 | 0.055 | 0.847 | 102.6 | 47.7 | 0.716 | 93.0 | 42.7 | 0.697 | 42.7 | 17.7 |
| AB17122018_slice_30 | 0.839 | 0.108 | 0.055 | 0.843 | 100.6 | 47.6 | 0.712 | 91.6 | 42.5 | 0.692 | 42.5 | 17.9 |
| AB17122018_slice_31 | 0.831 | 0.109 | 0.056 | 0.834 | 101.6 | 48.5 | 0.703 | 92.5 | 43.2 | 0.686 | 43.9 | 18.7 |
| AB17122018_slice_32 | 0.831 | 0.110 | 0.056 | 0.834 | 102.7 | 48.9 | 0.704 | 92.5 | 43.2 | 0.688 | 44.7 | 19.0 |
| AB17122018_slice_33 | 0.826 | 0.110 | 0.056 | 0.830 | 102.6 | 49.1 | 0.701 | 91.8 | 43.2 | 0.685 | 45.3 | 19.4 |
| AB17122018_slice_34 | 0.819 | 0.110 | 0.057 | 0.822 | 102.9 | 50.0 | 0.697 | 92.4 | 43.8 | 0.681 | 46.4 | 20.3 |
| AB17122018_slice_35 | 0.822 | 0.106 | 0.056 | 0.826 | 98.7 | 49.0 | 0.700 | 88.3 | 42.8 | 0.685 | 44.9 | 19.9 |
| AB17122018_slice_36 | 0.814 | 0.104 | 0.057 | 0.818 | 96.4 | 49.4 | 0.693 | 86.1 | 43.3 | 0.683 | 45.5 | 20.9 |
| AB17122018_slice_37 | 0.821 | 0.103 | 0.056 | 0.824 | 95.1 | 49.0 | 0.700 | 85.1 | 42.8 | 0.685 | 45.4 | 20.8 |
| AB17122018_slice_38 | 0.833 | 0.102 | 0.056 | 0.837 | 94.5 | 48.3 | 0.712 | 85.0 | 42.2 | 0.687 | 45.0 | 20.3 |
| AB17122018_slice_39 | 0.836 | 0.102 | 0.055 | 0.839 | 94.6 | 48.2 | 0.716 | 85.6 | 42.3 | 0.683 | 45.1 | 20.4 |
| AB17122018_slice_40 | 0.840 | 0.100 | 0.054 | 0.844 | 92.1 | 46.8 | 0.719 | 83.9 | 41.4 | 0.689 | 43.4 | 19.7 |
| AB17122018_slice_41 | 0.845 | 0.099 | 0.054 | 0.849 | 91.2 | 46.5 | 0.724 | 82.7 | 40.9 | 0.690 | 43.1 | 19.6 |
| AB17122018_slice_42 | 0.842 | 0.100 | 0.054 | 0.845 | 92.7 | 46.9 | 0.722 | 84.1 | 41.4 | 0.686 | 43.4 | 19.9 |
| AB17122018_slice_43 | 0.830 | 0.102 | 0.055 | 0.834 | 94.1 | 47.7 | 0.709 | 85.4 | 42.1 | 0.680 | 45.3 | 21.1 |
| AB17122018_slice_44 | 0.822 | 0.103 | 0.056 | 0.825 | 95.3 | 48.9 | 0.703 | 86.6 | 43.1 | 0.671 | 47.0 | 22.2 |
| AB17122018_slice_45 | 0.811 | 0.104 | 0.058 | 0.815 | 96.4 | 50.7 | 0.695 | 88.0 | 44.6 | 0.665 | 48.9 | 23.5 |
| AB17122018_slice_46 | 0.807 | 0.104 | 0.059 | 0.811 | 96.9 | 51.3 | 0.693 | 88.7 | 45.3 | 0.661 | 50.3 | 24.2 |
| AB17122018_slice_47 | 0.802 | 0.104 | 0.059 | 0.805 | 96.8 | 51.6 | 0.687 | 89.1 | 45.8 | 0.655 | 51.0 | 24.8 |
| AB17122018_slice_48 | 0.806 | 0.103 | 0.058 | 0.810 | 95.6 | 51.0 | 0.689 | 88.6 | 45.2 | 0.656 | 50.7 | 24.6 |
| AB17122018_slice_49 | 0.816 | 0.103 | 0.058 | 0.819 | 95.0 | 50.2 | 0.697 | 88.3 | 44.4 | 0.661 | 49.7 | 24.0 |
| AB17122018_slice_50 | 0.821 | 0.103 | 0.058 | 0.825 | 95.2 | 50.0 | 0.703 | 89.4 | 44.4 | 0.662 | 48.1 | 23.4 |
| AB17122018_slice_51 | 0.828 | 0.103 | 0.057 | 0.832 | 95.4 | 49.2 | 0.711 | 90.1 | 43.7 | 0.665 | 46.5 | 22.7 |
| AB17122018_slice_52 | 0.829 | 0.104 | 0.057 | 0.832 | 96.2 | 49.5 | 0.712 | 91.3 | 44.0 | 0.664 | 46.1 | 22.7 |
| AB17122018_slice_53 | 0.823 | 0.105 | 0.058 | 0.827 | 97.7 | 50.8 | 0.706 | 92.7 | 45.1 | 0.661 | 46.7 | 23.2 |
| AB17122018_slice_54 | 0.818 | 0.106 | 0.059 | 0.822 | 98.2 | 51.3 | 0.701 | 93.6 | 45.7 | 0.655 | 47.7 | 23.8 |
| AB17122018_slice_55 | 0.817 | 0.105 | 0.059 | 0.821 | 97.9 | 51.1 | 0.701 | 93.4 | 45.6 | 0.653 | 48.3 | 24.0 |
| AB17122018_slice_56 | 0.815 | 0.104 | 0.059 | 0.819 | 96.6 | 51.1 | 0.700 | 92.5 | 45.9 | 0.651 | 47.9 | 23.9 |
| AB17122018_slice_57 | 0.820 | 0.102 | 0.058 | 0.824 | 94.1 | 49.8 | 0.705 | 90.4 | 44.9 | 0.654 | 46.8 | 23.4 |
| AB17122018_slice_58 | 0.825 | 0.100 | 0.056 | 0.829 | 92.0 | 48.7 | 0.712 | 88.3 | 43.6 | 0.662 | 45.6 | 22.9 |
| AB17122018_slice_59 | 0.825 | 0.099 | 0.056 | 0.829 | 90.8 | 48.3 | 0.711 | 87.0 | 43.3 | 0.664 | 45.2 | 22.8 |
| AB17122018_slice_60 | 0.826 | 0.098 | 0.056 | 0.830 | 89.6 | 47.8 | 0.711 | 85.6 | 42.7 | 0.667 | 44.6 | 22.5 |
| AB17122018_slice_61 | 0.830 | 0.097 | 0.055 | 0.834 | 89.3 | 47.5 | 0.716 | 85.2 | 42.3 | 0.669 | 44.1 | 22.1 |
| AB17122018_slice_62 | 0.829 | 0.098 | 0.055 | 0.833 | 90.4 | 47.7 | 0.715 | 86.0 | 42.5 | 0.673 | 44.3 | 21.9 |
| AB17122018_slice_63 | 0.832 | 0.098 | 0.055 | 0.837 | 90.3 | 47.3 | 0.716 | 86.2 | 42.4 | 0.672 | 44.9 | 21.7 |
| AB17122018_slice_64 | 0.833 | 0.098 | 0.055 | 0.837 | 90.4 | 47.2 | 0.718 | 86.1 | 42.5 | 0.677 | 45.7 | 21.6 |
| AB17122018_slice_65 | 0.840 | 0.099 | 0.054 | 0.844 | 90.8 | 46.2 | 0.721 | 86.8 | 41.8 | 0.687 | 45.2 | 20.5 |
| AB17122018_slice_66 | 0.848 | 0.099 | 0.053 | 0.852 | 91.3 | 45.2 | 0.730 | 87.3 | 41.1 | 0.700 | 43.4 | 19.2 |
| AB17122018_slice_67 | 0.853 | 0.100 | 0.052 | 0.857 | 92.2 | 45.0 | 0.734 | 88.5 | 41.3 | 0.707 | 42.1 | 18.5 |
| AB17122018_slice_68 | 0.864 | 0.101 | 0.052 | 0.868 | 93.7 | 44.5 | 0.746 | 90.1 | 40.9 | 0.716 | 40.0 | 17.1 |
| AB17122018_slice_69 | 0.865 | 0.102 | 0.052 | 0.870 | 94.6 | 44.6 | 0.748 | 91.7 | 41.4 | 0.717 | 39.2 | 16.7 |
| AB17122018_slice_70 | 0.867 | 0.103 | 0.052 | 0.871 | 95.1 | 44.1 | 0.747 | 92.5 | 41.3 | 0.716 | 38.6 | 16.1 |
| AB17122018_slice_71 | 0.871 | 0.101 | 0.051 | 0.875 | 92.9 | 43.0 | 0.749 | 90.8 | 40.7 | 0.719 | 37.3 | 15.3 |
| AB17122018_slice_72 | 0.872 | 0.100 | 0.051 | 0.877 | 92.2 | 43.1 | 0.749 | 90.6 | 41.3 | 0.715 | 36.9 | 15.2 |
| AB17122018_slice_73 | 0.870 | 0.097 | 0.050 | 0.875 | 89.0 | 42.2 | 0.744 | 87.7 | 40.8 | 0.710 | 36.5 | 15.2 |
| AB17122018_slice_74 | 0.879 | 0.094 | 0.048 | 0.884 | 85.0 | 40.3 | 0.753 | 84.0 | 39.2 | 0.716 | 34.1 | 14.2 |
| AB17122018_slice_75 | 0.885 | 0.092 | 0.047 | 0.890 | 82.9 | 39.0 | 0.762 | 81.4 | 37.8 | 0.720 | 32.9 | 13.6 |
| AB17122018_slice_76 | 0.891 | 0.089 | 0.046 | 0.896 | 80.0 | 37.9 | 0.768 | 78.9 | 36.8 | 0.721 | 32.2 | 13.4 |
| AB17122018_slice_77 | 0.897 | 0.087 | 0.045 | 0.901 | 77.9 | 37.2 | 0.772 | 77.5 | 36.3 | 0.716 | 32.2 | 13.5 |
| AB17122018_slice_78 | 0.886 | 0.089 | 0.046 | 0.890 | 79.6 | 39.0 | 0.758 | 78.9 | 37.8 | 0.698 | 33.6 | 14.5 |
| AB17122018_slice_79 | 0.891 | 0.088 | 0.046 | 0.895 | 78.6 | 38.1 | 0.763 | 78.3 | 37.2 | 0.688 | 33.7 | 14.7 |
| AB17122018_slice_80 | 0.893 | 0.088 | 0.045 | 0.897 | 78.2 | 37.7 | 0.760 | 78.1 | 37.0 | 0.679 | 33.7 | 15.1 |
| AB17122018_slice_81 | 0.894 | 0.087 | 0.045 | 0.899 | 76.7 | 37.1 | 0.758 | 76.7 | 36.6 | 0.672 | 33.4 | 15.2 |
| AB17122018_slice_82 | 0.893 | 0.085 | 0.045 | 0.899 | 75.1 | 36.7 | 0.755 | 75.3 | 36.4 | 0.665 | 33.4 | 15.6 |
| AB17122018_slice_83 | 0.896 | 0.085 | 0.044 | 0.901 | 75.1 | 36.2 | 0.754 | 75.4 | 36.0 | 0.663 | 33.0 | 15.4 |
| AB17122018_slice_84 | 0.896 | 0.084 | 0.044 | 0.902 | 73.9 | 35.8 | 0.752 | 74.7 | 35.7 | 0.661 | 32.9 | 15.5 |
| AB17122018_slice_85 | 0.896 | 0.084 | 0.044 | 0.901 | 73.4 | 35.9 | 0.751 | 74.3 | 35.8 | 0.659 | 33.6 | 16.1 |
| AB17122018_slice_86 | 0.897 | 0.083 | 0.043 | 0.903 | 72.4 | 35.3 | 0.751 | 73.3 | 35.1 | 0.657 | 33.5 | 16.0 |
| AB17122018_slice_87 | 0.899 | 0.082 | 0.043 | 0.904 | 71.2 | 34.7 | 0.753 | 71.8 | 34.5 | 0.657 | 33.4 | 16.0 |
| AB17122018_slice_88 | 0.900 | 0.081 | 0.042 | 0.906 | 70.0 | 34.3 | 0.755 | 70.7 | 34.1 | 0.658 | 33.4 | 16.1 |
| AB17122018_slice_89 | 0.898 | 0.079 | 0.042 | 0.904 | 68.1 | 33.7 | 0.751 | 68.9 | 33.5 | 0.653 | 33.8 | 16.4 |
| AB17122018_slice_90 | 0.902 | 0.078 | 0.041 | 0.908 | 66.2 | 32.8 | 0.757 | 67.5 | 32.8 | 0.659 | 33.3 | 16.3 |
| AB17122018_slice_91 | 0.904 | 0.076 | 0.040 | 0.910 | 63.4 | 32.0 | 0.761 | 64.9 | 32.0 | 0.660 | 33.0 | 16.2 |
| AB17122018_slice_92 | 0.904 | 0.075 | 0.040 | 0.909 | 62.3 | 31.7 | 0.760 | 63.8 | 31.8 | 0.660 | 33.0 | 16.2 |
| AB17122018_slice_93 | 0.904 | 0.074 | 0.040 | 0.909 | 62.0 | 31.8 | 0.758 | 63.0 | 31.6 | 0.658 | 33.3 | 16.2 |
| AB17122018_slice_94 | 0.901 | 0.075 | 0.040 | 0.906 | 62.8 | 32.3 | 0.754 | 63.7 | 32.0 | 0.655 | 34.2 | 16.6 |
| AB17122018_slice_95 | 0.900 | 0.075 | 0.040 | 0.906 | 63.3 | 32.3 | 0.755 | 64.0 | 31.9 | 0.657 | 34.0 | 16.4 |
| AB17122018_slice_96 | 0.899 | 0.076 | 0.041 | 0.904 | 63.7 | 32.4 | 0.751 | 64.2 | 31.9 | 0.655 | 34.1 | 16.4 |
| AB17122018_slice_97 | 0.896 | 0.077 | 0.041 | 0.902 | 64.9 | 32.8 | 0.750 | 65.5 | 32.5 | 0.657 | 34.5 | 16.6 |
| AB17122018_slice_98 | 0.893 | 0.078 | 0.042 | 0.899 | 66.0 | 33.4 | 0.748 | 66.9 | 33.3 | 0.657 | 35.0 | 16.8 |
| AB17122018_slice_99 | 0.890 | 0.081 | 0.042 | 0.896 | 69.9 | 33.7 | 0.750 | 70.8 | 33.5 | 0.660 | 35.5 | 16.7 |
| AB17122018_slice_100 | 0.890 | 0.087 | 0.043 | 0.896 | 76.2 | 34.3 | 0.751 | 76.7 | 34.1 | 0.662 | 36.1 | 16.7 |
4Γ3 grid: Rows show different image types (Original NATIVE, Reconstructed NATIVE, Original VENOUS, Generated VENOUS), Columns show windowing techniques (No Window, Lung Window, Mediastinum Window)